动脉长鞘怎么置入有励可说|Locaste 088励楷长鞘及Tarvos微导丝在左侧大脑中动脉闭塞取栓术中的应用

新闻资讯2026-04-21 02:52:59
动脉长鞘怎么置入有励可说|Locaste 088励楷长鞘及Tarvos微导丝在左侧大脑中动脉闭塞取栓术中的应用_https://www.jmylbn.com_新闻资讯_第1张
动脉长鞘怎么置入有励可说|Locaste 088励楷长鞘及Tarvos微导丝在左侧大脑中动脉闭塞取栓术中的应用_https://www.jmylbn.com_新闻资讯_第2张
动脉长鞘怎么置入有励可说|Locaste 088励楷长鞘及Tarvos微导丝在左侧大脑中动脉闭塞取栓术中的应用_https://www.jmylbn.com_新闻资讯_第3张

本期病例

01

病史介绍

基本信息:患者女性,66岁。

主诉:发现言语不能伴右侧肢体无力6小时余。

既往病史:否认高血压,脑卒中,糖尿病,心脏病病史;否认手术外伤史;否认药物、食物过敏史;否认消化溃疡、出血史;否认结核等传染病史;否认吸烟饮酒史。

入院查体情况:神清,运动性失语,查体不合作,双侧瞳孔等大等圆,d=3mm,对光反射灵敏,双眼向左凝视,右侧鼻唇沟变浅,伸舌不配合,颈软,右侧肢体肌力1级,肌张力高,左侧肢体肌力肌张力可,双侧腱反射对称,右侧病理征阳性,感觉检查、共济运动不配合。双肺呼吸音清晰,未及啰音,心率52次/分,律齐,无杂音,腹软,无压痛反跳痛。

02

术前影像学检查结果

术前CTA提示左侧大脑中动脉M1段闭塞。

动脉长鞘怎么置入有励可说|Locaste 088励楷长鞘及Tarvos微导丝在左侧大脑中动脉闭塞取栓术中的应用_https://www.jmylbn.com_新闻资讯_第4张
动脉长鞘怎么置入有励可说|Locaste 088励楷长鞘及Tarvos微导丝在左侧大脑中动脉闭塞取栓术中的应用_https://www.jmylbn.com_新闻资讯_第5张

术前CTP提示左侧大脑半球大片低灌注,小核心梗死区。

动脉长鞘怎么置入有励可说|Locaste 088励楷长鞘及Tarvos微导丝在左侧大脑中动脉闭塞取栓术中的应用_https://www.jmylbn.com_新闻资讯_第6张
动脉长鞘怎么置入有励可说|Locaste 088励楷长鞘及Tarvos微导丝在左侧大脑中动脉闭塞取栓术中的应用_https://www.jmylbn.com_新闻资讯_第7张

03

术前诊断及手术策略制定

术前诊断:

  1. 大面积脑梗死

  2. 左侧大脑中动脉M1段闭塞

手术方式:颅内动脉取栓术

手术难点分析:

  1. 路径迂曲,通路建立稳定性不佳

  2. 大脑中动脉上下干血管迂曲且血栓负荷大,取栓困难

术前用药:

  1. 肝素钠

  2. 右美托咪定

  3. 诺扬

04

术中器械

  • 励楷科技 90cm Locaste 088输送导管

  • 励楷科技 200cm Tarvos微导丝 标准版

  • 125cm 多功能单弯导管

  • 泥鳅导丝

  • 6F 远端通路导管

  • Rebar 18 微导管

  • 4×40mm 颅内取栓支架

05

治疗经过

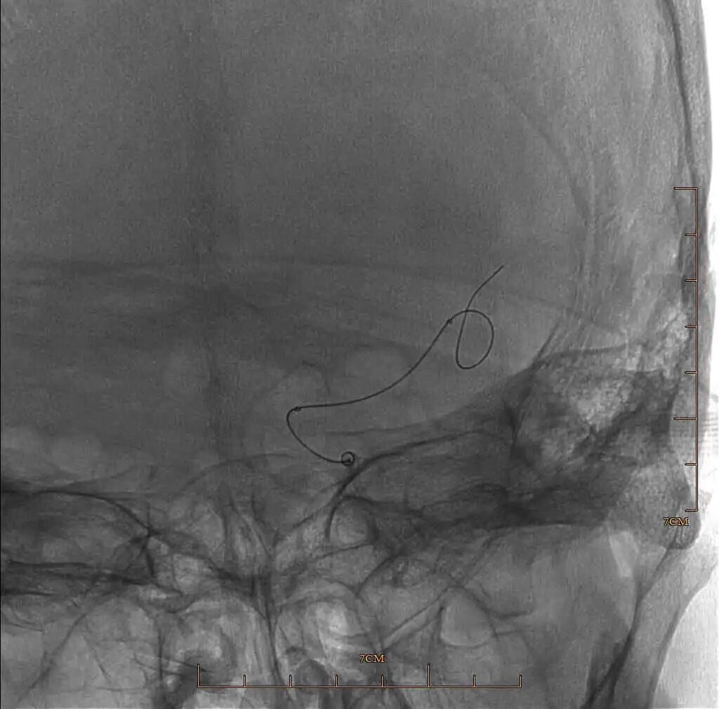
90cm Locaste 088输送导管建立路径,造影提示左侧大脑中动脉M1段闭塞。

动脉长鞘怎么置入有励可说|Locaste 088励楷长鞘及Tarvos微导丝在左侧大脑中动脉闭塞取栓术中的应用_https://www.jmylbn.com_新闻资讯_第8张
动脉长鞘怎么置入有励可说|Locaste 088励楷长鞘及Tarvos微导丝在左侧大脑中动脉闭塞取栓术中的应用_https://www.jmylbn.com_新闻资讯_第9张
动脉长鞘怎么置入有励可说|Locaste 088励楷长鞘及Tarvos微导丝在左侧大脑中动脉闭塞取栓术中的应用_https://www.jmylbn.com_新闻资讯_第10张

Tarvos微导丝携微导管超选大脑中下干M2末端。

动脉长鞘怎么置入有励可说|Locaste 088励楷长鞘及Tarvos微导丝在左侧大脑中动脉闭塞取栓术中的应用_https://www.jmylbn.com_新闻资讯_第11张
动脉长鞘怎么置入有励可说|Locaste 088励楷长鞘及Tarvos微导丝在左侧大脑中动脉闭塞取栓术中的应用_https://www.jmylbn.com_新闻资讯_第12张

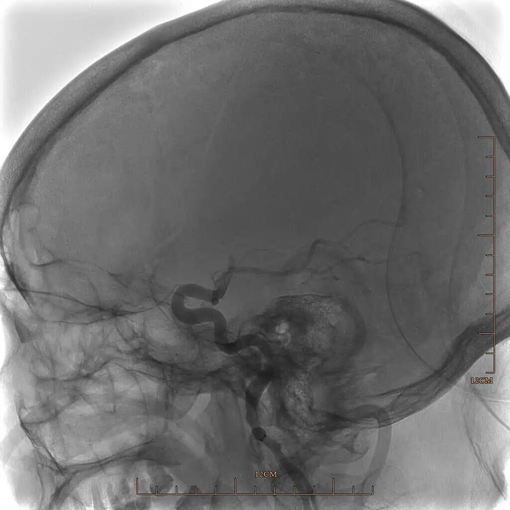
取栓后下干再通,上干仍闭塞。

动脉长鞘怎么置入有励可说|Locaste 088励楷长鞘及Tarvos微导丝在左侧大脑中动脉闭塞取栓术中的应用_https://www.jmylbn.com_新闻资讯_第13张
动脉长鞘怎么置入有励可说|Locaste 088励楷长鞘及Tarvos微导丝在左侧大脑中动脉闭塞取栓术中的应用_https://www.jmylbn.com_新闻资讯_第14张

Tarvos微导丝携微导管超选大脑中上干,微导管冒烟确认血管真腔,释放取栓支架。

动脉长鞘怎么置入有励可说|Locaste 088励楷长鞘及Tarvos微导丝在左侧大脑中动脉闭塞取栓术中的应用_https://www.jmylbn.com_新闻资讯_第15张
动脉长鞘怎么置入有励可说|Locaste 088励楷长鞘及Tarvos微导丝在左侧大脑中动脉闭塞取栓术中的应用_https://www.jmylbn.com_新闻资讯_第16张
动脉长鞘怎么置入有励可说|Locaste 088励楷长鞘及Tarvos微导丝在左侧大脑中动脉闭塞取栓术中的应用_https://www.jmylbn.com_新闻资讯_第17张

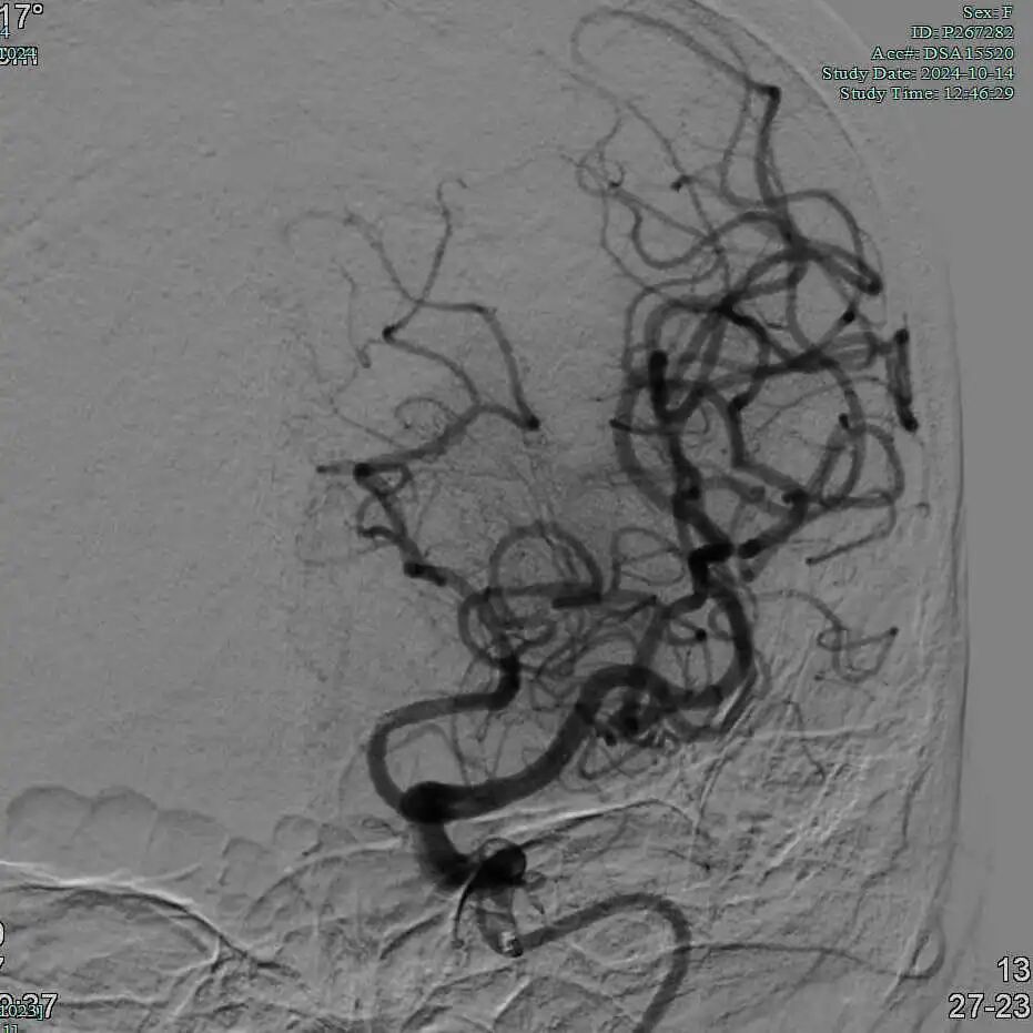
半回收取栓支架取栓后大脑中动脉上干血管再通。

动脉长鞘怎么置入有励可说|Locaste 088励楷长鞘及Tarvos微导丝在左侧大脑中动脉闭塞取栓术中的应用_https://www.jmylbn.com_新闻资讯_第18张
动脉长鞘怎么置入有励可说|Locaste 088励楷长鞘及Tarvos微导丝在左侧大脑中动脉闭塞取栓术中的应用_https://www.jmylbn.com_新闻资讯_第19张
动脉长鞘怎么置入有励可说|Locaste 088励楷长鞘及Tarvos微导丝在左侧大脑中动脉闭塞取栓术中的应用_https://www.jmylbn.com_新闻资讯_第20张
动脉长鞘怎么置入有励可说|Locaste 088励楷长鞘及Tarvos微导丝在左侧大脑中动脉闭塞取栓术中的应用_https://www.jmylbn.com_新闻资讯_第21张

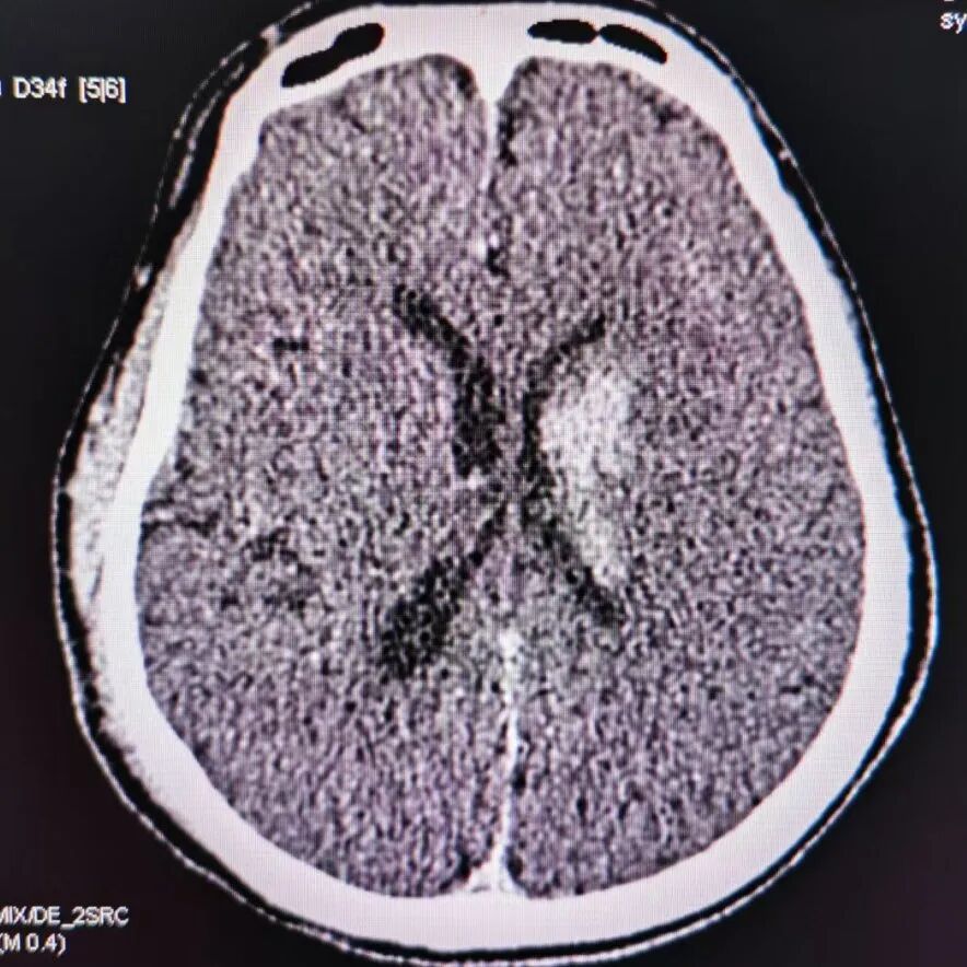
06

术后影像

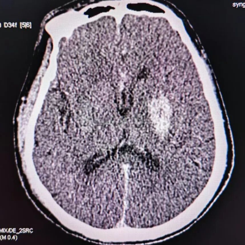
术后CT提示基底节区高密度灶。

动脉长鞘怎么置入有励可说|Locaste 088励楷长鞘及Tarvos微导丝在左侧大脑中动脉闭塞取栓术中的应用_https://www.jmylbn.com_新闻资讯_第22张
动脉长鞘怎么置入有励可说|Locaste 088励楷长鞘及Tarvos微导丝在左侧大脑中动脉闭塞取栓术中的应用_https://www.jmylbn.com_新闻资讯_第23张

去碘后考虑造影剂外渗。

动脉长鞘怎么置入有励可说|Locaste 088励楷长鞘及Tarvos微导丝在左侧大脑中动脉闭塞取栓术中的应用_https://www.jmylbn.com_新闻资讯_第24张
动脉长鞘怎么置入有励可说|Locaste 088励楷长鞘及Tarvos微导丝在左侧大脑中动脉闭塞取栓术中的应用_https://www.jmylbn.com_新闻资讯_第25张

术者体会

  1. 血管迂曲的患者取栓需要建立稳定的通路保证手术的顺利进行,励楷科技 Locaste 088输送导管在本次病例中提供了强有力的近端支撑,为成功取栓打下了坚实的基础;

  2. 微导丝的良好超控及通过性能有利于通过迂曲血管到达远端,励楷科技 Tarvos微导丝塑形能力佳,扭控强,先后超选大脑中动脉下干、上干顺利;且柔韧耐用,术中能够多次输送;

  3. 大负荷血栓使用大口径中间导管及较长的取栓支架可能是更好的选择;

  4. 该病例如果能使用球囊导引导管可能会减少取栓次数及血栓逃逸。

产品介绍

励楷科技 Locaste 088输送导管柔软无创的头端能够实现高到位,为后续器械的输送提供稳定支撑;有效减少血管损伤,降低了夹层、痉挛等并发症的风险;管身七节段软硬渐变设计,提供超强的近端支撑与稳定的弓上支撑;0.088''大内腔兼容6F中间导管,双/三微导管系统。

动脉长鞘怎么置入有励可说|Locaste 088励楷长鞘及Tarvos微导丝在左侧大脑中动脉闭塞取栓术中的应用_https://www.jmylbn.com_新闻资讯_第26张

励楷科技 Tarvos微导丝是国产首款微槽海波管结构神经导丝,提供近远端1:1扭控反馈,头端2cm扁平芯丝,使术者更好塑形,且有良好的塑形保持能力。3cm头端显影型号,专为动脉瘤设计,有利于更好定位微导丝及微导管;近端圆形不锈钢变径芯丝,可提供良好的推送力及稳定的支撑性。远端亲水涂层,降低行进阻力,安全到位输送无忧。Tarvos微导丝头端柔软,减少出血等并发症风险,为术者更快地超选血管以缩短通路搭建时间。

动脉长鞘怎么置入有励可说|Locaste 088励楷长鞘及Tarvos微导丝在左侧大脑中动脉闭塞取栓术中的应用_https://www.jmylbn.com_新闻资讯_第27张


术者简介

 动脉长鞘怎么置入有励可说|Locaste 088励楷长鞘及Tarvos微导丝在左侧大脑中动脉闭塞取栓术中的应用_https://www.jmylbn.com_新闻资讯_第28张

杜杰

咸宁市中心医院

主要从事神经内科临床工作,擅长脑血管病、中枢神经系统感染、脱髓鞘、癫痫、帕金森与运动障碍病、头痛、头晕等疾病的诊治,尤其擅长脑血管病介入治疗。

学术头衔:

湖北省医师协会神经介入专业委员会委员

湖北省医师协会神经康复专委会委员

湖北省脑血管病防治学会第一届神经介入专业委员

动脉长鞘怎么置入有励可说|Locaste 088励楷长鞘及Tarvos微导丝在左侧大脑中动脉闭塞取栓术中的应用_https://www.jmylbn.com_新闻资讯_第29张

励楷科技成立于2019年,专注研发生产销售神经介入植入医疗器械产品,产品管线全覆盖出血类、急性缺血类、慢性缺血类产品。

公司致力于以神经介入为切入点,通过强大的自主研发能力+全球先进技术BD能力双轮驱动,以及完善的研发-产品-市场销售闭环体系,成为全球脑血管疾病器械,乃至整个医疗器械产业中领先的创新技术平台。励楷科技为目前国内极少数几家真正掌握神经介入底层核心技术、并已成功建成完全自有技术平台,且具有极强出海能力的公司之一。

© 版权声明

严禁任何媒体、网站或个人在未经授权的情况下转载或以其他方式复制发布/发表本文内的文字、图片、视频等资料。已经协议授权的媒体、网站或个人,在使用时必须注明来源,违者将依法追究责任。

△ 特别说明

本页面所包含的文字、图片、音视频等内容仅供医学专业人士参考。本页面所包含的内容,仅为专家个人观点,不能代替医疗专业人士的判断。本页面不向非医学专业人士开放,敬请理解。





觉得内容还不错,点个“在看”呗

动脉长鞘怎么置入有励可说|Locaste 088励楷长鞘及Tarvos微导丝在左侧大脑中动脉闭塞取栓术中的应用_https://www.jmylbn.com_新闻资讯_第30张
动脉长鞘怎么置入有励可说|Locaste 088励楷长鞘及Tarvos微导丝在左侧大脑中动脉闭塞取栓术中的应用_https://www.jmylbn.com_新闻资讯_第31张