gore医疗怎么样「胸有乾坤」释半功倍 得心应手——GORE®TAG® 可主动调控胸主动脉覆膜支架治疗B型主动脉夹层病例分享 复旦大学附属中山医院

新闻资讯2026-04-20 23:42:57
gore医疗怎么样「胸有乾坤」释半功倍 得心应手——GORE®TAG® 可主动调控胸主动脉覆膜支架治疗B型主动脉夹层病例分享 复旦大学附属中山医院_https://www.jmylbn.com_新闻资讯_第1张


本期看点

  • 两例近端锚定区严重不足的B型夹层如何行主动脉重建?

  • 如何应用GORE® TAG® 可主动调控胸主动脉覆膜支架实现毫米级精准定位


gore医疗怎么样「胸有乾坤」释半功倍 得心应手——GORE®TAG® 可主动调控胸主动脉覆膜支架治疗B型主动脉夹层病例分享 复旦大学附属中山医院_https://www.jmylbn.com_新闻资讯_第2张


主席寄语


gore医疗怎么样「胸有乾坤」释半功倍 得心应手——GORE®TAG® 可主动调控胸主动脉覆膜支架治疗B型主动脉夹层病例分享 复旦大学附属中山医院_https://www.jmylbn.com_新闻资讯_第3张

尊敬的各位同道,大家好! 


近年来,随着血管腔内治疗方法的日益普及、手术器械和技术的不断创新和突破,胸主动脉腔内治疗(TEVAR)已在全国各个省市的中心陆续开展。在学科及疗法的快速发展过程中,由于病人多、技术新、任务重,临床上常常重视手术的即刻结果,却缺乏对术后长期效果的随访与评价,对术式与操作的规范化重视不够。为推动医师们技术交流和经验分享,血管资讯平台将于2021年11月起陆续推出胸主动脉腔内治疗优秀病例展示,旨在增进相互学习,了解不同病例治疗策略的制定及思考,手术过程、术中应急处理及术后随访等,提供更多的经验分享。


每一个病例的展示,都体现着术者们精益求精的专业精神——严格规范TEVAR技术操作,充分考虑每一步操作细节及围手术期的管理。我同时希望这个病例展示,能够成为同道们积极探索TEVAR新思路、新方法的交流平台,激发鼓励腔内技术与器械的创新和使用,共同开创胸主动脉腔内治疗的崭新未来!希望本次活动能有更多病例参与展示,使胸主动脉腔内治疗愈加规范、严谨,使更多患者受益。谢谢!

gore医疗怎么样「胸有乾坤」释半功倍 得心应手——GORE®TAG® 可主动调控胸主动脉覆膜支架治疗B型主动脉夹层病例分享 复旦大学附属中山医院_https://www.jmylbn.com_新闻资讯_第4张

2021年9月30日


释半功倍   得心应手

应用GORE®TAG®可主动调控胸主动脉覆膜支架

治疗B型主动脉夹层病例分享


复旦大学附属中山医院

符伟国 郭大乔 司逸 唐骁 高斌 郭宝磊

gore医疗怎么样「胸有乾坤」释半功倍 得心应手——GORE®TAG® 可主动调控胸主动脉覆膜支架治疗B型主动脉夹层病例分享 复旦大学附属中山医院_https://www.jmylbn.com_新闻资讯_第5张

胸主动脉疾病腔内治疗(TEVAR)技术的成功很大程度上与病患的主动脉弓解剖形态、锚定区(Landing Zone)、近端密封长度(Proximal Sealing Length)有关。对I型主动脉弓而言,20mmPSL是有效且足够的;然而,对一些弓部形态较陡如II型和III型主动脉弓,PSL需增加至25-30mm才能达到较为安全及稳定的效果。但也有报道显示在一些无法获得足够的健康锚定区长度的复杂主动脉病变中,不足2cm的PSL也可获得较好的手术效果1。在锚定区非常有限的情况下,只有通过精准的定位和释放,尽可能地充分地利用支架近端的贴壁性和密封效果进行腔内隔绝,才有可能获得较好的治疗效果。


戈尔公司新上市了GORE® TAG®可主动调控胸主动脉覆膜支架系统(GORE® TAG® Conformable Thoracic Stent Graft with ACTIVE CONTROL System)。该系统在支架完全展开之前提供了一个中间直径的阶段,医生可以在该阶段优化支架的释放位置,同时在两次释放阶段都可以进行近端成角的调整以消除“鸟嘴”现象。2022年10月,复旦大学附属中山医院血管外科符伟国教授团队尝试在首批患者中使用该产品,充分利用了该支架系统的“可调可控”特性,成功治疗了两例近端锚定区严重不足的B型夹层患者。


病例1

患者1周前无明显诱因出现胸背痛,休息后不缓解,外院急诊CTA检查示主动脉夹层,对症降压治疗后症状已缓解,为求进一步诊治,来我院急诊以“主动脉夹层”收入。自起病以来,患者有高血压病史。诊断为:B型主动脉夹层,迷走右锁骨下动脉夹层

gore医疗怎么样「胸有乾坤」释半功倍 得心应手——GORE®TAG® 可主动调控胸主动脉覆膜支架治疗B型主动脉夹层病例分享 复旦大学附属中山医院_https://www.jmylbn.com_新闻资讯_第6张
gore医疗怎么样「胸有乾坤」释半功倍 得心应手——GORE®TAG® 可主动调控胸主动脉覆膜支架治疗B型主动脉夹层病例分享 复旦大学附属中山医院_https://www.jmylbn.com_新闻资讯_第7张


1.术前VS术后(CTA 横断面对比)

点击边框调出视频工具条
   

点击边框调出视频工具条
   


2.手术过程简述

  1. 正位造影:弓上分支显影好,右侧迷走锁骨下动脉夹层累及,无名动脉、左颈总动脉及左锁骨下动脉血流通畅。左侧椎动脉优势,右侧椎动脉发自迷走锁骨下动脉,血流纤细.

  2. 从右侧股动脉入路,超选入右侧迷走锁骨下动脉内,交换Amplatz导丝,沿导丝导入12F 80cm长鞘至右侧迷走锁骨下动脉内,远端位于右侧椎动脉开口近心端。

  3. 导入Absolute支架(10-800mm)自右侧椎动脉开口处释放。导入Mustang球囊(10-60mm)通过球囊辅助调整长鞘位置至裸支架内。

  4. 再次行升主动脉造影:自左锁骨下动脉开口远端约10mm处降主动脉可见夹层破口。

  5. 左侧,交换Lunderquist导丝。控制性降压至平均动脉压100mmHg,导入22F鞘,导丝导入GORE® TAG® 可主动调控胸主动脉覆膜支架(CADS,34-34-200mm)到靶病变,将支架覆膜开始部分定位于左锁骨下动脉开口远端部分释放。

  6. 经右侧股动脉长鞘内导入Viabahn (10-150mm)*2枚,近端支架定位于迷走锁骨下动脉的裸支架内,远端支架超出胸主动脉覆膜支架远端约1cm,先释放远心端VB支架。

  7. 进一步调整CADS支架近端开口,使小弯侧贴合更好,近端精准锚定于LSA开口远端,完全释放支架。

  8. 缓慢释放第二根VB支架,位置理想。


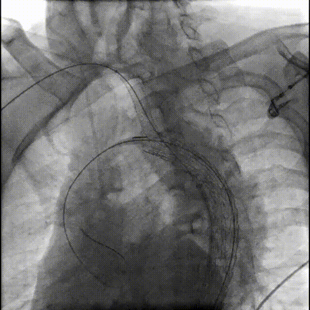
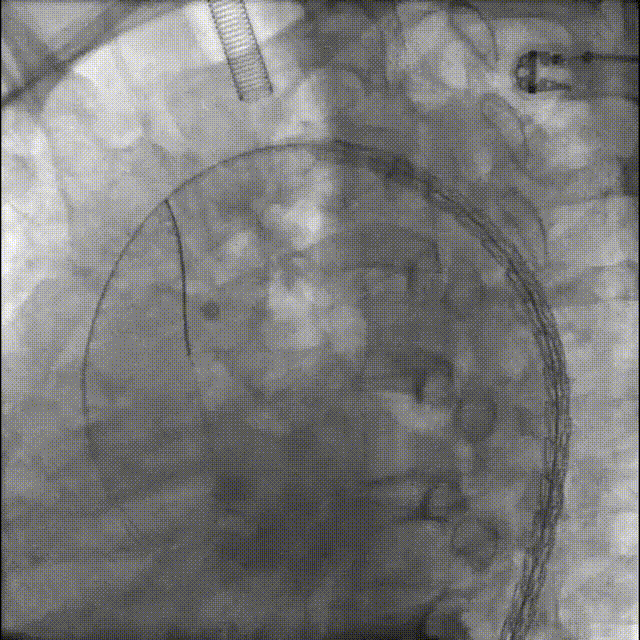
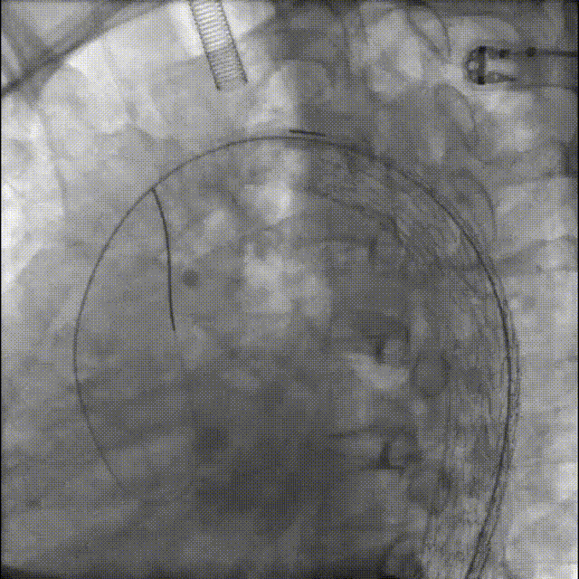
3.术中造影

gore医疗怎么样「胸有乾坤」释半功倍 得心应手——GORE®TAG® 可主动调控胸主动脉覆膜支架治疗B型主动脉夹层病例分享 复旦大学附属中山医院_https://www.jmylbn.com_新闻资讯_第8张

支架放置前内脏区造影

gore医疗怎么样「胸有乾坤」释半功倍 得心应手——GORE®TAG® 可主动调控胸主动脉覆膜支架治疗B型主动脉夹层病例分享 复旦大学附属中山医院_https://www.jmylbn.com_新闻资讯_第9张

支架放置后内脏区造影


4.术前VS术后(3D影像)

gore医疗怎么样「胸有乾坤」释半功倍 得心应手——GORE®TAG® 可主动调控胸主动脉覆膜支架治疗B型主动脉夹层病例分享 复旦大学附属中山医院_https://www.jmylbn.com_新闻资讯_第10张
gore医疗怎么样「胸有乾坤」释半功倍 得心应手——GORE®TAG® 可主动调控胸主动脉覆膜支架治疗B型主动脉夹层病例分享 复旦大学附属中山医院_https://www.jmylbn.com_新闻资讯_第11张


病例2

患者 10月前因“梗阻性黄疸、胆总管结石”检查发现主动脉夹层B型,否认腹痛、腰背痛,追问病史,2019年曾出现胸痛,行冠脉造影未见异常,当时血压170mmHg。诊断为:B型主动脉夹层累及到LSA后缘,左侧椎动脉发自于主动脉弓上的变异解剖形态

gore医疗怎么样「胸有乾坤」释半功倍 得心应手——GORE®TAG® 可主动调控胸主动脉覆膜支架治疗B型主动脉夹层病例分享 复旦大学附属中山医院_https://www.jmylbn.com_新闻资讯_第12张
gore医疗怎么样「胸有乾坤」释半功倍 得心应手——GORE®TAG® 可主动调控胸主动脉覆膜支架治疗B型主动脉夹层病例分享 复旦大学附属中山医院_https://www.jmylbn.com_新闻资讯_第13张


1.术前VS术后(CTA 横断面对比)

点击边框调出视频工具条
   

点击边框调出视频工具条
   

gore医疗怎么样「胸有乾坤」释半功倍 得心应手——GORE®TAG® 可主动调控胸主动脉覆膜支架治疗B型主动脉夹层病例分享 复旦大学附属中山医院_https://www.jmylbn.com_新闻资讯_第14张
gore医疗怎么样「胸有乾坤」释半功倍 得心应手——GORE®TAG® 可主动调控胸主动脉覆膜支架治疗B型主动脉夹层病例分享 复旦大学附属中山医院_https://www.jmylbn.com_新闻资讯_第15张


2.手术过程简述

正位造影:左椎动脉起至主动脉弓,弓上四分支显影好,双侧椎动脉显影,左前55度造影:自左锁骨下动脉开口5mm处降主动脉可见小破口,标记左颈总、左锁骨下动脉,破口、小弯侧拐角。交换Lunderquist导丝并控制血压到100mmHg,导入20F鞘,导入GORE® TAG® 可主动调控胸主动脉覆膜支架(31-31-200mm)到靶病变,将支架覆膜开始部分定位于左锁骨下动脉开口中段释放,经造影评估后,微调支架位置和小弯侧贴附后,二次拉线释放。最后,造影显示降主动脉血流通畅,支架形态好,支架完全封堵原发破口,左颈动脉血流通畅,左锁骨下动脉通畅,未见内漏。


3.术前VS术后(3D影像)

gore医疗怎么样「胸有乾坤」释半功倍 得心应手——GORE®TAG® 可主动调控胸主动脉覆膜支架治疗B型主动脉夹层病例分享 复旦大学附属中山医院_https://www.jmylbn.com_新闻资讯_第16张
gore医疗怎么样「胸有乾坤」释半功倍 得心应手——GORE®TAG® 可主动调控胸主动脉覆膜支架治疗B型主动脉夹层病例分享 复旦大学附属中山医院_https://www.jmylbn.com_新闻资讯_第17张


经验总结

两例患者均为B型主动脉夹层,近端锚定区长度非常有限且不健康,手术方案选择使用戈尔新上市的GORE® TAG®可主动调控胸主动脉覆膜支架,通过分阶段释放的设计,在第一阶段,支架从头端向尾端打开,将支架释放至中间直径,此时,可以通过对近端黄金标记圈的形状来判断C臂角度是否与锚定区垂直。当C臂角度调整至黄金标记圈呈一直线后,对近端位置进行评估,通过位置调整,对支架进行重新定位,优化支架的释放位置,避免对分支血管开口的阻挡。

gore医疗怎么样「胸有乾坤」释半功倍 得心应手——GORE®TAG® 可主动调控胸主动脉覆膜支架治疗B型主动脉夹层病例分享 复旦大学附属中山医院_https://www.jmylbn.com_新闻资讯_第18张


  • 支架在释放到中间直径时,此阶段,由于支架已打开一半直径,血流可以从支架内及支架外流过,血流动力学处于稳定的状态,可以避免由“风袋效应”引起的支架移位。同时,支架中间直径的展开状态,对患者的重要脏器血管的血供不产生任何干扰,在主动脉的血流腔中还留出一定可操控空间,有利于相对复杂的血管介入技术的操作(如运用潜望镜技术保留迷走锁骨下动脉等)。

gore医疗怎么样「胸有乾坤」释半功倍 得心应手——GORE®TAG® 可主动调控胸主动脉覆膜支架治疗B型主动脉夹层病例分享 复旦大学附属中山医院_https://www.jmylbn.com_新闻资讯_第19张


  • 第二阶段的释放是支架从尾端向头端打开,降低了远端非健康血管的再次撕裂风险

gore医疗怎么样「胸有乾坤」释半功倍 得心应手——GORE®TAG® 可主动调控胸主动脉覆膜支架治疗B型主动脉夹层病例分享 复旦大学附属中山医院_https://www.jmylbn.com_新闻资讯_第20张


  • 在两次释放后,分别有两次可供选择的近端角度调整的功能,通过近端角度调整,进一步提升支架近端的密封效果,降低“鸟嘴”现象,减少I型内漏的发生。在锚定区非常有限的情况下,主动脉小弯侧的完全贴附,对近端的密封效果至关重要。

gore医疗怎么样「胸有乾坤」释半功倍 得心应手——GORE®TAG® 可主动调控胸主动脉覆膜支架治疗B型主动脉夹层病例分享 复旦大学附属中山医院_https://www.jmylbn.com_新闻资讯_第21张


GORE®TAG®可主动调控胸主动脉覆膜支架初步使用体会:

  • Conformable GORE® TAG®胸主动脉覆膜支架手术中使用的一些释放技巧(如顶导丝技术等)对于可主动调控胸主动脉支架仍然适用。

  • 通过对输送系统的改进(预弯锥形头),将原有CTAG支架的推送性能进一步提升。支架输送到位后,更顺应大弯侧血管形态。

  • 与Conformable GORE® TAG®胸主动脉覆膜支架相比,操控性更强、可调可控,释放更精准,大大缩短了术者的学习曲线,进一步加强手术安全性。

  • 更小的通过外径,手术操作更安全,入路并发症更少。

  • 需要注意的是,锚定区不足仍是TEVAR术后不良事件(如Ia型内漏)发生的独立风险因素,对于治疗近端锚定区不足的病例仍需谨慎评估和预判。


参考资料:

1.Piazza Michele, Squizzato Francesco, Xodo Andrea et al. Determination of Optimal and Safest Proximal Sealing Length During Thoracic Endovascular Aortic Repair, European Journal of Vascular and Endovascular Surgery, https: //doi.org /10. 1016 /j.ejvs.2021.05.012

2.Mariani C, et al.  The GORE TAG conformable thoracic stent graft with the new ACTIVE CONTROL deployment system. J Vasc Surg. 2019 Aug;70(2):432-437. doi: 10.1016/j.jvs.2018.11.015. Epub 2019 Mar 25.


术者简历

 gore医疗怎么样「胸有乾坤」释半功倍 得心应手——GORE®TAG® 可主动调控胸主动脉覆膜支架治疗B型主动脉夹层病例分享 复旦大学附属中山医院_https://www.jmylbn.com_新闻资讯_第22张

符伟国 教授

教授,博士生导师,中国第一位血管外科博士,卫生部有突出贡献中青年专家,上海工匠,上海领军人才,上海市优秀学科带头人,入选上海市卫生系统百人计划。现任:国家放射与治疗临床医学研究中心副主任;复旦大学附属中山医院血管外科主任;复旦大学血管外科研究所所长。中华医学会外科学分会血管外科学组副组长、中国医师协会血管外科医师分会副会长、海峡两岸医药卫生交流协会血管外科分会会长、中国医师协会血管外科医师分会胸主动脉学组组长、上海市医师协会血管外科医师分会会长、上海市医学会血管外科专科分会前任主任委员、中国医师协会腔内血管学专业委员会副主任委员、中国医师协会腔内血管学专业委员会主动脉夹层专家委员会主任委员、中国医师协会老年学分会血管外科专业委员会副主任委员、中国医疗保健国际交流促进会血管外科专业委员会副主任委员。中华医学杂志(英文版)、中华外科杂志、中国实用外科杂志、中国普通外科杂志等学术期刊编委。


 gore医疗怎么样「胸有乾坤」释半功倍 得心应手——GORE®TAG® 可主动调控胸主动脉覆膜支架治疗B型主动脉夹层病例分享 复旦大学附属中山医院_https://www.jmylbn.com_新闻资讯_第23张

郭大乔 教授

复旦大学附属中山医院主任医师、教授,博士研究生导师,血管外科副主任,复旦大学血管外科研究所副所长。现为国际静脉联盟委员、美国血管外科学会委员、中国医师协会血管外科医师分会委员、中国医师学会腔内血管外科医生分会颈动脉专委会副主任委员、国际血管联盟中国区弓上疾病专业委员会副主任委员、海峡两岸医药卫生交流协会血管外科分会副主任委员、上海市医学会血管外科专科分会副主任委员等。《中华普通外科杂志》、《中华医学杂志》、《中华血管外科杂志》编委。

长期从事血管外科疾病的临床诊治工作,在周围血管动脉性疾病,尤其是颅外颈动脉硬化性疾病、下肢动脉硬化闭塞症、动脉瘤及下肢静脉疾病的发病机制和临床诊疗方面积累了大量的研究基础和临床经验。先后负责和参与完成国家自然科学基金、卫生部科研基金、教育部科研基金、上海市科委重大项目基金和上海市卫生局基金等10项课题研究工作。近10年来在国家核心杂志上发表论著数50多篇,SCI论著20篇,先后获得中华医学会、教育部、上海市科技成果奖6项。


科室介绍

gore医疗怎么样「胸有乾坤」释半功倍 得心应手——GORE®TAG® 可主动调控胸主动脉覆膜支架治疗B型主动脉夹层病例分享 复旦大学附属中山医院_https://www.jmylbn.com_新闻资讯_第24张

复旦大学中山医院血管外科由我国血管外科奠基人冯友贤教授于上世纪六十年代创立,在国内最早开展血管疾病诊疗。先后成立了国内首个独立的血管外科、血管外科研究所和腔内血管外科手术室。此后在原中山医院院长、中华医学会外科学分会血管外科学组组长王玉琦教授和现任血管外科主任和复旦大学血管外科研究所所长符伟国教授的带领下,血管外科取得了长足的发展。


目前是国内最大的集医教研于一体的血管疾病诊治中心、培训中心和腔内血管外科中心之一。目前开放床位46张,每年门诊逾55000人次,手术约3000人次,开展的专科手术种类和数量皆在国内名列前茅,尤其在主动脉夹层、腹主动脉瘤、颈动脉狭窄、下肢动脉硬化闭塞、深静脉血栓等等疾病的诊治上处于国内领先地位。同时是国家教育部重点学科、国家放射与治疗临床医学研究中心、上海市临床重点专科。每年共同主办全国最大的血管外科学术会议:中国血管论坛(CEC)。血管外科现有教授/主任医师7人,副主任医师5人,主治医师6人,住院医师3人,其中博士生导师5人,硕士生导师4人。现任血管外科研究所所长和血管外科主任符伟国教授是我国血管外科领军人物。



gore医疗怎么样「胸有乾坤」释半功倍 得心应手——GORE®TAG® 可主动调控胸主动脉覆膜支架治疗B型主动脉夹层病例分享 复旦大学附属中山医院_https://www.jmylbn.com_新闻资讯_第25张
gore医疗怎么样「胸有乾坤」释半功倍 得心应手——GORE®TAG® 可主动调控胸主动脉覆膜支架治疗B型主动脉夹层病例分享 复旦大学附属中山医院_https://www.jmylbn.com_新闻资讯_第25张
gore医疗怎么样「胸有乾坤」释半功倍 得心应手——GORE®TAG® 可主动调控胸主动脉覆膜支架治疗B型主动脉夹层病例分享 复旦大学附属中山医院_https://www.jmylbn.com_新闻资讯_第25张

病例征集

如您有相类似的病例,或者希望与术者做进一步的交流,欢迎您将您的联系方式发送至tevar_case@163.com。谢谢!


版权声明:本平台旨在帮助医疗卫生专业人士更好地了解相关疾病领域最新进展。本平台对发布的资讯内容,并不代表同意其描述和观点,仅为提供更多信息。若涉及版权问题,烦请权利人与我们联系,我们将尽快处理。仅供医疗卫生专业人士为了解资讯使用,该等信息不能以任何方式取代专业的医疗指导,也不应被视为诊疗建议。如该等信息被用于了解资讯以外的目的,本平台及作者不承担相关责任。合作联系邮箱:vascular@edoctor.cn。

gore医疗怎么样「胸有乾坤」释半功倍 得心应手——GORE®TAG® 可主动调控胸主动脉覆膜支架治疗B型主动脉夹层病例分享 复旦大学附属中山医院_https://www.jmylbn.com_新闻资讯_第28张