什么叫桡鞘【例久弥新】寻道于桡——瑞康通5.5F Introsky X导管鞘经桡入路治疗颈动脉重度狭窄一例

新闻资讯2026-04-23 16:57:33

什么叫桡鞘【例久弥新】寻道于桡——瑞康通5.5F Introsky X导管鞘经桡入路治疗颈动脉重度狭窄一例_https://www.jmylbn.com_新闻资讯_第1张


病史介绍

患者男性,54岁。


主诉:因发作性左侧肢体无力4天入院。


现病史:患者于入院前4天内反复出现发作性左侧肢体无力数次,每次发作均表现为持物、行走费力,程度轻重不一,每次发作持续数分钟至十余分钟不等,每次均可完全缓解。


既往病史:脑梗死(mRS=0),高血压。


入院查体情况:BP=162/95mmHg,神经系统未见阳性体征,ABCD2=4/ABCD3=6(中高危)。


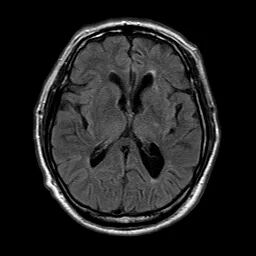
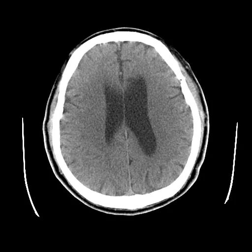
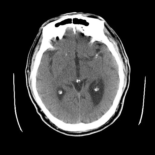
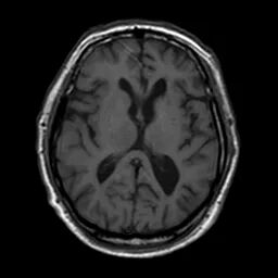
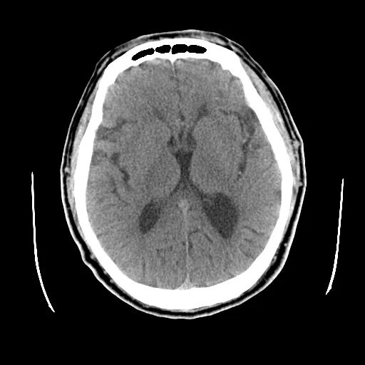
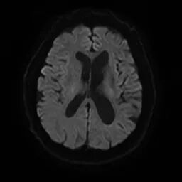
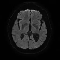
术前影像

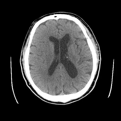
颅脑CT:颅内多发腔隙性梗塞灶。

什么叫桡鞘【例久弥新】寻道于桡——瑞康通5.5F Introsky X导管鞘经桡入路治疗颈动脉重度狭窄一例_https://www.jmylbn.com_新闻资讯_第2张

什么叫桡鞘【例久弥新】寻道于桡——瑞康通5.5F Introsky X导管鞘经桡入路治疗颈动脉重度狭窄一例_https://www.jmylbn.com_新闻资讯_第3张

什么叫桡鞘【例久弥新】寻道于桡——瑞康通5.5F Introsky X导管鞘经桡入路治疗颈动脉重度狭窄一例_https://www.jmylbn.com_新闻资讯_第4张

什么叫桡鞘【例久弥新】寻道于桡——瑞康通5.5F Introsky X导管鞘经桡入路治疗颈动脉重度狭窄一例_https://www.jmylbn.com_新闻资讯_第5张


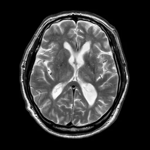
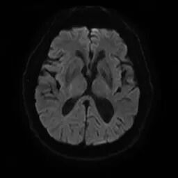
颅脑磁共振+头颈MRA:未见新发梗死;右侧颈内动脉C1段重度狭窄。

什么叫桡鞘【例久弥新】寻道于桡——瑞康通5.5F Introsky X导管鞘经桡入路治疗颈动脉重度狭窄一例_https://www.jmylbn.com_新闻资讯_第6张

什么叫桡鞘【例久弥新】寻道于桡——瑞康通5.5F Introsky X导管鞘经桡入路治疗颈动脉重度狭窄一例_https://www.jmylbn.com_新闻资讯_第7张

什么叫桡鞘【例久弥新】寻道于桡——瑞康通5.5F Introsky X导管鞘经桡入路治疗颈动脉重度狭窄一例_https://www.jmylbn.com_新闻资讯_第8张

什么叫桡鞘【例久弥新】寻道于桡——瑞康通5.5F Introsky X导管鞘经桡入路治疗颈动脉重度狭窄一例_https://www.jmylbn.com_新闻资讯_第9张

什么叫桡鞘【例久弥新】寻道于桡——瑞康通5.5F Introsky X导管鞘经桡入路治疗颈动脉重度狭窄一例_https://www.jmylbn.com_新闻资讯_第10张

什么叫桡鞘【例久弥新】寻道于桡——瑞康通5.5F Introsky X导管鞘经桡入路治疗颈动脉重度狭窄一例_https://www.jmylbn.com_新闻资讯_第11张

什么叫桡鞘【例久弥新】寻道于桡——瑞康通5.5F Introsky X导管鞘经桡入路治疗颈动脉重度狭窄一例_https://www.jmylbn.com_新闻资讯_第12张


术前超声:右侧颈内动脉起始处重度狭窄。

什么叫桡鞘【例久弥新】寻道于桡——瑞康通5.5F Introsky X导管鞘经桡入路治疗颈动脉重度狭窄一例_https://www.jmylbn.com_新闻资讯_第13张

什么叫桡鞘【例久弥新】寻道于桡——瑞康通5.5F Introsky X导管鞘经桡入路治疗颈动脉重度狭窄一例_https://www.jmylbn.com_新闻资讯_第14张


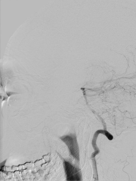
桡动脉入路行DSA:右侧颈内动脉C1段重度狭窄。

什么叫桡鞘【例久弥新】寻道于桡——瑞康通5.5F Introsky X导管鞘经桡入路治疗颈动脉重度狭窄一例_https://www.jmylbn.com_新闻资讯_第15张

什么叫桡鞘【例久弥新】寻道于桡——瑞康通5.5F Introsky X导管鞘经桡入路治疗颈动脉重度狭窄一例_https://www.jmylbn.com_新闻资讯_第16张

什么叫桡鞘【例久弥新】寻道于桡——瑞康通5.5F Introsky X导管鞘经桡入路治疗颈动脉重度狭窄一例_https://www.jmylbn.com_新闻资讯_第17张

什么叫桡鞘【例久弥新】寻道于桡——瑞康通5.5F Introsky X导管鞘经桡入路治疗颈动脉重度狭窄一例_https://www.jmylbn.com_新闻资讯_第18张


其他血管评估:

什么叫桡鞘【例久弥新】寻道于桡——瑞康通5.5F Introsky X导管鞘经桡入路治疗颈动脉重度狭窄一例_https://www.jmylbn.com_新闻资讯_第19张

什么叫桡鞘【例久弥新】寻道于桡——瑞康通5.5F Introsky X导管鞘经桡入路治疗颈动脉重度狭窄一例_https://www.jmylbn.com_新闻资讯_第20张

什么叫桡鞘【例久弥新】寻道于桡——瑞康通5.5F Introsky X导管鞘经桡入路治疗颈动脉重度狭窄一例_https://www.jmylbn.com_新闻资讯_第21张

什么叫桡鞘【例久弥新】寻道于桡——瑞康通5.5F Introsky X导管鞘经桡入路治疗颈动脉重度狭窄一例_https://www.jmylbn.com_新闻资讯_第22张



术前讨论

诊断结果:

右侧颈内动脉C1段重度狭窄,引起右侧大脑半球的缺血,从而导致左侧肢体发作性无力等症状。


治疗策略:

患者右侧颈内动脉C1段重度狭窄,可行右侧颈内动脉支架植入术,解除右侧颈内动脉狭窄病变,增加右侧大脑半球血流灌注。


器械选择考量:

患者经桡动脉路径行右侧颈内动脉支架植入术,需建立稳定通路,需选择到位高、支撑力好的导管,同时需要考虑导管外径对桡动脉损伤及内径与颈动脉支架的兼容性,故选择5.5F Introsky X导管鞘,远端柔软到位性高,近端支撑力强,外径2.43mm,可搭配7F薄壁短鞘减少桡动脉损伤,0.081"内径可匹配目前常用的颈动脉支架。


初步诊断:

  • 短暂性脑缺血发作

  • 陈旧性脑梗死

  • 右侧颈内动脉重度狭窄

  • 高血压3级 很高危


术中涉及介入器械

  • 7F桡动脉薄壁鞘

  • 5F 125cm SIM2造影导管

  • 260cm 加硬泥鳅导丝

  • 5.5F Introsky X导管鞘

  • KangFly微导丝(0.014"-标准-300cm)

  • SpiderFX 保护伞

  • Viatrac 5.0*30mm球囊

  • Wallstent 9*40mm颈动脉支架


治疗经过

右侧桡动脉穿刺,置入7F薄壁鞘,造影示右侧颈内动脉C1段重度狭窄,狭窄率约90%,狭窄长度约22mm。通过加硬泥鳅导丝、125cm SIM2造影导管辅助,将5.5F Introsky X导管鞘置于右侧颈总动脉远端,选择KangFly微导丝携带Spider FX保护伞通过狭窄病变后释放保护伞,5.0*30mm球囊预扩张,置入9*40mm自膨式支架。

什么叫桡鞘【例久弥新】寻道于桡——瑞康通5.5F Introsky X导管鞘经桡入路治疗颈动脉重度狭窄一例_https://www.jmylbn.com_新闻资讯_第23张

5.5F Introsky X导管建立稳定通路


推送及释放支架过程:


术后即刻影像:造影见右侧颈内动脉C1段血流通畅,mTICI3级。

什么叫桡鞘【例久弥新】寻道于桡——瑞康通5.5F Introsky X导管鞘经桡入路治疗颈动脉重度狭窄一例_https://www.jmylbn.com_新闻资讯_第24张

什么叫桡鞘【例久弥新】寻道于桡——瑞康通5.5F Introsky X导管鞘经桡入路治疗颈动脉重度狭窄一例_https://www.jmylbn.com_新闻资讯_第25张

术后正位

术后侧位



术者体会

该患者经桡动脉路径行右侧颈内动脉支架植入术,常规导引导管及部分DA难以建立通路,6F导引导管不能通过9-10mm直径的颈动脉支架,6F长鞘增加桡动脉痉挛甚至“抱死”通路风险。5.5F Introsky X导管鞘能够建立稳定通路,同时兼顾导管外径降低桡动脉损伤、管腔内径可通过目前常用的颈动脉支架,简化手术操作,降低手术风险,提高手术安全性。


KangFly微导丝轻松通过颈内动脉狭窄病变,并顺利引导保护伞到位,通过性、到位性、支撑性较优秀。



术者介绍

什么叫桡鞘【例久弥新】寻道于桡——瑞康通5.5F Introsky X导管鞘经桡入路治疗颈动脉重度狭窄一例_https://www.jmylbn.com_新闻资讯_第26张

王守春

吉林大学第一医院神经内科

  • 主任医师,教授,日本秋田大学博士后,博士研究生导师

  • 中国研究型医院学会介入神经病学专业委员会副主任委员

  • 中华医学会神经病学分会神经介入协作组副组长

  • 中国医师协会神经介入专业委员会常务委员

  • 中国医师协会医学科学普及分会常务委员

  • 中国卒中学会复合介入神经外科分会常务委员

  • 吉林省卒中学会神经介入分会主任委员

  • 吉林省医学会神经病学分会缺血性脑血管病介入治疗学组组长

  • 2004年组建“吉大一院缺血性脑血管病介入治疗协作中心”。累计发表文章60余篇,包括SCI论文20篇

  • 目前已经开展缺血性脑血管病的脑动脉狭窄、闭塞再通介入治疗及全脑血管造影近万例;特别在急诊血管内介入治疗,如急诊动脉溶栓治疗、单纯球囊扩张治疗、急诊支架治疗和急诊取栓等治疗方面积累了非常丰富的临床经验

什么叫桡鞘【例久弥新】寻道于桡——瑞康通5.5F Introsky X导管鞘经桡入路治疗颈动脉重度狭窄一例_https://www.jmylbn.com_新闻资讯_第27张

邢大江

吉林大学第一医院卒中中心

  • 副主任医师

  • 吉林省卒中学会神经介入分会委员会委员

  • 主要从事脑血管病的基础与临床研究,尤其擅长缺血性脑血管病的血管内治疗



产品信息



什么叫桡鞘【例久弥新】寻道于桡——瑞康通5.5F Introsky X导管鞘经桡入路治疗颈动脉重度狭窄一例_https://www.jmylbn.com_新闻资讯_第28张


什么叫桡鞘【例久弥新】寻道于桡——瑞康通5.5F Introsky X导管鞘经桡入路治疗颈动脉重度狭窄一例_https://www.jmylbn.com_新闻资讯_第29张


什么叫桡鞘【例久弥新】寻道于桡——瑞康通5.5F Introsky X导管鞘经桡入路治疗颈动脉重度狭窄一例_https://www.jmylbn.com_新闻资讯_第30张



声明:脑医汇旗下神外资讯、神介资讯、脑医咨询所发表内容之知识产权为脑医汇及主办方、原作者等相关权利人所有。未经许可,禁止进行转载、摘编、复制、裁切、录制等。经许可授权使用,亦须注明来源。欢迎转发、分享。

什么叫桡鞘【例久弥新】寻道于桡——瑞康通5.5F Introsky X导管鞘经桡入路治疗颈动脉重度狭窄一例_https://www.jmylbn.com_新闻资讯_第31张
脑医汇App(原神介资讯App短视频”功能全新上线,碎片化时间学习内容长按识别二维码抢先体验!

请点击“阅读原文”进入瑞康通品牌专区。

什么叫桡鞘【例久弥新】寻道于桡——瑞康通5.5F Introsky X导管鞘经桡入路治疗颈动脉重度狭窄一例_https://www.jmylbn.com_新闻资讯_第32张

点分享

什么叫桡鞘【例久弥新】寻道于桡——瑞康通5.5F Introsky X导管鞘经桡入路治疗颈动脉重度狭窄一例_https://www.jmylbn.com_新闻资讯_第33张

点点赞

什么叫桡鞘【例久弥新】寻道于桡——瑞康通5.5F Introsky X导管鞘经桡入路治疗颈动脉重度狭窄一例_https://www.jmylbn.com_新闻资讯_第34张

点在看