gore医疗怎么样「胸有乾坤」可调可控,从容不迫——GORE® TAG®可主动调控胸主动脉覆膜支架治疗右弓右降伴Kommerell憩室病例

新闻资讯2026-04-20 23:42:52
gore医疗怎么样「胸有乾坤」可调可控,从容不迫——GORE® TAG®可主动调控胸主动脉覆膜支架治疗右弓右降伴Kommerell憩室病例_https://www.jmylbn.com_新闻资讯_第1张


本期看点

  • 小弯侧4.6mm锚定区,如何精准锚定?

  • 右弓右降,超陡弓如何优化密封,避免内漏?

  • GORE® TAG®可主动调控胸主动脉覆膜支架如何使用?


gore医疗怎么样「胸有乾坤」可调可控,从容不迫——GORE® TAG®可主动调控胸主动脉覆膜支架治疗右弓右降伴Kommerell憩室病例_https://www.jmylbn.com_新闻资讯_第2张


主席寄语


gore医疗怎么样「胸有乾坤」可调可控,从容不迫——GORE® TAG®可主动调控胸主动脉覆膜支架治疗右弓右降伴Kommerell憩室病例_https://www.jmylbn.com_新闻资讯_第3张

尊敬的各位同道,大家好! 


近年来,随着血管腔内治疗方法的日益普及、手术器械和技术的不断创新和突破,胸主动脉腔内治疗(TEVAR)已在全国各个省市的中心陆续开展。在学科及疗法的快速发展过程中,由于病人多、技术新、任务重,临床上常常重视手术的即刻结果,却缺乏对术后长期效果的随访与评价,对术式与操作的规范化重视不够。为推动医师们技术交流和经验分享,血管资讯平台将于2021年11月起陆续推出胸主动脉腔内治疗优秀病例展示,旨在增进相互学习,了解不同病例治疗策略的制定及思考,手术过程、术中应急处理及术后随访等,提供更多的经验分享。


每一个病例的展示,都体现着术者们精益求精的专业精神——严格规范TEVAR技术操作,充分考虑每一步操作细节及围手术期的管理。我同时希望这个病例展示,能够成为同道们积极探索TEVAR新思路、新方法的交流平台,激发鼓励腔内技术与器械的创新和使用,共同开创胸主动脉腔内治疗的崭新未来!希望本次活动能有更多病例参与展示,使胸主动脉腔内治疗愈加规范、严谨,使更多患者受益。谢谢!

gore医疗怎么样「胸有乾坤」可调可控,从容不迫——GORE® TAG®可主动调控胸主动脉覆膜支架治疗右弓右降伴Kommerell憩室病例_https://www.jmylbn.com_新闻资讯_第4张

2021年9月30日


可调可控,从容不迫

GORE® TAG® 可主动调控胸主动脉覆膜支架

治疗右弓右降伴Kommerell憩室病例报道

南方医科大学南方医院

郑少忆 朱鹏


gore医疗怎么样「胸有乾坤」可调可控,从容不迫——GORE® TAG®可主动调控胸主动脉覆膜支架治疗右弓右降伴Kommerell憩室病例_https://www.jmylbn.com_新闻资讯_第5张

右位主动脉弓是一种少见的先天性主动脉弓变异,人群发病率0.1%。高达65%的右位主动脉弓患者同时合并Kommerell憩室。儿童患者常表现为气管或食管的压迫症状,可能是由于直接压迫、血管环的限制或者LSA的悬吊引起。而成人患者表现则多种多样,可以表现为吞咽困难、胸痛、双上肢血压差别大。


从生物力学角度,右位主动脉弓形态较陡,血流动力学发生改变;从组织病理学角度,发现局部中层囊状坏死发生率高。因此,临床报道:Kommerell憩室直径超过3.0 cm时,53%的患者可发生破裂或主动脉夹层。目前的观点是建议早期处理,较TAA要放宽。Kommerell憩室即使直径在20 mm时,也可能发生主动脉破裂或夹层。


常规治疗方式有:

  1. 开放手术, 切除Kommerell憩室,重建迷走锁骨下动脉,常用于儿童。

  2. 杂交手术, 包括:全弓替换+支架象鼻+TEVAR+Kommerell憩室栓塞;支架象鼻植入;弓上全部或部分去分支+TEVAR。

  3. 全腔内治疗, 使用预开窗技术TEVAR、定制支架等技术,重建分支血管,隔绝憩室。

相比较而言,由于超陡的右位弓形态,常规商品化支架回直力较大,在小弯侧,近端支架与主动脉贴合不佳,易出现“鸟嘴现象”,导致Ⅰa型内漏,影响远期疗效。


2022年,GORE® TAG®可主动调控胸主动脉覆膜支架系统在中国上市,其是第一个提供可调可控、近端角度调整,并可以在维持连续血流情况下进行分阶段释放的胸主动脉支架,可以做到mm级精准定位,同时调整近端支架角度,优化整体支架形态,进而顺应血管本身走形,避免鸟嘴等引起的内漏。这为解剖学上存在挑战的弓型治疗,提供了新的选择。


病例基本情况

患者:甘某某 男性 29岁

主诉:突发胸痛入院,间歇性发作,偶发吞咽困难

体格检查:T,36.2℃,血压130/90mmHg,左上肢脉搏幅度低于右上肢,血压值存在差异。腹部查体正常

传染病史、外伤史、过敏史、重要药物应用史及输血史:无


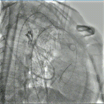
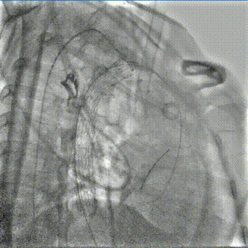
术前CTA详解

gore医疗怎么样「胸有乾坤」可调可控,从容不迫——GORE® TAG®可主动调控胸主动脉覆膜支架治疗右弓右降伴Kommerell憩室病例_https://www.jmylbn.com_新闻资讯_第6张
gore医疗怎么样「胸有乾坤」可调可控,从容不迫——GORE® TAG®可主动调控胸主动脉覆膜支架治疗右弓右降伴Kommerell憩室病例_https://www.jmylbn.com_新闻资讯_第7张

术前CTA提示右弓右降、合并Kommerell憩室,弓上各分支镜像分布。测量如下:

右弓右降,弓型陡峭,角度在40°左右

Kommerell憩室,38mm*30mm

gore医疗怎么样「胸有乾坤」可调可控,从容不迫——GORE® TAG®可主动调控胸主动脉覆膜支架治疗右弓右降伴Kommerell憩室病例_https://www.jmylbn.com_新闻资讯_第8张
gore医疗怎么样「胸有乾坤」可调可控,从容不迫——GORE® TAG®可主动调控胸主动脉覆膜支架治疗右弓右降伴Kommerell憩室病例_https://www.jmylbn.com_新闻资讯_第9张


手术方案设计

1. IV b型杂交,转流RSA于RCCA,延长锚定区,定位支架于RCCA后缘,顺应血管形态,保证小弯侧贴附。

2. 纯腔内手术,使用商品化支架,覆盖1/2RSA,定位支架于RSA后缘。


该患者较为年轻,主动脉弓部小弯侧成角锐利,锚定区较短, IV b型杂交从理论上,可延长锚定区,顺应血管形态,保证小弯侧贴附,减少鸟嘴等引起的内漏现象,但该患者个人抗拒外科手术,担心术后瘢痕等影响美观,对生活、工作产生不利。故选择纯腔内手术。


术前测量&计划

考虑患者意愿,最后选择腔内手术方案。因该患者弓型陡峭,小弯侧锚定区较短,仅4.6mm,因此选择34mm直径、长度150mm支架,并考虑:

  1. 如何提高支架定位精准性,充分利用近端锚定区?

  2. 如何使支架顺应血管走形,小弯侧贴壁,提高支架密封性,避免内漏及相关并发症,且不干扰RSA血供?

gore医疗怎么样「胸有乾坤」可调可控,从容不迫——GORE® TAG®可主动调控胸主动脉覆膜支架治疗右弓右降伴Kommerell憩室病例_https://www.jmylbn.com_新闻资讯_第10张
gore医疗怎么样「胸有乾坤」可调可控,从容不迫——GORE® TAG®可主动调控胸主动脉覆膜支架治疗右弓右降伴Kommerell憩室病例_https://www.jmylbn.com_新闻资讯_第11张


最终采用GORE® TAG® 可主动调控胸主动脉覆膜支架,在Conformable GORE® TAG® 胸主动脉覆膜支架优良的顺应性基础上,增加了分段释放与角度调整功能。其分段释放,整体保持血流通过,避免了风袋效应;近端小弯侧角度可调整,更好的贴敷,避免了鸟嘴等引起的内漏效应。整体可调可控,安全可靠。

点击边框调出视频工具条
   


具体释放方式如下:

  • 第一步,支架由近端到远端打开,释放至50%直径,此时,若空间合适,可进行支架位置调整、C臂投照调整,提高定位的准确性。结合角度控制旋钮,可进行小弯侧角度控制,优化贴壁。

  • 第二步,支架从远端向近端打开,至全直径,通过远端定位,可微调近端位置,结合角度旋钮,调整小弯侧角度,优化近端。

  • 第三步,撤出锁线手柄,锁线手柄上存在固定钢丝,全程固定支架位置,可实现mm级精准定位,其作为角度调整旋钮支撑,实现角度调整功能。

  • 第四步,撤出成角组件手柄与输送杆。

gore医疗怎么样「胸有乾坤」可调可控,从容不迫——GORE® TAG®可主动调控胸主动脉覆膜支架治疗右弓右降伴Kommerell憩室病例_https://www.jmylbn.com_新闻资讯_第12张


术中应急预案

具体可能出现的问题

应对措施

支架前跳,覆盖RSA

上肢RSA入路置入导管,准备烟囱重建RSA预案

支架后移

准备Cuff,延长近端锚定区

支架近端贴壁不良

在IFU范围内,增大Oversize,优化贴壁,充分利用近端角度调整功能

小弯密封不良

在支架与瘤囊间预留导管,预备置入蛋白胶、弹簧圈


手术过程

按照标准腔内手术步骤,消毒、穿刺。增加上肢RSA入路,猪尾导管造影,确认血管病变解剖形态。

gore医疗怎么样「胸有乾坤」可调可控,从容不迫——GORE® TAG®可主动调控胸主动脉覆膜支架治疗右弓右降伴Kommerell憩室病例_https://www.jmylbn.com_新闻资讯_第13张


测量后选用TGM343415支架,交换超硬导丝后,置入22Fr DSF亲水涂层导引鞘后,在瘤囊内预留导管,以备后期植入弹簧圈,随后支架置入体内,以RSA导管为参考,进行第一步释放,由近端向远端打开,至50%直径,以tip头Mark后缘为参考,造影确认近端位置。

gore医疗怎么样「胸有乾坤」可调可控,从容不迫——GORE® TAG®可主动调控胸主动脉覆膜支架治疗右弓右降伴Kommerell憩室病例_https://www.jmylbn.com_新闻资讯_第14张


造影发现支架位置偏后,前送支架到理想位置,微调近端小弯侧,造影确认。

gore医疗怎么样「胸有乾坤」可调可控,从容不迫——GORE® TAG®可主动调控胸主动脉覆膜支架治疗右弓右降伴Kommerell憩室病例_https://www.jmylbn.com_新闻资讯_第15张


到达理想位置后,导丝顶到大弯侧,逐步将CADS打开至全直径,远端到近端释放,锁线手柄钢丝全程固定,支架可逐帧打开,位置稳定可控。

gore医疗怎么样「胸有乾坤」可调可控,从容不迫——GORE® TAG®可主动调控胸主动脉覆膜支架治疗右弓右降伴Kommerell憩室病例_https://www.jmylbn.com_新闻资讯_第16张


支架主体全直径下造影,确认近端贴壁形态,发现存在些许鸟嘴,内漏。

gore医疗怎么样「胸有乾坤」可调可控,从容不迫——GORE® TAG®可主动调控胸主动脉覆膜支架治疗右弓右降伴Kommerell憩室病例_https://www.jmylbn.com_新闻资讯_第17张


全直径下进行角度调整,改善小弯侧贴合,减少鸟嘴,保证覆膜区域贴壁。

gore医疗怎么样「胸有乾坤」可调可控,从容不迫——GORE® TAG®可主动调控胸主动脉覆膜支架治疗右弓右降伴Kommerell憩室病例_https://www.jmylbn.com_新闻资讯_第18张


术后造影,覆膜小弯侧贴合良好,仍存在些许内漏,延迟十分明显,综合评估,暂不处理,随访观察。

gore医疗怎么样「胸有乾坤」可调可控,从容不迫——GORE® TAG®可主动调控胸主动脉覆膜支架治疗右弓右降伴Kommerell憩室病例_https://www.jmylbn.com_新闻资讯_第19张


术后随访

术后5天,CTA检查,瘤囊血栓化,效果理想。

gore医疗怎么样「胸有乾坤」可调可控,从容不迫——GORE® TAG®可主动调控胸主动脉覆膜支架治疗右弓右降伴Kommerell憩室病例_https://www.jmylbn.com_新闻资讯_第20张
gore医疗怎么样「胸有乾坤」可调可控,从容不迫——GORE® TAG®可主动调控胸主动脉覆膜支架治疗右弓右降伴Kommerell憩室病例_https://www.jmylbn.com_新闻资讯_第21张


病例经验总结

对于解剖学上存在挑战的弓型及锚定区病例,术前需仔细测量,结合具体情况评估不良事件风险,选择合适的手术计划及器械,并做好预案。

GORE® TAG® 可主动调控胸主动脉覆膜支架基于Conformable GORE® TAG® 胸主动脉覆膜支架设计,仍具有极佳的通过性、顺应性。其独特的分段释放,结合可撤出的固定钢丝,使支架整体稳定,释放过程中位置可调可控,逐帧级释放,极大的提高了定位精准度。

GORE® TAG® 可主动调控胸主动脉覆膜支架近端小弯侧角度控制功能,可优化贴壁,实现支架近端与血管更好的密封,消除“鸟嘴”等引起的内漏,对于解剖学上存在挑战性的弓型,实现了更好的顺应性与贴壁性。


专家简介

 gore医疗怎么样「胸有乾坤」可调可控,从容不迫——GORE® TAG®可主动调控胸主动脉覆膜支架治疗右弓右降伴Kommerell憩室病例_https://www.jmylbn.com_新闻资讯_第22张

郑少忆 教授

南方医科大学南方医院心血管外科主任,科室行政主任, 学科带头人,教授、主任医师、医学博士、博士研究生导师

擅长心脏瓣膜病、冠心病、大血管疾病、先天性心脏病及心律失常、尤其在冠心病及心脏移植方面有较高的造诣。

在国内核心期刊上发表专业论多篇,国际期刊发表SCI论文多篇。参加国家、省及厅级科研项目多项。作为主要负责人完成科技部国际合作项目一项,国家“十一五”及“十二五”合作课题各一项,加中多中心合作项目一项,卫生厅研究课题两项,广东省自然科学基金项目一项,广东省科技计划项目两项。作为第二作者参与研究的“非体外循环微创冠状动脉旁路移植等新技术的临床应用研究”课题获2005年广东省科学技术奖励二等奖。2007年获第一届中国医师协会心血管外科优秀医师奖(金刀奖)。2015年获首届“羊城好医生”及“最爱网民欢迎羊城好医生”称号。

中国医师协会心血管外科医师分会委员,中国医师协会心血管外科医师分会冠心病委员会副主任委员,中国医师协会心血管外科分会心衰学术委员会副主任委员,欧美同学会医师协会心血管外科分会副主任委员,广东省医学会心血管外科分会常务委员,广东省医师协会心血管外科医师分会副主任委员,广东省胸部疾病学会心血管外科学专业委员会副主任委员,广东省医学会器官移植学分会副主任委员,广东省中西医结合学会胸心外科分会副主任委员。


 gore医疗怎么样「胸有乾坤」可调可控,从容不迫——GORE® TAG®可主动调控胸主动脉覆膜支架治疗右弓右降伴Kommerell憩室病例_https://www.jmylbn.com_新闻资讯_第23张

朱鹏 教授

南方医科大学南方医院心血管外科,副主任医师,医学博士,副主任医师。从事心血管外科临床诊治工作10余年。

擅长先天性心脏病及成人心脏病,尤其是瓣膜疾病及大血管和缺血性心脏病,致力于心血管疾病的微创治疗。

第一批广东省杰出青年医学人才第六届羊城好医生、第四届南粤好医生、抗疫好医生。目前担任《中国胸心血管外科临床杂志》青年编委、《心血管外科杂志》青年审稿人,《中国当代医药》杂志特邀编委、加拿大McMaster PLUS 审稿人。主持并完成市级研究课题2项,目前在研省级课题1项,参与国家自然科学基金及国家973计划各一项。曾先后撰写发表论文近20余篇,发表SCI论文6篇,中文科技核心及Medline收录论文二十余篇。作为主要参加人获市级科技奖励1项。

现任广东省临床医学学会生命支持专业委员会常务委员、广东省临床医学学会心源性卒中专业委员会常务委员、中国非公协心血管外科委员会委员、亚洲瓣膜外科中国分会委员、广东省心胸外科专业委员会委员。


科室介绍

南方医院心血管外科具有悠久和辉煌的历史,技术实力雄厚,经几代人数十年来不懈的努力,已发展成为人才梯队结构合理、医教研总体实力居国内高水平的临床科室。在保持传统领域的技术优势的同时,又在新的技术领域不断创新。在国内较早开展全胸腔镜下小切口体外循环心脏手术,近年来开展了全胸腔镜下的房间隔修补术、室间隔缺损修补术、二尖瓣置换术、二尖瓣修复术,并开展超声引导下经皮室间隔缺损封堵术、房间隔封堵术,大程度上减少手术创伤,使患者快速康复。


2016年6月我院心胸外科再次扩大,单独成立了心血管外科,引进了国内著名心血管外科专家原广东省人民医院心外科主任郑少忆教授担任心血管外科学科带头人、科室主任。目前科室技术力量雄厚,拥有正副教授4人,主治医师5人,住院医师2人,医师均达到硕士以上学历,高级职称人员均拥有1年以上欧美国家留学经历。学科拥有博士、硕士学位授予权,每年招收博士、硕士研究生4-6名。2006年成为国家首批住院医师临床培训基地及专科医师临床培训基地,每年培训住院医师及专科医师30-50名。


目前心血管外科现有床位40张,CICU监护病床12张。年手术量超过500例,患者从刚出生的婴儿到80多岁的老人。病种全面向复杂、高龄及高难度转化,疑难危重病种比例高达60%,2016瓣膜手术成功率达98%,冠心病成功率达98.5%,各项手术成功率居全国前列。郑少忆教授及其团队在广东省率先成功开展了微创不停跳冠状动脉搭桥手术,手术数量,难度和成功率在国内处于领先行列。积累了超过3000例微创不停跳冠状动脉搭桥手术临床经验,在临床成功开展全动脉化多血管微创冠脉搭桥术,并成功将此项技术推广应用到冠脉外科高危病例。近年来在临床成功开展胸腔镜辅助下微创先天性心脏病、瓣膜病及冠心病的手术,手术通过小切口完成,很大程度上减少了手术创伤,使患者能够迅速康复。采用小切口和经皮微创治疗先心病,已经是我们的常规治疗方式,在国内处于领先地位。同时,在主动脉夹层、主动脉瘤等大血管治疗方面,Bentall 手术、全主动脉弓置换术及腔内支架等高难度手术亦作为常规术式在科内开展。郑少忆教授担任心血管外科主任以来,心脏手术量呈直线上升,手术成功率达98%,位居国内领先水平。


近年来,心血管外科在科研方面也是突飞猛进,连续获得国家自然科学基金、广东省自然科学基金、广东省重点科技攻关项目、广东省科技计划项目资助课题,先后获全军医疗成果三等奖3次。


我科将传承南方医院“以人为本,生命至上”的,在郑少忆主任的带领下,满怀信心的接受新的挑战,创造更大的辉煌。我们的团队将继续本着“团结、奋斗、慈爱、创新”的基本理念不断发展壮大我们的实力,为广大心血管疾病患者提供优质的服务,希望朋友们继续支持、关心、关注我们南方医科大学南方医院心血管外科。



gore医疗怎么样「胸有乾坤」可调可控,从容不迫——GORE® TAG®可主动调控胸主动脉覆膜支架治疗右弓右降伴Kommerell憩室病例_https://www.jmylbn.com_新闻资讯_第24张
gore医疗怎么样「胸有乾坤」可调可控,从容不迫——GORE® TAG®可主动调控胸主动脉覆膜支架治疗右弓右降伴Kommerell憩室病例_https://www.jmylbn.com_新闻资讯_第24张
gore医疗怎么样「胸有乾坤」可调可控,从容不迫——GORE® TAG®可主动调控胸主动脉覆膜支架治疗右弓右降伴Kommerell憩室病例_https://www.jmylbn.com_新闻资讯_第24张

病例征集

如您有相类似的病例,或者希望与术者做进一步的交流,欢迎您将您的联系方式发送至tevar_case@163.com。谢谢!


gore医疗怎么样「胸有乾坤」可调可控,从容不迫——GORE® TAG®可主动调控胸主动脉覆膜支架治疗右弓右降伴Kommerell憩室病例_https://www.jmylbn.com_新闻资讯_第24张
gore医疗怎么样「胸有乾坤」可调可控,从容不迫——GORE® TAG®可主动调控胸主动脉覆膜支架治疗右弓右降伴Kommerell憩室病例_https://www.jmylbn.com_新闻资讯_第24张
gore医疗怎么样「胸有乾坤」可调可控,从容不迫——GORE® TAG®可主动调控胸主动脉覆膜支架治疗右弓右降伴Kommerell憩室病例_https://www.jmylbn.com_新闻资讯_第24张

胸有乾坤 · 往期回顾

gore医疗怎么样「胸有乾坤」可调可控,从容不迫——GORE® TAG®可主动调控胸主动脉覆膜支架治疗右弓右降伴Kommerell憩室病例_https://www.jmylbn.com_新闻资讯_第30张

01

第一步

扫码进入

往期合集

02

第二步

点击订阅

胸有乾坤专栏

gore医疗怎么样「胸有乾坤」可调可控,从容不迫——GORE® TAG®可主动调控胸主动脉覆膜支架治疗右弓右降伴Kommerell憩室病例_https://www.jmylbn.com_新闻资讯_第31张


版权声明:本平台旨在帮助医疗卫生专业人士更好地了解相关疾病领域最新进展。本平台对发布的资讯内容,并不代表同意其描述和观点,仅为提供更多信息。若涉及版权问题,烦请权利人与我们联系,我们将尽快处理。仅供医疗卫生专业人士为了解资讯使用,该等信息不能以任何方式取代专业的医疗指导,也不应被视为诊疗建议。如该等信息被用于了解资讯以外的目的,本平台及作者不承担相关责任。合作联系邮箱:vascular@edoctor.cn。

gore医疗怎么样「胸有乾坤」可调可控,从容不迫——GORE® TAG®可主动调控胸主动脉覆膜支架治疗右弓右降伴Kommerell憩室病例_https://www.jmylbn.com_新闻资讯_第32张