fh染色是什么意思WHO2022年分类:乳头状肾细胞癌进展介绍

新闻资讯2026-04-23 14:38:00

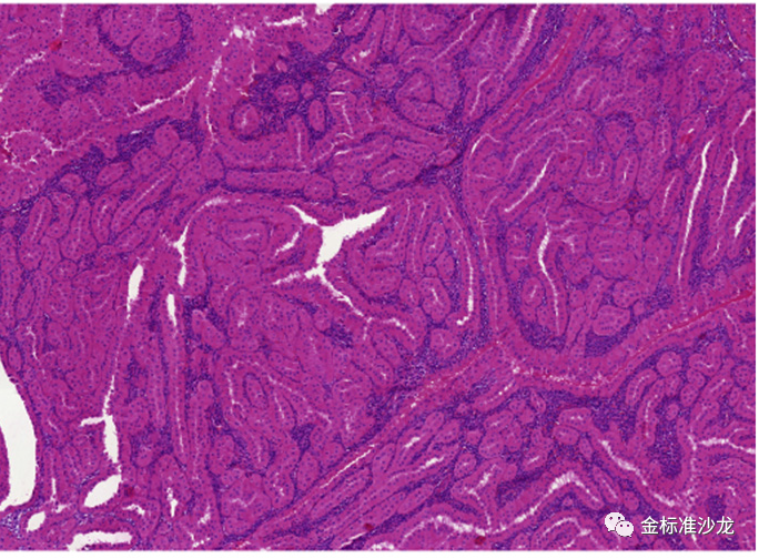
认识到pRCC在形态学存在着异质性,Delahunt和Eble首先尝试将它们分为两种类型,包括WHO2016分类仍然使用该系统且许多分子研究支持这一系统。1型pRCC通常与7号染色体(编码MET基因)17号染色体获得以及MET的体细胞激活突变相关,而2 pRCC更为异质性,且与12、16和20染色体的获得有关。1型pRCC由细乳头组成,被覆单层细胞,大多数细胞胞浆淡染,核仁不明显(图1),而2型pRCC特征包括较宽的乳头,核假复层,嗜酸性细胞质及突出核仁。然而,实际上,将pRCC一分为二可能很有挑战性,因为许多充分取材的肿瘤常常混合了类型1和类型2区域。目前的研究发现表明2pRCC可能代表几个异质性肿瘤实体,而1型pRCC基因更同质。2型pRCC核特征使这些肿瘤具有相对高ISUP的分级,可以认为不是真正代表两种独立的癌症类型,而可能代表任何pRCC从低级别到高级别的进展。重要的是, 当调整分期及其他预后因素后,1型及2pRCC并不影响患者的预后。

fh染色是什么意思WHO2022年分类:乳头状肾细胞癌进展介绍_https://www.jmylbn.com_新闻资讯_第1张

图1 经典的1型pRCC由纤细的乳头或管状乳头状结构组成,细胞具有淡染至嗜酸的胞浆

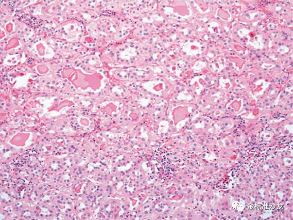
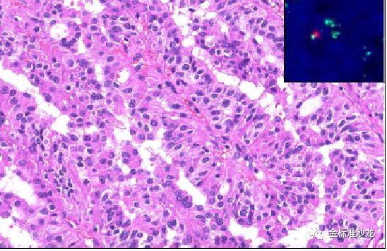
几种新的肿瘤实体不再考虑作为2型pRCC的亚型,现在被认为构成了独立类别。其中一个例子是延胡索酸水合酶(FH)缺陷型的肾细胞癌;采用了术语“延胡索酸水合酶(FH)缺陷型RCC”而非遗传性平滑肌瘤病与肾细胞癌综合征相关RCCHLRCC),因为这些肿瘤不是总是与胚系突变相关。这是一种侵袭性肿瘤类型,肿瘤细胞嗜酸性,常表现为中央突出樱桃红核仁周围有一层透明晕,这些形态学线索并非始终存在,可能出现各种模式;在有挑战的肿瘤中,进行FH和2-琥珀酸(2SC)免疫组织化学具有帮助。但是虽然FH免疫表达缺失具有高度特异性,一些肿瘤保留了表达(即FH丢失不完全敏感),2SC免疫组化高度敏感(但不太特异),因此应结合FH染色。在某些情况下,分子检测有必要。该类型正确的诊断在临床上很重要,因为这些患者经常出现转移,需要积极的系统治疗。

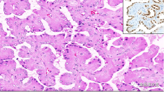
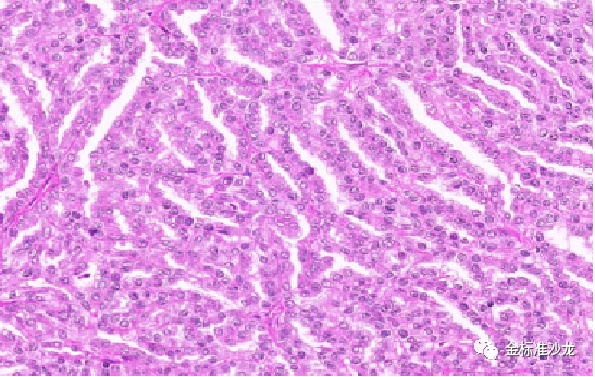
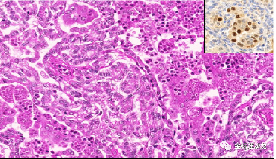
因常存在乳头状或管状乳头状癌区域和高级核特征,包括过去常被错误诊断为2型pRCC的还包括MiTF家族(包括TFE3重排的和TFEB重排的RCC和TFEB扩增RCC,图2,3),新的实体嗜酸性实体和囊性(ESC)-肾细胞癌,管状囊性肾细胞癌和集合管癌。另一个实体粘液管状和梭形细胞癌由于具有不同的染色体改变和Hippo通路肿瘤抑制基因的双等位基因失调,已独立于1型pRCC,尽管二者存在形态及免疫组化重叠。

fh染色是什么意思WHO2022年分类:乳头状肾细胞癌进展介绍_https://www.jmylbn.com_新闻资讯_第2张

图2 TFE3重排RCC可见乳头状的结构,高级别核特征,细胞淡染或嗜酸,类似于2型pRCC。免疫组化提示TFE3弥漫强阳性表达

fh染色是什么意思WHO2022年分类:乳头状肾细胞癌进展介绍_https://www.jmylbn.com_新闻资讯_第3张

图3 TFEB扩增的RCC具有类似特征,通过FISH进行TFEB检测能够确定诊断

根据这些发现,1型和2型乳头状RCC的亚型已从新的2022年WHO分类中删除。相反,具体表型的存在,可能代表独立肿瘤实体。而其他哪些暂时形态和分子与pRCC重叠的肿瘤,其他形态学和分子数据目前正在收集,以确定这些肿瘤应视为pRCC的一部分或新的肿瘤实体。下面将新报道的肿瘤进行简单介绍。

1.双相鳞状腺泡样RCC

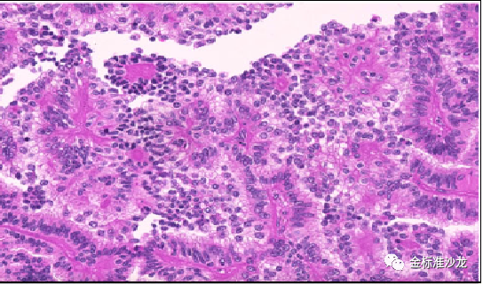
其中一种肿瘤是双相鳞状腺泡样RCC,需要与1pRCC鉴别诊断(图4)低倍镜下见肿瘤境界清楚,肿瘤呈乳头状、腺泡状及实性生长,乳头轴心周围瘤细胞的细胞核位于基底部,具有少量胞浆,高倍镜下观察到腺泡状结构由两类细胞组成,外层由胞浆较少的小细胞,包绕腺泡中心胞浆较丰富的大细胞。小细胞形态类似经典的Ⅰ型乳头状肾细胞癌肿瘤细胞特征,可见小核仁,大细胞胞浆丰富,嗜酸性,核呈空泡状,类似“鳞样细胞”。免疫组化上,大细胞表达cyclinD1CD57。暂时,该肿瘤仍属于pRCC谱系内,不是作为一个独立的实体。因其常伴有经典的1型pRCC区域, 717染色体获得,以及MET基因的突变,表明它们可能属于1pRCC的延续目前大多数报告患者无病生存,但据报道有人死于疾病。但报道病例的数量(<65)仍不足以评估这种罕见亚型的临床病程。

fh染色是什么意思WHO2022年分类:乳头状肾细胞癌进展介绍_https://www.jmylbn.com_新闻资讯_第4张

图4 肿瘤由两类细胞组成,外层由胞浆较少的小细胞,包绕腺泡中心胞浆较丰富的鳞样的大细胞。大细胞免疫组化CyclinD1阳性

2. 双相透明性砂粒性肾细胞癌

双相透明性砂粒性肾细胞癌是另一种pRCC亚型,最近有文献报道了八个病例。镜下,该肿瘤也由两个细胞群组成,一个小的,深染的,部分纺锤形细胞排列成巢状或围绕基底膜周围嗜酸性物质形成假玫瑰花结与形成小管、乳头或腺泡结构的较大的细胞混合存在(图5)。肿瘤被致密透明基质包围,并常见的小砂粒状钙化。免疫组化,EMA能够突出较小的细胞,而细胞角蛋白7(CK7)显示大细胞。所有8例报告病例变体显示致病性或可能致病性NF2突变,而NF2突变也被报道存在于晚期pRCC。其中一名患者出现转移并死于疾病。因此,仍需进一步形态学及分子研究。

fh染色是什么意思WHO2022年分类:乳头状肾细胞癌进展介绍_https://www.jmylbn.com_新闻资讯_第5张

图5 肿瘤由两类细胞组成,小细胞形成菊形团样结构,内见嗜酸样物,大细胞形成乳头管状结构,具有硬化的轴心

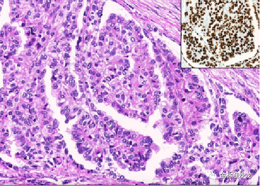
3.反极性乳头状肾肿瘤

最近描述的另一个新兴实体,并具有特征性的组织学形态典型形态(图6)。肿瘤由具有透明或水肿的轴心的乳头结构组成,被覆丰富胞浆嗜酸性细胞,细胞核小、低级别且位于细胞顶端(反极性)。目前报告的病例临床预后良好,无复发,转移或死亡。免疫组化方面,特征性核表达GATA3,以及L1CAM。分子方面,KRAS突变在大多数肿瘤(约80%)中被发现。该肿瘤在文献中报告的数量增长迅速,过去2-3年报告超过90例。该肿瘤常呈囊性,并可与与其他RCCs同时发现。

fh染色是什么意思WHO2022年分类:乳头状肾细胞癌进展介绍_https://www.jmylbn.com_新闻资讯_第6张

图6 肿瘤由宽大乳头构成,具有硬化的轴心;被覆细胞嗜酸,具有小圆形的核及反极性。细胞弥漫GATA3阳性表达

4.Warthin-like pRCC

形态相似腮腺 Warthin瘤。肿瘤主要呈乳头状结构,具有嗜酸性细胞,常见高级别核特征,局灶呈假复层排列(图7)。周围致密的B细胞和T细胞浸润。一些病例中发现病例中发现了7号和17号染色体获得,染色体拷贝数改变呈异质性。临床上,九分之三的患者经充分随访,死于该病。但还需要进一步的分子和系列分析确定临床行为并确定更具体的分子驱动因素。

fh染色是什么意思WHO2022年分类:乳头状肾细胞癌进展介绍_https://www.jmylbn.com_新闻资讯_第7张

图7 肿瘤类似腮腺 Warthin瘤,细胞嗜酸乳头状分布,间质显著淋巴细胞浸润

5. 甲状腺样滤泡性肾细胞癌

甲状腺样滤泡性肾细胞癌十多年已被认知,但目前报道仍少于50例。它可能需要与 pRCC进行鉴别,形态常显示甲状腺样滤泡结构伴胶样物,也常类似于萎缩肾样病变(图8)。这些肿瘤类似甲状腺滤泡实质,主要发生于女性,未见TG或 TTF-1的表达。最近进展包括发现了EWSR1-PATZ1融合(见于部分肉瘤和神经系统肿瘤), 有侵袭性生物学行为的案例也已报告。

fh染色是什么意思WHO2022年分类:乳头状肾细胞癌进展介绍_https://www.jmylbn.com_新闻资讯_第8张

图8 肿瘤类似于甲状腺样滤泡结构伴胶样物存在

参考文章:

Lobo J, Ohashi R, Amin M B, Berney D M, Eva MComp_erat, Cree I A, Gill A J, Hartmann A, Menon S, Netto G J,Raspollini M R, Rubin M A, Tan P H, Tickoo S K, Tsuzuki T, Turajlic S, Zhou M, Srigley J R & Moch H(2022) Histopathology. https://doi.org/10.1111/his.14700WHO 2022 landscape of papillary and chromophobe renal cell carcinoma.

编辑:远方

fh染色是什么意思WHO2022年分类:乳头状肾细胞癌进展介绍_https://www.jmylbn.com_新闻资讯_第9张

-END-

本公众号为非盈利性学术交流订阅号,大部分资料来源于大家自我创作、个人工作经验或学习体会,如涉及版权问题和学术问题请及时联系管理员处理;本公众号发布所有内容,版权均属本公众号所有。所有文章仅供公益交流。欢迎提供相关素材及资料或投稿等,投稿邮箱:1310214448@qq.com,一经采纳将给予稿酬。欢迎个人形式转发或媒体、网站转载,后者请在文首注明「来源:金标准沙龙」。

fh染色是什么意思WHO2022年分类:乳头状肾细胞癌进展介绍_https://www.jmylbn.com_新闻资讯_第10张