fh染色是什么意思【前沿编译】FH缺失型嗜铬细胞瘤和副神经节瘤的临床病理和分子特征分析

新闻资讯2026-04-23 14:38:06
fh染色是什么意思【前沿编译】FH缺失型嗜铬细胞瘤和副神经节瘤的临床病理和分子特征分析_https://www.jmylbn.com_新闻资讯_第1张

导读

fh染色是什么意思【前沿编译】FH缺失型嗜铬细胞瘤和副神经节瘤的临床病理和分子特征分析_https://www.jmylbn.com_新闻资讯_第2张

嗜铬细胞瘤/副神经节瘤(pheochromocytoma and paraganglioma,PPGL)是一种少见的内分泌疾病,男女发病率无明显差别,可以发生于任何年龄,多见于40-50岁。


嗜铬细胞瘤(pheochromocytoma,PCC):是起源于肾上腺髓质嗜铬细胞的肿瘤,合成、存储、分解和代谢儿茶酚胺,并因后者的释放引起症状。


副神经节瘤(paraganglioma,PGL):是起源于肾上腺外的嗜铬细胞的肿瘤。最常见的体征是持续或阵发性高血压。低于25%的患者出现典型的头痛、心动过速/心悸和出汗三联征。


高达40%的嗜铬细胞瘤(PCC)和副神经节瘤(PGL)是遗传相关的。富马酸水合酶(FH)的胚系突变/缺失可导致遗传性平滑肌瘤病和肾细胞癌综合征,主要表现为FH缺乏的子宫/皮肤平滑肌瘤和肾细胞癌(RCC)—肿瘤的特征是FH免疫组化(IHC)表达缺失和/或2SC染色阳性。偶有患者发展为PCC/PGL。


因此,来自澳大利亚皇家北岸医院病理科的Talia L. Fuch等人在《Am J Surg Pathol》报道了8例FH缺失型嗜铬细胞瘤/副神经节瘤,目的在于总结FH缺失型PCC/PGL的发病率、组织形态学和临床特征。

fh染色是什么意思【前沿编译】FH缺失型嗜铬细胞瘤和副神经节瘤的临床病理和分子特征分析_https://www.jmylbn.com_新闻资讯_第3张

点击文章末尾【阅读原文】查看文献全文。

fh染色是什么意思【前沿编译】FH缺失型嗜铬细胞瘤和副神经节瘤的临床病理和分子特征分析_https://www.jmylbn.com_新闻资讯_第4张

临床特征

共对589例PCC/PGL进行FH免疫组化检测,其中8例(1.4%)存在FH缺失。患者平均年龄51岁,中位年龄为55岁,范围30-77岁。其中5名患者(63%)为女性。

肿瘤发生部位分别为:肾上腺4例,腹膜后3例,颈动脉体部1例。8例FH缺失型PCC/PGL肿瘤平均大小62mm,范围28-100mm。4例产生去甲肾上腺素。2例(25%)发生转移,1例在174个月后死亡。

中位随访时间为54个月(平均96个月,范围从3-370个月)。随访期间,所有患者均未发生皮肤平滑肌瘤、FH缺失型RCC或子宫平滑肌瘤。

病例1的母亲在30多岁时切除了一个体积较大的子宫肌瘤,随后在病例1被诊断后被证明携带家族性突变。有趣的是,直到病例5被诊断为FH缺失型PGL后,她才意识到自己是病例1的远亲;在准备本研究的过程中,才发现具有相同FH胚系突变[c.1142C>T(p.Thr381Ile)]的病例6也与这两名患者有远亲关系。

fh染色是什么意思【前沿编译】FH缺失型嗜铬细胞瘤和副神经节瘤的临床病理和分子特征分析_https://www.jmylbn.com_新闻资讯_第5张

组织学形态特征

fh染色是什么意思【前沿编译】FH缺失型嗜铬细胞瘤和副神经节瘤的临床病理和分子特征分析_https://www.jmylbn.com_新闻资讯_第6张


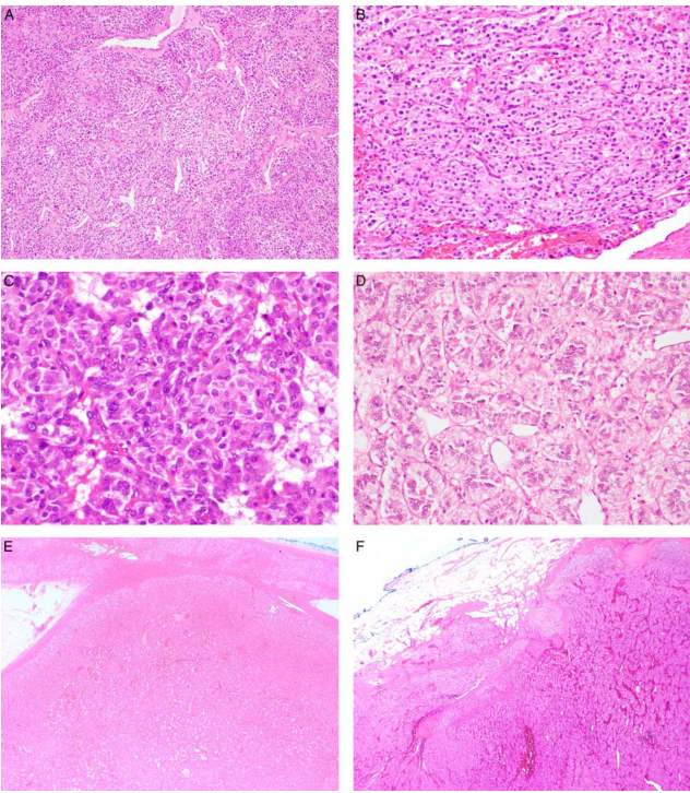
图1:FH缺失型PCC/PGL细胞形态变化。

A瘤巢内可见突出的血管间隙。
B瘤细胞呈典型的腺泡状和小梁式生长模式,瘤巢周围有支持细胞。
C细胞胞质丰富,呈嗜碱性。
D部分细胞胞质呈嗜酸性或透亮。
E大多数病例瘤组织与正常肾上腺分界清楚。
F少数病例可见肿瘤细胞向周围软组织内不规则浸润性生长。

fh染色是什么意思【前沿编译】FH缺失型嗜铬细胞瘤和副神经节瘤的临床病理和分子特征分析_https://www.jmylbn.com_新闻资讯_第7张


图2:HE染色(A,C)和FH-IHC染色(B,D)。

肿瘤细胞FH染色完全阴性。作为内对照,箭头示的非肿瘤性肾上腺组织和内皮细胞FH呈颗粒状胞浆阳性染色。

fh染色是什么意思【前沿编译】FH缺失型嗜铬细胞瘤和副神经节瘤的临床病理和分子特征分析_https://www.jmylbn.com_新闻资讯_第8张


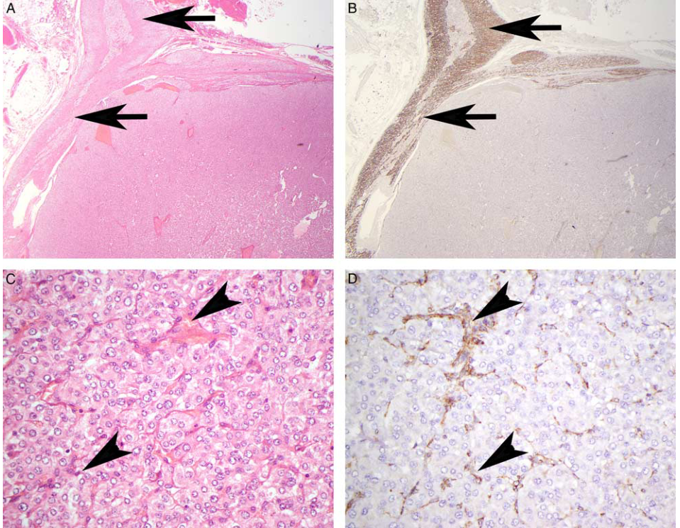
图3

HE染色切片(A,C)、2SC-IHC染色(B),FH-IHC染色(D)。
非肿瘤性肾上腺组织(星号)2SC IHC阴性,而肿瘤细胞呈弥漫性胞浆表达。非肿瘤性内皮细胞(箭头)FH染色阳性,而瘤细胞则完全阴性。

fh染色是什么意思【前沿编译】FH缺失型嗜铬细胞瘤和副神经节瘤的临床病理和分子特征分析_https://www.jmylbn.com_新闻资讯_第9张


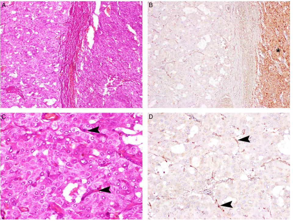
图4

病例2HE染色切片(A,C)和FH-IHC(B,D)染色。肿瘤细胞FH阴性表达,非肿瘤细胞FH阳性表达(星号)。值得注意的是,在内对照的内皮细胞(箭头)内呈阳性的情况下。FH缺失区有弱的非特异性胞浆表达,与内部阳性对照的强颗粒表达的对比下,这种染色模式被认为是阴性的(FH缺失)。

fh染色是什么意思【前沿编译】FH缺失型嗜铬细胞瘤和副神经节瘤的临床病理和分子特征分析_https://www.jmylbn.com_新闻资讯_第5张

免疫组化特征

有8例PCC/PGL(1.4%)FH染色阴性和/或2SC染色阳性,因此被归类为FH缺失型PCC/PGL。

7例(87.5%)为FH阴性和2SC阳性,而1例(12.5%)FH阳性和2SC阳性。所有FH缺失型肿瘤均保留SDHB和SDHA表达。

589例患者中,103例(17.5%)免疫组化显示SDHB表达缺失即SDH缺失),其中7例SDHA同时也为阴性。

由于所有这些SDH缺失肿瘤都保留FH的表达,这支持了SDH缺失和FH缺失是相互排斥的观点。

fh染色是什么意思【前沿编译】FH缺失型嗜铬细胞瘤和副神经节瘤的临床病理和分子特征分析_https://www.jmylbn.com_新闻资讯_第5张

分子遗传学特征

8名患者中均无HLRCC家族史,7例患者进行胚系检测,其中6例有FH错义突变;1例患者为野生型,突变检测证明有体细胞FH突变和杂合性缺失(LOH)

1例患者没有进行胚系检测,但在他的肿瘤中发现了FH突变。

既往报道FH缺失型PCC/PGL的临床及分子特征的回顾
目前报道的18例FH缺失型PCC/PGL患者中发现了11种不同的FH胚系突变,其中17例为错义突变。

文章所有8例患者都有错义突变,值得注意的是18例均没有FH缺失型平滑肌瘤或肾细胞癌的病史。

本研究发现了一种PCC/PGL中尚未被描述的新的FH突变类型:c.222A>T(p.Arg74Ser)突变。

6名患者FH胚系错义突变的类型包括:c.1142C>T(p.Thr381Ile)(3例患者,来自一个大家族),c.222A>T(p.Arg74Ser)(2例患者),以及c.700A>G(p.Thr234Ala)(1例患者)

其中病例2胚系检测为野生型,在FH缺失的结节中发现了FH c.1516A>G(p.Met506Val)。对4例患者进行肿瘤组织杂合性缺失(LOH)检测。

病例2体细胞FH突变和LOH,病例7FH显示胚系突变c.700A>G(p.s thr234ala)且同时也显示有LOH。
fh染色是什么意思【前沿编译】FH缺失型嗜铬细胞瘤和副神经节瘤的临床病理和分子特征分析_https://www.jmylbn.com_新闻资讯_第12张

fh染色是什么意思【前沿编译】FH缺失型嗜铬细胞瘤和副神经节瘤的临床病理和分子特征分析_https://www.jmylbn.com_新闻资讯_第5张

讨论

FH胚系突变会导致HLRCC综合征,主要表现为FH缺失的子宫/皮肤平滑肌瘤和肾细胞癌,其特征是免疫组化FH表达缺失和/或2SC染色阳性。

HLRCC综合征患者偶尔也会发生PCC/PGL,据估计,约1%的PCC/PGL患者会发生FH胚系突变,通常没有家族史或其他临床表现。

绝大多数遗传性PCC/PGL最常见的相关胚系突变基因包括:RET(导致MEN2综合征)、VHL(VHL综合征)、NF1(1型神经纤维瘤病)和SDH基因。
fh染色是什么意思【前沿编译】FH缺失型嗜铬细胞瘤和副神经节瘤的临床病理和分子特征分析_https://www.jmylbn.com_新闻资讯_第14张
临床上散发的PCC/PGL的胚系突变发生率高达35%。因此,建议所有PCC/PGL患者,无论家族史如何,都应进行一定程度的遗传咨询和检测。

在本研究中检测的4例患者中只有2个检测到LOH。这些发现与报道的SDH缺失性疾病的发生率相似。

结合文献中报道的其他病例,FH缺失的PCC/PGL的转移率为28%。尽管病例数量很少,但这明显高于报道的15%的PCC/PGL总体转移率。

因此,作者推测FH缺失的PCC/PGL可能生物学行为更具侵袭性,需要密切和长期的随访。86%FH缺失的PCC/PGL与胚系突变有关,但也有很少一部分是由FH基因的体细胞突变导致。

由于2SC、FH免疫组化的联用具有高度的敏感性和特异性,建议对所有PCC/PGL进行检测。



参考:

Fuchs TL, Luxford C, Clarkson A, et al. A Clinicopathologic and Molecular Analysis of Fumarate Hydratase-deficient Pheochromocytoma and Paraganglioma. Am J Surg Pathol. 2023;47(1):25-36. doi:10.1097/PAS.0000000000001945

编译

fh染色是什么意思【前沿编译】FH缺失型嗜铬细胞瘤和副神经节瘤的临床病理和分子特征分析_https://www.jmylbn.com_新闻资讯_第15张

高宇慧 住院医师

陕西省西安市红会医院病理科

空军军医大学西京医院临床病理 住培医师

审校

fh染色是什么意思【前沿编译】FH缺失型嗜铬细胞瘤和副神经节瘤的临床病理和分子特征分析_https://www.jmylbn.com_新闻资讯_第16张

吴建锋 主治医师

空军军医大学附属西京医院病理科

本文系NGDP新病理团队编译,转载请联系授权



fh染色是什么意思【前沿编译】FH缺失型嗜铬细胞瘤和副神经节瘤的临床病理和分子特征分析_https://www.jmylbn.com_新闻资讯_第17张

扫码添加小编微信好友,加入读者交流群

请备注工作单位和名字

fh染色是什么意思【前沿编译】FH缺失型嗜铬细胞瘤和副神经节瘤的临床病理和分子特征分析_https://www.jmylbn.com_新闻资讯_第18张

征稿启事

NGDP新病理长期向广大病理医生、医学生和其他病理行业从业人员有偿征稿,以分享病理学最新学术、技术内容为核心,题材不限,可参考本公众号现有文章栏目或自由发挥,严禁抄袭。

可联系邮箱 ngdpxc@163.com 进一步沟通。来信请附注真实姓名、工作单位和联系方式。


微  信  号:nextpathology
点  击  关  注  本  订  阅  号fh染色是什么意思【前沿编译】FH缺失型嗜铬细胞瘤和副神经节瘤的临床病理和分子特征分析_https://www.jmylbn.com_新闻资讯_第1张