怎么制造手术钩针狙击乳腺结节癌变!这种新技术专揪早期乳腺癌

新闻资讯2026-04-21 11:33:21
怎么制造手术钩针狙击乳腺结节癌变!这种新技术专揪早期乳腺癌_https://www.jmylbn.com_新闻资讯_第1张

『妇幼健康科普』


没有哪个打工人

能笑着看完“体检报告”


谁懂啊?看到又“升级”的乳腺结节

我又两眼一黑了

吓得我追问医生半天

“ 这 会 是 癌 吗 ? ”


怎么制造手术钩针狙击乳腺结节癌变!这种新技术专揪早期乳腺癌_https://www.jmylbn.com_新闻资讯_第2张

▲图片来源:小红书用户“..”


怎么制造手术钩针狙击乳腺结节癌变!这种新技术专揪早期乳腺癌_https://www.jmylbn.com_新闻资讯_第3张


实际上,真正需要警惕的乳腺病变,除了那些“长的叛逆”的肿块,还有一些早期高风险的病灶,有的仅仅表现为乳腺钼靶上不起眼的“成簇小芝麻点状”的或者不定形钙化灶。


这类病灶哪怕个头再小,再不起眼,也得想办法“取”出来“查明身份”。


比如这种👇


怎么制造手术钩针狙击乳腺结节癌变!这种新技术专揪早期乳腺癌_https://www.jmylbn.com_新闻资讯_第4张
怎么制造手术钩针狙击乳腺结节癌变!这种新技术专揪早期乳腺癌_https://www.jmylbn.com_新闻资讯_第5张

▲某患者体检发现右乳钙化灶,放射科提示可疑恶性钙化(“小白点”)


但在大部分手术中,这小钙化灶在B超上是看不到的,开刀时更是看不见摸不着,给乳腺癌早期筛查带来极大障碍。


但好消息是,针对这一情况,已经有新技术可以“解决痛点”啦!那就是——


乳腺断层影像引导下钩针定位术

精准狙击早期乳腺癌



在乳腺疾病诊疗中,医生常会遇到一个难题:


部分乳腺病灶(如微小钙化灶、直径小于1cm的小肿块、结构扭曲)在临床触诊时难以察觉,甚至在常规超声检查中也不易精准定位。


这显著增加了手术难度,可能导致病灶切除不彻底,或为寻找病灶而扩大手术范围,增加患者创伤。


而早期乳腺癌,部分可仅表现为微钙化灶。如何精准找到并切除这些隐匿的“蛛丝马迹”,是乳腺外科手术的关键一步。一项重要的技术——乳腺断层影像引导下钩针定位术,正是为解决这一问题而发展起来的精准导航技术。



技术解密:

它是怎样“精准狙击”小型病灶的?


这项技术的核心,可以概括为“看清、定准、标记”三个步骤。



1

成像更清晰,让病灶“无处遁形”


传统乳腺“钼靶”检查是二维成像,可能存在组织重叠干扰。


而乳腺断层摄影通过多角度拍摄,重建薄层图像,能有效消除组织重叠伪影,清晰呈现病灶的大小、形态、位置及与周围组织的关系,为定位提供精准的“图像导航”。


怎么制造手术钩针狙击乳腺结节癌变!这种新技术专揪早期乳腺癌_https://www.jmylbn.com_新闻资讯_第6张

▲乳腺断层影像引导下精确定位



2

计算坐标,实现三维空间“零误差”定位


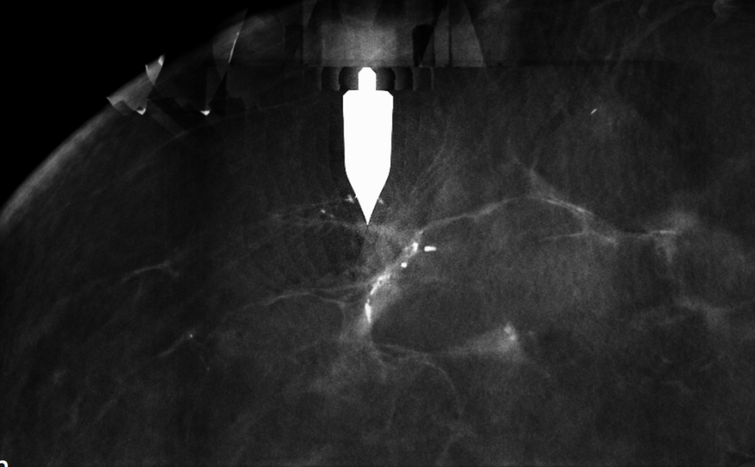
在清晰成像的基础上,计算机会自动计算钙化灶等病灶的三维坐标。医生在局部麻醉后,按照断层影像的引导,将一根细如发丝的定位钩针精准插入病灶附近。


怎么制造手术钩针狙击乳腺结节癌变!这种新技术专揪早期乳腺癌_https://www.jmylbn.com_新闻资讯_第7张

▲钩针精准定位释放于病灶区域



3

微创标记,为手术装“导航”


钩针末端的倒钩会固定在病灶周围组织中,从而为外科医生标记出病灶的准确位置。整个定位过程误差可控制在毫米级。


患者随后带着这根“导航针”进入手术室,外科医生便能据此快速、精准地找到并切除目标病灶。


怎么制造手术钩针狙击乳腺结节癌变!这种新技术专揪早期乳腺癌_https://www.jmylbn.com_新闻资讯_第8张

▲手术精准切除病灶(术后标本片),病理证实为乳腺导管原位癌





技术应用实例


近日,我院放射科与乳腺外科合作,成功开展了深圳西部地区首例“乳腺断层影像引导下钩针定位术”。这标志着我院在乳腺疾病精准诊疗领域的技术实力迈上新台阶,填补了区域内相关技术空白。


医院引进的美国GE医疗公司高端数字乳腺机Senographe Pristina Hygeia,具备先进的乳腺X线断层摄影技术(DBT),目前科室已开展多项乳腺病变的精准定位穿刺活检技术。我院配备专业的乳腺疾病诊疗团队,能为患者提供从筛查、诊断、定位到手术治疗的“一站式”乳腺疾病诊疗服务。





这项技术为患者带来了哪些好处?


  • 手术更精准,创伤更小:


避免了因盲目寻找病灶而扩大手术切口,有效减少了手术创伤,缩短了手术时间。


  • 过程更安全,体验更好:


定位穿刺仅需局部表皮麻醉,钩针直径极小,患者不适感轻微。术后恢复更快,疤痕更小。


  • 诊断更明确:


通过精准切除,获取完整的病灶标本进行病理分析,为后续治疗方案的制定提供了可靠依据。


怎么制造手术钩针狙击乳腺结节癌变!这种新技术专揪早期乳腺癌_https://www.jmylbn.com_新闻资讯_第9张
怎么制造手术钩针狙击乳腺结节癌变!这种新技术专揪早期乳腺癌_https://www.jmylbn.com_新闻资讯_第10张

▲图片来源:网络



多学科协作是该技术的关键


此项技术的成功实施,高度依赖于放射科与乳腺外科的多学科协作。


在整个诊疗过程中,放射科医生负责精准影像诊断与术前定位,乳腺外科医生则制定个性化手术方案并实施切除,两者紧密配合、无缝衔接,共同确保诊疗流程的高效与精准。



乳腺健康,离不开早筛查和早干预


从更广阔的视野看,这项定位技术是乳腺疾病精准诊疗链条上的重要一环。乳腺癌是威胁女性健康的常见疾病,而早期发现至关重要。


怎么制造手术钩针狙击乳腺结节癌变!这种新技术专揪早期乳腺癌_https://www.jmylbn.com_新闻资讯_第11张
怎么制造手术钩针狙击乳腺结节癌变!这种新技术专揪早期乳腺癌_https://www.jmylbn.com_新闻资讯_第12张

▲图片来源:太帅图库


目前,美国放射学院(ACR)、美国预防服务工作组(USPSTF)和NCCN等权威指南均认可乳腺X线摄影作为40-74岁平均风险女性的首选筛查手段。 


结合乳腺断层摄影、穿刺定位与活检技术,可以构建一个更精准的诊疗体系,真正实现乳腺肿瘤的 “早发现、早诊断、早治疗” ,为女性乳腺健康保驾护航。


怎么制造手术钩针狙击乳腺结节癌变!这种新技术专揪早期乳腺癌_https://www.jmylbn.com_新闻资讯_第13张
点个“在看”不失联
怎么制造手术钩针狙击乳腺结节癌变!这种新技术专揪早期乳腺癌_https://www.jmylbn.com_新闻资讯_第14张
怎么制造手术钩针狙击乳腺结节癌变!这种新技术专揪早期乳腺癌_https://www.jmylbn.com_新闻资讯_第15张
怎么制造手术钩针狙击乳腺结节癌变!这种新技术专揪早期乳腺癌_https://www.jmylbn.com_新闻资讯_第16张
怎么制造手术钩针狙击乳腺结节癌变!这种新技术专揪早期乳腺癌_https://www.jmylbn.com_新闻资讯_第17张
怎么制造手术钩针狙击乳腺结节癌变!这种新技术专揪早期乳腺癌_https://www.jmylbn.com_新闻资讯_第18张

审核:罗凯

责编:陈丽芬、李晓荣

审校:曾静娴

供图:放射科 刘晓玲、孙柯、石桥

编辑:杨雨桐

校对:曾静娴

妇幼健康科普:放射科 刘晓玲、孙柯、石桥

运营服务:奥一网



本文部分素材来自网络,如有文字、图片或其他内容涉及侵权或违规,请联系我们进行删除修改,谢谢。

怎么制造手术钩针狙击乳腺结节癌变!这种新技术专揪早期乳腺癌_https://www.jmylbn.com_新闻资讯_第19张
怎么制造手术钩针狙击乳腺结节癌变!这种新技术专揪早期乳腺癌_https://www.jmylbn.com_新闻资讯_第20张