gore医疗怎么样「胸有乾坤」仁心仁术 精益求精——GORE® TAG® 可主动调控胸主动脉覆膜支架治疗15岁患者外伤后夹层病例报道

新闻资讯2026-04-20 23:42:40
gore医疗怎么样「胸有乾坤」仁心仁术 精益求精——GORE® TAG® 可主动调控胸主动脉覆膜支架治疗15岁患者外伤后夹层病例报道_https://www.jmylbn.com_新闻资讯_第1张


本期看点

  • 患者年纪小,血管细,随着年纪增大,主动脉直径增粗,如何选择合适的覆膜支架?

  • 近端锚定区紧张,如何实现支架精准释放,隔绝病变?

*本病例仅供医学专业人士阅读参考

gore医疗怎么样「胸有乾坤」仁心仁术 精益求精——GORE® TAG® 可主动调控胸主动脉覆膜支架治疗15岁患者外伤后夹层病例报道_https://www.jmylbn.com_新闻资讯_第2张


主席寄语


gore医疗怎么样「胸有乾坤」仁心仁术 精益求精——GORE® TAG® 可主动调控胸主动脉覆膜支架治疗15岁患者外伤后夹层病例报道_https://www.jmylbn.com_新闻资讯_第3张

尊敬的各位同道,大家好! 


近年来,随着血管腔内治疗方法的日益普及、手术器械和技术的不断创新和突破,胸主动脉腔内治疗(TEVAR)已在全国各个省市的中心陆续开展。在学科及疗法的快速发展过程中,由于病人多、技术新、任务重,临床上常常重视手术的即刻结果,却缺乏对术后长期效果的随访与评价,对术式与操作的规范化重视不够。为推动医师们技术交流和经验分享,血管资讯平台将于2021年11月起陆续推出胸主动脉腔内治疗优秀病例展示,旨在增进相互学习,了解不同病例治疗策略的制定及思考,手术过程、术中应急处理及术后随访等,提供更多的经验分享。


每一个病例的展示,都体现着术者们精益求精的专业精神——严格规范TEVAR技术操作,充分考虑每一步操作细节及围手术期的管理。我同时希望这个病例展示,能够成为同道们积极探索TEVAR新思路、新方法的交流平台,激发鼓励腔内技术与器械的创新和使用,共同开创胸主动脉腔内治疗的崭新未来!希望本次活动能有更多病例参与展示,使胸主动脉腔内治疗愈加规范、严谨,使更多患者受益。谢谢!

gore医疗怎么样「胸有乾坤」仁心仁术 精益求精——GORE® TAG® 可主动调控胸主动脉覆膜支架治疗15岁患者外伤后夹层病例报道_https://www.jmylbn.com_新闻资讯_第4张

2021年9月30日


仁心仁术 精益求精

GORE®TAG®可主动调控胸主动脉覆膜支架

治疗15岁患者外伤后夹层病例报道

青海省心脑血管病专科医院

张理教授团队

gore医疗怎么样「胸有乾坤」仁心仁术 精益求精——GORE® TAG® 可主动调控胸主动脉覆膜支架治疗15岁患者外伤后夹层病例报道_https://www.jmylbn.com_新闻资讯_第5张



















创伤性主动脉夹层是创伤性胸主动脉损伤的一种类型,发病率低,但病情凶险,死亡率高,常为胸部钝性损伤所致,主要由高速车祸伤、高处坠落伤引起。主动脉撕裂最常见的部位是主动脉峡部,破口常发生于主动脉弓降部小弯侧。

青海省心脑血管病专科医院收治了一名年仅15岁的女孩,因意外高空坠落导致主动脉夹层,患者主动脉直径仅14.7-17.6mm,在评估解剖后植入直径最小的21mm的GORE® TAG® 可主动调控胸主动脉覆膜支架(以下简称CADS支架)精准释放,完美隔绝。




















患者资料&术前CTA详解 

患者女性,15岁,因意外高空坠落收治入院。患者入院后行CTA检查,可见主动脉峡部局限夹层,小弯侧距离左锁骨动脉后缘锚定距离7.9mm,患者年纪小,主动脉直径较细。

gore医疗怎么样「胸有乾坤」仁心仁术 精益求精——GORE® TAG® 可主动调控胸主动脉覆膜支架治疗15岁患者外伤后夹层病例报道_https://www.jmylbn.com_新闻资讯_第6张

术前CTA

gore医疗怎么样「胸有乾坤」仁心仁术 精益求精——GORE® TAG® 可主动调控胸主动脉覆膜支架治疗15岁患者外伤后夹层病例报道_https://www.jmylbn.com_新闻资讯_第7张

术前3D重建

gore医疗怎么样「胸有乾坤」仁心仁术 精益求精——GORE® TAG® 可主动调控胸主动脉覆膜支架治疗15岁患者外伤后夹层病例报道_https://www.jmylbn.com_新闻资讯_第8张

锚定区距离

gore医疗怎么样「胸有乾坤」仁心仁术 精益求精——GORE® TAG® 可主动调控胸主动脉覆膜支架治疗15岁患者外伤后夹层病例报道_https://www.jmylbn.com_新闻资讯_第9张

血管直径


手术方案设计

  1. 患者年纪小,血管细,随着年纪增大,主动脉直径增粗,如何选择合适的覆膜支架?

  2. 近端锚定区紧张,如何实现支架精准释放,隔绝病变?

CADS支架最小直径为21mm,长度10cm,其宽泛的放大率窗口不仅适合现在患者的主动脉脉直径,也能适应患者随着年纪增大而逐渐增粗的主动脉直径。其独特的分段式释放方式,可以实现近远端精准定位,增加手术的可控性和安全性。


手术过程

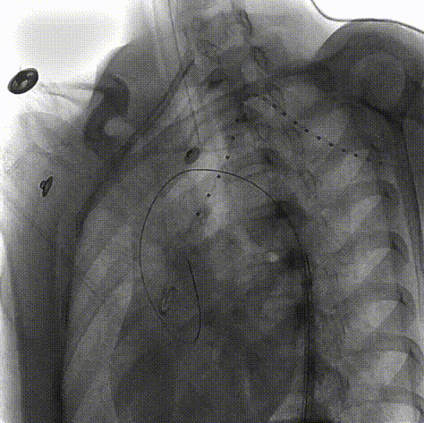
1. 患者麻醉工作准备完毕后,穿刺左侧肱动脉及右侧股动脉,经肱动脉置入金标猪尾导管后进行主动脉弓部造影。

gore医疗怎么样「胸有乾坤」仁心仁术 精益求精——GORE® TAG® 可主动调控胸主动脉覆膜支架治疗15岁患者外伤后夹层病例报道_https://www.jmylbn.com_新闻资讯_第10张

主动脉弓部造影


2. 交换为加硬导丝后置入18Fr GORE® DrySeal亲水涂层导引鞘后,置入CADS支架TGM212110。

gore医疗怎么样「胸有乾坤」仁心仁术 精益求精——GORE® TAG® 可主动调控胸主动脉覆膜支架治疗15岁患者外伤后夹层病例报道_https://www.jmylbn.com_新闻资讯_第11张

置入CADS支架


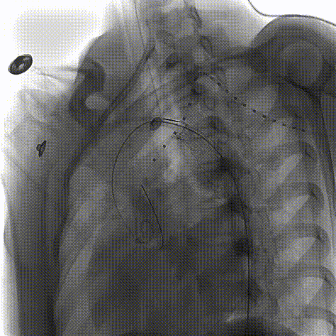
3. 支架到位后进行造影定位,确认位置无误后,进行第一步拉线释放,支架释放至半直径,继续进行第二步拉线释放。支架从远端至近端释放至全直径,使用近端角度调控功能使支架与主动脉小弯侧更好地贴合。

gore医疗怎么样「胸有乾坤」仁心仁术 精益求精——GORE® TAG® 可主动调控胸主动脉覆膜支架治疗15岁患者外伤后夹层病例报道_https://www.jmylbn.com_新闻资讯_第12张

支架释放至全直径后使用近端角度调控功能


4. 进行再次造影,可见支架形态良好,夹层未见显影,结束手术。

gore医疗怎么样「胸有乾坤」仁心仁术 精益求精——GORE® TAG® 可主动调控胸主动脉覆膜支架治疗15岁患者外伤后夹层病例报道_https://www.jmylbn.com_新闻资讯_第13张

最终造影


术后随访

患者在半年后进行随访,支架形态良好,夹层隔绝完全。

gore医疗怎么样「胸有乾坤」仁心仁术 精益求精——GORE® TAG® 可主动调控胸主动脉覆膜支架治疗15岁患者外伤后夹层病例报道_https://www.jmylbn.com_新闻资讯_第14张

术后复查CTA

gore医疗怎么样「胸有乾坤」仁心仁术 精益求精——GORE® TAG® 可主动调控胸主动脉覆膜支架治疗15岁患者外伤后夹层病例报道_https://www.jmylbn.com_新闻资讯_第15张

术后3D重建

gore医疗怎么样「胸有乾坤」仁心仁术 精益求精——GORE® TAG® 可主动调控胸主动脉覆膜支架治疗15岁患者外伤后夹层病例报道_https://www.jmylbn.com_新闻资讯_第16张
gore医疗怎么样「胸有乾坤」仁心仁术 精益求精——GORE® TAG® 可主动调控胸主动脉覆膜支架治疗15岁患者外伤后夹层病例报道_https://www.jmylbn.com_新闻资讯_第17张


上述病例介绍,代表作者的个人观点,仅作为学术交流与术式探讨的目的。关于器械的详细使用说明和适用范围等信息,请参照IFU。


专家简介

 gore医疗怎么样「胸有乾坤」仁心仁术 精益求精——GORE® TAG® 可主动调控胸主动脉覆膜支架治疗15岁患者外伤后夹层病例报道_https://www.jmylbn.com_新闻资讯_第18张

张理 教授

主任医师,青海省重点学科,青海心脑血管病医院血管外科主任。

现任中国医师协会青海分会血管外科主任委员;中国医师协会血管外科医师委员会委员;中国医师协会腔内血管专业委员会委员;海峡两岸医药卫生交流协会委员,中国研究性医院学会血管外科专业委员会委员,中国医师协会老年学分会血管外科委员。擅长诊治大血管疾病、外周动静脉疾病。


 gore医疗怎么样「胸有乾坤」仁心仁术 精益求精——GORE® TAG® 可主动调控胸主动脉覆膜支架治疗15岁患者外伤后夹层病例报道_https://www.jmylbn.com_新闻资讯_第19张

李国杰 教授

血管外科副主任,副主任医师,熟练掌握血管外科开放手术及介入腔内治疗,尤其对下肢动静脉疾病有独到认识。在国内发表多篇论文,参加多项三新项目。于北京安贞医院血管外科及上海中山医院血管外科进修学习,现任青海省医师协会血管外科分会副主任委员,中国微循环协会血管外科委员会青年委员会委员,中国医师协会血管外科医师分会第一届委员会血管创伤学组委员。


 gore医疗怎么样「胸有乾坤」仁心仁术 精益求精——GORE® TAG® 可主动调控胸主动脉覆膜支架治疗15岁患者外伤后夹层病例报道_https://www.jmylbn.com_新闻资讯_第20张

赵名贤 教授

副主任医师,从事血管外科专业11年,北京安贞医院血管外科学习进修,曾参加上海中山医院、上海长海医院等血管介入治疗培训班。熟练诊断及治疗血管外科常见病,擅长各类外周血管及大动脉手术介入治疗。担任多项省内外专科学会委员,参加开展三新技术10余项,其中国内先进5项,省内先进10项,发表专业学术论文多篇。


 gore医疗怎么样「胸有乾坤」仁心仁术 精益求精——GORE® TAG® 可主动调控胸主动脉覆膜支架治疗15岁患者外伤后夹层病例报道_https://www.jmylbn.com_新闻资讯_第21张

张尧鑫 教授

主治医师,青海省心脑血管病专科医院,血管外科

2010年毕业于沈阳医学院临床医学系,现任青海省医师协会血管外科分会委员,于2012年起从事血管外科工作至今,2020年于西安交通大学附属医院血管外科进修学习,于2017年和2018年获得西北地区青年医师病例大赛三等奖,擅长下肢静脉曲张的外科手术治疗,下肢静脉血栓形成的内外科治疗,下肢动脉血栓栓塞的外科治疗等多种血管外科疾病的诊治。


科室介绍

青海省心脑血管病专科医院血管外科是青海省唯一专业治疗血管疾病的专门科室,是省重点学科科室,现有床位53张,开展治疗下肢动脉硬化闭塞引起的下肢、上肢及颈动脉缺血、急性动脉栓塞、胸主动脉夹层及动脉瘤、腹主动脉瘤、下肢严重静脉曲张、溃疡、深静脉血栓、血栓闭塞性脉管炎等疾病。



gore医疗怎么样「胸有乾坤」仁心仁术 精益求精——GORE® TAG® 可主动调控胸主动脉覆膜支架治疗15岁患者外伤后夹层病例报道_https://www.jmylbn.com_新闻资讯_第22张
gore医疗怎么样「胸有乾坤」仁心仁术 精益求精——GORE® TAG® 可主动调控胸主动脉覆膜支架治疗15岁患者外伤后夹层病例报道_https://www.jmylbn.com_新闻资讯_第22张
gore医疗怎么样「胸有乾坤」仁心仁术 精益求精——GORE® TAG® 可主动调控胸主动脉覆膜支架治疗15岁患者外伤后夹层病例报道_https://www.jmylbn.com_新闻资讯_第22张

病例征集

如您有相类似的病例,或者希望与术者做进一步的交流,欢迎您将您的联系方式发送至tevar_case@163.com。谢谢!


gore医疗怎么样「胸有乾坤」仁心仁术 精益求精——GORE® TAG® 可主动调控胸主动脉覆膜支架治疗15岁患者外伤后夹层病例报道_https://www.jmylbn.com_新闻资讯_第22张
gore医疗怎么样「胸有乾坤」仁心仁术 精益求精——GORE® TAG® 可主动调控胸主动脉覆膜支架治疗15岁患者外伤后夹层病例报道_https://www.jmylbn.com_新闻资讯_第22张
gore医疗怎么样「胸有乾坤」仁心仁术 精益求精——GORE® TAG® 可主动调控胸主动脉覆膜支架治疗15岁患者外伤后夹层病例报道_https://www.jmylbn.com_新闻资讯_第22张

胸有乾坤 · 往期回顾

gore医疗怎么样「胸有乾坤」仁心仁术 精益求精——GORE® TAG® 可主动调控胸主动脉覆膜支架治疗15岁患者外伤后夹层病例报道_https://www.jmylbn.com_新闻资讯_第28张

01

第一步

扫码进入

往期合集

02

第二步

点击订阅

胸有乾坤专栏

gore医疗怎么样「胸有乾坤」仁心仁术 精益求精——GORE® TAG® 可主动调控胸主动脉覆膜支架治疗15岁患者外伤后夹层病例报道_https://www.jmylbn.com_新闻资讯_第29张

版权声明:本平台旨在帮助医疗卫生专业人士更好地了解相关疾病领域最新进展。本平台对发布的资讯内容,并不代表同意其描述和观点,仅为提供更多信息。若涉及版权问题,烦请权利人与我们联系,我们将尽快处理。仅供医疗卫生专业人士为了解资讯使用,该等信息不能以任何方式取代专业的医疗指导,也不应被视为诊疗建议。如该等信息被用于了解资讯以外的目的,本平台及作者不承担相关责任。合作联系邮箱:vascular@edoctor.work。

gore医疗怎么样「胸有乾坤」仁心仁术 精益求精——GORE® TAG® 可主动调控胸主动脉覆膜支架治疗15岁患者外伤后夹层病例报道_https://www.jmylbn.com_新闻资讯_第30张