gore医疗怎么样「漫腹精论」髂合时宜 精益求精——双MOB球囊导管辅助腹主动脉覆膜支架急诊治疗破裂巨大髂动脉瘤

新闻资讯2026-04-20 23:42:38

本期看点

巨大髂动脉瘤破裂急诊:

  • 如何快狠准 精准锚定于扭曲锚定区?

  • 如何利用双MOB球囊实现在湍急血流内的球囊移动以及固定?

*本病例仅供医学专业人士阅读参考

gore医疗怎么样「漫腹精论」髂合时宜 精益求精——双MOB球囊导管辅助腹主动脉覆膜支架急诊治疗破裂巨大髂动脉瘤_https://www.jmylbn.com_新闻资讯_第1张


主席寄语


gore医疗怎么样「漫腹精论」髂合时宜 精益求精——双MOB球囊导管辅助腹主动脉覆膜支架急诊治疗破裂巨大髂动脉瘤_https://www.jmylbn.com_新闻资讯_第2张

尊敬的各位同道,大家好! 随着血管腔内治疗的普及和患者接受程度的日益增高,腹主动脉瘤腔内治疗(EVAR)已在全国诸多省市医院陆续开展。为继续规范血管腔内诊疗,推动医生技术交流和经验分享,血管资讯平台将于2021年1月起每月两期陆续推出腹主动脉瘤腔内治疗优秀病例展示,旨在增进相互学习,了解不同病例治疗策略制定及思考,手术过程及术中应急处理等,提供更多的经验分享。每期病例有难点有亮点有总结,以期共同探讨,博采众长,不断提升治疗及操作水平。


EVAR操作看似简单,其实每个病例均各有千秋,为达到良好的手术治疗结果,术前术中有很多细节需要考虑,同时,术后随访对病人预后也有很重要的作用。希望通过病例展示交流的形式,使更多医生手术后能对病例及时复盘,整理,总结,提高,不仅对个人经验的积累有帮助,并可以通过这种形式相互借鉴和成长。


希望本次活动能有更多病例参与展示,使腹主动脉瘤腔内治疗愈加规范、严谨,使更多患者受益。谢谢!    

gore医疗怎么样「漫腹精论」髂合时宜 精益求精——双MOB球囊导管辅助腹主动脉覆膜支架急诊治疗破裂巨大髂动脉瘤_https://www.jmylbn.com_新闻资讯_第3张

2020年12月31日


髂合时宜 精益求精

双MOB球囊导管辅助腹主动脉覆膜支架

急诊治疗破裂巨大髂动脉瘤

广州医科大学附属清远医院

毛景松教授团队

gore医疗怎么样「漫腹精论」髂合时宜 精益求精——双MOB球囊导管辅助腹主动脉覆膜支架急诊治疗破裂巨大髂动脉瘤_https://www.jmylbn.com_新闻资讯_第4张



















阻断球囊技术是治疗RAAA(破裂腹主动脉瘤)时采用的一种微创介入技术[1,2,3],通过血管内球囊临时阻断主动脉血流,用于控制严重出血并提升心脏和脑部的灌注的一种方法。

对于可能发生导致危及生命的主动脉破裂事件的患者,需要及时对主动脉血管进行暂时阻断,控制出血,避免患者失血过度导致休克、甚至死亡[4,5] 。使用阻断球囊临时封堵或阻断主动脉,可以有效地减缓和或阻止过度的主动脉出血。主动脉破裂术中进行紧急抢救时,可以使用阻断球囊暂时稳定不受控的出血。

在因主动脉损伤需要临时封堵或阻断血流的手术过程中,阻断球囊作为临时辅助器械,帮助医生完成整个手术修复过程,且相关的安全性已通过临床文献论证[6,7]


参考文献(上下滑动阅览):

1.Ohki T, Veith FJ. Endovascular grafts and other image guided catheter based adjuncts to improve the treatment of ruptured aortoiliac aneurysms. Ann Surg 2000;232:466-79. 

2. Veith FJ, Ohki T, Lipsitz EC, Suggs WD, Cynamon J. Endovascular grafts and other catheter-directed techniques in the management of ruptured abdominal aortic aneurysms. Semin Vasc Surg 2003;16:326-31.

3. Dgorova N, Giacovelli J, Greco G, Greco G, Moskowitz A, McKinsey J, et al. National outcomes of treatment of ruptured AAA: comparison of open versus endovascular repair. J Vasc Surg 2008;48:1092-100.

4.Noel AA, Gloviczki P, Cherry KJ, et al. Ruptured abdominal aortic aneurysms: the excessive mortality rate of conventional repair. J Vasc Surg. 2001;34:41-46. 

5. Perez MA, Segura RJ, Sanchez J, et al. Factors increasing the mortality rate for patients with ruptured abdominal aortic aneurysms. Ann Surg. 2001;15:601-607.

6.Isselbacher EM, Preventza O, Hamilton Black J 3rd, et al. 2022 ACC/AHA guideline for the diagnosis and management of aortic disease: a report of the American Heart Association/American College of Cardiology Joint Committee on Clinical Practice Guidelines. J Am Coll Cardiol. 2022;80(24):e223–e393. 

7. Ribeiro Junior MAF, Feng CYD, Nguyen ATM, et al. The complications associated with resuscitative endovascular balloon occlusion of the aorta (REBOA). World J Emerg Surg. 2018;13:20. 





















一、病例基本情况

患者:男性,65岁。

主诉:腹痛7小时。

现病史:患者7小时前无明显诱因出现腹部胀痛不适,以下腹部为主,无发热、恶心、呕吐,无头晕、头痛等特殊不适,因症状持续不缓解,遂来我院急诊就诊,行腹主动脉(下腹部、盆腔段)CTA示:腹主动脉下段,右侧髂总动脉动脉瘤形成,右侧巨大髂总动脉(直径85.0mm*77.1mm)有明显造影剂溢出提示破裂,腹主动脉周围、左侧肾周、左侧腰大肌前缘及骶前积血较前明显增多,于急诊抢救室出现一过性意识丧失、血压下降休克状态,予积极补液后症状好转,现为进一步治疗,急诊以“腹主动夹层动脉瘤;髂动脉巨大动脉瘤破裂”收入院。

体查:体温36.7℃,呼吸18次/分,脉搏109次/分,血压82/53mmHg。

既往史:平素健康状况良好,否认肝炎、结核等传染病史,否认高血压、糖尿病等慢病史、预防接种史不详,否认药物、食物过敏史,否认手术史,否认外伤史,否认输血史,系统查询无特殊。

术前诊断:腹主动脉夹层,髂动脉瘤破裂,失血性休克。


二、术前CTA详解

gore医疗怎么样「漫腹精论」髂合时宜 精益求精——双MOB球囊导管辅助腹主动脉覆膜支架急诊治疗破裂巨大髂动脉瘤_https://www.jmylbn.com_新闻资讯_第5张
gore医疗怎么样「漫腹精论」髂合时宜 精益求精——双MOB球囊导管辅助腹主动脉覆膜支架急诊治疗破裂巨大髂动脉瘤_https://www.jmylbn.com_新闻资讯_第6张
gore医疗怎么样「漫腹精论」髂合时宜 精益求精——双MOB球囊导管辅助腹主动脉覆膜支架急诊治疗破裂巨大髂动脉瘤_https://www.jmylbn.com_新闻资讯_第7张
gore医疗怎么样「漫腹精论」髂合时宜 精益求精——双MOB球囊导管辅助腹主动脉覆膜支架急诊治疗破裂巨大髂动脉瘤_https://www.jmylbn.com_新闻资讯_第8张
gore医疗怎么样「漫腹精论」髂合时宜 精益求精——双MOB球囊导管辅助腹主动脉覆膜支架急诊治疗破裂巨大髂动脉瘤_https://www.jmylbn.com_新闻资讯_第9张
gore医疗怎么样「漫腹精论」髂合时宜 精益求精——双MOB球囊导管辅助腹主动脉覆膜支架急诊治疗破裂巨大髂动脉瘤_https://www.jmylbn.com_新闻资讯_第10张
gore医疗怎么样「漫腹精论」髂合时宜 精益求精——双MOB球囊导管辅助腹主动脉覆膜支架急诊治疗破裂巨大髂动脉瘤_https://www.jmylbn.com_新闻资讯_第11张


三、手术方案选择

患者手术指征明确,腹主动脉夹层合并右侧巨大髂总动脉瘤破裂,决定在使用GORE® 主动脉成型及阻断球囊导管(以下简称“MOB球囊”)对患者主动脉血管进行暂时阻断,控制出血,避免患者失血过度导致休克等等的前提下,使用GORE® EXCLUDER® C3® 腹主动脉覆膜支架(以下简称“C3”),隔绝腹主动脉夹层及右侧髂总动脉瘤,另外准备双侧球囊交换预案,以克服急诊患者潜在的血压难以控制的问题,确保支架精准定位以及释放

结合近远端血管直径及锚定区长度选择:戈尔C3支架主体 RLT231412 ;双侧接髂支,左侧覆盖至髂总远端,保留左侧髂内;右侧覆盖至髂外动脉,配合使用弹簧圈对巨大瘤腔进行填塞。


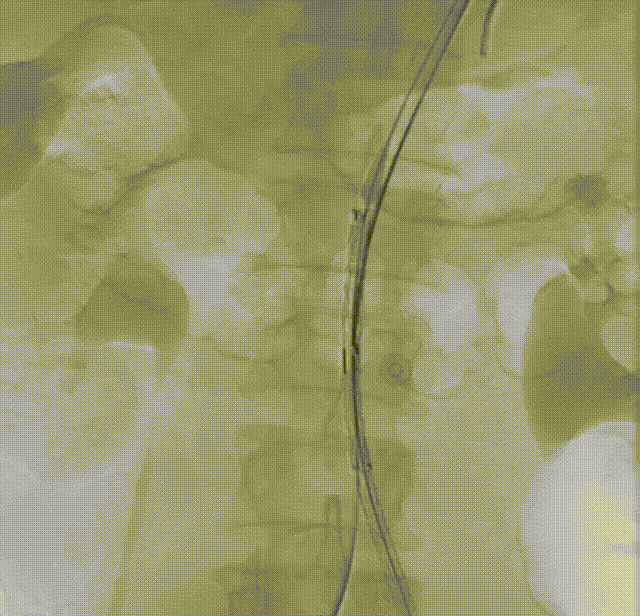
四、手术过程

1. 患者取仰卧位,全麻后双侧腹股沟,左桡消毒铺巾,穿刺左侧股总动脉,置入8Fr血管鞘,预置2把ProGlide缝合器。

2. 经左侧股动脉入路,建立至降主动脉的输送通道,交换导丝,送入MOB球囊,将球囊位置推送至肾动脉以下,充盈球囊,阻断血流。

gore医疗怎么样「漫腹精论」髂合时宜 精益求精——双MOB球囊导管辅助腹主动脉覆膜支架急诊治疗破裂巨大髂动脉瘤_https://www.jmylbn.com_新闻资讯_第12张
gore医疗怎么样「漫腹精论」髂合时宜 精益求精——双MOB球囊导管辅助腹主动脉覆膜支架急诊治疗破裂巨大髂动脉瘤_https://www.jmylbn.com_新闻资讯_第13张

3. 穿刺右侧股总动脉,置入8Fr血管鞘,并预置2把ProGlide缝合器。

gore医疗怎么样「漫腹精论」髂合时宜 精益求精——双MOB球囊导管辅助腹主动脉覆膜支架急诊治疗破裂巨大髂动脉瘤_https://www.jmylbn.com_新闻资讯_第14张


4. 穿刺左桡动脉,经左锁骨下动脉通过,输送导丝及椎管,输送至球囊近端附近,造影确认肾动脉位置。

gore医疗怎么样「漫腹精论」髂合时宜 精益求精——双MOB球囊导管辅助腹主动脉覆膜支架急诊治疗破裂巨大髂动脉瘤_https://www.jmylbn.com_新闻资讯_第15张

5. 经右侧股总送入泥鳅,再通过泥鳅输送另一个MOB球囊在原球囊远端,尝试将近端的球囊回收,同时展开远端球囊,在远端球囊被造影剂完全展开贴合血管壁以前,将原MOB球囊撤出。

gore医疗怎么样「漫腹精论」髂合时宜 精益求精——双MOB球囊导管辅助腹主动脉覆膜支架急诊治疗破裂巨大髂动脉瘤_https://www.jmylbn.com_新闻资讯_第16张
gore医疗怎么样「漫腹精论」髂合时宜 精益求精——双MOB球囊导管辅助腹主动脉覆膜支架急诊治疗破裂巨大髂动脉瘤_https://www.jmylbn.com_新闻资讯_第17张

6.将右侧球囊往上输送至高于肾动脉的位置以留出空间进行支架输送等步骤,因血流湍急,球囊未能实现在理想位置的展开以进行近端血流阻断

7. 重新送入左侧球囊至右侧球囊远端,对右侧球囊内造影剂进行小部分回抽,使左侧球囊通过球囊与血管壁的间隙继续往近端输送,充盈左侧球囊使其部分展开,捏住左侧球囊输送杆,维持左侧球囊位置,降低右侧球囊受到的血流压力。

8. 将右侧球囊继续往近端推动,超过肾动脉以及经左锁骨下动脉预置的造影椎管,充分使球囊充盈阻断血流,此时能实现右侧球囊在高于肾动脉的理想位置固定。

gore医疗怎么样「漫腹精论」髂合时宜 精益求精——双MOB球囊导管辅助腹主动脉覆膜支架急诊治疗破裂巨大髂动脉瘤_https://www.jmylbn.com_新闻资讯_第18张
gore医疗怎么样「漫腹精论」髂合时宜 精益求精——双MOB球囊导管辅助腹主动脉覆膜支架急诊治疗破裂巨大髂动脉瘤_https://www.jmylbn.com_新闻资讯_第19张

9. 随后将左侧球囊回收后进行回撤,直至右侧球囊远端,对右侧球囊内造影剂进行小部分回抽,使左侧球囊顺着导丝通过球囊与血管壁的间隙,继续往远端输送左侧球囊,等左侧球囊顺利通过右侧球囊远端后,立即把右侧球囊充盈,充盈后将左侧球囊完全退出DSF鞘管。

10. 从左侧入路引入C3主体RLT231412后退鞘,做左右腿,确认位置后释放近端主体。

11. 主体释放至短腿后,将MOB球囊回抽,回退至支架近端附近之后保持球囊位置不变,使用C3主体近端回收装置进行主体近端回收,使右侧球囊通过主体近端回收后与血管壁产生的间隙,继续回撤MOB球囊,直至将球囊退出DSF鞘。

gore医疗怎么样「漫腹精论」髂合时宜 精益求精——双MOB球囊导管辅助腹主动脉覆膜支架急诊治疗破裂巨大髂动脉瘤_https://www.jmylbn.com_新闻资讯_第20张
gore医疗怎么样「漫腹精论」髂合时宜 精益求精——双MOB球囊导管辅助腹主动脉覆膜支架急诊治疗破裂巨大髂动脉瘤_https://www.jmylbn.com_新闻资讯_第21张


12. 经右侧导管、导丝超选C3短腿,并使用标记猪尾对桥接腿位置及长度进行确认。

13. 交换Amplatz导丝引入PLC121400,退鞘并释放,后继续引入PLL161007,支架输送至理想位置后,退鞘同时预置释放弹簧圈的导管至髂总瘤腔内,接着释放PLL161007至髂外动脉,完成右侧髂总动脉隔绝。

gore医疗怎么样「漫腹精论」髂合时宜 精益求精——双MOB球囊导管辅助腹主动脉覆膜支架急诊治疗破裂巨大髂动脉瘤_https://www.jmylbn.com_新闻资讯_第22张
gore医疗怎么样「漫腹精论」髂合时宜 精益求精——双MOB球囊导管辅助腹主动脉覆膜支架急诊治疗破裂巨大髂动脉瘤_https://www.jmylbn.com_新闻资讯_第23张

14. 释放C3主体长腿侧,并造影确认髂外桥接长度,随后左侧桥接髂支PLC141400,锚定于左侧髂总远端,进行球囊后扩支架近远端及桥接部位。

gore医疗怎么样「漫腹精论」髂合时宜 精益求精——双MOB球囊导管辅助腹主动脉覆膜支架急诊治疗破裂巨大髂动脉瘤_https://www.jmylbn.com_新闻资讯_第24张


15. 造影确认支架密封效果等等。

16. 因为髂总瘤腔巨大以及右侧髂内未进行栓塞,稳妥起见,经预留导管对右侧髂总进行弹簧圈填塞。

gore医疗怎么样「漫腹精论」髂合时宜 精益求精——双MOB球囊导管辅助腹主动脉覆膜支架急诊治疗破裂巨大髂动脉瘤_https://www.jmylbn.com_新闻资讯_第25张
gore医疗怎么样「漫腹精论」髂合时宜 精益求精——双MOB球囊导管辅助腹主动脉覆膜支架急诊治疗破裂巨大髂动脉瘤_https://www.jmylbn.com_新闻资讯_第26张


17. 后扩后再次进行造影,瘤体未见显影,双侧肾动脉,左侧髂内动脉,双侧髂外动脉通畅,结束手术。

gore医疗怎么样「漫腹精论」髂合时宜 精益求精——双MOB球囊导管辅助腹主动脉覆膜支架急诊治疗破裂巨大髂动脉瘤_https://www.jmylbn.com_新闻资讯_第27张


五、术后随访

患者术后进行随访,支架形态良好,瘤体隔绝良好,分支血管通畅,预后满意。

gore医疗怎么样「漫腹精论」髂合时宜 精益求精——双MOB球囊导管辅助腹主动脉覆膜支架急诊治疗破裂巨大髂动脉瘤_https://www.jmylbn.com_新闻资讯_第28张
gore医疗怎么样「漫腹精论」髂合时宜 精益求精——双MOB球囊导管辅助腹主动脉覆膜支架急诊治疗破裂巨大髂动脉瘤_https://www.jmylbn.com_新闻资讯_第29张
gore医疗怎么样「漫腹精论」髂合时宜 精益求精——双MOB球囊导管辅助腹主动脉覆膜支架急诊治疗破裂巨大髂动脉瘤_https://www.jmylbn.com_新闻资讯_第30张
gore医疗怎么样「漫腹精论」髂合时宜 精益求精——双MOB球囊导管辅助腹主动脉覆膜支架急诊治疗破裂巨大髂动脉瘤_https://www.jmylbn.com_新闻资讯_第31张
gore医疗怎么样「漫腹精论」髂合时宜 精益求精——双MOB球囊导管辅助腹主动脉覆膜支架急诊治疗破裂巨大髂动脉瘤_https://www.jmylbn.com_新闻资讯_第32张
gore医疗怎么样「漫腹精论」髂合时宜 精益求精——双MOB球囊导管辅助腹主动脉覆膜支架急诊治疗破裂巨大髂动脉瘤_https://www.jmylbn.com_新闻资讯_第33张
gore医疗怎么样「漫腹精论」髂合时宜 精益求精——双MOB球囊导管辅助腹主动脉覆膜支架急诊治疗破裂巨大髂动脉瘤_https://www.jmylbn.com_新闻资讯_第34张


六、GORE® MOB主动脉成型及阻断球囊导管

GORE® MOB主动脉成型及阻断球囊导管是一种高顺应性聚亚氨酯球囊导管,该产品适用于暂时性阻断主动脉血管或协助自膨式血管内支架(覆膜支架)扩张。

  • 超细外径10Fr

  • 快速充盈/卸压

  • 覆盖所有腹主范围10-37mm

gore医疗怎么样「漫腹精论」髂合时宜 精益求精——双MOB球囊导管辅助腹主动脉覆膜支架急诊治疗破裂巨大髂动脉瘤_https://www.jmylbn.com_新闻资讯_第35张


上述病例介绍,代表作者的个人观点,仅作为学术交流与术式探讨的目的。关于器械的详细使用说明和适用范围等信息,请参照IFU。


专家介绍

gore医疗怎么样「漫腹精论」髂合时宜 精益求精——双MOB球囊导管辅助腹主动脉覆膜支架急诊治疗破裂巨大髂动脉瘤_https://www.jmylbn.com_新闻资讯_第36张

毛景松 教授

广州医科大学附属清远医院,介入血管外科,医学博士,博士生导师,博士后合作导师,科室主任, 岭南名医。


研究方向为分子影像与肿瘤介入的基础和临床研究,主要从事肿瘤及血管的介入治疗。中国医师协会介入医师分会介入医学工程与生物技术学组委员,桂林市血管介入科副主任委员、广西省抗癌协会介入分会常务委员、广西肿瘤疾病医疗质量控制中心肝癌质控专委会委员、广东省精准医学应用学会VTE分会副主任委员。主持国家基金委自然基金课题1项,中央引导性地区科技发展资金1项,广西自治区自然基金面上项目1项,福建省自然基金面上项目1项,厦门市科技局项目2项。近5年来发表SCI收录论文40多篇,第一作者/通讯作者(含共同)在Radiology、Advanced  Materials、Advanced Fuction Materials、Science Advances、Advanced Science、Theranostics、Journal of Controlled Release、European Journal of Nuclear Medicine and Molecular Imaging等国际学术期刊发表高质量研究论文23篇(总IF>150,最高IF 29)。荣获中国医药教育学会科技进步二等奖1项,福建省医学科技二等奖1项,第九届《中华肿瘤预防杂志》编委审稿人,《中华医学杂志》审稿专家、《肝博士》审稿专家、《现代肿瘤医学》青年编委、《中国CT与MR》青年编委、《中国医学影像杂志》青年编委《Frontiers In Immunology》guest editor。


gore医疗怎么样「漫腹精论」髂合时宜 精益求精——双MOB球囊导管辅助腹主动脉覆膜支架急诊治疗破裂巨大髂动脉瘤_https://www.jmylbn.com_新闻资讯_第37张

吕中元 教授

广州医科大学附属清远医院,医学硕士。毕业于中国医科大学介入放射学专业。现任广西抗癌协会介入治疗专业委员会委员。桂林市血管介入外科学组秘书长,中国老年健康促进会委员。辽宁省细胞生物学会肺癌微创治疗与诊断理事。广东省精准医疗学会静脉栓塞分会委员。临床研究方向为肿瘤及血管性疾病介入治疗。


专业特长:肝脏、肺部、腹腔等各个部位肿瘤介入栓塞,消融治疗,粒子植入治疗。TIPS治疗,下肢静脉疾病,动脉疾病介入腔内治疗。


科室介绍

gore医疗怎么样「漫腹精论」髂合时宜 精益求精——双MOB球囊导管辅助腹主动脉覆膜支架急诊治疗破裂巨大髂动脉瘤_https://www.jmylbn.com_新闻资讯_第38张

广州医科大学附属清远医院介入血管外科是集医疗、科研、教学于一体的综合性介入诊疗中心。

科室构成:由门诊、病房和介入手术室组成。介入手术室共设立6台 DSA 平板机,设备设施完善,将逐步开设 40 张床位,以满足更多患者的需求。

团队实力:该科室由医学博士、博士生导师、中国医师协会介入医师介入医学工程与生物技术学组委员毛景松担任学科带头人。团队成员在原来介入治疗科的基础上进行重整、规划建设了介入血管外科,重视设备、技术、人才、服务等全方位的发展。

业务范围:主要开展肿瘤介入治疗、外周血管介入治疗、创伤介入治疗、血管外科等多个领域的业务。目前已经成功完成了多例高难度的介入手术,包括腹主动脉瘤、腹主动脉假性动脉瘤、髂动脉瘤腔内隔绝术.TIPS 手术等。近期,科室还携手急诊、创伤外科、ICU 等相关科室组建了创伤出血介入快速反应队伍,成功完成了多例出血患者的急诊抢救止血,大幅度提升了创伤出血患者的救治率。

未来规划:继续加强学术交流与合作,不断引进新技术、新设备,推动学科的发展与创新,目标是带动清远地区介入血管外科的发展。



gore医疗怎么样「漫腹精论」髂合时宜 精益求精——双MOB球囊导管辅助腹主动脉覆膜支架急诊治疗破裂巨大髂动脉瘤_https://www.jmylbn.com_新闻资讯_第39张
gore医疗怎么样「漫腹精论」髂合时宜 精益求精——双MOB球囊导管辅助腹主动脉覆膜支架急诊治疗破裂巨大髂动脉瘤_https://www.jmylbn.com_新闻资讯_第39张
gore医疗怎么样「漫腹精论」髂合时宜 精益求精——双MOB球囊导管辅助腹主动脉覆膜支架急诊治疗破裂巨大髂动脉瘤_https://www.jmylbn.com_新闻资讯_第39张

病例征集

如您有相类似的病例,或者希望与术者做进一步的交流,欢迎您将您的联系方式发送至aaa_case@163.com。谢谢!

版权声明:本资讯旨在帮助医疗卫生专业人士更好地了解相关疾病领域最新进展。资讯内容,并不代表同意其描述和观点,仅为提供更多信息。若涉及版权问题,烦请权利人与我们联系,我们将尽快处理。仅供医疗卫生专业人士为了解资讯使用,该等信息不能以任何方式取代专业的医疗指导,也不应被视为诊疗建议。如该等信息被用于了解资讯以外的目的,本平台及作者不承担相关责任。



版权声明:本平台旨在帮助医疗卫生专业人士更好地了解相关疾病领域最新进展。本平台对发布的资讯内容,并不代表同意其描述和观点,仅为提供更多信息。若涉及版权问题,烦请权利人与我们联系,我们将尽快处理。仅供医疗卫生专业人士为了解资讯使用,该等信息不能以任何方式取代专业的医疗指导,也不应被视为诊疗建议。如该等信息被用于了解资讯以外的目的,本平台及作者不承担相关责任。合作联系邮箱:vascular@edoctor.cn。

gore医疗怎么样「漫腹精论」髂合时宜 精益求精——双MOB球囊导管辅助腹主动脉覆膜支架急诊治疗破裂巨大髂动脉瘤_https://www.jmylbn.com_新闻资讯_第42张