gore医疗怎么样「漫腹精论」双股动脉入路,纯腔内保双髂——GORE® EXCLUDER® 髂动脉分支型覆膜支架(IBE)治疗双侧髂总动脉

新闻资讯2026-04-20 23:42:35

本期看点

  • 右侧髂总动脉全程动脉瘤伴附壁血栓形成,如何保髂?

  • 双侧IBE植入需注意哪些操作细节预防内漏发生?


gore医疗怎么样「漫腹精论」双股动脉入路,纯腔内保双髂——GORE® EXCLUDER® 髂动脉分支型覆膜支架(IBE)治疗双侧髂总动脉_https://www.jmylbn.com_新闻资讯_第1张


主席寄语


gore医疗怎么样「漫腹精论」双股动脉入路,纯腔内保双髂——GORE® EXCLUDER® 髂动脉分支型覆膜支架(IBE)治疗双侧髂总动脉_https://www.jmylbn.com_新闻资讯_第2张

尊敬的各位同道,大家好!随着血管腔内治疗的普及和患者接受程度的日益增高,腹主动脉瘤腔内治疗(EVAR)已在全国诸多省市医院陆续开展。为继续规范血管腔内诊疗,推动医生技术交流和经验分享,血管资讯平台将于2021年1月起每月两期陆续推出腹主动脉瘤腔内治疗优秀病例展示,旨在增进相互学习,了解不同病例治疗策略制定及思考,手术过程及术中应急处理等,提供更多的经验分享。每期病例有难点有亮点有总结,以期共同探讨,博采众长,不断提升治疗及操作水平。


EVAR操作看似简单,其实每个病例均各有千秋,为达到良好的手术治疗结果,术前术中有很多细节需要考虑,同时,术后随访对病人预后也有很重要的作用。希望通过病例展示交流的形式,使更多医生手术后能对病例及时复盘,整理,总结,提高,不仅对个人经验的积累有帮助,并可以通过这种形式相互借鉴和成长。


希望本次活动能有更多病例参与展示,使腹主动脉瘤腔内治疗愈加规范、严谨,使更多患者受益。谢谢!    

gore医疗怎么样「漫腹精论」双股动脉入路,纯腔内保双髂——GORE® EXCLUDER® 髂动脉分支型覆膜支架(IBE)治疗双侧髂总动脉_https://www.jmylbn.com_新闻资讯_第3张

2020年12月31日


双股动脉入路,纯腔内保双髂

GORE®EXCLUDER®髂动脉分支型覆膜支架(IBE)

治疗双侧髂总动脉瘤

云南大学附属医院

万嘉 侯毅

gore医疗怎么样「漫腹精论」双股动脉入路,纯腔内保双髂——GORE® EXCLUDER® 髂动脉分支型覆膜支架(IBE)治疗双侧髂总动脉_https://www.jmylbn.com_新闻资讯_第4张


一、基本情况

男性患者,65Y


入院诊断:

  1. 右侧髂总动脉全程动脉瘤伴附壁血栓形成;

  2. 腹主动脉、腹腔干起始处、肠系膜下动脉起始处、双肾动脉起始处、髂总动脉及分支多发钙化、混合斑块、病变管腔轻度狭窄。


二、术前CT数据

患者入院后行CTA检查,CTA提示患者双侧巨大髂总动脉瘤,腹主动脉分叉以上血管直径正常。

gore医疗怎么样「漫腹精论」双股动脉入路,纯腔内保双髂——GORE® EXCLUDER® 髂动脉分支型覆膜支架(IBE)治疗双侧髂总动脉_https://www.jmylbn.com_新闻资讯_第5张
gore医疗怎么样「漫腹精论」双股动脉入路,纯腔内保双髂——GORE® EXCLUDER® 髂动脉分支型覆膜支架(IBE)治疗双侧髂总动脉_https://www.jmylbn.com_新闻资讯_第6张
gore医疗怎么样「漫腹精论」双股动脉入路,纯腔内保双髂——GORE® EXCLUDER® 髂动脉分支型覆膜支架(IBE)治疗双侧髂总动脉_https://www.jmylbn.com_新闻资讯_第7张


双侧IBE植入对肾下倒髂内开口距离要求:

  • 对侧要求>=165mm

  • 同侧要求>=195mm

gore医疗怎么样「漫腹精论」双股动脉入路,纯腔内保双髂——GORE® EXCLUDER® 髂动脉分支型覆膜支架(IBE)治疗双侧髂总动脉_https://www.jmylbn.com_新闻资讯_第8张
gore医疗怎么样「漫腹精论」双股动脉入路,纯腔内保双髂——GORE® EXCLUDER® 髂动脉分支型覆膜支架(IBE)治疗双侧髂总动脉_https://www.jmylbn.com_新闻资讯_第9张


三、手术难点&手术方案

手术难点:右侧髂总动脉扩张严重且血栓较厚,在IBE植入时存在超选髂内动脉困难的情况。


解决方案:利用右侧髂内动脉较长的特点,先适当高放IBE主体,释放短腿超选入髂内之后再往下调整IBE主体至合适的位置。

gore医疗怎么样「漫腹精论」双股动脉入路,纯腔内保双髂——GORE® EXCLUDER® 髂动脉分支型覆膜支架(IBE)治疗双侧髂总动脉_https://www.jmylbn.com_新闻资讯_第10张


手术方案:

gore医疗怎么样「漫腹精论」双股动脉入路,纯腔内保双髂——GORE® EXCLUDER® 髂动脉分支型覆膜支架(IBE)治疗双侧髂总动脉_https://www.jmylbn.com_新闻资讯_第11张


四、手术过程

栓塞肠系膜下动脉

左侧股动脉入路,使用单弯导管配合泥鳅导丝超选肠系膜下动脉,更换支撑导管进入肠系膜下动脉之后,弹簧圈栓塞;

gore医疗怎么样「漫腹精论」双股动脉入路,纯腔内保双髂——GORE® EXCLUDER® 髂动脉分支型覆膜支架(IBE)治疗双侧髂总动脉_https://www.jmylbn.com_新闻资讯_第12张


支架植入前造影

双侧股动脉入路,左侧置入18Fr 33cm GORE® DrySeal 亲水涂层导引鞘(以下简称“DSF导引鞘”),右侧置入12Fr 45cm DSF导引鞘;建立翻山通路后将标记猪尾导管头端置于肾动脉开口上方,做腹主动脉造影:显影显示双侧髂总动脉瘤;肾动脉开口到右髂内距离约200mm。

gore医疗怎么样「漫腹精论」双股动脉入路,纯腔内保双髂——GORE® EXCLUDER® 髂动脉分支型覆膜支架(IBE)治疗双侧髂总动脉_https://www.jmylbn.com_新闻资讯_第13张


植入左侧IBE

先植入左侧IBE,顺着左侧硬导丝及牵张导丝,将IBE主体推送至左髂总位置;


需要注意:

  • IBE主体短腿开口须位于髂内开口上方;

  • 调整IBE主体短腿侧朝向髂内开口;

  • 解缠绕避免翻山导丝缠绕导致髂内支架植入受阻(牵张导丝与IBE主体输送杆呈V型即可)。

gore医疗怎么样「漫腹精论」双股动脉入路,纯腔内保双髂——GORE® EXCLUDER® 髂动脉分支型覆膜支架(IBE)治疗双侧髂总动脉_https://www.jmylbn.com_新闻资讯_第14张


释放IBE主体至小短腿弹出;

gore医疗怎么样「漫腹精论」双股动脉入路,纯腔内保双髂——GORE® EXCLUDER® 髂动脉分支型覆膜支架(IBE)治疗双侧髂总动脉_https://www.jmylbn.com_新闻资讯_第15张


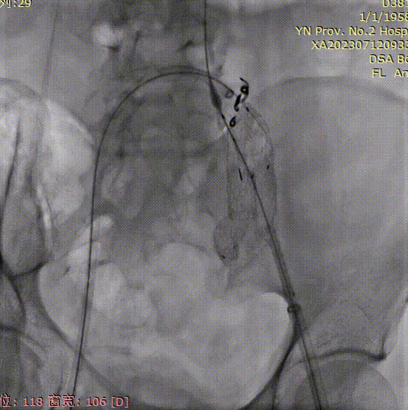
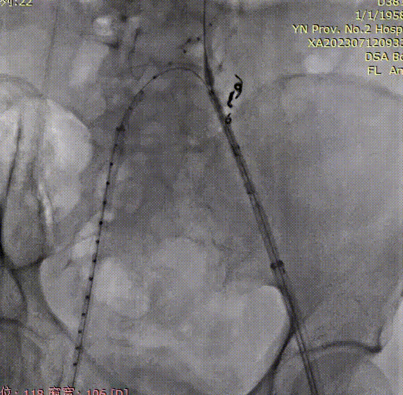
从右侧顺着牵张导丝,将戈尔DSF1245 导引鞘(翻山鞘)推送至左侧IBE主体短腿内,接下来超选髂内,建立髂内通路植入髂内支架;

gore医疗怎么样「漫腹精论」双股动脉入路,纯腔内保双髂——GORE® EXCLUDER® 髂动脉分支型覆膜支架(IBE)治疗双侧髂总动脉_https://www.jmylbn.com_新闻资讯_第16张


导管内手推造影,确认左髂内超选成功;

gore医疗怎么样「漫腹精论」双股动脉入路,纯腔内保双髂——GORE® EXCLUDER® 髂动脉分支型覆膜支架(IBE)治疗双侧髂总动脉_https://www.jmylbn.com_新闻资讯_第17张


植入左髂内支架;

gore医疗怎么样「漫腹精论」双股动脉入路,纯腔内保双髂——GORE® EXCLUDER® 髂动脉分支型覆膜支架(IBE)治疗双侧髂总动脉_https://www.jmylbn.com_新闻资讯_第18张


Coda® 球囊贴附IBE短腿接腿处;

gore医疗怎么样「漫腹精论」双股动脉入路,纯腔内保双髂——GORE® EXCLUDER® 髂动脉分支型覆膜支架(IBE)治疗双侧髂总动脉_https://www.jmylbn.com_新闻资讯_第19张


释放IBE主体长腿

gore医疗怎么样「漫腹精论」双股动脉入路,纯腔内保双髂——GORE® EXCLUDER® 髂动脉分支型覆膜支架(IBE)治疗双侧髂总动脉_https://www.jmylbn.com_新闻资讯_第20张


准备植入右侧IBE

完成左侧IBE植入,准备植入右侧IBE:

  1. 从右侧回撤牵张导丝及撤出DSF1245并置换DSF1833导引鞘;

  2. 左侧将DSF1833置换为DSF1245导引鞘;

  3. 重新建立牵张导丝。

gore医疗怎么样「漫腹精论」双股动脉入路,纯腔内保双髂——GORE® EXCLUDER® 髂动脉分支型覆膜支架(IBE)治疗双侧髂总动脉_https://www.jmylbn.com_新闻资讯_第21张


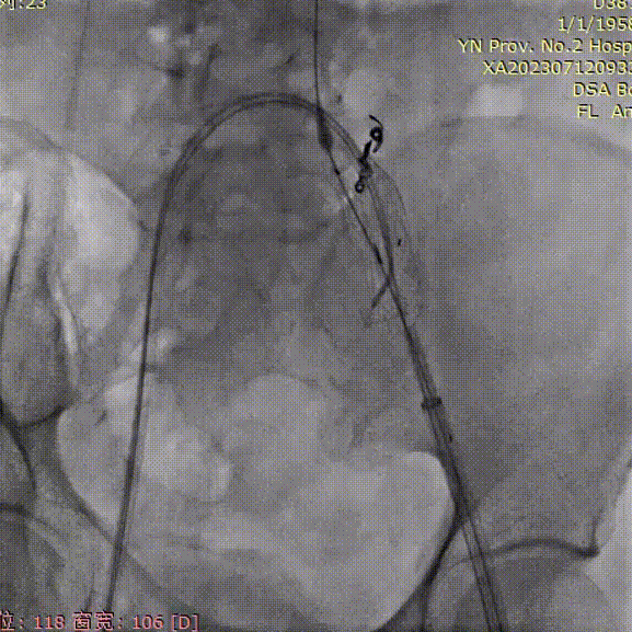
植入右侧IBE

右髂总动脉血栓较厚,造影观察无法明确髂内动脉开口位置,因此需要将IBE主体高放:

  1. 顺着右侧硬导丝及牵张导丝,将IBE主体推送至右髂总位置;

  2. 解缠绕后用“黄金圈”对准髂内开口方向并适当高放;

  3. 超选右侧髂内动脉。

gore医疗怎么样「漫腹精论」双股动脉入路,纯腔内保双髂——GORE® EXCLUDER® 髂动脉分支型覆膜支架(IBE)治疗双侧髂总动脉_https://www.jmylbn.com_新闻资讯_第22张


导管内手推造影,确认右髂内超选成功;

gore医疗怎么样「漫腹精论」双股动脉入路,纯腔内保双髂——GORE® EXCLUDER® 髂动脉分支型覆膜支架(IBE)治疗双侧髂总动脉_https://www.jmylbn.com_新闻资讯_第23张


右髂内支架通过IBE短腿后,整体往下拉IBE,将IBE短腿拉至右髂内动脉开口上方;

gore医疗怎么样「漫腹精论」双股动脉入路,纯腔内保双髂——GORE® EXCLUDER® 髂动脉分支型覆膜支架(IBE)治疗双侧髂总动脉_https://www.jmylbn.com_新闻资讯_第24张


植入第一个右髂内支架;

gore医疗怎么样「漫腹精论」双股动脉入路,纯腔内保双髂——GORE® EXCLUDER® 髂动脉分支型覆膜支架(IBE)治疗双侧髂总动脉_https://www.jmylbn.com_新闻资讯_第25张


植入第二个右髂内支架;

gore医疗怎么样「漫腹精论」双股动脉入路,纯腔内保双髂——GORE® EXCLUDER® 髂动脉分支型覆膜支架(IBE)治疗双侧髂总动脉_https://www.jmylbn.com_新闻资讯_第26张


使用Coda® 球囊依次扩张贴附接腿处;

gore医疗怎么样「漫腹精论」双股动脉入路,纯腔内保双髂——GORE® EXCLUDER® 髂动脉分支型覆膜支架(IBE)治疗双侧髂总动脉_https://www.jmylbn.com_新闻资讯_第27张


释放IBE主体长腿;

gore医疗怎么样「漫腹精论」双股动脉入路,纯腔内保双髂——GORE® EXCLUDER® 髂动脉分支型覆膜支架(IBE)治疗双侧髂总动脉_https://www.jmylbn.com_新闻资讯_第28张


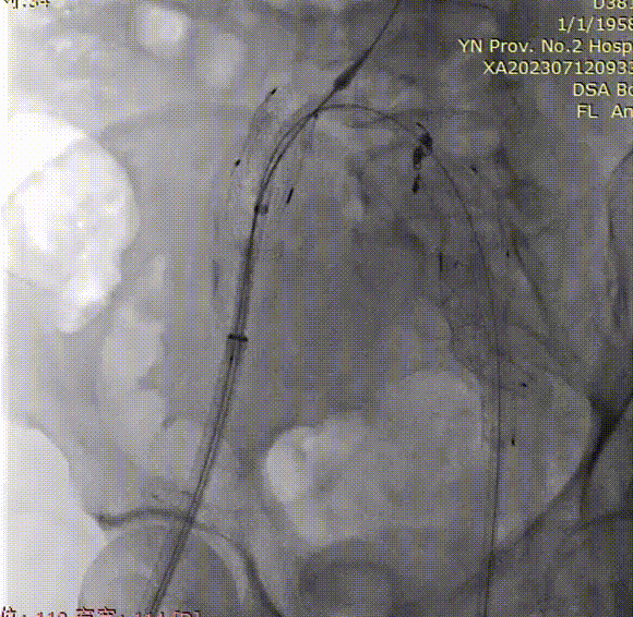
左侧更换DSF1833导引鞘,右侧将DSF导引鞘推送至IBE支架上方,为后续支架植入做准备。

gore医疗怎么样「漫腹精论」双股动脉入路,纯腔内保双髂——GORE® EXCLUDER® 髂动脉分支型覆膜支架(IBE)治疗双侧髂总动脉_https://www.jmylbn.com_新闻资讯_第29张


植入腹主动脉主体支架

完成双侧IBE植入后,按术前计划,从右侧送入腹主动脉主体支架。

  • 造影确认主体支架植入位置;

  • 释放主体支架至短腿弹出。

gore医疗怎么样「漫腹精论」双股动脉入路,纯腔内保双髂——GORE® EXCLUDER® 髂动脉分支型覆膜支架(IBE)治疗双侧髂总动脉_https://www.jmylbn.com_新闻资讯_第30张
gore医疗怎么样「漫腹精论」双股动脉入路,纯腔内保双髂——GORE® EXCLUDER® 髂动脉分支型覆膜支架(IBE)治疗双侧髂总动脉_https://www.jmylbn.com_新闻资讯_第31张


植入左侧IBE桥接支架

完成左侧IBE桥接支架后,使用Coda® 球囊分别对主体近端、短腿接腿处、喇叭腿与IBE连接处、IBE长腿远端进行扩张贴附。

gore医疗怎么样「漫腹精论」双股动脉入路,纯腔内保双髂——GORE® EXCLUDER® 髂动脉分支型覆膜支架(IBE)治疗双侧髂总动脉_https://www.jmylbn.com_新闻资讯_第32张
gore医疗怎么样「漫腹精论」双股动脉入路,纯腔内保双髂——GORE® EXCLUDER® 髂动脉分支型覆膜支架(IBE)治疗双侧髂总动脉_https://www.jmylbn.com_新闻资讯_第33张


释放腹主动脉主体支架长腿侧

gore医疗怎么样「漫腹精论」双股动脉入路,纯腔内保双髂——GORE® EXCLUDER® 髂动脉分支型覆膜支架(IBE)治疗双侧髂总动脉_https://www.jmylbn.com_新闻资讯_第34张


植入右侧IBE桥接支架

完成右侧IBE桥接支架后,使用Coda® 球囊分别对长腿接腿处、喇叭腿与IBE连接处、IBE长腿远端进行扩张贴附。

gore医疗怎么样「漫腹精论」双股动脉入路,纯腔内保双髂——GORE® EXCLUDER® 髂动脉分支型覆膜支架(IBE)治疗双侧髂总动脉_https://www.jmylbn.com_新闻资讯_第35张
gore医疗怎么样「漫腹精论」双股动脉入路,纯腔内保双髂——GORE® EXCLUDER® 髂动脉分支型覆膜支架(IBE)治疗双侧髂总动脉_https://www.jmylbn.com_新闻资讯_第36张


最后造影

支架锚定位置如预期,隔绝良好,无明显内漏;双侧髂内动脉血供得以保留,血流通畅。

gore医疗怎么样「漫腹精论」双股动脉入路,纯腔内保双髂——GORE® EXCLUDER® 髂动脉分支型覆膜支架(IBE)治疗双侧髂总动脉_https://www.jmylbn.com_新闻资讯_第37张


五、术后一周复查CT

术后一周复查:支架位置合适、形态良好,双侧髂内血供得以保留;无内漏。

gore医疗怎么样「漫腹精论」双股动脉入路,纯腔内保双髂——GORE® EXCLUDER® 髂动脉分支型覆膜支架(IBE)治疗双侧髂总动脉_https://www.jmylbn.com_新闻资讯_第38张
gore医疗怎么样「漫腹精论」双股动脉入路,纯腔内保双髂——GORE® EXCLUDER® 髂动脉分支型覆膜支架(IBE)治疗双侧髂总动脉_https://www.jmylbn.com_新闻资讯_第39张


六、病例总结

保留髂内动脉血供具有重要临床意义,恢复患者健康同时大大减少术后并发症提高其生活质量;


GORE® EXCLUDER® 髂动脉分支型覆膜支架(IBE)商业模块化髂分支支架,操作简便、安全可控,给术者更多样化手术方案选择,给患者更好的术后效果。


专家介绍

 gore医疗怎么样「漫腹精论」双股动脉入路,纯腔内保双髂——GORE® EXCLUDER® 髂动脉分支型覆膜支架(IBE)治疗双侧髂总动脉_https://www.jmylbn.com_新闻资讯_第40张

万嘉 教授

云南大学附属医院血管外科主任,博士,硕士研究生导师,美国斯坦福大学医学中心血管外科访问学者,现担任美国血管外科协会(SVS)会员、国际血管联盟(IUA)青年专家委员会委员、国际血管联盟(IUA)中国分部胸主动脉疾病委员会委员、中华医学会组织修复与再生分会血管再生学组委员、云南省医学会血管外科学分会副主任委员、云南省医学会血管外科学分会腹主动脉疾病学组组长、云南省医师协会血管外科医师分会常委、云南省医学会介入医学分会委员,云南省医学会烧伤与创面修复外科学分会委员,云南省医师协会腔内血管学专业委员会委员、云南省医师协会介入医师分会委员。


 gore医疗怎么样「漫腹精论」双股动脉入路,纯腔内保双髂——GORE® EXCLUDER® 髂动脉分支型覆膜支架(IBE)治疗双侧髂总动脉_https://www.jmylbn.com_新闻资讯_第41张

侯毅 主治医师

主治医师,本科毕业于大理大学,研究生就读于昆明医科大学。

云南省医学会血管外科VTE学组秘书。

擅长胸、腹主动脉瘤及夹层,下肢动静脉疾病的诊断及治疗。


科室介绍

云南大学附属医院 普外三科(血管外科)

科室于2005年1月正式成立,并于2007年由云南省卫生厅正式授予挂牌为云南省血管外科中心,2015年由云南省卫生厅审批获云南省临床重点专科建设项目,科室成立以来,经过18年的发展,获得了云南省住院医师规范化培训基地、云南省专科医师规范化培训基地、云南省外周血管介入诊疗技术培训基地、云南省继续医学教育基地,已成为集医疗、教学、科研为一体的临床科室,是云南省最具规模的一家省级周围血管疾病诊疗中心。科室诊治范围包括开放手术治疗及微创介入治疗复杂主动脉夹层、胸腹主动脉瘤、严重下肢动脉硬化闭塞症、糖尿病足、内脏动脉闭塞,以及颈动脉狭窄的开放及介入治疗,下肢深静脉血栓和肺栓塞的一站式治疗,热消融技术治疗下肢静脉曲张,自体干细胞移植治疗肢体慢性严重动脉性缺血,先天性血管瘤及动静脉畸形的综合治疗,开设护理专科门诊,以创面修复、淋巴水肿治疗、PICC置管为主要技术特色,目前在省内居先进技术行列。血管外科现已逐渐发展形成,主动脉疾病、下肢动脉疾病、静脉疾病、淋巴疾病、创面修复等多个亚专业治疗组。科室现有编制床位35张,医护共24人,其中医生9人,护士15人,拥有博士学历的有4人,硕士学历有4人,硕士研究生导师6人,主任医师2人,副主任医师3人,副主任护师1人;科室有2名医师为云南省医学学科后备人才;科室主持及参与多项国家自然科学基金、云南省科技厅基础研究计划等;科室万嘉主任、保燕护士长及多名骨干医师在中国医师协会血管外科医师分会、中华医学会组织修复与再生分会、云南省医学会血管外科分会、云南省医师协会血管外科医师分会、云南省医师协会腔内血管学专业委员会担任主委、常委等职。



gore医疗怎么样「漫腹精论」双股动脉入路,纯腔内保双髂——GORE® EXCLUDER® 髂动脉分支型覆膜支架(IBE)治疗双侧髂总动脉_https://www.jmylbn.com_新闻资讯_第42张
gore医疗怎么样「漫腹精论」双股动脉入路,纯腔内保双髂——GORE® EXCLUDER® 髂动脉分支型覆膜支架(IBE)治疗双侧髂总动脉_https://www.jmylbn.com_新闻资讯_第42张
gore医疗怎么样「漫腹精论」双股动脉入路,纯腔内保双髂——GORE® EXCLUDER® 髂动脉分支型覆膜支架(IBE)治疗双侧髂总动脉_https://www.jmylbn.com_新闻资讯_第42张

病例征集

如您有相类似的病例,或者希望与术者做进一步的交流,欢迎您将您的联系方式发送至aaa_case@163.com。谢谢!

版权声明:本资讯旨在帮助医疗卫生专业人士更好地了解相关疾病领域最新进展。资讯内容,并不代表同意其描述和观点,仅为提供更多信息。若涉及版权问题,烦请权利人与我们联系,我们将尽快处理。仅供医疗卫生专业人士为了解资讯使用,该等信息不能以任何方式取代专业的医疗指导,也不应被视为诊疗建议。如该等信息被用于了解资讯以外的目的,本平台及作者不承担相关责任。



版权声明:本平台旨在帮助医疗卫生专业人士更好地了解相关疾病领域最新进展。本平台对发布的资讯内容,并不代表同意其描述和观点,仅为提供更多信息。若涉及版权问题,烦请权利人与我们联系,我们将尽快处理。仅供医疗卫生专业人士为了解资讯使用,该等信息不能以任何方式取代专业的医疗指导,也不应被视为诊疗建议。如该等信息被用于了解资讯以外的目的,本平台及作者不承担相关责任。合作联系邮箱:vascular@edoctor.cn。

gore医疗怎么样「漫腹精论」双股动脉入路,纯腔内保双髂——GORE® EXCLUDER® 髂动脉分支型覆膜支架(IBE)治疗双侧髂总动脉_https://www.jmylbn.com_新闻资讯_第45张