gore医疗怎么样「胸有乾坤」危如累卵 妙手回春——Conformable GORE®TAG®胸主动脉覆膜支架应用于高龄急性主动脉夹层治疗

新闻资讯2026-04-20 23:42:45
gore医疗怎么样「胸有乾坤」危如累卵 妙手回春——Conformable GORE®TAG®胸主动脉覆膜支架应用于高龄急性主动脉夹层治疗_https://www.jmylbn.com_新闻资讯_第1张


本期看点

  • 高龄患者,急性夹层,内脏区及下肢灌注不良,内膜欠佳,如何选择治疗方案?

  • 针对急性夹层,如何选择合适的支架,进行真腔重塑?


gore医疗怎么样「胸有乾坤」危如累卵 妙手回春——Conformable GORE®TAG®胸主动脉覆膜支架应用于高龄急性主动脉夹层治疗_https://www.jmylbn.com_新闻资讯_第2张


主席寄语


gore医疗怎么样「胸有乾坤」危如累卵 妙手回春——Conformable GORE®TAG®胸主动脉覆膜支架应用于高龄急性主动脉夹层治疗_https://www.jmylbn.com_新闻资讯_第3张

尊敬的各位同道,大家好! 


近年来,随着血管腔内治疗方法的日益普及、手术器械和技术的不断创新和突破,胸主动脉腔内治疗(TEVAR)已在全国各个省市的中心陆续开展。在学科及疗法的快速发展过程中,由于病人多、技术新、任务重,临床上常常重视手术的即刻结果,却缺乏对术后长期效果的随访与评价,对术式与操作的规范化重视不够。为推动医师们技术交流和经验分享,血管资讯平台将于2021年11月起陆续推出胸主动脉腔内治疗优秀病例展示,旨在增进相互学习,了解不同病例治疗策略的制定及思考,手术过程、术中应急处理及术后随访等,提供更多的经验分享。


每一个病例的展示,都体现着术者们精益求精的专业精神——严格规范TEVAR技术操作,充分考虑每一步操作细节及围手术期的管理。我同时希望这个病例展示,能够成为同道们积极探索TEVAR新思路、新方法的交流平台,激发鼓励腔内技术与器械的创新和使用,共同开创胸主动脉腔内治疗的崭新未来!希望本次活动能有更多病例参与展示,使胸主动脉腔内治疗愈加规范、严谨,使更多患者受益。谢谢!

gore医疗怎么样「胸有乾坤」危如累卵 妙手回春——Conformable GORE®TAG®胸主动脉覆膜支架应用于高龄急性主动脉夹层治疗_https://www.jmylbn.com_新闻资讯_第4张

2021年9月30日


危如累卵 妙手回春

Conformable GORE® TAG® 胸主动脉覆膜支架

应用于高龄急性主动脉夹层的治疗

东莞市人民医院

陈泉教授团队


gore医疗怎么样「胸有乾坤」危如累卵 妙手回春——Conformable GORE®TAG®胸主动脉覆膜支架应用于高龄急性主动脉夹层治疗_https://www.jmylbn.com_新闻资讯_第5张

根据Stanford B 型主动脉夹层诊断和治疗中国专家共识(2022 版), 对于急性复杂型TBAD 患者,需尽早行手术干预。目前,随着腔内技术的成熟和器械的进步,腔内治疗已取代开放手术成为首选治疗方式。国内的Meta 分析结果显示,TEVAR 治疗急性或慢性TBAD 的手术成功率为99.1%,院内病死率为1.6%,具有较好的短期疗效。对于急性复杂型或病情恶化的急性高危型TBAD,需要急诊积极治疗;对于急性非复杂型TBAD,在亚急性期干预的疗效更佳;对于稳定的急性高危型TBAD 患者,需动态监测,尽早干预。不同品牌支架对支架放大率有不同的要求,需要足够的径向支撑力以保证移植物与主动脉壁之间紧密贴合减少内漏,也要避免过度扩张损伤主动脉内膜导致新发破口[1]

gore医疗怎么样「胸有乾坤」危如累卵 妙手回春——Conformable GORE®TAG®胸主动脉覆膜支架应用于高龄急性主动脉夹层治疗_https://www.jmylbn.com_新闻资讯_第6张

病例基本情况

患者:男性,81岁

主诉:胸背痛2天,加重伴左下肢麻木无力4小时。

现病史:患者2天前休息中出现前胸后背痛,性质较剧烈,呈刀割样,自服“速效救心丸”后疼痛无法缓解,4小时前患者出现左下肢麻力无力,伴左小腿、足部冰冷感。

既往史:高血压史5年,平素未规律口服药物控制血压。否认冠心病、糖尿病史。

专科及辅助检查:全主动脉CTA:自胸降主动脉起始至腹主动脉段夹层形成,左侧髂总、髂外动脉闭塞。

术前诊断:

  • 急性Stanford B型主动脉夹层

  • 左下肢动脉急性闭塞


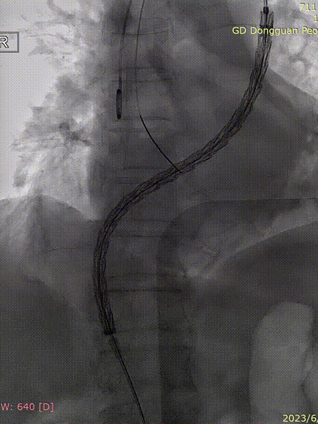
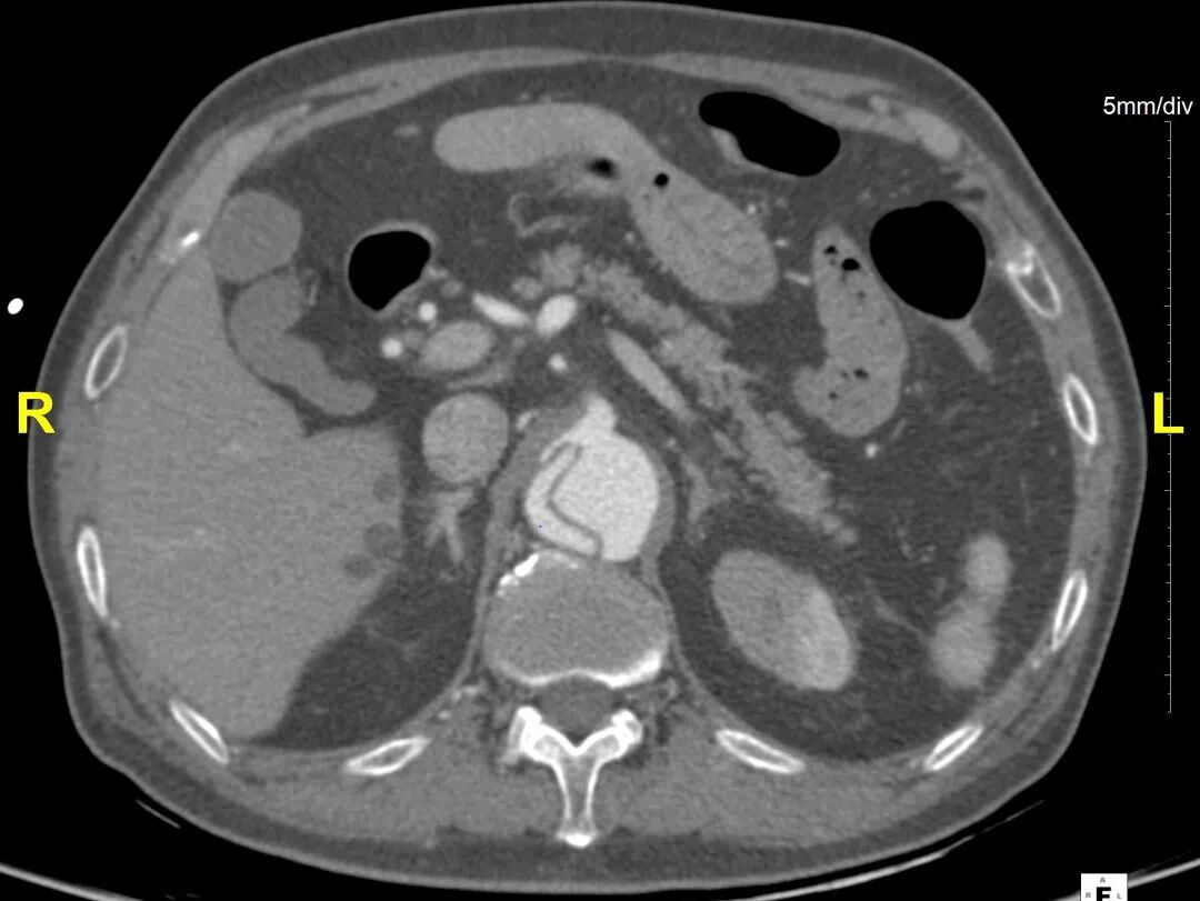
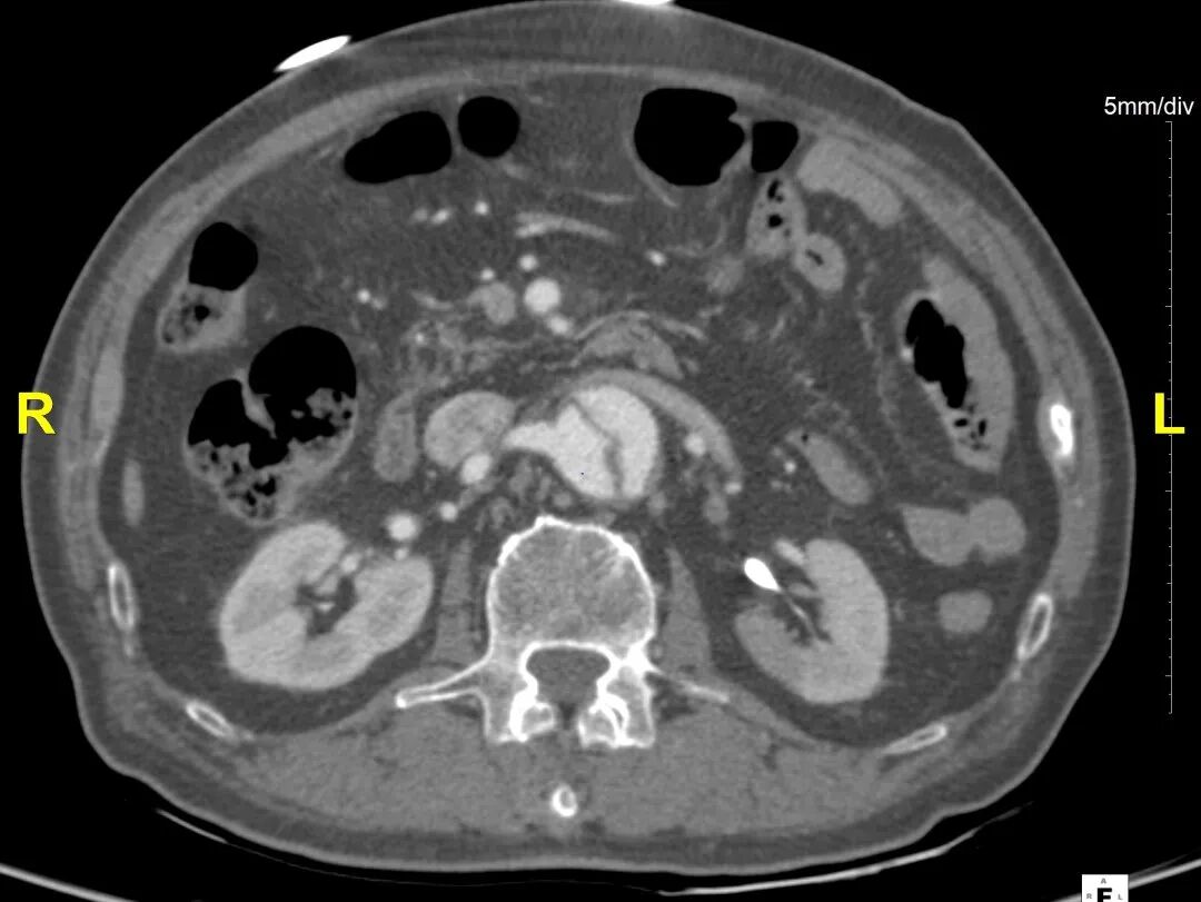
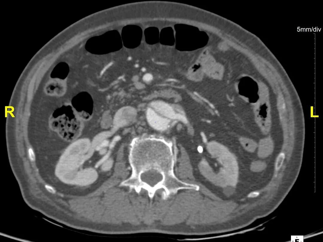
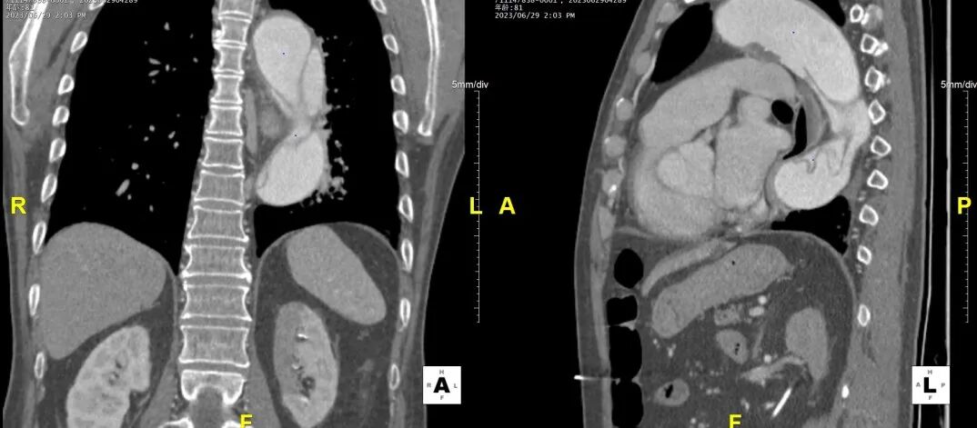
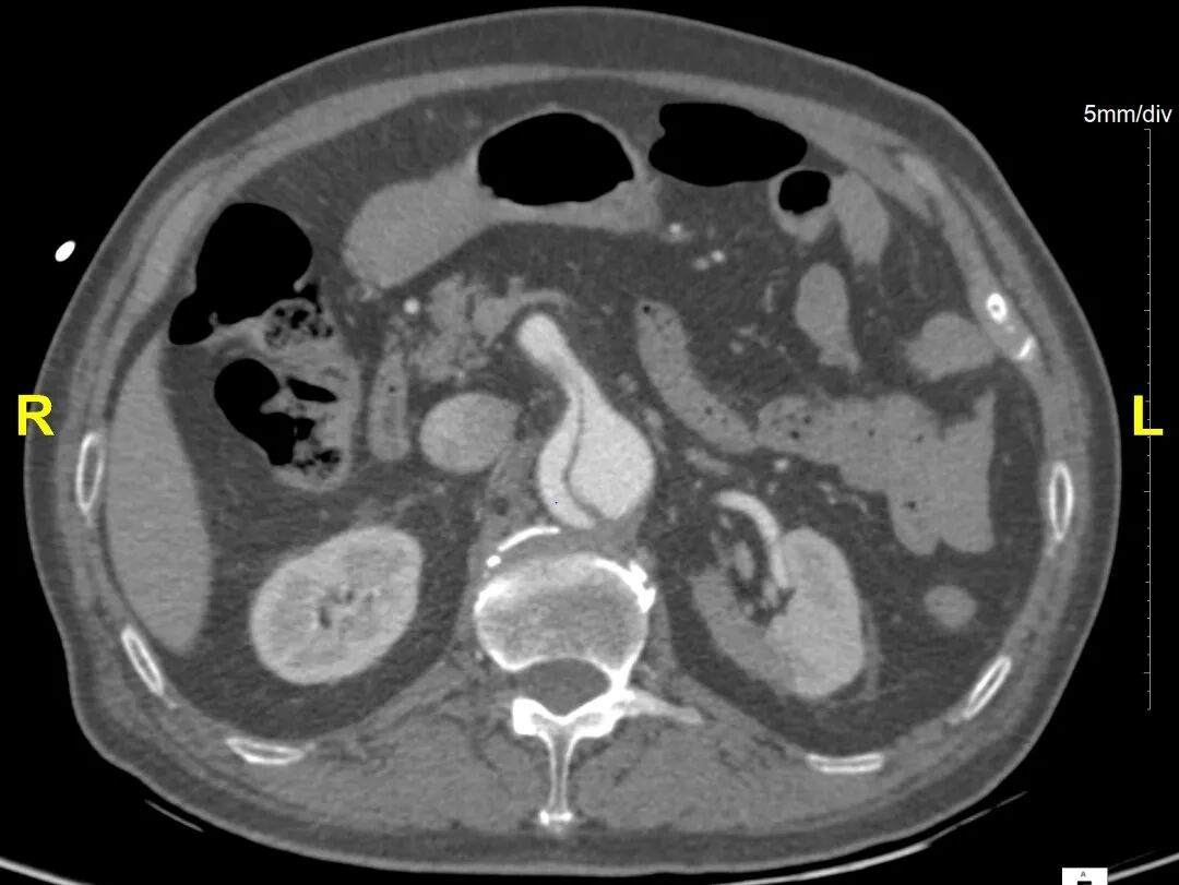
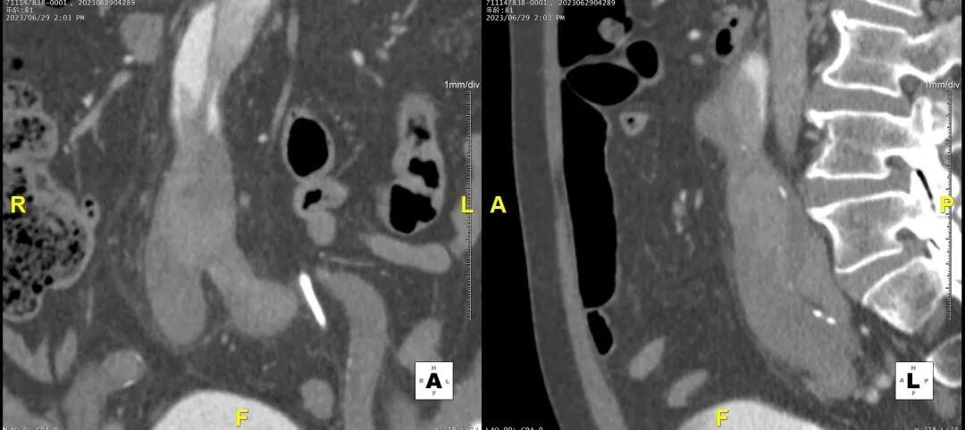
病例CTA详解

gore医疗怎么样「胸有乾坤」危如累卵 妙手回春——Conformable GORE®TAG®胸主动脉覆膜支架应用于高龄急性主动脉夹层治疗_https://www.jmylbn.com_新闻资讯_第7张

横断面影像

gore医疗怎么样「胸有乾坤」危如累卵 妙手回春——Conformable GORE®TAG®胸主动脉覆膜支架应用于高龄急性主动脉夹层治疗_https://www.jmylbn.com_新闻资讯_第8张

3D影像

gore医疗怎么样「胸有乾坤」危如累卵 妙手回春——Conformable GORE®TAG®胸主动脉覆膜支架应用于高龄急性主动脉夹层治疗_https://www.jmylbn.com_新闻资讯_第9张
gore医疗怎么样「胸有乾坤」危如累卵 妙手回春——Conformable GORE®TAG®胸主动脉覆膜支架应用于高龄急性主动脉夹层治疗_https://www.jmylbn.com_新闻资讯_第10张
gore医疗怎么样「胸有乾坤」危如累卵 妙手回春——Conformable GORE®TAG®胸主动脉覆膜支架应用于高龄急性主动脉夹层治疗_https://www.jmylbn.com_新闻资讯_第11张
gore医疗怎么样「胸有乾坤」危如累卵 妙手回春——Conformable GORE®TAG®胸主动脉覆膜支架应用于高龄急性主动脉夹层治疗_https://www.jmylbn.com_新闻资讯_第12张
gore医疗怎么样「胸有乾坤」危如累卵 妙手回春——Conformable GORE®TAG®胸主动脉覆膜支架应用于高龄急性主动脉夹层治疗_https://www.jmylbn.com_新闻资讯_第13张
gore医疗怎么样「胸有乾坤」危如累卵 妙手回春——Conformable GORE®TAG®胸主动脉覆膜支架应用于高龄急性主动脉夹层治疗_https://www.jmylbn.com_新闻资讯_第14张
gore医疗怎么样「胸有乾坤」危如累卵 妙手回春——Conformable GORE®TAG®胸主动脉覆膜支架应用于高龄急性主动脉夹层治疗_https://www.jmylbn.com_新闻资讯_第15张
gore医疗怎么样「胸有乾坤」危如累卵 妙手回春——Conformable GORE®TAG®胸主动脉覆膜支架应用于高龄急性主动脉夹层治疗_https://www.jmylbn.com_新闻资讯_第16张

1)内膜多处撕裂,真腔严重狭窄。

2)CA假腔供血,SMA双腔供血,LRA假腔供血,RRA真腔供血,腹主段闭塞。

gore医疗怎么样「胸有乾坤」危如累卵 妙手回春——Conformable GORE®TAG®胸主动脉覆膜支架应用于高龄急性主动脉夹层治疗_https://www.jmylbn.com_新闻资讯_第17张
gore医疗怎么样「胸有乾坤」危如累卵 妙手回春——Conformable GORE®TAG®胸主动脉覆膜支架应用于高龄急性主动脉夹层治疗_https://www.jmylbn.com_新闻资讯_第18张
gore医疗怎么样「胸有乾坤」危如累卵 妙手回春——Conformable GORE®TAG®胸主动脉覆膜支架应用于高龄急性主动脉夹层治疗_https://www.jmylbn.com_新闻资讯_第19张
gore医疗怎么样「胸有乾坤」危如累卵 妙手回春——Conformable GORE®TAG®胸主动脉覆膜支架应用于高龄急性主动脉夹层治疗_https://www.jmylbn.com_新闻资讯_第20张

3)LSA起始部平均直径43mm+,降主段多发破口,真腔狭窄。


手术方案

依据2022ACC、AHA指南推荐, 急性复杂性TBAD或随访中出现分支动脉阻塞或灌注不良等现象,提示死亡率或并发症的风险在增加,需要进行急诊干预,并且与开放手术相比,TEVAR(胸主动脉腔内修复术)有更低的并发症及院内死亡率,对年长者优势更明显。


对于高龄患者,基本情况欠佳,开放手术创伤大,围术期并发症发生率和病死率高,患者无法耐受,故选择腔内治疗。


病例难点

方案难点:

  • 高龄患者,急性夹层,内脏区及下肢灌注不良,内膜欠佳,如何选择治疗方案?

  • 针对急性夹层,如何选择合适的支架,隔绝破口,重塑真腔?


术前计划

综合考虑,结合患者基本情况,最终手术方案如下:

  • 支架覆膜起始部位定位于LSA后缘,远端定位于腹腔干上方60mm处,选择戈尔CTAG支架(TGU454520 + TGU343420),完成腔内隔绝,重塑真腔。

  • 腹主动脉急性闭塞,近端支架植入后,根据真腔重塑情况,判断是否进一步干预以缓解灌注不良。


手术过程

1.经左侧股动脉切开直视下穿刺入路,股动脉真腔狭小,近端完全闭塞,开通困难,小剂量多次造影确认真腔,建立真腔通路。

gore医疗怎么样「胸有乾坤」危如累卵 妙手回春——Conformable GORE®TAG®胸主动脉覆膜支架应用于高龄急性主动脉夹层治疗_https://www.jmylbn.com_新闻资讯_第21张
gore医疗怎么样「胸有乾坤」危如累卵 妙手回春——Conformable GORE®TAG®胸主动脉覆膜支架应用于高龄急性主动脉夹层治疗_https://www.jmylbn.com_新闻资讯_第22张


2.交换猪尾导管,行整体造影,如图所示。

gore医疗怎么样「胸有乾坤」危如累卵 妙手回春——Conformable GORE®TAG®胸主动脉覆膜支架应用于高龄急性主动脉夹层治疗_https://www.jmylbn.com_新闻资讯_第23张


3. 交换导丝为Lunderquist,置入GORE® DrySeal 亲水涂层导引鞘,因内膜较差,为防止导丝从假腔中穿过,引入90cm长鞘,逐步造影,确认导丝全程位于真腔。

gore医疗怎么样「胸有乾坤」危如累卵 妙手回春——Conformable GORE®TAG®胸主动脉覆膜支架应用于高龄急性主动脉夹层治疗_https://www.jmylbn.com_新闻资讯_第24张
gore医疗怎么样「胸有乾坤」危如累卵 妙手回春——Conformable GORE®TAG®胸主动脉覆膜支架应用于高龄急性主动脉夹层治疗_https://www.jmylbn.com_新闻资讯_第25张
gore医疗怎么样「胸有乾坤」危如累卵 妙手回春——Conformable GORE®TAG®胸主动脉覆膜支架应用于高龄急性主动脉夹层治疗_https://www.jmylbn.com_新闻资讯_第26张


4. 经超硬导丝引入Conformable GORE® TAG® 胸主动脉覆膜支架TGU343420,造影确认位于腹腔干上方目标位置,释放支架。

gore医疗怎么样「胸有乾坤」危如累卵 妙手回春——Conformable GORE®TAG®胸主动脉覆膜支架应用于高龄急性主动脉夹层治疗_https://www.jmylbn.com_新闻资讯_第27张
gore医疗怎么样「胸有乾坤」危如累卵 妙手回春——Conformable GORE®TAG®胸主动脉覆膜支架应用于高龄急性主动脉夹层治疗_https://www.jmylbn.com_新闻资讯_第28张


5. 经超硬导丝引入Conformable GORE® TAG® 胸主动脉覆膜支架TGU454520,造影确认位于目标位置LSA后缘,释放支架。

gore医疗怎么样「胸有乾坤」危如累卵 妙手回春——Conformable GORE®TAG®胸主动脉覆膜支架应用于高龄急性主动脉夹层治疗_https://www.jmylbn.com_新闻资讯_第29张
gore医疗怎么样「胸有乾坤」危如累卵 妙手回春——Conformable GORE®TAG®胸主动脉覆膜支架应用于高龄急性主动脉夹层治疗_https://www.jmylbn.com_新闻资讯_第30张
gore医疗怎么样「胸有乾坤」危如累卵 妙手回春——Conformable GORE®TAG®胸主动脉覆膜支架应用于高龄急性主动脉夹层治疗_https://www.jmylbn.com_新闻资讯_第31张


6. 行主动脉弓造影,造影可见支架近端贴壁良好,破口隔绝,弓上各分支血管通畅,真腔重塑良好。

gore医疗怎么样「胸有乾坤」危如累卵 妙手回春——Conformable GORE®TAG®胸主动脉覆膜支架应用于高龄急性主动脉夹层治疗_https://www.jmylbn.com_新闻资讯_第32张


7. 行降主远端、腹主动脉整体造影,造影可见腹主段真腔打开,四分支血流通畅。

gore医疗怎么样「胸有乾坤」危如累卵 妙手回春——Conformable GORE®TAG®胸主动脉覆膜支架应用于高龄急性主动脉夹层治疗_https://www.jmylbn.com_新闻资讯_第33张
gore医疗怎么样「胸有乾坤」危如累卵 妙手回春——Conformable GORE®TAG®胸主动脉覆膜支架应用于高龄急性主动脉夹层治疗_https://www.jmylbn.com_新闻资讯_第34张


8. 双侧下肢灌注不良,造影后,右侧髂外动脉可及破口,真腔塌陷,遂补入VIABAHN 8*50,隔绝远端破口,优化下肢血供。

gore医疗怎么样「胸有乾坤」危如累卵 妙手回春——Conformable GORE®TAG®胸主动脉覆膜支架应用于高龄急性主动脉夹层治疗_https://www.jmylbn.com_新闻资讯_第35张
gore医疗怎么样「胸有乾坤」危如累卵 妙手回春——Conformable GORE®TAG®胸主动脉覆膜支架应用于高龄急性主动脉夹层治疗_https://www.jmylbn.com_新闻资讯_第36张
gore医疗怎么样「胸有乾坤」危如累卵 妙手回春——Conformable GORE®TAG®胸主动脉覆膜支架应用于高龄急性主动脉夹层治疗_https://www.jmylbn.com_新闻资讯_第37张
gore医疗怎么样「胸有乾坤」危如累卵 妙手回春——Conformable GORE®TAG®胸主动脉覆膜支架应用于高龄急性主动脉夹层治疗_https://www.jmylbn.com_新闻资讯_第38张
gore医疗怎么样「胸有乾坤」危如累卵 妙手回春——Conformable GORE®TAG®胸主动脉覆膜支架应用于高龄急性主动脉夹层治疗_https://www.jmylbn.com_新闻资讯_第39张
gore医疗怎么样「胸有乾坤」危如累卵 妙手回春——Conformable GORE®TAG®胸主动脉覆膜支架应用于高龄急性主动脉夹层治疗_https://www.jmylbn.com_新闻资讯_第40张


术后随访

术后随访复查,支架形态良好,真腔重塑良好,四分支及下肢血供良好。

gore医疗怎么样「胸有乾坤」危如累卵 妙手回春——Conformable GORE®TAG®胸主动脉覆膜支架应用于高龄急性主动脉夹层治疗_https://www.jmylbn.com_新闻资讯_第41张

横断面影像

gore医疗怎么样「胸有乾坤」危如累卵 妙手回春——Conformable GORE®TAG®胸主动脉覆膜支架应用于高龄急性主动脉夹层治疗_https://www.jmylbn.com_新闻资讯_第42张

3D影像


总 结

急性主动脉夹层合并引发内脏区灌注不良和下肢缺血,致死致残率高,在解剖条件允许的情况下,需尽快采取TEVAR治疗。

Conformable GORE® TAG® 胸主动脉覆膜血管内支架,具有良好的柔顺性、通过性,是经FDA批准的第一款适用于急性Stanford B型主动脉夹层的腔内治疗,安全可靠。

针对特殊的主动脉夹层病例,结合病人情况,设计针对性的治疗方案,通过选择合适的支架,重塑真腔,减少并发症,改善远端灌注情况,为患者带来更好的预后。

对于复杂胸主动脉夹层病变,满足径向支撑力良好同时兼顾支架-主动脉顺应性的CTAG支架,更有利于促进主动脉真腔重塑,降低并发症发病率


参考文献:1. 中华医学会外科学分会血管外科学组,符伟国,陈忠,等.Stanford B型主动脉夹层诊断和治疗中国专家共识(2022版)[J].中国血管外科杂志:电子版, 2022, 14(2):12.


专家简介

 gore医疗怎么样「胸有乾坤」危如累卵 妙手回春——Conformable GORE®TAG®胸主动脉覆膜支架应用于高龄急性主动脉夹层治疗_https://www.jmylbn.com_新闻资讯_第43张

陈泉 教授

东莞市人民医院,主任医师,博士,东莞市人民医院介入与血管外科学科带头人。

2007年于上海中国人民解放军第二医科大学血管外科专业博士毕业,师从于著名的血管外科专家景在平教授。曾于法国亚眠医疗中心血管外科学习深造。担任中国医师协会血管外科委员会委员,国际血管联盟中国区青年委员会副主任委员,中国微循环协会血管外科委员会青年委员会副主任委员,中国老年病协会外周血管疾病管理委员会副主任委员,中国医师协会腔内血管学委员会常务委员,《中华血管外科杂志》、《血管和腔内血管外科杂志》编委。获得国家自然资金等多项科研,在国内外核心杂志发表多篇文章。荣获“优秀医师”奖、获第一届国之名医新锐奖、“2019健康卫士”卓越成就奖等荣誉。


 gore医疗怎么样「胸有乾坤」危如累卵 妙手回春——Conformable GORE®TAG®胸主动脉覆膜支架应用于高龄急性主动脉夹层治疗_https://www.jmylbn.com_新闻资讯_第44张

王亮 教授

东莞市人民医院,医学博士,副主任医师,东莞市人民医院介入与血管外科。

中国医师协会血管外科医师分会第一届委员会血管与肿瘤学组委员,毕业于第二军医大学。分别于2013年、2014年在台北荣民总院心血管外科,复旦大学附属中山医院血管外科参加主动脉疾病腔内修复研修班课程。2018-2019年在德国纽伦堡医学中心血管外科研修,对外周血管疾病的外科及腔内手术治疗积累了丰富的临床经验。


科室介绍

东莞市人民医院介入与血管外科成立于2002年,拥有医护专业技术人员约二十人,其中主任医师4名,副主任医师3名,博士2名,硕士2名。

东莞市人民医院介入与血管外科是全国大型综合医院中最早拥有独立的介入病房、介入手术室和介入门诊的科室,经过十多年的发展,该科无论在规模上还是在手术开展的范围上已跻身全国同级医院前列,是粤港澳大湾区介入医学联盟核心成员单位、介入专科护理联盟单位和广东省介入专科护士培训基地,是东莞市重点学科。科室开展业务以肿瘤介入和血管外科两大部分组成。肿瘤治疗病种以肝癌、肺癌、胆管癌、食道癌等为主;其中肝癌治疗,最具特色。在肝癌治疗方面,我科能够开展肝癌动脉栓塞化疗、动脉栓塞、动脉灌注化疗、消融治疗(包括微波消融、射频消融、冷冻消融及化学消融)、放射性粒子植入;血管外科方面,擅长胸主脉夹层、各种动脉瘤、下肢动脉硬化闭塞症、糖尿病足、血栓闭塞性脉管炎、下肢深静脉血栓、下肢静脉曲张等疾病的治疗。



gore医疗怎么样「胸有乾坤」危如累卵 妙手回春——Conformable GORE®TAG®胸主动脉覆膜支架应用于高龄急性主动脉夹层治疗_https://www.jmylbn.com_新闻资讯_第45张
gore医疗怎么样「胸有乾坤」危如累卵 妙手回春——Conformable GORE®TAG®胸主动脉覆膜支架应用于高龄急性主动脉夹层治疗_https://www.jmylbn.com_新闻资讯_第45张
gore医疗怎么样「胸有乾坤」危如累卵 妙手回春——Conformable GORE®TAG®胸主动脉覆膜支架应用于高龄急性主动脉夹层治疗_https://www.jmylbn.com_新闻资讯_第45张

病例征集

如您有相类似的病例,或者希望与术者做进一步的交流,欢迎您将您的联系方式发送至tevar_case@163.com。谢谢!


gore医疗怎么样「胸有乾坤」危如累卵 妙手回春——Conformable GORE®TAG®胸主动脉覆膜支架应用于高龄急性主动脉夹层治疗_https://www.jmylbn.com_新闻资讯_第45张
gore医疗怎么样「胸有乾坤」危如累卵 妙手回春——Conformable GORE®TAG®胸主动脉覆膜支架应用于高龄急性主动脉夹层治疗_https://www.jmylbn.com_新闻资讯_第45张
gore医疗怎么样「胸有乾坤」危如累卵 妙手回春——Conformable GORE®TAG®胸主动脉覆膜支架应用于高龄急性主动脉夹层治疗_https://www.jmylbn.com_新闻资讯_第45张

胸有乾坤 · 往期回顾

gore医疗怎么样「胸有乾坤」危如累卵 妙手回春——Conformable GORE®TAG®胸主动脉覆膜支架应用于高龄急性主动脉夹层治疗_https://www.jmylbn.com_新闻资讯_第51张

01

第一步

扫码进入

往期合集

02

第二步

点击订阅

胸有乾坤专栏

gore医疗怎么样「胸有乾坤」危如累卵 妙手回春——Conformable GORE®TAG®胸主动脉覆膜支架应用于高龄急性主动脉夹层治疗_https://www.jmylbn.com_新闻资讯_第52张


版权声明:本平台旨在帮助医疗卫生专业人士更好地了解相关疾病领域最新进展。本平台对发布的资讯内容,并不代表同意其描述和观点,仅为提供更多信息。若涉及版权问题,烦请权利人与我们联系,我们将尽快处理。仅供医疗卫生专业人士为了解资讯使用,该等信息不能以任何方式取代专业的医疗指导,也不应被视为诊疗建议。如该等信息被用于了解资讯以外的目的,本平台及作者不承担相关责任。合作联系邮箱:vascular@edoctor.cn。

gore医疗怎么样「胸有乾坤」危如累卵 妙手回春——Conformable GORE®TAG®胸主动脉覆膜支架应用于高龄急性主动脉夹层治疗_https://www.jmylbn.com_新闻资讯_第53张