治疗车怎么推「弓部重建直通车」鄂尔多斯市中心医院康巴什部介入科运用Castor®分支型支架联合预开窗技术治疗Stanford B型胸主动夹层

新闻资讯2026-04-21 16:41:59
治疗车怎么推「弓部重建直通车」鄂尔多斯市中心医院康巴什部介入科运用Castor®分支型支架联合预开窗技术治疗Stanford B型胸主动夹层_https://www.jmylbn.com_新闻资讯_第1张
治疗车怎么推「弓部重建直通车」鄂尔多斯市中心医院康巴什部介入科运用Castor®分支型支架联合预开窗技术治疗Stanford B型胸主动夹层_https://www.jmylbn.com_新闻资讯_第2张


近日,鄂尔多斯市中心医院康巴什部介入科收治一例Stanford B型胸主动脉夹层合并迷走左椎动脉患者,由于该患者的主动脉夹层近端累及左锁骨下动脉,夹层远端累及腹腔干动脉及肠系膜上动脉起始部,病情危重。袁建军主任及其团队在仔细研究该患者的测量数据后,最终决定使用上海微创心脉医疗科技(集团)股份有限公司(以下简称:心脉医疗)自主研发的Castor®分支型覆膜支架及输送系统(以下简称:Castor®分支型覆膜支架)与Hercules® Low Profile直管型覆膜支架(以下简称:Hercules®直管型支架),联合预开窗技术进行综合治疗。


病例详情

病例介绍

患者男性,77岁;

主诉:“突发腹痛16小时”入院;

既往史:高血压病史6年余,间断口服降压药治疗,血压最高达220/110mmHg;

诊断结果:

1、Stanford B型主动脉夹层,近端累及左锁骨下动脉(LSA),远端累及腹腔干动脉及肠系膜上动脉起始部;

2、Ⅱ型主动脉弓,左侧椎动脉迷走,始发于主动脉弓部。

术前CTA:

治疗车怎么推「弓部重建直通车」鄂尔多斯市中心医院康巴什部介入科运用Castor®分支型支架联合预开窗技术治疗Stanford B型胸主动夹层_https://www.jmylbn.com_新闻资讯_第3张

CTA三维重建


手术方案分析

1、根据CTA显示,患者为Stanford B型主动脉夹层合并迷走左椎动脉,近端累及左锁骨下动脉(LSA),远端累及腹腔干动脉及肠系膜上动脉起始部,对于累及弓部的夹层,应优先考虑处理弓上病变,封堵第一破口;


2、根据CTA平扫显示,患者为迷走左椎动脉,迷走左侧椎动脉是指左侧椎动脉不是始发于LSA,而是始发于主动脉弓部,是一种较为少见的先天性发育异常的解剖异常,该病例迷走左椎动脉始发于左颈总动脉(LCCA)与LSA之间。

治疗车怎么推「弓部重建直通车」鄂尔多斯市中心医院康巴什部介入科运用Castor®分支型支架联合预开窗技术治疗Stanford B型胸主动夹层_https://www.jmylbn.com_新闻资讯_第4张

迷走左椎动脉


3、若将支架近端锚定在LCCA后缘,常规支架会遮盖迷走左椎动脉与LSA,由于患者为均势供血,遮盖迷走左椎动脉与LSA,会引发左上肢缺血与提高脑梗等疾病的风险,故需重建迷走的左椎动脉与LSA;


4、根据评估发现,患者的降主动脉段真腔较为狭窄,故考虑在完成弓上病变的处理后,从支架远端再植入一段直管覆膜支架重塑胸降主直段真腔;

治疗车怎么推「弓部重建直通车」鄂尔多斯市中心医院康巴什部介入科运用Castor®分支型支架联合预开窗技术治疗Stanford B型胸主动夹层_https://www.jmylbn.com_新闻资讯_第5张

胸降主段扭曲


对于累及弓部的夹层治疗方案,决定采用Castor®分支型覆膜支架:

1、 Castor®分支型覆膜支架采用主体与分支一体化结构,不仅延长了支架的锚定区,同时能直接重建弓上分支;

2、 经过综合评估,决定将Castor®分支型覆膜支架近端锚定在LCCA后缘,分支放在LSA,主体支架预开窗的方式,重建迷走左椎动脉,恢复供血;


对于胸降主段的夹层治疗方案,决定采用Hercules®直管型支架:

1、决定采用Hercules®直管型支架重塑降主直段真腔,支架近端采用小波段设计,紧贴血管壁,降低Ⅰ型内漏的风险;


术前评估

  • LCCA后缘主动脉直径:33.6 mm;

  • LCCA-迷走左椎动脉间距:5 mm;

  • LCCA-LSA间距:11 mm;

  • 左锁骨下动脉远端直径:11 mm;

  • 右侧入路最小直径:8.1 mm;

  • 左侧入路最小直径:7.1 mm;

  • 左锁骨下动脉展开钟向角:LAO 50°;

  • 左锁骨下动脉展开足位角:CAU 10°。


根据术前评估数据结果,拟采用主体近端规格为36mm,分支远端直径12mm,分支后移长度为15mm的Castor®分支型覆膜支架(C363012-2002515)和近端规格32mm,支架长度160mm的Hercules®直管型支架(HT3228-160-2000)。


手术过程

术前准备

患者平躺后行全麻手术,穿刺双侧股动脉,导入造影导管并进行DSA造影,造影后确认与术前检查结果一致;

治疗车怎么推「弓部重建直通车」鄂尔多斯市中心医院康巴什部介入科运用Castor®分支型支架联合预开窗技术治疗Stanford B型胸主动夹层_https://www.jmylbn.com_新闻资讯_第6张

术前造影


体外开窗

进行支架预开窗手术:褪下部分外管和软鞘,放开部分主体支架,根据术前测量结果,以及LSA(分支支架)的相对位置标记迷走左椎动脉开口,并用手术剪刀破开覆膜,将支架退回软鞘和外管内,完成体外开窗;

治疗车怎么推「弓部重建直通车」鄂尔多斯市中心医院康巴什部介入科运用Castor®分支型支架联合预开窗技术治疗Stanford B型胸主动夹层_https://www.jmylbn.com_新闻资讯_第7张

体外开窗


导入输送器

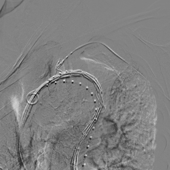
建立导丝通路后,从右侧股动脉沿超硬导丝上推输送系统至降主动脉,在褪下支架软鞘后,上推支架,助手配合牵拉分支导丝,使分支支架进入LSA。

治疗车怎么推「弓部重建直通车」鄂尔多斯市中心医院康巴什部介入科运用Castor®分支型支架联合预开窗技术治疗Stanford B型胸主动夹层_https://www.jmylbn.com_新闻资讯_第8张

上推Castor®支架


释放支架

经DSA造影确认支架位置准确后,快速释放主体支架,助手配合牵拉分支导丝释放分支支架。

治疗车怎么推「弓部重建直通车」鄂尔多斯市中心医院康巴什部介入科运用Castor®分支型支架联合预开窗技术治疗Stanford B型胸主动夹层_https://www.jmylbn.com_新闻资讯_第9张

释放支架


上推Hercules®直管型支架

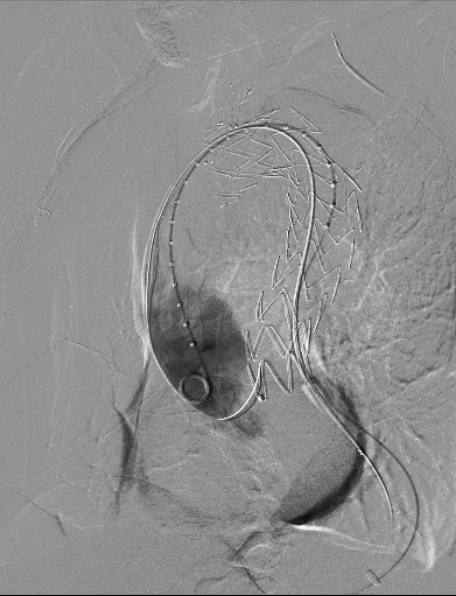
对降主直段进行造影,经右侧股动脉导丝上推Hercules®直管型支架至胸降主动脉,定位并释放支架,隔绝胸降主动脉病变;

治疗车怎么推「弓部重建直通车」鄂尔多斯市中心医院康巴什部介入科运用Castor®分支型支架联合预开窗技术治疗Stanford B型胸主动夹层_https://www.jmylbn.com_新闻资讯_第10张

上推Hercules®支架


术后造影

术后造影显示,主动脉夹层第一破口被有效隔绝,迷走左椎动脉与LSA血流通畅,胸降主段真腔得到重塑,支架无移位或内漏现象发生,手术圆满成功。

治疗车怎么推「弓部重建直通车」鄂尔多斯市中心医院康巴什部介入科运用Castor®分支型支架联合预开窗技术治疗Stanford B型胸主动夹层_https://www.jmylbn.com_新闻资讯_第11张

术后造影


Castor®分支型覆膜支架及输送系统

治疗车怎么推「弓部重建直通车」鄂尔多斯市中心医院康巴什部介入科运用Castor®分支型支架联合预开窗技术治疗Stanford B型胸主动夹层_https://www.jmylbn.com_新闻资讯_第12张

Castor®分支型覆膜支架是全球首款通过微创治疗实现腔内同时修复主动脉和弓上分支动脉的覆膜支架。特点是主体和分支支架缝合为一体,并创造性地解决了一体式分支支架的导入和定位难题,且具有术后内漏发生率低、侧支通畅率高等优势。其独有的“分支一体化”结构不仅能适应各种弓部解剖,也能减少手术创伤,降低手术风险。


Castor®分支型覆膜支架的上市,使主动脉疾病的腔内治疗朝着主动脉弓的方向迈出关键的一步,这也是从事相关行业的临床医生多年来不断探索和寻求突破的方向和目标。


专家介绍

 治疗车怎么推「弓部重建直通车」鄂尔多斯市中心医院康巴什部介入科运用Castor®分支型支架联合预开窗技术治疗Stanford B型胸主动夹层_https://www.jmylbn.com_新闻资讯_第13张

袁建军 教授

副主任医师、医学硕士

鄂尔多斯市中心医院康巴什部介入科副主任,毕业于吉林大学。介入放射科目前能开展各系统疾病的介入诊疗工作,主要项目有:脑血管疾病的介入诊断、治疗(颅内动脉瘤、动静脉畸形介入栓塞术;颈动脉、椎动脉支架植入术),周围血管(动脉、静脉)造影及球囊或支架成形术,全身肿瘤的动脉化疗栓塞术,子宫肌瘤、子宫腺肌症经子宫动脉栓塞术,气管、胆道、食管、肠道内支架植入术,下腔静脉滤器植入、取出术、CT引导下穿刺活检术等。率先在本地区自主完成射频闭合术联合泡沫硬化剂注射治疗下肢静脉曲张;肝脏、肺、肾上腺原发及转移瘤射频及微波消融术;主动脉夹层动脉瘤腔内隔绝术;腹主动脉瘤腔内隔绝术等。参与完成省级课题2项,市级课题1项,撰写论文10余篇。


现任内蒙古自治区医学会介入放射学专科分会第一届委员会委员;内蒙古自治区医师协会介入放射学医师分会第一届委员会委员;中国抗癌协会肿瘤介入学专业委员会肿瘤危急重症与支持治疗专家委员会委员;内蒙古自治区介入放射学分会青年委员会委员;内蒙古自治区医师协会介入放射学专业委员会第二届委员会;鄂尔多斯市医学会介入放射分会第一届委员会副主任委员;内蒙古抗癌协会肿瘤介入治疗专业委员会第一届委员会委员;中国中医药信息学会中西医结合介入分会第一届分会委员;中国医药教育协会第二届介入微创治疗专业委员会常务委员。

版权声明:本平台旨在帮助医疗卫生专业人士更好地了解相关疾病领域最新进展。本平台对发布的资讯内容,并不代表同意其描述和观点,仅为提供更多信息。若涉及版权问题,烦请权利人与我们联系,我们将尽快处理。仅供医疗卫生专业人士为了解资讯使用,该等信息不能以任何方式取代专业的医疗指导,也不应被视为诊疗建议。如该等信息被用于了解资讯以外的目的,本平台及作者不承担相关责任。合作联系邮箱:vascular@edoctor.cn。

治疗车怎么推「弓部重建直通车」鄂尔多斯市中心医院康巴什部介入科运用Castor®分支型支架联合预开窗技术治疗Stanford B型胸主动夹层_https://www.jmylbn.com_新闻资讯_第14张