gore医疗怎么样「胸有乾坤」可调可控 遂心应手——GORE® TAG® 可主动调控胸主动脉覆膜支架治疗急性夹层病例报道

新闻资讯2026-04-20 23:42:51
gore医疗怎么样「胸有乾坤」可调可控 遂心应手——GORE® TAG® 可主动调控胸主动脉覆膜支架治疗急性夹层病例报道_https://www.jmylbn.com_新闻资讯_第1张


本期看点

  • 对于弓型陡峭的Ⅲ型弓解剖,如何选择支架,减少“鸟嘴”造成的内漏发生?

  • 夹层累及至双侧髂外动脉,腹腔干动脉,支架如何定位以更好的隔绝胸主段假腔?

*本病例仅供医学专业人士阅读参考

gore医疗怎么样「胸有乾坤」可调可控 遂心应手——GORE® TAG® 可主动调控胸主动脉覆膜支架治疗急性夹层病例报道_https://www.jmylbn.com_新闻资讯_第2张


主席寄语


gore医疗怎么样「胸有乾坤」可调可控 遂心应手——GORE® TAG® 可主动调控胸主动脉覆膜支架治疗急性夹层病例报道_https://www.jmylbn.com_新闻资讯_第3张

尊敬的各位同道,大家好! 


近年来,随着血管腔内治疗方法的日益普及、手术器械和技术的不断创新和突破,胸主动脉腔内治疗(TEVAR)已在全国各个省市的中心陆续开展。在学科及疗法的快速发展过程中,由于病人多、技术新、任务重,临床上常常重视手术的即刻结果,却缺乏对术后长期效果的随访与评价,对术式与操作的规范化重视不够。为推动医师们技术交流和经验分享,血管资讯平台将于2021年11月起陆续推出胸主动脉腔内治疗优秀病例展示,旨在增进相互学习,了解不同病例治疗策略的制定及思考,手术过程、术中应急处理及术后随访等,提供更多的经验分享。


每一个病例的展示,都体现着术者们精益求精的专业精神——严格规范TEVAR技术操作,充分考虑每一步操作细节及围手术期的管理。我同时希望这个病例展示,能够成为同道们积极探索TEVAR新思路、新方法的交流平台,激发鼓励腔内技术与器械的创新和使用,共同开创胸主动脉腔内治疗的崭新未来!希望本次活动能有更多病例参与展示,使胸主动脉腔内治疗愈加规范、严谨,使更多患者受益。谢谢!

gore医疗怎么样「胸有乾坤」可调可控 遂心应手——GORE® TAG® 可主动调控胸主动脉覆膜支架治疗急性夹层病例报道_https://www.jmylbn.com_新闻资讯_第4张

2021年9月30日


可调可控 遂心应手

GORE® TAG® 可主动调控胸主动脉覆膜支架

治疗急性夹层病例报道

西藏自治区人民医院

普布次仁教授团队

gore医疗怎么样「胸有乾坤」可调可控 遂心应手——GORE® TAG® 可主动调控胸主动脉覆膜支架治疗急性夹层病例报道_https://www.jmylbn.com_新闻资讯_第5张

病例基本情况

现病史:患者男性,58岁,无明显诱因出现胸部疼痛,伴有呼吸困难,无恶心呕吐、腹痛腹胀等不适。于当地医院就诊完善相关检查后考虑“主动脉夹层”,予以控制血压、止痛等对症治疗。患者为寻求进一步治疗就诊于我院急诊,入院后进行控制血压、止痛等对症治疗后症状有所好转。

既往史:高血压病史7年,间断藏药控制血压,否认糖尿病、心脏病等慢性病史。


术前CTA详解

CTA提示患者主动脉弓型为Ⅲ型弓,左侧椎动脉为优势动脉,夹层累及至双侧髂外动脉,腹腔干动脉,肠系膜上动脉及左肾动脉为真腔供血,右肾动脉为真假腔供血,左侧胸腔少量积液。

gore医疗怎么样「胸有乾坤」可调可控 遂心应手——GORE® TAG® 可主动调控胸主动脉覆膜支架治疗急性夹层病例报道_https://www.jmylbn.com_新闻资讯_第6张

术前CTA

gore医疗怎么样「胸有乾坤」可调可控 遂心应手——GORE® TAG® 可主动调控胸主动脉覆膜支架治疗急性夹层病例报道_https://www.jmylbn.com_新闻资讯_第7张

术前3D重建动态

gore医疗怎么样「胸有乾坤」可调可控 遂心应手——GORE® TAG® 可主动调控胸主动脉覆膜支架治疗急性夹层病例报道_https://www.jmylbn.com_新闻资讯_第8张

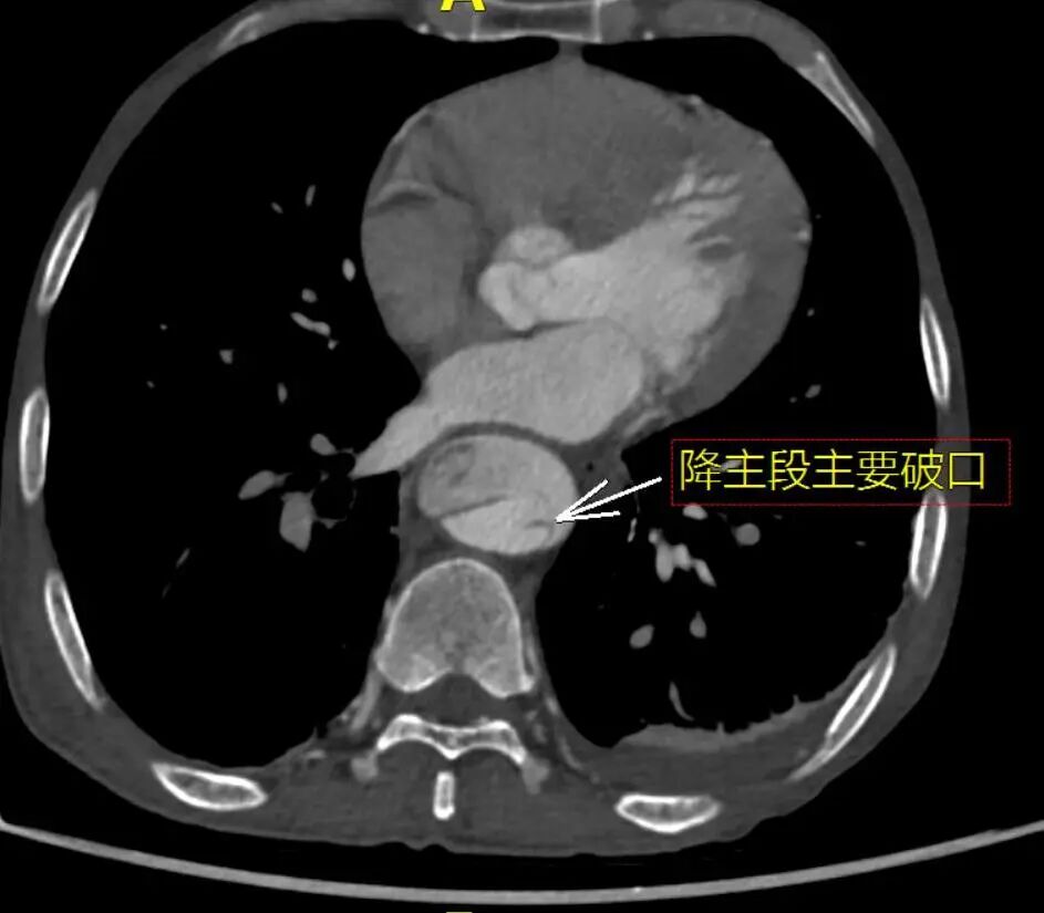
降主段明显破口

gore医疗怎么样「胸有乾坤」可调可控 遂心应手——GORE® TAG® 可主动调控胸主动脉覆膜支架治疗急性夹层病例报道_https://www.jmylbn.com_新闻资讯_第9张

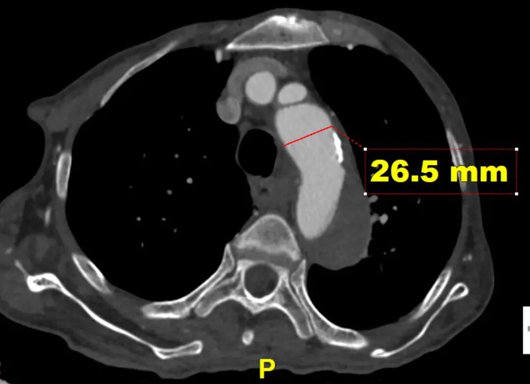
远端真腔长轴直径

gore医疗怎么样「胸有乾坤」可调可控 遂心应手——GORE® TAG® 可主动调控胸主动脉覆膜支架治疗急性夹层病例报道_https://www.jmylbn.com_新闻资讯_第10张

LSA后缘主动脉直径


手术计划

对于弓型陡峭的Ⅲ型弓解剖,由于支架本身的回直力容易形成“鸟嘴”造成支架近端与血管壁贴合不牢而有内漏发生。GORE® TAG® 可主动调控胸主动脉覆膜支架(以下简称“CADS”)分阶段释放过程中可以优化释放位置,实现精准定位;可主动调控的功能则可以改善支架近端与主动脉小弯侧的贴附,最大限度地避免“鸟嘴”发生。



对于此病例,近端未见明显破口,计划从左锁骨下动脉后缘锚定保证椎动脉血供,远端覆盖降主段主要破口,支架远端尽量处在相对直段的血管降低损伤血管风险。结合近端血管直径及远端真腔长轴直径计划近端:CADS支架 TGMR313120+远端CTAG TGU262610。


手术过程

1. 患者全麻后,穿刺右侧股动脉和左侧肱动脉,金标猪尾导管沿泥鳅导丝送至胸主动脉,按照术前测量投照角度行主动脉造影。

gore医疗怎么样「胸有乾坤」可调可控 遂心应手——GORE® TAG® 可主动调控胸主动脉覆膜支架治疗急性夹层病例报道_https://www.jmylbn.com_新闻资讯_第11张

主动脉弓部造影

gore医疗怎么样「胸有乾坤」可调可控 遂心应手——GORE® TAG® 可主动调控胸主动脉覆膜支架治疗急性夹层病例报道_https://www.jmylbn.com_新闻资讯_第12张

降主动脉造影


2. 交换为加硬导丝后置入20Fr GORE® DrySeal亲水涂层导引鞘,置入CTAG TGU262610远端定位在腹腔干动脉以上3cm处并释放。

gore医疗怎么样「胸有乾坤」可调可控 遂心应手——GORE® TAG® 可主动调控胸主动脉覆膜支架治疗急性夹层病例报道_https://www.jmylbn.com_新闻资讯_第13张

CTAG释放前造影定位


3. 继续置入CADS TGMR313120,近端定位在左锁骨动脉后缘,分阶段释放后使用近端角度调控功能让支架小弯侧与血管壁紧密贴合。

gore医疗怎么样「胸有乾坤」可调可控 遂心应手——GORE® TAG® 可主动调控胸主动脉覆膜支架治疗急性夹层病例报道_https://www.jmylbn.com_新闻资讯_第14张

CADS释放前造影定位


4. 进行最终造影,支架形态良好,胸主段假腔未见显影,结束手术。

gore医疗怎么样「胸有乾坤」可调可控 遂心应手——GORE® TAG® 可主动调控胸主动脉覆膜支架治疗急性夹层病例报道_https://www.jmylbn.com_新闻资讯_第15张

最终造影


术后随访

患者出院前进行CTA复查,支架形态良好,与血管壁紧密贴合无内漏,胸主段假腔隔绝,真腔重塑良好。

gore医疗怎么样「胸有乾坤」可调可控 遂心应手——GORE® TAG® 可主动调控胸主动脉覆膜支架治疗急性夹层病例报道_https://www.jmylbn.com_新闻资讯_第16张

术后CTA

gore医疗怎么样「胸有乾坤」可调可控 遂心应手——GORE® TAG® 可主动调控胸主动脉覆膜支架治疗急性夹层病例报道_https://www.jmylbn.com_新闻资讯_第17张

术后3D重建动态

gore医疗怎么样「胸有乾坤」可调可控 遂心应手——GORE® TAG® 可主动调控胸主动脉覆膜支架治疗急性夹层病例报道_https://www.jmylbn.com_新闻资讯_第18张
gore医疗怎么样「胸有乾坤」可调可控 遂心应手——GORE® TAG® 可主动调控胸主动脉覆膜支架治疗急性夹层病例报道_https://www.jmylbn.com_新闻资讯_第19张
gore医疗怎么样「胸有乾坤」可调可控 遂心应手——GORE® TAG® 可主动调控胸主动脉覆膜支架治疗急性夹层病例报道_https://www.jmylbn.com_新闻资讯_第20张
gore医疗怎么样「胸有乾坤」可调可控 遂心应手——GORE® TAG® 可主动调控胸主动脉覆膜支架治疗急性夹层病例报道_https://www.jmylbn.com_新闻资讯_第21张

术后3D重建

GORE® TAG® 可主动调控胸主动脉

覆膜支架使用体验

GORE® TAG® 可主动调控胸主动脉覆膜支架释放过程中可以通过优化释放位置实现精准定位,可调可控。锁线手柄钢丝在两步拉线释放过程中全程固定,无需担心支架移位。CADS相对于CTAG直径31mm的支架增加了20cm长度这一新的型号规格,为临床制定手术计划提供了更多选择。


上述病例介绍,代表作者的个人观点,仅作为学术交流与术式探讨的目的。关于器械的详细使用说明和适用范围等信息,请参照IFU。


专家简介

 gore医疗怎么样「胸有乾坤」可调可控 遂心应手——GORE® TAG® 可主动调控胸主动脉覆膜支架治疗急性夹层病例报道_https://www.jmylbn.com_新闻资讯_第22张

普布次仁 教授

西藏自治区人民医院,血管外科。

2006年毕业于华西医科大临床医学,获得大学本科学历,中共党员。

在北京协和医院两年进修期满后,2012年10月在西藏开展了首例腹主动脉瘤人工血管置换术;2013年开展了首例腹主动脉瘤腔内隔绝术;2017年首次在西藏开展胸主动脉瘤及胸主动脉夹层腔内治疗,此后相继开展了下肢动静脉闭塞的介入及手术治疗,血栓滤网植入等相关技术,2019年4月经过培训在西藏率先开展了大隐静脉曲张激光治疗。2021年4月开展了颈动脉体瘤手术,2023年开展了西藏地区开展了下肢静脉曲张射频消融手术及下肢深静脉血栓抽吸手术。此后开展了 IBE.IBD,castor等大动脉先进技术。

目前社会任职:中国医师协会血管外科分会委员;西藏医学会高原医学暨心血管病专业委员会第二届委员会常务委员;中国微循环学会周围血管疾病专业委员会血栓防治专家委员会委员;第二届海峡两岸医药卫生交流协会血管外科专业委员会委员;中国微循环学会周围血管疾病专业委员会主露动脉外科专家委员会委员;中国微循环学会周围血管疾病专业委员会基层专家委员会常务委员;中国老年医学会周围血管疾病管理分会第一届委员会委员。




gore医疗怎么样「胸有乾坤」可调可控 遂心应手——GORE® TAG® 可主动调控胸主动脉覆膜支架治疗急性夹层病例报道_https://www.jmylbn.com_新闻资讯_第23张
gore医疗怎么样「胸有乾坤」可调可控 遂心应手——GORE® TAG® 可主动调控胸主动脉覆膜支架治疗急性夹层病例报道_https://www.jmylbn.com_新闻资讯_第23张
gore医疗怎么样「胸有乾坤」可调可控 遂心应手——GORE® TAG® 可主动调控胸主动脉覆膜支架治疗急性夹层病例报道_https://www.jmylbn.com_新闻资讯_第23张

病例征集

如您有相类似的病例,或者希望与术者做进一步的交流,欢迎您将您的联系方式发送至tevar_case@163.com。谢谢!


gore医疗怎么样「胸有乾坤」可调可控 遂心应手——GORE® TAG® 可主动调控胸主动脉覆膜支架治疗急性夹层病例报道_https://www.jmylbn.com_新闻资讯_第23张
gore医疗怎么样「胸有乾坤」可调可控 遂心应手——GORE® TAG® 可主动调控胸主动脉覆膜支架治疗急性夹层病例报道_https://www.jmylbn.com_新闻资讯_第23张
gore医疗怎么样「胸有乾坤」可调可控 遂心应手——GORE® TAG® 可主动调控胸主动脉覆膜支架治疗急性夹层病例报道_https://www.jmylbn.com_新闻资讯_第23张

胸有乾坤 · 往期回顾

gore医疗怎么样「胸有乾坤」可调可控 遂心应手——GORE® TAG® 可主动调控胸主动脉覆膜支架治疗急性夹层病例报道_https://www.jmylbn.com_新闻资讯_第29张

01

第一步

扫码进入

往期合集

02

第二步

点击订阅

胸有乾坤专栏

gore医疗怎么样「胸有乾坤」可调可控 遂心应手——GORE® TAG® 可主动调控胸主动脉覆膜支架治疗急性夹层病例报道_https://www.jmylbn.com_新闻资讯_第30张


版权声明:本平台旨在帮助医疗卫生专业人士更好地了解相关疾病领域最新进展。本平台对发布的资讯内容,并不代表同意其描述和观点,仅为提供更多信息。若涉及版权问题,烦请权利人与我们联系,我们将尽快处理。仅供医疗卫生专业人士为了解资讯使用,该等信息不能以任何方式取代专业的医疗指导,也不应被视为诊疗建议。如该等信息被用于了解资讯以外的目的,本平台及作者不承担相关责任。合作联系邮箱:vascular@edoctor.work。

gore医疗怎么样「胸有乾坤」可调可控 遂心应手——GORE® TAG® 可主动调控胸主动脉覆膜支架治疗急性夹层病例报道_https://www.jmylbn.com_新闻资讯_第31张