转自:和佳医疗
细胞减灭术+腹腔热灌注化疗
综合治疗让腹膜癌不再是“不治之症”
腹膜癌是指在腹膜上发生和发展的一类恶性肿瘤,包括原发性腹膜癌和继发性腹膜癌两种。前者的典型代表是原发性腹膜癌和恶性腹膜间皮瘤。后者是各种肿瘤所形成的腹膜转移癌,常见的有胃肠道肿瘤及妇科肿瘤的腹膜转移癌。既往腹膜癌被认为是一种终末期疾病,但近40年来,随着对腹膜癌认识的转变,肿瘤学界将其视为一种可治性区域癌转移,以此开创了以肿瘤细胞减灭术加腹腔热灌注化疗为核心的综合治疗体系,显著改善了患者生存[1]。
和佳
医疗
肿瘤微创综合治疗设备及整体解决方案供应商
和佳医疗在肿瘤微创综合治疗领域深耕20年,致力于为客户提供优质的产品和服务。和佳医疗新一代体腔热灌注治疗机采用高效循环灌注系统和精准测温、控温技术,能有效保障腹腔热灌注化疗的疗效和安全性。
体腔热灌注治疗机 HGGZ-103

技术优势:
1
三个独立控制、双向运转的蠕动泵,高效完成自动循环灌注,实现一键冲洗防堵。
2
采用微波感应式加热,实现灌注液快速升温、均匀受热。
3
实时监测灌注、抽取、循环管路温度,实现自动精准控温。
4
具备超温提示、超温断电保护功能,有效保障治疗安全。
5
采用双屏设计,触摸屏操作,活动屏提供多位置视角观测。
6
界面操作便捷,多种治疗模式可选,满足临床不同治疗需求。
病例分享
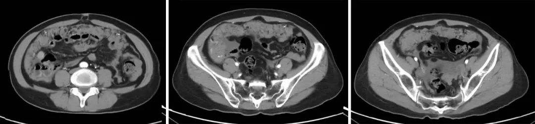
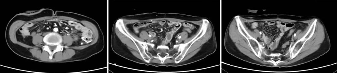
51岁女性恶性腹膜间皮瘤患者,在经过多手段联合治疗后已存活四年,且生活质量如常人。
该患者在4年前经穿刺活检确诊恶性腹膜间皮瘤,经系统性全身治疗后病情仍进展,出现乏力、恶心、呕吐、腹痛等症状,检查提示广泛腹膜病变,大网膜病变尤其明显,呈大饼状覆盖在胃肠道表面,合并血性腹水。患者全身状况较差,存在营养不良、贫血、水电解质紊乱、感染等情况。为了更好地控制病情,患者在对症支持治疗的基础上,接受了经动脉导管灌注化疗联合载药微球栓塞治疗(D-TACE)、腹腔热灌注综合治疗及靶向药物治疗。经上述治疗后,患者肿瘤负荷明显减小,病情逐渐好转,稳定后采用抗血管生成药物、中成药维持治疗。为了进一步控制病情,患者于今年4月接受了肿瘤细胞减灭术治疗,术后采用相关治疗,目前恢复良好。


病例来源:广西中医药大学第一附属医院仙葫院区肿瘤科四病区
腹腔热灌注化疗在腹膜癌治疗中的独特作用
腹腔热灌注化疗(HIPEC)是通过将预热至43℃高温的含有化疗药物的灌注液灌注至腹腔中,经过一定时间的恒温循环灌注,以防治腹膜癌及其引发的恶性腹水的一种治疗技术。
自1980年美国Sugarbaker教授首次报道在结直肠癌中联合细胞减灭术治疗结直肠癌腹膜转移后,HIPEC技术不断发展,逐渐应用于胃癌、卵巢癌等肿瘤转移所致的腹膜癌治疗中并取得独特疗效,得到了国内外学者的广泛认可[2]。
目前HIPEC技术在国外已被纳入卵巢癌治疗指南,成为胃癌腹膜转移癌的推荐治疗手段,阑尾粘液癌、结直肠癌腹膜转移癌、恶性间皮瘤的标准治疗措施[2]。我国在应用HIPEC技术防治腹膜癌方面也不断深入研究,形成了1部临床路径、8部临床指南、1项诊疗规范、17项专家共识、1项专家意见,包括《细胞减灭术加腹腔热灌注化疗治疗腹膜表面肿瘤的专家共识》《中国腹腔热灌注化疗技术临床应用专家共识(2019 版)》等[3]。
HIPEC作为治疗腹腔恶性肿瘤腹膜转移的一大利器,与手术、化疗、靶向治疗、免疫治疗等的协调互作能进一步优化患者的治疗方案,为腹腔恶性肿瘤患者带来更大的生存获益[2]。
参考文献
[1]杨锐,苏延冬,马茹,等.腹膜癌新发病例的流行病学研究[J].肿瘤防治研究,2022,49(11):1190-1194.
[2]崔书中. 近10年中国腹腔热灌注化疗技术研究进展[J].广东医学,2023,44(6):661-665.
[3]中国抗癌协会腹膜肿瘤专业委员会,广东省抗癌协会肿瘤热疗专业委员会.中国腹腔热灌注化疗技术临床应用指南[J]. 中华医学杂志,2020,100(2):89-96.
