gore医疗怎么样「漫腹精论」独具匠心 推陈出新——同侧IBE支架内翻山重建髂内动脉治疗EVAR术后内漏病例报道

新闻资讯2026-04-20 23:42:37
gore医疗怎么样「漫腹精论」独具匠心 推陈出新——同侧IBE支架内翻山重建髂内动脉治疗EVAR术后内漏病例报道_https://www.jmylbn.com_新闻资讯_第1张

本期看点

  • EVAR术后5年,左髂Ib型内漏,原腹主支架内翻山重建髂内风险较大,且同时弓上血管病变累及,不宜上肢入路,如何选择入路重建髂内?

  • 二期修复如何规避产品工作距离影响,使用IBE支架搭配IBE髂内分支支架完成重建?

  • 该患者同时合并SMA-Riolans-IMA II内漏,山高路远,如何应对?

*本病例仅供医学专业人士阅读参考

gore医疗怎么样「漫腹精论」独具匠心 推陈出新——同侧IBE支架内翻山重建髂内动脉治疗EVAR术后内漏病例报道_https://www.jmylbn.com_新闻资讯_第2张


主席寄语


gore医疗怎么样「漫腹精论」独具匠心 推陈出新——同侧IBE支架内翻山重建髂内动脉治疗EVAR术后内漏病例报道_https://www.jmylbn.com_新闻资讯_第3张

尊敬的各位同道,大家好! 随着血管腔内治疗的普及和患者接受程度的日益增高,腹主动脉瘤腔内治疗(EVAR)已在全国诸多省市医院陆续开展。为继续规范血管腔内诊疗,推动医生技术交流和经验分享,血管资讯平台将于2021年1月起每月两期陆续推出腹主动脉瘤腔内治疗优秀病例展示,旨在增进相互学习,了解不同病例治疗策略制定及思考,手术过程及术中应急处理等,提供更多的经验分享。每期病例有难点有亮点有总结,以期共同探讨,博采众长,不断提升治疗及操作水平。


EVAR操作看似简单,其实每个病例均各有千秋,为达到良好的手术治疗结果,术前术中有很多细节需要考虑,同时,术后随访对病人预后也有很重要的作用。希望通过病例展示交流的形式,使更多医生手术后能对病例及时复盘,整理,总结,提高,不仅对个人经验的积累有帮助,并可以通过这种形式相互借鉴和成长。


希望本次活动能有更多病例参与展示,使腹主动脉瘤腔内治疗愈加规范、严谨,使更多患者受益。谢谢!    

gore医疗怎么样「漫腹精论」独具匠心 推陈出新——同侧IBE支架内翻山重建髂内动脉治疗EVAR术后内漏病例报道_https://www.jmylbn.com_新闻资讯_第4张

2020年12月31日


独具匠心 推陈出新

同侧IBE支架内翻山重建髂内动脉

治疗EVAR术后内漏病例报道

复旦大学附属中山医院 血管外科

符伟国 蒋俊豪 林长泼

gore医疗怎么样「漫腹精论」独具匠心 推陈出新——同侧IBE支架内翻山重建髂内动脉治疗EVAR术后内漏病例报道_https://www.jmylbn.com_新闻资讯_第5张

一、病例基本情况

患者68岁,女性,5年于外院行腹主动脉瘤覆膜支架腔内修复术。5月前患者自觉背痛,于当地医院行CTA检查:符合腹主动脉及双侧髂总动脉支架置入术后。考虑左侧髂总动脉局部内漏并双侧髂总动脉水平壁间血肿可能。


二、术前CTA

术前主动脉CTA提示:左侧髂总动脉瘤样扩张,支架外见造影剂显影,瘤体内IMA开口水平亦可见造影剂显影,考虑左髂Ib型内漏合并IMA来源II型内漏可能。

gore医疗怎么样「漫腹精论」独具匠心 推陈出新——同侧IBE支架内翻山重建髂内动脉治疗EVAR术后内漏病例报道_https://www.jmylbn.com_新闻资讯_第6张

术前CTA

gore医疗怎么样「漫腹精论」独具匠心 推陈出新——同侧IBE支架内翻山重建髂内动脉治疗EVAR术后内漏病例报道_https://www.jmylbn.com_新闻资讯_第7张

术前3D重建


术前测量评估:

gore医疗怎么样「漫腹精论」独具匠心 推陈出新——同侧IBE支架内翻山重建髂内动脉治疗EVAR术后内漏病例报道_https://www.jmylbn.com_新闻资讯_第8张
gore医疗怎么样「漫腹精论」独具匠心 推陈出新——同侧IBE支架内翻山重建髂内动脉治疗EVAR术后内漏病例报道_https://www.jmylbn.com_新闻资讯_第9张


三、手术过程

患者全麻满意后,穿刺左股动脉,置5F导管鞘。左侧泥鳅导丝配合标记猪尾导管至腹主动脉上段造影:双侧肾动脉显影,腹主动脉内支架在位通畅,近端未见明显内漏,右侧髂总动脉支架在位,未见明显造影剂外渗,右侧髂内动脉未见显影;左侧髂总动脉支架远端瘤样扩张,大小约3.0cm*2.5cm,可见支架外造影剂外渗,考虑Ib型内漏可能,左侧髂内动脉开口处稍狭窄。

gore医疗怎么样「漫腹精论」独具匠心 推陈出新——同侧IBE支架内翻山重建髂内动脉治疗EVAR术后内漏病例报道_https://www.jmylbn.com_新闻资讯_第10张


导入cobra导管配合泥鳅导丝选入肠系膜上动脉,造影:肠系膜上动脉稍扩张,肠系膜下动脉经Riolan弓显影,并可见造影剂经肠系膜起始部反流至瘤腔,考虑II型内漏,遂决定栓塞肠系膜下动脉。微导管配合微导丝超选入肠系膜下动脉内,先后植入数枚可控弹簧圈栓塞内漏瘤腔及IMA起始部。造影:肠系膜下动脉栓塞满意,至延迟相IMA起始部及动脉瘤腔均未见显影。

gore医疗怎么样「漫腹精论」独具匠心 推陈出新——同侧IBE支架内翻山重建髂内动脉治疗EVAR术后内漏病例报道_https://www.jmylbn.com_新闻资讯_第11张

肠系膜下造影

gore医疗怎么样「漫腹精论」独具匠心 推陈出新——同侧IBE支架内翻山重建髂内动脉治疗EVAR术后内漏病例报道_https://www.jmylbn.com_新闻资讯_第12张

肠系膜下栓塞后造影


接下来处理左髂Ib型内漏,拟采用IBE支架内同侧翻山完成修复。于左股动脉内预置两把Proglide后,交换Amplatze导丝及GORE 20Fr鞘。沿导丝导入GORE腹主动脉覆膜血管内支架主体(PLC201000,16mm-20mm-95mm),近端支架覆膜部分重叠原左侧髂动脉分支释放。

gore医疗怎么样「漫腹精论」独具匠心 推陈出新——同侧IBE支架内翻山重建髂内动脉治疗EVAR术后内漏病例报道_https://www.jmylbn.com_新闻资讯_第13张

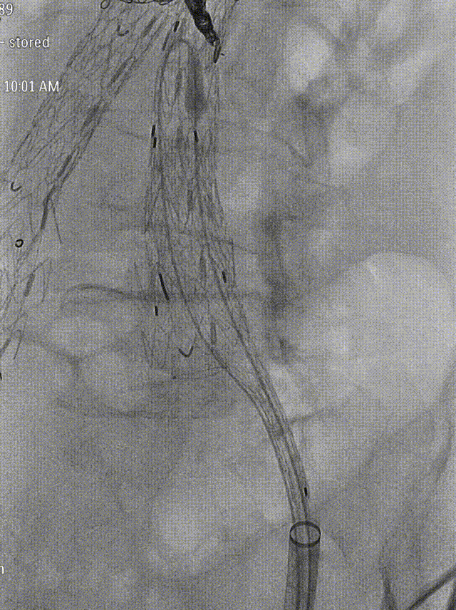
释放髂支


保留Amplatz导丝,于体外将260cm软泥鳅导丝置入GORE髂动脉分支型覆膜血管内支架CEB231010(23mm-10mm-100mm)中,形成牵张通道,沿GORE 20Fr鞘植入IBE主体支架,退鞘至短腿下方,于目标位置释放至短腿打开,再次退鞘至长腿远端,释放IBE主体支架长腿。

gore医疗怎么样「漫腹精论」独具匠心 推陈出新——同侧IBE支架内翻山重建髂内动脉治疗EVAR术后内漏病例报道_https://www.jmylbn.com_新闻资讯_第14张

释放IBE主体到短腿

gore医疗怎么样「漫腹精论」独具匠心 推陈出新——同侧IBE支架内翻山重建髂内动脉治疗EVAR术后内漏病例报道_https://www.jmylbn.com_新闻资讯_第15张

释放IBE主体到长腿


将20Fr鞘沿泥鳅导丝硬头端送至IBE主体支架分叉处,再导入GORE DSF1245鞘经20Fr鞘沿泥鳅导丝翻山至短腿开口。

gore医疗怎么样「漫腹精论」独具匠心 推陈出新——同侧IBE支架内翻山重建髂内动脉治疗EVAR术后内漏病例报道_https://www.jmylbn.com_新闻资讯_第16张

翻山至IBE短腿开口

gore医疗怎么样「漫腹精论」独具匠心 推陈出新——同侧IBE支架内翻山重建髂内动脉治疗EVAR术后内漏病例报道_https://www.jmylbn.com_新闻资讯_第15张

释放IBE主体到长腿


导丝配合导管沿DSF1245鞘选至髂内远端,交换Amplatz导丝,植入GORE髂内分支支架HGB161207(16mm-12mm-70mm),退鞘,手推造影确认位置后释放。髂外动脉起始段及髂内动脉中段见受压。导入球囊(8mm*40mm)扩张髂内动脉狭窄处,并予以CODA球囊扩张髂外动脉起始段狭窄处。

gore医疗怎么样「漫腹精论」独具匠心 推陈出新——同侧IBE支架内翻山重建髂内动脉治疗EVAR术后内漏病例报道_https://www.jmylbn.com_新闻资讯_第18张

植入髂内分支

gore医疗怎么样「漫腹精论」独具匠心 推陈出新——同侧IBE支架内翻山重建髂内动脉治疗EVAR术后内漏病例报道_https://www.jmylbn.com_新闻资讯_第19张

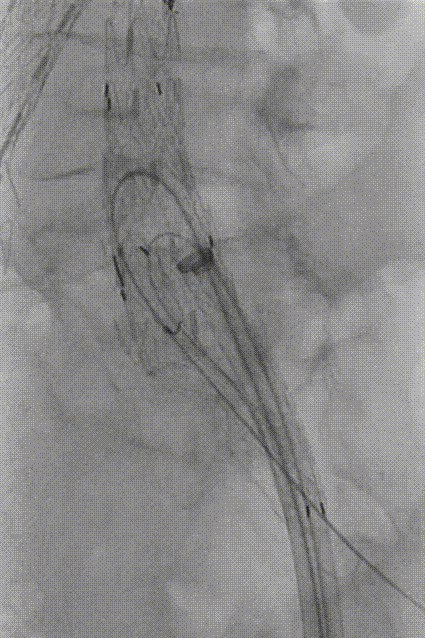
释放髂内分支

gore医疗怎么样「漫腹精论」独具匠心 推陈出新——同侧IBE支架内翻山重建髂内动脉治疗EVAR术后内漏病例报道_https://www.jmylbn.com_新闻资讯_第20张

球囊扩张


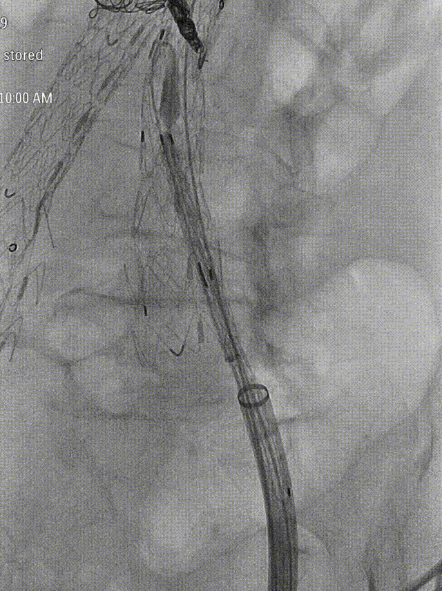
造影:支架定位准确,形态良好,未见明显受压。双侧肾动脉显影同前,原主动脉及双侧髂动脉血流通畅,至延迟相瘤腔内未见明显内漏,左侧髂内动脉显影可。

gore医疗怎么样「漫腹精论」独具匠心 推陈出新——同侧IBE支架内翻山重建髂内动脉治疗EVAR术后内漏病例报道_https://www.jmylbn.com_新闻资讯_第21张

术后造影

gore医疗怎么样「漫腹精论」独具匠心 推陈出新——同侧IBE支架内翻山重建髂内动脉治疗EVAR术后内漏病例报道_https://www.jmylbn.com_新闻资讯_第22张

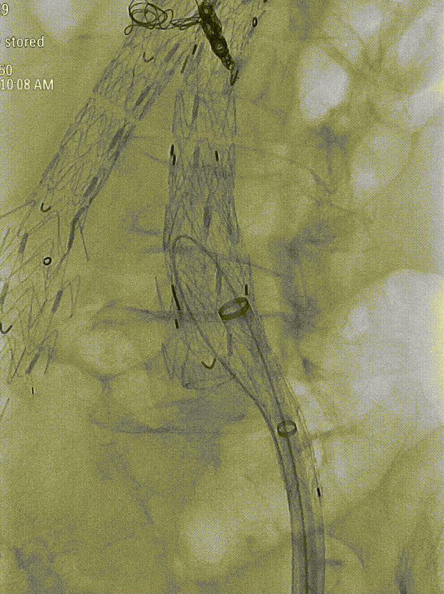
术后髂动脉造影


四、术者体会

EVAR已成为腹主动脉瘤的主流治疗方式。随着时间的推移,EVAR术后内漏返修的比率也越来越高。有数据表明,EVAR术后内漏的发生率可达25-50%。其中II型内漏最为常见,高达10-25%,I型内漏的发生率则最高可达10%。本例患者EVAR术后发生Ib型合并II型内漏。这其中II型内漏源自SMA-Riolans-IMA。改型内漏路途遥远,超选及跟进导管导丝至靶病变血管均十分困难。此时应该将cobra导管尽力跟进至路径远端,增加通路稳定性并提供足够支撑,再导入微导丝配合微导管可顺利超选入IMA开口内。IMA栓塞选用弹簧圈或结合打胶可取得满意效果,但需注意避免Riolans弓至IMA远端的代偿通路。

该例患者EVAR术后还合并髂动脉远端Ib型漏,考虑右侧髂内动脉已经栓塞,故需保留左侧髂内动脉。EVAR术后重建髂内常用的手术方法有:1.上肢入路重建髂内动脉;2.腹主支架内翻山重建对侧髂内动脉;3.同侧IBE支架内翻山重建髂内动脉。本例患者弓上溃疡,上肢入路易引发颅内并发症,并且该患者距离上次EVAR手术已有5年,腹主支架内不宜过多操作,遂选择IBE支架内翻山,避免弓上操作,且减少对原有腹主支架的影响。

以往IBE支架内翻山,考虑工作距离限制,髂内分支优先选择VBX或Viabahn。本例患者尝试使用IBE髂内支HGB重建髂内,经GORE DSF2033鞘输送IBE主体支架并完全释放。然后再通过IBE长腿内将DSF2033鞘送至IBE主体支架分叉处,一方面解决了输送距离的问题,另一方面长鞘高度的上升,术者在DSF2033鞘内更易推送DSF1245 鞘翻山,进而髂内分支也更易输送至目标位置。从而能够仅通过一个股动脉穿刺点,更为经济、安全、有效的完成IBE髂内重建, 顺利解决患者内漏顽疾。

上述病例介绍,代表作者的个人观点,仅作为学术交流与术式探讨的目的。关于器械的详细使用说明和适用范围等信息,请参照IFU。


专家介绍

gore医疗怎么样「漫腹精论」独具匠心 推陈出新——同侧IBE支架内翻山重建髂内动脉治疗EVAR术后内漏病例报道_https://www.jmylbn.com_新闻资讯_第23张

蒋俊豪 教授

复旦大学附属中山医院血管外科副主任医师,副教授,医学博士,硕士研究生导师。中国医师协会外科医师分会血管外科医师委员会委员,中国医师协会腔内血管学专业委员会主动脉瘤专家委员会委员 上海市医学会血管外科专委会委员。


gore医疗怎么样「漫腹精论」独具匠心 推陈出新——同侧IBE支架内翻山重建髂内动脉治疗EVAR术后内漏病例报道_https://www.jmylbn.com_新闻资讯_第24张

林长泼教授

复旦大学附属中山医院血管外科主治医师,博士。本科毕业于华中科技大学同济医学院,博士毕业于复旦大学上海医学院。长期从事周围血管疾病相关的临床与基础研究,擅长各类腔内及开放手术治疗。主持国家自然科学基金青年基金一项。入选上海市青年科技英才“扬帆计划”,中山医院优秀青年计划。以第一作者或通讯作者在ATVB、JVS等杂志发表SCI论文12篇,中文核心期刊数篇,专利转化2项,参编专著4部。担任数家SCI杂志审稿人。


科室介绍

复旦大学中山医院血管外科

复旦大学中山医院血管外科由我国血管外科奠基人冯友贤教授于上世纪六十年代创立,在国内最早开展血管疾病诊疗。先后成立了国内首个独立的血管外科、血管外科研究所和腔内血管外科手术室。此后在中山医院前院长、中华医学会外科学分会血管外科学组组长王玉琦教授、现任血管外科主任和复旦大学血管外科研究所所长符伟国教授和副所长郭大乔教授的带领下,血管外科取得了长足的发展。



gore医疗怎么样「漫腹精论」独具匠心 推陈出新——同侧IBE支架内翻山重建髂内动脉治疗EVAR术后内漏病例报道_https://www.jmylbn.com_新闻资讯_第25张
gore医疗怎么样「漫腹精论」独具匠心 推陈出新——同侧IBE支架内翻山重建髂内动脉治疗EVAR术后内漏病例报道_https://www.jmylbn.com_新闻资讯_第25张
gore医疗怎么样「漫腹精论」独具匠心 推陈出新——同侧IBE支架内翻山重建髂内动脉治疗EVAR术后内漏病例报道_https://www.jmylbn.com_新闻资讯_第25张

病例征集

如您有相类似的病例,或者希望与术者做进一步的交流,欢迎您将您的联系方式发送至aaa_case@163.com。谢谢!

版权声明:本资讯旨在帮助医疗卫生专业人士更好地了解相关疾病领域最新进展。资讯内容,并不代表同意其描述和观点,仅为提供更多信息。若涉及版权问题,烦请权利人与我们联系,我们将尽快处理。仅供医疗卫生专业人士为了解资讯使用,该等信息不能以任何方式取代专业的医疗指导,也不应被视为诊疗建议。如该等信息被用于了解资讯以外的目的,本平台及作者不承担相关责任。


版权声明:本平台旨在帮助医疗卫生专业人士更好地了解相关疾病领域最新进展。本平台对发布的资讯内容,并不代表同意其描述和观点,仅为提供更多信息。若涉及版权问题,烦请权利人与我们联系,我们将尽快处理。仅供医疗卫生专业人士为了解资讯使用,该等信息不能以任何方式取代专业的医疗指导,也不应被视为诊疗建议。如该等信息被用于了解资讯以外的目的,本平台及作者不承担相关责任。合作联系邮箱:vascular@edoctor.work。

gore医疗怎么样「漫腹精论」独具匠心 推陈出新——同侧IBE支架内翻山重建髂内动脉治疗EVAR术后内漏病例报道_https://www.jmylbn.com_新闻资讯_第28张