联影ct怎么样【仁合诊疗】我院引进联影高端128层CT正式投入使用

新闻资讯2026-04-21 22:39:21
联影ct怎么样【仁合诊疗】我院引进联影高端128层CT正式投入使用_https://www.jmylbn.com_新闻资讯_第1张

     为满足患者就诊需求,提供更为便捷的检查手段,不断提升就医体验,近日,深圳仁合医院放射科引进联影最新款64排128层螺旋CT,目前已正式投入使用。

联影ct怎么样【仁合诊疗】我院引进联影高端128层CT正式投入使用_https://www.jmylbn.com_新闻资讯_第2张

联影高端心时空128层螺旋CT技术性能处于国内领先水平,它以临床需求为导向,以提高图像质量、降低辐射剂量为目标,是具备先进技术和全面临床应用的高端螺旋CT。可广泛应用于全身多种疾病的诊断、复查、疗效随访,尤其对心脑血管疾病肺部疾病腹部肿瘤骨科等疾病的有早期诊断价值,是目前常用的影像诊断和体检设备。

对患者而言,新设备引进实现了超清晰成像的同时,大幅降低患者辐射计量提高疾病的发现率诊断的准确性,为患者提供更加早期、准确、无创伤及安全的诊断,为群众的身体健康提供了有力保障。



ONE
联影uCT76064排128层CT机器优势



仁合放射科最新引进联影心时空uCT 760产品的优势:


联影ct怎么样【仁合诊疗】我院引进联影高端128层CT正式投入使用_https://www.jmylbn.com_新闻资讯_第3张


1、扫描速度更快:

    患者配合时间更短,百万像素成像使图像更清晰,进一步提高了病灶显示的清晰度。

2、定位定性诊断更准确:

    亚毫米薄层图像采集多方位图像重组,以及一次注射对比剂行多期扫描,更有利于早期和微小病变的检出、诊断与鉴别诊断,使各部位病变的检出率和定位定性诊断更加准确。

3、病变显示更直观:

    容积数据采集后,进行多种形式的二维和三维重建,多方位多角度动态观察及仿真内窥镜观察,使病变的显示更加直观形象,还可模拟手术观察,使手术风险降低。

4、X线辐射剂量进一步降低:

    使用特殊重建方式,可以在图像质量一致的前提下将剂量大幅度降低,最大程度减少患者辐射。




TWO

128层CT的临床应用范围


1、CT血管造影:

    血管造影可以评估血管及脏器功能,准确判断血管瘤、血管畸形、血管狭窄,肿瘤供血、出血、栓塞、等情况,为治疗提供有效帮助。

联影ct怎么样【仁合诊疗】我院引进联影高端128层CT正式投入使用_https://www.jmylbn.com_新闻资讯_第4张

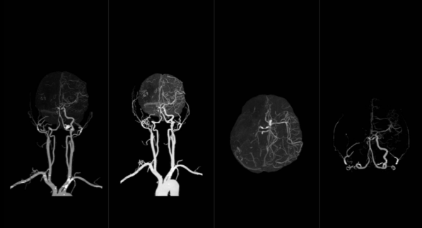
2、头颈联合血管CTA:

     头颈部的主要血管有颈动脉、椎动脉、基底动脉、Willis环及大脑前、中、后动脉。CTA可清晰显示头颈部各血管的形态、位置及与临近组织的关系;可较好的判断颈动脉和椎动脉狭窄的部位、程度;清晰显示颈动脉体瘤与颈内、外动脉的关系;

联影ct怎么样【仁合诊疗】我院引进联影高端128层CT正式投入使用_https://www.jmylbn.com_新闻资讯_第5张

3、冠状动脉CTA :

     可以在短短数秒时间内快速且无创的诊断冠脉狭窄、斑块等疾病,对于诊疗急性心梗等疾病具有重要意义。

联影ct怎么样【仁合诊疗】我院引进联影高端128层CT正式投入使用_https://www.jmylbn.com_新闻资讯_第6张

4、CT灌注成像:

    最新CT灌注成像对临床鉴定肝、胰和骨骼的良恶性肿瘤以及急慢性脑缺血的诊断具有巨大价值。

联影ct怎么样【仁合诊疗】我院引进联影高端128层CT正式投入使用_https://www.jmylbn.com_新闻资讯_第7张


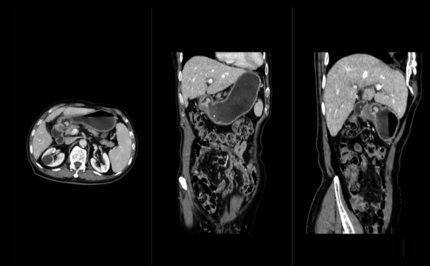
5、腹部高清成像:

     了解腹腔脏器有无感染性疾病,如:有无占位,如良、恶性肿瘤,转移性肿瘤等;有无畸形、结石、梗阻、穿孔、积液等;炎症、结核、脓肿等。

联影ct怎么样【仁合诊疗】我院引进联影高端128层CT正式投入使用_https://www.jmylbn.com_新闻资讯_第8张

6、低剂量胸部CT检查:

     剂量仅为常规CT的26%甚至更低,大大降低了对受检者的伤害;尤其适用于肺癌早期筛查、肺内结节的定期追踪,以及未成年人的疾病诊疗。

联影ct怎么样【仁合诊疗】我院引进联影高端128层CT正式投入使用_https://www.jmylbn.com_新闻资讯_第9张

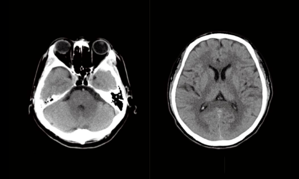
7、颅脑CT检查:

      是一种检查方便,无痛苦,无创伤且迅速安全的检查方法,它能清楚的显示颅脑不同横断面的解剖关系和具体的脑组织结构。因而大大提高了病变的检出率和诊断的准确性。

联影ct怎么样【仁合诊疗】我院引进联影高端128层CT正式投入使用_https://www.jmylbn.com_新闻资讯_第10张

8、内耳CT成像:

     耳部ct可以显示外耳道的前、后壁,鼓膜,鼓室,听小骨组成的听骨链,前庭窗,耳蜗,半规管和前庭,前庭水管,内耳道。

联影ct怎么样【仁合诊疗】我院引进联影高端128层CT正式投入使用_https://www.jmylbn.com_新闻资讯_第11张


THREE
仁合放射科专家介绍


联影ct怎么样【仁合诊疗】我院引进联影高端128层CT正式投入使用_https://www.jmylbn.com_新闻资讯_第12张