
来自欧洲的全自动搜频技术;可匹配的钛合金工作尖种类更多
可用于修复预备、根管荡洗、超声洁牙、微创去腐……更给您舒适无痛的牙齿治疗!


1、磁致伸缩换能器磁致伸缩是指将一种物质磁化状态的改变,引起该物质物理尺寸的改变。常见的磁致伸缩材料有铁、镍、镍合金和钴等。在牙科领域一般是采用纯镍通过电磁转换产生磁致伸缩超声波,使得镍片沿着长轴伸长缩短,产生纵向振动。

图示:磁致伸缩内芯,电磁场作用于镰片导致其磁化一伸长收缩一镰片长度增加,从而产生纵向振动。

图示:镶片产生的纵向拥动通过连接体传导到内芯的尖璃,十字表示没有振动或运动的点,将其称作节点或波腹。
在电场(压电)作用下将石英或某些陶瓷等晶体结构尺寸发生物理改变。在牙科领域应用的压电陶瓷采用交变电流作用于陶瓷和石英盘上。当电流改变时晶体结构交替进行扩大和收缩,产生振动,振动传导使钛合金工作尖产生高频振动。

图示:压电式超声牙科器械手柄中的石英磁盘(Crystal disk)(图片来自DentsplyProfessional )

图示:压电式超声牙科器械手柄的结构示意图。交变电流作用于晶体圆盘上,使其进行扩大收缩,产生纵向振荡传导至钛合金工作尖。十字表示节点(波腹),或是不运动、不振动的点。
3、欧乐华采用压电陶瓷技术;可以匹配的超声波钛合金工作尖上百种。可以满足临床上的种植维护、牙齿预备、根管治疗、窝洞去腐、龈上洁治、龈下洁治等临床多种应用场景。

1.欧乐华是那种技术?
2.工作尖质量耐用吗?
3.后期使用成本高吗?
4.洁牙能做到无痛吗?
5.除了洁牙还能干什么?
6.如何能做到舒适无痛牙周治疗?

⽛周成交秘籍:什么⼈会买⽛周治疗仪?买⽛周治疗仪的⽬的是什么?是等待客户还是开发客户?

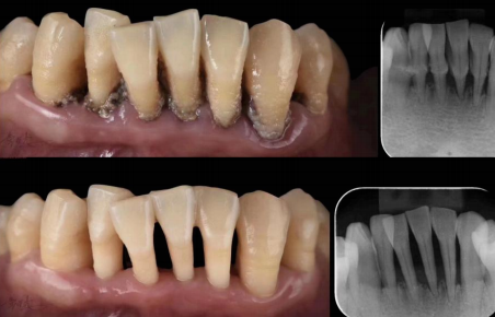
1、功率越小舒适度越高,在牙周治疗的过程中切勿追求速度让患者治疗舒适体验下降。我们应该根据患者的耐受度和牙结石大小及硬度的不同选择可以去除牙结石的最小功率为患去除牙结石。
2、调整合适的水量,以达到给钛合金工作尖降温的目的,并且可以有效的对牙周及牙周袋内的垃圾形成冲洗。什么样的水量最合适。调整好需要的功率后调整水量,踩下脚踏开关在空载无负荷的状态下,钛合金工作尖上的水滴可以到达工作尖尖端并形成水滴滴落为宜。负载工作时水滴会到达钛合金工作尖尖端后爆裂形成雾化。只有这样才既可以冷却钛合金工作尖又可以有效的对牙齿牙周形成冲洗。

3、不同的钛合金工作尖震幅轨迹不同。根据洁牙的位置不同正确的选择合适的钛合金工作尖。选择钛合金工作尖适当的面,配合适当的操作手法实现无痛牙周治疗。


4、手法:持洁牙手柄的手必须要有支点,操作时医生手腕不可移动和发力,用大拇指、食指、中指、发力略向内拉,每次移动范围不操过两毫米。手把持住手柄使钛合金工作尖贴住牙结石或者牙齿表面即可,不可以施加压力。利用超声波震动击碎牙结石。

钛合金工作尖从30元一枚到180元一枚不,价格不同是因为用处不同、材质不同、制作工艺不同、治疗时的舒适度不同。
钛合金工作尖价格较高,因为其硬度低于牙釉质洁牙时不伤牙齿钛合金工作尖震动时成椭圆形运动洁牙更舒适。

公司成立以来专业制造口腔超声设备配套产品,其钛合金工作尖销售遍布全球90多个国家,专业为各大高端品牌超声牙周洁牙设备代工超声钛合金工作尖,质量有保障,国内价最低。

洁治,根管,种植功能更全21枚钛合金工作尖配置满足临床所有需求。
使用体验的差异性再好的机器也要人用,不同人操作会给患者不同体验全触屏操控,取消实体按键!表面易清洁不易细菌残留全新功率及手柄设计改变了传统超声波钛合金工作尖运行轨迹。
舒适这个词是没有标准和直观概念的需要移情实际至使用场景不同病例使用不同功率根据临床需要选择最小功率去除结石。