gore医疗怎么样「胸有乾坤」强弓硬弩 一蹴而就——CTAG弓上三开窗治疗主动脉夹层病例报道

新闻资讯2026-04-20 23:42:56
gore医疗怎么样「胸有乾坤」强弓硬弩 一蹴而就——CTAG弓上三开窗治疗主动脉夹层病例报道_https://www.jmylbn.com_新闻资讯_第1张


本期看点

  • 面对A型主动脉夹层,如何选择弓上分支血管的重建技术?

  • 如何扩大主动脉弓部病变腔内技术的应用范围?减少并发症的发生风险?

*本病例仅供医学专业人士阅读参考

gore医疗怎么样「胸有乾坤」强弓硬弩 一蹴而就——CTAG弓上三开窗治疗主动脉夹层病例报道_https://www.jmylbn.com_新闻资讯_第2张


主席寄语


gore医疗怎么样「胸有乾坤」强弓硬弩 一蹴而就——CTAG弓上三开窗治疗主动脉夹层病例报道_https://www.jmylbn.com_新闻资讯_第3张

尊敬的各位同道,大家好! 


近年来,随着血管腔内治疗方法的日益普及、手术器械和技术的不断创新和突破,胸主动脉腔内治疗(TEVAR)已在全国各个省市的中心陆续开展。在学科及疗法的快速发展过程中,由于病人多、技术新、任务重,临床上常常重视手术的即刻结果,却缺乏对术后长期效果的随访与评价,对术式与操作的规范化重视不够。为推动医师们技术交流和经验分享,血管资讯平台将于2021年11月起陆续推出胸主动脉腔内治疗优秀病例展示,旨在增进相互学习,了解不同病例治疗策略的制定及思考,手术过程、术中应急处理及术后随访等,提供更多的经验分享。


每一个病例的展示,都体现着术者们精益求精的专业精神——严格规范TEVAR技术操作,充分考虑每一步操作细节及围手术期的管理。我同时希望这个病例展示,能够成为同道们积极探索TEVAR新思路、新方法的交流平台,激发鼓励腔内技术与器械的创新和使用,共同开创胸主动脉腔内治疗的崭新未来!希望本次活动能有更多病例参与展示,使胸主动脉腔内治疗愈加规范、严谨,使更多患者受益。谢谢!

gore医疗怎么样「胸有乾坤」强弓硬弩 一蹴而就——CTAG弓上三开窗治疗主动脉夹层病例报道_https://www.jmylbn.com_新闻资讯_第4张

2021年9月30日


强弓硬弩 一蹴而就

CTAG弓上三开窗治疗主动脉夹层病例报道

 武汉大学人民医院心血管外Ⅰ科

吴智勇、任伟、胡锐、宋鹏

gore医疗怎么样「胸有乾坤」强弓硬弩 一蹴而就——CTAG弓上三开窗治疗主动脉夹层病例报道_https://www.jmylbn.com_新闻资讯_第5张

病例基本情况

患者:男性,51岁。

主诉:腰背痛3天。

既往史:一年前外院行Bentall+CABG(LIMA-LAD,SVG-PDA,SVD-D2-LCX)。

查体:体温:36℃,脉搏:84次/分,呼吸:16次/分,血压:134/76mmHg。

术前诊断:1. 主动脉夹层A型;2. Bentall+CABG术后状态;3. 高血压病三级。


术前CTA详解

患者入院后行CTA检查,CTA提示患者为A型主动脉夹层。弓上三根分支血管及内脏区分支血管均发自真腔,夹层远端累及至髂总动脉。

gore医疗怎么样「胸有乾坤」强弓硬弩 一蹴而就——CTAG弓上三开窗治疗主动脉夹层病例报道_https://www.jmylbn.com_新闻资讯_第6张

术前CTA.

gore医疗怎么样「胸有乾坤」强弓硬弩 一蹴而就——CTAG弓上三开窗治疗主动脉夹层病例报道_https://www.jmylbn.com_新闻资讯_第7张

术前3D重建


手术方案

Conformable GORE® TAG® 胸主动脉覆膜支架(简称CTAG)锚定于升主动脉冠脉吻合口上方,行三开窗重建弓上分支血管,型号:TGU343420(远端)+TGU404020(近端)。


手术过程

1. 患者全身麻醉工作准备完毕后,游离显露双侧股动脉,双侧肱动脉及双侧颈总动脉。


经股动脉真腔置入金标猪尾导管进行主动脉弓部造影。右侧股动脉沿加硬导丝置入24Fr DSF导引鞘后,右侧股动脉及左侧肱动脉之间V18导丝建立牵张通路。

gore医疗怎么样「胸有乾坤」强弓硬弩 一蹴而就——CTAG弓上三开窗治疗主动脉夹层病例报道_https://www.jmylbn.com_新闻资讯_第8张

主动脉弓造影


2. 右侧肱动脉置入12Fr鞘至升主动脉,置入Mustang 10mm*80mm球囊,左右颈总动脉置入8Fr鞘。沿加硬导丝置入远端覆膜支架TGU343420定位后释放,继续置入近端覆膜支架TGU404020定位于冠脉吻合口上方释放。

gore医疗怎么样「胸有乾坤」强弓硬弩 一蹴而就——CTAG弓上三开窗治疗主动脉夹层病例报道_https://www.jmylbn.com_新闻资讯_第9张

近端支架释放前造影

gore医疗怎么样「胸有乾坤」强弓硬弩 一蹴而就——CTAG弓上三开窗治疗主动脉夹层病例报道_https://www.jmylbn.com_新闻资讯_第10张

近端覆膜支架释放


3. LCCA重建:扩充预置在右颈总的PTA球囊为脑部提供血流,吸引器沿短鞘置入左颈总后经左、右前斜确认后出针破膜,用6mm、8mm高压球囊逐级扩张后,置入VIBAHN VBHR080502W。

gore医疗怎么样「胸有乾坤」强弓硬弩 一蹴而就——CTAG弓上三开窗治疗主动脉夹层病例报道_https://www.jmylbn.com_新闻资讯_第11张

左颈总破膜出针

gore医疗怎么样「胸有乾坤」强弓硬弩 一蹴而就——CTAG弓上三开窗治疗主动脉夹层病例报道_https://www.jmylbn.com_新闻资讯_第12张

左颈总覆膜支架释放并后扩


4. IA重建:左颈总置入穿刺针顶紧覆膜支架后经左、右前斜确认后出针破膜,用6mm、8、12mm高压球囊逐级扩张后,置入HGB161407。

gore医疗怎么样「胸有乾坤」强弓硬弩 一蹴而就——CTAG弓上三开窗治疗主动脉夹层病例报道_https://www.jmylbn.com_新闻资讯_第13张

右颈总破膜出针


5. LSA重建:经肱动脉DSF1245导引鞘置入穿刺针,利用牵张导丝的张力顶紧支架后出针破膜,球囊逐级扩张后置入VIBAHN VBHR110502W。

gore医疗怎么样「胸有乾坤」强弓硬弩 一蹴而就——CTAG弓上三开窗治疗主动脉夹层病例报道_https://www.jmylbn.com_新闻资讯_第14张

LSA覆膜支架释放


6. 造影提示左颈总血流稍差,使用双球囊同时扩张左颈总和左锁骨下动脉左颈总动脉再植入裸支架COOKZFV6-125-10-6.0血管支架。

gore医疗怎么样「胸有乾坤」强弓硬弩 一蹴而就——CTAG弓上三开窗治疗主动脉夹层病例报道_https://www.jmylbn.com_新闻资讯_第15张

双球囊同时扩充


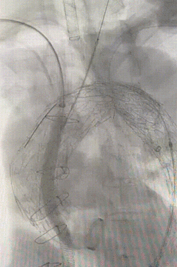
7. 进行最终造影,支架形态良好,弓上三根分支血管显影通畅,腹主段造影显示内脏区分支显影良好,结束手术。

gore医疗怎么样「胸有乾坤」强弓硬弩 一蹴而就——CTAG弓上三开窗治疗主动脉夹层病例报道_https://www.jmylbn.com_新闻资讯_第16张

主动脉弓最终造影

gore医疗怎么样「胸有乾坤」强弓硬弩 一蹴而就——CTAG弓上三开窗治疗主动脉夹层病例报道_https://www.jmylbn.com_新闻资讯_第17张

腹主段最终造影


术后随访

患者术后复查,CTA显示支架形态良好,弓上分支血流通畅。

gore医疗怎么样「胸有乾坤」强弓硬弩 一蹴而就——CTAG弓上三开窗治疗主动脉夹层病例报道_https://www.jmylbn.com_新闻资讯_第18张

术后复查CTA

gore医疗怎么样「胸有乾坤」强弓硬弩 一蹴而就——CTAG弓上三开窗治疗主动脉夹层病例报道_https://www.jmylbn.com_新闻资讯_第19张

术后3D重建


病例经验总结

当病变部位累及主动脉弓部分支,合理地运用开窗等技术,可扩大主动脉弓部病变腔内技术的应用范围,改善预后

GORE® CTAG® 胸主动脉覆膜支架,具有极佳的通过性、顺应性、6-33%的oversize。其较短的Tip头、极低的回直力、叠瓦形的结构设计,可使支架适应扭曲的主动脉弓,减少逆撕与内漏,提升预后。


上述病例介绍,代表作者的个人观点,仅作为学术交流与术式探讨的目的。关于器械的详细使用说明和适用范围等信息,请参照IFU。


专家简介

 gore医疗怎么样「胸有乾坤」强弓硬弩 一蹴而就——CTAG弓上三开窗治疗主动脉夹层病例报道_https://www.jmylbn.com_新闻资讯_第20张

吴智勇 教授

武汉大学人民医院,心血管外Ⅰ科,主任医师,硕士生导师,医学博士;牵头负责武汉大学人民医院心血管医院外科中心、心血管外Ⅰ科工作、心血管外科重症监护中心;一直致力于心血管外科的微创化和终末期心脏病的外科诊治,尤其对主动脉疾病和结构性心脏病的综合性个体化微创治疗及心脏移植等领域都进行了大量的临床研究和探索。率领团队在省内率先开展先心介入封堵和“不开刀”换瓣,明显减少了病人创伤,荣获武汉大学人民医院外科菁英称号。中华医学会器官移植分会心脏移植学组委员、湖北省医师协会心血管外科分会常委、湖北省医学会胸心外科分会委员和武汉医学会心血管外科分会副主任委员。主持和参与了多项国家、省部级科研项目,近五年发表SCI论文10余篇,获省部级科技进步奖5项,专利1项。


 gore医疗怎么样「胸有乾坤」强弓硬弩 一蹴而就——CTAG弓上三开窗治疗主动脉夹层病例报道_https://www.jmylbn.com_新闻资讯_第21张

任伟 教授

武汉大学人民医院,心血管外Ⅰ科,副主任医师,临床医学博士,意大利米兰HUMA大学访问学者。擅长先心病、瓣膜病、主动脉疾病、冠心病和心肌病的外科诊断和治疗。曾在国家心血管病中心阜外医院系统培训,并获国家卫健委质控中心外科介入手术资质。在微创心脏手术领域有独到之处,尤其擅长心脏和主动脉疾病介入和杂交治疗,如复杂主动脉夹层或动脉瘤的微创手术,先心病瓣膜病的不开胸微创手术,率先在省内开展“无辐射不全麻不开刀”经胸超声引导的先心病封堵手术。在主动脉疾病领域获湖北省科技进步一等奖1项,武汉市科技进步一等奖1项,发明专利1项。主持参与国家自然科学基金、湖北省自然科学基金和湖北省卫健委基金各1项,在SCI和中华系列杂志等国内外权威期刊发表论文10余篇。


 gore医疗怎么样「胸有乾坤」强弓硬弩 一蹴而就——CTAG弓上三开窗治疗主动脉夹层病例报道_https://www.jmylbn.com_新闻资讯_第22张

胡锐 教授

武汉大学人民医院,心血管外Ⅰ科,副主任医师,武汉大学医学博士,耶鲁大学博士后。擅长先天性心脏病、心脏瓣膜病、主动脉疾病、冠心病的外科诊断及治疗,尤其是先天性心脏病、心脏瓣膜病及主动脉疾病的微创介入治疗。武汉医学会心血管外科分会常委。主持参与国家自然基金,省自然科学基金多项,获湖北省科技进步一等奖及湖北省科技成果推广二等奖,国内外权威期刊发表论文30余篇,其中SCI论文10余篇


 gore医疗怎么样「胸有乾坤」强弓硬弩 一蹴而就——CTAG弓上三开窗治疗主动脉夹层病例报道_https://www.jmylbn.com_新闻资讯_第23张

宋鹏 教授

武汉大学人民医院,心血管外Ⅰ科,主治医师,八年制博士,先天性心脏病;心脏瓣膜病;主动脉夹层及主动脉瘤等大血管疾病;下肢静脉曲张等外周疾病的诊断及治疗。参与多项国家级课题,发表SCI论文多篇。


科室介绍

武汉大学人民医院心血管外科创建于上个世纪六十年代,是国务院学位委员会评定的首批硕士和博士学位授予点、博士后流动站和湖北省首批重点学科,现为中国医学科学院心血管技术协作培训中心湖北分中心,中南地区心血管病技术协作中心,湖北省心血管病临床研究中心,国家食品药品监督总局临床试验基地,建设有心血管病学湖北省重点实验室、武汉大学心血管病研究所,是武汉市打造中部医疗服务中心重点建设专科。经过五十余年的精心建设和发展,心血管外科已经形成集医疗、教学、科研为一体的专业机构,年手术量位居中南地区前列。

2023年,武汉大学人民医院心血管医院在原心血管外科、心血管内科的基础上组建,外科由成人心脏外科中心、小儿心脏外科中心、大血管外科中心、移植中心、心血管外科重症监护中心、体外循环与生命支持中心组成,心血管外科实力厚积薄发、蓄势腾飞,以坚实的步伐迈向国内一流的心脏危重症救治基地。

本学科由心血管外I科、心血管外II科、心血管外科重症监护室、心血管外科门诊、体外循环研究室等单元组成;年门诊量近两万余人次,住院病人两千余人次,年手术量1500余台,医疗辐射能力覆盖全国18个省、市、自治区、直辖市,诊疗疾病范围包括全部心脏及大血管外科疾病,并形成以主动脉夹层和心脏移植手术为学科特色,其中心脏移植手术连续三年排名全国第四,目前为湖北省医师协会心血管外科医师分会主委单位,并有多人在中华医学会胸心血管外科分会、中华医学会器官移植分会心脏移植学组、湖北省医学会、湖北省医学会胸心血管外科医师分会、湖北省医学会血管外科分会等重要学术机构任职。

本学科现在编工作人员55人,其中正高职称4人,副高职称7人);国家卫计委有突出贡献专家1人、国务院政府特殊津贴专家3人、博士生导师3人、硕士生导师9人;培养硕士及博士生数百名。

本学科先后承担国家科技部“十二五”、“十三五”科技支撑计划、卫生部卫生行业科研专项、国家自然科学基金、湖北省自然科学基金、湖北省卫计委科研攻关项目、湖北省社发领域重大项目等重大科研项目。获得湖北省科技进步奖十余项,其中一等奖3项。



gore医疗怎么样「胸有乾坤」强弓硬弩 一蹴而就——CTAG弓上三开窗治疗主动脉夹层病例报道_https://www.jmylbn.com_新闻资讯_第24张
gore医疗怎么样「胸有乾坤」强弓硬弩 一蹴而就——CTAG弓上三开窗治疗主动脉夹层病例报道_https://www.jmylbn.com_新闻资讯_第24张
gore医疗怎么样「胸有乾坤」强弓硬弩 一蹴而就——CTAG弓上三开窗治疗主动脉夹层病例报道_https://www.jmylbn.com_新闻资讯_第24张

病例征集

如您有相类似的病例,或者希望与术者做进一步的交流,欢迎您将您的联系方式发送至tevar_case@163.com。谢谢!


gore医疗怎么样「胸有乾坤」强弓硬弩 一蹴而就——CTAG弓上三开窗治疗主动脉夹层病例报道_https://www.jmylbn.com_新闻资讯_第24张
gore医疗怎么样「胸有乾坤」强弓硬弩 一蹴而就——CTAG弓上三开窗治疗主动脉夹层病例报道_https://www.jmylbn.com_新闻资讯_第24张
gore医疗怎么样「胸有乾坤」强弓硬弩 一蹴而就——CTAG弓上三开窗治疗主动脉夹层病例报道_https://www.jmylbn.com_新闻资讯_第24张

胸有乾坤 · 往期回顾

gore医疗怎么样「胸有乾坤」强弓硬弩 一蹴而就——CTAG弓上三开窗治疗主动脉夹层病例报道_https://www.jmylbn.com_新闻资讯_第30张

01

第一步

扫码进入

往期合集

02

第二步

点击订阅

胸有乾坤专栏

gore医疗怎么样「胸有乾坤」强弓硬弩 一蹴而就——CTAG弓上三开窗治疗主动脉夹层病例报道_https://www.jmylbn.com_新闻资讯_第31张

版权声明:本平台旨在帮助医疗卫生专业人士更好地了解相关疾病领域最新进展。本平台对发布的资讯内容,并不代表同意其描述和观点,仅为提供更多信息。若涉及版权问题,烦请权利人与我们联系,我们将尽快处理。仅供医疗卫生专业人士为了解资讯使用,该等信息不能以任何方式取代专业的医疗指导,也不应被视为诊疗建议。如该等信息被用于了解资讯以外的目的,本平台及作者不承担相关责任。合作联系邮箱:vascular@edoctor.work。

gore医疗怎么样「胸有乾坤」强弓硬弩 一蹴而就——CTAG弓上三开窗治疗主动脉夹层病例报道_https://www.jmylbn.com_新闻资讯_第32张