桡动脉鞘怎么读我院介入团队利用桡动脉无鞘技术及主动脉内球囊反搏技术处理高危左主干分叉病变,帮助病人“重获心生”

新闻资讯2026-04-21 16:00:41

了解更多医疗健康资讯请关注我们~!

桡动脉鞘怎么读我院介入团队利用桡动脉无鞘技术及主动脉内球囊反搏技术处理高危左主干分叉病变,帮助病人“重获心生”_https://www.jmylbn.com_新闻资讯_第1张


近日,我院心血管内科介入团队在中组部“组团式”帮扶专家游琼主任医师的指导下,由徐宗荣及杨力副主任医师介入团队通过经桡动脉使用7F无鞘指引导管技术及主动脉内球囊反搏技术,成功为一位极高危左主干分叉病变的65岁男性患者实施了介入治疗,目前患者已痊愈出院。这项技术标志着我院心血管内科已能常规开展高危复杂冠脉病变的介入治疗,达到市内县域医院先进水平!

桡动脉鞘怎么读我院介入团队利用桡动脉无鞘技术及主动脉内球囊反搏技术处理高危左主干分叉病变,帮助病人“重获心生”_https://www.jmylbn.com_新闻资讯_第2张




病例回顾





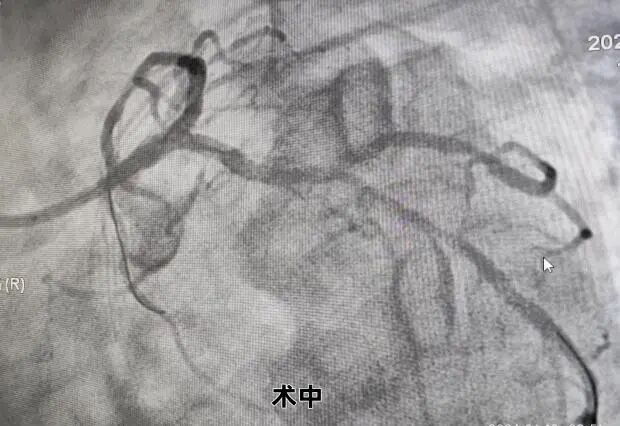
患者为65岁老年患者,因“反复胸痛20余天”入院,有高血压病史,有吸烟史。心电图:窦性心律,左心房扩大及左室肥大可能,入院后行冠脉造影检查:冠脉分布呈右优型;左冠及右冠走行区钙化影,左主干末端90%狭窄并累及前降支、回旋支开口,前降支开口-中段弥漫性狭窄,最窄90%,血流TIMI3级;回旋支开口80%狭窄,近-远段弥漫性狭窄,最窄75%,血流TIMI3级;右冠管壁欠规则,近段30%局限性狭窄,中段30%局限性狭窄,远段90%管状狭窄,后降支开口-近段50%局限性狭窄,中段50%局限性狭窄,血流TIMI3级。 

桡动脉鞘怎么读我院介入团队利用桡动脉无鞘技术及主动脉内球囊反搏技术处理高危左主干分叉病变,帮助病人“重获心生”_https://www.jmylbn.com_新闻资讯_第3张

患者手术中

面对如此复杂高危的冠脉病变,制定合理的治疗策略非常关键,患者造影结束安返病房。随后在中组部“组团式”帮扶专家游琼主任医师指导下,徐宗荣及杨力副主任医师介入团队逐帧仔细判读冠脉造影结果,再次熟悉临床资料,认为该患者SYNTAX评分34分,遂建议首选外科搭桥手术,但患者与家属不同意外科手术并要求介入治疗。基于患者病情危重,病变复杂,介入手术难度极大,手术风险极高,需强支撑大管腔指引导管处理,介入团队综合考虑了患者病情及经济因素后,获得患者及其家属知情同意,决定迎难而上,经我院介入团队充分讨论及评估,利用桡动脉无鞘技术,采用IABP保护下采用SKS术式,成功植入4枚支架,手术总共耗时2个多小时,整个手术过程顺利,术中无并发症,患者术后恢复良好,胸闷痛基本缓解,目前患者已康复出院。

桡动脉鞘怎么读我院介入团队利用桡动脉无鞘技术及主动脉内球囊反搏技术处理高危左主干分叉病变,帮助病人“重获心生”_https://www.jmylbn.com_新闻资讯_第4张

桡动脉鞘怎么读我院介入团队利用桡动脉无鞘技术及主动脉内球囊反搏技术处理高危左主干分叉病变,帮助病人“重获心生”_https://www.jmylbn.com_新闻资讯_第5张

桡动脉鞘怎么读我院介入团队利用桡动脉无鞘技术及主动脉内球囊反搏技术处理高危左主干分叉病变,帮助病人“重获心生”_https://www.jmylbn.com_新闻资讯_第6张

为什么要使用桡动脉无鞘技术?

相比经股动脉入径冠状动脉介入操作,经桡动脉入径因安全、患者舒适度高、局部并发症少而被临床广泛采用。6F指引导管可容纳目前大多数的冠脉介入器材,从而成为桡动脉冠脉介入治疗时最常使用的指引导管。然而,处理高危复杂冠脉病变时,对指引导管的管腔有较大要求,由于桡动脉路径最大的局限性在于血管比较细小,平均内径在2.5mm左右,6F动脉鞘的外径就是2.5 mm,7F桡动脉鞘的外径为2.97至3.19mm,这在很大一部分患者中超过了桡动脉的直径,这种鞘与动脉的不匹配可能会导致桡动脉损伤并出现桡动脉闭塞。因此,需要改变介入策略来促进PCI的大口径入路的实施,如无鞘技术。无鞘指引导管技术是不需要鞘管的情况下,直接将指引导管通过桡动脉送至冠状动脉,在不增加外径的情况下,无鞘指引导管管腔大、管壁厚、支撑力强,7F指引导管外径为 2.31至 2.33 mm,内径为 2.0mm,能容纳更多器械,达到复杂病变介入治疗的指引导管管腔要求。

随着我院心血管内科对左主干分叉病变介入治疗的常规开展,标志着我院心内科介入治疗已达到市内县域医院先进水平,能为更多冠心病患者带来福音!



融水苗族自治县人民医院

心血管内科简介

桡动脉鞘怎么读我院介入团队利用桡动脉无鞘技术及主动脉内球囊反搏技术处理高危左主干分叉病变,帮助病人“重获心生”_https://www.jmylbn.com_新闻资讯_第7张
桡动脉鞘怎么读我院介入团队利用桡动脉无鞘技术及主动脉内球囊反搏技术处理高危左主干分叉病变,帮助病人“重获心生”_https://www.jmylbn.com_新闻资讯_第8张

桡动脉鞘怎么读我院介入团队利用桡动脉无鞘技术及主动脉内球囊反搏技术处理高危左主干分叉病变,帮助病人“重获心生”_https://www.jmylbn.com_新闻资讯_第9张

融水苗族自治县人民医院心血管内科是广西壮族自治区重点专科,是融水县唯一心血管内科专科,人才梯队配置合理。现有医护人员29人;临床医生13人,其中主任医师2人,副主任医师4名,主治医师6名,住院医师1名,学历为硕士2人,本科11人;护理人员14人,其中主管护师4人,护师8人,护士2人。

心血管内科日常开展的业务覆盖心血管科常见病如高血压、冠心病(心绞痛、心肌梗死等)、心力衰竭、心肌病、瓣膜病及各种心律失常,对急性心肌梗死、急性左心衰、休克、恶性心律失常等急危重症患者的抢救治疗积累了丰富的临床经验。

科室秉承“一切以病人为中心,用大爱守护心健康”的服务理念,以高尚的医德,精湛的医术,优质的服务,人性化的管理和整洁的环境,竭诚为每一位患者服务。



 图文| 徐宗荣   编辑 | 贾亦珍

 责任编审|潘永红    责任监制|赵忠新

桡动脉鞘怎么读我院介入团队利用桡动脉无鞘技术及主动脉内球囊反搏技术处理高危左主干分叉病变,帮助病人“重获心生”_https://www.jmylbn.com_新闻资讯_第10张


服务信息

门诊上班时间:

急诊就诊时间、预检分诊:

24小时接诊

普通门诊就诊时间 (含周末)口腔科 (含周末)、中医科门诊 (含周末)发热门诊

8:00-12:00,14:30-17:30,

17:30以后到急诊科就诊;

儿科门诊(含周末):

8:00-12:00,14:30-17:30,

12:00-14:30,18:00-22:00到急诊科儿科门诊就诊,

22:00以后到儿科病房就诊

妇科、产科门诊(含周末):

08:00-12:00,14:30-17:30,17:30以后到妇科、产科病房就诊。

门诊科室:

急诊科、发热门诊、呼吸与危重症医学科门诊、消化内科门诊、脑病科门诊、心血管内科门诊、全科医学科门诊、妇科门诊、产科门诊、中医康复科门诊、普外胸外烧伤科门诊、骨科门诊、骨质疏松专科门诊、乳腺专科门诊、泌尿肝胆甲状腺门诊、儿科门诊、眼科门诊、耳鼻咽喉科门诊、口腔科门诊、皮肤性病科门诊、创伤门诊、疼痛门诊。

住院科室:

心血管内科、呼吸与危重症医学科、消化内科、全科医学科、儿科、肿瘤科、脑病科、妇科、产科、普通外科一病区(胃肠、肛肠、胸外、乳腺)、骨科、普通外科二病区(肝胆、甲状腺、血管、泌尿外科、小儿外科)、重症医学科(ICU)、感染性疾病科、眼科、耳鼻喉科

医疗设备:

西门子全数字化通用型平板血管造影系统(DSA)、西门子1.5T超导型磁共振成像系统(MRI)、联影64排128层螺旋CT、西门子16层螺旋CT、德国蔡司手术显微镜、日本岛津数字化X线摄影系统(DR)、DRF-760数字医用X射线透视摄影系统、奥林巴斯电子腹腔镜、英国乐佳PK、美国GE -Voluson E8四维彩超、等离子双极内镜系统、德国费森尤斯血液透析机、奥林巴斯电子胃肠镜、纤维支气管镜等、迈瑞CAL8000流水线血球仪,日立008AS全自动生化仪,罗氏全自动化学发光免疫分析仪,SYSmex全自动凝血分析仪,全自动血培养仪。

我要举报、投诉、信访:

上班时间:医患沟通办公室0772-5120824 纪检督察室、行风办0772-5130112;

非上班时间:医院值班电话0772-5122473; 邮箱 rsryhfdc@163.com



桡动脉鞘怎么读我院介入团队利用桡动脉无鞘技术及主动脉内球囊反搏技术处理高危左主干分叉病变,帮助病人“重获心生”_https://www.jmylbn.com_新闻资讯_第11张


桡动脉鞘怎么读我院介入团队利用桡动脉无鞘技术及主动脉内球囊反搏技术处理高危左主干分叉病变,帮助病人“重获心生”_https://www.jmylbn.com_新闻资讯_第12张


桡动脉鞘怎么读我院介入团队利用桡动脉无鞘技术及主动脉内球囊反搏技术处理高危左主干分叉病变,帮助病人“重获心生”_https://www.jmylbn.com_新闻资讯_第13张


桡动脉鞘怎么读我院介入团队利用桡动脉无鞘技术及主动脉内球囊反搏技术处理高危左主干分叉病变,帮助病人“重获心生”_https://www.jmylbn.com_新闻资讯_第14张


桡动脉鞘怎么读我院介入团队利用桡动脉无鞘技术及主动脉内球囊反搏技术处理高危左主干分叉病变,帮助病人“重获心生”_https://www.jmylbn.com_新闻资讯_第15张

桡动脉鞘怎么读我院介入团队利用桡动脉无鞘技术及主动脉内球囊反搏技术处理高危左主干分叉病变,帮助病人“重获心生”_https://www.jmylbn.com_新闻资讯_第16张

桡动脉鞘怎么读我院介入团队利用桡动脉无鞘技术及主动脉内球囊反搏技术处理高危左主干分叉病变,帮助病人“重获心生”_https://www.jmylbn.com_新闻资讯_第17张

桡动脉鞘怎么读我院介入团队利用桡动脉无鞘技术及主动脉内球囊反搏技术处理高危左主干分叉病变,帮助病人“重获心生”_https://www.jmylbn.com_新闻资讯_第18张


桡动脉鞘怎么读我院介入团队利用桡动脉无鞘技术及主动脉内球囊反搏技术处理高危左主干分叉病变,帮助病人“重获心生”_https://www.jmylbn.com_新闻资讯_第19张