心脏是怎么固定的“心”希望,“新”动力 内蒙古自治区人民医院率先启用单心房主动固定无导线起搏器,引领心脏起搏技术新纪元

新闻资讯2026-04-21 10:50:58
心脏是怎么固定的“心”希望,“新”动力 内蒙古自治区人民医院率先启用单心房主动固定无导线起搏器,引领心脏起搏技术新纪元_https://www.jmylbn.com_新闻资讯_第1张
心脏是怎么固定的“心”希望,“新”动力 内蒙古自治区人民医院率先启用单心房主动固定无导线起搏器,引领心脏起搏技术新纪元_https://www.jmylbn.com_新闻资讯_第2张
365医学网 分享

2025年8月25日,中国大陆心律失常治疗领域迎来里程碑时刻——无导线起搏器技术实现突破性进展!内蒙古自治区人民医院成功应用雅培单心房主动固定无导线起搏器完成全国首批、内蒙古自治区首例植入。


该手术由心内科专家侯煜院长孙国建主任团队主导,在多学科协作下顺利完成。这一突破性进展,将为广大心律失常患者带来更安全、更高效、定制化的治疗体验,大幅提升患者的生活质量,为万千心律失常患者点亮“心”希望,以无线科技重塑心脏治疗的未来图景!


心脏是怎么固定的“心”希望,“新”动力 内蒙古自治区人民医院率先启用单心房主动固定无导线起搏器,引领心脏起搏技术新纪元_https://www.jmylbn.com_新闻资讯_第3张


内蒙古自治区人民医院

心内科专家侯煜院长、孙国建主任团队




病例直击:

患者男,60岁,因“间断性胸闷、气短乏力3个月,加重2周”收治入院。24小时动态心电图检查提示:窦性心动过缓(24小时总心搏67427次,平均心率47bpm,最快心率63bpm,最慢心率39bpm),伴偶发室性早搏、偶发房性早搏(成对),可见交界性逸搏及逸搏心律,并见室性逸搏,综合诊断为心律失常、病态窦房结综合征,具备起搏器植入术指征。



精准决策:

因患者及家属考虑到感染、气胸、导线相关并发症等风险因素,临床医生进行了充分讨论,基于指南推荐和丰富的临床经验,孙国建教授团队确认患者需尽快植入心脏起搏器,同时结合患者的明确诉求,确认了全球率先开展一款单心房主动固定无导线起搏器的植入方案。



手术高光:

手术团队通过患者股静脉这一微创路径,将仅有传统起搏器十分之一大小的新型无导线起搏器精准输送至右心耳,利用其特有的用于心房起搏的双螺旋设计,起搏器被牢固地锚定在右心耳基底部。整个手术过程顺利,耗时22分钟,术中及术后参数测试均显示起搏器工作状态良好。


心脏是怎么固定的“心”希望,“新”动力 内蒙古自治区人民医院率先启用单心房主动固定无导线起搏器,引领心脏起搏技术新纪元_https://www.jmylbn.com_新闻资讯_第4张
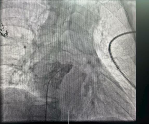
RAO 30°猪尾造影,目标植入位点右心耳基底部位置。 
心脏是怎么固定的“心”希望,“新”动力 内蒙古自治区人民医院率先启用单心房主动固定无导线起搏器,引领心脏起搏技术新纪元_https://www.jmylbn.com_新闻资讯_第5张
LAO 30°造影,确保导管与组织接触,并贴靠心耳基底部。


心脏是怎么固定的“心”希望,“新”动力 内蒙古自治区人民医院率先启用单心房主动固定无导线起搏器,引领心脏起搏技术新纪元_https://www.jmylbn.com_新闻资讯_第6张
成功植入后图片



术后总结:

雅培植入式无导线心脏起搏器是全球首款率先开展可提供AAI(R)起搏的心房植入式无导线心脏起搏器,使无导线起搏技术不再局限于右心室,为房室及心室内传导系统正常的窦房结功能障碍患者提供可升级的无导线起搏治疗方案。

其次,雅培心房植入式无导线心脏起搏器也是唯一可为所有常见起搏器适应证提供治疗的无导线解决方案,预留未来疗法升级空间。若患者的治疗需求发生变化,可与心室植入式无导线起搏器配对,通过雅培行业首创的 i2i™通信技术,实现心房和心室之间的真正的双腔无导线DDD(R)模式起搏,同时无论患者姿势如何,都能保证连续的房室同步率。

再者,雅培心房植入式无导线心脏起搏器还具备独特的可取出设计。这一设计使得起搏器在需要时能够方便地被取出,为患者提供了更多的治疗选择和保障。在面对一些特殊情况时,医生可以根据患者的具体情况选择取出起搏器,为患者提供更加个性化的治疗方案。

心脏是怎么固定的“心”希望,“新”动力 内蒙古自治区人民医院率先启用单心房主动固定无导线起搏器,引领心脏起搏技术新纪元_https://www.jmylbn.com_新闻资讯_第7张


此次引入雅培单心房植入式无导线心脏起搏器,不仅为患者带来了更为安全、便捷的治疗方案,也进一步提升了内蒙古自治区人民医院在医疗技术领域的领先地位。孙国建教授手术团队已具备开展多种高精尖心脏介入手术的能力,成为区域内乃至全国范围内具有影响力的专业力量。未来,团队将继续以患者为中心,推动更多创新技术在临床落地,为患者提供更加优质、高效的医疗服务,共同推动中国医疗健康产业的高质量发展。




心脏是怎么固定的“心”希望,“新”动力 内蒙古自治区人民医院率先启用单心房主动固定无导线起搏器,引领心脏起搏技术新纪元_https://www.jmylbn.com_新闻资讯_第8张
心脏是怎么固定的“心”希望,“新”动力 内蒙古自治区人民医院率先启用单心房主动固定无导线起搏器,引领心脏起搏技术新纪元_https://www.jmylbn.com_新闻资讯_第9张
心脏是怎么固定的“心”希望,“新”动力 内蒙古自治区人民医院率先启用单心房主动固定无导线起搏器,引领心脏起搏技术新纪元_https://www.jmylbn.com_新闻资讯_第10张

重量:2.1G,体积:1.0 CC




内蒙古自治区人民医院

心血管内科团队

内蒙古自治区人民医院心血管内科是国家临床重点专科、内蒙古自治区临床医学领先学科;内蒙古自治区唯一的国家心血管专科医师培训基地;国家临床药物试验基地;国家心血管疾病急危重症和疑难病症诊治基地;国家心血管疾病临床医学研究分中心、内蒙古自治区心血管疾病质量控制中心、中国房颤中心示范基地、冠脉介入诊疗中心、中国心衰中心示范基地、心脏康复中心示范基地、中国高血压达标中心、中国胸痛中心、卫生部心律失常介入诊疗培训基地、是内蒙古医学会心血管病分会主任委员单位;心内科现有五个病区及CCU和心脏康复中心。编制床位225张),医护人员220名,目前医师83名(博士11名,硕士60名)。主任医师33名、副主任医师21名。博士研究生导师1名,硕士研究生导师11名。

心内科常规开展:1.复杂冠脉病变的介入治疗,建立了全天候急性心肌梗死病人抢救的“绿色通道”。开展了血管内超声、光学相干断层扫描和压力测定以及冠脉旋磨及冲击波治疗。包括慢性完全闭塞病变(CTO)、严重钙化病变、左主干、分叉病变、严重三支血管病变的介入治疗策略优化及技术创新。2.心律失常诊疗:心房颤动、室早、室速、室上速等心律失常疾病的诊疗。病窦综合征、房室传导阻滞等起搏器治疗及随访。3.结构性心脏病诊疗(先天性心脏病、瓣膜病):房间隔缺损、室间隔缺损、动脉导管未闭经导管封堵治疗,成人复杂先天性心脏病、瓣膜病的介入诊疗,室间隔肥厚化学消融等治疗。以及经皮主动脉瓣植入术(TAVR)和二尖瓣钳夹术(MitraClip)。4.心力衰竭和心肌炎、心肌病诊疗:病毒性心肌炎、扩张性心肌病、慢性心力衰竭的诊断、个性化治疗等。常规开展慢性心衰的心脏同步化治疗(CRT)及希浦系统起搏治疗以及CCM治疗等。5.肺动脉高压的诊断及治疗,右心导管术、靶向药物治疗及肺动脉去交感神经介入诊疗;高脂血症诊断治疗及随访指导。高血压疾病诊断治疗,以及顽固性高血压的肾动脉交感神经消融术。6.常年进行冠心病、高血压、高血脂的健康宣教活动。


2024年心内科门诊量突破12万人次,住院病人突破1.2万人次,年冠脉介入手术10000例以上,心律失常介入诊治1000例以上。结构性心脏病300例以上。




心律失常治疗新突破!率先完成起搏电极拔除同台心房无导线起搏器植入 北京大学人民医院树立行业“新标杆”



心脏是怎么固定的“心”希望,“新”动力 内蒙古自治区人民医院率先启用单心房主动固定无导线起搏器,引领心脏起搏技术新纪元_https://www.jmylbn.com_新闻资讯_第11张
心脏是怎么固定的“心”希望,“新”动力 内蒙古自治区人民医院率先启用单心房主动固定无导线起搏器,引领心脏起搏技术新纪元_https://www.jmylbn.com_新闻资讯_第12张
心脏是怎么固定的“心”希望,“新”动力 内蒙古自治区人民医院率先启用单心房主动固定无导线起搏器,引领心脏起搏技术新纪元_https://www.jmylbn.com_新闻资讯_第13张
心脏是怎么固定的“心”希望,“新”动力 内蒙古自治区人民医院率先启用单心房主动固定无导线起搏器,引领心脏起搏技术新纪元_https://www.jmylbn.com_新闻资讯_第14张
心脏是怎么固定的“心”希望,“新”动力 内蒙古自治区人民医院率先启用单心房主动固定无导线起搏器,引领心脏起搏技术新纪元_https://www.jmylbn.com_新闻资讯_第15张
心脏是怎么固定的“心”希望,“新”动力 内蒙古自治区人民医院率先启用单心房主动固定无导线起搏器,引领心脏起搏技术新纪元_https://www.jmylbn.com_新闻资讯_第16张
学术热词
心脏是怎么固定的“心”希望,“新”动力 内蒙古自治区人民医院率先启用单心房主动固定无导线起搏器,引领心脏起搏技术新纪元_https://www.jmylbn.com_新闻资讯_第17张

扫描查看更多精彩内容


心脏是怎么固定的“心”希望,“新”动力 内蒙古自治区人民医院率先启用单心房主动固定无导线起搏器,引领心脏起搏技术新纪元_https://www.jmylbn.com_新闻资讯_第18张


心脏是怎么固定的“心”希望,“新”动力 内蒙古自治区人民医院率先启用单心房主动固定无导线起搏器,引领心脏起搏技术新纪元_https://www.jmylbn.com_新闻资讯_第19张
专栏合集
心脏是怎么固定的“心”希望,“新”动力 内蒙古自治区人民医院率先启用单心房主动固定无导线起搏器,引领心脏起搏技术新纪元_https://www.jmylbn.com_新闻资讯_第20张

行业要闻创新研究


文章|课件|视频|音频


高血压|心脏重症|心力衰竭|冠心病|瓣膜|心律失常|周围血管|心电生理


指南共识|学术荟萃|人物专访|新心联播


ESC|ACC


点击合集名称,查看更多内容👆👆👆


心脏是怎么固定的“心”希望,“新”动力 内蒙古自治区人民医院率先启用单心房主动固定无导线起搏器,引领心脏起搏技术新纪元_https://www.jmylbn.com_新闻资讯_第21张
欢迎扫码入群交流

长按识别二维码,

即可进入沟通交流群

心脏是怎么固定的“心”希望,“新”动力 内蒙古自治区人民医院率先启用单心房主动固定无导线起搏器,引领心脏起搏技术新纪元_https://www.jmylbn.com_新闻资讯_第22张


END
心脏是怎么固定的“心”希望,“新”动力 内蒙古自治区人民医院率先启用单心房主动固定无导线起搏器,引领心脏起搏技术新纪元_https://www.jmylbn.com_新闻资讯_第23张
免责声明:365医学网所发表内容之知识产权为365医学网及主办方、原作者等相关权利人所有。未经许可,禁止进行转载、摘编、复制、裁切、录制等。经许可授权使用,亦须注明来源。欢迎转发、分享。如有侵权,请联系我们删除。
投稿/会议发布,请联系010-63717246 editor@365yixue.com


点击下方卡片 / 获取更多内容


心脏是怎么固定的“心”希望,“新”动力 内蒙古自治区人民医院率先启用单心房主动固定无导线起搏器,引领心脏起搏技术新纪元_https://www.jmylbn.com_新闻资讯_第24张



心脏是怎么固定的“心”希望,“新”动力 内蒙古自治区人民医院率先启用单心房主动固定无导线起搏器,引领心脏起搏技术新纪元_https://www.jmylbn.com_新闻资讯_第25张

点击“阅读原文”,开启学习之旅!