gore医疗怎么样「胸有乾坤」国际首例 微创杂交技术治疗巨大左锁骨下动脉瘤合并主动脉缩窄Larsen综合症患者

新闻资讯2026-04-20 23:42:53
gore医疗怎么样「胸有乾坤」国际首例 微创杂交技术治疗巨大左锁骨下动脉瘤合并主动脉缩窄Larsen综合症患者_https://www.jmylbn.com_新闻资讯_第1张


本期看点

  • 一例巨大左锁骨下动脉瘤伴主动脉缩窄合并Larsen综合征如何诊治?

  • Gore主动脉覆膜支架作为主体支架行IV型杂交手术,成功技术应用分享


gore医疗怎么样「胸有乾坤」国际首例 微创杂交技术治疗巨大左锁骨下动脉瘤合并主动脉缩窄Larsen综合症患者_https://www.jmylbn.com_新闻资讯_第2张


主席寄语


gore医疗怎么样「胸有乾坤」国际首例 微创杂交技术治疗巨大左锁骨下动脉瘤合并主动脉缩窄Larsen综合症患者_https://www.jmylbn.com_新闻资讯_第3张

尊敬的各位同道,大家好! 


近年来,随着血管腔内治疗方法的日益普及、手术器械和技术的不断创新和突破,胸主动脉腔内治疗(TEVAR)已在全国各个省市的中心陆续开展。在学科及疗法的快速发展过程中,由于病人多、技术新、任务重,临床上常常重视手术的即刻结果,却缺乏对术后长期效果的随访与评价,对术式与操作的规范化重视不够。为推动医师们技术交流和经验分享,血管资讯平台将于2021年11月起陆续推出胸主动脉腔内治疗优秀病例展示,旨在增进相互学习,了解不同病例治疗策略的制定及思考,手术过程、术中应急处理及术后随访等,提供更多的经验分享。


每一个病例的展示,都体现着术者们精益求精的专业精神——严格规范TEVAR技术操作,充分考虑每一步操作细节及围手术期的管理。我同时希望这个病例展示,能够成为同道们积极探索TEVAR新思路、新方法的交流平台,激发鼓励腔内技术与器械的创新和使用,共同开创胸主动脉腔内治疗的崭新未来!希望本次活动能有更多病例参与展示,使胸主动脉腔内治疗愈加规范、严谨,使更多患者受益。谢谢!

gore医疗怎么样「胸有乾坤」国际首例 微创杂交技术治疗巨大左锁骨下动脉瘤合并主动脉缩窄Larsen综合症患者_https://www.jmylbn.com_新闻资讯_第4张

2021年9月30日


国际首例

微创杂交技术治疗巨大左锁骨下动脉瘤

合并主动脉缩窄Larsen综合症患者


四川大学华西医院心脏大血管外科

胡佳 教授

gore医疗怎么样「胸有乾坤」国际首例 微创杂交技术治疗巨大左锁骨下动脉瘤合并主动脉缩窄Larsen综合症患者_https://www.jmylbn.com_新闻资讯_第5张

四川大学华西医院心脏大血管外科胡佳教授成功采用IV型杂交技术微创化、精准化治疗一例巨大左锁骨下动脉瘤伴主动脉缩窄合并Larsen综合征患者,相关技术发表于专业顶级期刊European Heart Journal(IF 35.855, DOI:10.1093/eurheartj/ehac327).


病史资料

患者为34岁男性,因胸背部疼痛1+月,加重伴声音嘶哑2周就诊。外院检查示左锁骨下动脉巨大动脉瘤伴局限性夹层,因患者合并先天性脊柱侧弯畸形,主动脉走行极度扭曲,辗转多家医院均无有效治疗方案。多方打听后,患者慕名来到四川大学华西医院心脏大血管外科胡佳教授门诊寻求一线机会,当胡佳教授告知患者及家属可以入院评估后进行手术治疗,患者及家属喜出望外。


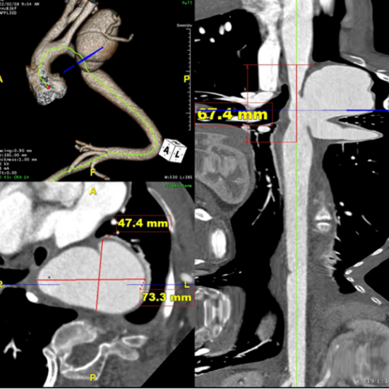
入院后完善进一步检查后发现患者主动脉病变复杂程度远远超过预期。术前检查显示患者左锁骨下动脉瘤最大直径达73.3mm,伴局限性夹层形成,目前瘤体已压迫喉返神经出现声音嘶哑症状,远期发生破裂猝死风险极高。同时,左锁骨下动脉开口近端合并主动脉缩窄,最狭窄处直径仅约10mm。更加雪上加霜的是该患者左椎动脉刚好单独起自主动脉弓狭窄处,且为左椎优势(图1)。结合患者脊柱侧弯畸形病史,进一步查体发现患者存在外耳道、四肢关节等多处畸形,完善基因检测后考虑诊断为Larsen综合征。鉴于患者病史、解剖和主动脉病变的复杂性,开放手术无法充分显露左锁骨下动脉瘤体,更加无法切除瘤体并重建左锁骨下动脉,且开放手术创伤和风险极大。而由于患者主动脉走行扭曲,介入手术存在支架无法输送至目标位置而失败的风险,且腔内重建椎动脉困难,一旦发生内漏,所有努力都将付诸东流。

gore医疗怎么样「胸有乾坤」国际首例 微创杂交技术治疗巨大左锁骨下动脉瘤合并主动脉缩窄Larsen综合症患者_https://www.jmylbn.com_新闻资讯_第6张
gore医疗怎么样「胸有乾坤」国际首例 微创杂交技术治疗巨大左锁骨下动脉瘤合并主动脉缩窄Larsen综合症患者_https://www.jmylbn.com_新闻资讯_第7张

图1 术前CTA


胡佳教授充分评估患者主动脉病变及解剖特点,最终决定为患者实施IV型杂交手术,并选择目前临床中支架通过性最好的Gore主动脉覆膜支架作为主体支架。手术难度和复杂程度是前所未有的,术前与患者和家属反复沟通手术方案及相关风险,患者和家属反复商量后决定背水一战,经过术前周全的准备和预案,手术如期进行。


手术过程

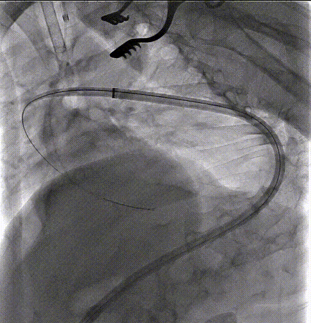
第一步、常规麻醉,消毒铺巾,分离显露左锁骨下动脉、左颈总动脉和左椎动脉备用。经右侧股动脉穿刺植入5F鞘,黄金标记猪尾导管升主动脉造影明确主动脉病变(图2)。

gore医疗怎么样「胸有乾坤」国际首例 微创杂交技术治疗巨大左锁骨下动脉瘤合并主动脉缩窄Larsen综合症患者_https://www.jmylbn.com_新闻资讯_第8张


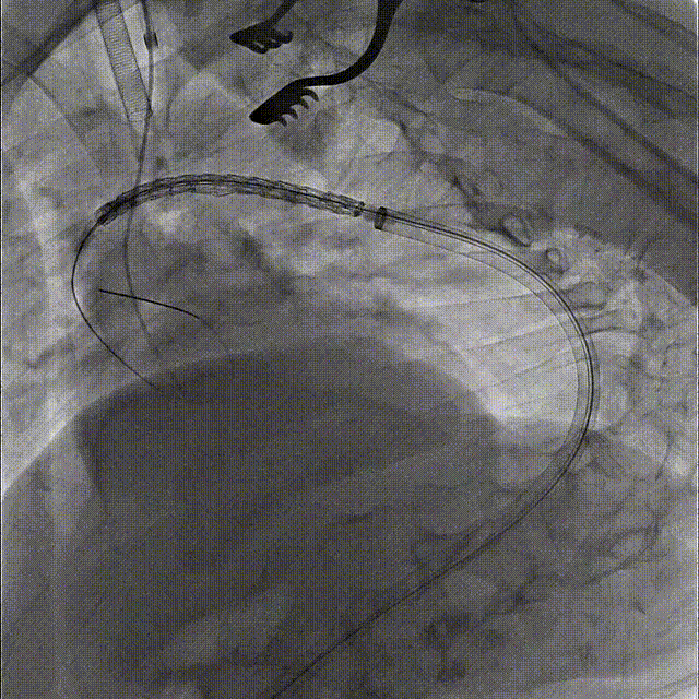
第二步、交换超硬导丝,置入Gore大鞘 DSF2065,顺利通过降主段以及主动脉缩窄处,近端到达无名动脉后缘。

gore医疗怎么样「胸有乾坤」国际首例 微创杂交技术治疗巨大左锁骨下动脉瘤合并主动脉缩窄Larsen综合症患者_https://www.jmylbn.com_新闻资讯_第9张


第三步、经鞘内输送Gore TGU262610覆膜支架至无名动脉后缘释放。

gore医疗怎么样「胸有乾坤」国际首例 微创杂交技术治疗巨大左锁骨下动脉瘤合并主动脉缩窄Larsen综合症患者_https://www.jmylbn.com_新闻资讯_第10张


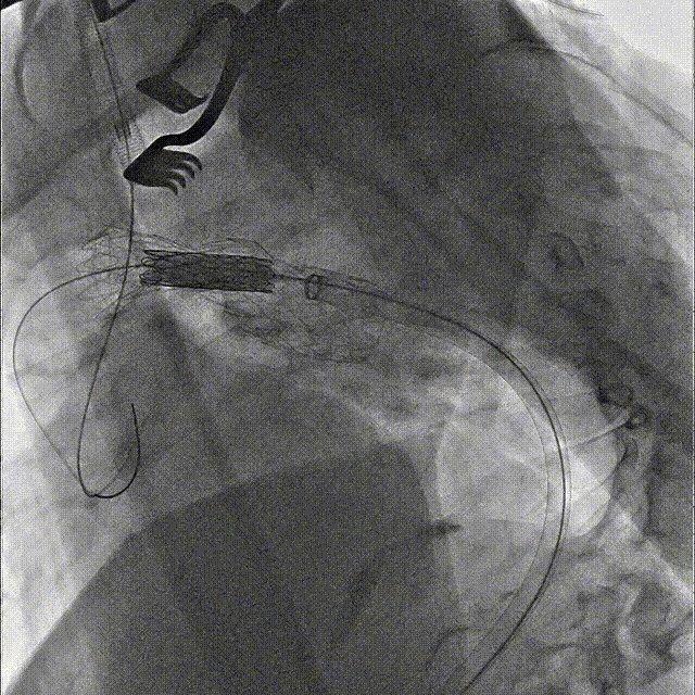
第四步、经左颈总动脉穿刺针破膜原位开窗,球囊逐步扩大窗口,确保左颈总动脉血供。考虑还需要植入CP支架,先在左颈总留置导丝并不植入小支架。

gore医疗怎么样「胸有乾坤」国际首例 微创杂交技术治疗巨大左锁骨下动脉瘤合并主动脉缩窄Larsen综合症患者_https://www.jmylbn.com_新闻资讯_第11张


第五步、 通过Gore 大鞘内导入NUMED CVRDCP8Z39球扩支架,定位于主动脉弓部缩窄部位释放。然后在左颈总动脉植入Fluency 12*40,球囊后扩。

gore医疗怎么样「胸有乾坤」国际首例 微创杂交技术治疗巨大左锁骨下动脉瘤合并主动脉缩窄Larsen综合症患者_https://www.jmylbn.com_新闻资讯_第12张
gore医疗怎么样「胸有乾坤」国际首例 微创杂交技术治疗巨大左锁骨下动脉瘤合并主动脉缩窄Larsen综合症患者_https://www.jmylbn.com_新闻资讯_第13张


第六步、结扎左锁骨下动脉近心端,采用Gore-Tex 6mm人工血管行左颈总动脉-左锁骨下动脉旁路移植,左椎动脉近端结扎,远端端侧吻合于左颈总动脉。


第七步、最终造影,关闭手术切口。

gore医疗怎么样「胸有乾坤」国际首例 微创杂交技术治疗巨大左锁骨下动脉瘤合并主动脉缩窄Larsen综合症患者_https://www.jmylbn.com_新闻资讯_第14张


术后患者安返重症监护室,术后6h患者苏醒并顺利拔出气管插管,第二天转回普通病房。患者术后恢复顺利,复查夹层动脉瘤CTA示主动脉支架位置准确,形态良好,弓上各分支血管血流通畅,左锁骨下动脉瘤隔绝良好,无内漏发生,术后第4天顺利出院。

gore医疗怎么样「胸有乾坤」国际首例 微创杂交技术治疗巨大左锁骨下动脉瘤合并主动脉缩窄Larsen综合症患者_https://www.jmylbn.com_新闻资讯_第15张

术后复查3D图


病例总结

Larsen综合征是一种遗传性疾病,其特征是骨骼发育不良和关节脱位,心血管异常在拉森综合征中并不常见,该病例这种严重的血管畸形极为罕见。经文献检索,这是Larsen综合征患者首次报告发生左锁骨下动脉动脉瘤合并主动脉缩窄。对于这种具有严重骨骼畸形,开放手术具有较高风险,且单纯腔内修复技术重建重要分支困难的患者来说,杂交手术是一种有效的选择。其次,GORE DSF206血管鞘配合GORE® TAG® 胸主动脉覆膜支架轻松应对该病例极具挑战的血管形态,亦是该手术顺利实施的关键因素。因此,对于极端的主动脉病变和解剖条件,个性化的手术方案和手术器械的选择给病人带来更大的临床获益。

gore医疗怎么样「胸有乾坤」国际首例 微创杂交技术治疗巨大左锁骨下动脉瘤合并主动脉缩窄Larsen综合症患者_https://www.jmylbn.com_新闻资讯_第16张


术者简历

 gore医疗怎么样「胸有乾坤」国际首例 微创杂交技术治疗巨大左锁骨下动脉瘤合并主动脉缩窄Larsen综合症患者_https://www.jmylbn.com_新闻资讯_第17张

胡佳 教授

国家心血管病专家委员会微创心血管外科专业委员会委员,国家心血管病专家委员会血管外科青年委员会副主任委员,亚洲心脏瓣膜病委员会中国分会委员,中国医师协会心血管外科分会及中华医学会青年医师最高奖获得者,美国胸外科医师协会(STS)会员,国际微创心胸外科学会(ISMICS)会员亚洲胸心血管外科专业委员会(ASCVTS)常务会员。四川省学术技术带头人后备人选,四川省胸心血管外科专委会青年委员会副主任委员。擅长胸、腹主动脉瘤/动脉夹层等大血管疾病微创外科治疗,开展多项国内外首例胸主动脉和A/B型夹层的微创修复新技术,同时专注于各类结构性心脏疾病(主动脉瓣、二尖瓣、三尖瓣、心房纤颤、成人先天性心脏病)的微创化治疗。



gore医疗怎么样「胸有乾坤」国际首例 微创杂交技术治疗巨大左锁骨下动脉瘤合并主动脉缩窄Larsen综合症患者_https://www.jmylbn.com_新闻资讯_第18张
gore医疗怎么样「胸有乾坤」国际首例 微创杂交技术治疗巨大左锁骨下动脉瘤合并主动脉缩窄Larsen综合症患者_https://www.jmylbn.com_新闻资讯_第19张
gore医疗怎么样「胸有乾坤」国际首例 微创杂交技术治疗巨大左锁骨下动脉瘤合并主动脉缩窄Larsen综合症患者_https://www.jmylbn.com_新闻资讯_第18张

病例征集

如您有相类似的病例,或者希望与术者做进一步的交流,欢迎您将您的联系方式发送至tevar_case@163.com。谢谢!


版权声明:本平台旨在帮助医疗卫生专业人士更好地了解相关疾病领域最新进展。本平台对发布的资讯内容,并不代表同意其描述和观点,仅为提供更多信息。若涉及版权问题,烦请权利人与我们联系,我们将尽快处理。仅供医疗卫生专业人士为了解资讯使用,该等信息不能以任何方式取代专业的医疗指导,也不应被视为诊疗建议。如该等信息被用于了解资讯以外的目的,本平台及作者不承担相关责任。合作联系邮箱:vascular@edoctor.cn。

gore医疗怎么样「胸有乾坤」国际首例 微创杂交技术治疗巨大左锁骨下动脉瘤合并主动脉缩窄Larsen综合症患者_https://www.jmylbn.com_新闻资讯_第21张