上皮细胞用什么染色组织学 | 上皮组织

新闻资讯2026-04-23 16:05:45

课程:组织学

主题:上皮组织

组织学(histology) 是研究机体微细结构及其相关功能的科学,包括细胞、组织、器官和系统。

常用组织学技术:

  • 光学显微镜技术:应用光镜观察组织切片。
    • 光镜观察的石蜡包埋(paraffin imbedding )组织切片通过取材、固定、石蜡包埋、切片、脱蜡、染色、透明等步骤制成。
    • 组织学中最常用的是苏木精(hematoxylin)-伊红(eosin)染色法,即HE染色法。苏木精是碱性染料,能将细胞核染成蓝紫色;伊红是酸性染料,能将细胞质染成红色。
    • 如使用荧光染料,则需用以紫外线为光源的荧光显微镜(fluorescence microscope)观察。
    • 无色透明的活细胞需用相差显微镜(phase contrast microscope)观察。
上皮细胞用什么染色组织学 | 上皮组织_https://www.jmylbn.com_新闻资讯_第1张
  • 电镜技术:用电子束替代可见光,用电磁透镜代替光学透镜,用荧光屏使电子束成像。
    • 透射电镜术(transmission electron microscopy, TEM):用电子束穿透样品、产生物像。
    • 扫描电镜术(scanning electron microscopy, SEM):用电子束在标本表面扫描,收集标本表面散射的电子并成像。
  • 组织化学术(histochemistry):应用化学等多学科的原理和技术与组织学技术相结合,能在组织切片定性、定位地显示某种物质的部分。
    • 一般组织化学术:例如用过碘酸希夫反应(periodic acid Schiff reaction, PAS reaction)显示聚糖和糖蛋白的糖链。
    • 免疫组织化学术(immunohistochemistry):根据抗原与抗体特异性结合的原理检测组织中肽和蛋白质。常用荧光素、辣根过氧化物酶(HRP)、胶体金将抗体标记。
    • 原位杂交术(in situ hybridization)即核酸分子杂交组织化学术。
上皮细胞用什么染色组织学 | 上皮组织_https://www.jmylbn.com_新闻资讯_第2张
上皮细胞用什么染色组织学 | 上皮组织_https://www.jmylbn.com_新闻资讯_第3张
抗生物素-生物素-过氧化酶复合物技术称为ABC法
上皮细胞用什么染色组织学 | 上皮组织_https://www.jmylbn.com_新闻资讯_第4张
  • 图像分析术
  • 细胞培养术(cell culture)和组织工程
    • 组织工程(tissue engineering):用细胞培养术在体外模拟构建机体组织或器官。
  • 组织芯片技术(tissue chip):将组织标本有序集成在固相载体上形成组织微阵列(tissue microarrays, TMA),再利用各种组织学、分子生物学技术对芯片中的组织进行检测。

上皮组织(epithelial tissue)简称上皮(epithelium),由大量形态规则、排列密集的上皮细胞和极少量的细胞外基质组成。

上皮细胞用什么染色组织学 | 上皮组织_https://www.jmylbn.com_新闻资讯_第5张
固有层(lamina propria)为薄层结缔组织
  • 上皮细胞具有明显的极性,一面为游离面(朝向身体表面或腔面),一面为基底面(朝向深部结缔组织)。
  • 基底膜(basement membrane)是基底面的一附着层膜,是细胞外基质特化而形成的一种柔软、坚韧的网膜结构。
  • 上皮组织内大都无血管,所需营养依靠结缔组织内的血管提供。
  • 上皮组织内可有丰富感觉神经末梢。
  • 根据功能,上皮组织分为被覆上皮(covering epithelium)腺上皮(glandular epithelium) 两大类。
    • 被覆上皮具有保护、吸收、分泌、排泄等功能。
    • 腺上皮具有分泌功能。
    • 此外,体内还有少量特化的上皮如感觉上皮(sensory epithelium)、肌上皮(myoepithelium)等。

被覆上皮(covering epithelium)覆盖于身体表面,或衬贴在体腔和有腔器官内表面。

上皮细胞用什么染色组织学 | 上皮组织_https://www.jmylbn.com_新闻资讯_第6张
上皮细胞用什么染色组织学 | 上皮组织_https://www.jmylbn.com_新闻资讯_第7张
  • 单层扁平上皮(单层鳞状上皮,simple squamous epithelium)
    • 由一层扁平细胞组成
    • 从上皮表面观察,细胞呈不规则形或多边形,核椭圆形位于细胞中央,细胞边缘呈锯齿状或波浪状互相嵌合
    • 从垂直切面观察,细胞扁薄,胞质少,只有含核的部分略厚
    • 衬贴于心脏、血管和淋巴管腔面的单层扁平上皮称内皮(endothelium);分布于胸膜腔、腹膜腔和心包腔表面的单层扁平上皮称间皮(mesothelium)
上皮细胞用什么染色组织学 | 上皮组织_https://www.jmylbn.com_新闻资讯_第8张
上皮细胞用什么染色组织学 | 上皮组织_https://www.jmylbn.com_新闻资讯_第9张
  • 单层立方上皮(simple cuboidal epithelium)
    • 由一层近似立方形的细胞组成
    • 从上皮表面观察,细胞呈六角形或多角形
    • 从垂直切面观察,细胞呈立方形,核圆、居中
上皮细胞用什么染色组织学 | 上皮组织_https://www.jmylbn.com_新闻资讯_第10张
  • 单层柱状上皮(simple columnar epithelium)
    • 由一层棱柱状细胞组成
    • 从上皮表面观察,细胞呈六角形或多角形
    • 从垂直切面观察,细胞为柱状,核为椭圆形,核的长轴与细胞长轴一致
上皮细胞用什么染色组织学 | 上皮组织_https://www.jmylbn.com_新闻资讯_第11张
上皮细胞用什么染色组织学 | 上皮组织_https://www.jmylbn.com_新闻资讯_第12张
  • 假复层纤毛柱状上皮(pseudostratified ciliated columnar epithelium)
    • 主要分布在呼吸道管腔面,由柱状细胞、梭形细胞、锥形细胞和杯状细胞组成,其中柱状细胞最多
    • 这些细胞基底部均附着于基膜,因此在垂直切面上观察貌似复层实为单层
上皮细胞用什么染色组织学 | 上皮组织_https://www.jmylbn.com_新闻资讯_第13张
上皮细胞用什么染色组织学 | 上皮组织_https://www.jmylbn.com_新闻资讯_第14张
  • 复层扁平上皮(复层鳞状上皮,stratified squamous epithelium)
    • 由多层细胞组成,表层细胞是扁平鳞片状
    • 从垂直切面观察,细胞形状不一。基底细胞为矮柱状,为具有增殖能力的干细胞;向上为数层多边形细胞;再上为几层梭形或扁平细胞;最表层的扁平细胞已退化逐渐脱落
    • 位于皮肤表皮的复层扁平上皮的浅层细胞已角质化(keratinized),核消失,胞质充满角蛋白,细胞干硬并不断脱落
上皮细胞用什么染色组织学 | 上皮组织_https://www.jmylbn.com_新闻资讯_第15张
上皮细胞用什么染色组织学 | 上皮组织_https://www.jmylbn.com_新闻资讯_第16张
  • 复层柱状上皮(stratified columnar epithelium)
    • 由数层细胞组成
    • 深部为一层或几层多边形细胞。浅部为一层排列较整齐的矮柱状细胞
上皮细胞用什么染色组织学 | 上皮组织_https://www.jmylbn.com_新闻资讯_第17张
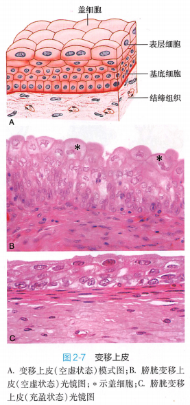
  • 变移上皮(transitional epithelium)
    • 分布于排尿管道,其细胞可分为表层细胞、中间层细胞和基底细胞
    • 一个表层细胞可覆盖几个中间层细胞,故称为盖细胞(umbrella cell)
    • 细胞形状和层数可随器官的空虚与扩张状态而变化,如膀胱空虚时上皮变厚、细胞层数增多、盖细胞呈大的立方形,膀胱充盈时上皮变薄、细胞层数减少、盖细胞呈扁平状
上皮细胞用什么染色组织学 | 上皮组织_https://www.jmylbn.com_新闻资讯_第18张
上皮细胞用什么染色组织学 | 上皮组织_https://www.jmylbn.com_新闻资讯_第19张

腺上皮(glandular epithelium)是由腺细胞组成的以分泌功能为主的上皮,分泌物有酶类、黏液、激素等。

腺(gland) 是以腺上皮为主要成分的器官或结构。

  • 外分泌腺(exocrine gland):腺分泌物经导管排至体表或器官腔内,如三对大唾液腺、胰腺、皮肤中的汗腺和皮脂腺、胃壁中的胃腺等。
  • 内分泌腺(endocrine gland):没有导管,分泌物(为激素)一般释放入血,如甲状腺、肾上腺等。
上皮细胞用什么染色组织学 | 上皮组织_https://www.jmylbn.com_新闻资讯_第20张

外分泌腺一般由分泌部(secretory portion)导管(duct) 两部分组成。分泌部的形状有管状、泡状、管泡状,根据导管有无分支可分为单腺或复腺。

上皮细胞用什么染色组织学 | 上皮组织_https://www.jmylbn.com_新闻资讯_第21张

分泌部一般由单层腺细胞组成,中央有腔。腺泡(acinus) 指的是泡状和管泡状的分泌部。

在消化系统和呼吸系统中的腺细胞一般可分为浆液细胞和黏液细胞两种。

  • 浆液细胞(serous cell)
    • 核为圆形,位于细胞偏基底部
    • 基底部胞质呈强嗜碱性
    • 顶部胞质含较多嗜酸性的分泌颗粒,称酶原颗粒(zymogen granule)
    • 电镜下可见胞质中(尤其是基底部)有密集的粗面内质网,核上区有发达的高尔基复合体和酶原颗粒
  • 黏液细胞(mucous cell)
    • 核扁圆形,居细胞基底部
    • 除在核周的少量胞质呈嗜碱性染色外,大部分胞质几乎不着色
    • 电镜下可见基底部胞质中有一定量的粗面内质网,核上区有发达的高尔基复合体和黏原颗粒
上皮细胞用什么染色组织学 | 上皮组织_https://www.jmylbn.com_新闻资讯_第22张

浆液细胞和黏液细胞可以分别组成浆液性腺泡和黏液性腺泡,也可以共同组成混合性腺泡。

上皮细胞用什么染色组织学 | 上皮组织_https://www.jmylbn.com_新闻资讯_第23张
大部分混合性腺泡主要由黏液细胞组成。浆半月(serous demilune):少量浆液细胞位于腺泡底部,在切片中呈半月形结构。肌上皮细胞(myoepithelial cell):在腺细胞的外方,扁平多突起,其收缩有助排出分泌物。闰管、纹状管均为导管。

直接与分泌部相连,由单层或复层上皮组成。

上皮细胞用什么染色组织学 | 上皮组织_https://www.jmylbn.com_新闻资讯_第24张
intercalated duct 闰管;striated duct 纹状管;excretory duct排泄管。
  • 游离面
    • 微绒毛(microvillus):上皮细胞游离面伸出的微细指状突起,直径约0.1μm。使细胞表面积显著增大,有利于吸收。
    • 纤毛(cilium):上皮细胞游离面伸出的粗而长的突起,直径0.3~0.5μm,具有节律性定向摆动的能力。
上皮细胞用什么染色组织学 | 上皮组织_https://www.jmylbn.com_新闻资讯_第25张
微绒毛的胞质中有许多纵行的微丝,微丝下端插入胞质,附着于终末网。终末网是微绒毛基部胞质中与细胞表面平行的微丝网。
上皮细胞用什么染色组织学 | 上皮组织_https://www.jmylbn.com_新闻资讯_第26张
纤毛中央有两条单独的微管,周围有9组二联微管。纤毛基部有一个致密的基体(basal body),结构与中心粒基本相同。
  • 侧面:多种细胞连接,都依赖于Ca2+离子
    • 紧密连接(tight junction):由分支状封闭索网络组成,阻挡物质穿过细胞间隙。
    • 黏着小带(zonula adherens):多位于紧密连接下方,有跨膜的细胞黏附分子——钙黏蛋白(cadherin),发挥黏着和保持细胞形状、传递细胞收缩力的作用。
    • 桥粒(desmosome):又称黏着斑(macula adherens),常位于黏着小带的深部,像铆钉般把细胞相连。
    • 缝隙连接(gap junction):又称通讯连接(communication junction),连接处有由6个杆状连接蛋白(connexin)分子围成的连接小体(connexon),成为细胞间直接交通的管道。
上皮细胞用什么染色组织学 | 上皮组织_https://www.jmylbn.com_新闻资讯_第27张
紧密连接
上皮细胞用什么染色组织学 | 上皮组织_https://www.jmylbn.com_新闻资讯_第28张
黏着小带
上皮细胞用什么染色组织学 | 上皮组织_https://www.jmylbn.com_新闻资讯_第29张
桥粒。细胞间隙中钙黏蛋白构成丝状物交织,与细胞膜胞质面的由锚定蛋白构成的桥粒斑相连。
上皮细胞用什么染色组织学 | 上皮组织_https://www.jmylbn.com_新闻资讯_第30张
缝隙连接
  • 基底面
    • 基膜(basement membrane):上皮细胞基底面与深部结缔组织之间共同形成的薄膜。靠近上皮的部分称为基板(basal lamina),与结缔组织相接的部分称为网板(reticular lamina)。基膜的功能有支持、连接、固着、物质交换、引导上皮细胞移动等。
    • 质膜内褶(plasma membrane infolding):上皮细胞基底面的细胞膜折向胞质所形成的许多內褶。主要见于肾小管,扩大了细胞基底部表面积,有利于水和电解质的快速转运。
    • 半桥粒(hemidesmosome):微桥粒结构的一半,主要作用是将上皮细胞固着在基膜上。上皮细胞用什么染色组织学 | 上皮组织_https://www.jmylbn.com_新闻资讯_第31张
上皮细胞用什么染色组织学 | 上皮组织_https://www.jmylbn.com_新闻资讯_第32张
  • 再生(regeneration)
    • 生理性再生(physiological regeneration):在生理状态下,上皮细胞不断衰老、死亡和脱落,并不断地由上皮中的干细胞增殖补充。
    • 病理性再生(pathological regeneration):当由于炎症或创伤等病理原因损伤时,其周围或深层未受损伤的上皮细胞增生补充并迁移到损伤表面,形成新的上皮。
  • 化生(metaplasia):已分化成熟的上皮组织,其上皮细胞可适应改变了的条件,形态、排列和功能发生转变。例如:
    • 鳞状上皮化生(squamous metaplasia):气管支气管上皮反复受到化学刺激或慢性损害而反复再生时,假复层纤毛柱状上皮变成复层扁平上皮。
    • 肠上皮化生(intestinal metaplasia):慢性胃炎时,胃黏膜上皮转变为含有杯状细胞的小肠或大肠黏膜上皮组织。
上皮细胞用什么染色组织学 | 上皮组织_https://www.jmylbn.com_新闻资讯_第33张
鳞状上皮化生

[1] 李继承,曾园山主编:组织学与胚胎学(第9版),人民卫生出版社,2018