导丝怎么扩【载药时代 球扩天下】NOVA DES®颅内药物洗脱支架在颈内动脉颅内段重度狭窄的应用两例!滕州市中心医院&山西医科大学第二医院

新闻资讯2026-04-21 09:03:51

载药时代 球扩天下

NOVA DES®颅内药物洗脱支架植入

NOVA颅内药物洗脱支架:全球唯一

导丝怎么扩【载药时代 球扩天下】NOVA DES®颅内药物洗脱支架在颈内动脉颅内段重度狭窄的应用两例!滕州市中心医院&山西医科大学第二医院_https://www.jmylbn.com_新闻资讯_第1张






 首个无神经毒性安全性的颅内药物支架;





 1年再狭窄6.66%,同裸支架比降低73.4%,从而降低再发卒中88.4%;





 血管内皮愈合导向,28天药物峰值,60天吸收完毕。









































病例一




主要术者:蒋亮亮 滕州市中心人民医院

导丝怎么扩【载药时代 球扩天下】NOVA DES®颅内药物洗脱支架在颈内动脉颅内段重度狭窄的应用两例!滕州市中心医院&山西医科大学第二医院_https://www.jmylbn.com_新闻资讯_第2张

蒋亮亮



硕士研究生、主治医师、神经内二科副主任
专业方向脑血管病的介入治疗
山东省医学会神经内科分会康复专业组委员
枣庄市医学会脑血管病专业委员会秘书










































患者基本信息





患者,女,55岁。

主诉:发作性右侧肢体活动不灵8小时,加重2小时。

简要病史:8小时前右侧肢体活动不灵,主要表现为右侧上肢轻度活动不灵,持续数分钟好转,发作3次,外院脑CT检查未见出血灶,当地诊所输液治疗,输液过程中出现不能言语,右侧肢体偏瘫完全,急拨打120至我院急诊就诊。

既往史:”乳腺癌根治术”5年,多次复查无复发。

专科查体:昏睡,不能言语,口角向右侧偏斜,双侧瞳孔等大等圆,直径约3mm,对光反射灵敏,双眼左侧凝视,右侧肢体肌力0级,右侧巴氏征(+)。

神经系统评分NIHSS(15分)。
辅助检查:脑CT:未见出血灶;心电图:大致正常心电图;毛细血管血糖:7.6mmol/L。




入院影像检查





急诊脑CT检查。

导丝怎么扩【载药时代 球扩天下】NOVA DES®颅内药物洗脱支架在颈内动脉颅内段重度狭窄的应用两例!滕州市中心医院&山西医科大学第二医院_https://www.jmylbn.com_新闻资讯_第3张


急诊DSA检查。

导丝怎么扩【载药时代 球扩天下】NOVA DES®颅内药物洗脱支架在颈内动脉颅内段重度狭窄的应用两例!滕州市中心医院&山西医科大学第二医院_https://www.jmylbn.com_新闻资讯_第4张


重要影像结论:左侧颈内动脉后交通段闭塞。



诊断





病变部位:左侧颈内后交通段-LC7。


术前讨论





拟行手术方案:闭塞再通。

手术指征:患者大血管病变,超出溶栓时间窗,有介入治疗指征。

治疗策略:

1.患者有发作性症状,考虑重度狭窄基础上闭塞可能性大。

2.微导丝携微导管通过闭塞段造影,看是否有首过效应。

3.准备支架取栓或支架植入。

预估可能性的手术并发症:出血、夹层、开通失败、其他(血栓、分支血管闭塞、梗死加重)。



术中器械





◆ 操作入路

股动脉穿刺

◆ 造影

造影导丝:泥鳅导丝

造影导管:单弯

导引导管:8F Guiding

◆ 通过病变

微导丝:SWD-14

微导管:ASAHI-CHIKA 0.014*300cm

微导管:Rebar-18

◆ 扩张及植入

中间导管:SM*DAC-6S 115

支架:赛诺神畅 内药物洗脱支架NOVA DES® 2.25*10mm 



治疗过程





导引导管到位,微导丝携微导管通过病变,造影示后交通段重度狭窄,左侧大脑中下干闭塞。

导丝怎么扩【载药时代 球扩天下】NOVA DES®颅内药物洗脱支架在颈内动脉颅内段重度狭窄的应用两例!滕州市中心医院&山西医科大学第二医院_https://www.jmylbn.com_新闻资讯_第5张


微导丝进入下干,微导管进行机械碎栓。

导丝怎么扩【载药时代 球扩天下】NOVA DES®颅内药物洗脱支架在颈内动脉颅内段重度狭窄的应用两例!滕州市中心医院&山西医科大学第二医院_https://www.jmylbn.com_新闻资讯_第6张


◆ 狭窄血管情况

远端正常血管直径(mm):2.2mm

狭窄处最小直径(mm):次全闭塞

病变长度(mm):0.6mm

狭窄度(%):大于95%


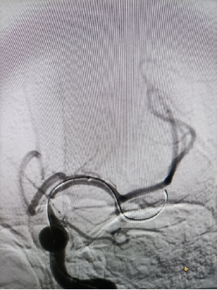
下干顺利再通,300cm交换导丝交换下微导管,赛诺神畅内药物洗脱支架NOVA DES®进入颅内血管。

导丝怎么扩【载药时代 球扩天下】NOVA DES®颅内药物洗脱支架在颈内动脉颅内段重度狭窄的应用两例!滕州市中心医院&山西医科大学第二医院_https://www.jmylbn.com_新闻资讯_第7张


赛诺神畅内药物洗脱支架NOVA DES®通过闭塞段。

导丝怎么扩【载药时代 球扩天下】NOVA DES®颅内药物洗脱支架在颈内动脉颅内段重度狭窄的应用两例!滕州市中心医院&山西医科大学第二医院_https://www.jmylbn.com_新闻资讯_第8张




术后影像及检查





导丝怎么扩【载药时代 球扩天下】NOVA DES®颅内药物洗脱支架在颈内动脉颅内段重度狭窄的应用两例!滕州市中心医院&山西医科大学第二医院_https://www.jmylbn.com_新闻资讯_第9张

影像结论:狭窄解除,下干血流通畅。


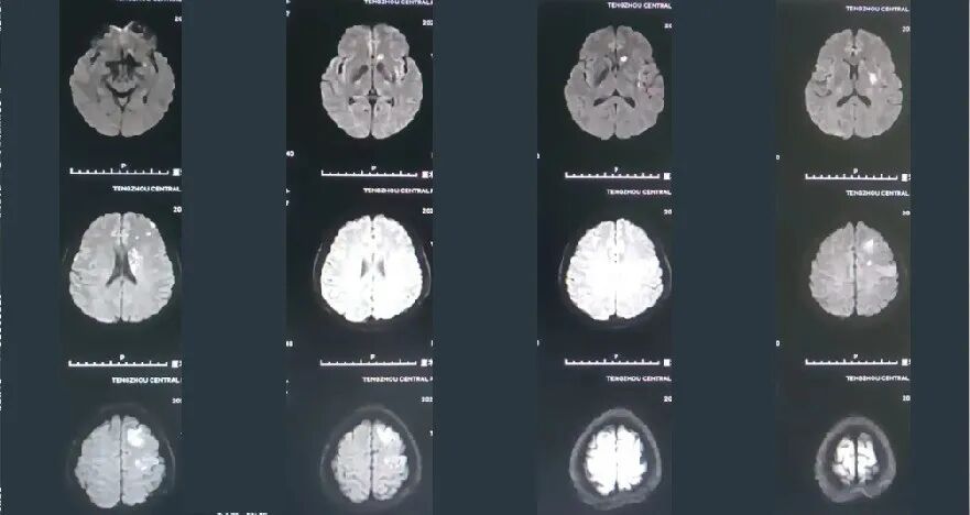
术后第二天磁共振。

导丝怎么扩【载药时代 球扩天下】NOVA DES®颅内药物洗脱支架在颈内动脉颅内段重度狭窄的应用两例!滕州市中心医院&山西医科大学第二医院_https://www.jmylbn.com_新闻资讯_第10张


术后第二天。

导丝怎么扩【载药时代 球扩天下】NOVA DES®颅内药物洗脱支架在颈内动脉颅内段重度狭窄的应用两例!滕州市中心医院&山西医科大学第二医院_https://www.jmylbn.com_新闻资讯_第11张




手术总结






得失体会:
患者虹吸段有个360度弯曲,微导丝要走的比较远,才能有较好的支撑,使支架顺利通过虹吸段的弯,8F Guiding加6F 115cm的中间导管,Guiding可以不接Y阀,中间导管可以上的比较高。


手术技巧:

1.大血管闭塞患者,部分是重度狭窄基础上的闭塞,可以微导丝携微导管通过闭塞段后,保留微导丝,微导管撤回到闭塞段以近,看是否再通,进行判断;

2.分支血管的闭塞,可以微导丝、微导管反复进出进行机械碎栓,部分患者有较好效果,若无法再通可使用支架取栓。








病例二





术者:孙支唐 山西医科大学第二医院

导丝怎么扩【载药时代 球扩天下】NOVA DES®颅内药物洗脱支架在颈内动脉颅内段重度狭窄的应用两例!滕州市中心医院&山西医科大学第二医院_https://www.jmylbn.com_新闻资讯_第12张

孙支唐

神经内科副主任,主任医师,硕士研究生导师
中国老年医学会神经内科分会常务委员
中国研究型医院学会脑小血管病分会委员
山西省医学会脑血管病分会常务委员
山西省医学会神经病学分会委员
北京市脑小血管病专业委员会委员
山西省医师学会委员
山西省卒中学会委员
山西省医学会脑血管病分会介入学组副组长
山西省医师学会神经病学分会感染性疾病专业委员会副主委

山西省医师学会神经病学分会神经介入专委会常务委员
















































患者基本信息





患者,男,58岁。

主诉:左上肢无力伴麻木3天余。

简要病史:

2022年10月24日患者晨起后出现左上肢无力伴麻木,远端握持不能、近端抬举减弱,不伴平衡障碍,无头痛、恶心、呕吐、意识障碍、言语含糊、饮水呛咳等。症状持续不缓解,遂就诊于当地县人民医院,诊断急性脑梗死,予以“抗板、营养神经、改善循环、调脂稳斑”治疗,治疗期间病情进一步加重,为求进一步诊治,10月27日遂就诊于我院。

既往史:

2022年8月左上肢无力伴麻木,诊断急性脑梗死,口服阿司匹林、阿托伐他汀。9月5日因鼻出血自行停止口服阿司匹林。日吸烟1-2支,戒烟2年余。无高血压、糖尿病史。无脑血管病家族史。

查体:神志清楚、言语流利。肌力:左上肢近端肌力5-级,远端肌力1级,握力0级。余肢体肌力正常。觉:左侧肢体浅感觉减退,余感觉正常。瞳孔正常。对光反射灵敏。神经系统评分NIHSS:4分;mRS:2分。





入院影像检查





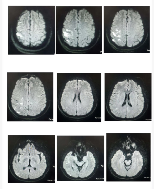
导丝怎么扩【载药时代 球扩天下】NOVA DES®颅内药物洗脱支架在颈内动脉颅内段重度狭窄的应用两例!滕州市中心医院&山西医科大学第二医院_https://www.jmylbn.com_新闻资讯_第13张
2022-10-28,DWI


导丝怎么扩【载药时代 球扩天下】NOVA DES®颅内药物洗脱支架在颈内动脉颅内段重度狭窄的应用两例!滕州市中心医院&山西医科大学第二医院_https://www.jmylbn.com_新闻资讯_第14张

MRA


导丝怎么扩【载药时代 球扩天下】NOVA DES®颅内药物洗脱支架在颈内动脉颅内段重度狭窄的应用两例!滕州市中心医院&山西医科大学第二医院_https://www.jmylbn.com_新闻资讯_第15张

DSA:右侧颈内动脉正侧位


重要影像结论:右侧颈内动脉C6段狭窄约90%,长度约0.97cm。



术前讨论





拟行手术方案:经皮颈内动脉颅内段球囊扩张成形术、颈内动脉支架经皮植入术。

手术指征(血管内介入治疗的指征):

①患者3个月内脑梗死2次,期间有口服药物治疗;
②脑梗死与责任血管狭窄有关;
③DSA提示右侧颈内动脉C6段重度狭窄(90%);
④此次右侧额顶枕颞叶急性期脑梗死超过2周;
⑤入院后予以治疗后NIHSS、mRS评分有改善。
治疗策略:

予以颈内动脉颅内段球囊扩张,扩张后予以支架植入。

预估可能性的手术并发症:出血、夹层、开通失败、其他。


术中器械





◆ 操作入路

股动脉穿刺

◆ 造影

造影导丝:泥鳅导丝

造影导管:5F单弯造影导管

导引导管:6F长鞘

◆ 接近右侧颈内C6

远端通路导管:5F 远端通路导管

◆ 通过病变

微导丝:可操纵导丝:0.014x300cm

◆ 扩张及植入

球囊导管:PTCA球囊扩张导管:2.5*15mm

支架:赛诺神畅 NOVA DES®内药物洗脱支架2.5*12mm



治疗中影像





治疗中路径显示患者右侧颈内动脉的迂曲。

导丝怎么扩【载药时代 球扩天下】NOVA DES®颅内药物洗脱支架在颈内动脉颅内段重度狭窄的应用两例!滕州市中心医院&山西医科大学第二医院_https://www.jmylbn.com_新闻资讯_第16张


导引导管到位,导丝通过病变。

导丝怎么扩【载药时代 球扩天下】NOVA DES®颅内药物洗脱支架在颈内动脉颅内段重度狭窄的应用两例!滕州市中心医院&山西医科大学第二医院_https://www.jmylbn.com_新闻资讯_第17张


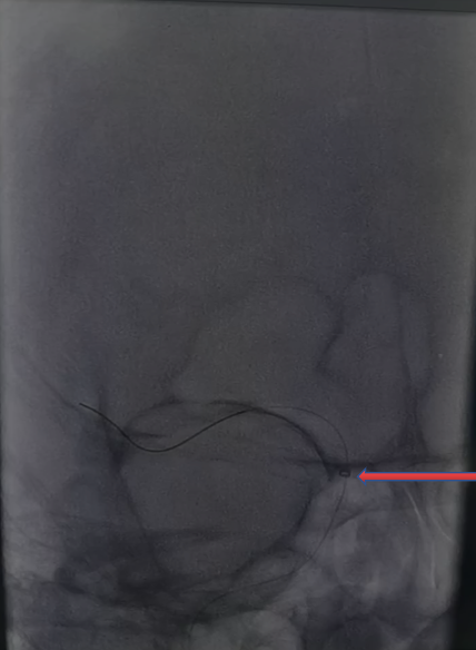
球囊通过病变扩张血管后,残余狭窄30%,局部血管夹层可疑。远端通路导管在球囊导管的引导下通过迂曲的C3、C4段,抵达病变血管近端。

导丝怎么扩【载药时代 球扩天下】NOVA DES®颅内药物洗脱支架在颈内动脉颅内段重度狭窄的应用两例!滕州市中心医院&山西医科大学第二医院_https://www.jmylbn.com_新闻资讯_第18张


中间导管到达病变处。

导丝怎么扩【载药时代 球扩天下】NOVA DES®颅内药物洗脱支架在颈内动脉颅内段重度狭窄的应用两例!滕州市中心医院&山西医科大学第二医院_https://www.jmylbn.com_新闻资讯_第19张


赛诺神畅 NOVA DES®内药物洗脱支架2.5*12mm到位。


释放后造影。
导丝怎么扩【载药时代 球扩天下】NOVA DES®颅内药物洗脱支架在颈内动脉颅内段重度狭窄的应用两例!滕州市中心医院&山西医科大学第二医院_https://www.jmylbn.com_新闻资讯_第20张

植入后造

导丝怎么扩【载药时代 球扩天下】NOVA DES®颅内药物洗脱支架在颈内动脉颅内段重度狭窄的应用两例!滕州市中心医院&山西医科大学第二医院_https://www.jmylbn.com_新闻资讯_第21张


图像放大。

导丝怎么扩【载药时代 球扩天下】NOVA DES®颅内药物洗脱支架在颈内动脉颅内段重度狭窄的应用两例!滕州市中心医院&山西医科大学第二医院_https://www.jmylbn.com_新闻资讯_第22张



手术总结






手术步骤:

1.使用同轴技术“6F长鞘+5F单弯造影管+泥鳅导丝”将6F长鞘送至右侧颈内C1段,造影提示右侧颈内动脉C6段狭窄。

2.利用0.035super core导引导丝带5F远端通路导管到右侧颈内动脉C4段,再用0.014微导丝(DPY201)小心通过病变,送至右侧大脑中动脉M2段。

3.沿微导丝将球囊送至病变部位以6atm进行扩张,扩张后残余狭窄30%。

4.再利用球囊导管良好的支撑性将远端通路导管通过迂曲的C3、C4段抵达病变近端。

5.然后沿微导丝将赛诺神畅 NOVA DES®颅内药物洗脱支架系统送至病变部位定位后以8atm扩张后准确释放,释放后残余狭窄10%。


操作体会:

1.遇见路径狭窄,远端通路导引导管不容易到位,用球囊导管良好支撑性引导到位。

2.路径迂曲的病人,支架的选择不但考虑病变,而且要考虑支架是否能到位。此类病人利用相关技术将远端通路导引导管引至病变近端,到位后才可选择通过性较差球阔支架。









说明:赛诺神畅医疗科技有限公司为赛诺医疗科学技术股份有限公司控股子公司。


导丝怎么扩【载药时代 球扩天下】NOVA DES®颅内药物洗脱支架在颈内动脉颅内段重度狭窄的应用两例!滕州市中心医院&山西医科大学第二医院_https://www.jmylbn.com_新闻资讯_第23张

声明:脑医汇旗下神外资讯、神介资讯、脑医咨询所发表内容之知识产权为脑医汇及主办方、原作者等相关权利人所有。未经许可,禁止进行转载、摘编、复制、裁切、录制等。经许可授权使用,亦须注明来源。欢迎转发、分享。

投稿/会议发布,请联系400-888-2526转3。
导丝怎么扩【载药时代 球扩天下】NOVA DES®颅内药物洗脱支架在颈内动脉颅内段重度狭窄的应用两例!滕州市中心医院&山西医科大学第二医院_https://www.jmylbn.com_新闻资讯_第24张

脑医汇App(原神介资讯App短视频”功能全新上线,碎片化时间学习内容,长按识别二维码抢先体验!


请点击“阅读原文”进入赛诺神畅品牌专区。

导丝怎么扩【载药时代 球扩天下】NOVA DES®颅内药物洗脱支架在颈内动脉颅内段重度狭窄的应用两例!滕州市中心医院&山西医科大学第二医院_https://www.jmylbn.com_新闻资讯_第25张

点分享

导丝怎么扩【载药时代 球扩天下】NOVA DES®颅内药物洗脱支架在颈内动脉颅内段重度狭窄的应用两例!滕州市中心医院&山西医科大学第二医院_https://www.jmylbn.com_新闻资讯_第26张

点点赞

导丝怎么扩【载药时代 球扩天下】NOVA DES®颅内药物洗脱支架在颈内动脉颅内段重度狭窄的应用两例!滕州市中心医院&山西医科大学第二医院_https://www.jmylbn.com_新闻资讯_第27张

点在看