什么叫桡鞘【例久弥新】寻道于桡——瑞康通5.5F Introsky X导管鞘经桡取栓一例

新闻资讯2026-04-23 16:57:39

什么叫桡鞘【例久弥新】寻道于桡——瑞康通5.5F Introsky X导管鞘经桡取栓一例_https://www.jmylbn.com_新闻资讯_第1张


病史介绍

主诉:右侧肢体乏力、言语不能1天,加重12小时。


现病史:患者家属诉患者2024年8月21日下午14点出现右侧肢体乏力,言语含糊,但仍可在搀扶下独立行走,发病后到外院就诊,做过头颅CT检查,提示:左侧基底节腔隙性脑梗死、右侧基底节、脑干多发软化灶。给予中药治疗,2024年8月22日早上6点起床时发现患者言语不能,右侧肢体行动不能,今为进一步治疗来我院就诊,急诊以“急性脑血管病”收入院。自发病以来,病人精神较差,饮食差,睡眠差,体重无明显变化,无头痛、头晕,无恶心、呕吐。


既往史:既往有高血糖、高血压病史,家属诉平时有服药,但具体服用药物不详,具体血糖、血压控制水平不详。


查体:NIHSS评分16分,神志清楚,完全性运动性失语,右侧鼻唇沟变浅,嘴角向左侧歪斜,右侧肢体肌力0级,左侧肢体肌力5级,右侧肢体感觉功能减退,共济查体不配合,右侧肢体Babinski征(+)。


术前评估

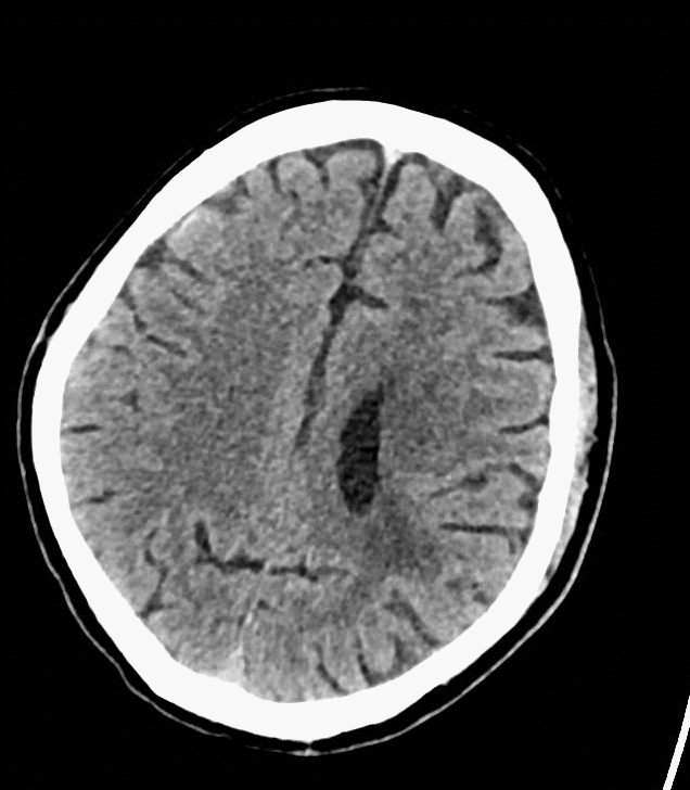
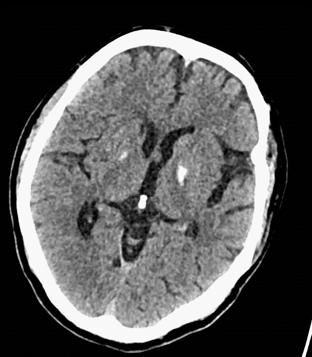
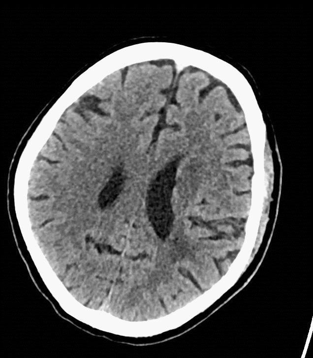
颅脑CT平扫:左侧基底节、放射冠及侧脑室后角可见散在片状低密度灶。

什么叫桡鞘【例久弥新】寻道于桡——瑞康通5.5F Introsky X导管鞘经桡取栓一例_https://www.jmylbn.com_新闻资讯_第2张

什么叫桡鞘【例久弥新】寻道于桡——瑞康通5.5F Introsky X导管鞘经桡取栓一例_https://www.jmylbn.com_新闻资讯_第3张

什么叫桡鞘【例久弥新】寻道于桡——瑞康通5.5F Introsky X导管鞘经桡取栓一例_https://www.jmylbn.com_新闻资讯_第4张


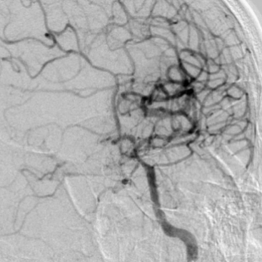
脑动脉CTA提示:左侧颈内动脉、大脑中动脉显影均较对侧显影明显变淡;后循环纤细。CTP提示:左侧额顶颞叶大片状低灌注区域,mismatch体积134ml,mismatch比值7.0。结合症状及影像学评估,左侧颈内动脉为导致缺血症状的病变血管。

什么叫桡鞘【例久弥新】寻道于桡——瑞康通5.5F Introsky X导管鞘经桡取栓一例_https://www.jmylbn.com_新闻资讯_第5张

什么叫桡鞘【例久弥新】寻道于桡——瑞康通5.5F Introsky X导管鞘经桡取栓一例_https://www.jmylbn.com_新闻资讯_第6张

什么叫桡鞘【例久弥新】寻道于桡——瑞康通5.5F Introsky X导管鞘经桡取栓一例_https://www.jmylbn.com_新闻资讯_第7张



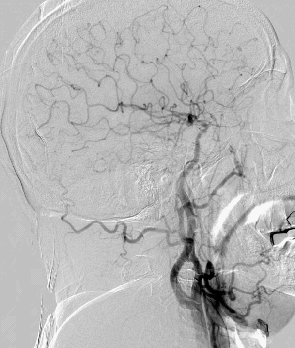
术前DSA

什么叫桡鞘【例久弥新】寻道于桡——瑞康通5.5F Introsky X导管鞘经桡取栓一例_https://www.jmylbn.com_新闻资讯_第8张

什么叫桡鞘【例久弥新】寻道于桡——瑞康通5.5F Introsky X导管鞘经桡取栓一例_https://www.jmylbn.com_新闻资讯_第9张

什么叫桡鞘【例久弥新】寻道于桡——瑞康通5.5F Introsky X导管鞘经桡取栓一例_https://www.jmylbn.com_新闻资讯_第10张

什么叫桡鞘【例久弥新】寻道于桡——瑞康通5.5F Introsky X导管鞘经桡取栓一例_https://www.jmylbn.com_新闻资讯_第11张

什么叫桡鞘【例久弥新】寻道于桡——瑞康通5.5F Introsky X导管鞘经桡取栓一例_https://www.jmylbn.com_新闻资讯_第12张



术中涉及介入器械

  • 7F 薄壁鞘

  • 5.5F Introsky X导管鞘

  • Catalyst 6中间导管

  • 5F 125cm SIM2导管

  • 0.035”泥鳅导丝

  • V-18导丝

  • XT-27微导管

  • 4×30mm 取栓支架

  • Synchro SELECT导丝

  • 2.5×10mm低压球囊


治疗经过

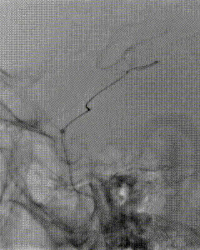
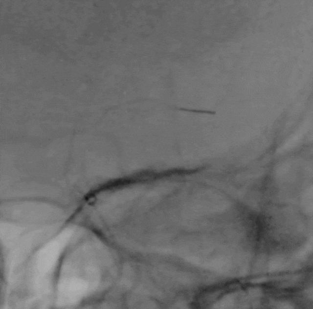
5F 125cm Sim2造影导管携5.5F Introsky X导管鞘成袢后超选左侧ICA。

什么叫桡鞘【例久弥新】寻道于桡——瑞康通5.5F Introsky X导管鞘经桡取栓一例_https://www.jmylbn.com_新闻资讯_第13张

什么叫桡鞘【例久弥新】寻道于桡——瑞康通5.5F Introsky X导管鞘经桡取栓一例_https://www.jmylbn.com_新闻资讯_第14张


泥鳅导丝、SIM2造影导管、5.5F Introsky X导管鞘同轴下继续跟进,尽可能高到位,随后引入V-18导丝。

什么叫桡鞘【例久弥新】寻道于桡——瑞康通5.5F Introsky X导管鞘经桡取栓一例_https://www.jmylbn.com_新闻资讯_第15张

什么叫桡鞘【例久弥新】寻道于桡——瑞康通5.5F Introsky X导管鞘经桡取栓一例_https://www.jmylbn.com_新闻资讯_第16张


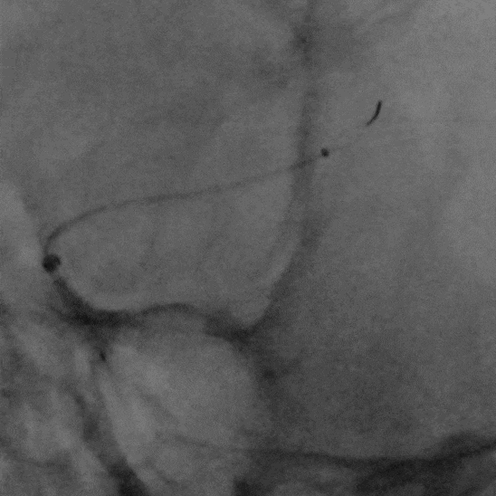
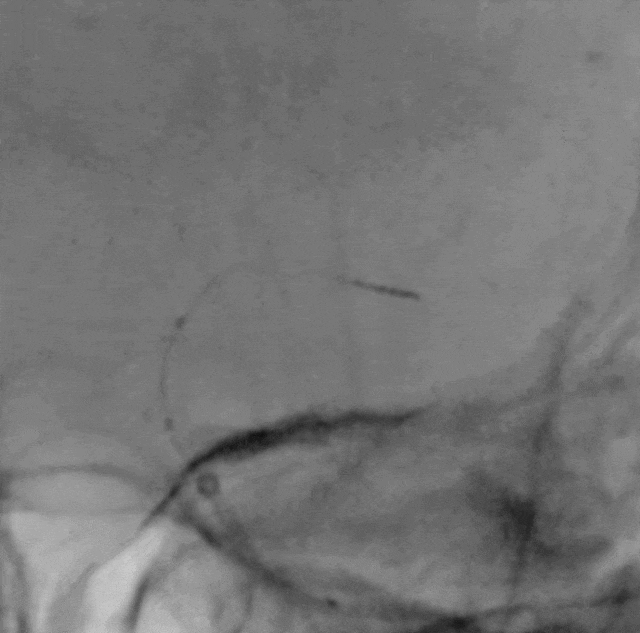
Catalyst 6 中间导管在5.5F Introsky X导管鞘内输送顺利,微导丝、微导管超选越过闭塞段。

什么叫桡鞘【例久弥新】寻道于桡——瑞康通5.5F Introsky X导管鞘经桡取栓一例_https://www.jmylbn.com_新闻资讯_第17张

什么叫桡鞘【例久弥新】寻道于桡——瑞康通5.5F Introsky X导管鞘经桡取栓一例_https://www.jmylbn.com_新闻资讯_第18张

什么叫桡鞘【例久弥新】寻道于桡——瑞康通5.5F Introsky X导管鞘经桡取栓一例_https://www.jmylbn.com_新闻资讯_第19张


释放4×30mm取栓支架,可见支架局部打开不良,提示管腔重度狭窄。造影未见明显血栓征象,未行抽吸,拟直接行球囊扩张。

什么叫桡鞘【例久弥新】寻道于桡——瑞康通5.5F Introsky X导管鞘经桡取栓一例_https://www.jmylbn.com_新闻资讯_第20张

什么叫桡鞘【例久弥新】寻道于桡——瑞康通5.5F Introsky X导管鞘经桡取栓一例_https://www.jmylbn.com_新闻资讯_第21张

什么叫桡鞘【例久弥新】寻道于桡——瑞康通5.5F Introsky X导管鞘经桡取栓一例_https://www.jmylbn.com_新闻资讯_第22张


半回收取栓支架后,2.5×10mm低压球囊扩张狭窄处。

什么叫桡鞘【例久弥新】寻道于桡——瑞康通5.5F Introsky X导管鞘经桡取栓一例_https://www.jmylbn.com_新闻资讯_第23张

什么叫桡鞘【例久弥新】寻道于桡——瑞康通5.5F Introsky X导管鞘经桡取栓一例_https://www.jmylbn.com_新闻资讯_第24张


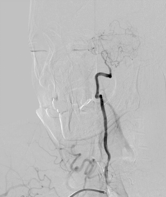
15min后,观察正侧位、3D旋转,可见狭窄较前明显改善。

什么叫桡鞘【例久弥新】寻道于桡——瑞康通5.5F Introsky X导管鞘经桡取栓一例_https://www.jmylbn.com_新闻资讯_第25张

什么叫桡鞘【例久弥新】寻道于桡——瑞康通5.5F Introsky X导管鞘经桡取栓一例_https://www.jmylbn.com_新闻资讯_第26张

什么叫桡鞘【例久弥新】寻道于桡——瑞康通5.5F Introsky X导管鞘经桡取栓一例_https://www.jmylbn.com_新闻资讯_第27张


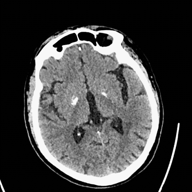
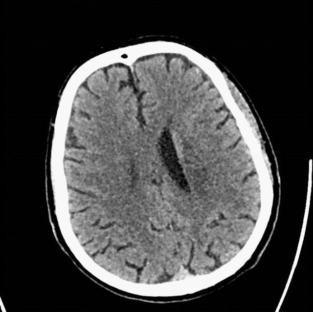
术后复查:颅脑CT平扫未见明显新增脑梗塞。

什么叫桡鞘【例久弥新】寻道于桡——瑞康通5.5F Introsky X导管鞘经桡取栓一例_https://www.jmylbn.com_新闻资讯_第28张

什么叫桡鞘【例久弥新】寻道于桡——瑞康通5.5F Introsky X导管鞘经桡取栓一例_https://www.jmylbn.com_新闻资讯_第29张


复查颅脑CTA及CTP,改善明显。

什么叫桡鞘【例久弥新】寻道于桡——瑞康通5.5F Introsky X导管鞘经桡取栓一例_https://www.jmylbn.com_新闻资讯_第30张

什么叫桡鞘【例久弥新】寻道于桡——瑞康通5.5F Introsky X导管鞘经桡取栓一例_https://www.jmylbn.com_新闻资讯_第31张

什么叫桡鞘【例久弥新】寻道于桡——瑞康通5.5F Introsky X导管鞘经桡取栓一例_https://www.jmylbn.com_新闻资讯_第32张

什么叫桡鞘【例久弥新】寻道于桡——瑞康通5.5F Introsky X导管鞘经桡取栓一例_https://www.jmylbn.com_新闻资讯_第33张




术者体会

此患者症状进行性加重,CTP提示:左侧额顶颞叶大片状低灌注区域,mismatch体积134ml,mismatch比值7.0,考虑ICAS病变可能性大,血栓负荷小,无需大口径抽吸导管。


该患者核心梗死相对较小,术后症状恢复可能性较大,经远桡术后患者无需制动,有利于早期康复运动及预防深静脉血栓。


5.5F Introsky X导管鞘2.43mm外径、0.081”内腔,既满足经桡适配7F血管鞘的需求,同时也可以兼容Catalyst 6中间导管进行经桡取栓。


取栓支架远端保护下球囊可快速到位完成扩张且防止斑块脱落逃逸。




术者介绍

什么叫桡鞘【例久弥新】寻道于桡——瑞康通5.5F Introsky X导管鞘经桡取栓一例_https://www.jmylbn.com_新闻资讯_第34张

刘永康

广州市第一人民医院

  • 广州市第一人民医院介入医学中心脑血管病病区

  • 介入上肢俱乐部秘书

  • 广东省医学会神经介入分会青年委员会副主委

  • 广东省医师协会神经介入分会委员

  • 广东省医学会介入分会神经介入学组副组长

  • 中国研究型医院学会脑血管病专业委员会青年委员会常委

  • 广东省医师协会神经介入医师分会基层医院神经介入医师专业组副组长

  • 广东省医学教育协会脑血管病专业委员会常委

  • 国内获得Pipeline、Surpass Evolve及Tubridge三种血流导向装置带教资格的最年轻导师





产品信息

什么叫桡鞘【例久弥新】寻道于桡——瑞康通5.5F Introsky X导管鞘经桡取栓一例_https://www.jmylbn.com_新闻资讯_第35张




什么叫桡鞘【例久弥新】寻道于桡——瑞康通5.5F Introsky X导管鞘经桡取栓一例_https://www.jmylbn.com_新闻资讯_第36张


什么叫桡鞘【例久弥新】寻道于桡——瑞康通5.5F Introsky X导管鞘经桡取栓一例_https://www.jmylbn.com_新闻资讯_第37张



声明:脑医汇旗下神外资讯、神介资讯、脑医咨询所发表内容之知识产权为脑医汇及主办方、原作者等相关权利人所有。未经许可,禁止进行转载、摘编、复制、裁切、录制等。经许可授权使用,亦须注明来源。欢迎转发、分享。

什么叫桡鞘【例久弥新】寻道于桡——瑞康通5.5F Introsky X导管鞘经桡取栓一例_https://www.jmylbn.com_新闻资讯_第38张
脑医汇App(原神介资讯App短视频”功能全新上线,碎片化时间学习内容长按识别二维码抢先体验!

请点击“阅读原文”进入瑞康通品牌专区。

什么叫桡鞘【例久弥新】寻道于桡——瑞康通5.5F Introsky X导管鞘经桡取栓一例_https://www.jmylbn.com_新闻资讯_第39张

点分享

什么叫桡鞘【例久弥新】寻道于桡——瑞康通5.5F Introsky X导管鞘经桡取栓一例_https://www.jmylbn.com_新闻资讯_第40张

点点赞

什么叫桡鞘【例久弥新】寻道于桡——瑞康通5.5F Introsky X导管鞘经桡取栓一例_https://www.jmylbn.com_新闻资讯_第41张

点在看