gore医疗怎么样「胸有乾坤」千钧一发 转危为安——Gore TBE治疗急诊破裂TAA一例

新闻资讯2026-04-20 23:42:43
gore医疗怎么样「胸有乾坤」千钧一发 转危为安——Gore TBE治疗急诊破裂TAA一例_https://www.jmylbn.com_新闻资讯_第1张


本期看点

  • 胸主动脉瘤急诊破裂,病人两次休克,如何快速处理?

  • 病变累及lcca,如何平衡缓急,保障分支,优化预后?

*本病例仅供医学专业人士阅读参考

gore医疗怎么样「胸有乾坤」千钧一发 转危为安——Gore TBE治疗急诊破裂TAA一例_https://www.jmylbn.com_新闻资讯_第2张


主席寄语


gore医疗怎么样「胸有乾坤」千钧一发 转危为安——Gore TBE治疗急诊破裂TAA一例_https://www.jmylbn.com_新闻资讯_第3张

尊敬的各位同道,大家好! 


近年来,随着血管腔内治疗方法的日益普及、手术器械和技术的不断创新和突破,胸主动脉腔内治疗(TEVAR)已在全国各个省市的中心陆续开展。在学科及疗法的快速发展过程中,由于病人多、技术新、任务重,临床上常常重视手术的即刻结果,却缺乏对术后长期效果的随访与评价,对术式与操作的规范化重视不够。为推动医师们技术交流和经验分享,血管资讯平台将于2021年11月起陆续推出胸主动脉腔内治疗优秀病例展示,旨在增进相互学习,了解不同病例治疗策略的制定及思考,手术过程、术中应急处理及术后随访等,提供更多的经验分享。


每一个病例的展示,都体现着术者们精益求精的专业精神——严格规范TEVAR技术操作,充分考虑每一步操作细节及围手术期的管理。我同时希望这个病例展示,能够成为同道们积极探索TEVAR新思路、新方法的交流平台,激发鼓励腔内技术与器械的创新和使用,共同开创胸主动脉腔内治疗的崭新未来!希望本次活动能有更多病例参与展示,使胸主动脉腔内治疗愈加规范、严谨,使更多患者受益。谢谢!

gore医疗怎么样「胸有乾坤」千钧一发 转危为安——Gore TBE治疗急诊破裂TAA一例_https://www.jmylbn.com_新闻资讯_第4张

2021年9月30日


千钧一发 转危为安

Gore TBE治疗急诊破裂TAA一例

中山大学孙逸仙纪念医院心血管外科

郑俊猛教授团队

gore医疗怎么样「胸有乾坤」千钧一发 转危为安——Gore TBE治疗急诊破裂TAA一例_https://www.jmylbn.com_新闻资讯_第5张



















胸主动脉瘤(Thoracic Aortic Aneurysms,TAA)起病隐匿,约95%的TAA患者无明显临床表现,一旦病情进展,可在短期内出现危重并发症(如血管夹层或破裂)。数据显示,TAA破裂致死率高达70%,21%发生急性主动脉事件的患者在抵达医院前即死亡;即使入院者,若未进行紧急手术干预,仍有超过50%的患者将在后续48h内死亡,表现出极高的致死致残风险。

目前TAA的治疗较复杂,如若累及分支, 高度依赖于外科手术或复杂的腔内治疗,例如改装支架等,对病人身体素质要求高、耗时长、感染风险大,且远期预后存在一定风险,难以快速治疗急诊破裂TAA病人。

Gore TBE分支支架,是国内唯一具有TAA适应症的产品,FDA批准其可用于INA、LCCA、LSA重建。作为成品化支架,其流程标准化,即时可用、植入可控性高、隔绝效果佳,简单快速,安全可靠,可快速治疗急诊破裂TAA病人,挽救生命。

gore医疗怎么样「胸有乾坤」千钧一发 转危为安——Gore TBE治疗急诊破裂TAA一例_https://www.jmylbn.com_新闻资讯_第6张
gore医疗怎么样「胸有乾坤」千钧一发 转危为安——Gore TBE治疗急诊破裂TAA一例_https://www.jmylbn.com_新闻资讯_第7张


近日,中山大学孙逸仙纪念医院心血管外科郑俊猛教授团队,使用GORE® TAG® 分支型胸主动脉覆膜支架(以下简称“TBE”),快速治疗一例两次休克的破裂TAA病人,成功隔绝,病人顺利康复,远期恢复理想。




















病史简介

患者:男性,76岁,持续胸痛约1h,意识不清晰,两次休克。

家属代述,患者无明显诱因下突发,心前区剧烈疼痛,可放射至背部。行主动脉CTA显示:主动脉弓动脉瘤上缘破裂,局部少量活动性出血,并前纵隔及左侧胸腔积液大量积血,合并左上下肺膨胀不全;广泛动脉硬化,冠状动脉散在钙化斑块,主动脉及分支管腔未见明显狭窄;双肾多发囊肿及肾结石。

既往史:家属代述,高血压病多年,未规律治疗,血压控制不详;发现血糖升高多年,未规律治疗,血压控制不详;有通风多年,未规律治疗,冠心病多年,具体治疗不详。

入院诊断:主动脉瘤破裂、失血性休克、心律失常、重度肺炎、左侧胸腔积液(血肿)、低蛋白血症、中度贫血、脑梗塞、脑出血。


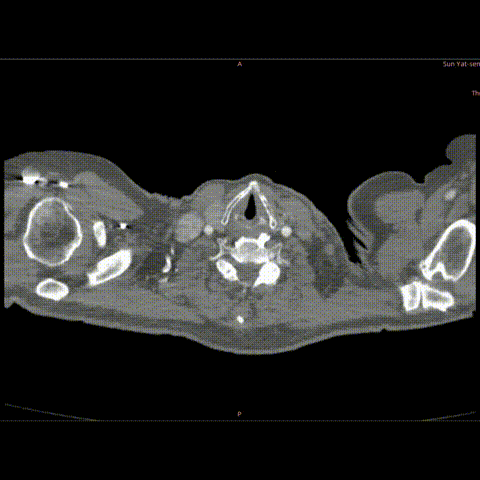
术前CTA

gore医疗怎么样「胸有乾坤」千钧一发 转危为安——Gore TBE治疗急诊破裂TAA一例_https://www.jmylbn.com_新闻资讯_第8张

术前CTA

gore医疗怎么样「胸有乾坤」千钧一发 转危为安——Gore TBE治疗急诊破裂TAA一例_https://www.jmylbn.com_新闻资讯_第9张

术前3D重建

gore医疗怎么样「胸有乾坤」千钧一发 转危为安——Gore TBE治疗急诊破裂TAA一例_https://www.jmylbn.com_新闻资讯_第10张
gore医疗怎么样「胸有乾坤」千钧一发 转危为安——Gore TBE治疗急诊破裂TAA一例_https://www.jmylbn.com_新闻资讯_第11张
  • 病人胸主动脉瘤破裂,病变累及LCCA;近端直径34-37mm。

  • 弓上分支距离较近,INA与LCCA几乎无距离


手术方案设计

  • 考虑病人胸主动脉瘤破裂,两次休克,病情极其危急;同时合并脑梗&脑出血,时间与病人身体素质无法耐受外科手术。

  • 采用Gore TBE分支支架系统TAC084015w + TSB081206w,锚定于INA后缘,重建LCCA分支;

  • INA与LCCA分支距离极近,优先保证隔绝,INA酌情采用平行分支重建,LSA分支栓塞;二期根据情况,行分支转流,重建LSA分支

gore医疗怎么样「胸有乾坤」千钧一发 转危为安——Gore TBE治疗急诊破裂TAA一例_https://www.jmylbn.com_新闻资讯_第12张


手术过程

患者取平卧位,全麻后,常规消毒铺巾双侧腹股沟、左上颈及颈胸部;右侧股动脉和左颈总动脉穿刺,分别置入血管鞘,确认入路。

gore医疗怎么样「胸有乾坤」千钧一发 转危为安——Gore TBE治疗急诊破裂TAA一例_https://www.jmylbn.com_新闻资讯_第13张


下肢引入猪尾导管造影确认,动脉瘤破裂,累及分支,与术前CTA一致。

gore医疗怎么样「胸有乾坤」千钧一发 转危为安——Gore TBE治疗急诊破裂TAA一例_https://www.jmylbn.com_新闻资讯_第14张


交换导丝,右侧引入DSF2433鞘后,经左颈总动脉引入黄斑马导丝,下肢抓捕,建立牵张导丝通路,引入TAC084015W支架;造影确认位置。

gore医疗怎么样「胸有乾坤」千钧一发 转危为安——Gore TBE治疗急诊破裂TAA一例_https://www.jmylbn.com_新闻资讯_第15张


优先保证隔绝,释放TAC084015W支架;随后经牵张导丝引入分支TSB081206w,重建LCCA血供。

gore医疗怎么样「胸有乾坤」千钧一发 转危为安——Gore TBE治疗急诊破裂TAA一例_https://www.jmylbn.com_新闻资讯_第16张


行整体造影,发现存在分支返流,合并轻微的I型内漏。

gore医疗怎么样「胸有乾坤」千钧一发 转危为安——Gore TBE治疗急诊破裂TAA一例_https://www.jmylbn.com_新闻资讯_第17张


经导丝,引入Mustang球囊、三叶球囊,同时球扩,优化近端贴壁与分支重叠位置。

gore医疗怎么样「胸有乾坤」千钧一发 转危为安——Gore TBE治疗急诊破裂TAA一例_https://www.jmylbn.com_新闻资讯_第18张


三叶球囊:完全充气时,让血液持续绕过球囊叶片,实现80%的远端灌注,快速充盈、均匀同步放气,无风袋效应,实现单纯的贴壁优化。

gore医疗怎么样「胸有乾坤」千钧一发 转危为安——Gore TBE治疗急诊破裂TAA一例_https://www.jmylbn.com_新闻资讯_第19张


行整体造影,I型漏隔绝,存在些许II型分支返流,经左肱植入弹簧圈;为保证近端隔绝,INA覆盖约1/3。INA血流正常,为优化血供,植入平行INA裸架。

gore医疗怎么样「胸有乾坤」千钧一发 转危为安——Gore TBE治疗急诊破裂TAA一例_https://www.jmylbn.com_新闻资讯_第20张


行整体造影,动脉瘤隔绝,重建分支血供良好。

gore医疗怎么样「胸有乾坤」千钧一发 转危为安——Gore TBE治疗急诊破裂TAA一例_https://www.jmylbn.com_新闻资讯_第21张


术后随访

术后病人恢复良好,康复出院。术后半年CTA如下,病人动脉瘤隔绝,弓上INA、LCCA血供稳定,LSA代偿良好,左上肢轻微无力。

考虑病人情况,II期行分支转流,重建LSA。

gore医疗怎么样「胸有乾坤」千钧一发 转危为安——Gore TBE治疗急诊破裂TAA一例_https://www.jmylbn.com_新闻资讯_第22张

术后CTA

gore医疗怎么样「胸有乾坤」千钧一发 转危为安——Gore TBE治疗急诊破裂TAA一例_https://www.jmylbn.com_新闻资讯_第23张

术后3D重建


术者应用体会

针对急诊TAA病例,成品化分支支架GORE TBE,作为唯一 一款动脉瘤适应症的产品,简单快速,安全可靠,可快速重建分支,降低死亡风险,提升病患的生存概率;

针对破裂TAA急诊病人,当病变部位累及分支,综合运用多种技术,平衡轻重缓急,可挽救病人生命,提升治疗效果,改善预后;

破裂TAA病人,发病急、危险大、预后复杂,需要术后紧密观察,及时随访,针对性治疗,以优化病人的远期效果。


TBE产品小结

  • 新型模块化单分支胸主动脉支架TBE,三件式设计,通过不同组件间的选择和搭配,具有更宽泛的解剖适配性。

  • TBE支架仅需要通过股动脉入路,即可完成主体支架及分支支架的导入和释放,手术操作更简单更安全。

TBE动画演示

  • 更新迭代 CTAG 黑科技:主体支架源于CTAG平台,采用一根镍钛合金钢丝连续螺旋编织方式,相对于其它节段式支架编织设计,每个圆周面均有金属丝支撑让支架紧密贴合血管,达到有效密封并不易发生移位,无“鸟嘴”。支架应力可以在内部传导,降低由于局部压力过大对血管壁造成损伤的风险。

gore医疗怎么样「胸有乾坤」千钧一发 转危为安——Gore TBE治疗急诊破裂TAA一例_https://www.jmylbn.com_新闻资讯_第24张

支架主体示意图

  • 自带肝素涂层的分支支架,降低血栓风险的同时,主体侧的防脱离机制以及中间段的抗折设计,进一步保证了支架整体的稳定性。

gore医疗怎么样「胸有乾坤」千钧一发 转危为安——Gore TBE治疗急诊破裂TAA一例_https://www.jmylbn.com_新闻资讯_第25张

分支支架示意图

  • 逆向内嵌式的分支设计,TBE分支支架在成角和压缩的情况下,都不会对压力、流速、作用在血管壁上的血流切向阻力产生影响。


上述病例介绍,代表作者的个人观点,仅作为学术交流与术式探讨的目的。关于器械的详细使用说明和适用范围等信息,请参照IFU。


专家简介

gore医疗怎么样「胸有乾坤」千钧一发 转危为安——Gore TBE治疗急诊破裂TAA一例_https://www.jmylbn.com_新闻资讯_第26张

郑俊猛 教授

中山大学孙逸仙纪念医院心血管外科主任,教授,主任医师,外科学博士,中山大学博士生导师

学术任职:中国医师协会心血管外科医师分会委员;中国医师协会心脏移植专业委员会委员;中国医师协会心脏重症专业委员会委员;广东省医学会心血管外科分会副主任委员;广东省医学会器官移植分会副主任委员;广东省医学会血管外科分会副主任委员;广东省医师协会心血管外科分会副主任委员;广东健康管理协会心脏泛血管急重症分会主任委员;广东省胸部疾病协会心肺移植专业委员会副主任委员;广东省胸部疾病协会心血管外科专业委员会副主任委员;

郑俊猛教授是中国卫生部第一批认证的具有心脏移植和肺移植资质的医师,也是国内少有的同时获得心脏移植资质和肺移植资质的医师,是国内心脏移植杰出的专家。郑俊猛教授开展心脏移植20年,完成超 100 例心脏移植,大力发展孙逸仙纪念医院心肺移植,重启孙逸仙纪念医院大器官移植,连续四年,成功带领我院跻身心脏移植完成数量全省第二,全国第十医院行列;大力发展心脏辅助治疗,建立全院ECMO中心及区域ECMO联盟,在全国率先开展直升机 ECMO 跨地区空中转运,实现 ECMO 跨地区及远程支援,2018年度带领团队完成50%全国空中转运任务。撤机率高达54.5%,治愈率43.8%,达世界领先水平,并常规开展植入式左室辅助泵手术;整合了心脏外科和血管外科,将心脏疾病及大血管疾病整体化管理,完善了心血管外科体系建设。率先提倡心血管外科医师需要“开胸与介入两手抓”;推动杂交手术室落成,参与《累计弓部病变的 Hybrid 技术治疗中国专家共识》制定,采用孙氏手术,Hybrid术式为解决夹层难题,更是带领孙逸仙纪念医院心血管外科,胸主动脉支架,腹主动脉支架手术量名列全省前列。

截至目前,已在国内外期刊发表学术论文30余篇,近2年来以第一作者或通讯作者在《circulation》等杂志上发表SCI论文13篇,其中IF>5.0  9篇,IF>10.0   2篇(Circculation.2021;Acta Pharmaceutica Sinica B.2021)。其科研成果《同种异体原位心脏移植术治疗终末期心脏病》曾获广东省科学技术进步三等奖。开展移植免疫中巨噬细胞作用的研究,心肌再灌注损伤,大血管粥样硬化等基础研究。运用OPO捐献心脏瓣膜及大动脉组织,建立组织库,探索异体组织临床应用;从事心脏大血管器械,AI辅助等转化研究,研发新型多自由度腔镜,获广东省科技厅立项,完成专利转化。完成广东省首例达芬奇机器人辅助下心脏冠状动脉搭桥及肺癌根治同期手术治疗,推动微创瓣膜在高龄,危重患者中运用,完成医院首例瓣中瓣手术。获得新型实用专利一项,ECMO搏动流产生装置(ZL2021213339141)。


gore医疗怎么样「胸有乾坤」千钧一发 转危为安——Gore TBE治疗急诊破裂TAA一例_https://www.jmylbn.com_新闻资讯_第27张

李勇辉 教授

中山大学孙逸仙纪念医院心血管外科,副主任医师,医学博士,硕士生导师;广东省健康管理学会血管病学委员会 常务委员;广东省精准医学会周围血管疾病分会 秘书兼委员;广东省基层医药学会血管外科专业委员会委员;《中国普通外科杂志》和《中国胸心血管外科杂志》中青年编委。

擅长:大血管疾病、外周血管疾病的外科治疗;腹主动脉瘤、主动脉夹层的腔内血管修复; 复杂血透通路的建立和维护、下肢缺血性疾病的微创和开放手术、深静脉血栓和肺栓塞的疑难诊治、下肢静脉曲张的微创和美容治疗、颈动脉和大血管的微创和开放手术。


gore医疗怎么样「胸有乾坤」千钧一发 转危为安——Gore TBE治疗急诊破裂TAA一例_https://www.jmylbn.com_新闻资讯_第28张

陶俊 教授

中山大学孙逸仙纪念医院心血管外科,副主任医师。

学术任职:中国医师协会心脏重症分会委员;广东省健康管理学会心脏泛血管急重症专业委员会常务委员;广东省免疫学会移植免疫分会委员;广东省胸部疾病学会心肺移植专业委员会委员;广东省基层医药学会血管外科专业委员会委员;广东省罪犯交付执行前暂予监外执行组织诊断工作临床医学专家;Frontiers in Cardiovascular Medicine 客座编辑;Frontiers in Bioscience-Landmark客座编辑;

临床工作领域:擅长瓣膜病、冠心病、先天性心脏病、大血管疾病、外周血管疾病的外科治疗;腹主动脉瘤、主动脉夹层的腔内血管修复;先天性心脏病及大血管疾病微创治疗;ECMO等体外生命支持治疗;终末期心脏病的心脏移植/人工心外科手术治疗。 

研究领域:致力于肥胖相关性疾病(尤其是肥胖相关性心肌病方向),心脏移植及动脉粥样硬化的基础研究。长期与上海复旦大学中山医院任骏教授团队及301医院周浩教授团队长期合作,共同发表多篇高质量文章。主持研究项目3项,以第一作者/共同第一作者身份发表SCI论文9篇,其中3篇 IF >10,3篇 IF >5。


科室简介

中山大学孙逸仙纪念医院心血管外科创建于1957年,是广州地区最早开展心胸外科手术的单位之一。从1960年开展首例体外循环心内直视手术开始,目前已开展各种心血管疾病的外科手术及综合治疗,包括先天性心脏病的矫治术、心脏瓣膜置换术及整形术、冠状动脉搭桥术、非体外循环冠状动脉搭桥术、肥厚性梗阻型心肌病的左室流出道疏通术、大血管疾病的外科手术及杂交手术、治疗房颤的改良迷宫手术、复杂再次心脏手术、心脏移植等。尤其是冠状动脉搭桥手术效果达到国内领先水平,曾为93岁高龄病人施行不停跳冠脉搭桥手术获得成功,创下国内年龄最大病人搭桥手术成功记录。2016年成功开展心脏移植手术,至今完成数十例心脏移植,2017年开展珠三角地区ECMO空中救援。近年已经开展全腔镜心脏手术以及先心病外科微创封堵术,显著改善疗效。

心血管外科技术力量雄厚,临床诊治经验丰富,科研成绩显著,学术气氛浓厚,科室文化健康,医德医风良好。心血管外科室是国家住院医师培训基地,中山大学专科医师培训基地。现有教授/主任医师4名,副主任医师2名,主治医生6名,住院医师12名。博士研究生导师3名,硕士研究生导师3名。多人曾在欧洲做博士后或进修学习。2019 年及 2021 年获得“广东省医院最强科室推荐”心脏外科推荐,2021 年获得“广东省医院最强科室推荐”器官移植科推荐,2022 年获评“广东省临床重点专科”。

目前,科室在南、北院区各有一个普通病区及一个心血管外科ICU(共四个病区),同时配备一个杂交手术室,开放病床80张,ICU床位16张,心脏大血管手术量约600例。目前配备4部体外膜肺氧合( ECMO ),包括最先进Cardiohelp便携式ECMO; 2部IABP ;10部呼吸机(包括2台转运呼吸机),4部无创呼吸机,3部高频氧疗仪;2部爱德华心排监测仪、2部血气分析仪、ACT监测仪、4台多功能监护除颤系统、3台彩色心脏超声系统等高端抢救、监护设备。

获得国家发明专利和实用新型专利各一项,多项国际专利。每年获得多项国家自然基金及省部级科研项目,并在国内外核心期刊发表多篇论文。



gore医疗怎么样「胸有乾坤」千钧一发 转危为安——Gore TBE治疗急诊破裂TAA一例_https://www.jmylbn.com_新闻资讯_第29张
gore医疗怎么样「胸有乾坤」千钧一发 转危为安——Gore TBE治疗急诊破裂TAA一例_https://www.jmylbn.com_新闻资讯_第30张
gore医疗怎么样「胸有乾坤」千钧一发 转危为安——Gore TBE治疗急诊破裂TAA一例_https://www.jmylbn.com_新闻资讯_第30张

病例征集

如您有相类似的病例,或者希望与术者做进一步的交流,欢迎您将您的联系方式发送至tevar_case@163.com。谢谢!


gore医疗怎么样「胸有乾坤」千钧一发 转危为安——Gore TBE治疗急诊破裂TAA一例_https://www.jmylbn.com_新闻资讯_第30张
gore医疗怎么样「胸有乾坤」千钧一发 转危为安——Gore TBE治疗急诊破裂TAA一例_https://www.jmylbn.com_新闻资讯_第30张
gore医疗怎么样「胸有乾坤」千钧一发 转危为安——Gore TBE治疗急诊破裂TAA一例_https://www.jmylbn.com_新闻资讯_第30张

胸有乾坤 · 往期回顾

gore医疗怎么样「胸有乾坤」千钧一发 转危为安——Gore TBE治疗急诊破裂TAA一例_https://www.jmylbn.com_新闻资讯_第35张

01

第一步

扫码进入

往期合集

02

第二步

点击订阅

胸有乾坤专栏

gore医疗怎么样「胸有乾坤」千钧一发 转危为安——Gore TBE治疗急诊破裂TAA一例_https://www.jmylbn.com_新闻资讯_第36张

版权声明:本平台旨在帮助医疗卫生专业人士更好地了解相关疾病领域最新进展。本平台对发布的资讯内容,并不代表同意其描述和观点,仅为提供更多信息。若涉及版权问题,烦请权利人与我们联系,我们将尽快处理。仅供医疗卫生专业人士为了解资讯使用,该等信息不能以任何方式取代专业的医疗指导,也不应被视为诊疗建议。如该等信息被用于了解资讯以外的目的,本平台及作者不承担相关责任。合作联系邮箱:vascular@edoctor.work。

gore医疗怎么样「胸有乾坤」千钧一发 转危为安——Gore TBE治疗急诊破裂TAA一例_https://www.jmylbn.com_新闻资讯_第37张