上皮细胞用什么染色知识点202:尿液(尿沉渣)常用的染色方法

新闻资讯2026-04-23 16:05:40


上皮细胞用什么染色知识点202:尿液(尿沉渣)常用的染色方法_https://www.jmylbn.com_新闻资讯_第1张


写在前面:
        对于尿常规的检查,其实可以提供很多额外的有用的使用价值的,其中很多使用价值是在尿沉渣显微镜镜检下得到的,平时显微镜镜检都是直接观察,但是当出现异常需要进一步确认时就需要进行相应的染色,在尿液尿液检验有形成分名称与结果报告专家共识中提到白细胞活体染色鉴别首选施特恩海姆-马尔宾(SM)染色和施特恩海姆(S)染色,制片染色鉴别首选瑞吉染色,嗜酸性粒细胞染色鉴别用汉斯染色,白细胞与肾小管上皮细胞鉴别用甲苯胺蓝染色或SM染色,与死亡滴虫鉴别使用瑞吉染色或革兰染色,与皱缩红细胞鉴别用2%乙酸,疑似尿路上皮细胞时建议使用染色,首选巴氏染色,脂肪颗粒细胞或者脂肪管型建议苏丹三染色,尿液中3还能见到诱饵细胞、含铁血黄素颗粒细胞、多核巨细胞、肾小囊脏层上皮细胞(即足细胞)等,建议使用偏振光显微镜或脂肪染色、铁染色法鉴别,那么今天就来说一说这些尿沉渣所使用的染色。

上皮细胞用什么染色知识点202:尿液(尿沉渣)常用的染色方法_https://www.jmylbn.com_新闻资讯_第2张
PART01:尿沉渣染色——不染色
★尿沉渣最常用的是按照标准离心,然后进行直接显微镜镜检,也就是湿片观察:
★不染色的情况下,对一些典型的红白细胞、上皮类细胞和结晶类有形成分有很高的辨识,特别是对于滴虫这样的成分而言,但是当出现不好辨识的成分就需要进行染色观察了。
上皮细胞用什么染色知识点202:尿液(尿沉渣)常用的染色方法_https://www.jmylbn.com_新闻资讯_第3张        

上皮细胞用什么染色知识点202:尿液(尿沉渣)常用的染色方法_https://www.jmylbn.com_新闻资讯_第2张
PART02:尿沉渣染色——SM染色    
★SM染色是一种十分常见的活体染色,尿液中的有形成分经SM染色后,使得其形态和内部结构清晰,特别是对白细胞、管型易于识别辨认。可将白细胞区分为浓染细胞、淡染细胞,闪光细胞,以辅助诊断尿路感染。可鉴别各类管型等,一般情况是活体细胞不染色,死亡细胞染色较深。
★SM染液配制:染液配制(可选成品商业试剂盒),手工配制方法如下:
▼A液(结晶紫):龙胆紫(结晶紫)3.0g,草酸铵0.8g,溶于95%乙醇20.0ml,加蒸馏水80.0ml。
▼B液(沙黄):沙黄O (番红O)0.25g,溶于95%乙醇10.0ml,加蒸馏水100.0ml。
▼A液和B液按3:97比例混合过滤,储存于棕色瓶内冷藏保存(4-8℃),注意:如果发生沉淀,要重新滤过或重新调制。
★SM染色步骤:将离心后的尿沉渣混匀,在0.2ml样品中加入一滴SM染液并混匀,样品与染液比例为(4~5):1,染色时间为1~5min。混匀后尽快观察,建议10分钟内完成镜检。
★SM染色效果:尿中主要有形成分染色特点如下:
▼白细胞:嗜中性粒细胞染成紫色,细胞核染紫红色。
▼红细胞基本不着色或淡紫色,结晶不着色。
▼管型:透明管型染成淡红色或浅玫瑰色,颗粒管型染成淡紫色或者紫蓝色,细胞管型染深紫色,蜡样管型染红紫色-深紫色。
▼上皮细胞:核染紫色-深紫色,胞质染桃红色-淡紫色,脂肪管型中的脂肪滴不着色。
▼细菌和真菌:存活及有活力的细菌染成粉红色,死亡的细菌染成深紫色,酵母样真菌不着色或淡紫色。
上皮细胞用什么染色知识点202:尿液(尿沉渣)常用的染色方法_https://www.jmylbn.com_新闻资讯_第5张
★影响SM染色的因素:    
▼染液与尿液标本的比例:如染液过多,有形成分深染,不易观察,染液过少,达不到染色效果,最适宜比例为4~5:1,在实际工作中,需要不断尝试这个以找到适合的比例。
▼染色所用的时间:染色时间的过长,有形成分逐渐深染,不易观察,染色时间过短,有形成分不易着色,建议染色时间为2~5分钟。有些成分极易染色,如死的白细胞、上皮细胞及部分颗粒管型,1分钟内就可以着色,在实际工作中需要按照想要观察的细胞成分进行摸索或者按照时间多观察几张染色片。
▼需要注意尿液pH值:尿液酸碱度也是影响染色效果的主要因素,酸性或碱性环境,可使有形成分染色效果略有不同,出现整体染色偏红或偏蓝的情况,尿液SM染色最适pH为6.0左右,当仪器给出的PH值与此偏差较大时,需要灵活观察所需要观察的成分,或者进行其他方式染色。
▼在观察中需要注意:对于尿液染色的观察需要注意尿液本身的颜色对染色结果会有一定影响,特比是胆红素尿这样的深色尿,其尿中有形成分多为深黄色,经过SM染色后的有形成分多呈红色或深红色。
▼另外一个需要注意的是:SM染液是相对容易得到的一种染液,也是尿液染色的主要染液,其成分是结晶紫和番红O,这两个就是革兰染色中的两个染液,如果没有专门的配制染液或成品染液,可以根据浓度用革兰染色中的结晶紫和沙黄进行配制。         

上皮细胞用什么染色知识点202:尿液(尿沉渣)常用的染色方法_https://www.jmylbn.com_新闻资讯_第2张
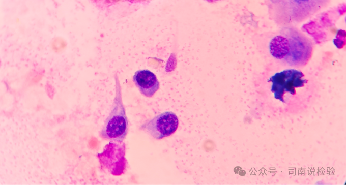
PART03:尿沉渣染色——S染色
★S染色法是尿液检验中常用的活体染色法,其染液中包含两种物质,即阿利新蓝和派洛宁B,S染色是区别染色细胞质的优异方法,并且核以及核内结构清晰可见,观察未染色及染色,通过染色法可以区分难以识别的异形细胞(非典型细胞)。
★S染液配制:
▼Ⅰ液是2%阿利新蓝8GS水溶液,Ⅱ液是1.5%派洛宁B水溶液
▼将Ⅰ液和Ⅱ液滤过后,按2:1的比例混合,将混合液置于褐色瓶中,在室温下可稳定保存数月。
★S染色步骤:在0.2mL的尿沉渣中滴入1滴染色液。
★染色效果:S染色后,可鉴别细胞的死活,死的细胞胞核呈蓝色或深蓝色,胞质呈紫红色,活的细胞胞核紫红色,胞质呈淡粉色。其总体上染色效果为上皮细胞的细胞质、核仁被染成粉红色~紫红色,而核被染成蓝色~紫色。
(图片来自:闫立志老师,内蒙古包钢医院)    
上皮细胞用什么染色知识点202:尿液(尿沉渣)常用的染色方法_https://www.jmylbn.com_新闻资讯_第7张         

上皮细胞用什么染色知识点202:尿液(尿沉渣)常用的染色方法_https://www.jmylbn.com_新闻资讯_第2张
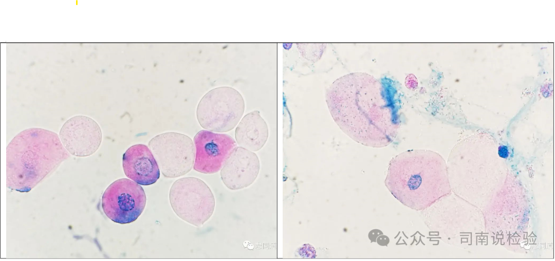
PART04:尿沉渣染色——瑞氏吉姆萨染色
★瑞氏吉姆萨染色:是血液最主要的染色方式,在尿液沉渣染色中也起到了重要的作用,其主要原因是各个实验室都会有这个染色,且细胞分辨的比较清楚,由于过于清楚具体原理和成分配制就不过多介绍(有商品化成品且价格不贵)
★瑞氏吉姆萨染色步骤:
▼滴加瑞氏-吉姆萨染液(约0.2~0.6mL)于涂片上,并让染液覆盖整个标本涂片,染色1分钟。
▼将等量的磷酸盐缓冲液滴加于瑞氏-吉姆萨染液上面,以洗耳球使两液充分混合,染色3~10分钟。
▼水洗,冲洗时不能先倒掉染色液,可缓慢从玻片一端冲洗,以防有沉渣沉淀在标本上。
▼干燥、镜检。
★染色效果:同血液制片染色,脱落细胞染色其细胞核染紫红色,核仁染蓝色。细胞质随着分化程序的不同,其嗜碱性程度也有变化,呈深浅不等的蓝色
★瑞氏吉姆萨染色需要注意的问题:
▼对于细胞固定:说明说关于脱落细胞涂片中说明,待检涂片固定可采用自然干燥法或湿片固定法(具体操作可根据不同检体及所采用的固定液所对应的规范操作要求进行),若采用湿片固定法,标本浸泡时间稍长些,效果会更佳,若采用湿片固定液固定标本,固定液用后需经常过滤,更换,防止细胞交叉污染。在染色过程中如果容易脱落或者形态不规则可采用固定剂固定(血常规仪器固定中有甲醇,可以直接使用)一下再染色效果会更好一些。 
▼对于尿液推片:将尿液标本进行离心浓缩后,可以按照血液图片的方式进行推片,也可以留一两滴做成厚推片,染色备用。
上皮细胞用什么染色知识点202:尿液(尿沉渣)常用的染色方法_https://www.jmylbn.com_新闻资讯_第9张

上皮细胞用什么染色知识点202:尿液(尿沉渣)常用的染色方法_https://www.jmylbn.com_新闻资讯_第2张
PART05:尿沉渣染色——苏丹三染色
★苏丹三染色:看这个名字就知道是用来将尿中脂肪成分染色,当尿沉渣中含有脂肪的成分有脂肪球、脂肪管型、卵圆形脂肪体、巨噬细胞、脂肪颗粒细胞、脂肪管型时需要使用苏丹三染色进行确认。
★苏丹三染液配制将Sudan Ⅲ溶解于70%乙醇中,密封,在56 ~ 60℃的恒温箱中放置12小时。然后恢复至室温,过滤保存。
★苏丹三染色步骤:在0.2mL的尿沉渣中滴入2~3滴染色液。
★革苏丹三染色效果:肪球、脂肪管型、卵圆形脂肪体、巨噬细胞(含有脂肪)的脂肪成分被染成橙色~红色。
上皮细胞用什么染色知识点202:尿液(尿沉渣)常用的染色方法_https://www.jmylbn.com_新闻资讯_第11张
上皮细胞用什么染色知识点202:尿液(尿沉渣)常用的染色方法_https://www.jmylbn.com_新闻资讯_第12张
PART06:尿沉渣染色——含铁血黄素试验(Rous试验)/普鲁士蓝染色
★Rous试验原理:尿含铁血黄素试验也称Rous试验。当血管内红细胞被大量破坏时,血红蛋白可直接通过肾脏滤过。久之铁离子以含铁血黄素的形式沉积于上皮细胞,并随尿液排出。尿中含铁血黄素是不稳定的铁蛋白聚合体,其高铁离子与亚铁氰化钾作用,在酸性环境下产生蓝色的亚铁氰化铁沉淀。
★Rous试验应用液配制(新鲜配):用一次性吸管吸取20%亚铁氰化钾1.25mL放在干净试管中,再吸取浓盐酸0.25mL,一滴一滴慢慢加入20%亚铁氰化钾中并充分混匀,所配试剂为黄绿色(翠绿色)清亮液体。
★Rous试验步骤:应用液配制完毕后,向尿沉淀管中加入染色应用液1mL左右,在室温中放置30min。离心沉淀,用一次性吸管吸去上清液,取沉淀物涂片,先用低倍镜检查,再用高倍镜仔细观察。
★Rous试验结果判定:高倍镜下见有分散,或成堆蓝色直径约1~ 3um粗大颗粒即为阳性,如在上皮细胞内结果更为可靠。有时,管型中亦可见到同样的蓝色颗粒,正常参考值为阴性。
吴侠老师 秦皇岛市第一医院 含铁血黄素颗粒管型(普鲁士蓝染色)
上皮细胞用什么染色知识点202:尿液(尿沉渣)常用的染色方法_https://www.jmylbn.com_新闻资讯_第13张
邓坤仪 蔡俊玲 中山市博爱医院 佛山科学技术学院Rous 试验(正常、患者、Rous试验阳性)
上皮细胞用什么染色知识点202:尿液(尿沉渣)常用的染色方法_https://www.jmylbn.com_新闻资讯_第14张

上皮细胞用什么染色知识点202:尿液(尿沉渣)常用的染色方法_https://www.jmylbn.com_新闻资讯_第2张
PART07:Lugol染色(卢戈氏染液)
戈氏染液:对尿沉渣中的含有糖原的细胞(中层~底层扁平上皮细胞)和淀粉粒进行染色。
戈氏染液染色液的调制:碘1g,碘化钾2g,融于蒸馏水300mL(有商品化成品)
卢戈氏染液染色步骤:在0.2mL的尿沉渣中滴入1滴染色液。
卢戈氏染液染色效果:含有糖原的细胞被染成褐色,淀粉粒被染成紫色~黑色。
★碘染色更多的是用在阿米巴原虫染色(鉴别吞噬细胞和阿米巴原虫)、粪便的淀粉颗粒染色上,此外需要注意的是卢戈氏碘液其实就是革兰染色液中的一个,当需要时可以去微生物实验室进行取用。
上皮细胞用什么染色知识点202:尿液(尿沉渣)常用的染色方法_https://www.jmylbn.com_新闻资讯_第16张

上皮细胞用什么染色知识点202:尿液(尿沉渣)常用的染色方法_https://www.jmylbn.com_新闻资讯_第12张
司南说:在临床实践中,除了基础知识扎实以外,更需要的是完整的临床思维和快速应变的能力,对于尿沉渣镜检随着仪器的更新换代更加不被重视,但仪器也有仪器的短处,古老的方法也有古老方法的好处,两者结合在一起才能发挥两者的优势,使得所报告出的结果更加真实,对临床医师更有帮助,对于细胞染色还有很多,也有很多实验室没有这些染液,那么当出现异常情况需要染色时别忘了瑞氏吉姆萨染色操(常规实验室都有)、SM染色(革兰染色液中两个自行配制)、卢戈氏碘液染色(革兰染色液中含有)、亮氨酸判断的硫酸铜染色(生化反应蛋白质检测双缩脲的第二试剂就是硫酸铜)等等,灵活应用,综合分析(如有的结晶是需要特殊疾病才会引起,当看到类似结晶时没有临床资料的支持那么不是的概率很高)才能得到真实的结果,不多说了,最后永远是那句老话,对于检验而言细节决定成败,检以求真,验以正德!
说明:由于笔者知识储备有限、经验有限,本文主要是整理以往的资料与实际应用中的经验(其中建议仅供参考),仅供交流、学习与分享使用,内容不作为临床诊疗依据,如有错误请私信笔者,非商业用途,仅供专业人士参考与交流,如有侵权请与笔者联系进行删除操作,谢谢!
参考资料:
1. 尿液检验有形成分名称与结果报告专家共识2021
   

上皮细胞用什么染色知识点202:尿液(尿沉渣)常用的染色方法_https://www.jmylbn.com_新闻资讯_第18张