治疗车怎么推【弓部重建直通车】梅州市人民医院心内科团队运用Castor®分支型支架联合预开窗技术治疗主动脉弓动脉瘤合并迷走右锁骨下动

新闻资讯2026-04-21 16:42:00
治疗车怎么推【弓部重建直通车】梅州市人民医院心内科团队运用Castor®分支型支架联合预开窗技术治疗主动脉弓动脉瘤合并迷走右锁骨下动_https://www.jmylbn.com_新闻资讯_第1张
治疗车怎么推【弓部重建直通车】梅州市人民医院心内科团队运用Castor®分支型支架联合预开窗技术治疗主动脉弓动脉瘤合并迷走右锁骨下动_https://www.jmylbn.com_新闻资讯_第2张


近日,梅州市人民医院钟志雄院长带领心血管内一科李存仁大血管团队收治一例Kommerell憩室主动脉弓动脉瘤合并迷走右锁骨下动脉患者,由于该患者的主动脉弓动脉瘤累及左锁骨下动脉和迷走右锁骨下动脉,且主动脉弓动脉瘤的最大直径达到76.6mm,有较高的破裂风险,急需进行腔内介入手术治疗。李存仁主任及其团队在仔细研究该患者的测量数据后,最终决定使用上海微创心脉医疗科技(集团)股份有限公司(以下简称:心脉医疗)自主研发的Castor®分支型覆膜支架及输送系统(以下简称:Castor®分支型支架),联合预开窗技术进行综合治疗。


病例详情

病例介绍

患者男性,80岁;

主诉:主动脉弓动脉瘤一周;

既往史:患者高血压病史长达两年余,口服降压药治疗,收缩压最高达170mmHg;

诊断结果:

1、主动脉弓动脉瘤并有附壁血栓形成,累及左锁骨下动脉与迷走右锁骨下动脉;

2、迷走右锁骨下动脉。

治疗车怎么推【弓部重建直通车】梅州市人民医院心内科团队运用Castor®分支型支架联合预开窗技术治疗主动脉弓动脉瘤合并迷走右锁骨下动_https://www.jmylbn.com_新闻资讯_第3张

CTA三维重建


手术方案分析

1、 根据CTA显示,患者的主动脉弓动脉瘤呈现囊状凸起并累及左锁骨下动脉(LSA)与迷走右锁骨下动脉,主动脉弓动脉瘤最大直径为76.6mm,有破裂风险,需要尽快手术治疗,决定采用腔内介入手术治疗。

治疗车怎么推【弓部重建直通车】梅州市人民医院心内科团队运用Castor®分支型支架联合预开窗技术治疗主动脉弓动脉瘤合并迷走右锁骨下动_https://www.jmylbn.com_新闻资讯_第4张

主动脉弓动脉瘤最大直径

2、迷走右锁骨下动脉(ARSA)是主动脉弓的一种先天性血管畸形,是指右锁骨下动脉(RSA)不是发自无名动脉(IA),而是发自LSA起始部之后的主动脉弓或降主动脉,是一种较为少见的发育异常的解剖结构。


3、根据术前测量结果评估,主动脉弓动脉瘤和左颈总动脉(LCCA)距离较近,若将支架锚定在LCCA后缘,则支架的锚定区不足,易增加支架移位的风险,故需向前拓展锚定区;


4、根据测量结果,考虑将锚定区前移至IA后缘,可获得充足的锚定区距离,若采用普通的直管型覆膜支架则会同时覆盖LCCA、LSA和ARSA,容易引发患者脑梗及双侧上肢缺血,故需要重建LCCA、LSA和ARSA,恢复血流供应。


计划选用Castor®分支型支架并联合支架预开窗技术治疗:

1、Castor®分支型支架采用主体与分支一体化结构,若将支架近端锚定在IA后缘,分支放在LCCA,支架既能获得充足的锚定区,又能重建LCCA,恢复血流供应;


2、对于LSA及ARSA的重建,行预开窗手术,在体外根据LCCA(分支支架)的相对位置,在LSA和ARSA的开口位置分别开窗并各缝制一个内嵌式支架,再通过介入手术植入Viabahn覆膜支架,重建LSA、ARSA血流通道,保持远期通畅率;


3、Castor®分支型支架近端采用无裸段设计,有效降低对血管壁的刺激,支架主体近端采用三重小波段结构,能有效贴合血管壁,降低I型内漏的发生率。


术前评估

  • IA后缘主动脉直径:35 mm ;

  • IA-LCCA间距:5 mm ;

  • LCCA-LSA间距:6 mm ;

  • LCCA远端直径:8.5 mm ;

  • LSA远端直径:10.5 mm ;

  • ARSA远端直径:11.5 mm;

  • 右侧入路最小直径:10.2 mm ;

  • 左侧入路最小直径:9.4 mm ;

  • LCCA展开钟向角:LAO 59° ;

  • LCCA展开足位角:CAU 10° 。


根据术前评估数据结果,拟采用主体近端规格为40mm,分支远端直径10mm,分支后移长度为5mm的Castor®分支型支架(C403410-2002505)。


手术过程

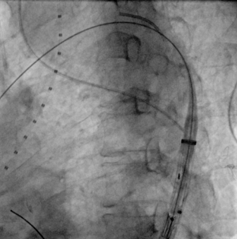
术前造影

患者平躺后,行全身麻醉,穿刺右侧股动脉、左颈总动脉与两侧肱动脉,经术前造影确认与术前CTA检查结果一致。

治疗车怎么推【弓部重建直通车】梅州市人民医院心内科团队运用Castor®分支型支架联合预开窗技术治疗主动脉弓动脉瘤合并迷走右锁骨下动_https://www.jmylbn.com_新闻资讯_第5张

术前造影(正位)


治疗车怎么推【弓部重建直通车】梅州市人民医院心内科团队运用Castor®分支型支架联合预开窗技术治疗主动脉弓动脉瘤合并迷走右锁骨下动_https://www.jmylbn.com_新闻资讯_第6张

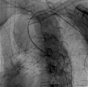
术前造影(左前斜)


体外开窗

打开支架前端,进行体外开窗,后撤部分外管和软鞘,放开前端部分主体支架,根据术前测量结果,根据LCCA(分支支架)的相对位置标记LSA、ARSA开口,并用手术剪刀破开覆膜,再在各个开窗口内缝制一个内嵌式分支,然后将支架退回软鞘和外管内,完成开窗。

治疗车怎么推【弓部重建直通车】梅州市人民医院心内科团队运用Castor®分支型支架联合预开窗技术治疗主动脉弓动脉瘤合并迷走右锁骨下动_https://www.jmylbn.com_新闻资讯_第7张

根据术前测量精准开窗


治疗车怎么推【弓部重建直通车】梅州市人民医院心内科团队运用Castor®分支型支架联合预开窗技术治疗主动脉弓动脉瘤合并迷走右锁骨下动_https://www.jmylbn.com_新闻资讯_第8张

体外预开窗


治疗车怎么推【弓部重建直通车】梅州市人民医院心内科团队运用Castor®分支型支架联合预开窗技术治疗主动脉弓动脉瘤合并迷走右锁骨下动_https://www.jmylbn.com_新闻资讯_第9张

完成预开窗


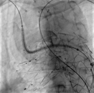
上推支架

建立导丝通路后,从右侧股动脉沿超硬导丝上推支架输送系统至降主动脉,并褪下支架软鞘后,上推支架,助手配合牵拉分支导丝,使分支支架进入LCCA。

治疗车怎么推【弓部重建直通车】梅州市人民医院心内科团队运用Castor®分支型支架联合预开窗技术治疗主动脉弓动脉瘤合并迷走右锁骨下动_https://www.jmylbn.com_新闻资讯_第10张

上推支架


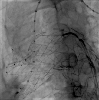
主体释放

经DSA造影确认位置准确,快速释放支架主体,助手牵拉并释放分支支架,再行造影后确认,支架定位准确。

治疗车怎么推【弓部重建直通车】梅州市人民医院心内科团队运用Castor®分支型支架联合预开窗技术治疗主动脉弓动脉瘤合并迷走右锁骨下动_https://www.jmylbn.com_新闻资讯_第11张

释放支架


重建LSA

从右侧股动脉导入导丝,并超选进LSA的内嵌分支开口后,置入Viabahn覆膜支架并释放,为降低LSA分支支架远期狭窄的风险,再次在LSA远端再释放一个裸支架。

治疗车怎么推【弓部重建直通车】梅州市人民医院心内科团队运用Castor®分支型支架联合预开窗技术治疗主动脉弓动脉瘤合并迷走右锁骨下动_https://www.jmylbn.com_新闻资讯_第12张

超选导丝进入LSA


治疗车怎么推【弓部重建直通车】梅州市人民医院心内科团队运用Castor®分支型支架联合预开窗技术治疗主动脉弓动脉瘤合并迷走右锁骨下动_https://www.jmylbn.com_新闻资讯_第13张

在LSA释放覆膜支架


治疗车怎么推【弓部重建直通车】梅州市人民医院心内科团队运用Castor®分支型支架联合预开窗技术治疗主动脉弓动脉瘤合并迷走右锁骨下动_https://www.jmylbn.com_新闻资讯_第14张

在LSA远端再次释放裸支架


重建ARSA

按照同样的术式,将导丝超选进ARSA的内嵌分支开口后,置入Viabahn覆膜支架并释放。

治疗车怎么推【弓部重建直通车】梅州市人民医院心内科团队运用Castor®分支型支架联合预开窗技术治疗主动脉弓动脉瘤合并迷走右锁骨下动_https://www.jmylbn.com_新闻资讯_第15张

超选导丝进入ARSA


治疗车怎么推【弓部重建直通车】梅州市人民医院心内科团队运用Castor®分支型支架联合预开窗技术治疗主动脉弓动脉瘤合并迷走右锁骨下动_https://www.jmylbn.com_新闻资讯_第16张

ARSA释放覆膜支架


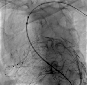
术后造影

术后造影显示,支架有效隔绝瘤腔,LCCA、LSA和ARSA血流供应通畅,支架无移位和内漏现象发生,手术圆满成功。

治疗车怎么推【弓部重建直通车】梅州市人民医院心内科团队运用Castor®分支型支架联合预开窗技术治疗主动脉弓动脉瘤合并迷走右锁骨下动_https://www.jmylbn.com_新闻资讯_第17张

术后造影(正位)


治疗车怎么推【弓部重建直通车】梅州市人民医院心内科团队运用Castor®分支型支架联合预开窗技术治疗主动脉弓动脉瘤合并迷走右锁骨下动_https://www.jmylbn.com_新闻资讯_第18张

术后造影(左前斜)


治疗车怎么推【弓部重建直通车】梅州市人民医院心内科团队运用Castor®分支型支架联合预开窗技术治疗主动脉弓动脉瘤合并迷走右锁骨下动_https://www.jmylbn.com_新闻资讯_第19张

术后随访显示Castor®分支型支架

形态良好,无内漏发生


Castor®分支型覆膜支架及输送系统


治疗车怎么推【弓部重建直通车】梅州市人民医院心内科团队运用Castor®分支型支架联合预开窗技术治疗主动脉弓动脉瘤合并迷走右锁骨下动_https://www.jmylbn.com_新闻资讯_第20张

Castor®分支型支架是全球首款通过微创治疗实现腔内同时修复主动脉和弓上分支动脉的覆膜支架。特点是主体和分支支架缝合为一体,并创造性地解决了一体式分支支架的导入和定位难题,且具有术后内漏发生率低、侧支通畅率高等优势。其独有的“分支一体化”结构不仅能适应各种弓部解剖,也能减少手术创伤,降低手术风险。


Castor®分支型支架的上市,使主动脉疾病的腔内治疗朝着主动脉弓的方向迈出关键的一步,这也是从事相关行业的临床医生多年来不断探索和寻求突破的方向和目标。


专家介绍

 治疗车怎么推【弓部重建直通车】梅州市人民医院心内科团队运用Castor®分支型支架联合预开窗技术治疗主动脉弓动脉瘤合并迷走右锁骨下动_https://www.jmylbn.com_新闻资讯_第21张

钟志雄 教授

梅州市人民医院院长、心血管病中心主任、

心血管病研究所所长、

主任医师、博士生导师、硕士生导师

享受国务院特殊津贴专家、广东省医学领军人才、梅州市专业技术拔尖人才。梅州市心血管病介入诊断和治疗创始人,国家临床重点专科建设项目--梅州市人民医院心血管内科的奠基人、领路人,在医疗、教学、科研方面取得突出成就,获得全国先进工作者、全国卫生计生系统先进工作者、广东医师奖、广东医院优秀院长等荣誉。技术专长:擅长冠心病、大血管、结构性心脏病、心脏起搏的介入诊疗以及心脏重症的抢救治疗。


 治疗车怎么推【弓部重建直通车】梅州市人民医院心内科团队运用Castor®分支型支架联合预开窗技术治疗主动脉弓动脉瘤合并迷走右锁骨下动_https://www.jmylbn.com_新闻资讯_第22张

李存仁 教授

梅州市人民医院

科主任、心血管病中心常务副主任、副主任医师

梅州市医学会心血管分会副主任委员;

广东省医学会血管外科下肢静脉分会常委;

广东省介入性心脏病学会周围血管介入分会委员;

海峡两岸医药卫生交流协会心脏康复专业委员;

主持及参与完成梅州市科研课题多项,曾获梅州市科技局科学技术进步奖二等奖,三等奖,发表省级以上科研论文多篇。曾获“岭南名医”“梅州好医生”等称号。技术专长:擅长冠心病、高血压、心律失常、心力衰竭等心脏疾病的诊治,擅长各种心血管介入诊疗,尤其复杂冠脉病变,复杂主动脉夹层动脉瘤及外周血管的介入治疗。


 治疗车怎么推【弓部重建直通车】梅州市人民医院心内科团队运用Castor®分支型支架联合预开窗技术治疗主动脉弓动脉瘤合并迷走右锁骨下动_https://www.jmylbn.com_新闻资讯_第23张

古献芳 教授

梅州市人民医院

医疗组长、主任医师

广东省精准医学应用学会高血压分会委员;

广东省医院协会血管疾病诊疗管理专业委员会委员;

中国心脏联盟心血管疾病预防与康复专业委员会委员;

梅州医学会心血管病分会副主任委员;

2003年毕业于广东医科大学临床医学系,学士学位,毕业后至今一直从事心血管内科临床、教学、科研工作,临床经验丰富,2008年在广东省人民医院心血管病研究所进修。主持及参与完成梅州市科研课题多项,曾获梅州市科技局科学技术进步奖二等奖,三等奖,发表省级以上科研论文多篇。技术专长:心血管内科常见疾病、急危重症的诊治,冠心病、大动脉及外周血管介入诊疗。


 治疗车怎么推【弓部重建直通车】梅州市人民医院心内科团队运用Castor®分支型支架联合预开窗技术治疗主动脉弓动脉瘤合并迷走右锁骨下动_https://www.jmylbn.com_新闻资讯_第24张

曾文峰 教授

梅州市人民医院

副主任医师、教学秘书

2009年毕业于广州医科大学临床医学系,学士学位,毕业后至今一直从事心血管内科临床、教学、科研工作,临床经验丰富。

2016年在国家心血管病中心中国医学科学院阜外医院进修。参与完成梅州市科研课题多项,发表省级以上科研论文多篇。

技术专长:心血管内科常见疾病的诊治,冠心病、高血压、主动脉夹层动脉瘤、下肢动脉闭塞、肺动脉栓塞、外周静脉血栓的药物及介入治疗,心脏康复指导治疗。


 治疗车怎么推【弓部重建直通车】梅州市人民医院心内科团队运用Castor®分支型支架联合预开窗技术治疗主动脉弓动脉瘤合并迷走右锁骨下动_https://www.jmylbn.com_新闻资讯_第25张

蔡楠 教授

梅州市人民医院

心血管内科、主治医师

2012年,毕业于广东医学院临床医学系;曾在上海交通大学附属第一医院进修;2015年至今,一直从事心血管内科临床、教学、科研工作,临床经验丰富;擅长冠心病、主动脉疾病,高血压、心律失常、心力衰竭等心脏疾病的诊治,掌握各种心导管介入诊断治疗技术:左右心导管检查术,冠状动脉造影术,冠状动脉支架植入术,各种复杂主动脉夹层/动脉瘤腔内修复术,外周血管病介入治疗等。


科室介绍

治疗车怎么推【弓部重建直通车】梅州市人民医院心内科团队运用Castor®分支型支架联合预开窗技术治疗主动脉弓动脉瘤合并迷走右锁骨下动_https://www.jmylbn.com_新闻资讯_第26张
治疗车怎么推【弓部重建直通车】梅州市人民医院心内科团队运用Castor®分支型支架联合预开窗技术治疗主动脉弓动脉瘤合并迷走右锁骨下动_https://www.jmylbn.com_新闻资讯_第27张


梅州市人民医院心血管内一科

梅州市人民医院心血管内一科,是梅州市心血管病中心下属大动脉及外周血管学科组,常规开展了经皮穿刺下主动脉夹层动脉瘤的腔内隔绝术,年手术量约200例。率先在粤闽赣边区逐步开展“杂交”手术,烟囱技术,CP覆膜支架植入术,分支支架技术,一体式支架,破裂性夹层动脉瘤急诊手术;复杂主动脉病变常态化开展原位开窗(单开窗,双开窗,三开窗)技术,体外预开窗技术,全腹腔脏器血管重建术,保髂内动脉的腹主动脉隔绝术等高难度技术,免除了外科手术的巨大风险及痛苦,显著降低死亡率。其中主动脉弓上三开窗,全腹腔脏器重建术已达国内先进水平。


版权声明:本平台旨在帮助医疗卫生专业人士更好地了解相关疾病领域最新进展。本平台对发布的资讯内容,并不代表同意其描述和观点,仅为提供更多信息。若涉及版权问题,烦请权利人与我们联系,我们将尽快处理。仅供医疗卫生专业人士为了解资讯使用,该等信息不能以任何方式取代专业的医疗指导,也不应被视为诊疗建议。如该等信息被用于了解资讯以外的目的,本平台及作者不承担相关责任。合作联系邮箱:vascular@edoctor.cn。

治疗车怎么推【弓部重建直通车】梅州市人民医院心内科团队运用Castor®分支型支架联合预开窗技术治疗主动脉弓动脉瘤合并迷走右锁骨下动_https://www.jmylbn.com_新闻资讯_第28张