Warning: file_get_contents(/www/wwwroot/jmylbn.com/wp-content/cache/wpzt_/6c/671c89b994abd74fa4e05a725d03d4.tpl): failed to open stream: No such file or directory in /www/wwwroot/jmylbn.com/wp-content/themes/wpzt-answer/vendor/wpzt/cache/driver/File.php on line 125

Warning: file_get_contents(/www/wwwroot/jmylbn.com/wp-content/cache/wpzt_/6c/671c89b994abd74fa4e05a725d03d4.tpl): failed to open stream: No such file or directory in /www/wwwroot/jmylbn.com/wp-content/themes/wpzt-answer/vendor/wpzt/cache/driver/File.php on line 125

Warning: file_get_contents(/www/wwwroot/jmylbn.com/wp-content/cache/wpzt_/6c/671c89b994abd74fa4e05a725d03d4.tpl): failed to open stream: No such file or directory in /www/wwwroot/jmylbn.com/wp-content/themes/wpzt-answer/vendor/wpzt/cache/driver/File.php on line 125
心脏是怎么固定的“螺旋固定,无线心动”——新型主动螺旋固定式无导线心脏起搏器植入术案例分享 - 活检穿刺产品网

心脏是怎么固定的“螺旋固定,无线心动”——新型主动螺旋固定式无导线心脏起搏器植入术案例分享

新闻资讯2026-04-21 10:51:00

365医学网 分享


无导线心脏起搏器因其减少短期和长期并发症、改善患者舒适度等潜在优势而广泛应用,也为有静脉通路问题、感染风险高、既往导线折断或皮肤糜烂的患者的提供了更优的治疗方案和选择。2024年6月在中国获批上市的新型主动螺旋固定式无导线起搏器,具有了长寿命、可取出、主动螺旋固定前可测试参数、未来可升级真正的DDDR双腔起搏器等优势,可以让更多患者获得临床获益和提高生活质量。


近日,宁波大学附属第一医院心内科崔翰斌主任成功开展了2例新型主动螺旋固定无导线起搏器植入手术,为患者提供了更为高效、优质、精准的起搏治疗选择,也标志着该科室在心律失常介入治疗领域再度升级突破。

心脏是怎么固定的“螺旋固定,无线心动”——新型主动螺旋固定式无导线心脏起搏器植入术案例分享_https://www.jmylbn.com_新闻资讯_第1张



基础病史
患者一:男性,88岁,身高174cm,体重62kg。因“头晕3天“入院。高血压10年,高血脂1年。窦性停搏,一度房室传导阻滞。
患者二:女性,72岁,身高160cm,体重50kg。阵发房颤,快-慢综合征。





治疗方案



心脏是怎么固定的“螺旋固定,无线心动”——新型主动螺旋固定式无导线心脏起搏器植入术案例分享_https://www.jmylbn.com_新闻资讯_第2张

两位患者均符合无导线起搏器的适应症。AVEIR™无导线起搏器“长寿命、可取出、可升级真双腔DDDR无导线起搏器”的特点,更是符合患者及其家属的诉求。术中仅需贴靠心肌即可测试参数,减少对心肌的损伤。最后,经过对患者病情的仔细评估、充分沟通,综合考虑预后及患者家属意愿,最终选择植入新型主动螺旋固定式无导线心脏起搏器。




植入要点



心脏是怎么固定的“螺旋固定,无线心动”——新型主动螺旋固定式无导线心脏起搏器植入术案例分享_https://www.jmylbn.com_新闻资讯_第3张

1.猪尾导管造影:软钢丝配合猪尾导管进入RV,造影显示RV轮廓。


心脏是怎么固定的“螺旋固定,无线心动”——新型主动螺旋固定式无导线心脏起搏器植入术案例分享_https://www.jmylbn.com_新闻资讯_第4张

a)RAO 30
心脏是怎么固定的“螺旋固定,无线心动”——新型主动螺旋固定式无导线心脏起搏器植入术案例分享_https://www.jmylbn.com_新闻资讯_第5张

b) LAO 45


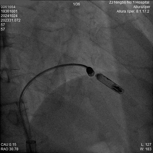
2.回撤保护套筒,激活新型螺旋主动无导线起搏器备用起搏:在无导线进入人体血管后形成起搏回路,以低能耗的传导式通信方式进行激活(1-2分钟)。


心脏是怎么固定的“螺旋固定,无线心动”——新型主动螺旋固定式无导线心脏起搏器植入术案例分享_https://www.jmylbn.com_新闻资讯_第6张


3.调弯进入右室低位间隔后造影,位置理想。左前造影明确贴靠间隔。


心脏是怎么固定的“螺旋固定,无线心动”——新型主动螺旋固定式无导线心脏起搏器植入术案例分享_https://www.jmylbn.com_新闻资讯_第7张

a)RAO
心脏是怎么固定的“螺旋固定,无线心动”——新型主动螺旋固定式无导线心脏起搏器植入术案例分享_https://www.jmylbn.com_新闻资讯_第8张

b) LAO


4.旋入起搏器:回撤保护套筒至下腔,释放调弯,调整张力开始旋入旋入0.5圈及1.0圈分别测试参数,等待扭矩传递。


心脏是怎么固定的“螺旋固定,无线心动”——新型主动螺旋固定式无导线心脏起搏器植入术案例分享_https://www.jmylbn.com_新闻资讯_第9张

心脏是怎么固定的“螺旋固定,无线心动”——新型主动螺旋固定式无导线心脏起搏器植入术案例分享_https://www.jmylbn.com_新闻资讯_第10张


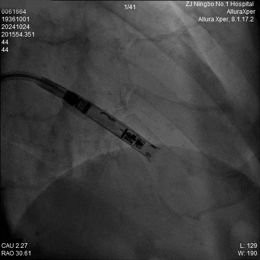
5.旋入后立即进入对接栓模式,并调弯测试。


心脏是怎么固定的“螺旋固定,无线心动”——新型主动螺旋固定式无导线心脏起搏器植入术案例分享_https://www.jmylbn.com_新闻资讯_第11张


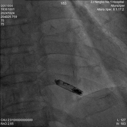
6.释放:释放Aveir VR后,最终影像图。


心脏是怎么固定的“螺旋固定,无线心动”——新型主动螺旋固定式无导线心脏起搏器植入术案例分享_https://www.jmylbn.com_新闻资讯_第12张
a)AP
心脏是怎么固定的“螺旋固定,无线心动”——新型主动螺旋固定式无导线心脏起搏器植入术案例分享_https://www.jmylbn.com_新闻资讯_第13张
b) RAO 30
心脏是怎么固定的“螺旋固定,无线心动”——新型主动螺旋固定式无导线心脏起搏器植入术案例分享_https://www.jmylbn.com_新闻资讯_第14张
c) LAO 40


7.术中损伤变化趋势及测试数据:根据摇摆测试和起搏参数变化趋势,判断主动螺旋固定式无导线心脏起搏器植入稳定。最终成功释放机器。


心脏是怎么固定的“螺旋固定,无线心动”——新型主动螺旋固定式无导线心脏起搏器植入术案例分享_https://www.jmylbn.com_新闻资讯_第15张

心脏是怎么固定的“螺旋固定,无线心动”——新型主动螺旋固定式无导线心脏起搏器植入术案例分享_https://www.jmylbn.com_新闻资讯_第16张




术后程控



心脏是怎么固定的“螺旋固定,无线心动”——新型主动螺旋固定式无导线心脏起搏器植入术案例分享_https://www.jmylbn.com_新闻资讯_第17张

BR:50次/分,阻抗410Ω,输出2.0V/0.2ms,VP:6%,预计使用寿命预估22.7年.


心脏是怎么固定的“螺旋固定,无线心动”——新型主动螺旋固定式无导线心脏起搏器植入术案例分享_https://www.jmylbn.com_新闻资讯_第18张


患者二的植入情况如下:


心脏是怎么固定的“螺旋固定,无线心动”——新型主动螺旋固定式无导线心脏起搏器植入术案例分享_https://www.jmylbn.com_新闻资讯_第19张

RAO 30猪尾导管造影
心脏是怎么固定的“螺旋固定,无线心动”——新型主动螺旋固定式无导线心脏起搏器植入术案例分享_https://www.jmylbn.com_新闻资讯_第20张

LAO 45猪尾导管造影


心脏是怎么固定的“螺旋固定,无线心动”——新型主动螺旋固定式无导线心脏起搏器植入术案例分享_https://www.jmylbn.com_新闻资讯_第21张

RAO 30造影
心脏是怎么固定的“螺旋固定,无线心动”——新型主动螺旋固定式无导线心脏起搏器植入术案例分享_https://www.jmylbn.com_新闻资讯_第22张

LAO 45造影


心脏是怎么固定的“螺旋固定,无线心动”——新型主动螺旋固定式无导线心脏起搏器植入术案例分享_https://www.jmylbn.com_新闻资讯_第23张

植入后RAO 30
心脏是怎么固定的“螺旋固定,无线心动”——新型主动螺旋固定式无导线心脏起搏器植入术案例分享_https://www.jmylbn.com_新闻资讯_第24张

植入后LAO 45


心脏是怎么固定的“螺旋固定,无线心动”——新型主动螺旋固定式无导线心脏起搏器植入术案例分享_https://www.jmylbn.com_新闻资讯_第25张

心脏是怎么固定的“螺旋固定,无线心动”——新型主动螺旋固定式无导线心脏起搏器植入术案例分享_https://www.jmylbn.com_新闻资讯_第26张


总 结

术后,崔翰斌主任对新型主动螺旋固定无导线心脏起搏器的植入流程进行复盘,充分表达了自己的见解并对产品性能给予高度肯定。整个植入流程中,起搏器主动螺旋固定,输送导管设计精巧,每一步骤都精准可控,大大提高了术式的安全性。重量仅仅2.4g的心脏起搏器,可为患者保驾护航长达20余年!当遵循国际标准化组织(ISO)标准设置时,其平均电池寿命为17.6年,48%的患者具有超过20年的电池寿命。其预制i2i传导通讯技术,未来可实现真双腔无导线起搏。



心脏是怎么固定的“螺旋固定,无线心动”——新型主动螺旋固定式无导线心脏起搏器植入术案例分享_https://www.jmylbn.com_新闻资讯_第27张



专家简介


心脏是怎么固定的“螺旋固定,无线心动”——新型主动螺旋固定式无导线心脏起搏器植入术案例分享_https://www.jmylbn.com_新闻资讯_第28张
心脏是怎么固定的“螺旋固定,无线心动”——新型主动螺旋固定式无导线心脏起搏器植入术案例分享_https://www.jmylbn.com_新闻资讯_第29张
心脏是怎么固定的“螺旋固定,无线心动”——新型主动螺旋固定式无导线心脏起搏器植入术案例分享_https://www.jmylbn.com_新闻资讯_第30张扫描二维码进入专家学术空间


崔翰斌,主任医师,教授,医学博士,博士生导师,浙江省动脉粥样硬化疾病精准医学研究重点实验室主任,宁波市第一医院心内科主任。
宁波市医学会心血管分会副主任委员,浙江省医学会血栓与止血委员会委员,海峡会心血管分会常务委员。
浙江省“新世纪151人才工程”培养人才,主持浙江省重点研发等省部级以上科研项目6项,发表论文30余篇参编 “临床心血管介入操作技术”等著作3部。
心脏是怎么固定的“螺旋固定,无线心动”——新型主动螺旋固定式无导线心脏起搏器植入术案例分享_https://www.jmylbn.com_新闻资讯_第31张
心脏是怎么固定的“螺旋固定,无线心动”——新型主动螺旋固定式无导线心脏起搏器植入术案例分享_https://www.jmylbn.com_新闻资讯_第32张


沧州市人民医院袁琛教授团队成功完成超高龄患者全国首批新型主动螺旋固定无导线心脏起搏器植入
武汉大学人民医院黄鹤教授团队成功完成超高龄患者全国首批新型主动螺旋固定无导线心脏起搏器植入
创新型可回收式无导线心脏起搏器 持续领航介入诊疗技术新发展
广州医科大学附属第一医院心血管内科团队成功完成高龄患者全国首批新型主动螺旋固定无导线心脏起搏器植入
杭州市第一人民医院心内科成功完成一例新型主动螺旋固定无导线起搏器植入



心脏是怎么固定的“螺旋固定,无线心动”——新型主动螺旋固定式无导线心脏起搏器植入术案例分享_https://www.jmylbn.com_新闻资讯_第33张
心脏是怎么固定的“螺旋固定,无线心动”——新型主动螺旋固定式无导线心脏起搏器植入术案例分享_https://www.jmylbn.com_新闻资讯_第34张
心脏是怎么固定的“螺旋固定,无线心动”——新型主动螺旋固定式无导线心脏起搏器植入术案例分享_https://www.jmylbn.com_新闻资讯_第35张
心脏是怎么固定的“螺旋固定,无线心动”——新型主动螺旋固定式无导线心脏起搏器植入术案例分享_https://www.jmylbn.com_新闻资讯_第36张
心脏是怎么固定的“螺旋固定,无线心动”——新型主动螺旋固定式无导线心脏起搏器植入术案例分享_https://www.jmylbn.com_新闻资讯_第37张
心脏是怎么固定的“螺旋固定,无线心动”——新型主动螺旋固定式无导线心脏起搏器植入术案例分享_https://www.jmylbn.com_新闻资讯_第38张
学术热词
心脏是怎么固定的“螺旋固定,无线心动”——新型主动螺旋固定式无导线心脏起搏器植入术案例分享_https://www.jmylbn.com_新闻资讯_第39张

扫描查看更多精彩内容


心脏是怎么固定的“螺旋固定,无线心动”——新型主动螺旋固定式无导线心脏起搏器植入术案例分享_https://www.jmylbn.com_新闻资讯_第40张
欢迎扫码入群交流

长按识别二维码,

即可进入沟通交流群

心脏是怎么固定的“螺旋固定,无线心动”——新型主动螺旋固定式无导线心脏起搏器植入术案例分享_https://www.jmylbn.com_新闻资讯_第41张


END
心脏是怎么固定的“螺旋固定,无线心动”——新型主动螺旋固定式无导线心脏起搏器植入术案例分享_https://www.jmylbn.com_新闻资讯_第42张
未经授权不得转载
转载请注明365医学网
心脏是怎么固定的“螺旋固定,无线心动”——新型主动螺旋固定式无导线心脏起搏器植入术案例分享_https://www.jmylbn.com_新闻资讯_第43张

心脏是怎么固定的“螺旋固定,无线心动”——新型主动螺旋固定式无导线心脏起搏器植入术案例分享_https://www.jmylbn.com_新闻资讯_第44张