什么叫桡鞘【例久弥新】寻道于桡——瑞康通5.5F IntroSky X导管鞘经桡动脉行右侧大脑中动脉取栓一例

新闻资讯2026-04-23 16:57:36

什么叫桡鞘【例久弥新】寻道于桡——瑞康通5.5F IntroSky X导管鞘经桡动脉行右侧大脑中动脉取栓一例_https://www.jmylbn.com_新闻资讯_第1张


病史介绍

患者:,84岁。急性起病,以“突发左侧肢体无力12小时”为主诉入院。


既往:高血压病史10余年,发现脑血管狭窄病史1年余;发病前mRS:0分。


查体:神志清楚,言语含糊(1),双瞳孔等大等圆,直径约3.0mm,双眼活动正常,左侧中枢性面舌瘫(2),右侧肌力5级,左侧上肢肌力1级(3),左侧下肢肌力1级(3);NIHSS:9分。


辅助检查:心电图提示窦性心律,正常心电图。


术前影像

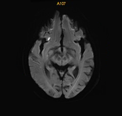
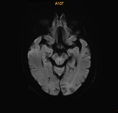
1年前的MRA提示该部位重度狭窄。

什么叫桡鞘【例久弥新】寻道于桡——瑞康通5.5F IntroSky X导管鞘经桡动脉行右侧大脑中动脉取栓一例_https://www.jmylbn.com_新闻资讯_第2张


颅脑CT:ASPECT 10分。

什么叫桡鞘【例久弥新】寻道于桡——瑞康通5.5F IntroSky X导管鞘经桡动脉行右侧大脑中动脉取栓一例_https://www.jmylbn.com_新闻资讯_第3张


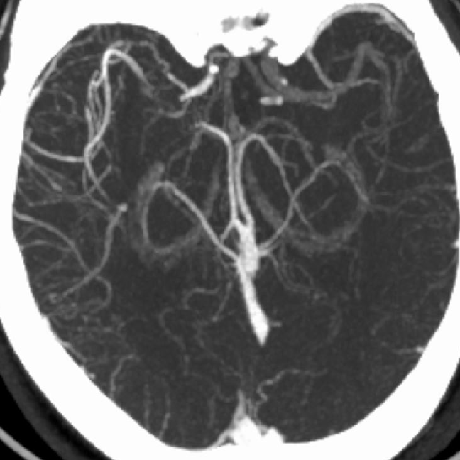
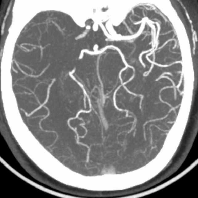
术前CTA:

CTA提示右侧大脑中动脉闭塞,左侧A1纤细。

什么叫桡鞘【例久弥新】寻道于桡——瑞康通5.5F IntroSky X导管鞘经桡动脉行右侧大脑中动脉取栓一例_https://www.jmylbn.com_新闻资讯_第4张

什么叫桡鞘【例久弥新】寻道于桡——瑞康通5.5F IntroSky X导管鞘经桡动脉行右侧大脑中动脉取栓一例_https://www.jmylbn.com_新闻资讯_第5张


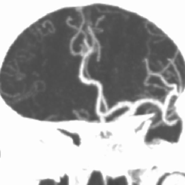
延迟CTA扫描可见造影剂逆流至大脑中动脉主干。

什么叫桡鞘【例久弥新】寻道于桡——瑞康通5.5F IntroSky X导管鞘经桡动脉行右侧大脑中动脉取栓一例_https://www.jmylbn.com_新闻资讯_第6张

什么叫桡鞘【例久弥新】寻道于桡——瑞康通5.5F IntroSky X导管鞘经桡动脉行右侧大脑中动脉取栓一例_https://www.jmylbn.com_新闻资讯_第7张


延迟CTA扫描可见造影剂逆流至大脑中动脉主干。

什么叫桡鞘【例久弥新】寻道于桡——瑞康通5.5F IntroSky X导管鞘经桡动脉行右侧大脑中动脉取栓一例_https://www.jmylbn.com_新闻资讯_第8张


CTA提示右侧颈总动脉迂曲,右锁骨下动脉与右颈总动脉成钝角。

什么叫桡鞘【例久弥新】寻道于桡——瑞康通5.5F IntroSky X导管鞘经桡动脉行右侧大脑中动脉取栓一例_https://www.jmylbn.com_新闻资讯_第9张

什么叫桡鞘【例久弥新】寻道于桡——瑞康通5.5F IntroSky X导管鞘经桡动脉行右侧大脑中动脉取栓一例_https://www.jmylbn.com_新闻资讯_第10张



术前讨论

初步诊断:

  • 右侧大脑中动脉闭塞性脑梗死(TOAST:大动脉粥样硬化型)

  • 右侧大脑中动脉M1闭塞


术前讨论:

  • 颈总动脉迂曲,颈总动脉高位开口,拟经桡动脉建立上肢通路

  • 若采用6F长鞘,为避免血管抱死,通常需要RA直径>2.5mm,选择采用5.5F IntroSky X导管鞘可以更好降低并发症风险


治疗策略:

  • 行右侧大脑中动脉支架取栓治疗(BASIS)

  • 采用5.5F IntroSky X导管鞘经桡建立通路


术中涉及介入器械

  • 7F薄壁鞘

  • 5.5F IntroSky X导管鞘

  • 5F 125cm sim2 造影导管

  • 0.014inch 导丝

  • 3mm*15mm取栓支架

  • 2.0*15mm球囊


治疗经过

建立通路:

泥鳅塑型,携带125cm长SIM2进入右颈总。

什么叫桡鞘【例久弥新】寻道于桡——瑞康通5.5F IntroSky X导管鞘经桡动脉行右侧大脑中动脉取栓一例_https://www.jmylbn.com_新闻资讯_第11张


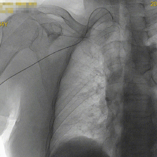
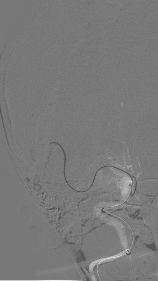
5.5F IntroSky X导管鞘顺利绕过迂曲段进入颈总动脉。

什么叫桡鞘【例久弥新】寻道于桡——瑞康通5.5F IntroSky X导管鞘经桡动脉行右侧大脑中动脉取栓一例_https://www.jmylbn.com_新闻资讯_第12张


通路尽量高到位,同时注意避免血管痉挛、血流阻断。

什么叫桡鞘【例久弥新】寻道于桡——瑞康通5.5F IntroSky X导管鞘经桡动脉行右侧大脑中动脉取栓一例_https://www.jmylbn.com_新闻资讯_第13张


造影可见闭塞残端细小,结合多时相CT,考虑倾向于狭窄性病变。

什么叫桡鞘【例久弥新】寻道于桡——瑞康通5.5F IntroSky X导管鞘经桡动脉行右侧大脑中动脉取栓一例_https://www.jmylbn.com_新闻资讯_第14张

什么叫桡鞘【例久弥新】寻道于桡——瑞康通5.5F IntroSky X导管鞘经桡动脉行右侧大脑中动脉取栓一例_https://www.jmylbn.com_新闻资讯_第15张


过导丝。

什么叫桡鞘【例久弥新】寻道于桡——瑞康通5.5F IntroSky X导管鞘经桡动脉行右侧大脑中动脉取栓一例_https://www.jmylbn.com_新闻资讯_第16张

什么叫桡鞘【例久弥新】寻道于桡——瑞康通5.5F IntroSky X导管鞘经桡动脉行右侧大脑中动脉取栓一例_https://www.jmylbn.com_新闻资讯_第17张


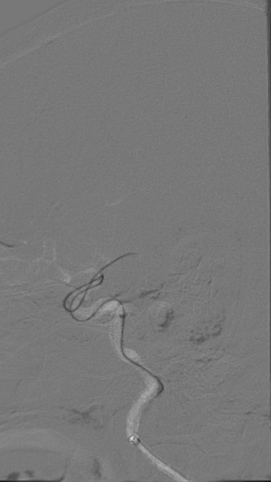
释放支架后造影。

什么叫桡鞘【例久弥新】寻道于桡——瑞康通5.5F IntroSky X导管鞘经桡动脉行右侧大脑中动脉取栓一例_https://www.jmylbn.com_新闻资讯_第18张

什么叫桡鞘【例久弥新】寻道于桡——瑞康通5.5F IntroSky X导管鞘经桡动脉行右侧大脑中动脉取栓一例_https://www.jmylbn.com_新闻资讯_第19张


造影评估:

2.0×15mm球囊加压时可见“腰”,加压至8ATM维持5min。

什么叫桡鞘【例久弥新】寻道于桡——瑞康通5.5F IntroSky X导管鞘经桡动脉行右侧大脑中动脉取栓一例_https://www.jmylbn.com_新闻资讯_第20张

什么叫桡鞘【例久弥新】寻道于桡——瑞康通5.5F IntroSky X导管鞘经桡动脉行右侧大脑中动脉取栓一例_https://www.jmylbn.com_新闻资讯_第21张


扩张后造影见血流改善,支架内未见明显血栓影。

什么叫桡鞘【例久弥新】寻道于桡——瑞康通5.5F IntroSky X导管鞘经桡动脉行右侧大脑中动脉取栓一例_https://www.jmylbn.com_新闻资讯_第22张

什么叫桡鞘【例久弥新】寻道于桡——瑞康通5.5F IntroSky X导管鞘经桡动脉行右侧大脑中动脉取栓一例_https://www.jmylbn.com_新闻资讯_第23张


观察10分钟回收支架后,继续观察15分钟提示血流良好。

什么叫桡鞘【例久弥新】寻道于桡——瑞康通5.5F IntroSky X导管鞘经桡动脉行右侧大脑中动脉取栓一例_https://www.jmylbn.com_新闻资讯_第24张

什么叫桡鞘【例久弥新】寻道于桡——瑞康通5.5F IntroSky X导管鞘经桡动脉行右侧大脑中动脉取栓一例_https://www.jmylbn.com_新闻资讯_第25张


从完成穿刺到血管开通总用时仅40分钟。


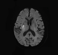
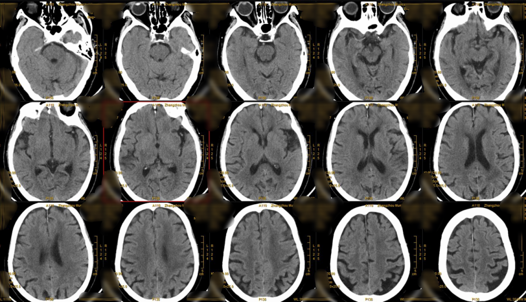
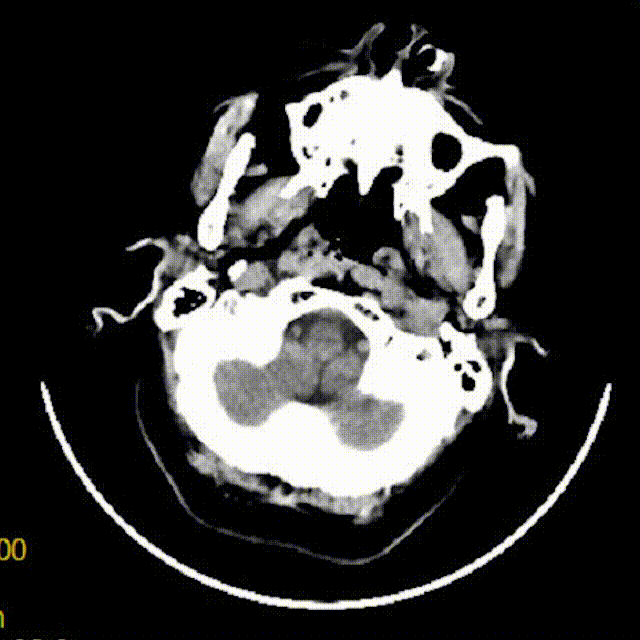
术后CT:基底节区稍高密度影,考虑血脑屏障破坏,未见明显出血。

什么叫桡鞘【例久弥新】寻道于桡——瑞康通5.5F IntroSky X导管鞘经桡动脉行右侧大脑中动脉取栓一例_https://www.jmylbn.com_新闻资讯_第26张


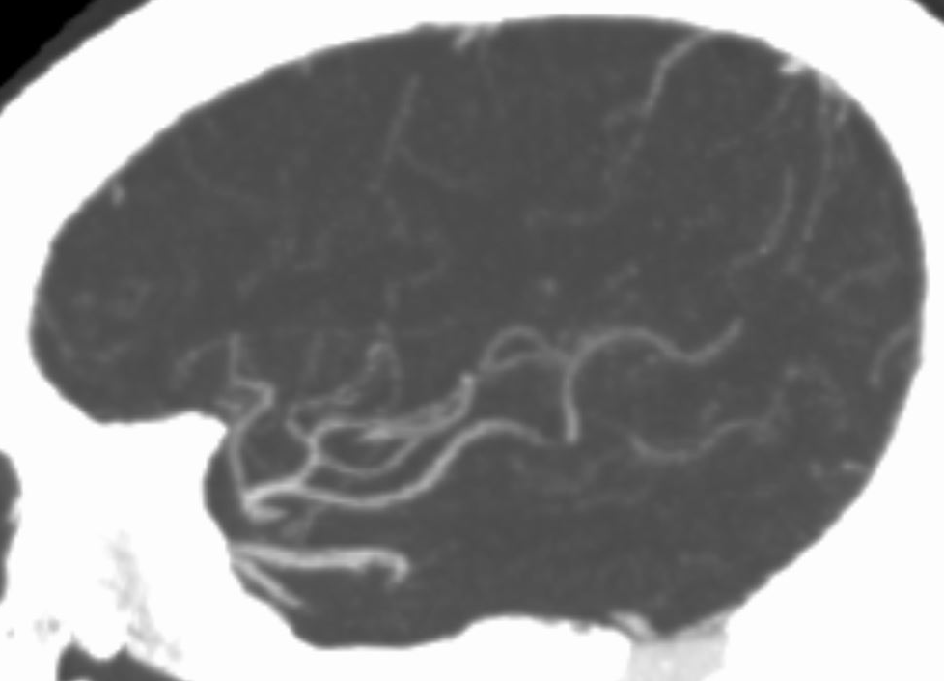
术后CTA:CTA提示血管再通良好,予桥接双联抗血小板聚集治疗。

什么叫桡鞘【例久弥新】寻道于桡——瑞康通5.5F IntroSky X导管鞘经桡动脉行右侧大脑中动脉取栓一例_https://www.jmylbn.com_新闻资讯_第27张


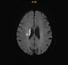
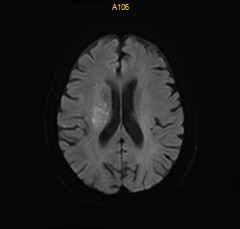
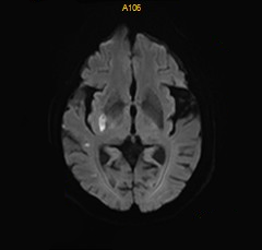
术后DWI:磁共振见少许新鲜脑梗死。

什么叫桡鞘【例久弥新】寻道于桡——瑞康通5.5F IntroSky X导管鞘经桡动脉行右侧大脑中动脉取栓一例_https://www.jmylbn.com_新闻资讯_第28张

什么叫桡鞘【例久弥新】寻道于桡——瑞康通5.5F IntroSky X导管鞘经桡动脉行右侧大脑中动脉取栓一例_https://www.jmylbn.com_新闻资讯_第29张

什么叫桡鞘【例久弥新】寻道于桡——瑞康通5.5F IntroSky X导管鞘经桡动脉行右侧大脑中动脉取栓一例_https://www.jmylbn.com_新闻资讯_第30张

什么叫桡鞘【例久弥新】寻道于桡——瑞康通5.5F IntroSky X导管鞘经桡动脉行右侧大脑中动脉取栓一例_https://www.jmylbn.com_新闻资讯_第31张

什么叫桡鞘【例久弥新】寻道于桡——瑞康通5.5F IntroSky X导管鞘经桡动脉行右侧大脑中动脉取栓一例_https://www.jmylbn.com_新闻资讯_第32张

什么叫桡鞘【例久弥新】寻道于桡——瑞康通5.5F IntroSky X导管鞘经桡动脉行右侧大脑中动脉取栓一例_https://www.jmylbn.com_新闻资讯_第33张


术后TCD:TCD提示血管再通良好,血流佳。

什么叫桡鞘【例久弥新】寻道于桡——瑞康通5.5F IntroSky X导管鞘经桡动脉行右侧大脑中动脉取栓一例_https://www.jmylbn.com_新闻资讯_第34张


术后情况:

神志清楚,言语不利,双瞳孔等大等圆,直径约3.0mm,双眼活动正常,左侧鼻唇沟稍浅,左侧肌力5-级,右侧肌力5级;NIHSS:2分。mRS 1分。





术者体会

1、5.5F IntroSky X导管鞘外径2.43mm,配合7F薄壁的桡动脉短鞘组合,可越过交换步骤,优化取栓通路建立;


2、5.5F IntroSky X导管鞘作为通路导管,对于通路的稳定性更有优势;


3、对于ICAS病变或者Mevo血管的取栓治疗,对于中间导管内径的要求小,经桡通路并不劣于经股通路。




手术指导

什么叫桡鞘【例久弥新】寻道于桡——瑞康通5.5F IntroSky X导管鞘经桡动脉行右侧大脑中动脉取栓一例_https://www.jmylbn.com_新闻资讯_第35张

易婷玉

福建省漳州市医院

  • 福建省漳州市医院神内介入科科室主任、副主任医师

  • 中国医师协会神经介入专业委员会青年委员

  • 中国老年医学学会青年委员

  • 中国医药教育协助脑卒中血运重建专业委员会委员

  • 中国研究型医院学会介入神经病学专业委员会经桡动脉入路神经介入协作组组长

  • 福建省海峡卫生交流会心脑血管病防治分会理事

  • 漳州市医学专家协会康复委员会委员

  • 主持4个省部级课题,在研经费超100万元

  • 以第一作者或通讯作者发表SCI文章18篇,累计影响因子达40余分,单篇影响因子最高达8分

  • 多次获得全国神经介入比赛大奖

  • 获得2022年度国家卫生健康委能力建设和继续教育中心授予“中国神经介入十佳手术医师”

  • 获得漳州市科学技术协会的自然科学优秀论文三等奖






术者介绍

什么叫桡鞘【例久弥新】寻道于桡——瑞康通5.5F IntroSky X导管鞘经桡动脉行右侧大脑中动脉取栓一例_https://www.jmylbn.com_新闻资讯_第36张

林定来

福建省漳州市医院

  • 福建省漳州市医院主治医师

  • OCIN Young首届成员

  • OCIN神经影像核心实验室成员(金尺子)

  • 第三届中国神经介入医师手术大赛华东一赛区冠军

  • 参与DIRECT MT、ProtectMT、BAOCHE等多项国家RCT研究


什么叫桡鞘【例久弥新】寻道于桡——瑞康通5.5F IntroSky X导管鞘经桡动脉行右侧大脑中动脉取栓一例_https://www.jmylbn.com_新闻资讯_第37张

叶安元

江西省弋阳县人民医院

  • 神经外科主治医师

  • 江西省整合医学会急救创伤委员会委员

  • 江西省卒中委员会委员

  • 福建省漳州市医院神内脑血管病介入科第37届学员

  • 对脑血管病的神经介入、颅脑创伤、颅脑重症管理、高血压脑出血治疗有丰富的临床经验,特别是神经介入技术


什么叫桡鞘【例久弥新】寻道于桡——瑞康通5.5F IntroSky X导管鞘经桡动脉行右侧大脑中动脉取栓一例_https://www.jmylbn.com_新闻资讯_第38张

鲍鑫

莱阳市人民医院

  • 烟台医学会介入治疗学科专业委员会委员

  • 莱阳市神经介入委员会副主任委员

  • 山东省卒中学会卒中微创治疗分会委员 

  • 莱阳市人民医院神经内科主任

  • 福建省漳州市医院神内脑血管病介入科第37届学员

  • 对脑血管病的神经介入治疗有丰富的临床经验





产品信息

什么叫桡鞘【例久弥新】寻道于桡——瑞康通5.5F IntroSky X导管鞘经桡动脉行右侧大脑中动脉取栓一例_https://www.jmylbn.com_新闻资讯_第39张




什么叫桡鞘【例久弥新】寻道于桡——瑞康通5.5F IntroSky X导管鞘经桡动脉行右侧大脑中动脉取栓一例_https://www.jmylbn.com_新闻资讯_第40张


什么叫桡鞘【例久弥新】寻道于桡——瑞康通5.5F IntroSky X导管鞘经桡动脉行右侧大脑中动脉取栓一例_https://www.jmylbn.com_新闻资讯_第41张



声明:脑医汇旗下神外资讯、神介资讯、脑医咨询所发表内容之知识产权为脑医汇及主办方、原作者等相关权利人所有。未经许可,禁止进行转载、摘编、复制、裁切、录制等。经许可授权使用,亦须注明来源。欢迎转发、分享。

什么叫桡鞘【例久弥新】寻道于桡——瑞康通5.5F IntroSky X导管鞘经桡动脉行右侧大脑中动脉取栓一例_https://www.jmylbn.com_新闻资讯_第42张
脑医汇App(原神介资讯App短视频”功能全新上线,碎片化时间学习内容长按识别二维码抢先体验!

请点击“阅读原文”进入瑞康通品牌专区。

什么叫桡鞘【例久弥新】寻道于桡——瑞康通5.5F IntroSky X导管鞘经桡动脉行右侧大脑中动脉取栓一例_https://www.jmylbn.com_新闻资讯_第43张

点分享

什么叫桡鞘【例久弥新】寻道于桡——瑞康通5.5F IntroSky X导管鞘经桡动脉行右侧大脑中动脉取栓一例_https://www.jmylbn.com_新闻资讯_第44张

点点赞

什么叫桡鞘【例久弥新】寻道于桡——瑞康通5.5F IntroSky X导管鞘经桡动脉行右侧大脑中动脉取栓一例_https://www.jmylbn.com_新闻资讯_第45张

点在看