泥鳅导丝怎么用曲乐丰教授团队:0.018"和0.035"普通泥鳅导丝行胸主动脉弓上分支原位开窗的病例分享

新闻资讯2026-04-21 16:48:41

泥鳅导丝怎么用曲乐丰教授团队:0.018"和0.035"普通泥鳅导丝行胸主动脉弓上分支原位开窗的病例分享_https://www.jmylbn.com_新闻资讯_第1张

今天为大家介绍两例上海长征医院血管外科曲乐丰教授团队带来使用0.018"和0.035"普通泥鳅导丝进行胸主动脉弓上分支原位开窗的病例分享。



泥鳅导丝怎么用曲乐丰教授团队:0.018"和0.035"普通泥鳅导丝行胸主动脉弓上分支原位开窗的病例分享_https://www.jmylbn.com_新闻资讯_第2张


       病例1       


病情介绍

年龄:79岁

性别:

主诉:检查发现胸主动脉溃疡3天余

现病史:3天前无明显诱因出现右下肢疼痛伴行走受限,休息后可缓解,于当地医院行颈动脉CTA提示主动脉弓附壁血栓伴穿透性溃疡;右侧颈外动脉起始段管壁非钙化斑块,管腔轻度狭窄。后来我院就诊,门诊拟“胸主动脉溃疡”收住入院

既往病史:平素身体一般,高血压史15年,最高达170/100mmHg,自服药物,控制可;9年前行房颤射频消融术;1年前行冠脉支架置入

术前诊断:胸主动脉溃疡;冠心病冠脉支架术后;房颤消融术后;主动脉瓣、二尖瓣、三尖瓣轻中度返流;肝囊肿

术前CTA详解:

主动脉弓穿透性溃疡,病变大小分别约11*11mm、5*9mm;左颈总动脉后缘处主动脉直径32mm,左锁骨下动脉前缘处主动脉直径29mm,左颈总动脉后缘距离左锁骨下动脉前缘8mm,左颈总动脉后缘距离穿透性溃疡近端7mm。

泥鳅导丝怎么用曲乐丰教授团队:0.018"和0.035"普通泥鳅导丝行胸主动脉弓上分支原位开窗的病例分享_https://www.jmylbn.com_新闻资讯_第3张

泥鳅导丝怎么用曲乐丰教授团队:0.018"和0.035"普通泥鳅导丝行胸主动脉弓上分支原位开窗的病例分享_https://www.jmylbn.com_新闻资讯_第4张

术前三维重建/CTA




泥鳅导丝怎么用曲乐丰教授团队:0.018"和0.035"普通泥鳅导丝行胸主动脉弓上分支原位开窗的病例分享_https://www.jmylbn.com_新闻资讯_第5张


手术难点



01

主动脉弓穿透性溃疡,病变位置在左锁骨下根部前壁位置,近端锚定区明显不足。

02

左锁骨下动脉开口与主动脉弓成锐角,呈“火山口”形,为术中原位开窗角度控制带来难点,且市面常见覆膜支架,开窗难度较大。


泥鳅导丝怎么用曲乐丰教授团队:0.018"和0.035"普通泥鳅导丝行胸主动脉弓上分支原位开窗的病例分享_https://www.jmylbn.com_新闻资讯_第6张


手术方案设计



方案一

直接覆盖左锁骨下动脉的胸主动脉覆膜支架腔内修复术:

操作简单,效果明确,但覆盖左锁骨下动脉可能会给患者带来后循环缺血和上肢缺血的临床表现。


方案二

胸主动脉覆膜支架腔内修复术+左侧锁骨下动脉烟囱技术:

手术操作相对简单,但内漏可能性较大,针对弓部溃疡效果不理想,中远期效果欠佳。


方案三

体外开窗下的胸主动脉覆膜支架腔内修复术:

病变封闭效果好,可以保留原有血流动力学特征,但操作复杂,术前需要根据测量结果改装支架,耗时较长;术中需要精准对位超选窗口,风险较高。


方案四

单分支支架胸主动脉腔内修复术:

溃疡病变封闭效果好,但锁骨下动脉与主动脉弓锐角,分支支架远期闭塞风险增加。


方案五

胸主动脉覆膜支架腔内修复术+原位开窗:

溃疡病变封闭效果好,不需要术前改装支架。但传统主动脉覆膜支架的原位开窗对于介入器械的要求较高,需要原位开窗针、激光、活检针等特殊破膜器械。






华脉泰科胸主动脉覆膜支架,覆膜段分为普通区域和局部区域,术中仅用普通导丝即可轻松穿透,不需要任何特殊开窗器具,区域覆膜易穿透、易扩张,低渗漏,在保证封闭效果的同时,简化了术中操作,降低了对介入器械的要求,目前已在全国顺利开展六十余例,平均左锁骨下动脉重建时长为15.1分钟,随访期间未发生内漏,所有分支保持畅通,短期内无闭塞现象。


考虑中远期治疗效果及术中操作的简便性,综合评估,我们选择华脉泰科胸主动脉覆膜支架进行腔内修复,并进行原位开窗技术重建左锁骨下动脉。



泥鳅导丝怎么用曲乐丰教授团队:0.018"和0.035"普通泥鳅导丝行胸主动脉弓上分支原位开窗的病例分享_https://www.jmylbn.com_新闻资讯_第7张




手术过程

胸主动脉溃疡腔内修复术+左锁骨下动脉原位开窗重建术+支架植入术



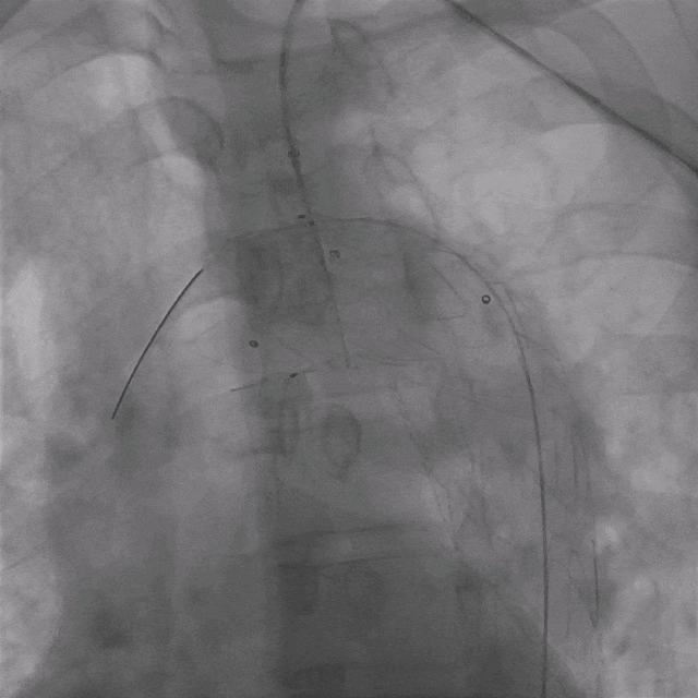
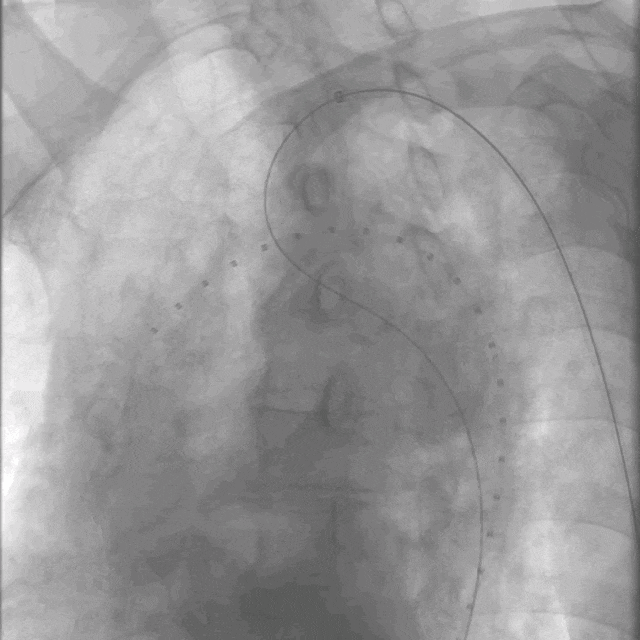
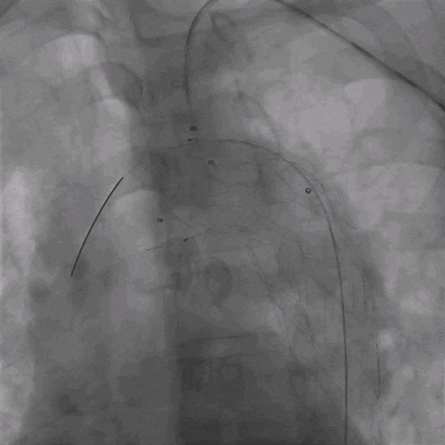
 01.  患者取平卧位,常规消毒铺单,按照Seldinger方法穿刺右侧股总动脉及左侧肱动脉,于左侧肱动脉引入猪尾导管用于术中标记,于右侧股动脉预置两把缝合器,引入泥鳅导丝及Pigtail导管至升主动脉,造影提示胸主动脉溃疡。

泥鳅导丝怎么用曲乐丰教授团队:0.018"和0.035"普通泥鳅导丝行胸主动脉弓上分支原位开窗的病例分享_https://www.jmylbn.com_新闻资讯_第8张

术前造影






 02. 交换0.035"Lunderquist超硬导丝至升主动脉,于左侧颈总动脉开口远端精确定位并释放华脉泰科PTBS3430180覆膜支架。造影提示主动脉溃疡隔绝完全,无内漏。

泥鳅导丝怎么用曲乐丰教授团队:0.018"和0.035"普通泥鳅导丝行胸主动脉弓上分支原位开窗的病例分享_https://www.jmylbn.com_新闻资讯_第9张

植入华脉泰科覆膜支架

泥鳅导丝怎么用曲乐丰教授团队:0.018"和0.035"普通泥鳅导丝行胸主动脉弓上分支原位开窗的病例分享_https://www.jmylbn.com_新闻资讯_第10张

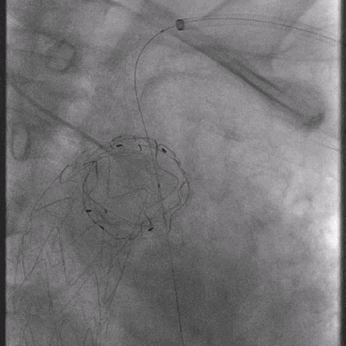
释放华脉泰科支架前三节,再次造影确认位置

泥鳅导丝怎么用曲乐丰教授团队:0.018"和0.035"普通泥鳅导丝行胸主动脉弓上分支原位开窗的病例分享_https://www.jmylbn.com_新闻资讯_第11张

后释放近端裸支架

泥鳅导丝怎么用曲乐丰教授团队:0.018"和0.035"普通泥鳅导丝行胸主动脉弓上分支原位开窗的病例分享_https://www.jmylbn.com_新闻资讯_第12张

造影确认支架形态



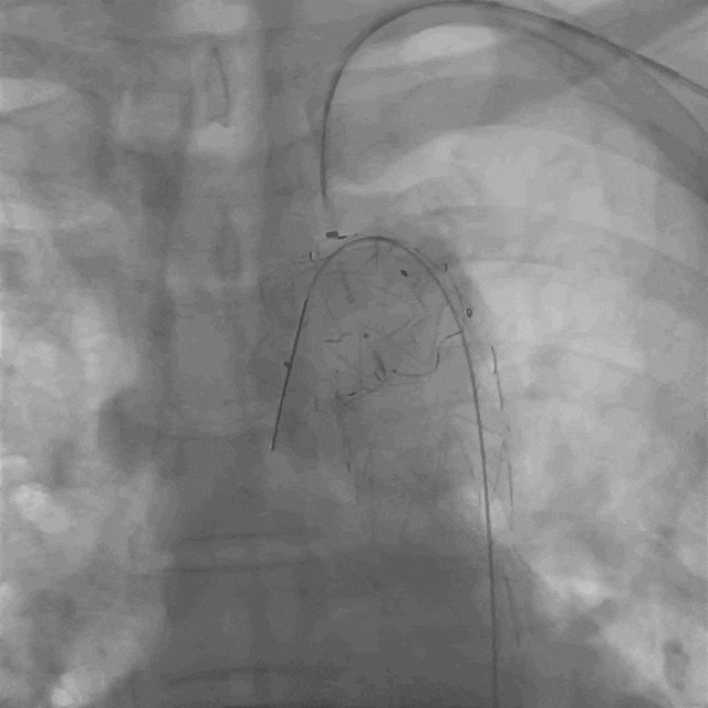
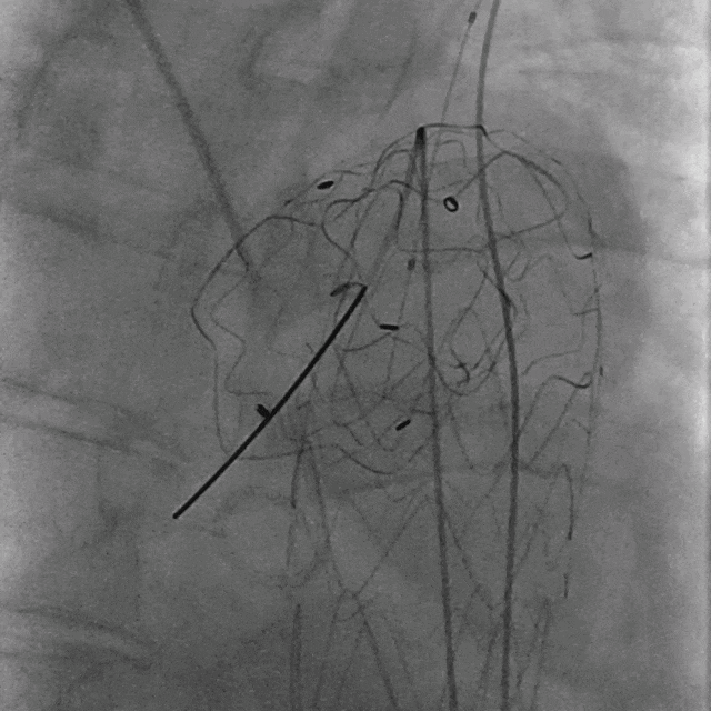
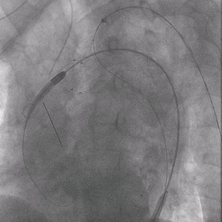
 03. 左侧肱动脉采用0.018"导丝配合0.035"支撑导管顺利破膜,先后引入4*30mm球囊、7*80mm球囊、MUSTANG 8*40mm球囊扩张开窗口。


泥鳅导丝怎么用曲乐丰教授团队:0.018"和0.035"普通泥鳅导丝行胸主动脉弓上分支原位开窗的病例分享_https://www.jmylbn.com_新闻资讯_第13张

0.018"导丝配合0.035"支撑导管顺利破膜

泥鳅导丝怎么用曲乐丰教授团队:0.018"和0.035"普通泥鳅导丝行胸主动脉弓上分支原位开窗的病例分享_https://www.jmylbn.com_新闻资讯_第14张

 RAO确认破膜成功并置入4*30m球囊

泥鳅导丝怎么用曲乐丰教授团队:0.018"和0.035"普通泥鳅导丝行胸主动脉弓上分支原位开窗的病例分享_https://www.jmylbn.com_新闻资讯_第15张

使用4*30m球囊扩张开窗口

泥鳅导丝怎么用曲乐丰教授团队:0.018"和0.035"普通泥鳅导丝行胸主动脉弓上分支原位开窗的病例分享_https://www.jmylbn.com_新闻资讯_第16张

使用7*80m球囊扩张开窗口

泥鳅导丝怎么用曲乐丰教授团队:0.018"和0.035"普通泥鳅导丝行胸主动脉弓上分支原位开窗的病例分享_https://www.jmylbn.com_新闻资讯_第17张

使用8*40m球囊扩张开窗口


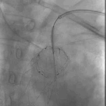
 04. 引入Lifestream 10*38mm支架,于开窗处精准扩张释放。


泥鳅导丝怎么用曲乐丰教授团队:0.018"和0.035"普通泥鳅导丝行胸主动脉弓上分支原位开窗的病例分享_https://www.jmylbn.com_新闻资讯_第18张

置入10*38mm球囊扩张支架并扩张

 05. 复查造影提示主动脉溃疡隔绝完全,无内漏,左锁骨下动脉血流通畅。

泥鳅导丝怎么用曲乐丰教授团队:0.018"和0.035"普通泥鳅导丝行胸主动脉弓上分支原位开窗的病例分享_https://www.jmylbn.com_新闻资讯_第19张

升主动脉造影



术后随访

患者于出院前行CTA检查,结果显示,主动脉弓穿透性溃疡隔绝良好,无内漏;分支支架通畅,形态良好;椎动脉供血良好。


泥鳅导丝怎么用曲乐丰教授团队:0.018"和0.035"普通泥鳅导丝行胸主动脉弓上分支原位开窗的病例分享_https://www.jmylbn.com_新闻资讯_第20张

术后CTA三维重建







泥鳅导丝怎么用曲乐丰教授团队:0.018"和0.035"普通泥鳅导丝行胸主动脉弓上分支原位开窗的病例分享_https://www.jmylbn.com_新闻资讯_第21张


       病例2       


病情介绍

年龄:66岁

性别:

主诉:胸闷胸痛1月余

现病史:13年前曾因肺癌行肺部手术,1月余前无明显诱因出现胸背部疼痛,以胸口及肩胛区为主,呈闷痛感,无心慌,就诊于外院行CTA示:主动脉弓穿透性溃疡,后于我院就诊,门诊以胸主动脉溃疡收入院

术前诊断:胸主动脉溃疡;肺癌术后;双肺多发肺结节;气管憩室;主动脉硬化;慢性胆囊炎;前列腺增生;高血压病;左髋关节置换术后。

术前CTA详解:

主动脉弓穿透性溃疡,病变大小约19.2*9.5mm;左颈总动脉后缘处主动脉直径33.2mm,左锁骨下动脉前缘处主动脉直径31.7mm,左颈总动脉后缘距离左锁骨下动脉前缘6.5mm,左颈总动脉后缘距离穿透性溃疡近端仅9.7mm。

泥鳅导丝怎么用曲乐丰教授团队:0.018"和0.035"普通泥鳅导丝行胸主动脉弓上分支原位开窗的病例分享_https://www.jmylbn.com_新闻资讯_第22张

泥鳅导丝怎么用曲乐丰教授团队:0.018"和0.035"普通泥鳅导丝行胸主动脉弓上分支原位开窗的病例分享_https://www.jmylbn.com_新闻资讯_第23张

术前三维重建/CTA




泥鳅导丝怎么用曲乐丰教授团队:0.018"和0.035"普通泥鳅导丝行胸主动脉弓上分支原位开窗的病例分享_https://www.jmylbn.com_新闻资讯_第24张


手术难点



01

左锁骨下动脉开口与主动脉弓成锐角,为术中原位开窗角度控制带来难点。

02

主动脉弓穿透性溃疡,病变位置在左锁骨下根部前壁位置,近端锚定区不足。


泥鳅导丝怎么用曲乐丰教授团队:0.018"和0.035"普通泥鳅导丝行胸主动脉弓上分支原位开窗的病例分享_https://www.jmylbn.com_新闻资讯_第25张


手术方案设计


综合评估,我们同样选择华脉泰科胸主动脉覆膜支架进行腔内修复,并进行原位开窗技术重建左锁骨下动脉。


泥鳅导丝怎么用曲乐丰教授团队:0.018"和0.035"普通泥鳅导丝行胸主动脉弓上分支原位开窗的病例分享_https://www.jmylbn.com_新闻资讯_第26张




手术过程

胸主动脉溃疡腔内修复术+左锁骨下动脉原位开窗重建术



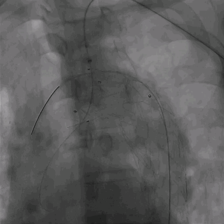
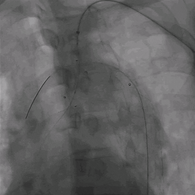
 01.  患者取平卧位,常规消毒铺单,按照Seldinger方法穿刺右侧股总动脉及左侧肱动脉,于左侧肱动脉引入猪尾导管用于术中标记,于右侧股动脉预置两把缝合器,引入泥鳅导丝及Pigtail导管至升主动脉,造影提示胸主动脉溃疡。

泥鳅导丝怎么用曲乐丰教授团队:0.018"和0.035"普通泥鳅导丝行胸主动脉弓上分支原位开窗的病例分享_https://www.jmylbn.com_新闻资讯_第27张

术前造影






 02. 交换0.035"Lunderquist超硬导丝至升主动脉,于左侧颈总动脉开口远端精确定位并释放华脉泰科PTBS3632180覆膜支架。

泥鳅导丝怎么用曲乐丰教授团队:0.018"和0.035"普通泥鳅导丝行胸主动脉弓上分支原位开窗的病例分享_https://www.jmylbn.com_新闻资讯_第28张

植入华脉泰科覆膜支架

泥鳅导丝怎么用曲乐丰教授团队:0.018"和0.035"普通泥鳅导丝行胸主动脉弓上分支原位开窗的病例分享_https://www.jmylbn.com_新闻资讯_第29张

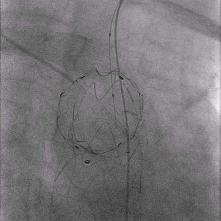
释放华脉泰科支架前三节,再次造影确认位置

泥鳅导丝怎么用曲乐丰教授团队:0.018"和0.035"普通泥鳅导丝行胸主动脉弓上分支原位开窗的病例分享_https://www.jmylbn.com_新闻资讯_第30张

全部释放并造影确认支架形态


 03. 左侧肱动脉采用0.035"泥鳅导丝硬头配合支撑导管顺利破膜,引入4mm球囊予以开窗处扩张。

泥鳅导丝怎么用曲乐丰教授团队:0.018"和0.035"普通泥鳅导丝行胸主动脉弓上分支原位开窗的病例分享_https://www.jmylbn.com_新闻资讯_第31张

调节支撑导管垂直于覆膜


泥鳅导丝怎么用曲乐丰教授团队:0.018"和0.035"普通泥鳅导丝行胸主动脉弓上分支原位开窗的病例分享_https://www.jmylbn.com_新闻资讯_第32张

泥鳅导丝硬头顺利破膜

泥鳅导丝怎么用曲乐丰教授团队:0.018"和0.035"普通泥鳅导丝行胸主动脉弓上分支原位开窗的病例分享_https://www.jmylbn.com_新闻资讯_第33张

使用4mm球囊扩张开窗口

泥鳅导丝怎么用曲乐丰教授团队:0.018"和0.035"普通泥鳅导丝行胸主动脉弓上分支原位开窗的病例分享_https://www.jmylbn.com_新闻资讯_第34张

RAO确认破膜成功

泥鳅导丝怎么用曲乐丰教授团队:0.018"和0.035"普通泥鳅导丝行胸主动脉弓上分支原位开窗的病例分享_https://www.jmylbn.com_新闻资讯_第35张

导管造影确认

泥鳅导丝怎么用曲乐丰教授团队:0.018"和0.035"普通泥鳅导丝行胸主动脉弓上分支原位开窗的病例分享_https://www.jmylbn.com_新闻资讯_第36张

再次使用4mm球囊扩张开窗口

泥鳅导丝怎么用曲乐丰教授团队:0.018"和0.035"普通泥鳅导丝行胸主动脉弓上分支原位开窗的病例分享_https://www.jmylbn.com_新闻资讯_第37张

回收球囊时带鞘进膜

泥鳅导丝怎么用曲乐丰教授团队:0.018"和0.035"普通泥鳅导丝行胸主动脉弓上分支原位开窗的病例分享_https://www.jmylbn.com_新闻资讯_第38张

RAO确认鞘管进膜



 04. 引入9mm球囊扩张支架,于开窗处精准释放扩张。

泥鳅导丝怎么用曲乐丰教授团队:0.018"和0.035"普通泥鳅导丝行胸主动脉弓上分支原位开窗的病例分享_https://www.jmylbn.com_新闻资讯_第39张

置入9mm球囊扩张支架

泥鳅导丝怎么用曲乐丰教授团队:0.018"和0.035"普通泥鳅导丝行胸主动脉弓上分支原位开窗的病例分享_https://www.jmylbn.com_新闻资讯_第40张

球扩分支支架



 05. 复查造影提示主动脉溃疡隔绝完全,无内漏,左锁骨下动脉血流通畅。

泥鳅导丝怎么用曲乐丰教授团队:0.018"和0.035"普通泥鳅导丝行胸主动脉弓上分支原位开窗的病例分享_https://www.jmylbn.com_新闻资讯_第41张

LSA造影

泥鳅导丝怎么用曲乐丰教授团队:0.018"和0.035"普通泥鳅导丝行胸主动脉弓上分支原位开窗的病例分享_https://www.jmylbn.com_新闻资讯_第42张

升主动脉造影




术后随访

患者于出院前行CTA检查,结果显示,主动脉弓穿透性溃疡隔绝良好,无内漏;分支支架通畅,形态良好;椎动脉供血良好。
泥鳅导丝怎么用曲乐丰教授团队:0.018"和0.035"普通泥鳅导丝行胸主动脉弓上分支原位开窗的病例分享_https://www.jmylbn.com_新闻资讯_第43张

术后CTA三维重建







泥鳅导丝怎么用曲乐丰教授团队:0.018"和0.035"普通泥鳅导丝行胸主动脉弓上分支原位开窗的病例分享_https://www.jmylbn.com_新闻资讯_第44张



— 病例经验小结—   

泥鳅导丝怎么用曲乐丰教授团队:0.018"和0.035"普通泥鳅导丝行胸主动脉弓上分支原位开窗的病例分享_https://www.jmylbn.com_新闻资讯_第45张

对于主动脉弓部病变累及左锁骨下动脉导致近端锚定区不足的病例,在扩展锚定区、保障患者中远期治疗效果的同时,为了避免患者出现后循环缺血或上肢缺血等症状,我们选择通过原位开窗技术进行左锁骨下动脉重建,最终达到确保弓部溃疡病变封闭效果的同时保证左锁骨下动脉血流的灌注。

本病例我们选择华脉泰科胸主动脉覆膜支架进行腔内修复,该支架在原位开窗过程中表现优异,覆膜支架近端定位精准,无内漏,术中仅用0.018"和0.035"导丝即可轻松破膜,开窗处覆膜易穿透、易扩张,球囊扩张开口过程操作简单,植入支架后形态好,无膜漏,即时效果好。华脉泰科胸主支架原位开窗,手术操作过程简易,降低了对腔内器材的选择要求,最终本案例左锁骨下动脉重建效果符合术前规划预期。


泥鳅导丝怎么用曲乐丰教授团队:0.018"和0.035"普通泥鳅导丝行胸主动脉弓上分支原位开窗的病例分享_https://www.jmylbn.com_新闻资讯_第46张


专家介绍


泥鳅导丝怎么用曲乐丰教授团队:0.018"和0.035"普通泥鳅导丝行胸主动脉弓上分支原位开窗的病例分享_https://www.jmylbn.com_新闻资讯_第47张

曲乐丰 教授




主任医师,教授,博士生导师。中国血管外科专业首位博士后,德国纽伦堡医院血管外科执业医师(注册号:Nr. 620-2411.2-Qu)。

上海领军人才、上海市优秀学术带头人、上海“东方学者”特聘教授及跟踪计划、上海科技启明星及跟踪计划、上海浦江人才、上海市优秀青年医学人才、海军军医大学优秀青年学者。海军军医大学首届“研究型医师”计划。海军军医大学首届“金手术刀奖”。首届“国之名医·优秀风范奖”、国家卫健委脑卒中筛查与防治“突出贡献专奖”与“优秀中青年专家奖”。享受军队优秀专业技术人才一类岗位津贴。荣立个人三等功2次。

现任海军军医大学第二附属医院(上海长征医院)血管外科主任,海军军医大学颈部血管病诊疗中心主任,国家卫健委颈动脉内膜剥脱培训基地负责人,国家人社部国家级专家服务基地“颈动脉相关卒中的筛查和防治”负责人。

主攻方向为血管系统疾病的个体化微创诊治及器具研发。引进并改良外翻CEA术式,提出“颈动脉闭塞TCL分型”、“颈部大出血ABC救治原则”、“颈动脉内膜斑块切除术”等一系列新分型、新理论和新概念,填补本领域空白,并成功完成逾6000例复杂颈动脉手术。国际首创腹主动脉瘤腔内治疗“解剖固定”新概念并在国内外推广应用,研发全球首款复杂TEVAR原位开窗破膜器“Quick Fenestrater”。承担国家和上海市科研项目19项,主编及副主编/译专著8部,发表SCI及核心论文200多篇。国家发明专利6项,全军医疗成果一等奖、二等奖、三等奖各1项,上海市医学科技进步三等奖1项。


泥鳅导丝怎么用曲乐丰教授团队:0.018"和0.035"普通泥鳅导丝行胸主动脉弓上分支原位开窗的病例分享_https://www.jmylbn.com_新闻资讯_第48张



科室介绍

海军军医大学第二附属医院(上海长征医院)血管外科系国家卫健委脑卒中筛查与防治颈动脉内膜剥脱技术培训基地、国家人社部颈动脉相关脑卒中筛查防治专家服务基地、上海市脑卒中临床救治中心、海军军医大学颈部血管病诊疗中心、中国健康促进基金会静脉血栓防治培训基地、中国医药教育协会全国VDM中心示范基地。


学科由我国首位血管外科博士后、拥有德国行医执照的曲乐丰教授创建。科室常年与欧美顶尖血管外科中心保持合作。学科专注于血管系统疾病的微创诊疗、临床/基础和器具转化研究及培训工作。尤其在颈动脉狭窄/瘤、胸/腹主动脉瘤/夹层、主髂及下肢动脉硬化闭塞症、深静脉血栓、内脏动脉瘤/狭窄、静脉曲张、累及血管肿瘤等方面拥有丰富诊治经验和确切疗效。技术帮扶全国200多家医院,病患来自全国各地。


创办“乐真血管”公众号、“曲乐丰教授说血管”抖音公众号和“乐真血管论坛”深受大众和国内外同行欢迎。


团队始终以“安全、有效、最优”为宗旨,“南京路上好军医”为准则,为全国各地患者谋福祉。为表彰带头人及团队对我国血管病事业的贡献,被授予“国之名医”、国家卫健委“突出贡献专家”、海军军医大学“金手术刀奖”等称号。相关事迹获央视《军旅人生》等多家媒体报道。


泥鳅导丝怎么用曲乐丰教授团队:0.018"和0.035"普通泥鳅导丝行胸主动脉弓上分支原位开窗的病例分享_https://www.jmylbn.com_新闻资讯_第49张



END




版权声明:本平台旨在帮助医疗卫生专业人士更好地了解相关疾病领域最新进展。本平台对发布的资讯内容,并不代表同意其描述和观点,仅为提供更多信息。若涉及版权问题,烦请权利人与我们联系,我们将尽快处理。仅供医疗卫生专业人士为了解资讯使用,该等信息不能以任何方式取代专业的医疗指导,也不应被视为诊疗建议。如该等信息被用于了解资讯以外的目的,本平台及作者不承担相关责任。合作联系邮箱:vascular@edoctor.work。

泥鳅导丝怎么用曲乐丰教授团队:0.018"和0.035"普通泥鳅导丝行胸主动脉弓上分支原位开窗的病例分享_https://www.jmylbn.com_新闻资讯_第50张