gore医疗怎么样「胸有乾坤」异“区”同“功” 精准定位——GORE® TAG® 可主动调控胸主动脉覆膜支架治疗升主动脉穿透性溃疡病例报道

新闻资讯2026-04-20 23:42:55
gore医疗怎么样「胸有乾坤」异“区”同“功” 精准定位——GORE® TAG® 可主动调控胸主动脉覆膜支架治疗升主动脉穿透性溃疡病例报道_https://www.jmylbn.com_新闻资讯_第1张


本期看点

  • 升主动脉血液流速高,压力大,且病变近远端距离窦管交界距离有限,如何实现支架精准定位释放?

  • 升主动脉弯度较大,支架如何有效密封隔绝,避免内漏?


gore医疗怎么样「胸有乾坤」异“区”同“功” 精准定位——GORE® TAG® 可主动调控胸主动脉覆膜支架治疗升主动脉穿透性溃疡病例报道_https://www.jmylbn.com_新闻资讯_第2张


主席寄语


gore医疗怎么样「胸有乾坤」异“区”同“功” 精准定位——GORE® TAG® 可主动调控胸主动脉覆膜支架治疗升主动脉穿透性溃疡病例报道_https://www.jmylbn.com_新闻资讯_第3张

尊敬的各位同道,大家好! 


近年来,随着血管腔内治疗方法的日益普及、手术器械和技术的不断创新和突破,胸主动脉腔内治疗(TEVAR)已在全国各个省市的中心陆续开展。在学科及疗法的快速发展过程中,由于病人多、技术新、任务重,临床上常常重视手术的即刻结果,却缺乏对术后长期效果的随访与评价,对术式与操作的规范化重视不够。为推动医师们技术交流和经验分享,血管资讯平台将于2021年11月起陆续推出胸主动脉腔内治疗优秀病例展示,旨在增进相互学习,了解不同病例治疗策略的制定及思考,手术过程、术中应急处理及术后随访等,提供更多的经验分享。


每一个病例的展示,都体现着术者们精益求精的专业精神——严格规范TEVAR技术操作,充分考虑每一步操作细节及围手术期的管理。我同时希望这个病例展示,能够成为同道们积极探索TEVAR新思路、新方法的交流平台,激发鼓励腔内技术与器械的创新和使用,共同开创胸主动脉腔内治疗的崭新未来!希望本次活动能有更多病例参与展示,使胸主动脉腔内治疗愈加规范、严谨,使更多患者受益。谢谢!

gore医疗怎么样「胸有乾坤」异“区”同“功” 精准定位——GORE® TAG® 可主动调控胸主动脉覆膜支架治疗升主动脉穿透性溃疡病例报道_https://www.jmylbn.com_新闻资讯_第4张

2021年9月30日


异“区”同“功” 精准定位

GORE® TAG® 可主动调控胸主动脉覆膜支架

治疗升主动脉穿透性溃疡病例报道

内蒙古医科大学附属医院心脏大血管外科

李淑珍教授团队


gore医疗怎么样「胸有乾坤」异“区”同“功” 精准定位——GORE® TAG® 可主动调控胸主动脉覆膜支架治疗升主动脉穿透性溃疡病例报道_https://www.jmylbn.com_新闻资讯_第5张

急性主动脉综合征(Acute Aortic Syndromes,AAS)是一组有相似临床表现的主动脉病变,包括夹层、壁内血肿(Intramural Hematoma, IMH)和穿透性主动脉溃疡(Penetrating Aortic Ulcer,PAU),其中PAU约占AAS的2.3%~7.6%。PAU多伴有主动脉壁间血肿,可进一步发展为主动脉夹层或假性动脉瘤甚至导致主动脉破裂。


按照Stanford分型,PAU可分为A型(升主动脉受累及)和B型(升主动脉未受累及),临床上弓降部的B型PAU占总PAU发病率的90%。A型PAU的治疗非常具有挑战性,目前缺少指南级别证据,外科开放手术治疗作为首选治疗手段,但对于一些无法耐受开放手术的患者,国内外也有文献病例报道进行腔内治疗。日前内蒙古医科大学附属医院心脏大血管外科李淑珍教授团队应用GORE® TAG® 可主动调控胸主动脉覆膜支架(以下简称“CADS”)治疗了一名A型PAU患者,取得满意效果。

gore医疗怎么样「胸有乾坤」异“区”同“功” 精准定位——GORE® TAG® 可主动调控胸主动脉覆膜支架治疗升主动脉穿透性溃疡病例报道_https://www.jmylbn.com_新闻资讯_第6张

AAS Stanford分型


病史简介

现病史:患者女性,65岁,近一个月前无明显诱因出现胸闷、胸憋气短,无发热、有心悸持续约10分钟,于当地医院就诊,症状未见缓解。患者为寻求进一步治疗于我院就诊。

既往史:高血压病史10年,最高150/100mmHg,间断口服药物,肺气肿病史。


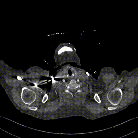
术前CTA

患者入院后行CTA检查,可见患者升主动脉巨大溃疡伴血肿,弓降部多发溃疡。无名动脉前缘至窦管交界大弯侧95.3mm,小弯侧54.7mm。

gore医疗怎么样「胸有乾坤」异“区”同“功” 精准定位——GORE® TAG® 可主动调控胸主动脉覆膜支架治疗升主动脉穿透性溃疡病例报道_https://www.jmylbn.com_新闻资讯_第7张

术前CTA

gore医疗怎么样「胸有乾坤」异“区”同“功” 精准定位——GORE® TAG® 可主动调控胸主动脉覆膜支架治疗升主动脉穿透性溃疡病例报道_https://www.jmylbn.com_新闻资讯_第8张

术前3D重建

gore医疗怎么样「胸有乾坤」异“区”同“功” 精准定位——GORE® TAG® 可主动调控胸主动脉覆膜支架治疗升主动脉穿透性溃疡病例报道_https://www.jmylbn.com_新闻资讯_第9张

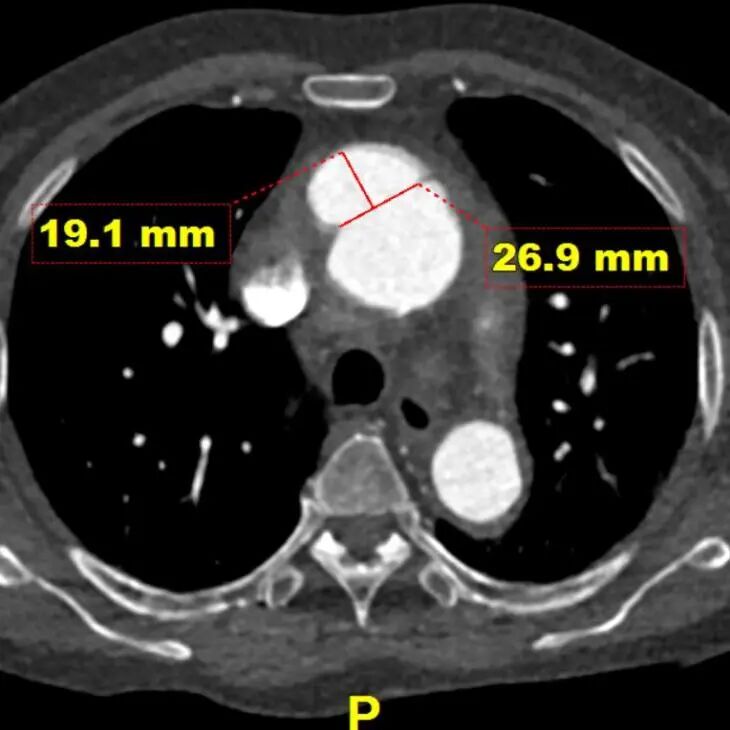
溃疡深度及宽度

gore医疗怎么样「胸有乾坤」异“区”同“功” 精准定位——GORE® TAG® 可主动调控胸主动脉覆膜支架治疗升主动脉穿透性溃疡病例报道_https://www.jmylbn.com_新闻资讯_第10张

IA至窦管交界距离

gore医疗怎么样「胸有乾坤」异“区”同“功” 精准定位——GORE® TAG® 可主动调控胸主动脉覆膜支架治疗升主动脉穿透性溃疡病例报道_https://www.jmylbn.com_新闻资讯_第11张
gore医疗怎么样「胸有乾坤」异“区”同“功” 精准定位——GORE® TAG® 可主动调控胸主动脉覆膜支架治疗升主动脉穿透性溃疡病例报道_https://www.jmylbn.com_新闻资讯_第12张

术前3D重建


指南建议

2022ACC/AHA最新指南对PAU伴IMH的治疗也给出了建议:

  1. 主动脉PAU伴发破裂,建议手术升主动脉PAU伴相关的IMH,建议手术。

  2. 主动脉弓部或胸降主动脉PAU伴相关IMH,可行手术。

  3. 腹主动脉PAU伴相关IMH,可考虑手术。

  4. PAU位于升主动脉或近端主动脉建议开放手术弓(0-1区)。

  5. PAU位于远端主动脉弓(2-3区)胸降主动脉或腹主动脉,根据解剖及合并症选择开放手术或腔内修复。


手术难点

患者无法耐受开放手术,综合患者意愿及手术预后决定进行腔内治疗。

  1. 如何精准定位:升主动脉血液流速高,压力大,且病变近远端距离窦管交界距离有限,如何实现支架精准定位释放。

  2. 如何有效密封隔绝:升主动脉弯度较大,支架若与血管壁贴合不佳易出现内漏无法密封隔绝

  3. 支架如何释放:常规TEVAR操作中超硬导丝顶在主动脉瓣上,提供的支撑力让支架贴紧弓部大弯侧来完成释放,但对于支架在升主动脉释放,以往操作并不适用。


手术方案设计

1.CADS支架是分段式释放,且在锁线没有释放之前支架都通过钢丝固定在输送器上。在第一阶段半直径释放后,可以重新调整定位,对释放位置做更精准的控制;同时在进行第二阶段拉线释放时,支架从远端向近端全直径稳定释放,有效减少“风袋效应”,避免支架移位。

CADS释放动画


2.CADS支架除了具有Conformable GORE® TAG® 胸主动脉覆膜支架(简称“CTAG”)优异的顺应性外,可以对小弯侧进行角度调控,让支架更好贴合血管隔绝密封。

3.借鉴TVAI主动脉瓣释放的方式,超硬导丝跨过主动脉瓣进入左心室,为支架释放提供支撑力。

最终手术计划:升主动脉TGMR404010,近端锚定在窦管交界以上远端锚定在头臂干动脉以前,TGU313115锚定在左锁骨动脉后缘。


手术过程

1.患者全麻后穿刺股动脉及右侧肱动脉,沿导丝置入金标猪尾导管后进行升主动脉造影。

gore医疗怎么样「胸有乾坤」异“区”同“功” 精准定位——GORE® TAG® 可主动调控胸主动脉覆膜支架治疗升主动脉穿透性溃疡病例报道_https://www.jmylbn.com_新闻资讯_第13张

升主动脉造影


2.泥鳅导丝跨瓣后交换为加硬导丝,沿加硬导丝置入22Fr GORE® DrySeal 亲水涂层导引鞘(以下简称“DSF导引鞘”),置入TGMR404010并造影定位。

gore医疗怎么样「胸有乾坤」异“区”同“功” 精准定位——GORE® TAG® 可主动调控胸主动脉覆膜支架治疗升主动脉穿透性溃疡病例报道_https://www.jmylbn.com_新闻资讯_第14张

支架到位后造影


3.第一步拉线释放后进行造影定位。

gore医疗怎么样「胸有乾坤」异“区”同“功” 精准定位——GORE® TAG® 可主动调控胸主动脉覆膜支架治疗升主动脉穿透性溃疡病例报道_https://www.jmylbn.com_新闻资讯_第15张

第一步拉线释放后造影


4.调整支架位置后进行第二步拉线释放,支架从远端到近端完全打开,使用角度调节功能进行调整后全部释放。

gore医疗怎么样「胸有乾坤」异“区”同“功” 精准定位——GORE® TAG® 可主动调控胸主动脉覆膜支架治疗升主动脉穿透性溃疡病例报道_https://www.jmylbn.com_新闻资讯_第16张

支架全部释放后造影


5.超硬导丝撤回主动脉瓣上后,置入TGU313115进行造影定位。

gore医疗怎么样「胸有乾坤」异“区”同“功” 精准定位——GORE® TAG® 可主动调控胸主动脉覆膜支架治疗升主动脉穿透性溃疡病例报道_https://www.jmylbn.com_新闻资讯_第17张

CTAG释放前造影


6.调整支架位置后拉线释放并进行最终造影。

gore医疗怎么样「胸有乾坤」异“区”同“功” 精准定位——GORE® TAG® 可主动调控胸主动脉覆膜支架治疗升主动脉穿透性溃疡病例报道_https://www.jmylbn.com_新闻资讯_第18张

最终造影


术后随访

患者出院前进行CTA复查,可见溃疡隔绝完全,弓上分支血管及冠状动脉通畅。

gore医疗怎么样「胸有乾坤」异“区”同“功” 精准定位——GORE® TAG® 可主动调控胸主动脉覆膜支架治疗升主动脉穿透性溃疡病例报道_https://www.jmylbn.com_新闻资讯_第19张

术后CTA

gore医疗怎么样「胸有乾坤」异“区”同“功” 精准定位——GORE® TAG® 可主动调控胸主动脉覆膜支架治疗升主动脉穿透性溃疡病例报道_https://www.jmylbn.com_新闻资讯_第20张

术后3D动态

gore医疗怎么样「胸有乾坤」异“区”同“功” 精准定位——GORE® TAG® 可主动调控胸主动脉覆膜支架治疗升主动脉穿透性溃疡病例报道_https://www.jmylbn.com_新闻资讯_第21张

术后3D动态 grey

gore医疗怎么样「胸有乾坤」异“区”同“功” 精准定位——GORE® TAG® 可主动调控胸主动脉覆膜支架治疗升主动脉穿透性溃疡病例报道_https://www.jmylbn.com_新闻资讯_第22张

术后3D重建

gore医疗怎么样「胸有乾坤」异“区”同“功” 精准定位——GORE® TAG® 可主动调控胸主动脉覆膜支架治疗升主动脉穿透性溃疡病例报道_https://www.jmylbn.com_新闻资讯_第23张

术后3D重建



专家简介

 gore医疗怎么样「胸有乾坤」异“区”同“功” 精准定位——GORE® TAG® 可主动调控胸主动脉覆膜支架治疗升主动脉穿透性溃疡病例报道_https://www.jmylbn.com_新闻资讯_第24张

李淑珍 教授

内蒙古医科大学附属医院心脏大血管外科,医学硕士,主任医师。

中国医师协会腔内血管专业委员会第二届委员会主动脉夹层专业委员会(学组)委员;亚洲心脏瓣膜病学会(AAHVD)中国分会心脏瓣膜病介入治疗技术委员会委员;内蒙古自治区医师协会心血管外科医师分会第一届委员会委员;中国医师协会腔内血管学专业委员会第三届委员会委员。



gore医疗怎么样「胸有乾坤」异“区”同“功” 精准定位——GORE® TAG® 可主动调控胸主动脉覆膜支架治疗升主动脉穿透性溃疡病例报道_https://www.jmylbn.com_新闻资讯_第25张
gore医疗怎么样「胸有乾坤」异“区”同“功” 精准定位——GORE® TAG® 可主动调控胸主动脉覆膜支架治疗升主动脉穿透性溃疡病例报道_https://www.jmylbn.com_新闻资讯_第25张
gore医疗怎么样「胸有乾坤」异“区”同“功” 精准定位——GORE® TAG® 可主动调控胸主动脉覆膜支架治疗升主动脉穿透性溃疡病例报道_https://www.jmylbn.com_新闻资讯_第25张

病例征集

如您有相类似的病例,或者希望与术者做进一步的交流,欢迎您将您的联系方式发送至tevar_case@163.com。谢谢!


gore医疗怎么样「胸有乾坤」异“区”同“功” 精准定位——GORE® TAG® 可主动调控胸主动脉覆膜支架治疗升主动脉穿透性溃疡病例报道_https://www.jmylbn.com_新闻资讯_第25张
gore医疗怎么样「胸有乾坤」异“区”同“功” 精准定位——GORE® TAG® 可主动调控胸主动脉覆膜支架治疗升主动脉穿透性溃疡病例报道_https://www.jmylbn.com_新闻资讯_第25张
gore医疗怎么样「胸有乾坤」异“区”同“功” 精准定位——GORE® TAG® 可主动调控胸主动脉覆膜支架治疗升主动脉穿透性溃疡病例报道_https://www.jmylbn.com_新闻资讯_第25张

胸有乾坤 · 往期回顾

gore医疗怎么样「胸有乾坤」异“区”同“功” 精准定位——GORE® TAG® 可主动调控胸主动脉覆膜支架治疗升主动脉穿透性溃疡病例报道_https://www.jmylbn.com_新闻资讯_第31张

01

第一步

扫码进入

往期合集

02

第二步

点击订阅

胸有乾坤专栏

gore医疗怎么样「胸有乾坤」异“区”同“功” 精准定位——GORE® TAG® 可主动调控胸主动脉覆膜支架治疗升主动脉穿透性溃疡病例报道_https://www.jmylbn.com_新闻资讯_第32张


版权声明:本平台旨在帮助医疗卫生专业人士更好地了解相关疾病领域最新进展。本平台对发布的资讯内容,并不代表同意其描述和观点,仅为提供更多信息。若涉及版权问题,烦请权利人与我们联系,我们将尽快处理。仅供医疗卫生专业人士为了解资讯使用,该等信息不能以任何方式取代专业的医疗指导,也不应被视为诊疗建议。如该等信息被用于了解资讯以外的目的,本平台及作者不承担相关责任。合作联系邮箱:vascular@edoctor.cn。

gore医疗怎么样「胸有乾坤」异“区”同“功” 精准定位——GORE® TAG® 可主动调控胸主动脉覆膜支架治疗升主动脉穿透性溃疡病例报道_https://www.jmylbn.com_新闻资讯_第33张