什么达医畅疗·第二期 | 畅医达(Choydar)17小系统血流导向装置经桡治疗大脑中动脉动脉瘤

新闻资讯2026-04-23 20:58:11
\
 

本期介绍

什么达医畅疗·第二期 | 畅医达(Choydar)17小系统血流导向装置经桡治疗大脑中动脉动脉瘤_https://www.jmylbn.com_新闻资讯_第1张
血流导向装置目前多以27/29微导管输送为主,畅医达17微导管输送的血流导向装置能否给小血管动脉瘤的治疗带来更多便利与革新
本期分享郑州大学第一附属医院管生教授团队使用畅医达17微导管输送血流导向装置(FD)经桡入路治疗大脑中动脉动脉瘤案例‍。




患者病史信息

患者信息:女性,50岁,言语笨拙1个月。

现病史:患者一个月前无明显诱因出现吐字不清,找词困难,无肢体无力,无头痛、恶心、呕吐,无意识丧失,无四肢抽搐,无饮水呛咳,无大小便失禁,至林州市中医院就诊,行MRI及CTA检查提示脑梗死,脑动脉瘤,给予阿司匹林、瑞舒伐他汀、控制血压等药物治疗,症状逐渐缓解,未再发作。今为求脑动脉瘤手术治疗转至我院,门诊以“脑动脉瘤”收入我科。发病以来,精神状态较好,食欲正常,睡眠正常,大小便正常,体重无减轻。
既往史:高血压病史30余年,目前口服“厄贝沙坦、氨氯地平片”治疗,血压控制尚可;否认“糖尿病、心脏病” 病史,无肝炎、结核病史,无食物、药物过敏史。

专科查体:神志清楚,言语流利,双侧瞳孔等大等圆,直径3mm,对光反射灵敏,四肢肌力肌张力正常,双侧病理征阴性。


什么达医畅疗·第二期 | 畅医达(Choydar)17小系统血流导向装置经桡治疗大脑中动脉动脉瘤_https://www.jmylbn.com_新闻资讯_第2张


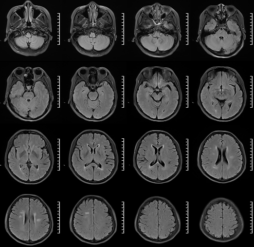
术前影像

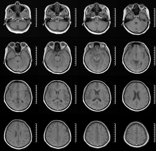
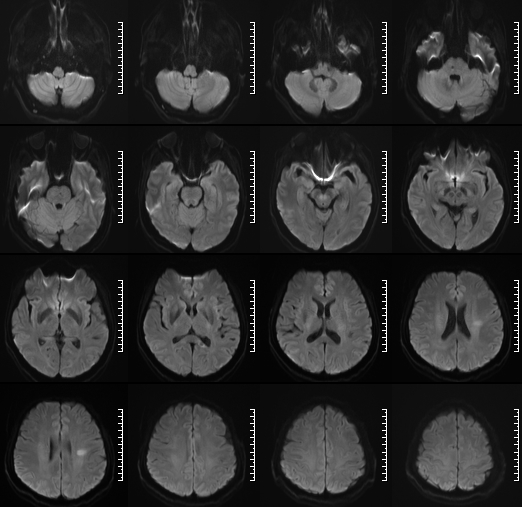
HRMRI


什么达医畅疗·第二期 | 畅医达(Choydar)17小系统血流导向装置经桡治疗大脑中动脉动脉瘤_https://www.jmylbn.com_新闻资讯_第3张
什么达医畅疗·第二期 | 畅医达(Choydar)17小系统血流导向装置经桡治疗大脑中动脉动脉瘤_https://www.jmylbn.com_新闻资讯_第4张
什么达医畅疗·第二期 | 畅医达(Choydar)17小系统血流导向装置经桡治疗大脑中动脉动脉瘤_https://www.jmylbn.com_新闻资讯_第5张
什么达医畅疗·第二期 | 畅医达(Choydar)17小系统血流导向装置经桡治疗大脑中动脉动脉瘤_https://www.jmylbn.com_新闻资讯_第6张

左侧脑室旁亚急性期-慢性期脑梗死

什么达医畅疗·第二期 | 畅医达(Choydar)17小系统血流导向装置经桡治疗大脑中动脉动脉瘤_https://www.jmylbn.com_新闻资讯_第7张
什么达医畅疗·第二期 | 畅医达(Choydar)17小系统血流导向装置经桡治疗大脑中动脉动脉瘤_https://www.jmylbn.com_新闻资讯_第8张
什么达医畅疗·第二期 | 畅医达(Choydar)17小系统血流导向装置经桡治疗大脑中动脉动脉瘤_https://www.jmylbn.com_新闻资讯_第9张

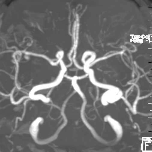
右侧大脑中动脉瘤,右侧椎动脉V2-V3粗细不均伴局部扩张

什么达医畅疗·第二期 | 畅医达(Choydar)17小系统血流导向装置经桡治疗大脑中动脉动脉瘤_https://www.jmylbn.com_新闻资讯_第10张
什么达医畅疗·第二期 | 畅医达(Choydar)17小系统血流导向装置经桡治疗大脑中动脉动脉瘤_https://www.jmylbn.com_新闻资讯_第11张
什么达医畅疗·第二期 | 畅医达(Choydar)17小系统血流导向装置经桡治疗大脑中动脉动脉瘤_https://www.jmylbn.com_新闻资讯_第12张

右侧大脑中动脉瘤,瘤壁强化

什么达医畅疗·第二期 | 畅医达(Choydar)17小系统血流导向装置经桡治疗大脑中动脉动脉瘤_https://www.jmylbn.com_新闻资讯_第13张
什么达医畅疗·第二期 | 畅医达(Choydar)17小系统血流导向装置经桡治疗大脑中动脉动脉瘤_https://www.jmylbn.com_新闻资讯_第14张

右侧椎动脉局部梭形扩张,管壁增厚







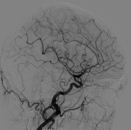
脑血管造影


什么达医畅疗·第二期 | 畅医达(Choydar)17小系统血流导向装置经桡治疗大脑中动脉动脉瘤_https://www.jmylbn.com_新闻资讯_第15张
什么达医畅疗·第二期 | 畅医达(Choydar)17小系统血流导向装置经桡治疗大脑中动脉动脉瘤_https://www.jmylbn.com_新闻资讯_第16张

左侧椎动脉造影

什么达医畅疗·第二期 | 畅医达(Choydar)17小系统血流导向装置经桡治疗大脑中动脉动脉瘤_https://www.jmylbn.com_新闻资讯_第17张



什么达医畅疗·第二期 | 畅医达(Choydar)17小系统血流导向装置经桡治疗大脑中动脉动脉瘤_https://www.jmylbn.com_新闻资讯_第18张
什么达医畅疗·第二期 | 畅医达(Choydar)17小系统血流导向装置经桡治疗大脑中动脉动脉瘤_https://www.jmylbn.com_新闻资讯_第19张

左侧颈总造影



什么达医畅疗·第二期 | 畅医达(Choydar)17小系统血流导向装置经桡治疗大脑中动脉动脉瘤_https://www.jmylbn.com_新闻资讯_第20张
什么达医畅疗·第二期 | 畅医达(Choydar)17小系统血流导向装置经桡治疗大脑中动脉动脉瘤_https://www.jmylbn.com_新闻资讯_第21张
什么达医畅疗·第二期 | 畅医达(Choydar)17小系统血流导向装置经桡治疗大脑中动脉动脉瘤_https://www.jmylbn.com_新闻资讯_第22张

什么达医畅疗·第二期 | 畅医达(Choydar)17小系统血流导向装置经桡治疗大脑中动脉动脉瘤_https://www.jmylbn.com_新闻资讯_第23张

右侧颈总造影:右侧大脑中动脉瘤

什么达医畅疗·第二期 | 畅医达(Choydar)17小系统血流导向装置经桡治疗大脑中动脉动脉瘤_https://www.jmylbn.com_新闻资讯_第20张
什么达医畅疗·第二期 | 畅医达(Choydar)17小系统血流导向装置经桡治疗大脑中动脉动脉瘤_https://www.jmylbn.com_新闻资讯_第25张
什么达医畅疗·第二期 | 畅医达(Choydar)17小系统血流导向装置经桡治疗大脑中动脉动脉瘤_https://www.jmylbn.com_新闻资讯_第26张

右侧大脑中动脉瘤,瘤颈处发出颞支,颈宽3.79mm,瘤高3.51mm,远近端载瘤动脉直径分别为2.43mm、2.52mm。

什么达医畅疗·第二期 | 畅医达(Choydar)17小系统血流导向装置经桡治疗大脑中动脉动脉瘤_https://www.jmylbn.com_新闻资讯_第27张
什么达医畅疗·第二期 | 畅医达(Choydar)17小系统血流导向装置经桡治疗大脑中动脉动脉瘤_https://www.jmylbn.com_新闻资讯_第28张
什么达医畅疗·第二期 | 畅医达(Choydar)17小系统血流导向装置经桡治疗大脑中动脉动脉瘤_https://www.jmylbn.com_新闻资讯_第29张
什么达医畅疗·第二期 | 畅医达(Choydar)17小系统血流导向装置经桡治疗大脑中动脉动脉瘤_https://www.jmylbn.com_新闻资讯_第30张
什么达医畅疗·第二期 | 畅医达(Choydar)17小系统血流导向装置经桡治疗大脑中动脉动脉瘤_https://www.jmylbn.com_新闻资讯_第31张

右侧椎动脉硬膜外V2、V3段梭形扩张,前向血流通畅。

什么达医畅疗·第二期 | 畅医达(Choydar)17小系统血流导向装置经桡治疗大脑中动脉动脉瘤_https://www.jmylbn.com_新闻资讯_第2张


术前诊断

1、右侧大脑中动脉动脉瘤 

2、右侧椎动脉梭形扩张  

3、高血压病3级(很高危)

4、亚急性期脑梗死


什么达医畅疗·第二期 | 畅医达(Choydar)17小系统血流导向装置经桡治疗大脑中动脉动脉瘤_https://www.jmylbn.com_新闻资讯_第2张

术前讨论及手术策略

手术指征:


①右侧大脑中动脉动脉瘤,常见破裂动脉瘤位置;HRMRI示动脉瘤壁强化,提示不稳定动脉瘤;合并高血压,脑梗死,长期应用抗血小板药物等危险因素;患者及家属焦虑,治疗意愿强烈;右侧大脑中动脉瘤手术适应症明确。

②患者合并右侧椎动脉颅外段梭形扩张,形态规则,前向血流稳定,定期影像随访。

手术策略:


  • 临时辅助或双微导管单纯填塞:虽宽颈,有一定瘤深,微导丝辅助或双微导管填塞有可能弹簧圈单纯填塞,缺点:过度填塞可能导致颞支闭塞,疏松填塞远期复发率高。

  • 支架辅助栓塞:可在大脑中主干释放编织支架“Barrel”或激光雕刻支架“穹窿技术”一定程度上“缩窄”瘤颈,辅助弹簧圈填塞,仍存在影响颞支血流的可能,或无法致密填塞动脉瘤,远期复发。

  • 血流导向装置治疗术:在右侧大脑中动脉主干植入血流导向装置,简化手术操作,安全性高,减缓瘤囊内血流冲击,支架提供内皮爬行的脚手架,远期可能导致颞支缓慢的闭塞,以时间换空间,动脉瘤远期愈合率高。

  • 与家属沟通后家属要求行血流导向治疗术,入组畅医达(Choydar)血流导向装置治疗颅内动脉瘤的临床研究。

什么达医畅疗·第二期 | 畅医达(Choydar)17小系统血流导向装置经桡治疗大脑中动脉动脉瘤_https://www.jmylbn.com_新闻资讯_第34张

前药物准备


什么达医畅疗·第二期 | 畅医达(Choydar)17小系统血流导向装置经桡治疗大脑中动脉动脉瘤_https://www.jmylbn.com_新闻资讯_第35张


术前拜阿司匹林肠溶片100mg,po. qd. 硫酸氢氯吡格雷片75mg,po. qd.服药5天,TEG血小板图提示AA抑制率87.90%,ADP抑制率50.90%,MA(ADP)35.6mm,提示双抗药物达标。

器械准备


  • 右侧桡动脉入路

  • 6F 泰尔茂薄壁鞘

  • 5F Catlyst中间导管,rebar27导管,畅医达(Accessway)0.017支架微导管

  • V18支撑导丝,0.014inch 200cm微导丝

  • 畅医达(Choydar)血流导向装置3.0mm*15mm

  • Y阀,三通

什么达医畅疗·第二期 | 畅医达(Choydar)17小系统血流导向装置经桡治疗大脑中动脉动脉瘤_https://www.jmylbn.com_新闻资讯_第2张

手术过程

什么达医畅疗·第二期 | 畅医达(Choydar)17小系统血流导向装置经桡治疗大脑中动脉动脉瘤_https://www.jmylbn.com_新闻资讯_第37张
什么达医畅疗·第二期 | 畅医达(Choydar)17小系统血流导向装置经桡治疗大脑中动脉动脉瘤_https://www.jmylbn.com_新闻资讯_第38张
什么达医畅疗·第二期 | 畅医达(Choydar)17小系统血流导向装置经桡治疗大脑中动脉动脉瘤_https://www.jmylbn.com_新闻资讯_第39张
什么达医畅疗·第二期 | 畅医达(Choydar)17小系统血流导向装置经桡治疗大脑中动脉动脉瘤_https://www.jmylbn.com_新闻资讯_第40张

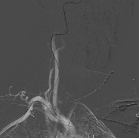
右侧桡动脉穿刺置入6F 泰尔茂薄壁鞘,Cat5中间导管同轴rebar27导管头端塑形在0.014微导丝引导下引至右侧颈内动脉海绵窦段,Cat5中间导管引入V18导丝加强系统支撑。

什么达医畅疗·第二期 | 畅医达(Choydar)17小系统血流导向装置经桡治疗大脑中动脉动脉瘤_https://www.jmylbn.com_新闻资讯_第17张
什么达医畅疗·第二期 | 畅医达(Choydar)17小系统血流导向装置经桡治疗大脑中动脉动脉瘤_https://www.jmylbn.com_新闻资讯_第42张
什么达医畅疗·第二期 | 畅医达(Choydar)17小系统血流导向装置经桡治疗大脑中动脉动脉瘤_https://www.jmylbn.com_新闻资讯_第43张

什么达医畅疗·第二期 | 畅医达(Choydar)17小系统血流导向装置经桡治疗大脑中动脉动脉瘤_https://www.jmylbn.com_新闻资讯_第44张


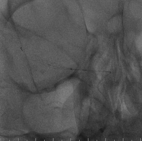
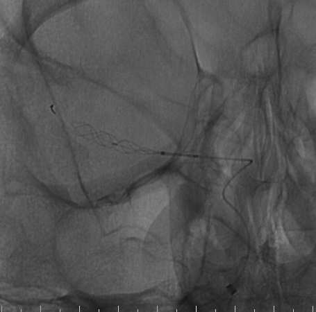
畅医达(Accessway)0.017支架微导管在0.014微导丝引导下顺利到达右侧大脑中动脉M2远端,经支架微导管引入畅医达(Choydar)血流导向装置,3mm*15mm,推送平顺,然后跨瘤颈缓慢释放支架,支架头端打开良好。

什么达医畅疗·第二期 | 畅医达(Choydar)17小系统血流导向装置经桡治疗大脑中动脉动脉瘤_https://www.jmylbn.com_新闻资讯_第45张
什么达医畅疗·第二期 | 畅医达(Choydar)17小系统血流导向装置经桡治疗大脑中动脉动脉瘤_https://www.jmylbn.com_新闻资讯_第46张
什么达医畅疗·第二期 | 畅医达(Choydar)17小系统血流导向装置经桡治疗大脑中动脉动脉瘤_https://www.jmylbn.com_新闻资讯_第47张

什么达医畅疗·第二期 | 畅医达(Choydar)17小系统血流导向装置经桡治疗大脑中动脉动脉瘤_https://www.jmylbn.com_新闻资讯_第48张

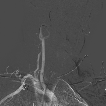
支架部分释放后复查造影示支架位置良好,缓慢完全释放支架,支架打开良好,复查造影示支架位置良好,完全覆盖瘤颈,贴壁佳,瘤囊内可见造影剂滞留明显,OKM分级A3。




什么达医畅疗·第二期 | 畅医达(Choydar)17小系统血流导向装置经桡治疗大脑中动脉动脉瘤_https://www.jmylbn.com_新闻资讯_第49张
什么达医畅疗·第二期 | 畅医达(Choydar)17小系统血流导向装置经桡治疗大脑中动脉动脉瘤_https://www.jmylbn.com_新闻资讯_第50张
什么达医畅疗·第二期 | 畅医达(Choydar)17小系统血流导向装置经桡治疗大脑中动脉动脉瘤_https://www.jmylbn.com_新闻资讯_第51张
什么达医畅疗·第二期 | 畅医达(Choydar)17小系统血流导向装置经桡治疗大脑中动脉动脉瘤_https://www.jmylbn.com_新闻资讯_第52张

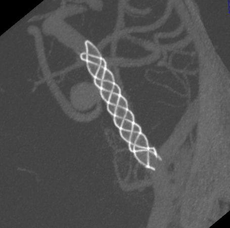
Vaso CT显示 畅医达(Choydar)血流导向装置 位置良好,完全覆盖瘤颈,长轴及横轴薄层均显示支架贴壁良好。

什么达医畅疗·第二期 | 畅医达(Choydar)17小系统血流导向装置经桡治疗大脑中动脉动脉瘤_https://www.jmylbn.com_新闻资讯_第53张
什么达医畅疗·第二期 | 畅医达(Choydar)17小系统血流导向装置经桡治疗大脑中动脉动脉瘤_https://www.jmylbn.com_新闻资讯_第54张
什么达医畅疗·第二期 | 畅医达(Choydar)17小系统血流导向装置经桡治疗大脑中动脉动脉瘤_https://www.jmylbn.com_新闻资讯_第55张

什么达医畅疗·第二期 | 畅医达(Choydar)17小系统血流导向装置经桡治疗大脑中动脉动脉瘤_https://www.jmylbn.com_新闻资讯_第56张

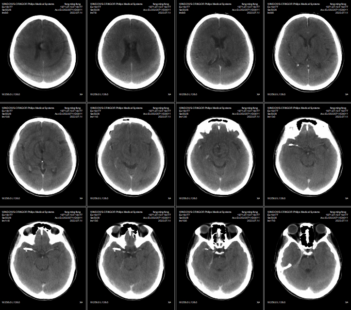
术后即刻正侧位造影显示载瘤动脉及远端分支显影无异常,瘤囊内可见明显造影剂滞留;Xper-CT未见出血。

什么达医畅疗·第二期 | 畅医达(Choydar)17小系统血流导向装置经桡治疗大脑中动脉动脉瘤_https://www.jmylbn.com_新闻资讯_第2张


总结

对于此类大脑中动脉分枝小动脉瘤的血流导向治疗,操作简单,安全性高,远期愈合率高。所覆盖分支远期大多数会闭塞,但常可经软膜枝建立代偿,多为无症状闭塞,并在在一定程度上促进动脉瘤的愈合和长期稳定。
畅医达(Choydar)3mm以下血流导向装置可经其小外径0.017微导管输送系统释放,通过性好,支架推送及释放过程平顺,径向支撑力高,支架打开贴壁良好对于Willis环以远的远端动脉瘤治疗到位率及成功率高,头端封闭结构减少对血管壁的损伤,安全性好。
畅医达(Accessway)0.017支架微导管外径小,对于通路内腔要求小,通过性好,支架释放过程张力小,不需要三轴系统的高强度支撑,适合于桡动脉入路神经介入的开展,患者舒适性更好。
什么达医畅疗·第二期 | 畅医达(Choydar)17小系统血流导向装置经桡治疗大脑中动脉动脉瘤_https://www.jmylbn.com_新闻资讯_第2张


术者简介

管生教授团队


什么达医畅疗·第二期 | 畅医达(Choydar)17小系统血流导向装置经桡治疗大脑中动脉动脉瘤_https://www.jmylbn.com_新闻资讯_第59张

管生     郑州大学第一附属医院

  • 医学博士,主任医师,教授,硕士生导师。

  • 郑州大学第一附属医院神经介入科主任。

  • 现任国家卫健委神经疾病质控神经介入专家委员会委员,中国医师协会神经介入分会、介入分会委员,中国卒中学会神经介入分会常委,中华医学会放射学分会介入学组神经介入专业委员会主任委员,河南省卒中学会副主任委员、河南省卒中学会神经介入分会主任委员,河南省介入治疗专业委员会主任委员、河南省放射学会常务委员等学术兼职。

  • 发表论文174篇,其中SCI收录29篇。获省级科技进步奖2项。担任中华放射学杂志、介入放射学杂志编委,中华介入放射学杂志电子版、中华脑血管病杂志电子版、JVIR、CVIR、ER等国际知名专业杂志 Reviewer。

什么达医畅疗·第二期 | 畅医达(Choydar)17小系统血流导向装置经桡治疗大脑中动脉动脉瘤_https://www.jmylbn.com_新闻资讯_第60张

袁永杰     郑州大学第一附属医院

  • 郑州大学第一附属医院神经介入科副主任医师,神经外科学博士。

  • 河南省卒中学会神经介入分会委员,河南省医学会介入治疗学会神经学组委员,河南省医师协会神经介入委员会取栓学组委员,中国研究型医院学会介入神经病学专委会经桡动脉入路神经介入协作组副组长。

  • 2016年毕业于吉林大学白求恩医学部,同年加入郑大一附院管生教授团队,主要方向为脑血管疾病的外科及介入治疗,擅长经桡动脉入路脑动脉瘤,蛛网膜下腔出血,脑血管狭窄,脑血管畸形,静脉窦血栓,特发性颅高压等脑血管疾病的诊治及介入治疗。

什么达医畅疗·第二期 | 畅医达(Choydar)17小系统血流导向装置经桡治疗大脑中动脉动脉瘤_https://www.jmylbn.com_新闻资讯_第61张

付晓杰     郑州大学第一附属医院

  • 医学博士,主治医师。

  • 擅长脑梗死、脑血管狭窄或闭塞、脑静脉窦血栓、脑动脉瘤、脑动静脉畸形等脑血管疾病的介入微创治疗。

  • 主持河南省医学科技攻关计划联合共建项目、参与多项省级科研项目,获得河南省“医学科学技术进步一等奖”、“科学技术进步二等奖”、“医院先进个人”等荣誉称号。


关于畅医达






  • 江苏畅医达医疗科技有限公司涉及神经介入、神经调控两大治疗方向,覆盖出血性脑卒中、缺血性脑卒中,外周神经刺激、深部脑神经刺激、皮层感知深脑刺激等多个疾病领域,是国内唯一在神经科学赛道全线规划布局的公司。

  • 在神经介入领域,畅医达医疗具备行业唯一的手工编织和高端机械编织双重能力。先后启动了血流导向装置和编织辅助支架的临床研究,即将启动缺血性脑卒中临床试验,和第三个出血性脑卒中重量级临床研究-瘤内扰流器械临床试验。

  • 在神经调控领域,国内首款经皮外周神经刺激系统(PNS)将为中国千万疼痛病患提供新的安全有效的疗法。畅医达医疗不仅具备国际前沿的无线DBS研发技术,同时在神经调控智能双向交互领域、脑-机接口技术等方面有着显著的研究成果,代表着中国的神经调控技术将进入全新的提速时代。

什么达医畅疗·第二期 | 畅医达(Choydar)17小系统血流导向装置经桡治疗大脑中动脉动脉瘤_https://www.jmylbn.com_新闻资讯_第62张
什么达医畅疗·第二期 | 畅医达(Choydar)17小系统血流导向装置经桡治疗大脑中动脉动脉瘤_https://www.jmylbn.com_新闻资讯_第63张
什么达医畅疗·第二期 | 畅医达(Choydar)17小系统血流导向装置经桡治疗大脑中动脉动脉瘤_https://www.jmylbn.com_新闻资讯_第64张

扫二维码|关注我们

商务邮箱|CEDHealthcare@neulive.cn

商务电话|0513-84283669

什么达医畅疗·第二期 | 畅医达(Choydar)17小系统血流导向装置经桡治疗大脑中动脉动脉瘤_https://www.jmylbn.com_新闻资讯_第65张

什么达医畅疗·第二期 | 畅医达(Choydar)17小系统血流导向装置经桡治疗大脑中动脉动脉瘤_https://www.jmylbn.com_新闻资讯_第66张

什么达医畅疗·第二期 | 畅医达(Choydar)17小系统血流导向装置经桡治疗大脑中动脉动脉瘤_https://www.jmylbn.com_新闻资讯_第67张

声明:脑医汇旗下神外资讯、神介资讯、脑医咨询所发表内容之知识产权为脑医汇及主办方、原作者等相关权利人所有。未经许可,禁止进行转载、摘编、复制、裁切、录制等。经许可授权使用,亦须注明来源。欢迎转发、分享。
投稿/会议发布,请联系400-888-2526转3
什么达医畅疗·第二期 | 畅医达(Choydar)17小系统血流导向装置经桡治疗大脑中动脉动脉瘤_https://www.jmylbn.com_新闻资讯_第68张

脑医汇App(原神介资讯App短视频”功能全新上线,碎片化时间学习内容,长按识别二维码或点击“阅读原文抢先体验!

什么达医畅疗·第二期 | 畅医达(Choydar)17小系统血流导向装置经桡治疗大脑中动脉动脉瘤_https://www.jmylbn.com_新闻资讯_第69张

点分享

什么达医畅疗·第二期 | 畅医达(Choydar)17小系统血流导向装置经桡治疗大脑中动脉动脉瘤_https://www.jmylbn.com_新闻资讯_第70张

点点赞

什么达医畅疗·第二期 | 畅医达(Choydar)17小系统血流导向装置经桡治疗大脑中动脉动脉瘤_https://www.jmylbn.com_新闻资讯_第71张

点在看