gore医疗怎么样「胸有乾坤」可调可控 从容不迫——GORE® TAG® 可主动调控胸主动脉覆膜支架治疗巨大胸主动脉瘤病例报道

新闻资讯2026-04-20 23:42:46
gore医疗怎么样「胸有乾坤」可调可控 从容不迫——GORE® TAG® 可主动调控胸主动脉覆膜支架治疗巨大胸主动脉瘤病例报道_https://www.jmylbn.com_新闻资讯_第1张


本期看点

  • 巨大胸主动脉瘤,如何减少胸主强烈的风袋效应与动脉瘤内自膨支架的长度损失,精准锚定?

  • 对于弓型陡峭的Ⅲ型弓,如何选择支架,有效密封隔绝,避免内漏?

*本病例仅供医学专业人士阅读参考

gore医疗怎么样「胸有乾坤」可调可控 从容不迫——GORE® TAG® 可主动调控胸主动脉覆膜支架治疗巨大胸主动脉瘤病例报道_https://www.jmylbn.com_新闻资讯_第2张


主席寄语


gore医疗怎么样「胸有乾坤」可调可控 从容不迫——GORE® TAG® 可主动调控胸主动脉覆膜支架治疗巨大胸主动脉瘤病例报道_https://www.jmylbn.com_新闻资讯_第3张

尊敬的各位同道,大家好! 


近年来,随着血管腔内治疗方法的日益普及、手术器械和技术的不断创新和突破,胸主动脉腔内治疗(TEVAR)已在全国各个省市的中心陆续开展。在学科及疗法的快速发展过程中,由于病人多、技术新、任务重,临床上常常重视手术的即刻结果,却缺乏对术后长期效果的随访与评价,对术式与操作的规范化重视不够。为推动医师们技术交流和经验分享,血管资讯平台将于2021年11月起陆续推出胸主动脉腔内治疗优秀病例展示,旨在增进相互学习,了解不同病例治疗策略的制定及思考,手术过程、术中应急处理及术后随访等,提供更多的经验分享。


每一个病例的展示,都体现着术者们精益求精的专业精神——严格规范TEVAR技术操作,充分考虑每一步操作细节及围手术期的管理。我同时希望这个病例展示,能够成为同道们积极探索TEVAR新思路、新方法的交流平台,激发鼓励腔内技术与器械的创新和使用,共同开创胸主动脉腔内治疗的崭新未来!希望本次活动能有更多病例参与展示,使胸主动脉腔内治疗愈加规范、严谨,使更多患者受益。谢谢!

gore医疗怎么样「胸有乾坤」可调可控 从容不迫——GORE® TAG® 可主动调控胸主动脉覆膜支架治疗巨大胸主动脉瘤病例报道_https://www.jmylbn.com_新闻资讯_第4张

2021年9月30日


可调可控 从容不迫

GORE® TAG® 可主动调控胸主动脉覆膜支架

治疗巨大胸主动脉瘤病例报道

南方医科大学顺德医院心脏医学中心

黎文生教授团队

gore医疗怎么样「胸有乾坤」可调可控 从容不迫——GORE® TAG® 可主动调控胸主动脉覆膜支架治疗巨大胸主动脉瘤病例报道_https://www.jmylbn.com_新闻资讯_第5张

病例基本情况

患者:女性,78岁,瘦小虚弱。

主诉:胸痛1天。

现病史:患者于1天前无明显诱因下出现胸痛,急性病程,程度较重,具体性质难以描述,不伴气促,无大汗淋漓,无头晕、头痛,无恶心、呕吐等,为求进一步诊治,遂于我院就诊。

体查:体温36.5℃,呼吸20次/分,脉搏68次/分,血压172/105mmHg,体重:38kg。

既往史:有高血压、脑出血后遗症,肺气肿,左侧腹股沟疝手术史,否认“结核”病史,否认传染病史。否认药物过敏史。否认食物过敏史。否认输血史。

专科及辅助检查:PCO2:51.4↑mmHg,肌酐108.7μmol/L,肾小球滤过率55.36ml/min,床旁心脏彩超:心内结构未见异常,心电图提示:窦性心律。

术前诊断:全主动脉CTA提示“主动脉弓巨大动脉瘤”。


入院诊断

  1. 胸腹主动脉瘤濒临破裂

  2. 高血压

  3. 肾功能不全

  4. 主动脉硬化

  5. 胆囊结石胆囊炎

  6. 肝内胆管轻度扩张

  7. 小肠不完全性梗阻

  8. 多发胸腰椎压缩性改变

  9. 双侧肾上腺增粗

  10. 脑出血治疗后

  11. 左侧腹股沟嵌顿疝术后


术前CTA详解

gore医疗怎么样「胸有乾坤」可调可控 从容不迫——GORE® TAG® 可主动调控胸主动脉覆膜支架治疗巨大胸主动脉瘤病例报道_https://www.jmylbn.com_新闻资讯_第6张

术前CTA.

gore医疗怎么样「胸有乾坤」可调可控 从容不迫——GORE® TAG® 可主动调控胸主动脉覆膜支架治疗巨大胸主动脉瘤病例报道_https://www.jmylbn.com_新闻资讯_第7张

术前3D重建

gore医疗怎么样「胸有乾坤」可调可控 从容不迫——GORE® TAG® 可主动调控胸主动脉覆膜支架治疗巨大胸主动脉瘤病例报道_https://www.jmylbn.com_新闻资讯_第8张

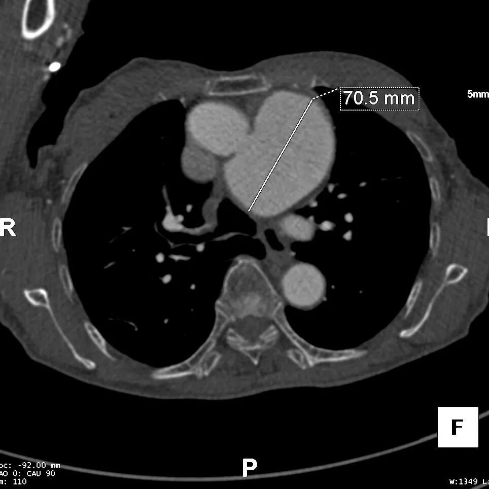
巨大胸主动脉瘤,直径70mm

gore医疗怎么样「胸有乾坤」可调可控 从容不迫——GORE® TAG® 可主动调控胸主动脉覆膜支架治疗巨大胸主动脉瘤病例报道_https://www.jmylbn.com_新闻资讯_第9张

病变累及LCCA附近,小弯侧锚定区长度11mm,非常极限

gore医疗怎么样「胸有乾坤」可调可控 从容不迫——GORE® TAG® 可主动调控胸主动脉覆膜支架治疗巨大胸主动脉瘤病例报道_https://www.jmylbn.com_新闻资讯_第10张

降主动脉瘤远端锚定区长度

gore医疗怎么样「胸有乾坤」可调可控 从容不迫——GORE® TAG® 可主动调控胸主动脉覆膜支架治疗巨大胸主动脉瘤病例报道_https://www.jmylbn.com_新闻资讯_第11张

INA后缘至CA上缘长度


手术方案

考虑患者整体身体状况较差,选择腋动脉-左颈总动脉和腋动脉-左锁骨下动脉人工血管搭桥术,大支架锚定于INA后缘。由于病变累及至LCCA,INA后缘小弯侧锚定区极限11mm,为获得足够的健康锚定区,需要极其精准的定位,遂选择GORE® TAG® 可主动调控胸主动脉覆膜支架(以下简称“CADS”)。

  1. CADS支架是分段式释放,在第一阶段半直径释放后,可以重新调整定位,对释放位置做更精准的控制;同时在进行第二阶段拉线释放时,支架从远端向近端全直径稳定释放,有效减少“风袋效应”,避免支架移位,精准定位。

  2. CADS分阶段释放和完全释放的两个阶段均可以对小弯侧进行角度调控;改善支架近端与主动脉小弯侧的贴附,最大限度地避免“鸟嘴”发生,让支架更好贴合血管隔绝密封。


结合近远端血管直径及锚定区长度选择:近端戈尔CADS TGM343420+远端唯强DM-TC-3024200。


手术过程

1.麻醉成功后取平卧位,常规消毒铺巾;取左、右锁骨下切口5cm,分离左、右侧腋动脉过带备用。

gore医疗怎么样「胸有乾坤」可调可控 从容不迫——GORE® TAG® 可主动调控胸主动脉覆膜支架治疗巨大胸主动脉瘤病例报道_https://www.jmylbn.com_新闻资讯_第12张


2.分离LCCA;将人工血管剪一小段3cm,与人工血管在相应位置行端侧吻合作为左颈总动脉的分支。

gore医疗怎么样「胸有乾坤」可调可控 从容不迫——GORE® TAG® 可主动调控胸主动脉覆膜支架治疗巨大胸主动脉瘤病例报道_https://www.jmylbn.com_新闻资讯_第13张


3.将人工血管与左锁骨下动脉行端-侧吻合,止血;排气开放人工血管,血管各处触诊搏动满意;提高血压收缩压至150mmHg,将人工血管与左颈总动脉行端-侧吻合止血,排气开放左颈总动脉,左颈总动脉阻断时间6min。


4.创面止血,喷洒倍绣胶一支。止血满意,逐层缝合各切口,麻醉满意,出血约30ml,未输血。

gore医疗怎么样「胸有乾坤」可调可控 从容不迫——GORE® TAG® 可主动调控胸主动脉覆膜支架治疗巨大胸主动脉瘤病例报道_https://www.jmylbn.com_新闻资讯_第14张


5. 穿刺点常规消毒铺巾,穿刺左右桡动脉、左右股动脉,分别置入6Fr动脉鞘,注射肝素3000u,经右侧桡动脉送入TRG多投照位行CAG,结果示:冠状动脉粥样硬化伴轻度狭窄。

gore医疗怎么样「胸有乾坤」可调可控 从容不迫——GORE® TAG® 可主动调控胸主动脉覆膜支架治疗巨大胸主动脉瘤病例报道_https://www.jmylbn.com_新闻资讯_第15张
gore医疗怎么样「胸有乾坤」可调可控 从容不迫——GORE® TAG® 可主动调控胸主动脉覆膜支架治疗巨大胸主动脉瘤病例报道_https://www.jmylbn.com_新闻资讯_第16张


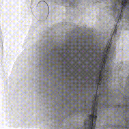
6.再送入Pigtail导管胸主动脉造影:主动脉弓见一巨大瘤样突出,降主动脉见2处瘤样扩张,与CT一致。

gore医疗怎么样「胸有乾坤」可调可控 从容不迫——GORE® TAG® 可主动调控胸主动脉覆膜支架治疗巨大胸主动脉瘤病例报道_https://www.jmylbn.com_新闻资讯_第17张


7.更换GORE® DrySeal亲水涂层导引鞘 DSF2233,送入唯强胸主动脉覆膜支架(DM-TC-3024200)至主动脉弓处,远端准确定位于腹腔干动脉上缘后释放。

gore医疗怎么样「胸有乾坤」可调可控 从容不迫——GORE® TAG® 可主动调控胸主动脉覆膜支架治疗巨大胸主动脉瘤病例报道_https://www.jmylbn.com_新闻资讯_第18张
gore医疗怎么样「胸有乾坤」可调可控 从容不迫——GORE® TAG® 可主动调控胸主动脉覆膜支架治疗巨大胸主动脉瘤病例报道_https://www.jmylbn.com_新闻资讯_第19张


8. 修剪CADS支架TGM343420近端束缚膜,暴露局部裸区,争取更多锚定区。

gore医疗怎么样「胸有乾坤」可调可控 从容不迫——GORE® TAG® 可主动调控胸主动脉覆膜支架治疗巨大胸主动脉瘤病例报道_https://www.jmylbn.com_新闻资讯_第20张

修剪第一层膜

gore医疗怎么样「胸有乾坤」可调可控 从容不迫——GORE® TAG® 可主动调控胸主动脉覆膜支架治疗巨大胸主动脉瘤病例报道_https://www.jmylbn.com_新闻资讯_第21张

修剪第二层膜

gore医疗怎么样「胸有乾坤」可调可控 从容不迫——GORE® TAG® 可主动调控胸主动脉覆膜支架治疗巨大胸主动脉瘤病例报道_https://www.jmylbn.com_新闻资讯_第22张

修剪完成,暴露裸区


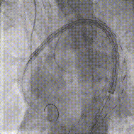
9.送入CADS支架TGM343420至主动脉弓,MPA导管送至升主动脉瘤体处(备弹簧圈和胶体),造影确认CADS准确定位于INA后缘。

gore医疗怎么样「胸有乾坤」可调可控 从容不迫——GORE® TAG® 可主动调控胸主动脉覆膜支架治疗巨大胸主动脉瘤病例报道_https://www.jmylbn.com_新闻资讯_第23张
gore医疗怎么样「胸有乾坤」可调可控 从容不迫——GORE® TAG® 可主动调控胸主动脉覆膜支架治疗巨大胸主动脉瘤病例报道_https://www.jmylbn.com_新闻资讯_第24张


CADS第一步释放,支架从近段向远端打开,释放至50%直径,造影确认调整支架近端位置,精准定位于INA远端。

gore医疗怎么样「胸有乾坤」可调可控 从容不迫——GORE® TAG® 可主动调控胸主动脉覆膜支架治疗巨大胸主动脉瘤病例报道_https://www.jmylbn.com_新闻资讯_第25张
gore医疗怎么样「胸有乾坤」可调可控 从容不迫——GORE® TAG® 可主动调控胸主动脉覆膜支架治疗巨大胸主动脉瘤病例报道_https://www.jmylbn.com_新闻资讯_第26张


CADS第二步释放,支架从远端向近端打开,释放至全直径;随后可以选择性调整近端成角,优化小弯侧贴壁。

gore医疗怎么样「胸有乾坤」可调可控 从容不迫——GORE® TAG® 可主动调控胸主动脉覆膜支架治疗巨大胸主动脉瘤病例报道_https://www.jmylbn.com_新闻资讯_第27张
gore医疗怎么样「胸有乾坤」可调可控 从容不迫——GORE® TAG® 可主动调控胸主动脉覆膜支架治疗巨大胸主动脉瘤病例报道_https://www.jmylbn.com_新闻资讯_第28张


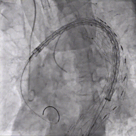
9.经MPA导管送入申淇弹簧圈3条和2盒纤维蛋白粘合剂至主动脉弓瘤体内,经TRG导管送入COOK弹簧圈3条栓塞左锁骨下动脉根部。整体造影见胸主动脉支架贴壁良好,未见内漏,双侧颈总动脉、椎动脉、腋动脉显影良好,未受影响。

gore医疗怎么样「胸有乾坤」可调可控 从容不迫——GORE® TAG® 可主动调控胸主动脉覆膜支架治疗巨大胸主动脉瘤病例报道_https://www.jmylbn.com_新闻资讯_第29张
gore医疗怎么样「胸有乾坤」可调可控 从容不迫——GORE® TAG® 可主动调控胸主动脉覆膜支架治疗巨大胸主动脉瘤病例报道_https://www.jmylbn.com_新闻资讯_第30张


10. 撤出血管造影导管,拔动脉鞘,止血带包扎。术程顺利,安返病房。 


病例经验总结

弓部杂交手术将微创与开刀有机结合,是目前技术条件下,以更低风险的手术操作,展现出了能够与开放手术媲美的优秀结果,尤其在高手术风险的病人中更显优势。


GORE® TAG® 可主动调控胸主动脉覆膜支架:

  1. 预弯TIP头:Tip头短,针对复杂迂曲的血管解剖,支架顺应大弯侧血管形态,更易于输送。

  2. 6%-33%的放大率窗口:以适应近端和远端锚定区直径间的差异,以获得最佳的顺应性和个性化的径向支撑力。

  3. 操控性:可调可控,实现近端及远端的精准释放和优化角度,进一步加强手术安全性。

gore医疗怎么样「胸有乾坤」可调可控 从容不迫——GORE® TAG® 可主动调控胸主动脉覆膜支架治疗巨大胸主动脉瘤病例报道_https://www.jmylbn.com_新闻资讯_第31张
gore医疗怎么样「胸有乾坤」可调可控 从容不迫——GORE® TAG® 可主动调控胸主动脉覆膜支架治疗巨大胸主动脉瘤病例报道_https://www.jmylbn.com_新闻资讯_第32张

上述病例介绍,代表作者的个人观点,仅作为学术交流与术式探讨的目的。关于器械的详细使用说明和适用范围等信息,请参照IFU。


专家简介

 gore医疗怎么样「胸有乾坤」可调可控 从容不迫——GORE® TAG® 可主动调控胸主动脉覆膜支架治疗巨大胸主动脉瘤病例报道_https://www.jmylbn.com_新闻资讯_第33张

黎文生 教授

心血管内科主任医师,南方医科大学顺德医院心血管内科副主任,胸痛中心医疗总监。擅长冠心病介入诊疗和主动脉夹层及主动脉瘤的覆膜支架腔内隔绝术及TAVAR等。

学术兼职:广东省胸痛中心协会理事;广东省医学会心血管病分会第十届委员会胸痛学组成员;广东省基层医药学会心血管专业委员会常委;顺德医学会心血管分会第三届常委;广东省中医药学会心力衰竭专业委员会第一届委员会常务委员;广东省介入性心脏病学会会员;广东省临床医学学会肺血管疾病介入诊治专业委员会第一届常委;佛山市医学会心脏大血管学分会第二届常委;中国大湾区心脏协会第一届理事;中国大湾区心脏协会泛血管医学分会委员 。


 gore医疗怎么样「胸有乾坤」可调可控 从容不迫——GORE® TAG® 可主动调控胸主动脉覆膜支架治疗巨大胸主动脉瘤病例报道_https://www.jmylbn.com_新闻资讯_第34张

韦高翔 教授

南方医科大学顺德医院心胸外二科主任,医学硕士,副主任医师。本科毕业于中南大学湘雅医学院, 硕士研究生毕业于广西医科大学。从事心胸血管外科临床工作 25 年, 具有 10 余年公立三甲医院心胸血管外科科主任工作经验。

擅长领域:心脏瓣膜病胸腔镜微创及传统开胸人工瓣膜置换术、 瓣膜成形术、主动脉瓣重建术及 TAVR 手术;冠状动脉搭桥术;心脏肿瘤切除术;终末期心衰的 LVAD 辅助治疗;食道超声引导下室缺、房缺及 PDA 封堵术;体外循环下室缺修补术、 房缺修补术;复杂先心如法洛氏四联症、 三尖瓣下移畸形、 右室双出口、肺动脉闭锁、心内膜垫缺损矫治术及双向格林手术等。Stanford A 型主动脉夹层 Bentall(或窦部成形)+主动脉弓置换+降主动脉支架象鼻术;胸主动脉瘤及腹主动脉瘤切除人工血管置换术,Stanford B 型主动脉夹层及腹主动脉瘤微创腔内隔绝术及杂交手术。肺癌及肺良性肿瘤、 食管癌及食管良性肿瘤、 纵隔肿瘤、胸廓畸形及重度胸部损伤等传统及胸腔镜微创手术。

学术任职: 广西医师协会心胸外科分会委员, 广西医学会大血管外科专业委员会委员, 广西柳州市医学会心胸外科分会委员, 贵州省医学会心胸外科分会委员, 贵州省生命医学工程理事 (第一届) , 中国非公医师协会心外专委会委员 (第一届、第二届) ,广东省胸部疾病学会心脏大血管疾病诊治专业委员会常务委员。


科室介绍

南方医科大学顺德医院心内科是广东省临床重点专科及佛山市高水平重点专科。开设3个病区、1个冠心病重症监护室(CCU)及心电生理检查功能室,开放床位135张。

现有医师35名:其中主任医师6人、副主任医师10人;护士46名,其中副主任护师3人;博士研究生导师2名、硕士研究生导师1名。博士4人,硕士16人。顺德区专家工作室5个。

2017年获批为国家级“标准版胸痛中心”、2020年获批国家级房颤建设中心。成立了心脏介入中心(冠脉、结构性心脏病、电生理及起搏、大动脉及外周血管介入)、智慧型高血压管理中心、心脏康复中心、心衰中心。



gore医疗怎么样「胸有乾坤」可调可控 从容不迫——GORE® TAG® 可主动调控胸主动脉覆膜支架治疗巨大胸主动脉瘤病例报道_https://www.jmylbn.com_新闻资讯_第35张
gore医疗怎么样「胸有乾坤」可调可控 从容不迫——GORE® TAG® 可主动调控胸主动脉覆膜支架治疗巨大胸主动脉瘤病例报道_https://www.jmylbn.com_新闻资讯_第35张
gore医疗怎么样「胸有乾坤」可调可控 从容不迫——GORE® TAG® 可主动调控胸主动脉覆膜支架治疗巨大胸主动脉瘤病例报道_https://www.jmylbn.com_新闻资讯_第35张

病例征集

如您有相类似的病例,或者希望与术者做进一步的交流,欢迎您将您的联系方式发送至tevar_case@163.com。谢谢!


gore医疗怎么样「胸有乾坤」可调可控 从容不迫——GORE® TAG® 可主动调控胸主动脉覆膜支架治疗巨大胸主动脉瘤病例报道_https://www.jmylbn.com_新闻资讯_第35张
gore医疗怎么样「胸有乾坤」可调可控 从容不迫——GORE® TAG® 可主动调控胸主动脉覆膜支架治疗巨大胸主动脉瘤病例报道_https://www.jmylbn.com_新闻资讯_第35张
gore医疗怎么样「胸有乾坤」可调可控 从容不迫——GORE® TAG® 可主动调控胸主动脉覆膜支架治疗巨大胸主动脉瘤病例报道_https://www.jmylbn.com_新闻资讯_第35张

胸有乾坤 · 往期回顾

gore医疗怎么样「胸有乾坤」可调可控 从容不迫——GORE® TAG® 可主动调控胸主动脉覆膜支架治疗巨大胸主动脉瘤病例报道_https://www.jmylbn.com_新闻资讯_第41张

01

第一步

扫码进入

往期合集

02

第二步

点击订阅

胸有乾坤专栏

gore医疗怎么样「胸有乾坤」可调可控 从容不迫——GORE® TAG® 可主动调控胸主动脉覆膜支架治疗巨大胸主动脉瘤病例报道_https://www.jmylbn.com_新闻资讯_第42张

版权声明:本平台旨在帮助医疗卫生专业人士更好地了解相关疾病领域最新进展。本平台对发布的资讯内容,并不代表同意其描述和观点,仅为提供更多信息。若涉及版权问题,烦请权利人与我们联系,我们将尽快处理。仅供医疗卫生专业人士为了解资讯使用,该等信息不能以任何方式取代专业的医疗指导,也不应被视为诊疗建议。如该等信息被用于了解资讯以外的目的,本平台及作者不承担相关责任。合作联系邮箱:vascular@edoctor.work。

gore医疗怎么样「胸有乾坤」可调可控 从容不迫——GORE® TAG® 可主动调控胸主动脉覆膜支架治疗巨大胸主动脉瘤病例报道_https://www.jmylbn.com_新闻资讯_第43张