gore医疗怎么样「胸有乾坤」可调可控 精准出击——四川大学华西医院肖正华教授团队:CADS治疗B型主动脉夹层病例分享

新闻资讯2026-04-20 23:42:49
gore医疗怎么样「胸有乾坤」可调可控 精准出击——四川大学华西医院肖正华教授团队:CADS治疗B型主动脉夹层病例分享_https://www.jmylbn.com_新闻资讯_第1张


本期看点

  • 陡弓,小弯侧锚定区不足时,如何有效隔绝?避免“鸟嘴”和内漏

  • 如何应用GORE® TAG® 可主动调控胸主动脉覆膜支架实现精准定位?


gore医疗怎么样「胸有乾坤」可调可控 精准出击——四川大学华西医院肖正华教授团队:CADS治疗B型主动脉夹层病例分享_https://www.jmylbn.com_新闻资讯_第2张


主席寄语


gore医疗怎么样「胸有乾坤」可调可控 精准出击——四川大学华西医院肖正华教授团队:CADS治疗B型主动脉夹层病例分享_https://www.jmylbn.com_新闻资讯_第3张

尊敬的各位同道,大家好! 


近年来,随着血管腔内治疗方法的日益普及、手术器械和技术的不断创新和突破,胸主动脉腔内治疗(TEVAR)已在全国各个省市的中心陆续开展。在学科及疗法的快速发展过程中,由于病人多、技术新、任务重,临床上常常重视手术的即刻结果,却缺乏对术后长期效果的随访与评价,对术式与操作的规范化重视不够。为推动医师们技术交流和经验分享,血管资讯平台将于2021年11月起陆续推出胸主动脉腔内治疗优秀病例展示,旨在增进相互学习,了解不同病例治疗策略的制定及思考,手术过程、术中应急处理及术后随访等,提供更多的经验分享。


每一个病例的展示,都体现着术者们精益求精的专业精神——严格规范TEVAR技术操作,充分考虑每一步操作细节及围手术期的管理。我同时希望这个病例展示,能够成为同道们积极探索TEVAR新思路、新方法的交流平台,激发鼓励腔内技术与器械的创新和使用,共同开创胸主动脉腔内治疗的崭新未来!希望本次活动能有更多病例参与展示,使胸主动脉腔内治疗愈加规范、严谨,使更多患者受益。谢谢!

gore医疗怎么样「胸有乾坤」可调可控 精准出击——四川大学华西医院肖正华教授团队:CADS治疗B型主动脉夹层病例分享_https://www.jmylbn.com_新闻资讯_第4张

2021年9月30日


可调可控 精准出击

CADS治疗B型主动脉夹层病例分享

四川大学华西医院肖正华教授团队


gore医疗怎么样「胸有乾坤」可调可控 精准出击——四川大学华西医院肖正华教授团队:CADS治疗B型主动脉夹层病例分享_https://www.jmylbn.com_新闻资讯_第5张

主动脉夹层是指由于各种因素导致血管内膜撕裂形成破口,新的管腔(假腔)出现,血液在夹层内膜和外膜层之间流动,外膜薄,极易出现夹层破裂,导致死亡。目前对于B型主动脉夹层,TEVAR已成为首选治疗方式。戈尔公司新上市了GORE® TAG® 可主动调控胸主动脉覆膜支架系统(CADS),全新的分阶段释放,为术者在释放过程中进行支架释放位置的优化,同时配以近端成角的调控功能,增强支架在小弯侧的贴附,以消除 “鸟嘴” 现象。四川大学华西医院肖正华教授团队应用GORE® TAG® 可主动调控胸主动脉覆膜支架治疗一位B型夹层患者,充分利用了该支架系统的“可调可控”特性,术后疗效确切,患者恢复满意。


病情简介

36岁男性患者,主诉:体检发现主动脉夹层1天。


现病史:超声心电图:主动脉弓部管腔内撕裂内膜回声(主动脉夹层?),未诉明显胸前区及后背疼痛。CT检查,提示主动脉夹层(Stanford B型,Debake llI型)。病程中,患者睡眠精神尚可,饮食尚可,大小便正常,体重未见明显变化。


既往史:一般情况良好,10年前行“主动脉瓣置换术”,长期口服华法林,有吸烟史。


术前CTA评估与测量

术前CTA提示主动脉夹层(Stanford B型,Debake llI型),主动脉弓及降主动脉瘤样扩张,累及左锁骨下动脉起始段,管径最粗约7.4cm,夹层初破口位于降主动脉起始段,向下累及至腹主动脉(约平胸12椎体水平),真腔小,假腔大,腹腔干发自混合腔,肠系膜上动脉、下动脉,双肾动脉均起自真腔,双肾灌注未见差异。

gore医疗怎么样「胸有乾坤」可调可控 精准出击——四川大学华西医院肖正华教授团队:CADS治疗B型主动脉夹层病例分享_https://www.jmylbn.com_新闻资讯_第6张
gore医疗怎么样「胸有乾坤」可调可控 精准出击——四川大学华西医院肖正华教授团队:CADS治疗B型主动脉夹层病例分享_https://www.jmylbn.com_新闻资讯_第7张
gore医疗怎么样「胸有乾坤」可调可控 精准出击——四川大学华西医院肖正华教授团队:CADS治疗B型主动脉夹层病例分享_https://www.jmylbn.com_新闻资讯_第8张

术前三维重建


术前CTA详解:

gore医疗怎么样「胸有乾坤」可调可控 精准出击——四川大学华西医院肖正华教授团队:CADS治疗B型主动脉夹层病例分享_https://www.jmylbn.com_新闻资讯_第9张
gore医疗怎么样「胸有乾坤」可调可控 精准出击——四川大学华西医院肖正华教授团队:CADS治疗B型主动脉夹层病例分享_https://www.jmylbn.com_新闻资讯_第10张
gore医疗怎么样「胸有乾坤」可调可控 精准出击——四川大学华西医院肖正华教授团队:CADS治疗B型主动脉夹层病例分享_https://www.jmylbn.com_新闻资讯_第11张
gore医疗怎么样「胸有乾坤」可调可控 精准出击——四川大学华西医院肖正华教授团队:CADS治疗B型主动脉夹层病例分享_https://www.jmylbn.com_新闻资讯_第12张
gore医疗怎么样「胸有乾坤」可调可控 精准出击——四川大学华西医院肖正华教授团队:CADS治疗B型主动脉夹层病例分享_https://www.jmylbn.com_新闻资讯_第13张
gore医疗怎么样「胸有乾坤」可调可控 精准出击——四川大学华西医院肖正华教授团队:CADS治疗B型主动脉夹层病例分享_https://www.jmylbn.com_新闻资讯_第14张
gore医疗怎么样「胸有乾坤」可调可控 精准出击——四川大学华西医院肖正华教授团队:CADS治疗B型主动脉夹层病例分享_https://www.jmylbn.com_新闻资讯_第15张
gore医疗怎么样「胸有乾坤」可调可控 精准出击——四川大学华西医院肖正华教授团队:CADS治疗B型主动脉夹层病例分享_https://www.jmylbn.com_新闻资讯_第16张
gore医疗怎么样「胸有乾坤」可调可控 精准出击——四川大学华西医院肖正华教授团队:CADS治疗B型主动脉夹层病例分享_https://www.jmylbn.com_新闻资讯_第17张
gore医疗怎么样「胸有乾坤」可调可控 精准出击——四川大学华西医院肖正华教授团队:CADS治疗B型主动脉夹层病例分享_https://www.jmylbn.com_新闻资讯_第18张


病例特点

1. 弓型陡峭,成角;

2. 自左颈总后缘小弯侧锚定区不足1cm;

3. 巨大破口,约33mm,病变累及至腹腔干平面。


方案设计

1. LSA-LCCA转流;

2. 远端选用GORE® TAG® 胸主动脉覆膜支架系统支架 TGU313115;

3. 近端选用GORE® TAG® 可主动调控胸主动脉覆膜支架系统 TGMR313120锚定于LCCA后缘。

CADS释放动画


手术过程

1. 沿左侧锁骨上窝横行切开,暴露左颈总和左锁骨下动脉,行左颈总-锁骨下动脉转流(LCCA→LSA)。


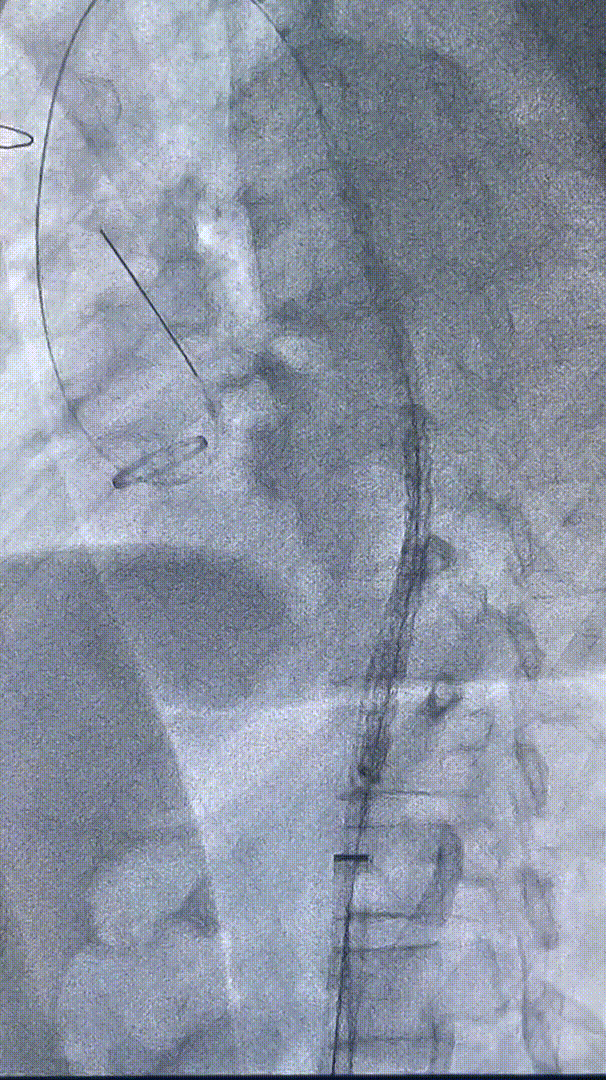
2. 经右侧股动脉穿刺入路,确认导丝在真腔,行胸主动脉段造影。

gore医疗怎么样「胸有乾坤」可调可控 精准出击——四川大学华西医院肖正华教授团队:CADS治疗B型主动脉夹层病例分享_https://www.jmylbn.com_新闻资讯_第19张

术中入路造影

gore医疗怎么样「胸有乾坤」可调可控 精准出击——四川大学华西医院肖正华教授团队:CADS治疗B型主动脉夹层病例分享_https://www.jmylbn.com_新闻资讯_第20张

确认真腔


3. 交换lunderquist超硬导丝,置入DSF2265导引鞘,沿导引鞘先置入GORE® TAG® 胸主动脉覆膜支架系统 TGU313115,造影确认支架位置并释放。

gore医疗怎么样「胸有乾坤」可调可控 精准出击——四川大学华西医院肖正华教授团队:CADS治疗B型主动脉夹层病例分享_https://www.jmylbn.com_新闻资讯_第21张

释放远端CTAG


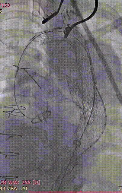
4. 继续送入近端GORE® TAG® 可主动调控胸主动脉覆膜支架TGMR313120,顶住导丝以左颈总后缘定位。

gore医疗怎么样「胸有乾坤」可调可控 精准出击——四川大学华西医院肖正华教授团队:CADS治疗B型主动脉夹层病例分享_https://www.jmylbn.com_新闻资讯_第22张

CADS支架定位

gore医疗怎么样「胸有乾坤」可调可控 精准出击——四川大学华西医院肖正华教授团队:CADS治疗B型主动脉夹层病例分享_https://www.jmylbn.com_新闻资讯_第23张

CADS释放前回撤鞘


5. CADS第一阶段释放,支架从近端向远端打开,释放至50%直径。

gore医疗怎么样「胸有乾坤」可调可控 精准出击——四川大学华西医院肖正华教授团队:CADS治疗B型主动脉夹层病例分享_https://www.jmylbn.com_新闻资讯_第24张


6. 支架近端位置微调后,再次顶住导丝,二次释放。

gore医疗怎么样「胸有乾坤」可调可控 精准出击——四川大学华西医院肖正华教授团队:CADS治疗B型主动脉夹层病例分享_https://www.jmylbn.com_新闻资讯_第25张

术中小弯侧定位造影

gore医疗怎么样「胸有乾坤」可调可控 精准出击——四川大学华西医院肖正华教授团队:CADS治疗B型主动脉夹层病例分享_https://www.jmylbn.com_新闻资讯_第26张

CADS释放一半后近端位置调整


7. CADS第二阶段释放,继续将超硬导丝顶紧大弯侧,释放CADS支架,支架由远端向近端打开至全直径,锁线钢丝全程将支架与输送系统进行固定,支架释放过程无移位,释放后,支架小弯侧贴附良好,无“鸟嘴”;最终造影可见隔绝良好,无内漏。

gore医疗怎么样「胸有乾坤」可调可控 精准出击——四川大学华西医院肖正华教授团队:CADS治疗B型主动脉夹层病例分享_https://www.jmylbn.com_新闻资讯_第27张

CADS第二阶段释放

gore医疗怎么样「胸有乾坤」可调可控 精准出击——四川大学华西医院肖正华教授团队:CADS治疗B型主动脉夹层病例分享_https://www.jmylbn.com_新闻资讯_第28张

CADS完全释放后造影


术后随访

术后随访复查造影可见胸主动脉显影良好,假腔血栓化,支架近端无“鸟嘴”,支架内显影良好无内漏。

gore医疗怎么样「胸有乾坤」可调可控 精准出击——四川大学华西医院肖正华教授团队:CADS治疗B型主动脉夹层病例分享_https://www.jmylbn.com_新闻资讯_第29张

术后CTA

gore医疗怎么样「胸有乾坤」可调可控 精准出击——四川大学华西医院肖正华教授团队:CADS治疗B型主动脉夹层病例分享_https://www.jmylbn.com_新闻资讯_第30张

术后三维重建

gore医疗怎么样「胸有乾坤」可调可控 精准出击——四川大学华西医院肖正华教授团队:CADS治疗B型主动脉夹层病例分享_https://www.jmylbn.com_新闻资讯_第31张

术后三维黑白重建


病例经验总结

GORE® TAG® 可主动调控胸主动脉覆膜支架,分阶段释放的设计,方便术者在释放至中间直径时,可以进行支架释放位置的优化,实现精准定位,可调可控。锁线钢丝在两阶段释放过程中全程固定将支架与输送系统进行固定,有效避免支架移位,提高支架释放的稳定性。支架出众的顺应性及较短的近端局部裸区最大程度降低对血管壁的损伤,确保治疗效果的长期安全性和有效性。


专家简介

 gore医疗怎么样「胸有乾坤」可调可控 精准出击——四川大学华西医院肖正华教授团队:CADS治疗B型主动脉夹层病例分享_https://www.jmylbn.com_新闻资讯_第32张

肖正华 教授

四川大学华西医院心脏大血管外科,副主任医师,副教授,博士生导师,医疗组长。

学术任职:中国心脏结构青年委员会委员;欧美同学会大血管分会委员;中国医师协会重症瓣膜病专委会委员;四川省医学会胸心外科专委会第一届大血管学组委员;四川省医促会第一届心脏大血管外科学专业委员会委员;四川省老年医学学会胸心外科专业委员会副主任委员;四川省学术技术带头人后备人才。

美国克利夫兰医学中心、印第安纳大学Methodist医院以及密歇根(Michigan)大学医院心脏中心高级访问学者。主持多项国家级课题、省级课题以及横向课题,科研经费约700余万元,主编著作2本,发表SCI论文30余篇,多篇发表于欧洲心脏杂志(EHJ),JAMA Cardiology,AME,JTCVS等高影响因子杂志。擅长各类成人心脏手术,已独立完成心脏手术约4000台。在复杂成人心脏大血管外科手术方面做了大量工作,完成世界首例巨大左右冠状动脉瘤切除术、西南地区首例一站式全胸主动脉置换术、西南地区首例母女平安的孕妇A型主动脉夹层手术等复杂手术,西南地区首例主动脉根部Y型扩大手术,全国首例孕妇保留主动脉瓣的的根部替换手术。并在主动脉疾病外科治疗做了许多工作,如:主动脉瓣成型,主动脉瘤根部替换、西南地区样本量最大的保留主动脉瓣的的根部替换手术(Reimplantation术),再次主动脉根部手术以及主动脉夹层的外科治疗、腔内修复和杂交治疗等。



gore医疗怎么样「胸有乾坤」可调可控 精准出击——四川大学华西医院肖正华教授团队:CADS治疗B型主动脉夹层病例分享_https://www.jmylbn.com_新闻资讯_第33张
gore医疗怎么样「胸有乾坤」可调可控 精准出击——四川大学华西医院肖正华教授团队:CADS治疗B型主动脉夹层病例分享_https://www.jmylbn.com_新闻资讯_第33张
gore医疗怎么样「胸有乾坤」可调可控 精准出击——四川大学华西医院肖正华教授团队:CADS治疗B型主动脉夹层病例分享_https://www.jmylbn.com_新闻资讯_第33张

病例征集

如您有相类似的病例,或者希望与术者做进一步的交流,欢迎您将您的联系方式发送至tevar_case@163.com。谢谢!


gore医疗怎么样「胸有乾坤」可调可控 精准出击——四川大学华西医院肖正华教授团队:CADS治疗B型主动脉夹层病例分享_https://www.jmylbn.com_新闻资讯_第33张
gore医疗怎么样「胸有乾坤」可调可控 精准出击——四川大学华西医院肖正华教授团队:CADS治疗B型主动脉夹层病例分享_https://www.jmylbn.com_新闻资讯_第33张
gore医疗怎么样「胸有乾坤」可调可控 精准出击——四川大学华西医院肖正华教授团队:CADS治疗B型主动脉夹层病例分享_https://www.jmylbn.com_新闻资讯_第33张

胸有乾坤 · 往期回顾

gore医疗怎么样「胸有乾坤」可调可控 精准出击——四川大学华西医院肖正华教授团队:CADS治疗B型主动脉夹层病例分享_https://www.jmylbn.com_新闻资讯_第39张

01

第一步

扫码进入

往期合集

02

第二步

点击订阅

胸有乾坤专栏

gore医疗怎么样「胸有乾坤」可调可控 精准出击——四川大学华西医院肖正华教授团队:CADS治疗B型主动脉夹层病例分享_https://www.jmylbn.com_新闻资讯_第40张


版权声明:本平台旨在帮助医疗卫生专业人士更好地了解相关疾病领域最新进展。本平台对发布的资讯内容,并不代表同意其描述和观点,仅为提供更多信息。若涉及版权问题,烦请权利人与我们联系,我们将尽快处理。仅供医疗卫生专业人士为了解资讯使用,该等信息不能以任何方式取代专业的医疗指导,也不应被视为诊疗建议。如该等信息被用于了解资讯以外的目的,本平台及作者不承担相关责任。合作联系邮箱:vascular@edoctor.cn。

gore医疗怎么样「胸有乾坤」可调可控 精准出击——四川大学华西医院肖正华教授团队:CADS治疗B型主动脉夹层病例分享_https://www.jmylbn.com_新闻资讯_第41张