fh染色是什么意思延胡索酸水合酶缺陷型肾细胞癌临床诊治共识

新闻资讯2026-04-23 14:38:44

fh染色是什么意思延胡索酸水合酶缺陷型肾细胞癌临床诊治共识_https://www.jmylbn.com_新闻资讯_第1张


本文内容已经过同行评议,以优先出版方式在线发表,可作为有效引用数据。由于优先发表的内容尚未完成规范的编校流程,《中华外科杂志》不保证其数据与正式版内容的完全一致。


【引用本文】中国抗癌协会泌尿男生殖系肿瘤专业委员会少见肾癌协作组.延胡索酸水合酶缺陷型肾细胞癌临床诊治共识[J/OL].中华外科杂志,2022,60:网络预发表.


延胡索酸水合酶缺陷型肾细胞癌临床诊治共识


中国抗癌协会泌尿男生殖系肿瘤专业委员会少见肾癌协作组


通信作者:魏强,Email:wq933@hotmail.com
薛蔚,Email:xuewei@renji.com


一、概述



随着对肾癌发病分子特征的研究不断深入,越来越多具有明确肿瘤驱动基因的肾细胞癌逐渐被认识,成为WHO认可的独立病理学亚型。遗传性平滑肌瘤病和肾细胞癌综合征(hereditary leiomyomatosis and renal cell carcinoma syndrome,HLRCC)是一种延胡索酸水合酶(fumarate hydratase,FH)基因胚系突变导致的遗传性疾病,可表现为皮肤、子宫平滑肌瘤病及肾恶性肿瘤。因存在独特的临床病理学及分子生物学特征,在2016版WHO肾脏肿瘤分类中成为独立亚型[1]。FH体系突变同样可能导致肾细胞癌发生,且与FH胚系突变导致的HLRCC具有极其相似的生物学行为。因此,2022新版WHO肾脏肿瘤分类中已将FH胚系或体系突变导致的肾细胞癌统称为FH缺陷型肾细胞癌(fumarate hydratase-deficiency renal cell carcinoma,FH-RCC)。

FH-RCC发病年龄早,影像学表现不典型,病理学形态多变,临床诊断极其困难,缺乏标准化的诊断流程。另一方面,其侵袭性高,易早期发生淋巴结转移及骨转移等远处转移,且缺乏有效的系统治疗手段。因此,如何通过影像学手段早期发现,发现后如何通过组织病理学、分子病理学甚至基因检测准确诊断,确诊后如何制定最佳治疗策略,是泌尿肿瘤科医师面临的重大挑战。

本协作组系统梳理国内外FH-RCC的相关临床研究成果,综合多学科医师对该病的诊疗认识,由于FH-RCC临床研究缺乏高级别证据,通过专家讨论和投票提出下述FH-RCC临床影像学预警、病理学精准诊断和全生命周期管理的临床诊疗共识,并在临床建议后用括号标注专家赞同的比例。本共识的制定旨在优化该病的早诊早治,改善患者生存和预后。

二、FH-RCC影像学表现



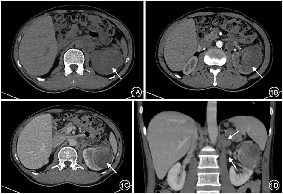
FH-RCC发病年龄较轻,平均发病年龄40~46岁。绝大部分肿瘤在CT影像上呈囊实性病变(图1),偶尔也可表现为纯实性病变[2-3],增强扫描表现为渐进性强化。初诊时常合并腹膜后淋巴结和(或)远处转移[2–4],远处转移部位包括骨、纵隔和颈部淋巴结、肝脏、肾上腺、肺及胸膜等(图1)。对于临床初诊囊实性肾脏占位病变的患者,尤其是年轻患者,建议进行胸部及全腹部CT增强扫描。如果病变实性成分表现为渐进性强化,合并腹膜后淋巴结转移或远处转移,应高度警惕FH-RCC,对这类患者应加行颈部CT增强扫描和SPECT,发现颈部肿大淋巴结和骨转移病灶,并明确全身转移情况。此外,PET-CT也对明确患者的全身转移情况具有一定价值。部分研究结果显示,特殊磁共振序列如血氧依赖磁共振(blood oxygenation level-dependent MRI,BOLD-MRI)或磁共振波谱扫描(magnetic resonance spectroscopy,MRS),对区分FH-RCC与其他可表现为渐进性强化的囊实性病变具有一定价值,可作为进一步提示FH-RCC的探索方向:FH-RCC有氧糖酵解效应明显,局部铁蛋白含量较低,其实性成分在BOLD-MRI中的R2*值会明显降低,有别于CT表现为渐进性强化的其他肾细胞癌;FH-RCC肿瘤中延胡索酸明显增多,MRS中延胡索酸对应的波峰明显增高[5]。

fh染色是什么意思延胡索酸水合酶缺陷型肾细胞癌临床诊治共识_https://www.jmylbn.com_新闻资讯_第2张

图1  延胡索酸水合酶缺陷型肾细胞癌典型CT增强扫描影像:平扫(1A)、动脉期(1B)和静脉期(1C)轴位图像可见肿瘤病灶呈囊实性,渐进性强化(箭头所示);1D示冠状位多平面重建可见肾门及腹膜后多发淋巴结转移(箭头所示)

【共识1】对于临床初诊囊实性肾脏占位病变患者,尤其是年轻患者,首先建议进行胸部及全腹部CT增强扫描;如果病变表现为渐进式强化,需要警惕FH-RCC的可能。如初诊或确诊FH-RCC后发现转移,需要警惕颈部淋巴结转移的可能,建议除常规行胸腹部CT增强扫描外,应加行颈部CT增强扫描(75%)。建议开展临床研究,探索BOLD-MRI、MRS和PET-CT作为FH-RCC辅助影像学诊断手段的价值(75%)。

三、FH-RCC病理诊断



(一)形态学特征

1.大体形态:FH-RCC肿瘤多呈囊实性或实性,实性区切面灰白或灰褐色,实性、质中,囊性区囊壁光滑,囊液清亮。不同于其他遗传性肾癌,FH-RCC主要为单侧、单发病灶。肿瘤主要累及肾实质,亦有少数累及肾髓质。国外研究者报告肿瘤最大径为0.9~18.0 cm[6],国内研究者报告为3.0~16.9 cm[7-8]。

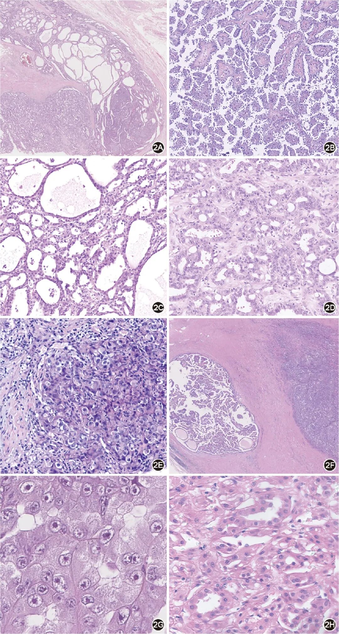
2.镜下特征:FH-RCC肿瘤细胞排列多样,呈乳头状、筛管状、腺样或实性排列,个别病例可呈肉瘤样、集合管样形态,同一肿瘤中可包含多种排列方式(图2A~2F)[6,9]。肿瘤细胞形态异质性较明显,多数病例肿瘤细胞呈高级别形态:细胞质嗜酸性,细胞核较大,部分病例可见包涵体样嗜酸性核仁及核周空晕,对诊断FH-RCC有提示意义(图2G)。少部分病例为嗜酸性低级别形态(图2H),该类肿瘤往往预后较好。这种形态异质性导致无临床可疑证据或家族史病例的漏诊率、误诊率较高,是临床和病理工作中较为棘手的问题[6]。仅根据形态学特征确诊FH-RCC仍有一定难度。

fh染色是什么意思延胡索酸水合酶缺陷型肾细胞癌临床诊治共识_https://www.jmylbn.com_新闻资讯_第3张

图2  延胡索酸水合酶缺陷型肾细胞癌组织病理学特征(HE染色):2A示囊实性特征(×100),2B示乳头状(×200),2C示筛管状(×200),2D示腺样(×200),2E示实性(×200),2F示乳头和实性混合排列(×100),2G示包涵体样嗜酸性核仁及核周空晕(×400),2H示低级别嗜酸性肿瘤(×200)

【共识2】FH-RCC形态学诊断难度大,对病理科医师诊断经验要求极高。建议在可疑病例中联合相关免疫组化标志物协助病理学诊断(专家赞同比例75%,下同),病理学诊断后仍然有必要进行相关基因检测确认(100%)。

(二)免疫组化及FH检测

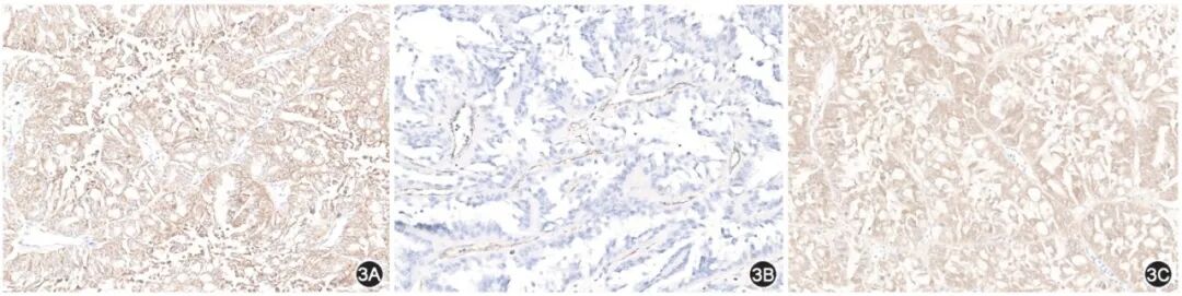
1.FH基因及蛋白缺陷:大多数FH-RCC可通过免疫组化方法检测到肿瘤细胞FH蛋白表达缺失(图3A),但少数患者FH蛋白表达阳性,单纯采用免疫组化检测FH诊断FH-RCC的灵敏度不高。FH突变是FH蛋白表达缺失或功能丧失的最常见原因(详见FH-RCC基因检测部分)。FH胚系突变是HLRCC的特异性基因改变,仅有FH体系突变则既往统一命名为FH-RCC[8-9]。由于FH胚系和体系突变或大片段缺失所致RCC具有相同的病理和生物学行为特征,因此即将发布的2022新版WHO病理分类中将胚系和体系FH突变的罕见肾细胞癌统一归类为FH-RCC。

2.2-琥珀酸-半胱氨酸[S-(2-succino)cysteine,2SC]:FH是三羧酸循环的关键代谢酶,其缺陷导致细胞内延胡索酸盐堆积,进而引发细胞内蛋白发生一种稳定的化学修饰:异常琥珀酸化,修饰后的蛋白可以通过2SC抗体进行检测。2SC在FH-RCC中阳性率为100%,阳性表现为弥漫性细胞核和细胞质强阳性(图3B),可用于FH-RCC的辅助诊断。但少部分肾透明细胞癌及乳头状肾细胞癌也可弱阳性表达2SC。

3.AKR1B10:FH缺陷可导致KEAP1-NRF2通路的异常[10-11],NRF2表达增加进一步促进AKR1B10表达[11]。研究结果显示,FH下调或表达缺失后AKR1B10明显升高[12]。AKR1B10免疫组化阳性表现为弥漫性细胞质和细胞核强阳性(图3C),诊断FH-RCC的灵敏度和特异度较高,可作为诊断FH-RCC的潜在标志物。

fh染色是什么意思延胡索酸水合酶缺陷型肾细胞癌临床诊治共识_https://www.jmylbn.com_新闻资讯_第4张

图3  (3A应与3B互换图片,请以正式版为准)延胡索酸水合酶缺陷型肾细胞癌免疫组化染色典型图片(×200):3A示延胡索酸水合酶在肿瘤细胞中表达缺失,3B示2-琥珀酸-半胱氨酸在肿瘤细胞中表达强阳性,3C示AKR1B10蛋白在肿瘤细胞中表达强阳性

【共识3】免疫组化检测FH蛋白是诊断FH-RCC的重要手段,但部分FH-RCC肿瘤细胞仍可表达FH蛋白。建议联合检测FH、2SC和AKR1B10,以提高FH-RCC的诊断准确率(70%)。在寻找FH蛋白缺陷的原因时,如基因检测未能检测到相应的FH突变时,建议结合临床病理学特征加做多重连接依赖性探针扩增(multiplex ligation-dependent probe amplification,MLPA)检测,判断是否存在FH大片段缺失(86%)。

(三)免疫微环境特点

因具有免疫原性,基于免疫检查点抑制剂的方案在晚期肾癌治疗中有着举足轻重的地位。研究结果显示,多数FH-RCC存在CD8+、CD4+T细胞富集和PD-L1表达(图4A、4B)[8,13-14];多重免疫荧光亦提示FH-RCC肿瘤中免疫浸润增加(图4C),提示免疫治疗是FH-RCC可行的治疗方案之一[8]。

fh染色是什么意思延胡索酸水合酶缺陷型肾细胞癌临床诊治共识_https://www.jmylbn.com_新闻资讯_第5张

图4  延胡索酸水合酶缺陷型肾细胞癌免疫组化染色典型图片:4A示PD-L1强阳性表达(×200),4B示肿瘤微环境存在大量CD8+T淋巴细胞浸润(×200)
图5  延胡索酸水合酶缺陷型肾细胞癌多重免疫荧光染色图片:肿瘤微环境呈现高免疫浸润(×400)

【共识4】FH-RCC免疫浸润程度普遍较高。对FH-RCC进行免疫微环境评估(PD-L1和CD8+T淋巴细胞)非常必要,可以更精准地指导制定临床治疗策略(60%)。

(四)鉴别诊断

在FH突变被发现之前,多数FH-RCC被描述为乳头状肾细胞癌Ⅱ型,少数情况下被诊断为集合管癌或未分类肾细胞癌。在形态学上,FH-RCC主要与乳头状肾细胞癌Ⅱ型、Xp11.2易位/TFE3基因融合相关性肾细胞癌、集合管癌、髓样癌、未分类肾细胞癌等类型进行鉴别,免疫组化及基因检测对鉴别诊断具有重要价值。

【共识5】病理科医师仅凭组织形态学很难进行FH-RCC与其他病理学类型肾细胞癌的鉴别诊断,需要结合相关分子的免疫组化甚至基因检测等手段才能最大限度完成准确的诊断和鉴别诊断(图6)(100%)。

fh染色是什么意思延胡索酸水合酶缺陷型肾细胞癌临床诊治共识_https://www.jmylbn.com_新闻资讯_第6张

图6 延胡索酸水合酶缺陷型肾细胞癌建议诊断流程

四、FH-RCC基因检测



FH基因定位于染色体1q42.3-43,全长约22 kb,由10个外显子组成。理论上,发生在上述功能域或影响其功能的突变,都可能导致FH的活性降低,诱发FH-RCC。FH-RCC患者中,60%~80%为胚系FH突变,通过胚系样本(包括血液或唾液)检测即可明确是否存在FH突变。但对于可能存在体系FH突变的患者,则需同时进行胚系和肿瘤样本检测。

FH突变具有较高的随机性,无明确的高频突变热点。目前已发现有超过280种与HLRCC发生相关的致病和可能致病FH突变,其中最常见的突变类型为错义突变(50%~60%),其次为无义突变和移码突变(总体约占30%)。需要注意的是,3%~5%的患者存在FH大片段缺失。该类突变属于结构变异,基于普通二代测序平台的基因检测(全外显子测序和panel检测)和Sanger测序对该类结构变异不灵敏,易出现漏诊。因此,临床上如果高度怀疑HLRCC,而基因检测为阴性时,应进行MLPA,以明确是否存在FH大片段缺失。如上述方法仍无法明确突变,则可能存在启动子区、内含子区或较小的结构变异,需要采用全基因组测序以明确。

除FH突变外,FH-RCC可能合并其他抑癌基因突变,包括NF2、ARID1B、KMT2D、SMARCC1等。合并上述基因突变的FH-RCC可能具有恶性程度更高的生物学特性。因此,针对FH的单基因检测不足以完整描绘FH-RCC体系突变特征。此外,功能缺失性FH突变引起FH活性降低,导致细胞和线粒体内大量延胡索酸堆积,可进一步通过抑制α-酮戊二酸依赖性双加氧酶家族相关分子介导肿瘤转录和表观调控异常。上述特征与患者临床预后和药物治疗反应密切相关。因此,针对FH-RCC的全外显子、转录组和甲基化测序对患者预后评估和治疗方案选择具有重要的指导意义(图7)。

fh染色是什么意思延胡索酸水合酶缺陷型肾细胞癌临床诊治共识_https://www.jmylbn.com_新闻资讯_第7张

图7 延胡索酸水合酶(FH)缺陷型肾细胞癌基因检测方案

【共识6】对疑似FH-RCC患者需同时进行胚系和体系FH突变检测。对于临床高度怀疑FH-RCC,但突变检测阴性患者,建议进行MLPA明确是否存在FH大片段缺失(85%)。在确诊FH-RCC后,建议进行全外显子、转录组和甲基化测序等相关基因检测,协助深入认识疾病并参与临床决策的制定(54%)。目前基因检测对FH-RCC诊疗策略提供的信息有限,应根据实际情况,确定确诊后的相关基因检测手段和技术(27%)。

五、FH-RCC治疗选择(图8)



fh染色是什么意思延胡索酸水合酶缺陷型肾细胞癌临床诊治共识_https://www.jmylbn.com_新闻资讯_第8张

图8 延胡索酸水合酶缺陷型肾细胞癌(FH-RCC)综合治疗流程图

(一)原发病灶局部治疗

对于器官局限性FH-RCC,外科手术切除原发病灶仍然是重要的治疗手段。由于FH-RCC肿瘤侵袭性强,转移风险高,因此手术策略也与普通肾癌有所不同。

一方面,FH-RCC常合并囊实性变,术中极易发生囊肿破裂后囊液污染术区;一方面,FH-RCC侵袭性极强,四川大学华西医院(华西医院)的队列结果显示,肿瘤最大径<10 cm的患者(≤cT2a期)术后病理学升级(≥pT3a期)的比例高达50%(29/58);文献报道,北美的一组患者出现非器官局限病理学升级比例为65%(15/23)[15]。因此,对于术前临床诊断高度怀疑FH-RCC患者,无论肿瘤大小,均优先推荐根治性肾切除术;而对于功能性或解剖型孤立肾或具有潜在肾功能障碍的患者,可以考虑行宽切缘的保留肾单位肾部分切除术。当考虑进行腹腔镜手术时,无论经腹腔或经后腹膜腔途径,均需充分考虑发生通道种植的可能,与患者沟通相关获益及风险,术中也应严格在吉氏筋膜囊外完成肾切除。FH-RCC是否需要进行肾门和腹膜后淋巴结清扫,目前尚缺乏可靠的临床证据。但由于该病常早期发生腹膜后淋巴结转移,建议术前进行全面的影像学检查,根据术前影像学改变和术中情况,确定是否行同期淋巴结清扫及清扫范围。对于接受保留肾单位肾部分切除术后确诊为FH-RCC的患者,是否需要尽快接受补救性肾根治性切除术,尚无充分临床证据。对于在系统治疗阶段处于稳定的寡转移患者,在充分筛选病例后可考虑进行减瘤术及转移灶切除术。

虽然尚缺乏临床证据支持,但鉴于FH-RCC高度恶性的临床特点,且多数具有较为活跃的肿瘤免疫微环境,可考虑参考肾透明细胞癌进行高危患者术后辅助免疫检查点抑制剂治疗[16],具体药物与疗程可综合考虑患者相关情况后决定。对于初诊转移性FH-RCC患者,同样缺乏是否值得实施原发灶减瘤术的临床证据,建议根据患者具体情况充分评估减瘤术的可行性。

【共识7】对于术前高度怀疑FH-RCC的患者,建议在无绝对保肾指征的情况下,优先考虑根治性手术治疗,并仔细评估影像学表现,决定是否同期完成腹膜后淋巴结清扫(70%)。FH-RCC患者多较为年轻,存在选择性保肾治疗的必要性,综合评估肿瘤大小、部位等具体情况后,可选择肾部分切除术(26%)。由于FH-RCC的恶性程度高,尽管尚无充足证据,但仍有必要进行术后辅助治疗(100%)。建议在患者接受外科手术术后,经多学科讨论确定是否实施辅助治疗(64%)。对于转移性FH-RCC患者,原发灶减瘤术值得尝试(75%),应在泌尿肿瘤多学科团队进行综合评判的基础上,制定减瘤性治疗方案(54%)。


(二)系统治疗

FH-RCC较少见,标准化诊断困难,多中心大样本量的临床试验数据缺乏;现有的真实世界治疗结果存在较大的异质性,尚无统一的标准化治疗方案。

1.贝伐珠单抗联合厄洛替尼(E-B方案):2014年,一项E-B方案治疗HLRCC患者的二期临床试验结果显示,该联合用药方案具有较好的临床疗效(客观缓解率60%,中位无进展生存时间24.2个月)[17]。随后,2020年美国临床肿瘤学会年会上报道了美国国家癌症研究所的单中心研究数据,再次显示了E-B方案的良好疗效(客观缓解率64%,中位无进展生存时间21.1个月)[18]。但由于该研究纳入患者均为遗传性FH-RCC、入组时间长、单中心数据、缺乏临床验证等,E-B方案迟迟未得到美国食品药品监督管理局的认可。随后,来自法国的多中心研究及上海交通大学医学院附属仁济医院(仁济医院)的数据亦显示出类似的局限性[7,19]。但鉴于FH-RCC缺乏有效的系统治疗方案,NCCN肾癌治疗指南和2021年中国临床肿瘤学会指南中还是推荐将E-B方案用于FH-RCC的治疗[19-20]。

2.抗血管靶向药物联合免疫检查点抑制剂:华西医院根据该中心FH-RCC组学研究结果,提出了免疫治疗联合靶向治疗的方案,相关临床数据显示:信迪利单抗联合阿昔替尼治疗转移性FH-RCC的中位无进展生存时间达18.7个月(未公布数据),明显高于酪氨酸激酶抑制剂单药方案的5.5个月[8]。该中心正在开展信迪利单抗联合阿昔替尼治疗转移性FH-RCC的前瞻性二期临床试验(NCT01130519),截至2022年5月的评估结果显示,纳入的20例患者中,疾病控制率达90%(18/20),中位无进展生存时间达22.7个月。仁济医院牵头开展一项全国多中心回顾性研究,纳入77例FH-RCC患者;其中26例晚期FH-RCC患者应用抗血管靶向药物联合免疫检查点抑制剂作为一线治疗,其客观缓解率27%,疾病控制率85%,中位无进展生存时间18.0个月,中位总体生存时间未达到;12例应用E-B方案,客观缓解率25%,疾病控制率67%,中位无进展生存时间10.0个月,中位总体生存时间16.0个月;29例应用抗血管靶向药物作为一线治疗,客观缓解率10%,疾病控制率62%,中位无进展生存时间12.0个月,中位总体生存时间30.0个月[7]。文献报道,1例转移性HLRCC患者通过减瘤术结合阿昔替尼和纳武单抗,生存已超过58个月[20]。另有文献报道,纳武单抗联合伊匹单抗治疗31周后,1例HLRCC患者达到了完全缓解[21]。这些研究结果显示,以免疫检查点抑制剂为基础的联合治疗可能对转移性FH-RCC有效。

3.mTOR抑制剂联合抗血管靶向治疗方案:来自美国纪念斯隆-凯特琳癌症中心的数据显示,26例FH-RCC患者中,18例接受mTOR抑制剂和抗血管靶向药物联合治疗,客观缓解率为44%,明显优于抗血管靶向药物单药治疗(客观缓解率20%)及mTOR抑制剂单药治疗(客观缓解率0)[22]。根据该结果,mTOR抑制剂联合抗血管靶向药物方案似乎也能为患者带来一定程度的获益。

4.其他方案:来自国内外多中心的真实世界数据表明,无论是抗血管靶向药物单药治疗、mTOR单药治疗,还是免疫检查点抑制剂单药治疗,均无法达到有效的治疗反应,因此,不推荐单药治疗。

【共识8】FH-RCC目前尚缺乏明确的系统治疗方案。建议优先推荐患者参加相关临床试验(85%)。考虑肿瘤免疫微环境特征和药物可及性等相关因素,建议亦可优先考虑尝试使用免疫检查点抑制剂联合抗血管靶向药物进行治疗(89%)。此外,对于FH胚系突变患者,还可尝试进行贝伐珠单抗联合厄洛替尼治疗(62%)。


(三)肿瘤随访

鉴于FH-RCC侵袭性高及易转移的特点,接受根治性切除术的患者,无论是否进行辅助治疗,均建议2年内每3个月、后续每6个月进行影像学复查。接受系统治疗的转移性FH-RCC患者,推荐每个月进行安全性检查,每3个月进行一次有效性检查。由于FH-RCC可转移至颈部、纵隔、腹膜后淋巴结及肺、肝等腹部器官,骨转移也相对常见,建议常规行增强CT扫描,扫描范围应覆盖颈、胸和全腹部,并行SPECT骨扫描。相较于CT检查,MRI在显示肝转移、脑转移及骨转移病灶方面具有明显优势,如怀疑上述部位存在转移灶,且通过CT、骨扫描未能确诊,可加行MRI检查助诊。由于部分FH-RCC患者的转移灶为囊实性,早期可仅表现为小的类囊肿样改变,因此FH-RCC患者在CT随访中如发现新增囊性病灶,尤其是位于肝脏的囊性病灶,应加行MRI进行鉴别。此外,由于FH-RCC的骨转移病灶多表现为溶骨性骨质破坏,SPECT和PET-CT表现为假阴性,MRI可为此类骨转移病灶提供诊断证据。最后,对于难以判断性质的小病灶,也可采用PET-CT帮助鉴别。

六、总结



FH-RCC是一种罕见类型肾细胞癌,具有极高侵袭性及转移性,诊断困难,缺乏有效系统治疗手段。临床工作中需加深对该疾病的认识,尽早结合影像学表现及病史进行临床识别,选择合理的根治性手术或系统治疗方案,改善患者预后。


参与本共识编写的专家



四川大学华西医院多学科诊治团队(排名不分先后):魏强(泌尿外科)、李响(泌尿外科)、曾浩(泌尿外科)、陈铌(病理科)、姚晋(放射科)、黄蕤(核医学科)、刘振华(泌尿外科)、聂玲(病理科)、沈朋飞(泌尿外科)、孙光曦(泌尿外科)、陈云天(放射科)、张兴明(泌尿外科)、梁嘉宇(泌尿外科)、潘秀懿(病理科)

上海交通大学医学院附属仁济医院多学科诊治团队(排名不分先后):薛蔚(泌尿外科)、张进(泌尿外科)、胡炯(肿瘤科)、孔文(泌尿外科)、吴广宇(放射科)、徐云泽(泌尿外科)、王早宇(病理科)

参与本共识审阅的专家(按姓氏汉语拼音排序):毕建斌(中国医科大学附属盛京医院)、陈惠庆(山西医科大学附属肿瘤医院)、董培(中山大学肿瘤防治中心)、董文(中山大学孙逸仙纪念医院)、龚侃(北京大学第一医院)、苟欣(重庆医科大学附属第一医院)、管维(华中科技大学同济医学院附属同济医院)、郭军(北京大学肿瘤医院)、郭刚(解放军总医院第一医学中心)、何志嵩(北京大学第一医院)、贺大林(西安交通大学附属第一医院)、黄健(中山大学孙逸仙纪念医院)、李长岭(中国医学科学院肿瘤医院)、廖洪(四川省肿瘤医院)、林天歆(中山大学孙逸仙纪念医院)、刘南(重庆大学附属肿瘤医院)、刘继彦(四川大学华西医院)、刘孝东(昆明医科大学附属第一医院)、马鑫(解放军总医院第一医学中心)、齐隽(上海交通大学医学院附属新华医院)、齐琳(中南大学湘雅医院)、邱明星(四川省人民医院)、盛锡楠(北京大学肿瘤医院)、施国海(复旦大学附属肿瘤医院)、王栋(中国医学科学院肿瘤医院)、王少刚(华中科技大学同济医学院附属同济医院)、邢金春(厦门大学第一附属医院)、邢念增(中国医院科学院肿瘤医院)、姚欣(天津医科大学肿瘤医院)、叶定伟(复旦大学附属肿瘤医院)、张旭(解放军总医院第一医学中心)、张爱莉(河北医科大学第四医院)、郑松(福建医科大学附属协和医院)、郑军华(上海交通大学医学院附属仁济医院)、周芳坚(中山大学肿瘤防治中心)、周利群(北京大学第一医院)



参考文献

(在框内滑动手指即可浏览)


[1]Moch H, Cubilla AL, Humphrey PA, et al. The 2016 WHO classification of tumours of the urinary system and male genital organs-part a: renal, penile, and testicular tumours[J]. Eur Urol, 2016,70(1):93-105. DOI: 10.1016/j.eururo.2016.02.029.

[2]Nikolovski I, Carlo MI, Chen YB, et al. Imaging features of fumarate hydratase-deficient renal cell carcinomas: a retrospective study[J]. Cancer Imaging, 2021,21(1):24. DOI: 10.1186/s40644-021-00392-9.

[3]Yang L, Li XM, Hu YJ, et al. Multidetector CT characteristics of fumarate hydratase-deficient renal cell carcinoma and papillary type Ⅱ renal cell carcinoma[J]. Korean J Radiol, 2021,22(12):1996-2005. DOI: 10.3348/kjr.2021.0212.

[4]Paschall AK, Nikpanah M, Farhadi F, et al. Hereditary leiomyomatosis and renal cell carcinoma (HLRCC) syndrome: spectrum of imaging findings[J]. Clin Imaging, 2020,68:14-19. DOI: 10.1016/j.clinimag.2020.06.010.

[5]Casey RT, McLean MA, Challis BG, et al. Fumarate metabolic signature for the detection of reed syndrome in humans[J]. Clin Cancer Res, 2020,26(2):391-396. DOI: 10.1158/1078-0432.CCR-19-1729.

[6]Trpkov K, Hes O, Agaimy A, et al. Fumarate Hydratase-deficient renal cell carcinoma is strongly correlated with fumarate hydratase mutation and hereditary leiomyomatosis and renal cell carcinoma syndrome[J]. Am J Surg Pathol, 2016,40(7):865-875. DOI: 10.1097/PAS.0000000000000617.

[7]Xu Y, Kong W, Cao M, et al. Genomic Profiling and response to immune checkpoint inhibition plus tyrosine kinase inhibition in FH-deficient renal cell carcinoma[J/OL]. Eur Urol, 2022: S0302-2838(22)02406-X[2022-07-20]. https://www.sciencedirect.com/science/article/abs/pii/S030228382202406X. DOI: 10.1016/j.eururo.2022.05.029. [published online ahead of print June 14, 2022].

[8]Sun G, Zhang X, Liang J, et al. Integrated molecular characterization of fumarate hydratase-deficient renal cell carcinoma[J]. Clin Cancer Res, 2021,27(6):1734-1743. DOI: 10.1158/1078-0432.CCR-20-3788.

[9]Pan X, Zhang M, Yao J, et al. Fumaratehydratase-deficient renal cell carcinoma: a clinicopathological and molecular study of 13 cases[J]. J Clin Pathol, 2019,72(11):748-754. DOI: 10.1136/jclinpath-2019-205924.

[10]Clerici S, Boletta A. Role of the KEAP1-NRF2 axis in renal cell carcinoma[J]. Cancers (Basel), 2020,12(11):3458. DOI: 10.3390/cancers12113458.

[11]Kansanen E, Kuosmanen SM, Leinonen H, et al. The Keap1-Nrf2 pathway: mechanisms of activation and dysregulation in cancer[J]. Redox Biol, 2013,1(1):45-49. DOI: 10.1016/j.redox.2012.10.001.

[12]Ooi A, Wong JC, Petillo D, et al. An antioxidant response phenotype shared between hereditary and sporadic type 2 papillary renal cell carcinoma[J]. Cancer Cell, 2011,20(4):511-523. DOI: 10.1016/j.ccr.2011.08.024.

[13]Furuya M, Iribe Y, Nagashima Y, et al. Clinicopathological and molecular features of hereditary leiomyomatosis and renal cell cancer-associated renal cell carcinomas[J]. J Clin Pathol, 2020,73(12):819-825. DOI: 10.1136/jclinpath-2020-206548.

[14]Alaghehbandan R, Stehlik J, Trpkov K, et al. Programmed death-1 (PD-1) receptor/PD-1 ligand (PD-L1) expression in fumarate hydratase-deficient renal cell carcinoma[J]. Ann Diagn Pathol, 2017,29:17-22. DOI: 10.1016/j.anndiagpath.2017.04.007.

[15]Lau HD, Chan E, Fan AC, et al. A clinicopathologic and molecular analysis of fumarate hydratase-deficient renal cell carcinoma in 32 patients[J]. Am J Surg Pathol, 2020,44(1):98-110. DOI: 10.1097/PAS.0000000000001372.

[16]Choueiri TK, Tomczak P, Park SH, et al. Adjuvant pembrolizumab after nephrectomy in renal-cell carcinoma[J]. N Engl J Med, 2021,385(8):683-694. DOI: 10.1056/NEJMoa2106391.

[17]Srinivasan R, Su D, Stamatakis L, et al. 5 Mechanism based targeted therapy for hereditary leiomyomatosis and renal cell cancer (HLRCC) and sporadic papillary renal cell carcinoma: interim results from a phase 2 study of bevacizumab and erlotinib[J]. Eur J Cancer, 2014, 50 Suppl 6: S8. DOI: 10.1016/S0959-8049(14)70131-5.

[18]Srinivasan RS, Gurram M, Al Harthy EA, et al. Results from a phase Ⅱ study of bevacizumab and erlotinib in subjects with advanced hereditary leiomyomatosis and renal cell cancer (HLRCC) or sporadic papillary renal cell cancer[J]. J Clin Oncol, 2020, 38(15 Suppl):S5004. DOI: 10.1200/JCO.2020.38.15_suppl.5004.

[19]Carril-Ajuria L, Colomba E, Cerbone L, et al. Response to systemic therapy in fumarate hydratase-deficient renal cell carcinoma[J]. Eur J Cancer, 2021,151:106-114. DOI: 10.1016/j.ejca.2021.04.009.

[20]Yonese I, Ito M, Takemura K, et al. A case of metastatic hereditary leiomyomatosis and renal cell cancer syndrome-associated renal cell carcinoma treated with a sequence of axitinib and nivolumab following cytoreductive nephrectomy[J]. J Kidney Cancer VHL, 2020,7(2):6-10. DOI: 10.15586/jkcvhl.2020.148.

[21]Iribe Y, Furuya M, Shibata Y, et al. Complete response of hereditary leiomyomatosis and renal cell cancer (HLRCC)-associated renal cell carcinoma to nivolumab and ipilimumab combination immunotherapy by: a case report[J]. Fam Cancer, 2021,20(1):75-80. DOI: 10.1007/s10689-020-00195-0.

[22]Gleeson JP, Nikolovski I, Dinatale R, et al. Comprehensive molecular characterization and response to therapy in fumarate hydratase-deficient renal cell carcinoma[J]. Clin Cancer Res, 2021,27(10):2910-2919. DOI: 10.1158/1078-0432.CCR-20-4367.


点击“阅读原文”,加入读者俱乐部下载全文



题图  via  姜宝林《山高水长》


fh染色是什么意思延胡索酸水合酶缺陷型肾细胞癌临床诊治共识_https://www.jmylbn.com_新闻资讯_第9张




感谢你在学海无涯的征途上选择了我

———————————————

网刊阅读:登陆中华外科杂志官方网站或在各大应用商店下载“中华医学期刊”APP,购买“中华医学会杂志社读者会员俱乐部”会员年卡、期刊年卡,或单篇付费下载,可阅读您感兴趣的文章的全文。

杂志订阅:识别上方二维码,即可进入《中华外科杂志》的微店,订阅全年各期或选择性订阅某期《中华外科杂志》。