动脉长鞘怎么置入有励可说|Locaste 088励楷长鞘及Tarvos微导丝在右侧大脑中动脉M2段取栓术中的应用

新闻资讯2026-04-21 02:52:58
动脉长鞘怎么置入有励可说|Locaste 088励楷长鞘及Tarvos微导丝在右侧大脑中动脉M2段取栓术中的应用_https://www.jmylbn.com_新闻资讯_第1张
动脉长鞘怎么置入有励可说|Locaste 088励楷长鞘及Tarvos微导丝在右侧大脑中动脉M2段取栓术中的应用_https://www.jmylbn.com_新闻资讯_第2张
动脉长鞘怎么置入有励可说|Locaste 088励楷长鞘及Tarvos微导丝在右侧大脑中动脉M2段取栓术中的应用_https://www.jmylbn.com_新闻资讯_第3张

本期病例

01

病史介绍

基本信息:患者男性,75岁。

主诉:左侧肢体无力6小时。

既往史:平素体质健康,否认高血压、糖尿病、脑卒中病史,否认吸烟、饮酒史,否认药物过敏史。

查体:BP:140/80mmHg,心肺腹查体未见明显异常。神经系统查体:神志清楚,构音障碍,高级皮层功能粗测可,双侧瞳孔等大等圆,直径约3mm,对光反射存在,双眼睑无下垂,双眼各方向活动自如,左侧中枢性面舌瘫,左上肢肌力0级,左下肢肌力3级,右侧肢体肌力5级,双侧深浅感觉对称,双侧腱反射对称引出,左侧Babinski征(+)。颈软,双侧Kerning征(-),Brudzinsk征(-),NIHSS评分:9分(面瘫2+构音2+左上肢4+左下肢2),发病前mRS评分:0分,发病后mRS评分:4分。

02

术前影像学检查结果

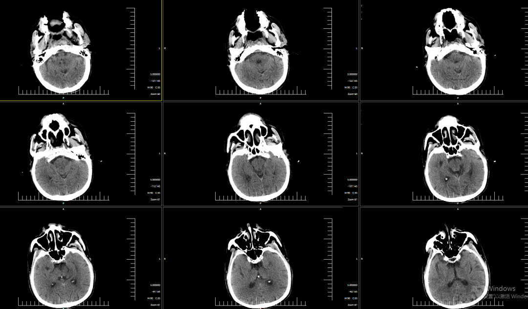
NCT提示双侧基底节区腔隙性脑梗塞。

动脉长鞘怎么置入有励可说|Locaste 088励楷长鞘及Tarvos微导丝在右侧大脑中动脉M2段取栓术中的应用_https://www.jmylbn.com_新闻资讯_第4张

DWI提示右侧岛叶、右侧额顶叶明显弥散受限。

动脉长鞘怎么置入有励可说|Locaste 088励楷长鞘及Tarvos微导丝在右侧大脑中动脉M2段取栓术中的应用_https://www.jmylbn.com_新闻资讯_第5张

CTA提示右侧大脑中动脉M2段下干闭塞。

动脉长鞘怎么置入有励可说|Locaste 088励楷长鞘及Tarvos微导丝在右侧大脑中动脉M2段取栓术中的应用_https://www.jmylbn.com_新闻资讯_第6张
动脉长鞘怎么置入有励可说|Locaste 088励楷长鞘及Tarvos微导丝在右侧大脑中动脉M2段取栓术中的应用_https://www.jmylbn.com_新闻资讯_第7张
动脉长鞘怎么置入有励可说|Locaste 088励楷长鞘及Tarvos微导丝在右侧大脑中动脉M2段取栓术中的应用_https://www.jmylbn.com_新闻资讯_第8张

CTP提示核心梗死体积2.4ml,Mismatch体积160.8ml,低灌注区体积163.2ml,Mismatch比值为68。

动脉长鞘怎么置入有励可说|Locaste 088励楷长鞘及Tarvos微导丝在右侧大脑中动脉M2段取栓术中的应用_https://www.jmylbn.com_新闻资讯_第9张

03

术前诊断及手术策略制定

术前诊断:右侧大脑中动脉M2段取栓。

手术方式:经桡入路采用SWIM技术取栓。

手术难点分析:入路的建立。

术前用药:

  1. 静脉镇静;

  2. 保护性约束制动。

04

术中器械

  • 励楷科技 90cm Locaste 088输送导管

  • 励楷科技 200cm Tarvos微导丝 标准版

  • 西蒙造影导管

  • 泥鳅导丝

  • 4F 130cm 颅内支撑导管

  • Headway 17微导管

  • Traxcess 14微导丝

  • 取栓支架

05

治疗经过

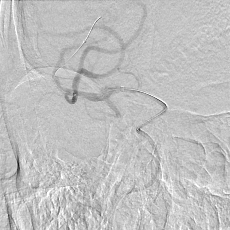
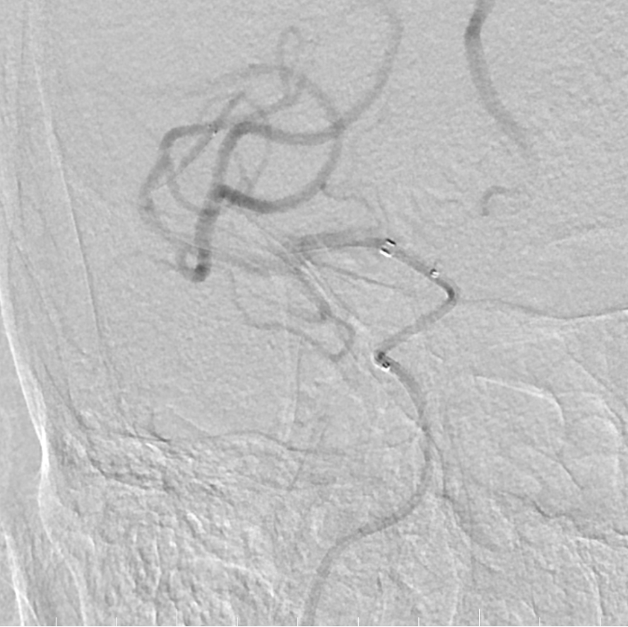
造影提示右侧大脑中动脉M2段下干闭塞。

动脉长鞘怎么置入有励可说|Locaste 088励楷长鞘及Tarvos微导丝在右侧大脑中动脉M2段取栓术中的应用_https://www.jmylbn.com_新闻资讯_第10张
动脉长鞘怎么置入有励可说|Locaste 088励楷长鞘及Tarvos微导丝在右侧大脑中动脉M2段取栓术中的应用_https://www.jmylbn.com_新闻资讯_第11张

Tarvos微导丝轻松超选,到达M1段。

动脉长鞘怎么置入有励可说|Locaste 088励楷长鞘及Tarvos微导丝在右侧大脑中动脉M2段取栓术中的应用_https://www.jmylbn.com_新闻资讯_第12张
动脉长鞘怎么置入有励可说|Locaste 088励楷长鞘及Tarvos微导丝在右侧大脑中动脉M2段取栓术中的应用_https://www.jmylbn.com_新闻资讯_第13张

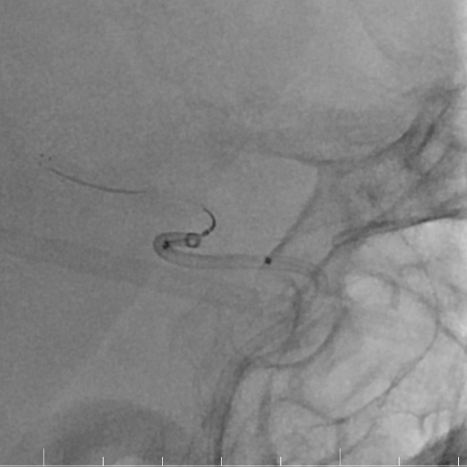
Tarvos微导丝携微导管到位。

动脉长鞘怎么置入有励可说|Locaste 088励楷长鞘及Tarvos微导丝在右侧大脑中动脉M2段取栓术中的应用_https://www.jmylbn.com_新闻资讯_第14张
动脉长鞘怎么置入有励可说|Locaste 088励楷长鞘及Tarvos微导丝在右侧大脑中动脉M2段取栓术中的应用_https://www.jmylbn.com_新闻资讯_第15张
动脉长鞘怎么置入有励可说|Locaste 088励楷长鞘及Tarvos微导丝在右侧大脑中动脉M2段取栓术中的应用_https://www.jmylbn.com_新闻资讯_第16张
动脉长鞘怎么置入有励可说|Locaste 088励楷长鞘及Tarvos微导丝在右侧大脑中动脉M2段取栓术中的应用_https://www.jmylbn.com_新闻资讯_第17张

支架释放,采用SWIM技术取栓。

动脉长鞘怎么置入有励可说|Locaste 088励楷长鞘及Tarvos微导丝在右侧大脑中动脉M2段取栓术中的应用_https://www.jmylbn.com_新闻资讯_第18张
动脉长鞘怎么置入有励可说|Locaste 088励楷长鞘及Tarvos微导丝在右侧大脑中动脉M2段取栓术中的应用_https://www.jmylbn.com_新闻资讯_第19张

06

术后影像

术后即刻影像。

动脉长鞘怎么置入有励可说|Locaste 088励楷长鞘及Tarvos微导丝在右侧大脑中动脉M2段取栓术中的应用_https://www.jmylbn.com_新闻资讯_第20张
动脉长鞘怎么置入有励可说|Locaste 088励楷长鞘及Tarvos微导丝在右侧大脑中动脉M2段取栓术中的应用_https://www.jmylbn.com_新闻资讯_第21张

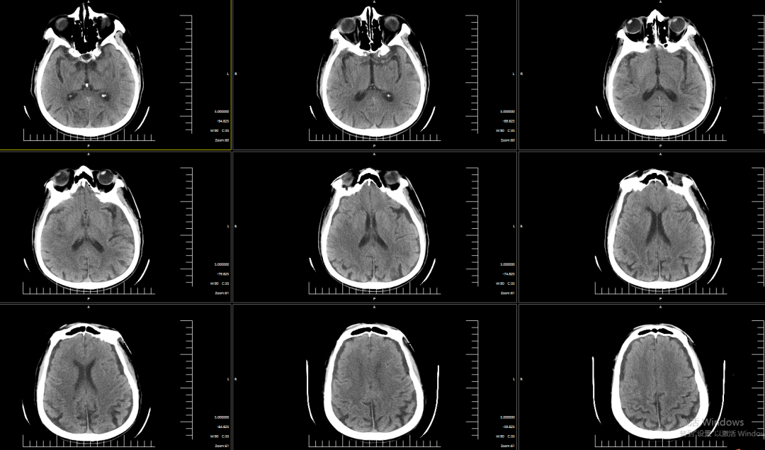
术后复查CT、TCD。

动脉长鞘怎么置入有励可说|Locaste 088励楷长鞘及Tarvos微导丝在右侧大脑中动脉M2段取栓术中的应用_https://www.jmylbn.com_新闻资讯_第22张
动脉长鞘怎么置入有励可说|Locaste 088励楷长鞘及Tarvos微导丝在右侧大脑中动脉M2段取栓术中的应用_https://www.jmylbn.com_新闻资讯_第23张

手术总结

  1. 急诊介入手术的成功要点之一是选择合适的入路和技术;

  2. 术者需要熟悉介入材料,材料的选择决定手术是否顺利和成功;

  3. 术者需具备栓塞、ICAS、夹层、串联病变处理的经验,判断病变性质。

术者体会

  1. 在迂曲血管中通路的建立是介入手术成功的关键,性能良好的长鞘应具备头端柔软、大内腔、到位高、支撑稳定等优点。励楷科技 Locaste 088输送导管是临床在处理复杂病变类型时的通路利器,为后续器械的输送提供可靠稳定的支撑。

  2. 微槽海波管结构使励楷科技 Tarvos微导丝具有极佳的扭控传递能力,可以达到近远端1:1扭控传导,头端柔软塑形能力强,能够很好地在急诊取栓手术中超选远端血管。

产品介绍

励楷科技 Locaste 088输送导管柔软无创的头端能够实现高到位,为后续器械的输送提供稳定支撑;有效减少血管损伤,降低了夹层、痉挛等并发症的风险;管身七节段软硬渐变设计,提供超强的近端支撑与稳定的弓上支撑;0.088''大内腔兼容6F中间导管,双/三微导管系统。

动脉长鞘怎么置入有励可说|Locaste 088励楷长鞘及Tarvos微导丝在右侧大脑中动脉M2段取栓术中的应用_https://www.jmylbn.com_新闻资讯_第24张

励楷科技 Tarvos微导丝是国产首款微槽海波管结构神经导丝,提供近远端1:1扭控反馈,头端2cm扁平芯丝,使术者更好塑形,且有良好的塑形保持能力。3cm头端显影型号,专为动脉瘤设计,有利于更好定位微导丝及微导管;近端圆形不锈钢变径芯丝,可提供良好的推送力及稳定的支撑性。远端亲水涂层,降低行进阻力,安全到位输送无忧。Tarvos微导丝头端柔软,减少出血等并发症风险,为术者更快地超选血管以缩短通路搭建时间。

动脉长鞘怎么置入有励可说|Locaste 088励楷长鞘及Tarvos微导丝在右侧大脑中动脉M2段取栓术中的应用_https://www.jmylbn.com_新闻资讯_第25张


术者简介

 动脉长鞘怎么置入有励可说|Locaste 088励楷长鞘及Tarvos微导丝在右侧大脑中动脉M2段取栓术中的应用_https://www.jmylbn.com_新闻资讯_第26张

周刚

黄冈市中心医院

副主任医师,医学硕士,黄冈市中心医院神经内科2病区副主任,黄冈市中心医院卒中中心秘书。

中国医师协会中西医结合医师分会脑心同治专业委员会委员、湖北省医学会神经病学分会青年委员会委员、湖北省脑血管病防治学会理事、湖北省脑血管病防治学会神经介入及神经重症专业委员会委员、湖北省卒中学会会员、湖北省医学生物免疫学会血栓与止血MDT专委会委员、武汉医学会神经病学分会神经介入学组成、武汉医学会神经血管介入分会委员、黄冈市医学会神经病学分会委员及神经血管介入学组组长、黄冈市神经内科质量控制中心专家组成员、黄冈市脑卒中防治中心执委会秘书、黄冈市中医药学会脑心同治专业委员会委员。

动脉长鞘怎么置入有励可说|Locaste 088励楷长鞘及Tarvos微导丝在右侧大脑中动脉M2段取栓术中的应用_https://www.jmylbn.com_新闻资讯_第27张

励楷科技成立于2019年,专注研发生产销售神经介入植入医疗器械产品,产品管线全覆盖出血类、急性缺血类、慢性缺血类产品。

公司致力于以神经介入为切入点,通过强大的自主研发能力+全球先进技术BD能力双轮驱动,以及完善的研发-产品-市场销售闭环体系,成为全球脑血管疾病器械,乃至整个医疗器械产业中领先的创新技术平台。励楷科技为目前国内极少数几家真正掌握神经介入底层核心技术、并已成功建成完全自有技术平台,且具有极强出海能力的公司之一。

© 版权声明

严禁任何媒体、网站或个人在未经授权的情况下转载或以其他方式复制发布/发表本文内的文字、图片、视频等资料。已经协议授权的媒体、网站或个人,在使用时必须注明来源,违者将依法追究责任。

△ 特别说明

本页面所包含的文字、图片、音视频等内容仅供医学专业人士参考。本页面所包含的内容,仅为专家个人观点,不能代替医疗专业人士的判断。本页面不向非医学专业人士开放,敬请理解。





觉得内容还不错,点个“在看”呗

动脉长鞘怎么置入有励可说|Locaste 088励楷长鞘及Tarvos微导丝在右侧大脑中动脉M2段取栓术中的应用_https://www.jmylbn.com_新闻资讯_第28张
动脉长鞘怎么置入有励可说|Locaste 088励楷长鞘及Tarvos微导丝在右侧大脑中动脉M2段取栓术中的应用_https://www.jmylbn.com_新闻资讯_第29张