fh染色是什么意思【临床研究】遗传性平滑肌瘤病和肾细胞癌综合征相关性肾癌的临床特征分析:一项全国多中心回顾性研究

新闻资讯2026-04-23 14:38:03

可通过删除减少列表项


在135编辑器中,点击列表项,在左下角的操作项中点击删除,可删除多余的列表项


通过复制、粘贴来增加列表项


点击样式,然后在左下角操作项中点复制,然后在列表最后或者中间插入的行里粘贴即在指定位置增加列表项

作息时间
早上
7:00
起床
早上
7:30
早饭
中午
12:00
午餐
晚上
19:0
fh染色是什么意思【临床研究】遗传性平滑肌瘤病和肾细胞癌综合征相关性肾癌的临床特征分析:一项全国多中心回顾性研究_https://www.jmylbn.com_新闻资讯_第1张
点击上方蓝字了解更多精彩
fh染色是什么意思【临床研究】遗传性平滑肌瘤病和肾细胞癌综合征相关性肾癌的临床特征分析:一项全国多中心回顾性研究_https://www.jmylbn.com_新闻资讯_第2张



作者

徐云泽1  孔文 曹明1  孙光曦2  赵劲歌2  刘嵩阳1  张志凌3  何立儒3  杨晓群4  张海洲5  徐烈雨6  于妍斐7  王杭8  祁洪刚9  许天源10  杨博11  袁易初12  陈东宁13  林登强14  周芳坚3  魏强 薛蔚1  马鑫15  董培3  曾浩2  张进1




作者单位

1上海交通大学医学院附属仁济医院泌尿科,上海 200125;

2四川大学华西医院泌尿外科,成都 610041;

3中山大学附属肿瘤医院泌尿外科,广州 510030;

4上海交通大学医学院附属瑞金医院病理科,上海 200025;

5无锡市惠山区第二人民医院泌尿外科,无锡 214000;

6江西省人民医院泌尿外科,南昌 330000;

7北京大学第一医院泌尿外科,北京 100034;

8复旦大学附属中山医院泌尿外科,上海 200030;

9浙江大学医学院第一附属医院泌尿外科,杭州 310003;

10同济大学附属第十人民医院泌尿外科,上海 200070;

11华中科技大学同济医学院附属同济医院器官移植科,武汉 430030;

12浙江大学医学院附属第二医院泌尿外科,杭州 310003;

13福建医科大学附属第一医院泌尿外科,福州 350000;

14复旦大学附属中山医院厦门医院泌尿外科,厦门 361009;

15解放军总医院泌尿外科,北京 100853




引用本刊

徐云泽,孔文,曹明,等.遗传性平滑肌瘤病和肾细胞癌综合征相关性肾癌的临床特征分析:一项全国多中心回顾性研究[J].中华泌尿外科杂志,2024,45(3):161-167.

DOI:10.3760/cma.j.cn112330-20230717-00006.




通信作者

张进,Email: zhangjin@renji.com


fh染色是什么意思【临床研究】遗传性平滑肌瘤病和肾细胞癌综合征相关性肾癌的临床特征分析:一项全国多中心回顾性研究_https://www.jmylbn.com_新闻资讯_第3张

  摘   要  


目的

探讨我国遗传性平滑肌瘤病和肾细胞癌综合征相关性肾癌(HLRCC-RCC)患者的临床特征以及系统治疗的有效性。


方法

回顾性分析2008年1月至2021年12月在国内15家医疗中心基因诊断明确有FH胚系突变的119例HLRCC-RCC患者的临床资料。男73例,女46例;中位年龄38(13,74)岁;中位肿瘤直径6.5(1.0,20.5)cm。Ⅰ~Ⅱ期38例(31.9%),Ⅲ~Ⅳ期81例(68.1%)。本组119例中11例同时表现为皮肤平滑肌瘤,46例女性HLRCC-RCC患者中44例有子宫肌瘤病史。总结患者的病理特点、治疗方法,以及患者预后生存情况。


结果

本研究119例中,共86例患者接受手术治疗,其中根治性肾切除术70例,肾部分切除术5例,减瘤性肾切除术11例;其余33例初诊转移患者行肾穿刺活检术。基因检测结果显示119例均存在FH基因胚系突变,其中94例FH基因点突变,18例FH基因插入/缺失突变,4例FH基因剪接突变,2例FH基因大片段缺失,1例FH基因拷贝数变异。免疫组化染色结果显示113例患者2-SC强阳性,FH阴性。本组共102例患者接受系统治疗,包括44例初诊转移患者和58例术后转移患者。其中酪氨酸激酶抑制剂(TKI)联合免疫检查点抑制剂(ICI)治疗组33例,贝伐单抗联合厄洛替尼治疗组8例,TKI单药治疗组61例。所有患者均获得随访,中位随访时间17(3,82)个月。生存分析结果显示TKI联合ICI治疗组中位PFS为18(5,38)个月,中位OS未达到;贝伐单抗联合厄洛替尼治疗组中位PFS为12(5,14)个月,中位OS为30(10,32)个月;TKI单药治疗组中位PFS为10(3,64)个月,中位OS为44(10,74)个月。TKI联合ICI治疗组的PFS(P=0.009)和OS(P=0.006)均优于贝伐单抗联合厄洛替尼治疗组;TKI联合ICI治疗组的PFS(P=0.003)和OS(P=0.028)均优于TKI单药治疗组。


结论

HLRCC-RCC罕见,具有家系遗传特性,恶性程度高,预后不佳,易出现转移。免疫组化染色2-SC强阳性及FH阴性可为临床诊断提供重要依据,基因检测显示FH基因胚系突变可明确诊断。初步研究结果证实TKI联合ICI治疗转移性HLRCC-RCC的临床效果较好,但有待大样本多中心随机对照临床研究进一步验证。


遗传性平滑肌瘤病和肾细胞癌综合征(hereditary leiomyomatosis and renal cell carcinoma,HLRCC)是延胡索酸水合酶(fumarate hydratase,FH)基因胚系突变引起的常染色体显性遗传综合征,其特征性病变表现为皮肤和/或女性子宫平滑肌瘤和肾细胞癌[1]。FH基因定位于染色体1q42.3-43,全长约22 kb,由10个外显子组成。由于HLRCC相关性肾癌(HLRCC-associated renal cell carcinoma,HLRCC-RCC)具有独特的形态学和分子遗传学特征,2016版WHO肾肿瘤分类将其作为新增的肾细胞癌亚型[2]。虽然2022版WHO肾肿瘤分类更新后将HLRCC-RCC与FH体细胞突变的肾细胞癌统称为FH缺陷型肾癌[3],但HLRCC-RCC因其遗传特征仍具有独特性。


HLRCC-RCC存在较强的侵袭性,即使肾原发病灶不是很大,也可能出现淋巴结转移或远处转移,约1/2的患者确诊时已发生远处转移[4];多数患者术后早期出现复发和/或远处转移[5]。针对转移性HLRCC-RCC的系统治疗方案目前还存在争议,临床真实世界通常依据肾透明细胞癌指南给予酪氨酸激酶抑制剂(tyrosine kinase inhibitor, TKI)单药或TKI联合免疫检查点抑制剂(immune checkpoint inhibitor,ICI)方案治疗。鉴于文献报道贝伐单抗联合厄洛替尼良好的应答效果[6],美国国立综合癌症网络(National Comprehensive Cancer Network,NCCN)指南将此方案列为推荐治疗方案[7]。贝伐单抗是一种重组人源化靶向 VEGF 的单克隆抗体,可通过阻断血管生成的信号传导途径,抑制肿瘤细胞生长、发挥抗肿瘤作用;厄洛替尼是一种高特异的表皮生长因子受体酪氨酸激酶抑制剂(epidermal growth factor receptor tyrosine kinase inhibitor,EGFR-TKI)[6]。目前,我国HLRCC-RCC相关病例报道数量较少,临床工作中对于该病的诊治存在一定困难,因此,本研究收集国内15家医疗中心2008年1月至2021年12月通过基因检测明确诊断为FH胚系突变的119例HLRCC-RCC患者的临床资料,探讨我国HLRCC-RCC患者的临床特征以及系统治疗的有效性。

fh染色是什么意思【临床研究】遗传性平滑肌瘤病和肾细胞癌综合征相关性肾癌的临床特征分析:一项全国多中心回顾性研究_https://www.jmylbn.com_新闻资讯_第4张

对象与方法

一、一般资料


本研究共119例,其中上海交通大学医学院附属仁济医院35例,四川大学华西医院22例,中山大学附属肿瘤医院27例,上海交通大学医学院附属瑞金医院3例,无锡市惠山区第二人民医院1例,江西省人民医院1例,北京大学第一医院5例,复旦大学附属中山医院5例,浙江大学医学院第一附属医院6例,同济大学附属第十人民医院1例,华中科技大学同济医学院附属同济医院3例,浙江大学医学院附属第二医院4例,复旦大学附属中山医院厦门医院2例,福建医科大学附属第一医院2例,解放军总医院2例。


本研究经过上海交通大学医学院附属仁济医院伦理委员会批准(KY2021-101-B)。


本研究共119例。男73例,女46例,男女比例为1∶0.63;中位年龄38(13,74)岁,其中<20岁6例(5.0%),≥20岁113例(95.0%)。48例(40.3%)就诊时无明显症状,因体检B超或CT检查发现肾占位;腰痛35例(29.4%),肉眼血尿28例(23.5%),腹部肿块7例(5.9%),因消瘦、乏力行全身检查发现肾占位1例(0.8%)。肿瘤直径中位值6.5(1.0,20.5)cm,其中≤4 cm者24例(20.1%),>4 cm且≤7 cm者38例(31.9%),>7 cm者57例(47.9%)。美国癌症联合会(American Joint Committee on Cancer, AJCC)分期Ⅰ~Ⅱ期38例(31.9%),Ⅲ~Ⅳ期81例(68.1%)。62例(52.1%)伴淋巴结转移;初诊时44例(37.0%)伴远处转移。


本组119例中11例同时表现为皮肤平滑肌瘤,46例女性HLRCC-RCC患者中44例有子宫肌瘤病史。


二、免疫组化染色检查


由两名病理科医生分别独立对所有切片进行HE染色及FH、琥珀酰-S-半胱氨酸(2-succinocysteine,2-SC)的免疫组化染色,并进行读片。采用EnVision法进行FH(1∶200, 武汉三鹰生物技术有限公司)和2-SC(北京博蕾德生物科技有限公司)免疫组化染色。


三、基因检测


所有病理学诊断为FH缺陷型肾癌者均进行血液DNA胚系突变检测,以明确是否为HLRCC-RCC。患者进行FH基因的全外显子(10个编码外显子)二代测序,部分家系成员行Sanger一代测序。


四、治疗方法


初诊未转移的患者均接受手术治疗。术后规律随访,随访过程中出现远处转移即接受系统治疗。初诊时发生远处转移的患者接受减瘤性肾切除术或肾穿刺活检术,明确诊断后接受系统治疗。


本研究中系统治疗方案包括: TKI单药(主要为舒尼替尼、索拉菲尼、培唑帕尼、阿昔替尼、卡博替尼和仑伐替尼);TKI联合ICI(ICI主要为纳武利尤单抗、帕博丽珠单抗、特瑞普利单抗、信迪利单抗和替雷利珠单抗);贝伐单抗联合厄洛替尼。贝伐单抗联合厄洛替尼方案的用法:贝伐单抗10 mg/kg静脉滴注,每2周1次;厄洛替尼150 mg,每日1次连续口服)。治疗持续至肿瘤进展或因不良反应退出。


五、疗效评价


所有患者治疗前均行影像学检查评价基线情况,系统治疗2个周期后随访并复查CT或MRI,进行疗效评价。根据实体瘤疗效评价标准(response evaluation criteria in solid tumors,RECIST)1.1版将疗效分为完全缓解、部分缓解、疾病稳定和疾病进展。客观缓解率(objective response rate,ORR)为完全缓解+部分缓解例数占总例数的比率,疾病控制率(disease control rate, DCR)完全缓解+部分缓解+疾病稳定例数占总例数的比率。


六、统计学方法


采用SPSS25.0 统计软件处理数据。计量资料符合正态分布者采用fh染色是什么意思【临床研究】遗传性平滑肌瘤病和肾细胞癌综合征相关性肾癌的临床特征分析:一项全国多中心回顾性研究_https://www.jmylbn.com_新闻资讯_第5张±s描述,不符合正态分布者采用M(Q1Q3)描述。计数资料采用例数(%)表示。采用Kaplan-Meier生存曲线分析总生存时间(overall survival,OS)和无进展生存时间(progression free survival,PFS),组间比较采用log-rank检验。采用多因素Cox回归分析HLRCC-RCC患者生存的独立危险因素。以P<0.05为差异有统计学意义。

结   果

一、治疗情况


本研究119例中,70例(58.8%)接受根治性肾切除术,5例(4.2%)接受肾部分切除术。44例初诊发生远处转移患者中11例(9.2%)接受减瘤性肾切除术,33例(27.7%)接受肾穿刺活检术。


本组共102例患者接受系统治疗,其中包括44例初诊远处转移患者和58例初诊未发生远处转移但随访过程中出现远处转移的患者。其中TKI联合ICI治疗组33例,贝伐单抗联合厄洛替尼治疗组8例,TKI单药治疗组61例。所有患者均获得随访,中位随访时间17(3,82)个月。截至末次随访,89例患者带瘤存活,其余26例因肿瘤广泛远处转移而死亡。


二、病理学特征


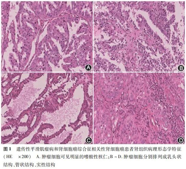
病理组织形态学表现:高倍镜下,119例均可见灶状分布、大而明显的嗜酸性核仁(WHO/国际泌尿病理协会Ⅲ~Ⅳ级)及核周空晕 (图1A)。HE染色示112例表现为乳头状、管囊状、实性片状等≥2种不同结构的混合性生长,最常见的病理结构为乳头状 (图1B~D)。免疫组化染色结果显示,113例符合典型的HLRCC-RCC表现,即2-SC强阳性,FH阴性(图2A~B)。

fh染色是什么意思【临床研究】遗传性平滑肌瘤病和肾细胞癌综合征相关性肾癌的临床特征分析:一项全国多中心回顾性研究_https://www.jmylbn.com_新闻资讯_第6张

fh染色是什么意思【临床研究】遗传性平滑肌瘤病和肾细胞癌综合征相关性肾癌的临床特征分析:一项全国多中心回顾性研究_https://www.jmylbn.com_新闻资讯_第7张


三、分子遗传学特征


119例均行二代测序明确FH基因突变位点,其中94例存在FH基因点突变,18例FH基因插入/缺失突变,4例FH基因剪接突变,2例FH基因大片段缺失,1例FH基因拷贝数变异。本组中42例患者肿瘤组织存在FH胚系等位基因突变同时伴有另一个等位基因的体细胞突变。本组中54例患者追踪到家系情况,并通过一代测序验证FH基因突变位点,其中12例患者家系成员中有肾癌病史;29例患者家系成员中有子宫肌瘤病史;仅3例患者家系成员中存在皮肤平滑肌瘤病史。


四、系统治疗结果


TKI联合ICI治疗组整体ORR为33.3%(11/33),DCR为84.8%(28/33);贝伐单抗联合厄洛替尼治疗组整体ORR为25.0%(2/8),DCR为62.5%(5/8);TKI单药治疗组整体ORR为10.1%(6/61),DCR为60.1%(37/61)。生存分析结果显示,TKI联合ICI治疗组中位PFS为18(5,38)个月,中位OS未达到;贝伐单抗联合厄洛替尼治疗组中位PFS为12(5,14)个月,中位OS为30(10,32)个月;TKI单药治疗组中位PFS为10(3,64)个月,中位OS为44(10,74)个月。统计学分析结果显示三组间PFS(P=0.012)和OS(P=0.030)的差异有统计学意义(图3);TKI联合ICI治疗组的PFS(P=0.009)和OS(P=0.006)均优于贝伐单抗联合厄洛替尼治疗组,TKI联合ICI治疗组的PFS(P=0.003)和中位OS(P=0.028)均优于TKI单药治疗组。

fh染色是什么意思【临床研究】遗传性平滑肌瘤病和肾细胞癌综合征相关性肾癌的临床特征分析:一项全国多中心回顾性研究_https://www.jmylbn.com_新闻资讯_第8张


五、临床病理特征亚组分析


本组接受系统治疗的102例HLRCC-RCC患者的亚组分析见表1,不同年龄、性别、肿瘤大小、T分期、淋巴结阳性及初诊远处转移患者系统治疗的OS和PFS差异均无统计学意义(P>0.05)。

fh染色是什么意思【临床研究】遗传性平滑肌瘤病和肾细胞癌综合征相关性肾癌的临床特征分析:一项全国多中心回顾性研究_https://www.jmylbn.com_新闻资讯_第9张

讨   论

不同类型肾癌在组织病理学及分子遗传学方面存在复杂的异质性,2022 年 WHO 第 5 版肾肿瘤分类中肾肿瘤分为 21 种亚型,其中由7种分子定义的肾癌分别为:TFE3重排肾细胞癌(原Xp11.2易位相关性肾细胞癌)、伴TFEB 改变的肾细胞癌[原 t(6,11)染色体易位肾细胞癌]、FH缺陷型肾细胞癌、ELOC(原 TCEB1)突变肾细胞癌、SMARCB1 缺陷型肾髓质癌、ALK重排肾细胞癌和琥珀酸脱氢酶缺陷型肾细胞癌。这类肾癌在形态学方面往往具有较大的异质性,因此不能仅通过形态学来诊断,需要结合荧光原位杂交技术或分子测序等检测技术进行诊断。由于HLRCC-RCC和FH基因体细胞突变散发型肾癌都存在FH基因突变失活且肿瘤生物学行为相似,因此这两类肾癌被统称为FH缺陷型肾癌。我们团队前期报道了一项国内多中心FH缺陷型肾癌的研究结果,FH缺陷型肾癌患者初诊时62%为T3~T4期,淋巴结转移占49%,远处器官转移占29% [8],提示FH缺陷型肾癌侵袭性强,临床上易转移,预后差。HLRCC-RCC患者因FH基因胚系突变为致病因素,具有遗传特性,目前该病临床研究数据较少,诊治经验仍有待提高。


FH是三羧酸循环中将延胡索酸向苹果酸转化的关键酶,其突变引起酶活性异常,导致代谢底物延胡索酸大量聚积,是FH缺陷型肾癌的发病基础 [9]。延胡索酸既可驱动正常细胞向肿瘤细胞转化,也可引发代谢自适应,满足快速增殖所需的原料供应,是肿瘤发生的直接诱因[10]。升高的延胡索酸抑制缺氧诱导因子(hypoxia inducible factor, HIF)脯氨酰羟化酶功能,导致HIF表达上调,HIF靶基因(如VEGF和GLUT1)被转录激活[11]。延胡索酸琥珀酸化引起KEAP1酶构象变化,阻止KEAP1与Nrf2结合,导致Nrf2的稳定和累积及 Nrf2 抗氧化途径的激活[12]。细胞内高浓度的延胡索酸抑制细胞内KDMs、TET酶活性,导致组蛋白和基因组CpG岛高甲基化;这些表观遗传学的改变,通过调控下游基因转录,可能影响前体细胞增殖和分化,从而促进肿瘤发生[9]。FH缺陷型细胞代谢示踪显示,有氧糖酵解及氧化磷酸化受损是其代谢特点[13]。文献报道FH基因突变携带者中,约75%的患者发生皮肤平滑肌瘤,79%~100%的女性患有子宫肌瘤,约20%的患者有肾细胞癌[14]。HLRCC-RCC为早发性肾细胞癌,中位发病年龄为40岁左右[14]。本研究共纳入国内15家医疗中心119例HLRCC-RCC患者,中位发病年龄为38(13,74)岁,低于其他亚型的肾细胞癌。95.7%的女性(44/46)HLRCC-RCC患者有子宫肌瘤病史。文献报道HLRCC相关的子宫肌瘤中位发病年龄38岁(20~87岁),较无FH缺陷病例的中位发病年龄提早6~12年,且子宫肌瘤多表现为多发[14]。因此,对于患有平滑肌瘤的年轻女性肾细胞癌患者,临床应警惕HLRCC的可能。而对于FH突变阳性的女性携带者,需监测子宫肌瘤的发生。值得注意的是,本研究119例HLRCC-RCC患者中仅11例同时表现为皮肤平滑肌瘤,发生率低于国外文献报道[15],可能是因为患有皮肤平滑肌瘤的部分HLRCC患者仅有微小的皮肤表现,也可能是种族背景不同导致疾病表现不同。


在病理学方面,HLRCC-RCC肿瘤细胞内嗜酸性大核仁及核仁外周空区是其较为特异的细胞学特征[16]。但文献报道的FH缺陷型肾癌的组织学特征非常丰富,既往Ⅱ型乳头状肾细胞癌、集合管癌、管状囊性肾细胞癌、琥珀酸脱氢酶缺乏性肾细胞癌、嗜酸性肾细胞癌等不同病理特征的肾癌最后被验证为FH缺陷型肾癌,实质上是初始病理诊断的误判,提示我们传统的病理学HE染色无法准确诊断HLRCC-RCC和FH缺陷型肾癌。HLRCC-RCC除具有乳头状结构外,还可表现为小管状、管状乳头状、实体状、囊状、肉瘤样分化等形态,常以≥2种方式混合生长。最近文献报道免疫组化染色检测2-SC可提高诊断的准确性,病灶的细胞核和胞质呈弥漫性阳性反应。已有研究使用2-SC 联合FH免疫组化诊断该疾病,并用二代测序予以验证[17]。虽然该方法的准确性相较于传统方法显著提升,但是2-SC对有一定FH表达的区域仍有强阳性反应,表明其特异性还显不足。2016年WHO将HLRCC-RCC定义为一种新的肾细胞癌病理类型,随后越来越多的大型医疗中心病理科在临床病理诊断工作中常规开展FH蛋白免疫组化染色以提高病理诊断率,但并非所有的HLRCC-RCC患者FH蛋白完全表达缺失,加之2-SC抗体应用受限,通过免疫组化染色病理准确诊断仍非常困难,诊断的金标准仍为基因检测[14]。此外,通过基因检测将HLRCC-RCC从FH缺陷型肾癌亚型中区分出来,对于家系筛查以及遗传性肾癌的早诊早治有非常重要的临床意义。因此,根据组织病理学特征,给予患者进一步的基因检测是最终确诊的关键步骤。


FH无论是胚系突变还是体细胞突变均为功能丧失性突变,其中以错义突变最常见,热点区为4~7号外显子。本研究中患者二代测序结果显示94例患者FH基因存在点突变,18例插入/缺失突变,4例剪接突变,2例大片段缺失,1例拷贝数变异。119例中54例追踪到家系情况并通过一代Sanger测序验证突变位点,其中12例患者家系成员中有肾癌病史;29例患者家系成员中有子宫肌瘤病史;仅3例患者家系成员中有皮肤平滑肌瘤病史。HLRCC-RCC中FH胚系突变的典型表现为“双打击”事件,因此,FH另一等位基因的体细胞突变是HLRCC综合征患者形成肾癌的典型遗传学基础。本研究中将119例患者的肿瘤组织DNA进行二代测序同时以血液DNA作为对照,仅发现42例患者FH存在典型的二次打击,即存在一个胚系突变的等位基因同时伴有另一个等位基因的体细胞突变,其余患者的发病机制可能存在杂合性缺失等其他机制,值得进一步探索。


HLRCC-RCC具有很强的侵袭性和高度转移性,本研究中约37%(44/119)的患者在初诊时已出现肿瘤远处转移。美国国家癌症研究所开展了一项Ⅱ期临床试验(AVATAR试验,NCT01130519),中期分析结果显示贝伐单抗联合厄洛替尼治疗20例晚期HLRCC-RCC患者20例,ORR达到60%,中位PFS为24.2个月[6],因此NCCN肾癌指南将贝伐单抗联合厄洛替尼列为推荐治疗方案[7]。我国既往相关研究较少,本组患者共102例晚期HLRCC-RCC患者接受系统治疗,其中33例接受TKI联合ICI治疗,8例接受贝伐单抗联合厄洛替尼治疗,61例接受TKI单药治疗。结果显示TKI联合ICI的患者中位PFS和中位OS均优于贝伐单抗联合厄洛替尼方案及TKI单药治疗方案患者。


综上所述,HLRCC-RCC属于独特的肾癌亚型,其发病罕见但恶性程度高,预后不佳,且具有家系遗传特性。临床上准确诊断仍非常困难,免疫组化染色2-SC强阳性及FH阴性可为临床诊断提供重要依据,基因检测显示FH基因胚系突变可明确诊断。初步研究结果证实TKI联合ICI治疗转移患者的临床效果较好,但有待大样本多中心随机对照临床研究验证。


fh染色是什么意思【临床研究】遗传性平滑肌瘤病和肾细胞癌综合征相关性肾癌的临床特征分析:一项全国多中心回顾性研究_https://www.jmylbn.com_新闻资讯_第10张


原创声明

《中华泌尿外科杂志》公众订阅号


本文为《中华泌尿外科杂志》原创文章,版权归中华医学会所有。其他媒体、网站、公众号等如需转载本文,请联系本刊编辑部获得授权,并在文题下醒目位置注明“原文刊发于《中华泌尿外科杂志》,年,卷(期):起止页码”。谢谢合作!



fh染色是什么意思【临床研究】遗传性平滑肌瘤病和肾细胞癌综合征相关性肾癌的临床特征分析:一项全国多中心回顾性研究_https://www.jmylbn.com_新闻资讯_第11张



长按识别二维码关注我们





在看你就赞赞我!
fh染色是什么意思【临床研究】遗传性平滑肌瘤病和肾细胞癌综合征相关性肾癌的临床特征分析:一项全国多中心回顾性研究_https://www.jmylbn.com_新闻资讯_第12张