gore医疗怎么样「胸有乾坤」可调可控 分毫必争—GORE®TAG® 可主动调控胸主动脉覆膜支架治疗B型主动脉夹层伴升主动脉瘤病例报道

新闻资讯2026-04-20 23:42:48
gore医疗怎么样「胸有乾坤」可调可控 分毫必争—GORE®TAG® 可主动调控胸主动脉覆膜支架治疗B型主动脉夹层伴升主动脉瘤病例报道_https://www.jmylbn.com_新闻资讯_第1张


本期看点

  • 马凡综合征B型主动脉夹层伴巨大升主动脉瘤病例,如何选择治疗策略?

  • 可主动调控胸主动脉覆膜支架如何使用?


gore医疗怎么样「胸有乾坤」可调可控 分毫必争—GORE®TAG® 可主动调控胸主动脉覆膜支架治疗B型主动脉夹层伴升主动脉瘤病例报道_https://www.jmylbn.com_新闻资讯_第2张


主席寄语


gore医疗怎么样「胸有乾坤」可调可控 分毫必争—GORE®TAG® 可主动调控胸主动脉覆膜支架治疗B型主动脉夹层伴升主动脉瘤病例报道_https://www.jmylbn.com_新闻资讯_第3张

尊敬的各位同道,大家好! 


近年来,随着血管腔内治疗方法的日益普及、手术器械和技术的不断创新和突破,胸主动脉腔内治疗(TEVAR)已在全国各个省市的中心陆续开展。在学科及疗法的快速发展过程中,由于病人多、技术新、任务重,临床上常常重视手术的即刻结果,却缺乏对术后长期效果的随访与评价,对术式与操作的规范化重视不够。为推动医师们技术交流和经验分享,血管资讯平台将于2021年11月起陆续推出胸主动脉腔内治疗优秀病例展示,旨在增进相互学习,了解不同病例治疗策略的制定及思考,手术过程、术中应急处理及术后随访等,提供更多的经验分享。


每一个病例的展示,都体现着术者们精益求精的专业精神——严格规范TEVAR技术操作,充分考虑每一步操作细节及围手术期的管理。我同时希望这个病例展示,能够成为同道们积极探索TEVAR新思路、新方法的交流平台,激发鼓励腔内技术与器械的创新和使用,共同开创胸主动脉腔内治疗的崭新未来!希望本次活动能有更多病例参与展示,使胸主动脉腔内治疗愈加规范、严谨,使更多患者受益。谢谢!

gore医疗怎么样「胸有乾坤」可调可控 分毫必争—GORE®TAG® 可主动调控胸主动脉覆膜支架治疗B型主动脉夹层伴升主动脉瘤病例报道_https://www.jmylbn.com_新闻资讯_第4张

2021年9月30日


可调可控 分毫必争

GORE®TAG® 可主动调控胸主动脉覆膜支架

治疗B型主动脉夹层伴升主动脉瘤病例报道


清华大学附属北京清华长庚医院 血管外科团队

吴巍巍 张童 曹战江 等

gore医疗怎么样「胸有乾坤」可调可控 分毫必争—GORE®TAG® 可主动调控胸主动脉覆膜支架治疗B型主动脉夹层伴升主动脉瘤病例报道_https://www.jmylbn.com_新闻资讯_第5张

在TEVAR术中,胸主动脉支架近端需定位于主动脉弓部。在小弯侧,近端支架与主动脉贴合不佳即出现“鸟嘴现象”,易导致Ⅰa型内漏。对于锚定区有限的病例,更需要精准释放以及支架与血管紧密贴合来获得较好的临床效果。


GORE® TAG®可主动调控胸主动脉覆膜支架系统 (GORE® TAG® Conformable Thoracic Stent Graft with ACTIVE CONTROL System) 改进支架释放方式,术者可以在释放过程中不断优化支架释放位置,进行近端成角的调整以消除 “鸟嘴” 现象。清华长庚医院血管外科吴巍巍教授团队用该支架治疗一名近端锚定区严重不足的B型夹层伴升主动脉瘤的患者。该患者疑似马凡综合征,在TEVAR术后转至心外科进行Bentall手术,多学科强强联合,患者顺利出院。


基本情况&CTA详解

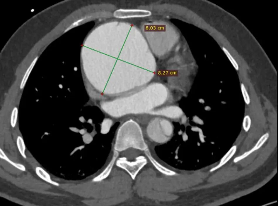
患者男性,33岁,就诊6小时前出现剧烈胸部疼痛。患者既往无高血压、糖尿病等病史。于急诊科行全主动脉CTA检查。CTA提示患者B型夹层,破口紧邻左锁骨下动脉后缘,巨大升主动脉瘤,弓上三分支未受累及,左侧椎动脉优势。结合患者体征及家族史,推测为马凡综合征。

点击边框调出视频工具条
   

术前动态CTA

gore医疗怎么样「胸有乾坤」可调可控 分毫必争—GORE®TAG® 可主动调控胸主动脉覆膜支架治疗B型主动脉夹层伴升主动脉瘤病例报道_https://www.jmylbn.com_新闻资讯_第6张
gore医疗怎么样「胸有乾坤」可调可控 分毫必争—GORE®TAG® 可主动调控胸主动脉覆膜支架治疗B型主动脉夹层伴升主动脉瘤病例报道_https://www.jmylbn.com_新闻资讯_第7张

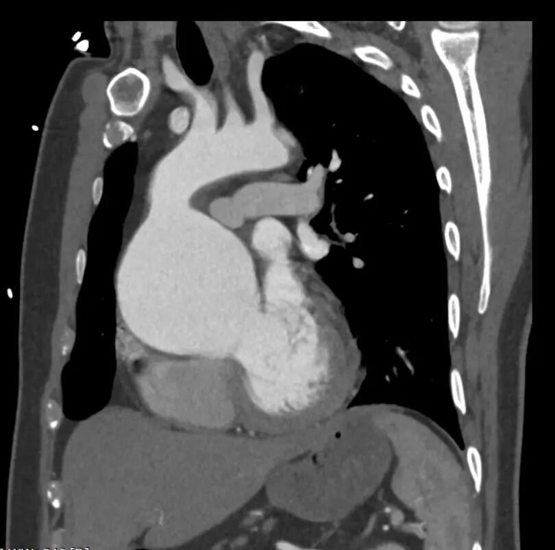
巨大升主动脉瘤


手术方案设计

1. 术前推测患者为马凡综合征病人,选择顺应性好及近端裸支架短的覆膜支架,避免对血管造成损伤;术中介入操作尽量轻柔。

2. 夹层破口紧邻左锁骨下动脉,近端锚定区紧张,GORE® TAG®可主动调控胸主动脉覆膜支架系统可以优化支架定位调整近端形态做到分毫必争。

3. 弓上分支未受累及,考虑一期行TEVAR术后,二期继续处理升主动脉瘤。


手术过程

1.患者全麻后,超声引导穿刺左侧股动脉及肱动脉,股动脉预置2把proglide缝合器后交换为10Fr血管鞘。


2.泥鳅导丝引导猪尾导管至腹主动脉,进行腹主动脉造影,确认导管行走在真腔。猪尾导管到达弓部后进行主动脉弓造影。

gore医疗怎么样「胸有乾坤」可调可控 分毫必争—GORE®TAG® 可主动调控胸主动脉覆膜支架治疗B型主动脉夹层伴升主动脉瘤病例报道_https://www.jmylbn.com_新闻资讯_第8张

腹主段造影

gore医疗怎么样「胸有乾坤」可调可控 分毫必争—GORE®TAG® 可主动调控胸主动脉覆膜支架治疗B型主动脉夹层伴升主动脉瘤病例报道_https://www.jmylbn.com_新闻资讯_第9张

主动脉弓造影


3.交换超硬导丝后置入DSF导引鞘,沿导引鞘置入GORE® TAG®可主动调控胸主动脉覆膜支架系统 TGM282815,造影确认支架位置。

gore医疗怎么样「胸有乾坤」可调可控 分毫必争—GORE®TAG® 可主动调控胸主动脉覆膜支架治疗B型主动脉夹层伴升主动脉瘤病例报道_https://www.jmylbn.com_新闻资讯_第10张

造影确认支架位置


4.调整支架位置后,第一次拉线释放,调整C臂角度至最佳投照角度。

点击边框调出视频工具条
   

调整C臂角度


5.第二次拉线释放后支架从远端至近端打开至全直径,支架位置精准形态良好,微调角度控制旋钮,使支架小弯侧贴壁更佳。完成后续释放操作后进行主动脉弓部造影。

gore医疗怎么样「胸有乾坤」可调可控 分毫必争—GORE®TAG® 可主动调控胸主动脉覆膜支架治疗B型主动脉夹层伴升主动脉瘤病例报道_https://www.jmylbn.com_新闻资讯_第11张

全直径释放

gore医疗怎么样「胸有乾坤」可调可控 分毫必争—GORE®TAG® 可主动调控胸主动脉覆膜支架治疗B型主动脉夹层伴升主动脉瘤病例报道_https://www.jmylbn.com_新闻资讯_第12张

主动调控支架小弯侧贴壁

gore医疗怎么样「胸有乾坤」可调可控 分毫必争—GORE®TAG® 可主动调控胸主动脉覆膜支架治疗B型主动脉夹层伴升主动脉瘤病例报道_https://www.jmylbn.com_新闻资讯_第13张

释放后造影


6.假腔未见显影,弓上分支通畅,导管移至降主段造影,内脏分支第一时间显影,结束手术,患者移至ICU继续观察。患者后续转至心外科进行Bentall手术,该部分不再详述。

gore医疗怎么样「胸有乾坤」可调可控 分毫必争—GORE®TAG® 可主动调控胸主动脉覆膜支架治疗B型主动脉夹层伴升主动脉瘤病例报道_https://www.jmylbn.com_新闻资讯_第14张

降主段造影


随访结果

患者完成Bentall手术后进行CTA复查,CTA显示近端假腔隔绝,支架位置形态良好。

gore医疗怎么样「胸有乾坤」可调可控 分毫必争—GORE®TAG® 可主动调控胸主动脉覆膜支架治疗B型主动脉夹层伴升主动脉瘤病例报道_https://www.jmylbn.com_新闻资讯_第15张

术后动态CTA

gore医疗怎么样「胸有乾坤」可调可控 分毫必争—GORE®TAG® 可主动调控胸主动脉覆膜支架治疗B型主动脉夹层伴升主动脉瘤病例报道_https://www.jmylbn.com_新闻资讯_第16张

术后3D重建

gore医疗怎么样「胸有乾坤」可调可控 分毫必争—GORE®TAG® 可主动调控胸主动脉覆膜支架治疗B型主动脉夹层伴升主动脉瘤病例报道_https://www.jmylbn.com_新闻资讯_第17张

矢状位动态


GORE®TAG®可主动调控胸主动脉覆膜支架使用体验

  • 可主动调控胸主动脉支架本身膜材及结构未发生改变,有极佳的顺应性。

  • 分段释放的方式在术中可进行重新定位,调整C臂投照角度,优化支架近端的释放位置。

  • 可选的近端角度控制功能实现支架近端与血管更好贴合密封,消除“鸟嘴”。

点击边框调出视频工具条
   

CADS释放动画


术者简历

 gore医疗怎么样「胸有乾坤」可调可控 分毫必争—GORE®TAG® 可主动调控胸主动脉覆膜支架治疗B型主动脉夹层伴升主动脉瘤病例报道_https://www.jmylbn.com_新闻资讯_第18张

吴巍巍 教授

中国协和医科大学医学博士(8年制)、教授、主任医师、博士生导师、北京清华长庚医院院长助理、血管外科主任、品管中心主任、厦门长庚医院血管外科特聘主任。

擅长处理各种疑难血管疾病,特别是疑难主动脉瘤、主动脉夹层、周围动脉闭塞性疾病,在国内率先开展复杂主动脉夹层或主动脉瘤微创治疗、下肢动脉微创斑块清除、下肢动脉药物球囊扩张、静脉血栓抽吸、静脉曲张射频手术。

兼任中国医师协会血管外科分会下肢动脉学组副组长,国际血管联盟中国分会转化医学专委会副主任委员,北京医师协会血管外科专科医师分会常务理事及青委会主任委员,中国医疗保健国际交流促进会静脉曲张学组副组长、颈动脉学组副组长,中国中医药结合静脉输液通路学组副组长,全国高等学校“十三五”医学规划教材《外科学》(第一版、第二版)编委等。科研课题“颈动脉狭窄治疗”获得2009年中央保健优秀课题奖,“主动脉疾病治疗”分别获得2017年“中华医学科技奖”、2018年“华夏医学科技奖”。2016年获得“首都优秀青年医生”称号,2019年获“人民好医生”称号,2020年获“北京优秀医师”称号。


 gore医疗怎么样「胸有乾坤」可调可控 分毫必争—GORE®TAG® 可主动调控胸主动脉覆膜支架治疗B型主动脉夹层伴升主动脉瘤病例报道_https://www.jmylbn.com_新闻资讯_第19张

张童 教授

清华大学医工结合博士,副主任医师。

擅长各种肢体缺血、血栓栓塞、静脉曲张、动脉瘤、动脉狭窄闭塞、血管畸形的诊治。尤其是动脉斑块微创清除技术国内领先。临床经验丰富,工作经验近二十年。德国莱比锡大学、美国路易斯安那州立大学客座教授,新泽西州狄波拉医学院访问学者。

兼任中西医结合学会周围血管专业委员会委员,国际血管联盟中国分会青年委员会委员,国际血管外科协会会员,中国微循环协会青年委员会副主任委员,中国医师协会腔内血管学专业委员会糖尿病足专家委员会委员,中国医师协会腔内血管学专业委员会下肢动脉专家委员会委员。


 gore医疗怎么样「胸有乾坤」可调可控 分毫必争—GORE®TAG® 可主动调控胸主动脉覆膜支架治疗B型主动脉夹层伴升主动脉瘤病例报道_https://www.jmylbn.com_新闻资讯_第20张

曹战江 教授

中国协和医科大学医学博士、主治医师。

擅长超声引导下的血管疾病的精准治疗、下肢静脉曲张微创手术、下肢静脉血栓与肺栓塞的微创手术、血管瘤与畸形硬化剂注射、下肢动脉硬化性闭塞症的腔内治疗、糖尿病足管理、透析通路再狭窄的手术及微创腔内治疗、输液港精准植入。

兼任中国微循环学会周围血管疾病专业委员会中青年委员,国际血管联盟青年委员,北京中西医结合学会足踝医学专业委员会委员,入选清华长庚青年骨干人才出国培养“百人计划”华盛顿大学血管外科访问学者。


科室介绍

【科室简介】

清华大学附属北京清华长庚医院血管外科是医院重点发展科室。科室由原北京协和医院血管外科吴巍巍教授领衔,担任科室主任和学术带头人,北京协和医院血管外科刘昌伟教授担任名誉主任。血管外科工作日及周末均开放门诊,现有病房床位30张,手术150台/月,是京北地区最大的血管外科之一。科室注重通过教学与科研推动临床工作,获得多项国自然等科研基金的研究资助。科室突出优势是同时擅长微创介入手术和经典开放手术,能够为患者选择最适合病情的治疗方案。


【人员构成】

科室现有医师11人,其中主任医师2人,研究生导师2人,副主任医师2人,医学博士9人,医学英才博士后2人,清华创新领军工程博士1人,个案管理师1人,专科护士2人。医师分别来自北京协和医院、北京大学人民医院、中国中医研究院西苑医院,血管疑难疾病诊治经验丰富。护理团队均有北京著名三甲医院学习及工作经历,临床护理经验丰富。 


【组织框架】

血管外科包括五大疾病诊疗中心,分别为主动脉及内脏血管中心、下肢血管中心、头颈部血管中心、静脉中心、血管介入及通路中心,全面开展头颈部血管、胸腹部血管、四肢血管、内脏血管等多部位血管疾病的开放和微创手术以及血管通路介入治疗。科室按照清华大学建设高水平教学医院的统一部署,继续广纳海内外优秀人才,强化与其它学科及国内外机构的交流合作,齐心合力,人尽其才,努力实现跨越式的学科发展。

gore医疗怎么样「胸有乾坤」可调可控 分毫必争—GORE®TAG® 可主动调控胸主动脉覆膜支架治疗B型主动脉夹层伴升主动脉瘤病例报道_https://www.jmylbn.com_新闻资讯_第21张



gore医疗怎么样「胸有乾坤」可调可控 分毫必争—GORE®TAG® 可主动调控胸主动脉覆膜支架治疗B型主动脉夹层伴升主动脉瘤病例报道_https://www.jmylbn.com_新闻资讯_第22张
gore医疗怎么样「胸有乾坤」可调可控 分毫必争—GORE®TAG® 可主动调控胸主动脉覆膜支架治疗B型主动脉夹层伴升主动脉瘤病例报道_https://www.jmylbn.com_新闻资讯_第22张
gore医疗怎么样「胸有乾坤」可调可控 分毫必争—GORE®TAG® 可主动调控胸主动脉覆膜支架治疗B型主动脉夹层伴升主动脉瘤病例报道_https://www.jmylbn.com_新闻资讯_第24张

病例征集

如您有相类似的病例,或者希望与术者做进一步的交流,欢迎您将您的联系方式发送至tevar_case@163.com。谢谢!


版权声明:本平台旨在帮助医疗卫生专业人士更好地了解相关疾病领域最新进展。本平台对发布的资讯内容,并不代表同意其描述和观点,仅为提供更多信息。若涉及版权问题,烦请权利人与我们联系,我们将尽快处理。仅供医疗卫生专业人士为了解资讯使用,该等信息不能以任何方式取代专业的医疗指导,也不应被视为诊疗建议。如该等信息被用于了解资讯以外的目的,本平台及作者不承担相关责任。合作联系邮箱:vascular@edoctor.cn。

gore医疗怎么样「胸有乾坤」可调可控 分毫必争—GORE®TAG® 可主动调控胸主动脉覆膜支架治疗B型主动脉夹层伴升主动脉瘤病例报道_https://www.jmylbn.com_新闻资讯_第25张