联影ct怎么样【医讯】勐腊县人民医院引进国产联影高端64排128层螺旋CT正式投入使用

新闻资讯2026-04-21 22:39:23
联影ct怎么样【医讯】勐腊县人民医院引进国产联影高端64排128层螺旋CT正式投入使用_https://www.jmylbn.com_新闻资讯_第1张

点击蓝字,关注我们

  厚德   求精   和谐   博爱

联影ct怎么样【医讯】勐腊县人民医院引进国产联影高端64排128层螺旋CT正式投入使用_https://www.jmylbn.com_新闻资讯_第2张



在西双版纳州委、州政府、勐腊县委、县政府大力支持下,勐腊县人民医院最新引进了上海联影医疗科技有限公司自主研发生产的高端128层螺旋CT(产品型号:uCT 760)正式投入使用,标志着我院的诊疗水平又上升一个新的台阶。


联影高端64排螺旋CT技术性能处于国内领先水平,它以临床需求为导向,以提高图像质量、降低辐射剂量为目标,是具备先进技术和全面临床应用的高端螺旋CT。可广泛应用于全身多种疾病的诊断、复查、疗效随访,尤其对心脑血管疾病、肺部疾病、腹部肿瘤、骨科等疾病有早期诊断价值,是目前常用的影像诊断和体检设备。

联影ct怎么样【医讯】勐腊县人民医院引进国产联影高端64排128层螺旋CT正式投入使用_https://www.jmylbn.com_新闻资讯_第3张

▲高端128层螺旋CT(型号:uCT 760)







此CT机能够满足全身各系统的常规平扫及增强检查;全身血管CTA、CTV检查;三维检查,还配备肺功能测定、齿科检查、头颅及体部灌注等特殊软件,为临床提供了更为丰富的检查手段。


联影ct怎么样【医讯】勐腊县人民医院引进国产联影高端64排128层螺旋CT正式投入使用_https://www.jmylbn.com_新闻资讯_第4张






联影心时空UCT 760的产品优势:






高热容量液态金属球管,连续扫描能力强:该设备搭载高热容量液态金属球管,大功率高压发生器,满足大范围连续性扫描、多期增强扫描,每天300+人次扫描,提升我院CT检查效率。

第五代数字化芯片探测器:基于时空一体化设计,采用国产首个自主研发数字化芯片TSV探测器,实现高信噪比成像,密度分辨率为2mm,实现精准CT软组织、腹部、神经、关节组织成像。

胸痛中心解决方案:拥有较高转速0.35s/圈,搭载ePhase冠脉自适应对焦平台以及uCardica心脏高级后处理平台,打开就能进行心脏高级后处理应用,可实现心功能分析、高级冠脉分析、高级斑块分析、钙化分析等高级应用。

70kV精准绿色低剂量检查:搭载载全新低剂量双域迭代降噪技术,以及70kV双低剂量扫描技术,大幅降低辐射剂量,实现安全绿色扫描,适用于儿童低剂量检查、成人低剂量体检筛查、低剂量疾病随访复查。

uWS-CT原厂高级临床科研工作站:搭载肺结节AI分析、肺气肿智能评估、高级血管分析、头颈部高级血管一次性成像、高级神经灌注成像软件、体部灌注成像软件、高级心脏冠脉分析软件、心功能分析软件、结肠计算机辅助检测软件等全面临床软件,满足我院全面临床诊疗业务。



64排CT(uCT 760)开展的临床应用介绍:






1、CT血管造影(CTA):可以评估血管及脏器功能,准确判断出血、栓塞、血管瘤、血管畸形、血管狭窄,肿瘤供血等情况,为治疗提供有效帮助。

联影ct怎么样【医讯】勐腊县人民医院引进国产联影高端64排128层螺旋CT正式投入使用_https://www.jmylbn.com_新闻资讯_第5张


2、头颈联合血管CTA:头颈部的主要血管有颈动脉、椎动脉、基底动脉、Willis环及大脑前、中、后动脉。CTA可清晰显示头颈部各血管的形态、位置及与临近组织的关系;可较好的判断颈动脉和椎动脉狭窄的部位、程度;清晰显示颈动脉体瘤与颈内、外动脉的关系。

联影ct怎么样【医讯】勐腊县人民医院引进国产联影高端64排128层螺旋CT正式投入使用_https://www.jmylbn.com_新闻资讯_第6张


3、冠状动脉CTA :快速且无创的诊断冠脉狭窄、斑块等疾病,对于避免急性心梗等具有重要意义。

联影ct怎么样【医讯】勐腊县人民医院引进国产联影高端64排128层螺旋CT正式投入使用_https://www.jmylbn.com_新闻资讯_第7张



4、CT灌注成像:对评价急慢性脑缺血,肝、胰和骨骼的良恶性肿瘤的诊断具有巨大价值。

联影ct怎么样【医讯】勐腊县人民医院引进国产联影高端64排128层螺旋CT正式投入使用_https://www.jmylbn.com_新闻资讯_第8张



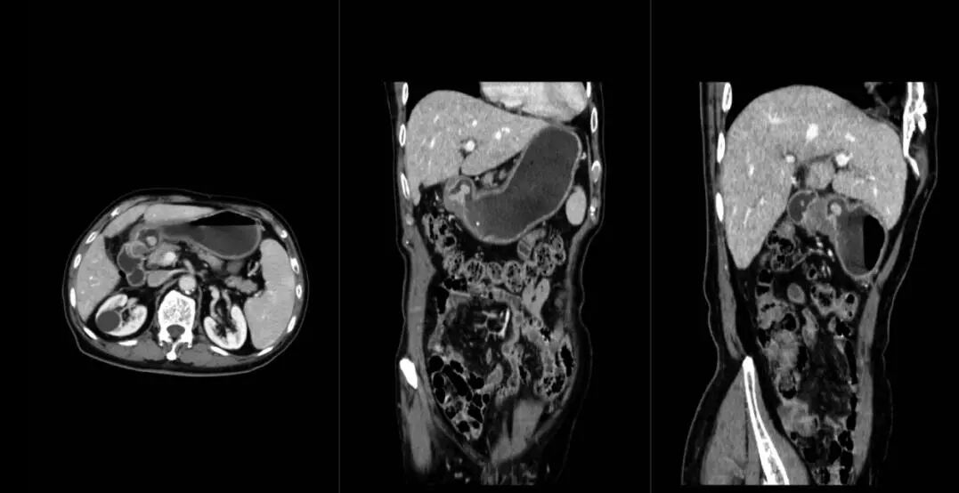
5、腹部高清成像:了解腹腔脏器有无感染性疾病,如:炎症、结核、脓肿等;有无占位,如良、恶性肿瘤,转移性肿瘤等;有无畸形、结石、梗阻、穿孔、积液等。

联影ct怎么样【医讯】勐腊县人民医院引进国产联影高端64排128层螺旋CT正式投入使用_https://www.jmylbn.com_新闻资讯_第9张



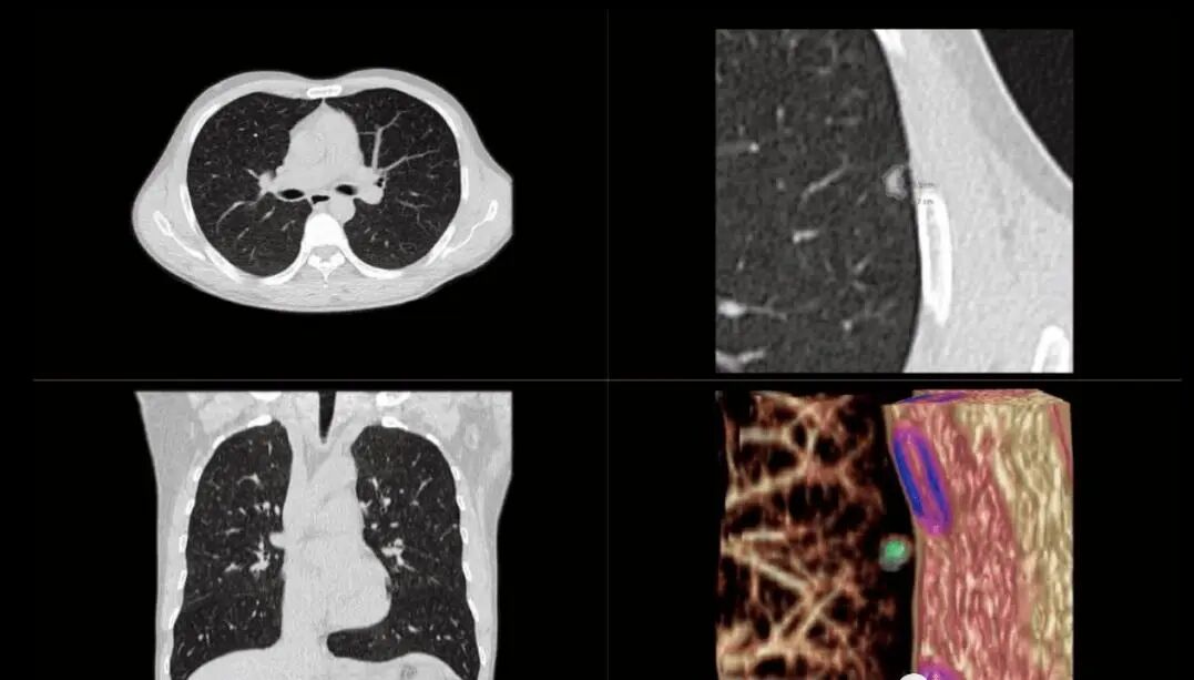
6、低剂量胸部CT检查:胸部低剂量螺旋CT扫描辐射剂量仅为常规CT的26%甚至更低,大大降低了对受检者的伤害;尤其适用于肺癌早期筛查、肺内结节的定期追踪,以及未成年人的诊疗中。

联影ct怎么样【医讯】勐腊县人民医院引进国产联影高端64排128层螺旋CT正式投入使用_https://www.jmylbn.com_新闻资讯_第10张



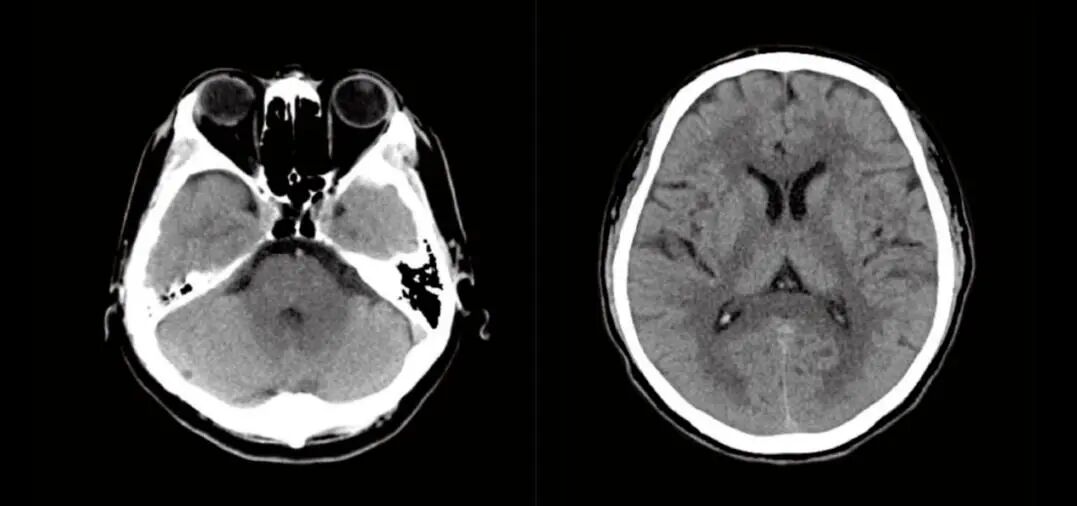
7、颅脑CT检查:是一种检查方便,迅速安全,无痛苦,无创伤的新的检查方法,它能清楚的显示颅脑不同横断面的解剖关系和具体的脑组织结构。因而大大提高了病变的检出率和诊断的准确性。

联影ct怎么样【医讯】勐腊县人民医院引进国产联影高端64排128层螺旋CT正式投入使用_https://www.jmylbn.com_新闻资讯_第11张



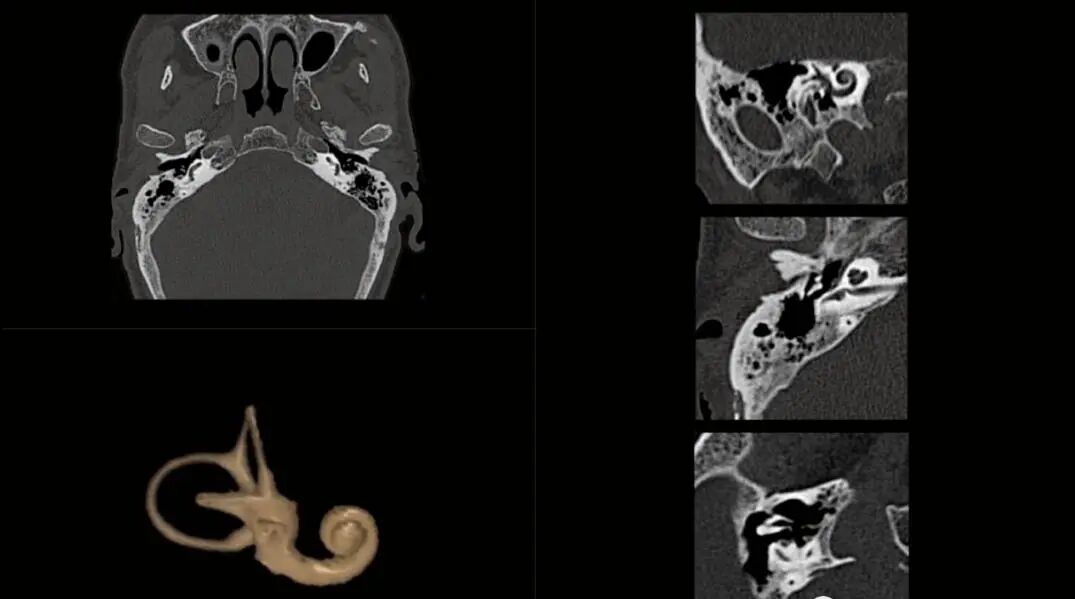
8、内耳CT成像:耳部ct可以显示外耳道的前、后壁,鼓膜,鼓室,听小骨组成的听骨链,前庭窗,耳蜗,半规管和前庭,前庭水管,内耳道。面神经管的迷路段和鼓室段以及咽鼓管骨性段等结构。通过耳部ct可以判断是否有先天性的外耳、中耳、内耳畸形。特别是前庭水管扩大,是内耳畸形中最常见的一种。

联影ct怎么样【医讯】勐腊县人民医院引进国产联影高端64排128层螺旋CT正式投入使用_https://www.jmylbn.com_新闻资讯_第12张






这套大型设备的投入使用,大大提高了我院临床疾病的检出率以及病变定位、定性、定量诊断水平,带来新的检查领域,为临床提供了更广泛而确切的诊治信息,从而更好的服务于广大患者。


联影ct怎么样【医讯】勐腊县人民医院引进国产联影高端64排128层螺旋CT正式投入使用_https://www.jmylbn.com_新闻资讯_第13张
联影ct怎么样【医讯】勐腊县人民医院引进国产联影高端64排128层螺旋CT正式投入使用_https://www.jmylbn.com_新闻资讯_第14张



联影ct怎么样【医讯】勐腊县人民医院引进国产联影高端64排128层螺旋CT正式投入使用_https://www.jmylbn.com_新闻资讯_第15张

设备安装调试完成


联影ct怎么样【医讯】勐腊县人民医院引进国产联影高端64排128层螺旋CT正式投入使用_https://www.jmylbn.com_新闻资讯_第16张

科室医务人员进行现场培训



目前,我院影像一科拥有64排CT两台,16排CT一台、1.5T核磁共振一台、DR等大型检查设备。


我们将用先进的设备、

精湛的技术,

为您提供更加优质的诊疗服务。





联影ct怎么样【医讯】勐腊县人民医院引进国产联影高端64排128层螺旋CT正式投入使用_https://www.jmylbn.com_新闻资讯_第17张

微信号:mlrmyy

电话:0691--8122264

地址:勐腊县康复路27号