病理切片快递怎么包装【文献快递】类似海绵状血管畸形的网状内皮增生是伽玛刀放射外科的晚期并发症

新闻资讯2026-04-21 19:47:27

Journal of Neurosurgery杂志 202212月 23日在线发表日本大崎Furukawa Seiryo Hospita的Jun Kawagishi  , Hidefumi Jokura  , Mika Watanabe,等撰写的《类似海绵状血管畸形的网状内皮增生是伽玛刀放射外科的晚期并发症。Retiform endothelial hyperplasia mimicking cavernous malformation as a late complication of Gamma Knife radiosurgery》(doi: 10.3171/2022.11.JNS221535.)。

病理切片快递怎么包装【文献快递】类似海绵状血管畸形的网状内皮增生是伽玛刀放射外科的晚期并发症_https://www.jmylbn.com_新闻资讯_第1张

目的:

伽玛刀是治疗动静脉畸形的有力工具;然而,新形成的类似海绵状血管畸形的肿块是GKRS罕见的晚期并发症。在这项回顾性研究中,作者试图阐明这些肿块病变的独特组织学特征。

伽玛刀放射外科(GKRS)几十年来一直被认为是治疗动静脉畸形(AVMs)的有效方法。然而,GKRS治疗与各种并发症相关,如神经系统的直接辐射损伤、焦周(perifocal)脑水肿、延迟性囊肿形成以及包括海绵状血管畸形在内的血管畸形的新生形成。通常,海绵状血管畸形被认为是先天性病变。另一方面,在有家族病史、病毒感染史、以及接受放射治疗的患者中,很容易识别新生形成的海绵状血管畸形。自20世纪90年代以来,放射治疗与新生海绵状血管畸形之间的相关性一直被怀疑,此后又报告更多病例。这些病变大多是由儿童常规分割放射治疗引起的。

最近,新生海绵状血管畸形已被确定为放射外科和常规放射治疗的晚期并发症。海绵状血管畸形通常以血管通道明显扩张的复合体为特征,不干预大脑结构,以前被认为是一种生物静态病变。然而,一些放射外科诱发的海绵状血管畸形显示出可能发生更进袭性的病程,如快速生长和反复出血。

我们医院于1991年引入GKRS。从那时起,我们经历了37例放射外科治疗AVM后在神经影像学上出现类似海绵状血管畸形的“肿块病变”。这些肿块平均在放射外科后近10年出现。手术标本的组织学检查表明,这些肿块病变包含有组织的血肿和网状内皮增生(RFEH),它们与海绵状血管畸形相似,但具有不同的组织病理学特征。在这里,我们介绍这种晚期GKRS并发症的临床病理特征。

方法:

作者回顾性复习了1991年至2021年本院889例GKRS资料动静脉畸形患者的临床病程。在848例定期接受神经放射影像随访的患者中,37例出现了类似海绵状血管畸形的肿块,并进行了手术切除。原始畸形血管巢的中位体积为3.7 cm3(范围0.07-30.5 cm3),中位处方剂量为21 Gy(范围12-25 Gy)。对37例患者的组织学特征、影像学及临床特征进行了研究。

患者与研究设计

我们回顾性地复习了1991年11月至2021年12月在我们研究所接受伽玛刀(Elekta AB)治疗的所有脑动静脉畸形患者的医疗记录。在GKRS纳入分析后,有充分临床基线资料和进行过一次以上神经放射影像学检查的患者。在随访期间,我们确定了在照射野内或邻近有类似海绵状血管畸形的肿块病变的患者,并在MRI上进行了检测。本研究由东北大学医学研究生院伦理委员会批准。

放射外科治疗

患者使用不同代的Leksell伽玛刀(Elekta AB生产的B型、C型、Perfexion型和ICON型)和治疗软件(Elekta AB公司的KURA和GammaPlan)进行治疗。已构建单个或多个等中心平面以获得对畸形血管巢的适形照射。根据畸形血管巢的位置和体积选择在血管造影和MRI上确定的畸形血管巢边缘的处方剂量。

随访检查

每隔6个月至1年进行一次MRI随访,直到结果强烈提示完全闭塞。随后,在获得患者同意后,进行血管造影以确认完全闭塞。即使确认畸形血管巢完全清除,仍强烈建议原则上每年或每2年进行一次随访MRI。

手术治疗及组织病理学检查

对于被认为是肿块病变引起的新出现的神经系统症状,以及无症状但快速增长并伴有周围脑水肿的肿块,建议手术切除。肿块病变标本用福尔马林固定,石蜡包埋,切割后制备多个连续切片。行H&E和Elastica-Masson染色。内皮细胞用CD31/34免疫组化染色检测。

结果:

组织学检查显示有组织的血肿和被称为“网状内皮增生”(RFEH)的结构,包括内皮形成多个管腔样血管通道,类似海绵状血管畸形,但缺乏形成海绵状血管瘤和毛细血管扩张中典型血管壁结构的内皮下结缔组织。GKRS资料后检测到RFEH的中位数为10.8年(范围3.2-27.4年)。神经影像学显示血肿周围有大面积脑水肿。病变的肿块效应和焦周水肿引起的症状恶化较快,但治疗后完全消失。术后无复发及并发症发生。

基线特征

1991年至2021年的30年期间,共有889名脑AVM患者接受GKRS治疗。本研究纳入了848例在GKRS后接受过一次以上神经放射影像学检查的患者。随访期间,在这848例患者中,有37例在照射野内或邻近发现了类似海绵状血管畸形的肿块。在这37例患者中,有12例在确认第一次GKRS的效果已趋于稳定后,接受了第二次GKRS治疗残余畸形血管巢。另外2例患者在最初的GKRS之前有常规放射治疗AVM失败的历史。表1显示了37例患者的临床特征和放射外科参数,包括剂量测定,年龄12-62岁(中位28岁)。中位畸形血管巢体积和边缘剂量分别为3.7 cm3(范围0.07-30.5 cm3)和21 Gy(范围12-25 Gy)。30例患者在第一次或第二次GKRS治疗后证实畸形血管巢完全闭塞。另外7例患者在最后一次随访数字减影血管造影(DSA)时证实畸形血管巢体积减少超过90%。

1。RFEH患者基线特征总结。

病理切片快递怎么包装【文献快递】类似海绵状血管畸形的网状内皮增生是伽玛刀放射外科的晚期并发症_https://www.jmylbn.com_新闻资讯_第2张

症状和神经放射影像学表现

37例有肿块病变的患者中有24例在初次GKRS治疗 3.2-27.4年后出现症状,而13例患者仍然无症状(表2)。神经系统症状包括10例患者的局灶性功能障碍,6例头痛,6例新发癫痫,2例意识障碍。图1为5例典型肿块病变的神经影像学表现。MRI和/或CT显示在照射后的脑实质内或邻近有明显增强的多小叶肿块,有或没有囊肿形成。T2加权MRI显示信号强度不均匀的网状核和低强度环(图1-3)。除了强烈的焦周脑水肿外,这些神经放射学表现与普通海绵状血管畸形相似。GKRS治疗后发现肿块的中位潜伏期为10.8年(范围3.2-27.4年)。

2。GKRS治疗后患者的临床资料和治疗参数。

病理切片快递怎么包装【文献快递】类似海绵状血管畸形的网状内皮增生是伽玛刀放射外科的晚期并发症_https://www.jmylbn.com_新闻资讯_第3张
病理切片快递怎么包装【文献快递】类似海绵状血管畸形的网状内皮增生是伽玛刀放射外科的晚期并发症_https://www.jmylbn.com_新闻资讯_第4张
病理切片快递怎么包装【文献快递】类似海绵状血管畸形的网状内皮增生是伽玛刀放射外科的晚期并发症_https://www.jmylbn.com_新闻资讯_第5张
病理切片快递怎么包装【文献快递】类似海绵状血管畸形的网状内皮增生是伽玛刀放射外科的晚期并发症_https://www.jmylbn.com_新闻资讯_第6张

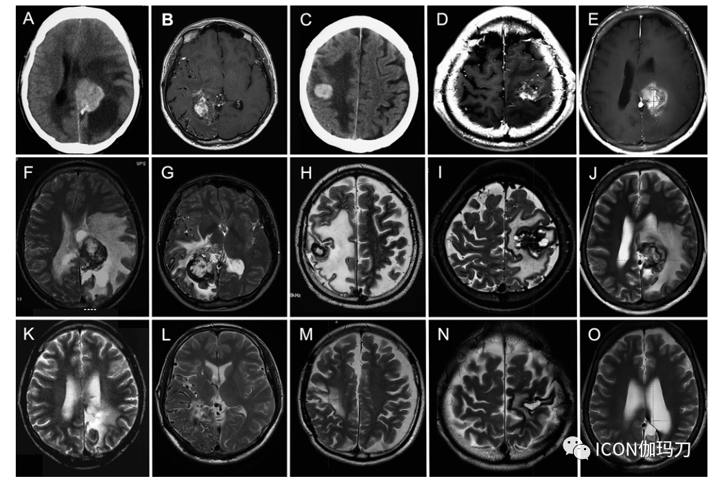
1。病例1 (A, F, K),病例3 (B, G, L),病例5 (C, H, M),病例33 (D, I, N),病例36 (E, J, O) RFEH的典型神经放射影像学图像。A - E:增强CT扫描或T1加权MR图像显示肿块经对比剂强烈增强,有或无囊肿形成。F-J:病灶切除前T2加权MR图像,信号强度不均,边缘低信号,大面积灶周水肿。K-O:术后最后随访T2加权MR图像,无复发。

切除术

23例患者进行了切除术(表2)。肿块畸形血管巢被完全切除,所有患者周围的水肿和新出现的神经系统症状迅速消失。手术后未发生新的神经功能缺损。23例手术切除患者中,22例术后继续进行神经放射学检查。从手术到最终随访的中位时间为7.5年(范围0.1-21.2年)。术后随访期间未见复发。2例患者因中脑和丘脑肿块出血而出现意识障碍的急性脑积水。这些患者仅行脑脊液分流治疗脑积水,未切除肿块。12例患者未进行手术干预。第7例和第10例患者因症状不严重而拒绝手术。在13个月和26个月的随访中,他们的症状保持稳定。病例28的患者为终末期乳腺癌,未进行手术干预。9例在最终随访时无症状的患者未进行手术干预,但7例患者在随访期间肿块病变继续扩大。在接受RFEH切除术的23例患者中,有18例在术前已证实畸形血管巢完全闭塞。其余5例患者均在手术时切除残余畸形血管巢。

病例说明

病例25

20岁男性,全身强直性惊厥。MRI和DSA显示右侧额叶有动静脉畸形。该患者在首次治疗后6年再次进行GKRS检查残余畸形血管巢。在第一次GKRS治疗的9年后,MRI偶然发现了一个类似海绵状血管畸形的小肿块。患者最初无症状,但2个月后出现明显左侧运动无力,肿块增大,灶周脑水肿(图2C和D)。术前检查证实畸形血管巢完全闭塞,手术切除肿块。术后不久,脑水肿和运动无力消失(图2E)。组织学显示RFEH伴血肿毗邻变性血管,与变性畸形血管巢相吻合( Histology showed RFEH with the hematoma adjacent to the degenerated vessels, compatible with a degenerated nidus)(图4)。

病理切片快递怎么包装【文献快递】类似海绵状血管畸形的网状内皮增生是伽玛刀放射外科的晚期并发症_https://www.jmylbn.com_新闻资讯_第7张

2。病例25。一例20岁男性右额部未破裂动静脉畸形。T2加权MR图像显示病灶位于右侧运动前区,首次GKRS 治疗(A)和第二次GKRS 治疗(B)时的等剂量线。对50%等剂量线给予15Gy (A)和18 Gy(B) 的照射。初次GKRS治疗后9.3年获得的T2加权MR图像(C)显示一个非均匀信号的肿块,边缘低信号和焦周脑水肿。确认无流空。初次GKRS治疗后9.5年获得T2加权MR图像(D),仅在2个月内肿块快速增长和焦周脑水肿。术后1个月获得T2加权MR图像(E),显示完全清除肿块,水肿完全消退。

病例32

一名23岁男性,因左侧丘脑动静脉畸形畸形血管巢脑出血而突然出现右侧偏瘫。出血后6个月行GKRS治疗(图3A-C)。GKRS治疗后3年,进行血管巢被完全清除。该患者在GKRS治疗后6.5年出现右下肢轻微感觉障碍。T2加权MRI显示肿块呈环状低信号,焦周中度脑水肿(图3D)。症状逐渐恶化,8个月后行手术切除,症状和脑水肿迅速改善(图3E和3F)。组织病理学检查显示血肿被致密的胶原组织包裹,血肿内或邻近证实有RFEH等组织学特征(图5A-5F)。与变性畸形血管巢相吻合的异常血管簇被证实位于囊外表面附近(Clusters of abnormal vessels, which were compatible with a degenerated nidus, were confirmed to   be adjacent to the outer surface of the capsule)(图5G和5H)。

病理切片快递怎么包装【文献快递】类似海绵状血管畸形的网状内皮增生是伽玛刀放射外科的晚期并发症_https://www.jmylbn.com_新闻资讯_第8张

3。32例。23岁男性左侧丘脑动静脉畸形破裂。左侧椎动脉血管造影侧位图(A)和增强3D飞行时间磁共振血管造影轴向源图(B)显示小病灶。向75%等剂量线(最大剂量29.3Gy)照射22Gy的辐射。GKRS治疗时(C)、GKRS治疗后6年(D)、GKRS治疗后7年(E)、完全切除后1个月(F)的T2加权MR图像显示,在大约1年的时间里,伴有低信号边缘和焦周脑水肿的非均匀强度肿块逐渐增大。肿块被完全切除,灶周脑水肿几乎消失。

病理切片快递怎么包装【文献快递】类似海绵状血管畸形的网状内皮增生是伽玛刀放射外科的晚期并发症_https://www.jmylbn.com_新闻资讯_第9张

4。25例。手术标本的组织病理学结果。H&E (A)和Elastica-Masson (EM;B)染色显示血肿(**)与退化的病灶(*)相邻。血肿内可见大小不一的管腔(箭头),与血管相似。H&E (C)和EM (D)染色显微照片,A图中虚线方形区域的放大,显示变性病灶。血管壁增厚细胞减少,透明质转变。腔内被纤维蛋白血栓阻塞。H&E (E和H)和EM (F和I)染色和CD31免疫组化染色(G和J)显微照片显示,A图中方形区域有实线,显示RFEH。H、I和J分别为E、F和G图中方形区域的放大图。由单层cd31阳性内皮细胞组成的不同大小的管腔融合形成RFEH。EM染色显示无胶原纤维和弹性纤维,单层内皮细胞被无支撑组织覆盖。原始放大倍率×2 (A和B), ×10 (C-G), ×20 (H-J)

病理切片快递怎么包装【文献快递】类似海绵状血管畸形的网状内皮增生是伽玛刀放射外科的晚期并发症_https://www.jmylbn.com_新闻资讯_第10张

5。32例。手术标本的组织病理学结果。H&E显微照片(A、D、G), EM染色(B、E、H), CD31免疫组化染色(C、F)显示切除肿物病变的横切面。血肿(箭头)内可见大小不一的管腔样血管(A-C),被致密的胶原组织包裹。D、E、F分别为A、B、C中正方形区域的放大倍数。不同大小的管腔由CD34染色的单层细胞组成,没有胶原纤维或弹性纤维等结缔组织支持。图G和图H为A(*)中虚线所示的正方形区域的放大图。血管结构消失,伴有致密透明化(G),内膜层偏心增厚(H)。原始放大倍率×2 (A-C), ×4 (D-F)和×10 (G和H)。

讨论:

RFEH作为放射外科的晚期并发症

在本研究中,我们发现GKRS治疗除了大面积的焦周水肿外,还可导致神经放射影像学特征上类似海绵状血管畸形的肿块延迟形成。然而,肿块病变在组织学上不同于海绵状血管畸形。血管畸形或血管瘤,包括海绵状血管畸形和毛细血管扩张,由血管网络组成血管通道的壁由一层内皮细胞内衬,周围是一层薄薄的致密纤维组织和周细胞这种血管壁结构是血管畸形或血管瘤的基本特征。相比之下,在我们所有病例中,病变仅由内皮细胞增生组成,缺乏周围薄层的致密纤维组织和周细胞,这是Elastica-Masson染色所应显示的(图4和图5)。因此,该肿块病变不能归入之前的血管畸形类别。因此,为了区别于血管畸形,将放射外科引起的病变描述为RFEH更好。我们所有的RFEH病例仅发生在有组织的血肿内或邻近。血肿位于先前照射过的AVM畸形血管巢的位置,但变性畸形血管巢与血肿之间没有连续性(图4和图5)。这些发现表明血肿与RFEH有关,而与变性或残留畸形血管巢无关。

放射治疗后形成的海绵状血管畸形与非放射诱的海绵状血管畸形具有典型的病理特征。另一方面,一些研究报道了放射外科诱导的海绵状瘤样病变与非放射诱的海绵状血管畸形在病理上不同。许多报道的病理和神经放射学特征与我们的病例非常相似。因此,我们可能读到与RFEH相同的病理。然而,之前的研究都没有明确指出病变的独特特征是缺乏真正的血管结构。病变的组织学特征在非放射或分放射诱发海绵状血管瘤的病例中是不同的。因此,RFEH很可能是放射外科或单次高剂量放射后发生的一种特殊情况。

放射外科RFEH的临床特点

先前关于常规分放射和非放射诱发的海绵状血管瘤的报道表明,与放射诱发的RFEH相比,海绵状血管瘤的临床特征存在一些差异。首先是患者年龄的差异。在治疗时年龄小于10岁的患者中更常见放射治疗诱发的海绵状血管畸形,一个研究系列患者的平均年龄为11.7岁。然而,在我们的研究系列中,在最初的GKRS治疗中,尽管我们接受GKRS治疗的AVM患者中约有5%年龄小于10岁,没有年龄小于10岁的患者(中位数为28岁)发生RFEH。当然,考虑到我们研究的儿童人口有限,儿童GKRS治疗RFEH的主要发生仍然是可能的。

第二个区别是辐射剂量与潜伏期之间的相关性。使用总剂量超过30Gy的常规分割放射治疗可缩短新形成海绵状血管畸形的潜伏期。然而,在我们的研究中,剂量和潜伏期与RFEH的发生无相关性(表2)。在我们的研究中,37例患者中有14例既往有重复GKRS治疗或常规放疗史。累积的高剂量可能是发生RFEH的危险因素,但每个GKRS的边缘剂量或最大剂量与RFEH的发生无关。

第三个也是最重要的区别是存在大面积的焦周水肿和袭性临床病程。非辐射诱发的海绵状血管畸形与MRI周围很少或没有水肿相关,而常规辐射诱发的海绵状血管畸形在T2加权成像中从未出现过大的高信号。相反,在我们的研究系列中,所有患者的RFEH周围都有大量水肿伴血肿。在检测到伴有血肿的RFEH时,37例患者中有24例出现了由大面积脑水肿、扩大的血肿和相关囊肿引起的肿块占位效应引起的神经系统症状。症状的相对快速进展也不同于与常规辐射诱的海绵状血管畸形相关的症状的间歇性恶化和改善。另一方面,一些报道的病例在放射外科后的MRI表现和临床过程与我们的RFEH病例非常相似。

放射外科所致慢性包裹性血肿的相似性

有几例病例报告在GKRS切除AVM后发生慢性包性扩大血肿,其影像学特征和临床过程似乎与我们的病例非常相似。然而,在病例报告中没有描述海绵状血管畸形或内皮细胞增生。病例32中切除肿块的镜下外观与定义明确的包囊性血肿相一致(图5A和B)。组织学检查显示RFEH位于血肿内或邻近,被致密的胶原纤维覆盖。相比之下,在病例25中,血肿周围未观察到密集的胶原纤维(图4A和B)。两例之间的差异在于手术前的观察时间。在病例32中,由于临床症状和神经放射影像学结果进展缓慢,手术时间相对较长(检测到RFEH后14.4个月)。病例25,由于进展迅速,手术时间相对较短(3.6个月)。因此,血肿生长缓慢和灶周水肿可能导致血肿周围形成包膜。慢性包裹性血肿伴非辐射诱发的海绵状血管畸形发生于既往无放疗史的患者。这些病例进展缓慢,在较长时间内出血源间歇性反复出血可诱导慢性血肿周围包膜形成。在这种辐射无关的病例中,海绵状血管畸形会导致慢性包性血肿,在我们的病例中也会导致RFEH。我们推测,在GKRS治疗后首先引起RFEH,然后反复出血导致血肿扩大,类似于慢性包裹性血肿

手术管理和良好的结果

与非放射诱发的海绵状血管畸形相对良性的过程相反,放射外科诱发的RFEH往往更具有袭性,因为周围脑水肿、囊肿形成和血肿扩大的进展。患者的神经系统状况在发病后几个月内恶化。在本研究系列中,类固醇治疗并没有减少周围脑水肿,单纯抽吸和Ommaya储液囊植入均未能控制囊肿的扩张(病例1)。因此,对于有症状的患者,应考虑手术清除血肿合并RFEH。在大多数情况下,RFEH可以很容易地完全清除血肿,因为血肿周围的坏死脑组织允许安全的锋利剥离,甚至接近功能区。切除RFEH后,神经系统症状迅速消失,同时脑水肿消退。所有患者均恢复日常活动,随访观察未见复发。

研究的局限性

这项研究有几个局限性。首先,由于回顾性设计导致的选择偏差是不可避免的,RFEH的频率必须谨慎解释。此外,37例RFEH患者中只有23例接受了手术标本的组织学诊断,而其余14例患者接受了基于神经放射学检查的诊断。此外,该研究纳入的848例患者中,只有445例(52.5%)的随访期超过15年,尽管长潜伏期被认为是形成RFEH所必需的。因此,在讨论发生的频率时应加以适当考虑。

结论:

RFEH的延迟形成,在神经放影像射学上类似海绵状血管畸形,但在组织学上与血管畸形不同,是GKRS治疗的潜在并发症。其进展的临床过程表明,对有症状的患者和/或有明显影像学肿块征象的患者应考虑手术切除。

RFEH的延迟形成类似海绵状血管畸形是GKRS治疗的潜在并发症。进行性和积极的临床过程表明,对于有症状的患者和/或有明显影像肿块征象的患者,应考虑手术切除。RFEH根据其内在组织学和临床特点与非辐射诱发或辐射诱发海绵状血管瘤有很大区别。