什么达医畅疗·第五期 | 畅医达17小系统动脉瘤辅助支架治疗基底动脉尖不规则宽颈动脉瘤

新闻资讯2026-04-23 20:58:14

什么达医畅疗·第五期 | 畅医达17小系统动脉瘤辅助支架治疗基底动脉尖不规则宽颈动脉瘤_https://www.jmylbn.com_新闻资讯_第1张


本期介绍

对于基底动脉尖不规则宽颈动脉瘤,使用编织支架辅助弹簧圈栓塞是首选治疗方式,编织支架能增加瘤颈处金属覆盖率,且具有部分血流导向作用,有助于动脉瘤远期愈合。畅医达(TaminoVIA)颅内动脉瘤辅助栓塞支架作为国产首款3mm以下可经其17支架微导管释放的编织支架,能否给临床术者带来更多的选择,更安全有效地治疗颅内远端血管动脉瘤

本期分享中国科学技术大学附属第一医院高歌教授团队使用畅医达经17支架微导管释放的颅内动脉瘤辅助栓塞支架治疗基底动尖不规则宽颈动脉瘤案例。




什么达医畅疗·第五期 | 畅医达17小系统动脉瘤辅助支架治疗基底动脉尖不规则宽颈动脉瘤_https://www.jmylbn.com_新闻资讯_第2张

患者基本信息


什么达医畅疗·第五期 | 畅医达17小系统动脉瘤辅助支架治疗基底动脉尖不规则宽颈动脉瘤_https://www.jmylbn.com_新闻资讯_第2张

患者信息:女性,76岁,检查发现颅内动脉瘤1月余。

现病史:患者一月前因头晕去医院检查时行头颅CTA检查发现基底动脉顶端动脉瘤,无四肢麻木乏力,无明显头痛等其他不适主诉,为进一步治疗,来我院。发病以来,饮食睡眠及大小便正常,体重无明显增减。

既往史:高血压病史20余年,目前口服“厄贝沙坦氢氯噻嗪片”治疗,血压控制尚可;既往脑梗病史5年余;无肝炎、结核病史,无食物、药物过敏史。

专科查体:神志清楚,言语流利,双侧瞳孔等大等圆,直径3mm,对光反射灵敏,四肢肌力肌张力正常,双侧病理征阴性。

检查:心电图,胸部CT等相关术前检查未见明显异常。






什么达医畅疗·第五期 | 畅医达17小系统动脉瘤辅助支架治疗基底动脉尖不规则宽颈动脉瘤_https://www.jmylbn.com_新闻资讯_第4张






什么达医畅疗·第五期 | 畅医达17小系统动脉瘤辅助支架治疗基底动脉尖不规则宽颈动脉瘤_https://www.jmylbn.com_新闻资讯_第2张

术前诊断


什么达医畅疗·第五期 | 畅医达17小系统动脉瘤辅助支架治疗基底动脉尖不规则宽颈动脉瘤_https://www.jmylbn.com_新闻资讯_第6张

  • 基底动脉顶端动脉瘤

  • 高血压病3级(高危)

  • 陈旧性脑梗死

    什么达医畅疗·第五期 | 畅医达17小系统动脉瘤辅助支架治疗基底动脉尖不规则宽颈动脉瘤_https://www.jmylbn.com_新闻资讯_第7张


脑血管造影



什么达医畅疗·第五期 | 畅医达17小系统动脉瘤辅助支架治疗基底动脉尖不规则宽颈动脉瘤_https://www.jmylbn.com_新闻资讯_第8张
什么达医畅疗·第五期 | 畅医达17小系统动脉瘤辅助支架治疗基底动脉尖不规则宽颈动脉瘤_https://www.jmylbn.com_新闻资讯_第9张
基底动脉顶端动脉瘤,呈分叶状,瘤体5.6mm×3.6mm,瘤颈4.6mm



什么达医畅疗·第五期 | 畅医达17小系统动脉瘤辅助支架治疗基底动脉尖不规则宽颈动脉瘤_https://www.jmylbn.com_新闻资讯_第6张

术前讨论及手术策略


什么达医畅疗·第五期 | 畅医达17小系统动脉瘤辅助支架治疗基底动脉尖不规则宽颈动脉瘤_https://www.jmylbn.com_新闻资讯_第6张

手术指征


①基底动脉顶端动脉瘤,瘤体呈分叶状,形态不规则,宽颈,累及双侧大脑后动脉起始处,破裂风险高;
②合并高血压等危险因素;
③患者及家属治疗意愿强烈;动脉瘤手术指征明确。
什么达医畅疗·第五期 | 畅医达17小系统动脉瘤辅助支架治疗基底动脉尖不规则宽颈动脉瘤_https://www.jmylbn.com_新闻资讯_第12张

手术策略


  • 支架辅助栓塞:首选治疗方式,系宽颈分叶状囊性动脉瘤,瘤颈宽,编织支架可增加瘤颈处的金属覆盖率,并有部分血流导向作用,有助于动脉瘤远期愈合。激光雕刻支架亦可用于此处动脉瘤栓塞,但由于瘤颈处金属覆盖率低,需结合弹簧圈严密栓塞动脉瘤以促进愈合,但瘤体形态不规则,严密填塞弹簧圈时有破裂出血风险,同时因瘤体呈分叶状,单导管栓塞瘤体时难以将全部瘤体致密栓塞,因此首选编织支架辅助弹簧圈栓塞
  • 血流导向装置治疗术:具有较高的金属覆盖率,动脉瘤远期愈合率高,但容易发生缺血事件,尤其在穿支众多的基底动脉中应用,属于超适应症,对抗凝要求较高,不作为首选治疗方案。
  • 开颅夹闭:患者高龄,基础疾病多,开颅创伤大,风险高,不作为首选治疗方案。
  • 与家属沟通后同意行支架辅助动脉瘤栓塞,入组畅医达(TaminoVIA)颅内动脉瘤辅助栓塞支架治疗颅内动脉瘤的临床研究。





术前药物准备


什么达医畅疗·第五期 | 畅医达17小系统动脉瘤辅助支架治疗基底动脉尖不规则宽颈动脉瘤_https://www.jmylbn.com_新闻资讯_第13张

根据基因监测结果,术前个性化服用拜阿司匹林肠溶片100mg,po. qd. 替格瑞洛片 60mg,po. bid;服药5天。

什么达医畅疗·第五期 | 畅医达17小系统动脉瘤辅助支架治疗基底动脉尖不规则宽颈动脉瘤_https://www.jmylbn.com_新闻资讯_第14张


器械准备


  • 通路建立:NeuroMAX 80cm 长鞘;6F 中间导管 Navien 105cm

  • 编织支架选择:畅医达(TaminoVIA)颅内动脉瘤辅助栓塞支架,3.0×15mm;畅医达(Accessway)17支架微导管

  • 弹簧圈:stryker ;EV3

  • 微导丝:synchro 2       

  • 弹簧圈微导管:Echelon 10  

什么达医畅疗·第五期 | 畅医达17小系统动脉瘤辅助支架治疗基底动脉尖不规则宽颈动脉瘤_https://www.jmylbn.com_新闻资讯_第15张



什么达医畅疗·第五期 | 畅医达17小系统动脉瘤辅助支架治疗基底动脉尖不规则宽颈动脉瘤_https://www.jmylbn.com_新闻资讯_第6张

手术过程


什么达医畅疗·第五期 | 畅医达17小系统动脉瘤辅助支架治疗基底动脉尖不规则宽颈动脉瘤_https://www.jmylbn.com_新闻资讯_第6张


什么达医畅疗·第五期 | 畅医达17小系统动脉瘤辅助支架治疗基底动脉尖不规则宽颈动脉瘤_https://www.jmylbn.com_新闻资讯_第18张
什么达医畅疗·第五期 | 畅医达17小系统动脉瘤辅助支架治疗基底动脉尖不规则宽颈动脉瘤_https://www.jmylbn.com_新闻资讯_第19张

什么达医畅疗·第五期 | 畅医达17小系统动脉瘤辅助支架治疗基底动脉尖不规则宽颈动脉瘤_https://www.jmylbn.com_新闻资讯_第20张

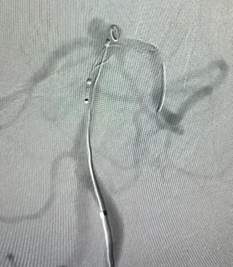
先将支架导管置入左侧大脑后动脉P2段,然后将直头微导管置入瘤体内,推出部分弹簧圈保护后半释放畅医达(TaminoVIA)颅内动脉瘤辅助栓塞支架 



什么达医畅疗·第五期 | 畅医达17小系统动脉瘤辅助支架治疗基底动脉尖不规则宽颈动脉瘤_https://www.jmylbn.com_新闻资讯_第21张
什么达医畅疗·第五期 | 畅医达17小系统动脉瘤辅助支架治疗基底动脉尖不规则宽颈动脉瘤_https://www.jmylbn.com_新闻资讯_第22张

畅医达(TaminoVIA)颅内动脉瘤辅助栓塞支架 保护下,填充弹簧圈



什么达医畅疗·第五期 | 畅医达17小系统动脉瘤辅助支架治疗基底动脉尖不规则宽颈动脉瘤_https://www.jmylbn.com_新闻资讯_第23张
什么达医畅疗·第五期 | 畅医达17小系统动脉瘤辅助支架治疗基底动脉尖不规则宽颈动脉瘤_https://www.jmylbn.com_新闻资讯_第24张

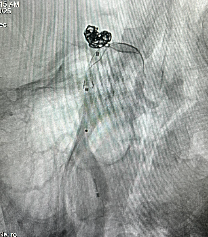
继续释放并调整 畅医达(TaminoVIA)颅内动脉瘤辅助栓塞支架 至合适位置,支架两端为闭环设计,操作过程中能减少血管壁损伤,瘤颈处部分推密增加金属覆盖率




什么达医畅疗·第五期 | 畅医达17小系统动脉瘤辅助支架治疗基底动脉尖不规则宽颈动脉瘤_https://www.jmylbn.com_新闻资讯_第25张
什么达医畅疗·第五期 | 畅医达17小系统动脉瘤辅助支架治疗基底动脉尖不规则宽颈动脉瘤_https://www.jmylbn.com_新闻资讯_第26张
畅医达(TaminoVIA)颅内动脉瘤辅助栓塞支架完全释放,打开效果好,显影清晰,瘤体部分显影


什么达医畅疗·第五期 | 畅医达17小系统动脉瘤辅助支架治疗基底动脉尖不规则宽颈动脉瘤_https://www.jmylbn.com_新闻资讯_第27张

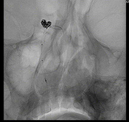
患者高龄,瘤体破裂出血风险降低,考虑编织支架修复作用,未继续填塞弹簧圈



什么达医畅疗·第五期 | 畅医达17小系统动脉瘤辅助支架治疗基底动脉尖不规则宽颈动脉瘤_https://www.jmylbn.com_新闻资讯_第28张

术后造影显示动脉瘤囊闭塞,畅医达(TaminoVIA)颅内动脉瘤辅助栓塞支架形态良好,载瘤动脉通畅



什么达医畅疗·第五期 | 畅医达17小系统动脉瘤辅助支架治疗基底动脉尖不规则宽颈动脉瘤_https://www.jmylbn.com_新闻资讯_第2张

总结


什么达医畅疗·第五期 | 畅医达17小系统动脉瘤辅助支架治疗基底动脉尖不规则宽颈动脉瘤_https://www.jmylbn.com_新闻资讯_第6张


对于颅内宽颈动脉瘤,主要通过瘤颈修复治愈动脉瘤,编织支架可增加瘤颈处金属覆盖率,相比激光雕刻支架,动脉瘤远期愈合率高,手术操作简便;


畅医达(TaminoVIA)颅内动脉瘤辅助栓塞支架具备2.0-5.5mm规格,其中3mm以下可经其Accessway17支架微导管释放,能更好为血管较细的颅内远端血管动脉瘤提供辅助治疗;


畅医达(TaminoVIA)颅内动脉瘤辅助栓塞支架两端为闭环设计,能减少血管壁损伤、同时增强支架整体径向支撑力;且支架系统通过性好,输送难度低,打开效果好显影清晰,释放操作简单。‍




什么达医畅疗·第五期 | 畅医达17小系统动脉瘤辅助支架治疗基底动脉尖不规则宽颈动脉瘤_https://www.jmylbn.com_新闻资讯_第31张

畅医达(TaminoVIA)颅内动脉瘤辅助栓塞支架已通过创新医疗器械特别审查

什么达医畅疗·第五期 | 畅医达17小系统动脉瘤辅助支架治疗基底动脉尖不规则宽颈动脉瘤_https://www.jmylbn.com_新闻资讯_第32张

什么达医畅疗·第五期 | 畅医达17小系统动脉瘤辅助支架治疗基底动脉尖不规则宽颈动脉瘤_https://www.jmylbn.com_新闻资讯_第33张

什么达医畅疗·第五期 | 畅医达17小系统动脉瘤辅助支架治疗基底动脉尖不规则宽颈动脉瘤_https://www.jmylbn.com_新闻资讯_第2张

术者简介


什么达医畅疗·第五期 | 畅医达17小系统动脉瘤辅助支架治疗基底动脉尖不规则宽颈动脉瘤_https://www.jmylbn.com_新闻资讯_第6张

高歌教授团队


什么达医畅疗·第五期 | 畅医达17小系统动脉瘤辅助支架治疗基底动脉尖不规则宽颈动脉瘤_https://www.jmylbn.com_新闻资讯_第36张高歌

医学博士,主任医师,硕士研究生导师,中国科学技术大学附属第一医院(安徽省立医院)神经外科脑血管病亚专科主任。专业特长为脑血管病的介入手术和显微外科治疗,熟练开展多种复杂脑脊髓血管病的外科治疗工作,是同时掌握脑血管病显微外科手术和介入手术的复合型人才,手术并发症低,治愈率高。

中国医师协会介入医师分会青年委员

安徽省第一届“青年江淮名医”

中国医师协会欧美同学会脑血管病分会常务委员

安徽省医学会神经外科分会脑血管病外科学组副组长

安徽省医师协会神经介入分会常务委员

海医会神经外科分会脑血管病学组委员

中国老年医学会神经医学分会委员

美国凤凰城Barrow 神经研究所访问学者

什么达医畅疗·第五期 | 畅医达17小系统动脉瘤辅助支架治疗基底动脉尖不规则宽颈动脉瘤_https://www.jmylbn.com_新闻资讯_第37张朱浩

在读博士,硕士毕业于浙江大学,2014年在复旦大学附属华山医院培训两年,目前为中国科大附属第一医院神经外科脑血管病亚专科主治医师,科室技术骨干,专业擅长脑血管疾病的显微外科及介入治疗,在全省血管技能比赛中获得一等奖,发表过多篇论文‍

什么达医畅疗·第五期 | 畅医达17小系统动脉瘤辅助支架治疗基底动脉尖不规则宽颈动脉瘤_https://www.jmylbn.com_新闻资讯_第38张

江苏畅医达医疗科技有限公司

江苏畅医达医疗科技有限公司涉及神经介入、神经调控两大治疗方向,覆盖出血性脑卒中、缺血性脑卒中,外周神经刺激、深部脑神经刺激、皮层感知深脑刺激等多个疾病领域,是国内唯一在神经科学赛道全线规划布局的公司。

神经介入领域,畅医达医疗具备行业唯一的手工编织和高端机械编织双重能力。先后启动了血流导向装置和编织辅助支架的临床研究,即将启动缺血性脑卒中临床试验,和第三个出血性脑卒中重量级临床研究-瘤内扰流器械临床试验。

神经调控领域,国内首款经皮外周神经刺激系统(PNS)将为中国千万疼痛病患提供新的安全有效的疗法。畅医达医疗不仅具备国际前沿的无线DBS研发技术,同时在神经调控智能双向交互领域、脑-机接口技术等方面有着显著的研究成果,代表着中国的神经调控技术将进入全新的提速时代。





什么达医畅疗·第五期 | 畅医达17小系统动脉瘤辅助支架治疗基底动脉尖不规则宽颈动脉瘤_https://www.jmylbn.com_新闻资讯_第39张

扫码关注神经介入在线

 神经介入在线投稿:

     sjjrzx@hh-medic.com      




什么达医畅疗·第五期 | 畅医达17小系统动脉瘤辅助支架治疗基底动脉尖不规则宽颈动脉瘤_https://www.jmylbn.com_新闻资讯_第40张

进入和缓学术” 全方位学习神经介入课程