联影ct怎么样【小南快讯】辐射低、成像快、更精确!CT届的“天花板”——320排640层超高端CT落户奉中心!

新闻资讯2026-04-21 22:39:24
联影ct怎么样【小南快讯】辐射低、成像快、更精确!CT届的“天花板”——320排640层超高端CT落户奉中心!_https://www.jmylbn.com_新闻资讯_第1张


它来了!

它来了!

它来了!



联影uCT960+


联影ct怎么样【小南快讯】辐射低、成像快、更精确!CT届的“天花板”——320排640层超高端CT落户奉中心!_https://www.jmylbn.com_新闻资讯_第2张

近日

搭载320排640层的超高端CT

联影uCT960+

在奉贤区中心医院放射医学科

成功装机试运行

联影ct怎么样【小南快讯】辐射低、成像快、更精确!CT届的“天花板”——320排640层超高端CT落户奉中心!_https://www.jmylbn.com_新闻资讯_第3张

这台超高端CT集当今CT领域的顶尖科技于一身,建立了心血管、神经、肿瘤、呼吸系统、泌尿系统及骨科专业等疾病的成像和低剂量筛查领域全新标准,真正实现动态容积成像,结合AI人工智能技术,为创新临床应用和科研探索解锁无限想象空间。

联影ct怎么样【小南快讯】辐射低、成像快、更精确!CT届的“天花板”——320排640层超高端CT落户奉中心!_https://www.jmylbn.com_新闻资讯_第4张

精确


分析人体病灶的组织成分、组织特性,为影像诊断提供常规CT无法提供的重要信息。如进行痛风石检测、泌尿系结石成分分析、碘与钙质区分、肿瘤同源性鉴别等。动态容积成像AI人工智能技术的引入从根本上超越了传统检查方式,革新了检查理念,使得诊断更快捷、更安全、更准确,真正把CT带入了功能成像的时代。

快捷


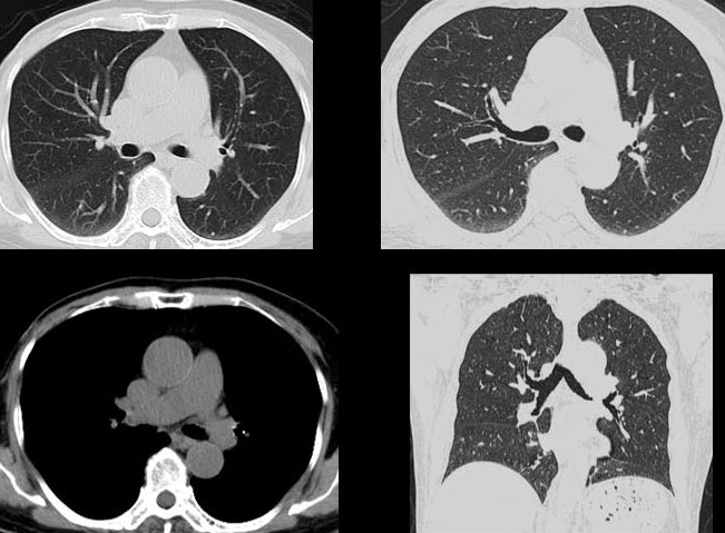
320排大面积探测器、0.25秒/圈机架扫描转速16厘米的探测器单圈覆盖,可实现单次检查覆盖检查器官的三维动态影像采集方式,提供全速急诊CTA成像、体部脏器灌注等解决方案,包括冠状动脉、头颈动脉成像、全主动脉成像、肺动脉成像、肺静脉成像,对于脑部可实现4D全脑灌注成像,一次对比剂注射即可获取脑动脉、脑静脉血管成像、CT灌注成像和4D动态图像,助力脑卒中解决方案。使检查时间最短化,图像评估直观化,为抢救生命争分夺秒

安全


与普通螺旋CT相比,超高端CT突破了传统的检查模式,克服了传统CT在扫描过程中的繁琐流程,避免了因动床、病人呼吸运动和扫描范围的限制造成的病灶错位、漏扫和移动伪影等情况的发生,检查时间、辐射剂量和造影剂用量均显著降低

舒适


640层CT具备82厘米的宽体大孔径、318千克的检查床最大承重,大大减少了对患者体型的限制。


超高端CT的运行使用

不仅大幅提高了影像检查效率

为患者提供

更加精准、舒适、快捷、安全的服务

更可为临床诊断与治疗提供精准的科学依据




利用超高端CT优势,可为胸痛中心、脑卒中中心、肿瘤中心、危急重症、体检等提供全面解决方案

联影ct怎么样【小南快讯】辐射低、成像快、更精确!CT届的“天花板”——320排640层超高端CT落户奉中心!_https://www.jmylbn.com_新闻资讯_第5张




胸痛中心



联影ct怎么样【小南快讯】辐射低、成像快、更精确!CT届的“天花板”——320排640层超高端CT落户奉中心!_https://www.jmylbn.com_新闻资讯_第6张

01

心血管成像能力方面目前

业内最好

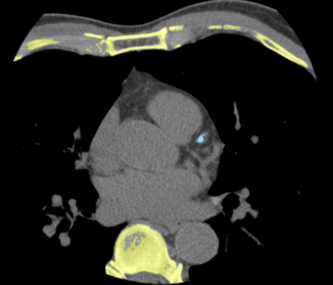
面对高心率达到200bpm的患者,心律高度不齐、房颤、房扑的患者,都能够呈现清晰的图像质量:

(1)拥有业内最宽的16厘米探测器,轻松应对复杂心率和心律;

(2)拥有业内最全的心脏冠脉成像解决方案。

高心率+高清晰+智能分析

多维度参数评估,精准影像诊断

联影ct怎么样【小南快讯】辐射低、成像快、更精确!CT届的“天花板”——320排640层超高端CT落户奉中心!_https://www.jmylbn.com_新闻资讯_第7张
联影ct怎么样【小南快讯】辐射低、成像快、更精确!CT届的“天花板”——320排640层超高端CT落户奉中心!_https://www.jmylbn.com_新闻资讯_第8张
联影ct怎么样【小南快讯】辐射低、成像快、更精确!CT届的“天花板”——320排640层超高端CT落户奉中心!_https://www.jmylbn.com_新闻资讯_第9张

冠脉血管显示存在动脉伪影的,利用AI冠脉运动追焦技术进行重建数据,运动伪影校正

联影ct怎么样【小南快讯】辐射低、成像快、更精确!CT届的“天花板”——320排640层超高端CT落户奉中心!_https://www.jmylbn.com_新闻资讯_第10张
联影ct怎么样【小南快讯】辐射低、成像快、更精确!CT届的“天花板”——320排640层超高端CT落户奉中心!_https://www.jmylbn.com_新闻资讯_第6张

02

图像质量性能

业内最高

配置高端硬件和先进软件算法,图像性能领先。可以对软斑块成分鉴别,稳定/不稳定斑块性质鉴定,支架术后/冠脉搭桥术后复查等,640层CT均可给出清晰准确的评判。

钙化组织定量计算:按冠脉分支汇总钙点,支持钙化体积计算、钙化质量计算,Agatston积分和体积积分计算

联影ct怎么样【小南快讯】辐射低、成像快、更精确!CT届的“天花板”——320排640层超高端CT落户奉中心!_https://www.jmylbn.com_新闻资讯_第12张
联影ct怎么样【小南快讯】辐射低、成像快、更精确!CT届的“天花板”——320排640层超高端CT落户奉中心!_https://www.jmylbn.com_新闻资讯_第13张




脑卒中中心



具备业内最便捷脑卒中解决方案,4D动态一站式卒中解决方案;一次对比剂注射即可获取脑动脉、脑静脉血管成像、CT灌注成像和 4D动态图像,助力脑卒中解决方案。使检查时间最短化,图像评估直观化,为抢救生命争分夺秒。

4D动态一站式卒中解决方案

联影ct怎么样【小南快讯】辐射低、成像快、更精确!CT届的“天花板”——320排640层超高端CT落户奉中心!_https://www.jmylbn.com_新闻资讯_第14张

颈脑动脉CTA+CTP

联影ct怎么样【小南快讯】辐射低、成像快、更精确!CT届的“天花板”——320排640层超高端CT落户奉中心!_https://www.jmylbn.com_新闻资讯_第15张




危急重症



常见的急性病症包括脑出血、胸痛三联征、主动脉夹层、急腹症、车祸外伤等,针对神经、胸腹、肌骨等各类型的常见急诊场景提供全速急诊方案,为生命争分夺秒。

大范围胸痛三联征一次扫描完成图像采集,同时配置宽体能谱成像+16厘米容积灌注成像+40厘米大范围动态成像多种成像方式选择为临床带来更加精准诊断

联影ct怎么样【小南快讯】辐射低、成像快、更精确!CT届的“天花板”——320排640层超高端CT落户奉中心!_https://www.jmylbn.com_新闻资讯_第16张




体 检



具备业内最先进的低剂量技术,60千伏精控球管技术。辐射剂量小,是健康体检最优选择。

联影ct怎么样【小南快讯】辐射低、成像快、更精确!CT届的“天花板”——320排640层超高端CT落户奉中心!_https://www.jmylbn.com_新闻资讯_第17张




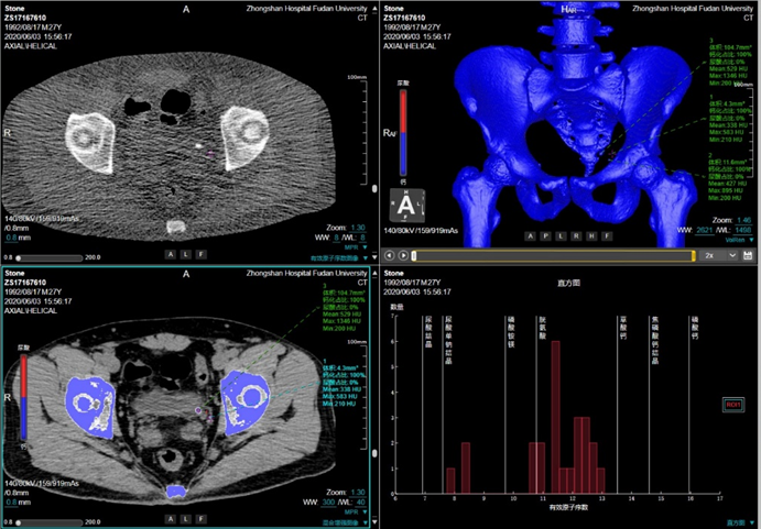
功能成像方案



能谱成像技术:分析人体病灶的组织成分、组织特性,为影像诊断提供常规CT无法提供的重要信息,如进行痛风石检测、泌尿系结石成分分析、碘与钙质区分、肿瘤同源性鉴别等。

痛风石检测

联影ct怎么样【小南快讯】辐射低、成像快、更精确!CT届的“天花板”——320排640层超高端CT落户奉中心!_https://www.jmylbn.com_新闻资讯_第18张

泌尿系结石成分分析

联影ct怎么样【小南快讯】辐射低、成像快、更精确!CT届的“天花板”——320排640层超高端CT落户奉中心!_https://www.jmylbn.com_新闻资讯_第19张

肿瘤同源性鉴别

联影ct怎么样【小南快讯】辐射低、成像快、更精确!CT届的“天花板”——320排640层超高端CT落户奉中心!_https://www.jmylbn.com_新闻资讯_第20张

容积灌注成像

联影ct怎么样【小南快讯】辐射低、成像快、更精确!CT届的“天花板”——320排640层超高端CT落户奉中心!_https://www.jmylbn.com_新闻资讯_第21张



认准奉中心放射医学科

目前放射医学科具备一台3.0T MR,一台1.5T MR,一台64排CT,两台40排CT,一台16排CT,动态平板数字胃肠机,多台固定、移动DR。

随着联影320排640层超高端CT的投入使用,使科室硬件到达一个全新的高度。放射医学科将充分发挥其一流的性能,持续提高工作效率,提升服务品质,以最先进的设备,雄厚的技术力量,为临床及患者提供更加高效、优质、精准的服务!

联影ct怎么样【小南快讯】辐射低、成像快、更精确!CT届的“天花板”——320排640层超高端CT落户奉中心!_https://www.jmylbn.com_新闻资讯_第22张
联影ct怎么样【小南快讯】辐射低、成像快、更精确!CT届的“天花板”——320排640层超高端CT落户奉中心!_https://www.jmylbn.com_新闻资讯_第23张


图文:放射医学科


联影ct怎么样【小南快讯】辐射低、成像快、更精确!CT届的“天花板”——320排640层超高端CT落户奉中心!_https://www.jmylbn.com_新闻资讯_第24张
联影ct怎么样【小南快讯】辐射低、成像快、更精确!CT届的“天花板”——320排640层超高端CT落户奉中心!_https://www.jmylbn.com_新闻资讯_第25张
联影ct怎么样【小南快讯】辐射低、成像快、更精确!CT届的“天花板”——320排640层超高端CT落户奉中心!_https://www.jmylbn.com_新闻资讯_第26张

您的健康 我的心愿

联影ct怎么样【小南快讯】辐射低、成像快、更精确!CT届的“天花板”——320排640层超高端CT落户奉中心!_https://www.jmylbn.com_新闻资讯_第27张
联影ct怎么样【小南快讯】辐射低、成像快、更精确!CT届的“天花板”——320排640层超高端CT落户奉中心!_https://www.jmylbn.com_新闻资讯_第28张
联影ct怎么样【小南快讯】辐射低、成像快、更精确!CT届的“天花板”——320排640层超高端CT落户奉中心!_https://www.jmylbn.com_新闻资讯_第23张