心脏是怎么固定的【学科技术】南昌市第一医院成功开展螺旋主动固定式无导线心脏起搏器植入术

新闻资讯2026-04-21 10:51:01

心脏是怎么固定的【学科技术】南昌市第一医院成功开展螺旋主动固定式无导线心脏起搏器植入术_https://www.jmylbn.com_新闻资讯_第1张

近日,南昌市第一医院心内一科起搏团队成功完成了新型螺旋主动固定式无导线心脏起搏器植入手术。新型可回收式无导线心脏起搏器作为创新型技术,相较于传统起搏器,可以最大程度的减少对三尖瓣开合的影响、术后感染风险小,给临床患者带来获益,也为科室心内介入治疗技术的持续发展提供助力。

心脏是怎么固定的【学科技术】南昌市第一医院成功开展螺旋主动固定式无导线心脏起搏器植入术_https://www.jmylbn.com_新闻资讯_第2张

83岁的许奶奶,因反复胸闷、心悸7年余,再发伴头晕、乏力半月余入我院治疗。既往有冠心病、高血压病、心房纤颤病史10余年,长期服用药物治疗。考虑到患者年龄大,消瘦,长期服用抗凝药物,心内一科李顺辉主任带领电生理团队缜密分析、认真讨论,一致认为植入新型可回收式无导线心脏起搏器更适合许奶奶身体状况。

心脏是怎么固定的【学科技术】南昌市第一医院成功开展螺旋主动固定式无导线心脏起搏器植入术_https://www.jmylbn.com_新闻资讯_第3张

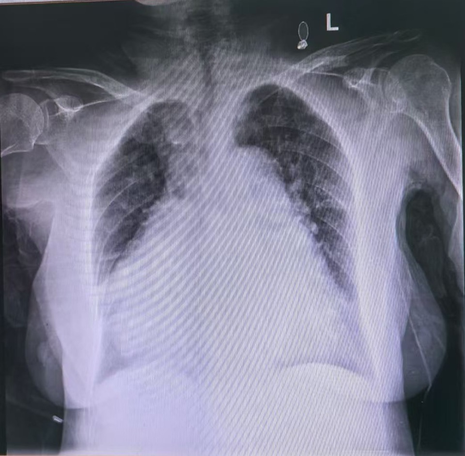
许奶奶胸片检查:心脏扩大

因传统起搏器植入术后伤口愈合难,感染风险高,且长期影响三尖瓣的开合,导致三尖瓣的返流,而螺旋固定式无导线起搏器术中,无导线装置在未旋入情况下多次无创伤测试,以选择最佳起搏位点,减少心肌损伤、且术后电池寿命长,可减少更换次数,可取出且未来可升级为真双腔,降低三尖瓣返流风险。综合考虑预后及患者家属意愿,经仔细评估、充分沟通决定,为许奶奶开展螺旋主动固定式无导线心脏起搏器植入术

在南昌市第一医院李顺辉主任的带领下,江小杰主任和高鸿医生组成的起搏团队,于左侧植入临时起搏器以作安全保护,再用右心猪尾导管造影,了解右心室结构和大小,最终安全高效地完成了新型螺旋固定可回收式无导线心脏起搏器植入手术。术后第二天,观察许奶奶的起搏参数良好且稳定。

心脏是怎么固定的【学科技术】南昌市第一医院成功开展螺旋主动固定式无导线心脏起搏器植入术_https://www.jmylbn.com_新闻资讯_第4张

李顺辉主任介绍:新型可回收式无导线心脏起搏器是一项颠覆性的创新技术,以其独特性满足了患者的不同需求。通过微创手术植入心脏,无需制作囊袋和植入导线,为患者带来便捷与先进的治疗方式。采用头端主动螺旋式设计,安全、快速植入,减少心肌损伤风险,确保理想植入位置。配备专用回收导管,提供了安全取出的治疗选择。平均电池寿命为17.6年,48%的患者具有超过20年的电池寿命。其i2i传导通讯技术预示未来可实现双腔无导线起搏。这一创新技术在科室成功使用和开展,使广大患者可以足不出省,即可享受到最前沿的创新产品和创新治疗技术服务,也给患者的远期健康和生活质量的提升带来明显的获益。


心脏是怎么固定的【学科技术】南昌市第一医院成功开展螺旋主动固定式无导线心脏起搏器植入术_https://www.jmylbn.com_新闻资讯_第5张

专家简介


心脏是怎么固定的【学科技术】南昌市第一医院成功开展螺旋主动固定式无导线心脏起搏器植入术_https://www.jmylbn.com_新闻资讯_第6张

李顺辉

硕士生导师 

主任医师 

南昌市第一医院心内一科主任

专家简介:

国家心血管病专家委员会心力衰竭专业委员会第一届委员会委员

江西省介入心脏病学会副理事长

江西省介入心脏病学会冠心病诊疗专业委员会副主任委员

南昌市心血管病学专业委员会主任委员

“心健康公益行动计划”南昌地区“公益大使”


专业特长:

冠心病、高血压、心力衰竭、心肌病、结构性心脏病、心律失常等心血管系统常见病、多发病及老年性疾病的诊治。擅长冠脉介入、结构性心脏病介入治疗。


心脏是怎么固定的【学科技术】南昌市第一医院成功开展螺旋主动固定式无导线心脏起搏器植入术_https://www.jmylbn.com_新闻资讯_第7张

江小杰

南昌市第一医院副主任医师

医学硕士

专家简介:

2017年至2018年在广东省人民医院(广东省心血管研究所)进修学习心律失常射频消融术及缓慢心律失常起搏治疗,目前已独立完成阵发性室上速、室性早搏、房颤射频消融及永久起搏器植入600余台。
现担任中国中药协会心血管药物研究专业委员会委员、江西省心血管病专业委员会青年委员。


专业特长:

阵发性室上速、室性早搏、室性心动过速,心房扑动,心房颤动等心律失常射频消融及心脏永久起搏器(VVI、DDD、ICD,Micra无导线起搏器等)、心脏收缩力调节器植入、卵圆孔未闭介入封堵术。


心脏是怎么固定的【学科技术】南昌市第一医院成功开展螺旋主动固定式无导线心脏起搏器植入术_https://www.jmylbn.com_新闻资讯_第8张

高鸿

南昌市第一医院主治医师

医学硕士

专家简介:

2020年-2021年在广东省人民医院(广东省心血管研究所)进修学习心律失常射频消融术及缓慢心律失常起搏治疗,擅长常见心律失常:阵发性室上速、室性早搏及起搏器植入。

现任南昌市心血管病学专业委员会委员

专业特长:

冠心病、高血压、心力衰竭、心律失常等心血管常见病的诊治。




文稿:心内一科 江小杰
编辑:夏诗奇
初审:李顺辉
审核:刘   峥
审定发布:韩   冰
心脏是怎么固定的【学科技术】南昌市第一医院成功开展螺旋主动固定式无导线心脏起搏器植入术_https://www.jmylbn.com_新闻资讯_第9张

心脏是怎么固定的【学科技术】南昌市第一医院成功开展螺旋主动固定式无导线心脏起搏器植入术_https://www.jmylbn.com_新闻资讯_第10张

心脏是怎么固定的【学科技术】南昌市第一医院成功开展螺旋主动固定式无导线心脏起搏器植入术_https://www.jmylbn.com_新闻资讯_第11张