gore医疗怎么样「胸有乾坤」化险为夷,通险畅机——GORE® TAG® 胸主动脉覆膜支架治疗累及异形弓部动脉瘤

新闻资讯2026-04-20 23:42:41
gore医疗怎么样「胸有乾坤」化险为夷,通险畅机——GORE® TAG® 胸主动脉覆膜支架治疗累及异形弓部动脉瘤_https://www.jmylbn.com_新闻资讯_第1张


本期看点

  • 病变累及ZONE2区,瘤颈与瘤体夹角呈锐角<40°,如何让支架过弓?

  • 如何最大程度保证支架在释放时不移位?


gore医疗怎么样「胸有乾坤」化险为夷,通险畅机——GORE® TAG® 胸主动脉覆膜支架治疗累及异形弓部动脉瘤_https://www.jmylbn.com_新闻资讯_第2张


主席寄语


gore医疗怎么样「胸有乾坤」化险为夷,通险畅机——GORE® TAG® 胸主动脉覆膜支架治疗累及异形弓部动脉瘤_https://www.jmylbn.com_新闻资讯_第3张

尊敬的各位同道,大家好! 


近年来,随着血管腔内治疗方法的日益普及、手术器械和技术的不断创新和突破,胸主动脉腔内治疗(TEVAR)已在全国各个省市的中心陆续开展。在学科及疗法的快速发展过程中,由于病人多、技术新、任务重,临床上常常重视手术的即刻结果,却缺乏对术后长期效果的随访与评价,对术式与操作的规范化重视不够。为推动医师们技术交流和经验分享,血管资讯平台将于2021年11月起陆续推出胸主动脉腔内治疗优秀病例展示,旨在增进相互学习,了解不同病例治疗策略的制定及思考,手术过程、术中应急处理及术后随访等,提供更多的经验分享。


每一个病例的展示,都体现着术者们精益求精的专业精神——严格规范TEVAR技术操作,充分考虑每一步操作细节及围手术期的管理。我同时希望这个病例展示,能够成为同道们积极探索TEVAR新思路、新方法的交流平台,激发鼓励腔内技术与器械的创新和使用,共同开创胸主动脉腔内治疗的崭新未来!希望本次活动能有更多病例参与展示,使胸主动脉腔内治疗愈加规范、严谨,使更多患者受益。谢谢!

gore医疗怎么样「胸有乾坤」化险为夷,通险畅机——GORE® TAG® 胸主动脉覆膜支架治疗累及异形弓部动脉瘤_https://www.jmylbn.com_新闻资讯_第4张

2021年9月30日


化险为夷,通险畅机

GORE® TAG® 胸主动脉覆膜支架

治疗累及异形弓部动脉瘤

广西医科大学第一附属医院

覃晓


gore医疗怎么样「胸有乾坤」化险为夷,通险畅机——GORE® TAG® 胸主动脉覆膜支架治疗累及异形弓部动脉瘤_https://www.jmylbn.com_新闻资讯_第5张

病例基本情况

患者:女性,47岁

主诉:声音嘶哑5天余

现病史:发现左颈部肿物2年,声音嘶哑5天,检查发现弓部动脉瘤入院

既往史:有高血压病史,最高可达180/100mmHg,但存在双上肢动脉压差

查体:颈部可扪及一搏动性包块,大小约4*5cm,搏动频率与心率一致


CTA检查

1、Ⅲ型弓,主动脉弓部远心端可见夹层动脉瘤,瘤体44mm*79mm,左锁骨下动脉发自瘤体下方降主段,且萎缩狭窄。

2、右椎动脉绝对优势,左椎动脉萎缩狭窄。

gore医疗怎么样「胸有乾坤」化险为夷,通险畅机——GORE® TAG® 胸主动脉覆膜支架治疗累及异形弓部动脉瘤_https://www.jmylbn.com_新闻资讯_第6张
gore医疗怎么样「胸有乾坤」化险为夷,通险畅机——GORE® TAG® 胸主动脉覆膜支架治疗累及异形弓部动脉瘤_https://www.jmylbn.com_新闻资讯_第7张


手术难点讨论

开放手术还是TEVAR?

患者和家属担心开放手术风险,要求做TEVAR

植入支架的选择:Conformable GORE® TAG® 胸主动脉覆膜支架(CTAG)具有极佳的柔顺性,可以通过陡峭的III型弓,是本病例的不二之选。


但是手术仍然存在以下三个难点:

  1. 如何让支架过弓?

  2. 如何最大程度保证支架在释放时不移位?

  3. 是否重建LSA?如何重建?

手术难点一

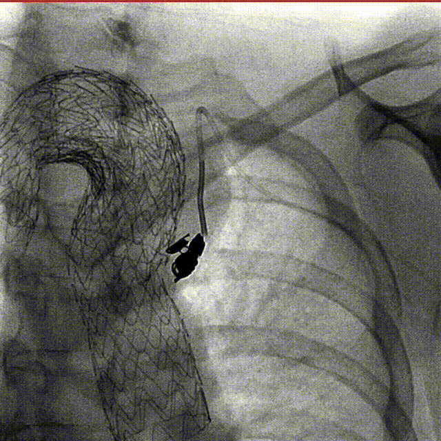
病变累及ZONE2区,瘤颈与瘤体夹角呈锐角<40°,如何让支架过弓?

牵张过弓:通过RSA抓捕支架TIP头,提供牵引力,协助支架通过陡弓。但本病例的弓形结构异常,头臂干和RSA与弓部呈锐角,牵张力传递不佳,容易损伤动脉壁。

gore医疗怎么样「胸有乾坤」化险为夷,通险畅机——GORE® TAG® 胸主动脉覆膜支架治疗累及异形弓部动脉瘤_https://www.jmylbn.com_新闻资讯_第8张


长鞘过弓后输送主体:使用65cm长度的GORE® DrySeal亲水涂层导引鞘(DSF),尝试过弓成功后再推送主体。


需要注意:

  1. 长鞘在推送的过程中有可能因阻力改变传递的方向,如何保持好主动脉主干的相对形态,避免长鞘损伤动脉?

  2. 65cm长鞘是否能够满足患者的身高条件,应当对CT进行充分的测量评估。

  3. CTAG支架以柔顺著称,配合DSF长鞘的输送,可以顺利翻越陡峭的弓部,短小的TIP头避免输送或撤除时卡住支架主体或血管,提升手术成功几率。

gore医疗怎么样「胸有乾坤」化险为夷,通险畅机——GORE® TAG® 胸主动脉覆膜支架治疗累及异形弓部动脉瘤_https://www.jmylbn.com_新闻资讯_第9张


手术难点二

如何最大程度保证支架在释放时不移位?

根据CT测量结果,预计锚定区位于LCCA后缘,瘤颈长度为22mm,弓部直径19-25mm。支架必须准确的锚定在LCCA后,如果释放时发生前跳,则会覆盖LCCA,受血管直径影响,重建LCCA的空间有限;如果发生后移,则会因锚定区不足产生I型内漏,补救成本巨大。


  • 传统的CTAG支架从中间向两端打开主体,在释放支架时必须将Lunderquist导丝顶于大弯侧,才能减少支架移位的风险。

  • 但在这个病例里,由于解剖结构异常的扭曲陡峭,导丝有可能无法完全支撑支架完全不移位。所以,保留支架在释放时的可控性非常的重要。如果可以使用GORE TAG可主动调控胸主动脉覆膜支架系统(CADS)由远端到近端的释放方式,提升支架的支撑稳定性,减少支架移位的可能。

解决方案:使用“壁咚” 技术,将CTAG支架锚定于LCCA后,必要时采取分段释放远端,提升锚定精准度。

gore医疗怎么样「胸有乾坤」化险为夷,通险畅机——GORE® TAG® 胸主动脉覆膜支架治疗累及异形弓部动脉瘤_https://www.jmylbn.com_新闻资讯_第10张
gore医疗怎么样「胸有乾坤」化险为夷,通险畅机——GORE® TAG® 胸主动脉覆膜支架治疗累及异形弓部动脉瘤_https://www.jmylbn.com_新闻资讯_第11张
点击边框调出视频工具条
   


手术难点三

是否重建LSA?如何重建?

左锁骨下动脉发自瘤体下方降主段,萎缩狭窄。

通过颅内造影了解到:右椎动脉绝对优势,左椎动脉极度狭窄。

因此一期手术LSA不做重建,待术后观察活动程度和返流程度再做处置。

gore医疗怎么样「胸有乾坤」化险为夷,通险畅机——GORE® TAG® 胸主动脉覆膜支架治疗累及异形弓部动脉瘤_https://www.jmylbn.com_新闻资讯_第12张
gore医疗怎么样「胸有乾坤」化险为夷,通险畅机——GORE® TAG® 胸主动脉覆膜支架治疗累及异形弓部动脉瘤_https://www.jmylbn.com_新闻资讯_第13张


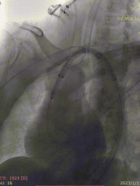
手术方案

  1. 运用双导丝过弓,圆滑弓部成角,保持弓部形态的稳定性。

  2. 使用GORE® DrySeal亲水涂层导引鞘,DSF2265输送过弓后,将TGU282815锚定于LCCA后,必要时增加一条TGU28215延长远端锚定区覆盖LSA。


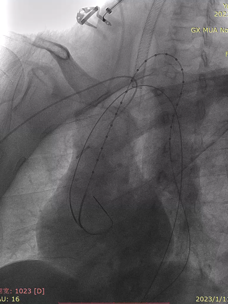
手术过程

常规全麻,消毒铺巾,经右股动脉穿刺入路,术前造影。

gore医疗怎么样「胸有乾坤」化险为夷,通险畅机——GORE® TAG® 胸主动脉覆膜支架治疗累及异形弓部动脉瘤_https://www.jmylbn.com_新闻资讯_第14张


双导丝置入长鞘过弓

第一导丝用于平滑弓形角度,并稳定血管形态,第二导丝保持长鞘的前进方向与前者同轴。

即使有双导丝加持,长鞘在过弓的时候还是会遇到阻力,此时不要蛮力推进,可以轻微抖动回撤导丝,卸除一部分应力再尝试推进,切勿追求一步到位。

gore医疗怎么样「胸有乾坤」化险为夷,通险畅机——GORE® TAG® 胸主动脉覆膜支架治疗累及异形弓部动脉瘤_https://www.jmylbn.com_新闻资讯_第15张

单导丝塑形

gore医疗怎么样「胸有乾坤」化险为夷,通险畅机——GORE® TAG® 胸主动脉覆膜支架治疗累及异形弓部动脉瘤_https://www.jmylbn.com_新闻资讯_第16张

双导丝导引弓部成型

gore医疗怎么样「胸有乾坤」化险为夷,通险畅机——GORE® TAG® 胸主动脉覆膜支架治疗累及异形弓部动脉瘤_https://www.jmylbn.com_新闻资讯_第17张

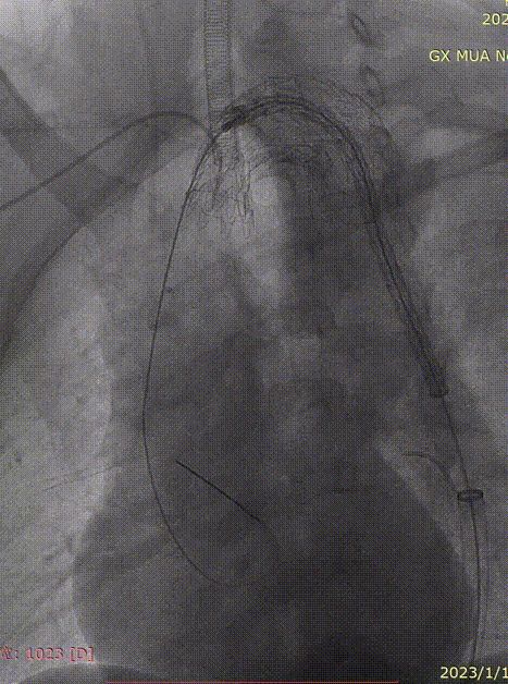
引导鞘过弓


推送主体于目标锚定区更前端定位造影

支架输送系统塑型至弓部导丝支撑完成支架输送前置于LCCA前,将引导鞘退至降主。

gore医疗怎么样「胸有乾坤」化险为夷,通险畅机——GORE® TAG® 胸主动脉覆膜支架治疗累及异形弓部动脉瘤_https://www.jmylbn.com_新闻资讯_第17张


造影明确定位并将支架后移至左颈开口后缘标记定位点。

gore医疗怎么样「胸有乾坤」化险为夷,通险畅机——GORE® TAG® 胸主动脉覆膜支架治疗累及异形弓部动脉瘤_https://www.jmylbn.com_新闻资讯_第19张


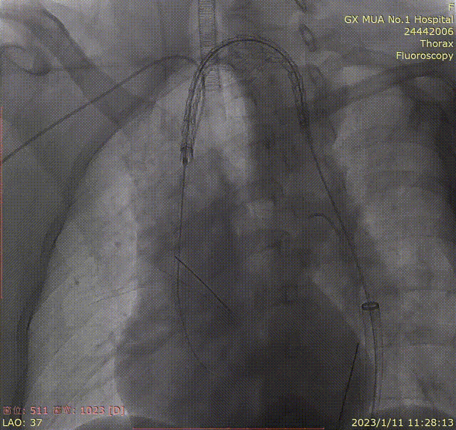
释放主体

技术优势:由于弓形陡峭,瘤腔巨大,支架需要硬导丝支撑到大弯侧,才能确保在释放时保持在原位不移动。

通过分段释放及办法,将支架远端先行释放,填塞瘤腔,可以提供更稳定的支撑力,确保在支架释放时的准确性。

远端释放之后,支架近端仍固定在输送杆上,可以在释放支架近端的过程中适当微调头端的位置。

gore医疗怎么样「胸有乾坤」化险为夷,通险畅机——GORE® TAG® 胸主动脉覆膜支架治疗累及异形弓部动脉瘤_https://www.jmylbn.com_新闻资讯_第20张

顶导丝让支架贴紧大弯侧血管壁

gore医疗怎么样「胸有乾坤」化险为夷,通险畅机——GORE® TAG® 胸主动脉覆膜支架治疗累及异形弓部动脉瘤_https://www.jmylbn.com_新闻资讯_第21张

分段释放支架


远端接主体

第一支架释放完毕后造影可见:LCCA显影良好,支架近端完全贴壁无鸟嘴。

远端LSA显影和Ib型漏,故在在第一支架内接入同型号第二支架,内漏消失,LSA显影延迟。

gore医疗怎么样「胸有乾坤」化险为夷,通险畅机——GORE® TAG® 胸主动脉覆膜支架治疗累及异形弓部动脉瘤_https://www.jmylbn.com_新闻资讯_第22张

第一支架远端存在Ib型漏

gore医疗怎么样「胸有乾坤」化险为夷,通险畅机——GORE® TAG® 胸主动脉覆膜支架治疗累及异形弓部动脉瘤_https://www.jmylbn.com_新闻资讯_第23张

补充第二支架

gore医疗怎么样「胸有乾坤」化险为夷,通险畅机——GORE® TAG® 胸主动脉覆膜支架治疗累及异形弓部动脉瘤_https://www.jmylbn.com_新闻资讯_第24张

最终造影


术后复查

复查造影可见胸主动脉显影良好,支架在位无鸟嘴,支架内显影良好无内漏,瘤腔造影剂无明显外溢,右头臂动脉,左颈总动脉显影良好,患者声嘶症状即刻减轻,但仍能触及颈部包块轻微搏动,考虑为LSA返流所致。

gore医疗怎么样「胸有乾坤」化险为夷,通险畅机——GORE® TAG® 胸主动脉覆膜支架治疗累及异形弓部动脉瘤_https://www.jmylbn.com_新闻资讯_第25张


后期栓塞LSA

通过左上肢入路置入弹簧垫圈于LSA近心端,术后患者声音恢复正常,颈部包块较前稍有缩小,未触及明显搏动感。

患者感觉良好,左上肢轻微乏力,皮温稍凉。

gore医疗怎么样「胸有乾坤」化险为夷,通险畅机——GORE® TAG® 胸主动脉覆膜支架治疗累及异形弓部动脉瘤_https://www.jmylbn.com_新闻资讯_第26张
gore医疗怎么样「胸有乾坤」化险为夷,通险畅机——GORE® TAG® 胸主动脉覆膜支架治疗累及异形弓部动脉瘤_https://www.jmylbn.com_新闻资讯_第27张
gore医疗怎么样「胸有乾坤」化险为夷,通险畅机——GORE® TAG® 胸主动脉覆膜支架治疗累及异形弓部动脉瘤_https://www.jmylbn.com_新闻资讯_第28张


病例小结

当病变部位累及异形弓部,合理地运用双导丝技术平滑弓部的锐角,稳定弓部结构,选择GORE® DrySeal亲水涂层导引鞘来提供优越的通路,可以帮助支架顺利到达目标位置。

灵活的运用CTAG的柔顺特性和结构优势,借助顶导丝的力量,确保支架精准释放减少位移。在提升支架精准定位方面,拥有近端可调控性,可分段释放的支架(例如Gore 最新上市的CADS胸主支架),能够提供更好的病例解决方案。

LSA是否保留或栓塞,可以结合病情和疗效综合评估决定。


专家简介

 gore医疗怎么样「胸有乾坤」化险为夷,通险畅机——GORE® TAG® 胸主动脉覆膜支架治疗累及异形弓部动脉瘤_https://www.jmylbn.com_新闻资讯_第29张

覃晓 教授

现任广西医科大学第一附属医院血管外科主任、主任医师、博士研究生导师。中华医学会血管外科学组全国委员;中国医师协会血管外科分会常委胸主动脉学组副组长。腔内血管学专业委员会委员、静脉血栓栓塞症专家委员会副主任委员,国家心血管病专家委员会血管外科专业委员会常委,国家卫生计生委脑卒中专家委员会缺血性卒中外科专业委员会常委,中国医疗保健国际交流促进会血管外科分会常委。广西外科学会普外分会副主任委员,血管外科学组组长,广西医师协会血管外科分会主任委员,广西中国抗癌协会广西分会常委、中国医师协会广西移植分会常委。欧洲血管外科学会国际委员,美国血管外科学会会员。国际血管联盟中国分部常委、胸主动脉专家委员会副主任委员。国际肝胆胰协会委员。国家卫计委外周血管介入诊疗培训基地主任,广西外周血管介入诊疗技术质量控制中心主任,广西静脉血栓联盟主席。广西卫生厅肝胆、血管外科的学术带头人,中国血管外科杂志常务编委,中华血管外科杂志编委;中华医学杂志等多家杂志编委及审稿人。


科室介绍

广西医科大学第一附属医院血管外科前身系广西医科大学第一附属医院普通外科。普通外科现为国家临床重点建设专科,自治区教育厅、自治区卫生健康委及广西医科大学的重点学科。科室1978年获硕士学位授予权,2001年获肿瘤学博士学位授予权,2004年获外科学博士学位授予权,2009年成为广西首批医疗卫生重点学科,2012年成为国家临床重点建设专科。血管外科于2015年1月正式独立为一个病区。科室专业技术力量雄厚,现有医护人员30人,其中医生13人,护士18人。教授(主任医师)2人,副教授(副主任医师)6人,讲师(主治医师)3人,助教(住院医师)2人,其中博士研究生导师1人,硕士研究生导师3人,博士及在读博士10人,硕士3人。副主任护师2人,主管护师9人。科室在区内外具有较高声誉,现为国家卫健委外周血管介入诊疗培训基地、广西卫健委外周血管介入诊疗质量控制中心、广西卫健委深静脉血栓与肺栓塞防治项目办公室、广西深静脉血栓与肺栓塞防治联盟会长单位、中国南方血管论坛共同主席单位、中国东盟血管外科论坛主席单位、广西医学会血管外科学组组长单位、广西医师协会血管外科医师分会主委单位,是目前广西唯一的血管外科专科医师培训基地和博士授予权单位。科室承担着广西区内血管外科的疑难转诊、技术指导、质量控制、科学研究和人才培养任务,经过几代人的努力,已经成为集医疗、科研、教学、康复、保健为一体的广西血管外科与腔内血管外科诊疗领头雁。

gore医疗怎么样「胸有乾坤」化险为夷,通险畅机——GORE® TAG® 胸主动脉覆膜支架治疗累及异形弓部动脉瘤_https://www.jmylbn.com_新闻资讯_第30张



gore医疗怎么样「胸有乾坤」化险为夷,通险畅机——GORE® TAG® 胸主动脉覆膜支架治疗累及异形弓部动脉瘤_https://www.jmylbn.com_新闻资讯_第31张
gore医疗怎么样「胸有乾坤」化险为夷,通险畅机——GORE® TAG® 胸主动脉覆膜支架治疗累及异形弓部动脉瘤_https://www.jmylbn.com_新闻资讯_第31张
gore医疗怎么样「胸有乾坤」化险为夷,通险畅机——GORE® TAG® 胸主动脉覆膜支架治疗累及异形弓部动脉瘤_https://www.jmylbn.com_新闻资讯_第31张

病例征集

如您有相类似的病例,或者希望与术者做进一步的交流,欢迎您将您的联系方式发送至tevar_case@163.com。谢谢!


gore医疗怎么样「胸有乾坤」化险为夷,通险畅机——GORE® TAG® 胸主动脉覆膜支架治疗累及异形弓部动脉瘤_https://www.jmylbn.com_新闻资讯_第31张
gore医疗怎么样「胸有乾坤」化险为夷,通险畅机——GORE® TAG® 胸主动脉覆膜支架治疗累及异形弓部动脉瘤_https://www.jmylbn.com_新闻资讯_第31张
gore医疗怎么样「胸有乾坤」化险为夷,通险畅机——GORE® TAG® 胸主动脉覆膜支架治疗累及异形弓部动脉瘤_https://www.jmylbn.com_新闻资讯_第31张

胸有乾坤 · 往期回顾

gore医疗怎么样「胸有乾坤」化险为夷,通险畅机——GORE® TAG® 胸主动脉覆膜支架治疗累及异形弓部动脉瘤_https://www.jmylbn.com_新闻资讯_第37张

01

第一步

扫码进入

往期合集

02

第二步

点击订阅

胸有乾坤专栏

gore医疗怎么样「胸有乾坤」化险为夷,通险畅机——GORE® TAG® 胸主动脉覆膜支架治疗累及异形弓部动脉瘤_https://www.jmylbn.com_新闻资讯_第38张


版权声明:本平台旨在帮助医疗卫生专业人士更好地了解相关疾病领域最新进展。本平台对发布的资讯内容,并不代表同意其描述和观点,仅为提供更多信息。若涉及版权问题,烦请权利人与我们联系,我们将尽快处理。仅供医疗卫生专业人士为了解资讯使用,该等信息不能以任何方式取代专业的医疗指导,也不应被视为诊疗建议。如该等信息被用于了解资讯以外的目的,本平台及作者不承担相关责任。合作联系邮箱:vascular@edoctor.cn。

gore医疗怎么样「胸有乾坤」化险为夷,通险畅机——GORE® TAG® 胸主动脉覆膜支架治疗累及异形弓部动脉瘤_https://www.jmylbn.com_新闻资讯_第39张