动脉长鞘怎么置入深谋远路 | 千人皆翘首,万唤今始来——国内首款7F长鞘在血流导向密网支架联合弹簧圈栓塞治疗动脉瘤的首次应用

新闻资讯2026-04-21 02:53:09

动脉长鞘怎么置入深谋远路 | 千人皆翘首,万唤今始来——国内首款7F长鞘在血流导向密网支架联合弹簧圈栓塞治疗动脉瘤的首次应用_https://www.jmylbn.com_新闻资讯_第1张

术者寄语

Practitioner Summary

● 目前血流导向装置(FD)植入已经逐步成为颅内动脉瘤治疗的常规术式,特别是对于宽颈、大型动脉瘤。部分病例,比如相对窄颈、流入道与流出道成角大、FD释放后有移位风险、瘤颈处可见射血征者,临床上通常需要结合弹簧圈填塞。由于FD输送导管相对较粗,临床常规操作是双侧股动脉穿刺,不仅增加医生的手术操作难度和手术时间,同时增加了患者的手术风险和治疗费用。医生翘首以待有大口径的通路产品可以行单侧穿刺双系统或三系统治疗。本次病例是深瑞达7F输送导管的首次应用,来自复旦大学附属华山医院神经外科的高超教授为大家分享两例使用深瑞达7F输送导管为通路用血流导向密网支架联合弹簧圈栓塞治疗动脉瘤的病例。

动脉长鞘怎么置入深谋远路 | 千人皆翘首,万唤今始来——国内首款7F长鞘在血流导向密网支架联合弹簧圈栓塞治疗动脉瘤的首次应用_https://www.jmylbn.com_新闻资讯_第2张

病例一


   颈内动脉海绵窦段巨大型动脉瘤



动脉长鞘怎么置入深谋远路 | 千人皆翘首,万唤今始来——国内首款7F长鞘在血流导向密网支架联合弹簧圈栓塞治疗动脉瘤的首次应用_https://www.jmylbn.com_新闻资讯_第3张

病例介绍

患者基本信息

患者:女性,69岁。

主诉:发现动脉瘤2年。

现病史:患者2020年因垂体瘤复查,头颅MRI发现鞍区占位,外院就诊,DSA示右侧颈内动脉海绵窦段动脉瘤。

既往史:高血压病史数年,平日服用缬沙坦降压,血压控制良好。

术前影像

术前影像学检查CTA显示右侧颈内动脉海绵窦段巨大型动脉瘤。

 术前3D显示右侧颈内动脉海绵窦段巨大型动脉瘤

动脉长鞘怎么置入深谋远路 | 千人皆翘首,万唤今始来——国内首款7F长鞘在血流导向密网支架联合弹簧圈栓塞治疗动脉瘤的首次应用_https://www.jmylbn.com_新闻资讯_第4张

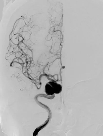
 DSA正位造影

动脉长鞘怎么置入深谋远路 | 千人皆翘首,万唤今始来——国内首款7F长鞘在血流导向密网支架联合弹簧圈栓塞治疗动脉瘤的首次应用_https://www.jmylbn.com_新闻资讯_第5张

DSA侧位造影

术前讨论

术前诊断:右侧颈内动脉海绵窦段动脉瘤。

手术策略:患者明确诊断为颅内动脉瘤,有手术治疗指征,详细向患者告知手术治疗方案,行血流导向装置植入术和动脉瘤弹簧圈栓塞术治疗。


术中主要器械

长鞘:瑞达7F 80cm输送导管

中间导管:5F 115cm

微导管:0.017"微导管

微导丝:0.014"微导丝

支架:5.0*45 mm,5.5*45 mm

弹簧圈(大弹簧圈数枚)


术中主要过程

- 全麻,右侧股动脉穿刺,深瑞达7F 80cm输送导管内衬5F造影导管超选入颈内动脉C2段。5F中间导管到位至C6段,支架微导管到位至大脑中动脉M1段,弹簧圈微导管到位至动脉瘤腔内。释放第一枚5.0*45mm血流导向密网支架,支架覆盖瘤颈,近端部分陷入瘤体。

动脉长鞘怎么置入深谋远路 | 千人皆翘首,万唤今始来——国内首款7F长鞘在血流导向密网支架联合弹簧圈栓塞治疗动脉瘤的首次应用_https://www.jmylbn.com_新闻资讯_第6张

 第一枚支架完全释放,深瑞达7F输送导管提供近端支撑

- 支架微导管突入瘤腔内,微导丝再次进入支架微导管,走高提升支撑力,拉直支架微导管,5F中间导管输送至第一枚血流导向密网支架内提高支撑力。

动脉长鞘怎么置入深谋远路 | 千人皆翘首,万唤今始来——国内首款7F长鞘在血流导向密网支架联合弹簧圈栓塞治疗动脉瘤的首次应用_https://www.jmylbn.com_新闻资讯_第7张

微导丝再次进入支架微导管,微导丝走高提升支撑力

动脉长鞘怎么置入深谋远路 | 千人皆翘首,万唤今始来——国内首款7F长鞘在血流导向密网支架联合弹簧圈栓塞治疗动脉瘤的首次应用_https://www.jmylbn.com_新闻资讯_第8张

拉直支架微导管

动脉长鞘怎么置入深谋远路 | 千人皆翘首,万唤今始来——国内首款7F长鞘在血流导向密网支架联合弹簧圈栓塞治疗动脉瘤的首次应用_https://www.jmylbn.com_新闻资讯_第9张

5F中间导管输送至第一枚血流导向密网支架内提高支撑力

- 第一枚血流导向密网支架释放后造影

动脉长鞘怎么置入深谋远路 | 千人皆翘首,万唤今始来——国内首款7F长鞘在血流导向密网支架联合弹簧圈栓塞治疗动脉瘤的首次应用_https://www.jmylbn.com_新闻资讯_第10张

深瑞达7F输送导管正位造影

动脉长鞘怎么置入深谋远路 | 千人皆翘首,万唤今始来——国内首款7F长鞘在血流导向密网支架联合弹簧圈栓塞治疗动脉瘤的首次应用_https://www.jmylbn.com_新闻资讯_第11张

深瑞达7F输送导管侧位造影

- 桥接第2枚5.5*45mm血流导向密网支架

动脉长鞘怎么置入深谋远路 | 千人皆翘首,万唤今始来——国内首款7F长鞘在血流导向密网支架联合弹簧圈栓塞治疗动脉瘤的首次应用_https://www.jmylbn.com_新闻资讯_第12张

桥接第2枚血流导向密网支架

- 桥接后造影,VasoCT提示支架打开贴壁良好

动脉长鞘怎么置入深谋远路 | 千人皆翘首,万唤今始来——国内首款7F长鞘在血流导向密网支架联合弹簧圈栓塞治疗动脉瘤的首次应用_https://www.jmylbn.com_新闻资讯_第13张

 桥接后正位造影

动脉长鞘怎么置入深谋远路 | 千人皆翘首,万唤今始来——国内首款7F长鞘在血流导向密网支架联合弹簧圈栓塞治疗动脉瘤的首次应用_https://www.jmylbn.com_新闻资讯_第14张

桥接后侧位造影

 VasoCT 提示支架打开良好

填入4枚大弹簧圈以稳定桥接支架。

动脉长鞘怎么置入深谋远路 | 千人皆翘首,万唤今始来——国内首款7F长鞘在血流导向密网支架联合弹簧圈栓塞治疗动脉瘤的首次应用_https://www.jmylbn.com_新闻资讯_第15张

填入4枚大弹簧圈

- 术后造影证实动脉瘤达大部分栓塞,载瘤动脉通畅

动脉长鞘怎么置入深谋远路 | 千人皆翘首,万唤今始来——国内首款7F长鞘在血流导向密网支架联合弹簧圈栓塞治疗动脉瘤的首次应用_https://www.jmylbn.com_新闻资讯_第16张

深瑞达7F输送导管正位造影

动脉长鞘怎么置入深谋远路 | 千人皆翘首,万唤今始来——国内首款7F长鞘在血流导向密网支架联合弹簧圈栓塞治疗动脉瘤的首次应用_https://www.jmylbn.com_新闻资讯_第17张

深瑞达7F输送导管侧位造影



病例二


   颈内动脉眼动脉段动脉瘤



动脉长鞘怎么置入深谋远路 | 千人皆翘首,万唤今始来——国内首款7F长鞘在血流导向密网支架联合弹簧圈栓塞治疗动脉瘤的首次应用_https://www.jmylbn.com_新闻资讯_第3张

病例介绍

患者基本信息

患者:男性,42岁。

主诉:头痛10余天。

现病史:患者10余天前,无明显诱因下出现头痛,颅内动脉CTA提示右侧颈内动脉眼动脉段动脉瘤。

既往史:无高血压、糖尿病、冠心病病史。


术前影像

术前影像学检查:高分辨率MRI未见明显强化,CTA显示右侧颈内动脉眼动脉段动脉瘤。

动脉长鞘怎么置入深谋远路 | 千人皆翘首,万唤今始来——国内首款7F长鞘在血流导向密网支架联合弹簧圈栓塞治疗动脉瘤的首次应用_https://www.jmylbn.com_新闻资讯_第19张

高分辨率MRI未见明显强化

CTA显示右侧颈内动脉眼动脉段动脉瘤

术前DSA造影:动脉瘤大小:4.9mm*4.8mm,动脉瘤颈:4.0mm;载瘤动脉远端直径:2.4mm,近端直径:4.0mm,长度:19.9mm。

动脉长鞘怎么置入深谋远路 | 千人皆翘首,万唤今始来——国内首款7F长鞘在血流导向密网支架联合弹簧圈栓塞治疗动脉瘤的首次应用_https://www.jmylbn.com_新闻资讯_第20张

DSA正位造影

动脉长鞘怎么置入深谋远路 | 千人皆翘首,万唤今始来——国内首款7F长鞘在血流导向密网支架联合弹簧圈栓塞治疗动脉瘤的首次应用_https://www.jmylbn.com_新闻资讯_第21张

DSA侧位造影

动脉长鞘怎么置入深谋远路 | 千人皆翘首,万唤今始来——国内首款7F长鞘在血流导向密网支架联合弹簧圈栓塞治疗动脉瘤的首次应用_https://www.jmylbn.com_新闻资讯_第22张

动脉瘤大小测量

动脉长鞘怎么置入深谋远路 | 千人皆翘首,万唤今始来——国内首款7F长鞘在血流导向密网支架联合弹簧圈栓塞治疗动脉瘤的首次应用_https://www.jmylbn.com_新闻资讯_第23张

载瘤动脉测量


术前讨论

术前诊断:右侧颈内动脉眼动脉段动脉瘤。

手术策略:患者明确诊断为颅内动脉瘤,有手术治疗指征,详细向患者告知手术治疗方案,行血流导向装置植入术和动脉瘤弹簧圈栓塞术治疗。


术中主要器械

长鞘:深瑞达7F 90cm输送导管

颅内支撑导管:5F 115cm

微导管:0.017"微导管

微导丝:0.014"微导丝

支架:4.0 * 25mm

弹簧圈(各类型弹簧圈数枚)

 

术中主要过程

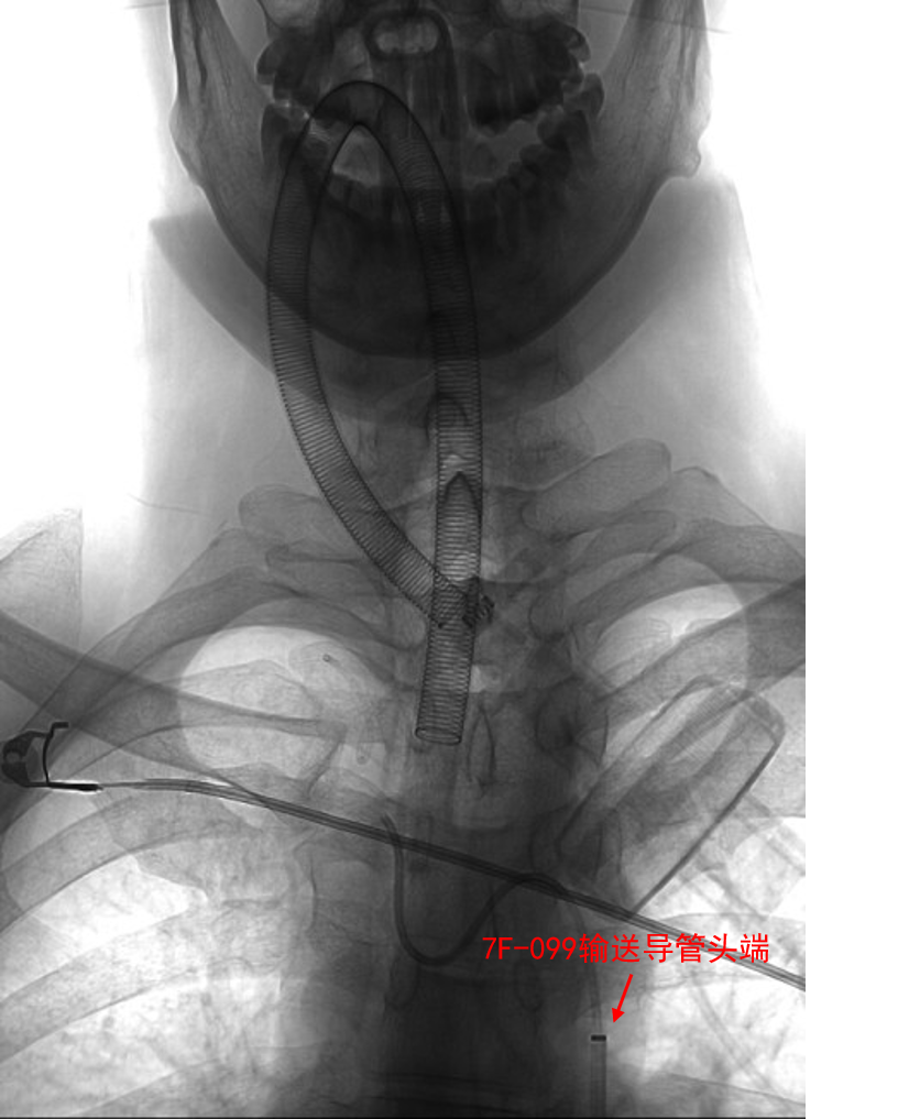
- 全麻,右侧股动脉穿刺,采用同轴技术,在泥鳅导丝+VTK导管辅助下将深瑞达7F 90cm输送导管置于右侧颈内动脉Cl段。

动脉长鞘怎么置入深谋远路 | 千人皆翘首,万唤今始来——国内首款7F长鞘在血流导向密网支架联合弹簧圈栓塞治疗动脉瘤的首次应用_https://www.jmylbn.com_新闻资讯_第24张

VTK加导丝将深瑞达7F输送导管输送至右侧ICA

- 5F 115cm颅内支持导管在泥鳅导丝支撑下超选入右侧颈内动脉C3段内。支架微导管先经5F颅内支持导管在微导丝支撑下超选入右侧大脑中动脉M1段。后微导管塑形后经深瑞达7F 90cm输送导管在微导丝支撑下超选入动脉瘤腔内。

动脉长鞘怎么置入深谋远路 | 千人皆翘首,万唤今始来——国内首款7F长鞘在血流导向密网支架联合弹簧圈栓塞治疗动脉瘤的首次应用_https://www.jmylbn.com_新闻资讯_第25张

微导管后撤弹入瘤腔

路图下先释放4.0*25mm 密网支架完全覆盖瘤颈,用J型微导丝予以支架内按摩。术中 Vaso CT证实支架打开贴壁良好。

动脉长鞘怎么置入深谋远路 | 千人皆翘首,万唤今始来——国内首款7F长鞘在血流导向密网支架联合弹簧圈栓塞治疗动脉瘤的首次应用_https://www.jmylbn.com_新闻资讯_第26张

Vaso CT证实支架打开贴壁良好

- 新路图下,沿微导管依次填入数枚弹簧圈,将动脉瘤填塞。复查造影证实动脉瘤达完全栓塞,载瘤动脉通畅。

动脉长鞘怎么置入深谋远路 | 千人皆翘首,万唤今始来——国内首款7F长鞘在血流导向密网支架联合弹簧圈栓塞治疗动脉瘤的首次应用_https://www.jmylbn.com_新闻资讯_第27张术后正位造影

动脉长鞘怎么置入深谋远路 | 千人皆翘首,万唤今始来——国内首款7F长鞘在血流导向密网支架联合弹簧圈栓塞治疗动脉瘤的首次应用_https://www.jmylbn.com_新闻资讯_第28张

术后侧位造影

动脉长鞘怎么置入深谋远路 | 千人皆翘首,万唤今始来——国内首款7F长鞘在血流导向密网支架联合弹簧圈栓塞治疗动脉瘤的首次应用_https://www.jmylbn.com_新闻资讯_第29张

动脉长鞘怎么置入深谋远路 | 千人皆翘首,万唤今始来——国内首款7F长鞘在血流导向密网支架联合弹簧圈栓塞治疗动脉瘤的首次应用_https://www.jmylbn.com_新闻资讯_第30张

 深瑞达7F输送导管,中间导管和弹簧圈微导管的位置关系

动脉长鞘怎么置入深谋远路 | 千人皆翘首,万唤今始来——国内首款7F长鞘在血流导向密网支架联合弹簧圈栓塞治疗动脉瘤的首次应用_https://www.jmylbn.com_新闻资讯_第3张

总结体会

行单侧穿刺双系统或三系统手术方案为血流导向装置(FD)的释放提供了一个全新的解决方案:

1.对于植入相对窄颈、流入道与流出道成角大、FD释放后有移位风险、瘤颈处可见射血征者,临床上通常在释放血流装置的同时需要结合弹簧圈填塞。

2.经单侧股动脉入路7F输送导管配合5F中间导管和微导管双系统可解决双侧股动脉穿刺通路建立需求,在提高手术效率、增加手术安全性的同时,能够减少病人花费,一举多得。

3.深瑞达7F输送导管有0.099"大内腔(外径0.118 inch/3.00 mm,内径0.099 inch/2.51 mm),独特的设计,为行单侧穿测进行血流导向装置结合弹簧圈栓塞的治疗提供了全新的选择。

动脉长鞘怎么置入深谋远路 | 千人皆翘首,万唤今始来——国内首款7F长鞘在血流导向密网支架联合弹簧圈栓塞治疗动脉瘤的首次应用_https://www.jmylbn.com_新闻资讯_第32张


动脉长鞘怎么置入深谋远路 | 千人皆翘首,万唤今始来——国内首款7F长鞘在血流导向密网支架联合弹簧圈栓塞治疗动脉瘤的首次应用_https://www.jmylbn.com_新闻资讯_第33张

术者介绍


动脉长鞘怎么置入深谋远路 | 千人皆翘首,万唤今始来——国内首款7F长鞘在血流导向密网支架联合弹簧圈栓塞治疗动脉瘤的首次应用_https://www.jmylbn.com_新闻资讯_第34张

本期嘉宾

顾宇翔

复旦大学附属华山医院


  • 复旦大学附属华山医院主任医师,教授,博士生导师

  • 复旦大学附属华山医院虹桥院区副院长、复旦大学附属华山医院神经外科副主任、北院神经外科执行主任

  • 卫健委脑防委缺血性卒中外科专业委员会副主任委员

  • 中国医药教育协会神经外科专业委员会副主任委员

  • 卫健委脑防委中青年专家委员会副主任委员中国医师协会神经介入专业委员会脑血管病复合手术专业委员会副主任委员

  • 中国卒中学会复合介入神经外科分会副主任委员

  • 中国神经介入资讯副主编中国临床神经科学杂志及中国脑血管病杂志编委

  • 主要从事应用血管内介入与显微外科技术对脑血管疾病、脑卒中的临床诊治工作,同时开展脑血管疾病的病理生理与人工智能的相关研究。从事烟雾病的基础与临床诊疗工作20余年,积累丰富的烟雾病颅内外血管吻合手术经验。近年来在烟雾病的临床流行病学、分子遗传学、认知相关多模态影像与精准脑血流重建研究颇有建树,作为课题负责人有多项国家重大项目子课题、国家科学自然基金及省部级基金,发表多篇有国际影响的论文。作为主要完成人获国家科技进步奖、教育部科技奖、上海市科技进步奖、中华医学科技奖、上海市医学科技奖等多项奖项




动脉长鞘怎么置入深谋远路 | 千人皆翘首,万唤今始来——国内首款7F长鞘在血流导向密网支架联合弹簧圈栓塞治疗动脉瘤的首次应用_https://www.jmylbn.com_新闻资讯_第35张

本期嘉宾

高超

复旦大学附属华山医院


  • 复旦大学附属华山医院神经外科副主任医师

  • 复旦大学医学博士

  • 美国密西根大学Crosby神经科学实验室博士后

  • 美国加州大学旧金山分校神经外科访问学者

  • 中国“青年介入委员会”委员

  • 参研国家自然科学基金青年项目多项

  • 主持上海市卫生健康委员会科研项目1项

  • 发表SCI及国家核心期刊论文10余篇,参与编写医学专著多部

  • 擅长复杂性脑、脊髓血管病(颅内动脉瘤、脑血管畸形、颈动脉狭窄和大脑中动脉狭窄)的血管内介入治疗及显微外科手术、烟雾病颅内外血管搭桥术







动脉长鞘怎么置入深谋远路 | 千人皆翘首,万唤今始来——国内首款7F长鞘在血流导向密网支架联合弹簧圈栓塞治疗动脉瘤的首次应用_https://www.jmylbn.com_新闻资讯_第36张

扫码关注神经介入在线

 神经介入在线投稿:

     sjjrzx@hh-medic.com      




动脉长鞘怎么置入深谋远路 | 千人皆翘首,万唤今始来——国内首款7F长鞘在血流导向密网支架联合弹簧圈栓塞治疗动脉瘤的首次应用_https://www.jmylbn.com_新闻资讯_第37张

进入和缓学术” 全方位学习神经介入课程