上皮细胞用什么染色组织切片染色方法大全

新闻资讯2026-04-23 16:05:42


1

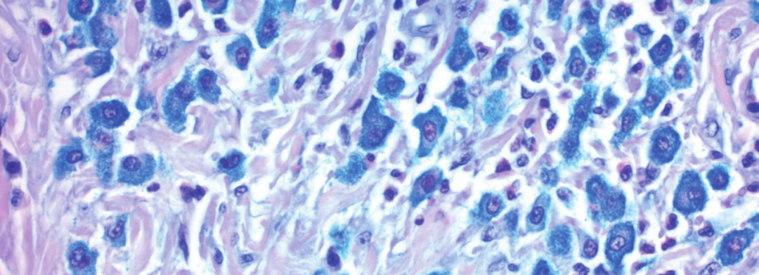
苏木精和伊红染色(HE stain)

HE染色是石蜡切片技术里常用的染色法之一。苏木精染液为碱性,主要使细胞核内的染色质与胞质内的核酸着紫蓝色;伊红为酸性染料,主要使细胞质和细胞外基质中的成分着红色。HE染色法是组织学、胚胎学、病理学教学与科研中最基本、使用最广泛的技术方法。



主要试剂



苏木精、Bluing Reagent试剂、改良伊红Y溶液



染色特点



       细胞质:浅粉色

胶原蛋白:粉红色

肌肉:粉红色/玫瑰色

红细胞:粉红色/红色

细胞核:蓝色


上皮细胞用什么染色组织切片染色方法大全_https://www.jmylbn.com_新闻资讯_第1张

图 1.  苏木精和伊红染色



染色步骤



1. 可选步骤:对切片进行脱蜡至水

2. 在组织切片中加入足够量的苏木精溶液将其完全覆盖并孵化5分钟。

3. 用蒸馏水冲洗2次切片,以去除多余的染色液。

4. 加入足够量的Bluing Reagent试剂以完全覆盖组织切片,并孵育10-15秒。

5. 用蒸馏水冲洗2次切片。

6. 将切片浸入无水乙醇中,并除去多余的染液。

7. 用足够量的改良伊红Y溶液完全覆盖组织切片,并孵化2-3分钟。

8. 用无水乙醇冲切片。

9. 在无水乙醇中进行3次脱水。

10. 清理切片并用合成树脂封片。


2

革兰氏染色(Gram Stain)

革兰氏染色试剂盒用于显示和区分革兰氏阳性和革兰氏阴性菌。革兰氏阳性菌的肽聚糖细胞壁结构厚结晶紫-碘复合物保留在细胞内不被洗脱,经脱色和复染后,被染成蓝紫色,革兰氏阴性菌细胞壁肽聚糖层薄,脱色后结晶紫-碘被洗脱而呈现红色。



主要试剂



龙胆紫溶液、鲁戈氏碘液、革兰氏脱色剂溶液、复红染液、柠檬黄溶液



染色特点



革兰氏阳性细菌:蓝色

革兰氏阴性细菌:红色

其他组织:略带黄色-粉红色

细胞核:红色


上皮细胞用什么染色组织切片染色方法大全_https://www.jmylbn.com_新闻资讯_第2张

图 2.  革兰氏染色(Gram Stain)



 染色步骤



1. 可选步骤:对切片进行脱蜡至水

2. 在组织切片中加入足够量的龙胆紫溶液将其完全覆盖并孵化1分钟。

3. 用蒸馏水冲洗切片以去除多余的染色剂。

4. 使用足量的鲁戈氏碘液将组织切片完全覆盖,并孵育1分钟。

5. 轻柔水洗切片,以去除多余的碘液。

6. 将切片置入革兰氏脱色剂中,直到肉眼看不见染料从切片上渗出。

7. 将切片在轻柔和流动的水中快速清洗。

8. 在切片中加入足够量的复红染液将其完全覆盖,并孵化1-2分钟。

9. 用轻柔的水快速清洗切片,以去除多余的染色剂。

10. 滴加柠檬黄溶液,孵育15秒。

11. 在无水乙醇中冲洗切片1次。

12. 在无水乙醇中进行3次脱水。

13. 在二甲苯或二甲苯替代品中清洗2次切片,并用合成树脂封片。


3

嗜酸性粒细胞和肥大细胞染色

甲苯胺蓝染色液和改良瑞氏吉姆萨染色液相结合,用于嗜酸性粒细胞的染色,且可用于同时观察嗜酸性粒细胞和肥大细胞。



 主要试剂



星蓝溶液、新红溶液、苏木精



 染色特点



肥大细胞:亮蓝色

      嗜酸细胞:亮红色

细胞核:蓝色


上皮细胞用什么染色组织切片染色方法大全_https://www.jmylbn.com_新闻资讯_第3张

图 3.  嗜酸性粒细胞和肥大细胞染色



 染色步骤



1. 可选步骤:对切片进行脱蜡至水

2. 用星蓝溶液对组织切片进行1-3分钟的染色。

3. 蒸馏水快速冲洗2次。

4. 用新红溶液对组织切片染色30分钟,期间不停搅拌。

5. 用蒸馏水快速冲洗2次。

6. 用苏木精复染染15-30秒。

7. 在流动的水中冲切片2分钟,然后在蒸馏水中浸泡1次。

8. 在无水乙醇中进行3次脱水。

9. 清洗载玻片,并用合成树脂封片。


4

 组织弹性蛋白染色(ElasticStain)

用于组织切片中弹性蛋白的组织学可视化。弹性组织的显示对于肺气肿(弹性组织萎缩)、动脉硬化(弹性纤维变薄和丧失)以及其他各种血管疾病的情况很有用。



 主要试剂



5%苏木精溶液、10%氯化铁溶液、卢戈尔碘液、2%氯化铁鉴别液、5%硫代硫酸钠溶液、VanGieson’s溶液



 染色特点



弹性纤维:黑色到蓝色/黑色

细胞核:蓝色至黑色

胶原蛋白:红色

肌肉和其他:黄色


上皮细胞用什么染色组织切片染色方法大全_https://www.jmylbn.com_新闻资讯_第4张

图 4.  组织弹性蛋白染色(ElasticStain,ModifiedVerhoff’s)



染色步骤



      将5%苏木精溶液、10%氯化铁溶液和卢戈尔碘酒溶液按5:2:2配置成弹性蛋白染色液。

1. 可选步骤:对切片进行脱蜡至水。

2. 用配置好的弹性染色液对组织切片进行15分钟的染色。

3. 在流动的水中冲洗,直至切片上不含多余的染色剂残留为止。

4. 将切片在2%氯化铁鉴别液中连续浸润15-20下,随后用水冲洗干净。

5. 显微镜下检查切片是否分化适当。如果需要,重复步骤4。

6. 在流动的水中再次冲洗切片。

7. 将切片放在5%硫代硫酸钠溶液中浸泡1分钟。

8. 在水中冲洗2分钟,然后在蒸馏水中浸洗2次。

9. 用VanGieson's溶液对切片染色2分钟。

10. 在95%的乙醇中冲洗2次。

11. 在无水乙醇中脱水。

12. 清洗载玻片,并用合成树脂封片。


5

刚果红(CongoRed)染色

用于组织切片中淀粉样蛋白的组织学可视化。在偏振显微镜下检查,淀粉样物质会出现绿色双折射。淀粉样物质会被染成红色至粉红色,红细胞会被染成浅橙色,嗜酸细胞颗粒会被染成橙色至红色,细胞核会呈蓝色。



 主要试剂



刚果红溶液、苏木精、Bluing Reagent



 染色特点



淀粉样蛋白:红色至粉红色

红血球细胞:浅橙色

嗜酸细胞颗粒:橙色至红色

细胞核:蓝色


上皮细胞用什么染色组织切片染色方法大全_https://www.jmylbn.com_新闻资讯_第5张

图 5.  刚果红(CongoRed)染色



染色步骤



1. 可选步骤:对切片进行脱蜡至水

2. 用苏木精对切片染色5分钟。

3. 用水冲洗切片。

4. 将载玻片在BluingReagent中孵育30秒。

5. 用蒸馏水冲洗切片。

6. 用无水乙醇短暂冲洗玻片3-5秒。

7. 将刚果红溶液倒入染色瓶中,将切片放入20分钟。确保有足够的染色剂来完全覆盖组织。通过移液器或在水平玻片上倒入较小体积的刚果红溶液进行染色可能会导致非特异性染色。

8. 用无水乙醇将多余的染液从玻片上冲洗掉。

9. 将切片在无水乙醇中再次脱水30秒。

10. 清洗载玻片,并用合成树脂封片。


6

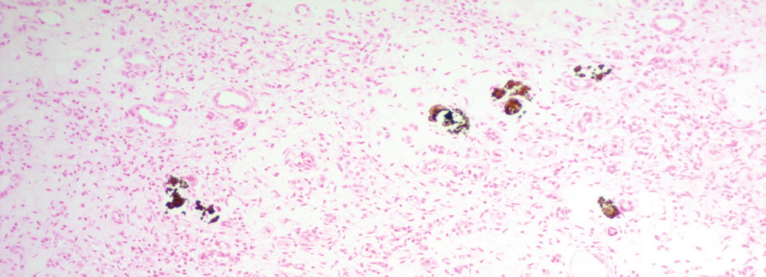
钙染色(Calcium Stain,Modified Von Kossa)

用于石蜡切片中钙质沉积物的组织学观察。大量沉积的钙质会被染成深棕色至黑色,分散沉积的钙质会被染成灰色。核快速红会将细胞核染成红色,细胞质染成浅色。



 主要试剂



5%硝酸银溶液、5%硫代硫酸钠溶液、核快红溶液



 染色特点



大量沉积的钙质:黑色

分散沉积物中的钙:灰色

细胞核:红色

细胞质:浅粉色


上皮细胞用什么染色组织切片染色方法大全_https://www.jmylbn.com_新闻资讯_第6张

图 6. 钙染色(Calcium Stain,Modified Von Kossa)



染色步骤



1. 可选步骤:对切片进行脱蜡至水

2. 将切片浸润5%硝酸银溶液中孵育30-60分钟,同时将其暴露在紫外线或高于75瓦功率的白炽灯下。为获得最佳染色效果,在硝酸银染色过程中,需将光源保持在距玻片61厘米以内。

3. 用蒸馏水对切片进行3次冲洗。

4. 将切片浸入5%硫代硫酸钠溶液中,孵育2分钟。

5. 用流动的水冲洗2分钟,然后在蒸馏水中浸洗2次。

6. 用核快红溶液对组织切片染色5分钟。

7. 用流动的水冲洗2分钟,然后在蒸馏水中浸洗2次。

8. 无水乙醇快速冲洗3次脱水。

9. 清洗载玻片,并用合成树脂封片。


7

 抗酸染色(Acid Fast Bacteria,AFB)

分枝杆菌的细胞壁内含有大量的脂质,包围在肽聚糖的外面,所以分枝杆菌一般不易着色,要经过加热和延长染色时间来促使其着色。但分枝杆菌中的分枝菌酸与染料结合后,就很难被酸性脱色剂脱色,故名抗酸染色。



 主要试剂



5%硝酸银溶液、5%硫代硫酸钠溶液、核快红溶液



 染色特点



抗酸生物体:鲜红色

背景色:浅绿色


上皮细胞用什么染色组织切片染色方法大全_https://www.jmylbn.com_新闻资讯_第7张
图 7. 抗酸染色(AcidFastBacteria,AFB)


染色步骤



1.可选步骤:对切片进行脱蜡至水

2.将切片置于复红染液中孵育15分钟。

3.用流动的水冲洗2分钟,然后在蒸馏水中浸洗2次。

4.将切片置于0.5%酸性乙醇溶液中脱色,直到切片呈淡粉色。

5.将切片在蒸馏水中浸洗2次。

6.在亮绿溶液中进行1-2分钟复染。

7.用蒸馏水冲洗几次。

8.通过分级乙醇快速脱水,最后使用无水乙醇中脱水2次。

9.清洗载玻片,并用合成树脂封片。


8

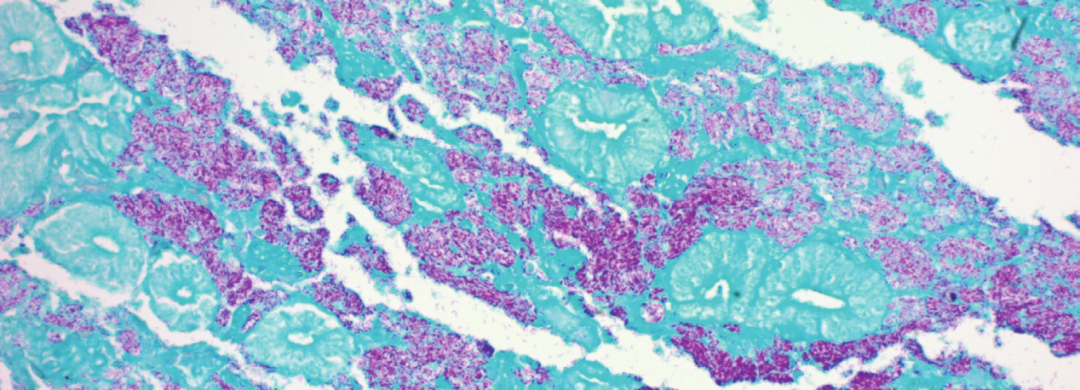
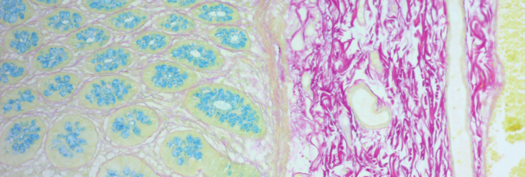
阿利新蓝染色(Alcian Blue)

该法可以染色酸性黏蛋白、蛋白多糖、透明质酸等物质,可以区分硫黏蛋白和蛋白多糖。阿利新蓝染染液有pH2.5和pH1.0两个版本,pH2.5更适用于含用于硫酸和羧化酸性粘多糖以及硫酸和羧化唾液酸(或含羟基的粘液物质)、新型隐球菌的组织学染色,pH1.0更适合于含硫酸化粘液物质染色。


阿利新蓝染液(pH1.0版)



 主要试剂



黄色阿利新蓝溶液(pH1.0)、盐酸溶液(1N)、核快红



 染色特点



强硫酸化粘液物质:蓝色

细胞核:红色

背景:粉红色


上皮细胞用什么染色组织切片染色方法大全_https://www.jmylbn.com_新闻资讯_第8张
图 8.  利新蓝染液(pH1.0版)


染色步骤



保持适当的pH值是防止粘蛋白染色假阳性的关键。阿利新蓝在使用前后均需要控制pH,工作冲洗液的pH值应在1.0±0.15之间。

1. 可选步骤:对切片进行脱蜡至水

2. 将盐酸溶液(1N)和去离子水按1:9配置成冲洗工作液

3. 在组织上涂抹少量(<2ml/张)"冲洗工作液"30秒,以调整pH值,准备染色。

4. 沥干切片,无需冲洗,用阿利新蓝溶液(pH1.0)溶液对切片染色30分钟。

5. 使用"冲洗工作液"迅速、彻底地冲洗切片片上多余的染色剂。

6. 小心地擦拭并让切片风干。

7. 可选步骤:在核快速红中进行1-2分钟复染,时而搅拌一下。在去离子水中进行短暂的冲洗,并让其再次完全风干。

8. 清洗载玻片,并用合成树脂封片。


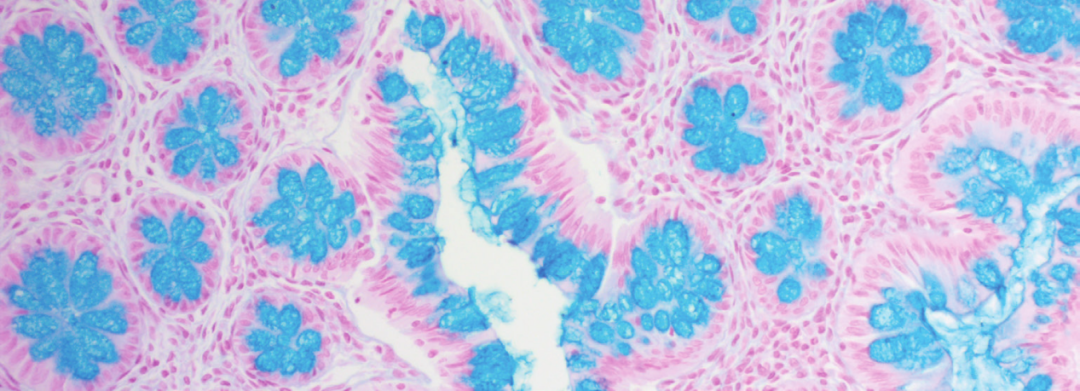
阿利新蓝染液(pH2.5版)



 主要试剂



阿利新蓝溶液(pH2.5)、盐酸溶液(1N)、核快红溶液



 染色特点



酸性硫酸化粘膜物质:蓝色

透明质酸:蓝色

唾液酸:蓝色

细胞核:红色

背景:粉红色


上皮细胞用什么染色组织切片染色方法大全_https://www.jmylbn.com_新闻资讯_第9张
图 9.  阿利新蓝染液(pH2.5版)


主要试剂



阿利新蓝溶液(pH2.5)、盐酸溶液(1N)、核快红溶液



 染色特点



酸性硫酸化粘膜物质:蓝色

透明质酸:蓝色

唾液酸:蓝色

细胞核:红色

背景:粉红色


上皮细胞用什么染色组织切片染色方法大全_https://www.jmylbn.com_新闻资讯_第10张
图 10.  

阿利新蓝染液(pH2.5版)



染色步骤



1. 可选步骤:对切片进行脱蜡至水

2. 将切片在醋酸溶液中孵育3分钟。

3. 用阿利新蓝溶液(pH2.5)在室温下染色30分钟,或在37°C下染色15分钟。

4. 可选步骤:用醋酸溶液短暂冲洗切片片,以去除多余的阿利新蓝溶液。

5. 用流动的水冲洗2分钟,然后在蒸馏水中浸洗2次。

6. 用核快速红溶液对切片进行染色5分钟。

7. 用流动的水冲洗2分钟,然后在蒸馏水中浸洗2次。

8. 依次通过分级乙醇脱水。

9. 清洗载玻片,并用合成树脂封片。


阿利新蓝染液(PAS版)

  用于硫酸化和羧基化的酸性粘多糖、硫酸化和羧基化的唾液粘蛋白(糖蛋白)和中性粘蛋白的组织可视化。



 主要试剂



3%乙酸溶液、阿利新蓝溶液,pH2.5、1%高碘酸溶液、schiff's溶液、苏木精



 染色特点



酸性硫酸化粘膜物质:蓝色

透明质酸:蓝色

唾液酸:蓝色

中性粘蛋白:洋红色

酸性和中性的混合物:蓝色-淡紫色


上皮细胞用什么染色组织切片染色方法大全_https://www.jmylbn.com_新闻资讯_第11张

图 11. 阿利新蓝染液(PAS版)



染色步骤



1.可选步骤:对切片进行脱蜡至水

2.在组织切片上涂抹3%乙酸溶液,反应2分钟。

3.去除多余的乙酸溶液,不清洗,用pH2.5阿利新蓝溶液浸泡切片15-20分钟。

4.用流动的水冲洗2分钟,然后在蒸馏水中浸洗2次。

5.在组织切片上涂抹高碘酸溶液,反应5分钟。

6.用蒸馏水冲洗切片2次。

7.在组织切片上涂抹Schiff's溶液,反应10-20分钟。

8.用温水冲洗2分钟,然后在蒸馏水中浸洗2次。

9.在组织切片上涂抹苏木精,反应2分钟。

10.用流动的水冲洗2分钟,然后在蒸馏水中浸洗2次

11.通过分级乙醇脱水。

12.清洗载玻片,并用合成树脂封片。


9

胶体铁染(Colloidal Iron Stain)

胶体铁染色试剂盒是为酸性粘多糖的组织学可视化而设计的。胶体铁与粘液蛋白结合,然后通过经典的Perls/Prussian蓝反应进行检测。结果提供蓝色的酸性粘多糖、红色的胶原蛋白以及黄色的肌肉、细胞质和背景。VanGiesons是一种类似于PicrosiriusRed的反染色剂,但在一分钟内提供对比鲜明的背景。



 主要试剂



12%乙酸溶液、盐酸溶液(1N)、3%铁氰化钾溶液、胶体铁储备溶液、VanGieson's溶液



 染色特点



酸性粘多糖:亮蓝色

       胶原蛋白:深浅不一的红色


上皮细胞用什么染色组织切片染色方法大全_https://www.jmylbn.com_新闻资讯_第12张
图 12. 胶体铁染(Colloidal Iron Stain)


染色步骤



溶液配制:12%乙酸溶液,蒸馏水,胶体铁储备溶液按1:3:4配成胶体铁工作液;盐酸溶液(1N)和3%铁氰化钾溶液按1:1配成铁染色工作液。

1. 可选步骤:对切片进行脱蜡至水

2. 12%乙酸溶液覆盖组织切片30秒。

3. 将载玻片置于胶体铁工作溶液中30分钟,偶尔轻轻搅动。使用一次后丢弃。

4. 用12%乙酸溶液彻底冲洗切片3次,每次冲2分钟。

5. 用铁染色工作液中对切片进行染色,染10分钟,偶尔轻轻搅拌。使用一次并丢弃。

6. 用蒸馏水冲洗3次。

7. 用VanGieson's溶液对切片染色30秒。

8. 在无水乙醇中中脱水3次。

9. 清洗载玻片,并用合成树脂封片。


10

铜沉积染色

罗丹宁使铜沉积呈现棕色到红色,苏木精用于核复染,可对组织切片中的铜沉积物染色。



 主要试剂



罗丹宁溶液、醋酸盐缓冲液、苏木精



 染色特点



铜沉积:浅棕色至红色

细胞核:蓝色


上皮细胞用什么染色组织切片染色方法大全_https://www.jmylbn.com_新闻资讯_第13张
图 13. 铜沉积染色


染色步骤



摇晃原液醋酸盐缓冲液并按2:25加入罗丹宁溶液,配置成罗丹宁工作液。

1. 可选步骤:对切片进行脱蜡至水。

2. 将装有罗丹宁工作液的染色瓶松盖放入微波炉中,加热溶液至温热但不烫手。

3. 将切片置于加热的罗丹宁工作液中,微波加热,直至溶液变热但不让溶液煮沸。

4. 染色瓶盖拧紧,轻轻摇晃使其均匀混合,并让溶液在台面上冷却到室温,偶尔再摇晃一下。

5. 重复加热/冷却循环(步骤3和4),随后取出切片显微镜下观察,直到达到理想的染色强度。

6. 用醋酸缓冲液(pH8.0)冲洗切片2次,每次1分钟。

7. 用苏木精对切片染色5-10秒。

8. 用醋酸缓冲液(pH8.0)再次冲洗3次切片,每次1分钟。

9. 在无水乙醇中脱水3次。

10. 在二甲苯或二甲苯替代品中清洗2次载玻片,并用合成树脂封片。



上皮细胞用什么染色组织切片染色方法大全_https://www.jmylbn.com_新闻资讯_第14张

扫描二维码

上皮细胞用什么染色组织切片染色方法大全_https://www.jmylbn.com_新闻资讯_第15张   关注我们  上皮细胞用什么染色组织切片染色方法大全_https://www.jmylbn.com_新闻资讯_第16张

微信号 :山西维康同源病理诊断中心


摘自:细胞技术达论

明:凡注明来源的均属转载,转载仅为了分享专业知识,如果侵犯了您的权益,请留言联系我们,我们将及时改正或删除。