导丝怎么扩【载药时代 球扩天下】NOVA DES®颅内药物洗脱支架在颈内动脉颅内段重度狭窄的应用二例!

新闻资讯2026-04-21 09:03:52

载药时代 球扩天下

NOVA DES®颅内药物洗脱支架植入

NOVA颅内药物洗脱支架:全球唯一

导丝怎么扩【载药时代 球扩天下】NOVA DES®颅内药物洗脱支架在颈内动脉颅内段重度狭窄的应用二例!_https://www.jmylbn.com_新闻资讯_第1张






 首个无神经毒性安全性的颅内药物支架;





 1年再狭窄6.66%,同裸支架比降低73.4%,从而降低再发卒中88.4%;





 血管内皮愈合导向,28天药物峰值,60天吸收完毕。









































病例一




指导术者:李红星 济宁市中西医结合医院

导丝怎么扩【载药时代 球扩天下】NOVA DES®颅内药物洗脱支架在颈内动脉颅内段重度狭窄的应用二例!_https://www.jmylbn.com_新闻资讯_第2张

李红星


副主任中医师,副院长,脑病科主任。

社会任职:山东中医药学会分会委员;山东省卒中学会分会委员;山东省脑血管病防治协会分会副主任委员;济宁市中医药学会中风病专业委员会副主任委员;济宁市中医药学会急诊与重症医学专业委员会副主任委员;济宁市中西医结合学会神经内科专业委员会副主任委员济宁市医学会神经内科专业委员会委员;济宁市医学会神经介入专业委员会委员;济宁市名中医药专家;济宁市第十三、十四届党代表。

主持及参与省科研课题2项、市科研课题6项、区级科研课题4项;论文7篇,论著2部。



术者:董刚 济宁市中西医结合医院

导丝怎么扩【载药时代 球扩天下】NOVA DES®颅内药物洗脱支架在颈内动脉颅内段重度狭窄的应用二例!_https://www.jmylbn.com_新闻资讯_第3张

董刚


主治医师,脑病科四区主任。
2010年毕业于济宁医学院,从事脑病科工作10年余;2012年2月至8月于上海长海医院神经外科神经介入专业进修学习;2012年11月于北京天坛医院急诊介入病房观摩学习;2020年4月至7月于临沂市人民医院神经内科监护室进修学习脑出血微创钻孔引流手术。
主要从事急性脑血管病的动静脉溶栓治疗和内科保守治疗、急性颅内大血管闭塞的取栓治疗、常规脑血管病的支架介入治疗、脑出血的微创钻孔手术治疗。目前独立完成全脑血管造影术检查近千例、颅内外支架近百例。

社会兼职:山东省医师协会神经内科介入医师分会委员;山东省医师协会神经介入专业委员会缺血性脑血管病学组成员;济宁市医学会神经介入分会委员;济宁市医学会脑血管病分会委员。











































患者基本信息





患者,男,77岁。

主诉:左侧肢体活动不灵1年余,加重1天

简要病史:

患者于1年余前无明显诱因出现左侧肢体活动不灵,伴饮水呛咳,曾于我院诊断为脑梗死,给予抗血小板聚集,稳定斑块,改善脑循环、脑代谢治疗,好转出院,遗留左侧肢体稍有无力,可生活自理,1天谴患者自感上述症状较前加重,言语不清,左手持物不稳,左下肢行走不能,无头痛、头晕,无饮水呛咳,在家未予处理,症状未见缓解,遂来我院,急诊完善颅脑CT,未见出血,遂以“急性脑血管病”收入我病区。

既往史:高血压病史30年,收缩压最高达200mmHg, 目前口服硝苯地平缓释片20mg Bid,复方卡托普利片 1片 Tid,血压控制一般,2型糖尿病病史30年,目前口服二甲双胍缓释片0.5g Tid、达格列净 10mg Qd 、阿卡波糖片 50mg Tid(三餐中嚼服),血糖控制一般。

查体:言语清晰,行动不利,左上肢肌力3级,左下肢肌力4级,瞳孔正常,对光反射灵敏。神经系统评分NIHSS(3),mRS(4)。



既往病史影像留存





导丝怎么扩【载药时代 球扩天下】NOVA DES®颅内药物洗脱支架在颈内动脉颅内段重度狭窄的应用二例!_https://www.jmylbn.com_新闻资讯_第4张
导丝怎么扩【载药时代 球扩天下】NOVA DES®颅内药物洗脱支架在颈内动脉颅内段重度狭窄的应用二例!_https://www.jmylbn.com_新闻资讯_第5张

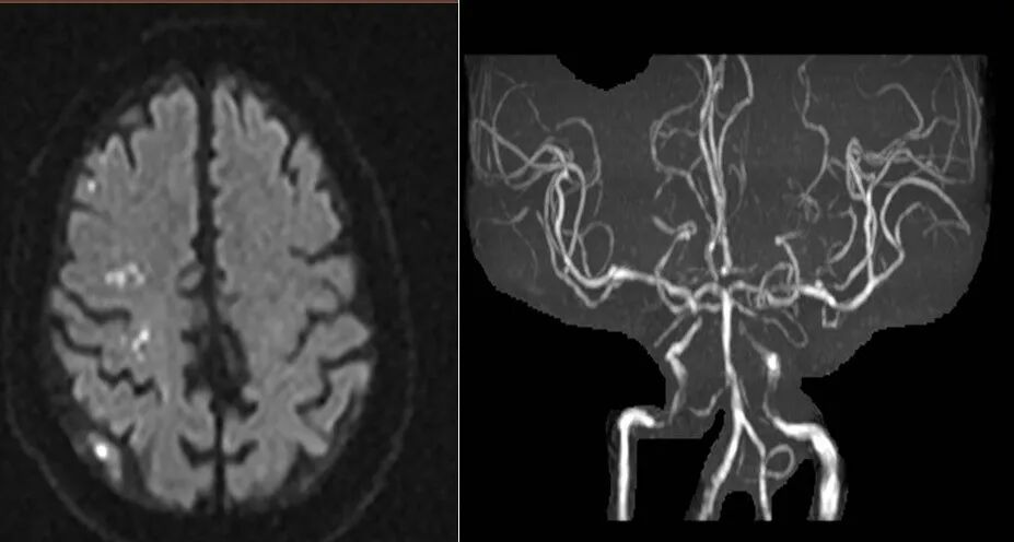
2021-6-25 颅脑DWI

2021-6-25 颅脑MRA


导丝怎么扩【载药时代 球扩天下】NOVA DES®颅内药物洗脱支架在颈内动脉颅内段重度狭窄的应用二例!_https://www.jmylbn.com_新闻资讯_第6张
导丝怎么扩【载药时代 球扩天下】NOVA DES®颅内药物洗脱支架在颈内动脉颅内段重度狭窄的应用二例!_https://www.jmylbn.com_新闻资讯_第7张

2021-12-3 DSA

2021-12-3 DSA


重要影像结论:2021-6-25右侧基底节区新发脑梗死,2021-12-3提示右侧颈内动脉海绵窦段重度狭窄。


入院影像检查





导丝怎么扩【载药时代 球扩天下】NOVA DES®颅内药物洗脱支架在颈内动脉颅内段重度狭窄的应用二例!_https://www.jmylbn.com_新闻资讯_第8张

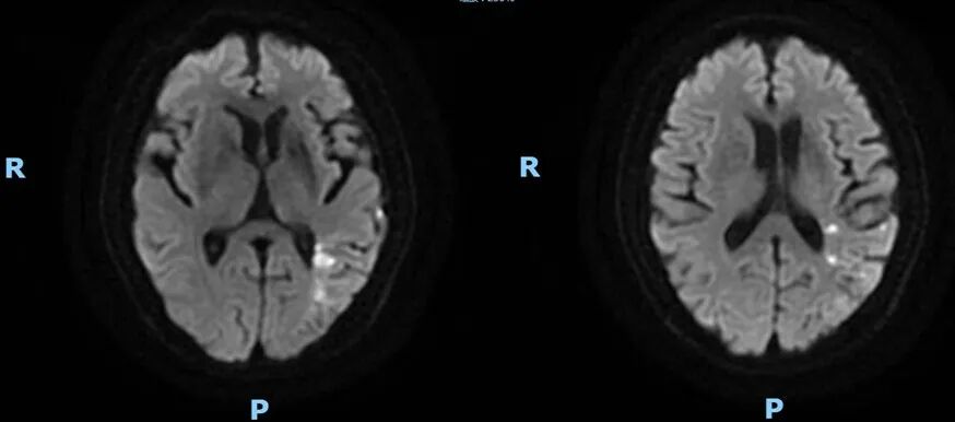
2022-7-17 颅脑DWI

2022-7-17 颅脑MRA


导丝怎么扩【载药时代 球扩天下】NOVA DES®颅内药物洗脱支架在颈内动脉颅内段重度狭窄的应用二例!_https://www.jmylbn.com_新闻资讯_第9张

导丝怎么扩【载药时代 球扩天下】NOVA DES®颅内药物洗脱支架在颈内动脉颅内段重度狭窄的应用二例!_https://www.jmylbn.com_新闻资讯_第10张

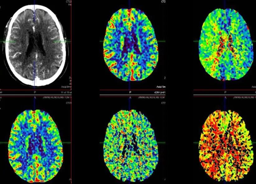
2022-7-20 颅脑CTP

重要影像结论:右侧放射冠区新发脑梗死,右侧颈内海绵窦段重度狭窄,右侧大脑半球缺血。


导丝怎么扩【载药时代 球扩天下】NOVA DES®颅内药物洗脱支架在颈内动脉颅内段重度狭窄的应用二例!_https://www.jmylbn.com_新闻资讯_第11张

导丝怎么扩【载药时代 球扩天下】NOVA DES®颅内药物洗脱支架在颈内动脉颅内段重度狭窄的应用二例!_https://www.jmylbn.com_新闻资讯_第12张

2022-7-20 颅脑CTP
重要影像结论:右侧大脑半球缺血。


诊断





主要诊断:急性脑梗死

病变部位:右侧颈内动脉海绵窦段

远端正常血管直径(mm):2.6

狭窄处最小直径(mm):0.5

病变长度(mm):11.8

狭窄度(%):80%


术前讨论





拟行手术方案:右侧颈内动脉海绵窦段球囊扩张+支架植入术

手术指征(血管内介入治疗的指征):

两次发病,内科药物治疗效果不佳,狭窄程度超70%。

治疗策略:局麻下先给予球囊扩张,而后给予药物球扩支架植入。
预估可能性的手术并发症:出血、夹层、过度灌注。


术中器械





◆ 操作入路

股动脉穿刺

◆ 造影

造影导丝:泥鳅导丝

造影导管:单弯

导引导管:6F普通指引导管

◆ 通过病变

微导丝:synchro 200cm

◆ 扩张及植入

球囊导管:赛诺神畅 Neuro LPS™ 2.5*15mm

支架:赛诺神畅 NOVA DES®内药物洗脱支架 2.5*15mm



治疗过程





导引导管到位,导丝通过病变。

导丝怎么扩【载药时代 球扩天下】NOVA DES®颅内药物洗脱支架在颈内动脉颅内段重度狭窄的应用二例!_https://www.jmylbn.com_新闻资讯_第13张


球囊通过病变,定位。

导丝怎么扩【载药时代 球扩天下】NOVA DES®颅内药物洗脱支架在颈内动脉颅内段重度狭窄的应用二例!_https://www.jmylbn.com_新闻资讯_第14张


球囊扩张后即刻造影。

导丝怎么扩【载药时代 球扩天下】NOVA DES®颅内药物洗脱支架在颈内动脉颅内段重度狭窄的应用二例!_https://www.jmylbn.com_新闻资讯_第15张


球囊扩张后造影。

导丝怎么扩【载药时代 球扩天下】NOVA DES®颅内药物洗脱支架在颈内动脉颅内段重度狭窄的应用二例!_https://www.jmylbn.com_新闻资讯_第16张


赛诺神畅 NOVA DES®内药物洗脱支架到位。

导丝怎么扩【载药时代 球扩天下】NOVA DES®颅内药物洗脱支架在颈内动脉颅内段重度狭窄的应用二例!_https://www.jmylbn.com_新闻资讯_第17张


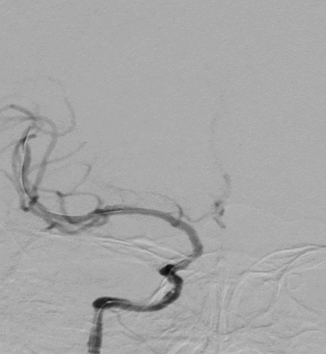
赛诺神畅 NOVA DES®内药物洗脱支架释放后造影。

导丝怎么扩【载药时代 球扩天下】NOVA DES®颅内药物洗脱支架在颈内动脉颅内段重度狭窄的应用二例!_https://www.jmylbn.com_新闻资讯_第18张



术后影像及检查





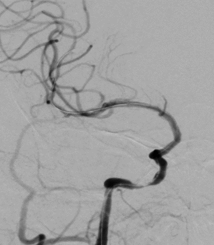
支架植入后正位造影。

导丝怎么扩【载药时代 球扩天下】NOVA DES®颅内药物洗脱支架在颈内动脉颅内段重度狭窄的应用二例!_https://www.jmylbn.com_新闻资讯_第19张


支架植入术后侧位造影。

导丝怎么扩【载药时代 球扩天下】NOVA DES®颅内药物洗脱支架在颈内动脉颅内段重度狭窄的应用二例!_https://www.jmylbn.com_新闻资讯_第20张


手术总结






操作体会

赛诺神畅 NOVA DES®内药物洗脱支架相对于阿波罗支架稍硬,在输送过程中要有好的底部支撑力,否则容易造成导丝下移,指引导管下移。


手术技巧

考虑支架的硬度较强,微导丝可以上的位置较远,一定注意微导丝头端的移动度,掌控好微导丝张力的释放,增加指引导管的支撑力,系统更加稳定,手术操作更安全







济宁市中西医结合医院介入团队





导丝怎么扩【载药时代 球扩天下】NOVA DES®颅内药物洗脱支架在颈内动脉颅内段重度狭窄的应用二例!_https://www.jmylbn.com_新闻资讯_第21张






病例二





术者:聂雪峰 德州市立医院

导丝怎么扩【载药时代 球扩天下】NOVA DES®颅内药物洗脱支架在颈内动脉颅内段重度狭窄的应用二例!_https://www.jmylbn.com_新闻资讯_第22张

聂雪峰


德州市立医院内六科副主任。

社会任职:山东省医师协会神经介入专业委员会委员、山东中西医结合学会神经内科专业委员会神经介入组委员、德州市医学会第五届神经内科学专业委员会委员、德州市医师学会神经内科专业委员会委员。

2005年毕业于大连大学医学院临床医学专业,德州市十佳医师,擅长神经内科常见病、多发病的诊断治疗,脑血管造影、颈动脉及椎动脉颅内及颅外段的支架置入、急性脑卒中的取栓治疗等神经介入治疗。











































患者基本信息





患者,女,62岁。

主诉:言语不利20余天,加重1天

简要病史:

患者于20余天前无明显诱因出现言语不利,偶有头晕,无视物旋转,平躺后约5分钟缓解。无头痛、恶心、呕吐,无发热,无呕吐,无复视,无视野缺损,无一过性黑曚,并时有右手食指及中指指端麻木,活动后缓解。在家未行特殊治疗,1天前上述症状加重,前来我科住院治疗。

既往史:既往有糖尿病病史20余年,高血压病史10余年,2022年2月因左侧额顶枕叶梗死于我科住院



既往病史影像留存





2022-02-05 颅脑MR。
导丝怎么扩【载药时代 球扩天下】NOVA DES®颅内药物洗脱支架在颈内动脉颅内段重度狭窄的应用二例!_https://www.jmylbn.com_新闻资讯_第23张

DWI


导丝怎么扩【载药时代 球扩天下】NOVA DES®颅内药物洗脱支架在颈内动脉颅内段重度狭窄的应用二例!_https://www.jmylbn.com_新闻资讯_第24张

DWI

MRA

重要影像结论:左侧额顶枕叶梗死灶。


入院检查





专科查体:

言语不利,行动如常,肌力5级,瞳孔正常,对光反射灵敏。

神经系统评分:

NIHSS(3分),mRS(1分)。


入院影像检查





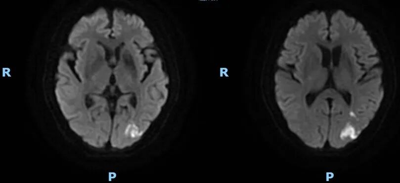
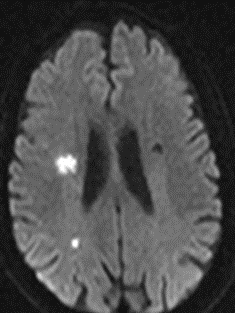
2022-07-21 颅脑MR。

导丝怎么扩【载药时代 球扩天下】NOVA DES®颅内药物洗脱支架在颈内动脉颅内段重度狭窄的应用二例!_https://www.jmylbn.com_新闻资讯_第25张

DWI


导丝怎么扩【载药时代 球扩天下】NOVA DES®颅内药物洗脱支架在颈内动脉颅内段重度狭窄的应用二例!_https://www.jmylbn.com_新闻资讯_第26张

DWI

MRA

重要影像结论:左侧额顶枕叶梗死灶。


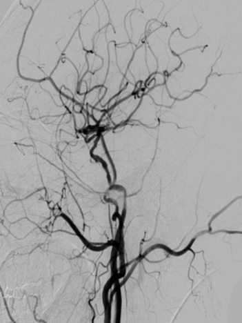
导丝怎么扩【载药时代 球扩天下】NOVA DES®颅内药物洗脱支架在颈内动脉颅内段重度狭窄的应用二例!_https://www.jmylbn.com_新闻资讯_第27张

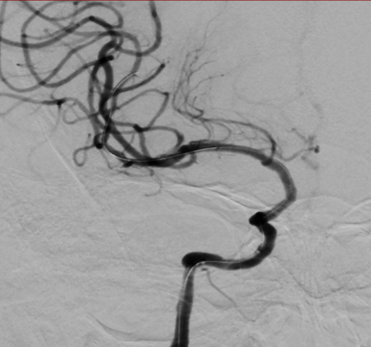
DSA

重要影像结论:左侧颈内动脉C4段重度狭窄。



诊断





病变部位:左侧颈内动脉C4段

远端正常血管直径(mm):2.8

狭窄处最小直径(mm):1.1

病变长度(mm):10

狭窄度(%):90%



术前讨论





拟行手术方案:经皮颈内动脉药物洗脱支架置入术

手术指征(血管内介入治疗的指征):

左侧颈内动脉C4段重度狭窄,患者反复左侧额顶枕叶梗死。

治疗策略:

1、拟行全麻。

2、通路建立:6F血管长鞘+5F U-track中间导管,提供稳定支撑

3、HYBIRD12D300微导丝通过狭窄,放置在左侧大脑中动脉M1段,沿微导丝将赛诺神畅 Neuro RX®2.25*15mm球囊预扩测量并选择合适的支架。

4、路图下快交将赛诺神畅3.0*15mm NOVA DES®内药物洗脱支架送达病变,准确定位后,缓慢加压释放。

预估可能性的手术并发症:出血、夹层、开通失败、其他。


术中器械





◆ 操作入路

股动脉穿刺

◆ 造影

造影导丝:泥鳅导丝

导引导管:6F血管长鞘、5F U-track

◆ 通过病变

微导丝:HYBIRD12D300

◆ 扩张及植入

球囊导管:赛诺神畅 Neuro RX®2.25*15mm

支架:赛诺神畅 NOVA DES®内药物洗脱支架3.0*15mm



治疗中影像





导引导管到位,导丝通过病变,球囊通过病变。

导丝怎么扩【载药时代 球扩天下】NOVA DES®颅内药物洗脱支架在颈内动脉颅内段重度狭窄的应用二例!_https://www.jmylbn.com_新闻资讯_第28张


球囊扩张过程。

导丝怎么扩【载药时代 球扩天下】NOVA DES®颅内药物洗脱支架在颈内动脉颅内段重度狭窄的应用二例!_https://www.jmylbn.com_新闻资讯_第29张


扩张后造影。

导丝怎么扩【载药时代 球扩天下】NOVA DES®颅内药物洗脱支架在颈内动脉颅内段重度狭窄的应用二例!_https://www.jmylbn.com_新闻资讯_第30张


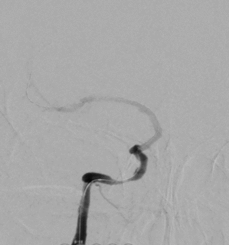
支架通过病变。

导丝怎么扩【载药时代 球扩天下】NOVA DES®颅内药物洗脱支架在颈内动脉颅内段重度狭窄的应用二例!_https://www.jmylbn.com_新闻资讯_第31张


支架释放。

导丝怎么扩【载药时代 球扩天下】NOVA DES®颅内药物洗脱支架在颈内动脉颅内段重度狭窄的应用二例!_https://www.jmylbn.com_新闻资讯_第32张



术后影像及检查





术后造影。

导丝怎么扩【载药时代 球扩天下】NOVA DES®颅内药物洗脱支架在颈内动脉颅内段重度狭窄的应用二例!_https://www.jmylbn.com_新闻资讯_第33张

手术总结






得失体会

术中微导丝远端放置在大脑中动脉M1段,小心通过狭窄,避免栓子脱落及夹层出现。赛诺神畅 NOVA DES®内药物洗脱支架可视性及成型完美,期待能降低支架内再狭窄的发生。


手术技巧

通路的建立,尤其重要,中间导管接近病变处,方便球囊及支架顺利通过狭窄段,小球囊预扩方便支架通过,预扩后将中间导管通过狭窄段,将支架准确放置在狭窄段,撤回中间导管,缓慢释放支架,避免出现夹层及斑块脱落,选择合适的支架,避免后扩。










说明:赛诺神畅医疗科技有限公司为赛诺医疗科学技术股份有限公司控股子公司。


导丝怎么扩【载药时代 球扩天下】NOVA DES®颅内药物洗脱支架在颈内动脉颅内段重度狭窄的应用二例!_https://www.jmylbn.com_新闻资讯_第34张

声明:脑医汇旗下神外资讯、神介资讯、脑医咨询所发表内容之知识产权为脑医汇及主办方、原作者等相关权利人所有。未经许可,禁止进行转载、摘编、复制、裁切、录制等。经许可授权使用,亦须注明来源。欢迎转发、分享。

投稿/会议发布,请联系400-888-2526转3
导丝怎么扩【载药时代 球扩天下】NOVA DES®颅内药物洗脱支架在颈内动脉颅内段重度狭窄的应用二例!_https://www.jmylbn.com_新闻资讯_第35张

脑医汇App(原神介资讯App短视频”功能全新上线,碎片化时间学习内容,长按识别二维码抢先体验!


请点击“阅读原文”进入赛诺神畅品牌专区。

导丝怎么扩【载药时代 球扩天下】NOVA DES®颅内药物洗脱支架在颈内动脉颅内段重度狭窄的应用二例!_https://www.jmylbn.com_新闻资讯_第36张

点分享

导丝怎么扩【载药时代 球扩天下】NOVA DES®颅内药物洗脱支架在颈内动脉颅内段重度狭窄的应用二例!_https://www.jmylbn.com_新闻资讯_第37张

点点赞

导丝怎么扩【载药时代 球扩天下】NOVA DES®颅内药物洗脱支架在颈内动脉颅内段重度狭窄的应用二例!_https://www.jmylbn.com_新闻资讯_第38张

点在看