泥鳅导丝怎么用新心联播|卢竞前:桡动脉入路困难的处理方法

新闻资讯2026-04-21 16:48:39
泥鳅导丝怎么用新心联播|卢竞前:桡动脉入路困难的处理方法_https://www.jmylbn.com_新闻资讯_第1张

泥鳅导丝怎么用新心联播|卢竞前:桡动脉入路困难的处理方法_https://www.jmylbn.com_新闻资讯_第2张

泥鳅导丝怎么用新心联播|卢竞前:桡动脉入路困难的处理方法_https://www.jmylbn.com_新闻资讯_第3张

导语

泥鳅导丝怎么用新心联播|卢竞前:桡动脉入路困难的处理方法_https://www.jmylbn.com_新闻资讯_第4张

一元复始,万象更新。值此蛇年新春佳节即将到来之时,365医学网盛大推出“新心联播”栏目。我们会为您展现心血管及周围血管病等循环领域极具前瞻性的研究成果,深度剖析临床实践里的创新治疗方案,并且解读权威共识指南中的关键要点,力求全面梳理 2024年该领域的重大学术进展。


新春伊始,期望“新心联播”能够成为您洞悉学科发展最新动态的一扇窗口!

泥鳅导丝怎么用新心联播|卢竞前:桡动脉入路困难的处理方法_https://www.jmylbn.com_新闻资讯_第5张

本文特邀作者:

姓名:卢竞前

单位:云南省中医医院


2024年中国大陆地区的冠心病介入治疗注册总病例数已经达到160万例以上,其中选择经桡动脉路径(Transradial approach intervention,TRI)的比例在95%以上,桡动脉路径进行介入手术本身具有安全舒适等优点,但也存在一些并发症的风险。桡动脉发育异常、狭窄或迂曲(tortuous radial artery)的存在会对桡动脉穿刺、鞘管的置入以及前送导丝、导管带来一定的障碍,进而可能会影响手术的成功率和安全性,因此需要采取相应的措施进行处理。目前已知桡动脉迂曲在TRI中是一个常见问题,据报道大约有3.8%~4.2%的患者中存在桡动脉迂曲的情况。本文就桡动脉通路不顺利时个人常用的处理方法和大家分享,不足之处,还请指出。


泥鳅导丝怎么用新心联播|卢竞前:桡动脉入路困难的处理方法_https://www.jmylbn.com_新闻资讯_第6张




桡动脉迂曲

通常我们在成功穿刺桡动脉并置入6F动脉鞘后,会使用0.035in的J型导丝(不锈钢造影导丝)作指引,引导造影导管或指引导管到主动脉窦部进行下一步操作,如果期间不顺利,就需要一些特殊的方法和技巧来处理:


1.穿刺顺利回血好,但导丝送不远,不敢送鞘时:


此时担心贸然进鞘管可能会进入假腔,一般多会调整导丝的方向后再次送入导丝,如仍无法顺利送入导丝,不能断定是此段血管迂曲、狭窄,还是在假腔,此种情况如果使用的是套管针,可以尝试通过软管注射点造影剂来明确穿刺针是否在真腔,在假腔肯定就要重新穿刺了,明确在真腔就可以上动脉鞘了。但如果用的钢针,无法通过针腔来造影,就需更换桡动脉的穿刺部位。此时如果能够进行远端桡动脉穿刺更佳。笔者曾遇到类似情况,经远端桡动脉穿刺置管后,局部桡动脉造影会发现此前导丝送入困难处或者为狭窄,或者为严重迂曲,知道了问题就好处理了。


2.穿刺成功,J型导丝上不去时:


J型导丝通过困难,不要暴力推送,以免发生血管破裂,可将导丝留在通过困难处固定,前送造影导管前行接近导丝头端,回撤导丝,经导管造影了解桡动脉局部迂曲或狭窄或细小情况,大多数时可以更换为泥鳅导丝,泥鳅导丝更细更滑,更容易通过迂曲或狭窄处,随后在泥鳅导丝支撑下跟送常规6F导管,有时候血管迂曲处过细有可能6F导管无法通过,此时可以更换5F导管,甚至4F导管(大多导管室不会常规备货4F)。切记有阻力时禁止强行推送导管,以免导致血管破裂。另外在使用泥鳅导丝时建议全程透视,避免泥鳅导丝进入细小分支并穿出血管。


3.泥鳅导丝上不去时:


在某些桡动脉近心段严重迂曲的病例(如“α”型迂曲或“Ώ”型迂曲),通常于置入鞘管后J型导丝和超滑的泥鳅导丝都很难顺利通过迂曲段血管,桡动脉局部造影有助于了解桡动脉迂曲的具体情况,此时可以尝试使用心血管介入时常用的0.014in介入工作导丝(例如runthrough导丝、sion导丝等),沿导丝前送造影导管至血管迂曲部位,通过操控造影导管和调整PTCA导丝前送的方向常有利于导丝通过迂曲段血管,当PTCA导丝通过迂曲处后远送加强支撑,再尝试推送跟进6F、5F甚至4F的导管。


4.PTCA导丝通过,导管无法跟进时:


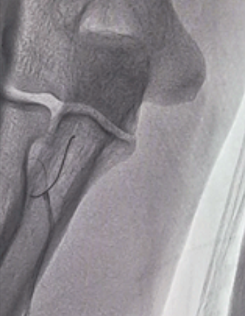
“α”型迂曲或“Ώ”型迂曲的血管在PTCA导丝通过后有时5F导管都无法跟进时可以尝试“BAT”技术(balloon at tip),根据血管直径选择球囊直径,一般为2.0X20mm普通球囊,沿导丝送球囊在导管头端,一半在导管头外,一半在导管内,轻轻打起球囊(4-6ATM),使扩张的球囊和导管融为一体,再推送导管和球囊前行,由于稍微扩张的球囊更为柔顺,不会划破血管,可以弯曲,通过性更好,可能带着导管通过严重迂曲处,当导管到达肱动脉处时回拉导管,有可能将成环状的迂曲拉直从而完成手术(见图示1-5)。


泥鳅导丝怎么用新心联播|卢竞前:桡动脉入路困难的处理方法_https://www.jmylbn.com_新闻资讯_第7张

图1 造影提示桡动脉弯曲成环


泥鳅导丝怎么用新心联播|卢竞前:桡动脉入路困难的处理方法_https://www.jmylbn.com_新闻资讯_第8张

图2 以PTCA导丝通过弯曲


泥鳅导丝怎么用新心联播|卢竞前:桡动脉入路困难的处理方法_https://www.jmylbn.com_新闻资讯_第9张

图3 BAT技术球囊引导导管通过弯曲


泥鳅导丝怎么用新心联播|卢竞前:桡动脉入路困难的处理方法_https://www.jmylbn.com_新闻资讯_第10张

图4 导管通过成功弯曲


泥鳅导丝怎么用新心联播|卢竞前:桡动脉入路困难的处理方法_https://www.jmylbn.com_新闻资讯_第11张

图5 回拉导管将弯曲血管拉直



桡动脉异常

1.高位桡动脉、双桡动脉:


当导丝能够顺利通过但送导管阻力较大时,应想到存在高位桡动脉或副肱动脉的可能。此时同样在原位经导管行逆向动脉造影以了解桡动脉的走行状况,必要时换用外径更小的导管(常用5F导管,有条件可考虑选择4F导管)可能会通过异常段血管,注意整个手术过程动作一定要轻柔,防止桡动脉痉挛的发生。对于桡动脉过于细小的病例改对侧桡动脉入路完成介入治疗。 


2.副肱动脉:


副肱动脉时,腋动脉在肩部水平发出双肱动脉,其中一支平行于肱动脉主支、管径较细的分支血管称之为副肱动脉。经桡动脉介入治疗时,超滑导丝通常能顺利通过副肱动脉到达腋动脉,但如果导管误入副肱动脉,常会发生推送阻力增加或推进受阻的情况,经导管动脉造影可以发现副肱动脉。由于副肱动脉管腔较小且易于发生痉挛,导管误入副肱动脉后切忌在副肱动脉内过多操作,以免引发血管痉挛,应先通过造影了解血管走行状况,在透视下调整导丝至主肱动脉后再沿送导管。


3.桡动脉发育不良:


桡动脉发育不良是先天性因素造成的桡动脉明显较同侧尺动脉细小的变异类型,它一般不会影响到Allen试验的结果,但常表现为桡骨茎突处桡动脉搏动要弱于同侧尺动脉,大部分桡动脉发育不良的患者能成功地完成TRI操作,但对于少数严重病例,由于桡动脉过于细小,会导致动脉鞘管的置入困难,此时可试用外径更小的鞘管或改为其他路径进行介入操作。


总之,桡动脉入路异常是导致TRI失败的重要原因之一,随着县级医院介入工作的广泛开展,大家应该对各种类型的桡动脉入路困难做到心中有数,有困难先造影,了解问题所在才能在下一步处理中做到得心应手




学术关键词

桡动脉入路困难;桡动脉迂曲;高位桡动脉;双桡动脉;副肱动脉;桡动脉发育不良

泥鳅导丝怎么用新心联播|卢竞前:桡动脉入路困难的处理方法_https://www.jmylbn.com_新闻资讯_第12张
泥鳅导丝怎么用新心联播|卢竞前:桡动脉入路困难的处理方法_https://www.jmylbn.com_新闻资讯_第13张
泥鳅导丝怎么用新心联播|卢竞前:桡动脉入路困难的处理方法_https://www.jmylbn.com_新闻资讯_第14张
泥鳅导丝怎么用新心联播|卢竞前:桡动脉入路困难的处理方法_https://www.jmylbn.com_新闻资讯_第15张

新心联播 学术特辑

扫码查看更多内容



泥鳅导丝怎么用新心联播|卢竞前:桡动脉入路困难的处理方法_https://www.jmylbn.com_新闻资讯_第16张



专家简介


泥鳅导丝怎么用新心联播|卢竞前:桡动脉入路困难的处理方法_https://www.jmylbn.com_新闻资讯_第17张
泥鳅导丝怎么用新心联播|卢竞前:桡动脉入路困难的处理方法_https://www.jmylbn.com_新闻资讯_第18张
泥鳅导丝怎么用新心联播|卢竞前:桡动脉入路困难的处理方法_https://www.jmylbn.com_新闻资讯_第19张扫描二维码进入专家学术空间


卢竞前,主任医师/教授,硕士研究生导师。云南省中医医院滇池院区内科主任。

现为中华中医药学会介入心脏病学分会全国委员;云南省中西医结合介入委员会副主任委员;云南省中西医结合胸痛专业委员会副主任委员;云南省医学会心血管分会委员,云南省医学会老年病学分会委员;云南省医师协会高血压分会副主任委员/常委,云南省医师协会心力衰竭分会委员。

长期从事心血管相关及心血管介入诊疗工作。擅长经远桡动脉途径冠心病介入诊疗、先心病介入诊疗、外周血管介入诊治、三高共存疾病中西医结合治疗、心力衰竭、心律失常中西医结合诊治等。

主持云南省自然科学基金2项、云南省教育厅基金1项、昆明市科技局重点项目1项,参加国自然、国家十一五科技攻关等项目多项。主编专著5部,第一作者国内外期刊杂志发表论文35篇,SCI收录4篇。

泥鳅导丝怎么用新心联播|卢竞前:桡动脉入路困难的处理方法_https://www.jmylbn.com_新闻资讯_第20张
泥鳅导丝怎么用新心联播|卢竞前:桡动脉入路困难的处理方法_https://www.jmylbn.com_新闻资讯_第21张


泥鳅导丝怎么用新心联播|卢竞前:桡动脉入路困难的处理方法_https://www.jmylbn.com_新闻资讯_第22张
欢迎扫码入群交流

长按识别二维码,

即可进入沟通交流群

泥鳅导丝怎么用新心联播|卢竞前:桡动脉入路困难的处理方法_https://www.jmylbn.com_新闻资讯_第23张


END
泥鳅导丝怎么用新心联播|卢竞前:桡动脉入路困难的处理方法_https://www.jmylbn.com_新闻资讯_第24张
免责声明:365医学网所发表内容之知识产权为365医学网及主办方、原作者等相关权利人所有。未经许可,禁止进行转载、摘编、复制、裁切、录制等。经许可授权使用,亦须注明来源。欢迎转发、分享。如有侵权,请联系我们删除。
投稿/会议发布,请联系010-63717246 editor@365yixue.com
泥鳅导丝怎么用新心联播|卢竞前:桡动脉入路困难的处理方法_https://www.jmylbn.com_新闻资讯_第25张

泥鳅导丝怎么用新心联播|卢竞前:桡动脉入路困难的处理方法_https://www.jmylbn.com_新闻资讯_第26张

泥鳅导丝怎么用新心联播|卢竞前:桡动脉入路困难的处理方法_https://www.jmylbn.com_新闻资讯_第27张
点分享
泥鳅导丝怎么用新心联播|卢竞前:桡动脉入路困难的处理方法_https://www.jmylbn.com_新闻资讯_第28张
点收藏
泥鳅导丝怎么用新心联播|卢竞前:桡动脉入路困难的处理方法_https://www.jmylbn.com_新闻资讯_第29张
点在看
泥鳅导丝怎么用新心联播|卢竞前:桡动脉入路困难的处理方法_https://www.jmylbn.com_新闻资讯_第30张
点点赞