动脉长鞘怎么置入有励可说|Locaste 088励楷长鞘在右侧颈内动脉闭塞并夹层术中的应用

新闻资讯2026-04-21 02:53:00
动脉长鞘怎么置入有励可说|Locaste 088励楷长鞘在右侧颈内动脉闭塞并夹层术中的应用_https://www.jmylbn.com_新闻资讯_第1张
动脉长鞘怎么置入有励可说|Locaste 088励楷长鞘在右侧颈内动脉闭塞并夹层术中的应用_https://www.jmylbn.com_新闻资讯_第2张
动脉长鞘怎么置入有励可说|Locaste 088励楷长鞘在右侧颈内动脉闭塞并夹层术中的应用_https://www.jmylbn.com_新闻资讯_第3张

本期病例

01

病史介绍

基本信息:患者男性,37岁。

主诉:主因“突发言语笨拙伴左侧肢体活动不灵约3小时”入院。患者于3小时前无明显诱因突发言语笨拙,伴左侧肢体活动不灵,左上肢不能持物,左下肢不能独自行走,无言语表达障碍,无明显头晕头痛,无恶心呕吐。

既往病史:否认高血压病/糖尿病等病史,无颈部按摩史。

入院查体情况:神清,轻度构音障碍,双眼球右侧凝视,无眼震及复视,双侧瞳孔等大正圆,光反应灵敏,额纹对称,闭目有力,左侧鼻唇沟浅,伸舌左偏,左上肢肌力Ⅱ级,左下肢肌力Ⅲ级,左侧肢体痛觉减退,左侧病理征阳性。NIHSS:10分,洼田饮水试验:1级,mRS:0级。

02

术前影像学检查结果

术前头颅MRA。

动脉长鞘怎么置入有励可说|Locaste 088励楷长鞘在右侧颈内动脉闭塞并夹层术中的应用_https://www.jmylbn.com_新闻资讯_第4张

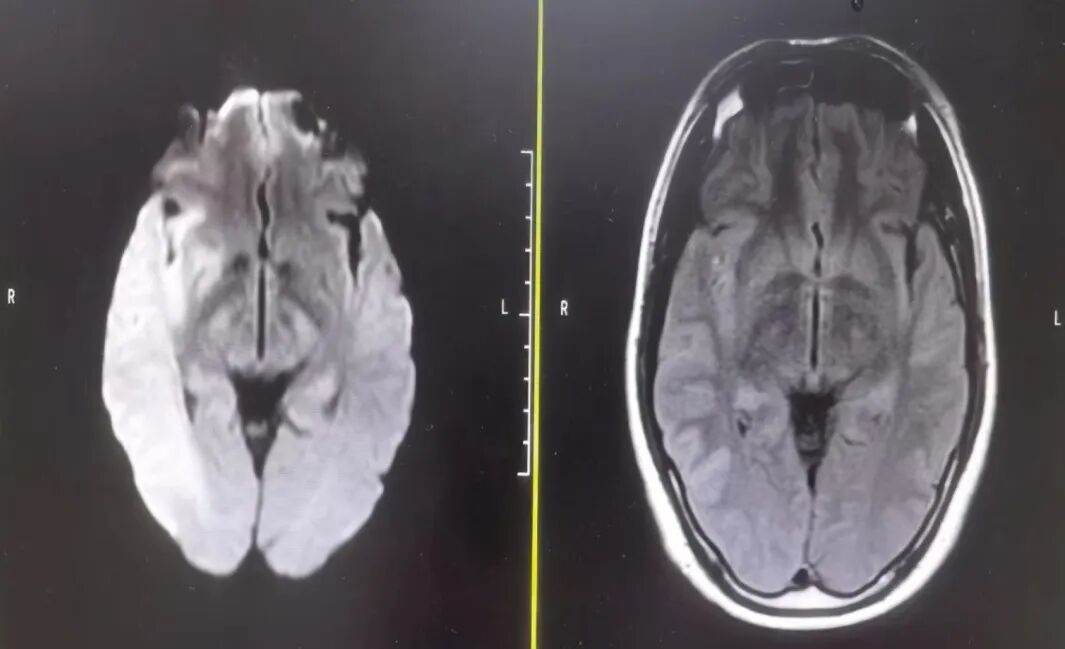
术前头颅DWI+Flair。

动脉长鞘怎么置入有励可说|Locaste 088励楷长鞘在右侧颈内动脉闭塞并夹层术中的应用_https://www.jmylbn.com_新闻资讯_第5张

右侧前循环造影,颈内动脉闭塞。

动脉长鞘怎么置入有励可说|Locaste 088励楷长鞘在右侧颈内动脉闭塞并夹层术中的应用_https://www.jmylbn.com_新闻资讯_第6张

左侧前循环造影。

动脉长鞘怎么置入有励可说|Locaste 088励楷长鞘在右侧颈内动脉闭塞并夹层术中的应用_https://www.jmylbn.com_新闻资讯_第7张

右侧后循环造影。

动脉长鞘怎么置入有励可说|Locaste 088励楷长鞘在右侧颈内动脉闭塞并夹层术中的应用_https://www.jmylbn.com_新闻资讯_第8张

03

术前诊断及手术策略制定

术前诊断:

右侧颈内动脉起始段闭塞。

手术方式:

脑血管造影术+颅内动脉取栓术。

手术难点分析:

患者DSA提示血管闭塞段较长,夹层段较长,位置较高。支架植入过程中如果近端支撑不够,支架可能会发生移位,甚至不能覆盖夹层段。

术前用药:

给予TNK静脉溶栓治疗。

04

术中器械

  • 励楷科技 90cm Locaste 088输送导管

  • 5F 125cm多功能造影导管

  • 泥鳅导丝

  • 颅内取栓支架6×30mm

  • 颅内血栓抽吸导管

  • 微导管

  • 微导丝

  • 颈动脉支架8-6×40mm 

  • 颈动脉支架10-7×40mm

05

治疗经过

Locaste 088输送导管内衬5F多功能导管到达右侧颈动脉颈段,微导管在微导丝引导下达到大脑中动脉,跟进抽吸导管头端输送至右侧颈内动脉C2段。

动脉长鞘怎么置入有励可说|Locaste 088励楷长鞘在右侧颈内动脉闭塞并夹层术中的应用_https://www.jmylbn.com_新闻资讯_第9张

微导丝带微导管通过大脑中动脉M1段。

动脉长鞘怎么置入有励可说|Locaste 088励楷长鞘在右侧颈内动脉闭塞并夹层术中的应用_https://www.jmylbn.com_新闻资讯_第10张

抽拉1次之后复查造影远端血管显影良好。

动脉长鞘怎么置入有励可说|Locaste 088励楷长鞘在右侧颈内动脉闭塞并夹层术中的应用_https://www.jmylbn.com_新闻资讯_第11张

回撤颅内血栓抽吸导管至C1段,造影提示血管夹层,反复确认真腔后将6×30mm取栓支架释放。

动脉长鞘怎么置入有励可说|Locaste 088励楷长鞘在右侧颈内动脉闭塞并夹层术中的应用_https://www.jmylbn.com_新闻资讯_第12张
动脉长鞘怎么置入有励可说|Locaste 088励楷长鞘在右侧颈内动脉闭塞并夹层术中的应用_https://www.jmylbn.com_新闻资讯_第13张

依次向近端植入8-6×40mm及10-7×40mm的颈动脉支架。

动脉长鞘怎么置入有励可说|Locaste 088励楷长鞘在右侧颈内动脉闭塞并夹层术中的应用_https://www.jmylbn.com_新闻资讯_第14张

06

术后影像

支架植入后造影,右侧颈动脉及大脑中动脉血流通畅,支架位置良好。

动脉长鞘怎么置入有励可说|Locaste 088励楷长鞘在右侧颈内动脉闭塞并夹层术中的应用_https://www.jmylbn.com_新闻资讯_第15张
动脉长鞘怎么置入有励可说|Locaste 088励楷长鞘在右侧颈内动脉闭塞并夹层术中的应用_https://www.jmylbn.com_新闻资讯_第16张
动脉长鞘怎么置入有励可说|Locaste 088励楷长鞘在右侧颈内动脉闭塞并夹层术中的应用_https://www.jmylbn.com_新闻资讯_第17张

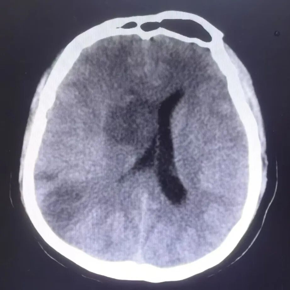
并发症处理:术后24小时患者精神状态差,意识模糊,查体昏睡,双侧瞳孔不等大,左侧直径3mm,右侧直径5mm,无光反应,左侧肢体肌力Ⅳ级,复查头颅CT水肿较重,请神经外科会诊,急诊行去骨瓣减压术。

动脉长鞘怎么置入有励可说|Locaste 088励楷长鞘在右侧颈内动脉闭塞并夹层术中的应用_https://www.jmylbn.com_新闻资讯_第18张
动脉长鞘怎么置入有励可说|Locaste 088励楷长鞘在右侧颈内动脉闭塞并夹层术中的应用_https://www.jmylbn.com_新闻资讯_第19张

术者体会

  1. 本例患者年轻,无脑血管危险因素,出现大面积脑梗死,术前血管评估提示大血管闭塞,考虑夹层可能性大,相关应对措施已准备,手术难度大,风险高,术中夹层段高给予支架植入,励楷科技 Locaste 088输送导管高到位,提供了足够的支撑力,保障了支架位置放置良好,手术成功且手术操作时间相对较短。

  2. 术后患者症状基本恢复正常,术前头颅MRI提示大面积脑梗死,因患者年轻,脑组织饱满,脑水肿明显,内科保守差,给予去骨瓣减压术治疗,经治疗,患者预后佳,肢体活动基本恢复正常,择期行骨瓣修复术。

  3. 在迂曲血管中通路的建立是介入手术成功的关键,性能良好的长鞘应具备头端柔软、大内腔、到位高、支撑稳定等优点。励楷科技 Locaste 088输送导管是临床在处理复杂病变类型时的通路利器,其通过性优异,能够高到位,为后续器械的输送提供可靠稳定的支撑。

产品介绍

励楷科技 Locaste 088输送导管柔软无创的头端能够实现高到位,为后续器械的输送提供稳定支撑;有效减少血管损伤,降低了夹层、痉挛等并发症的风险;管身七节段软硬渐变设计,提供超强的近端支撑与稳定的弓上支撑;0.088''大内腔兼容6F中间导管,双/三微导管系统。

动脉长鞘怎么置入有励可说|Locaste 088励楷长鞘在右侧颈内动脉闭塞并夹层术中的应用_https://www.jmylbn.com_新闻资讯_第20张


术者简介

动脉长鞘怎么置入有励可说|Locaste 088励楷长鞘在右侧颈内动脉闭塞并夹层术中的应用_https://www.jmylbn.com_新闻资讯_第21张

赵青松

赤峰市宁城县中心医院

主任医师,神经内科二病区主任

中国医药教育协会脑卒中血运重建专业委员会委员

内蒙古医学会神经内科分会委员

内蒙古医师协会神经内科分会委员

内蒙古医师协会神经内科基层医师分会副会长

内蒙古医学会神经介入分会委员

内蒙古卒中管理分会委员

内蒙古自治区卒中中心督查专家

赤峰市医学会神经内科分会常务委员

动脉长鞘怎么置入有励可说|Locaste 088励楷长鞘在右侧颈内动脉闭塞并夹层术中的应用_https://www.jmylbn.com_新闻资讯_第22张

励楷科技成立于2019年,专注研发生产销售神经介入植入医疗器械产品,产品管线全覆盖出血类、急性缺血类、慢性缺血类产品。

公司致力于以神经介入为切入点,通过强大的自主研发能力+全球先进技术BD能力双轮驱动,以及完善的研发-产品-市场销售闭环体系,成为全球脑血管疾病器械,乃至整个医疗器械产业中领先的创新技术平台。励楷科技为目前国内极少数几家真正掌握神经介入底层核心技术、并已成功建成完全自有技术平台,且具有极强出海能力的公司之一。

© 版权声明

严禁任何媒体、网站或个人在未经授权的情况下转载或以其他方式复制发布/发表本文内的文字、图片、视频等资料。已经协议授权的媒体、网站或个人,在使用时必须注明来源,违者将依法追究责任。

△ 特别说明

本页面所包含的文字、图片、音视频等内容仅供医学专业人士参考。本页面所包含的内容,仅为专家个人观点,不能代替医疗专业人士的判断。本页面不向非医学专业人士开放,敬请理解。





觉得内容还不错,分享给更多好友

动脉长鞘怎么置入有励可说|Locaste 088励楷长鞘在右侧颈内动脉闭塞并夹层术中的应用_https://www.jmylbn.com_新闻资讯_第23张
动脉长鞘怎么置入有励可说|Locaste 088励楷长鞘在右侧颈内动脉闭塞并夹层术中的应用_https://www.jmylbn.com_新闻资讯_第24张