导丝怎么扩【载药时代 球扩天下】NOVA DES®颅内药物洗脱支架在颈内动脉颅内段重度狭窄中的应用体会二例!

新闻资讯2026-04-21 09:03:49

载药时代 球扩天下

NOVA DES®颅内药物洗脱支架植入

NOVA颅内药物洗脱支架:全球唯一

导丝怎么扩【载药时代 球扩天下】NOVA DES®颅内药物洗脱支架在颈内动脉颅内段重度狭窄中的应用体会二例!_https://www.jmylbn.com_新闻资讯_第1张






 首个无神经毒性安全性的颅内药物支架;





 1年再狭窄6.66%,同裸支架比降低73.4%,从而降低再发卒中88.4%;





 血管内皮愈合导向,28天药物峰值,60天吸收完毕。









































病例一




术者:董刚 济宁市中西医结合医院

导丝怎么扩【载药时代 球扩天下】NOVA DES®颅内药物洗脱支架在颈内动脉颅内段重度狭窄中的应用体会二例!_https://www.jmylbn.com_新闻资讯_第2张

董刚


主治医师,脑病科四区主任。

2010年毕业于济宁医学院,从事脑病科工作10年余,2012年2月至8月于上海长海医院神经外科神经介入专业进修学习,2012年11月于北京天坛医院急诊介入病房观摩学习,2020年4月至7月于临沂市人民医院神经内科监护室进修学习脑出血微创钻孔引流手术。
主要从事急性脑血管病的动静脉溶栓治疗和内科保守治疗,急性颅内大血管闭塞的取栓治疗,常规脑血管病的支架介入治疗,脑出血的微创钻孔手术治疗。目前独立完成全脑血管造影术检查近千例、颅内外支架近百例。

社会兼职有:山东省医师协会神经内科介入医师分会委员,山东省医师协会神经介入专业委员会缺血性脑血管病学组成员,济宁市医学会神经介入分会委员,济宁市医学会脑血管病分会委员。










































患者基本信息





患者,女,68岁。

主诉:言语不利、右侧肢体活动不灵3-月

简要病史:

患者于3-月前无明显诱因出现言语不利,右侧肢体活动不灵,就诊于我市某医院,诊断为脑梗死,住院治疗,后期功能康复锻炼,基本可自理,康复期间再次出现症状加重,较前言语功能及右侧肢体活动障碍明显加重,完善颅脑磁共振提示再次新发梗死,内科治疗平稳后,继续功能康复,在家人搀扶下可缓慢行走,后转入我院继续功能康复锻炼,期间患者再次出现症状加重,复查颅脑磁共振再次提示同侧大脑半球新发梗死,继续内科治疗,病情平稳后转入我科行支架植入术。

既往史:高血压病病史、冠心病病史



既往影像检查





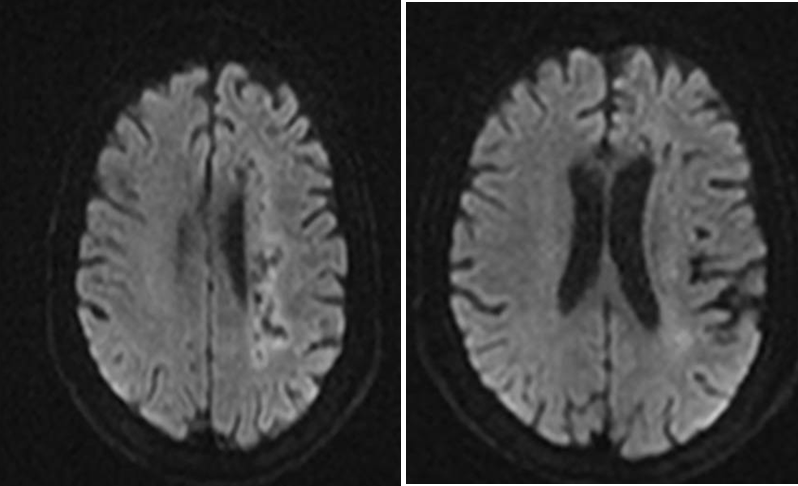
导丝怎么扩【载药时代 球扩天下】NOVA DES®颅内药物洗脱支架在颈内动脉颅内段重度狭窄中的应用体会二例!_https://www.jmylbn.com_新闻资讯_第3张

DWI


导丝怎么扩【载药时代 球扩天下】NOVA DES®颅内药物洗脱支架在颈内动脉颅内段重度狭窄中的应用体会二例!_https://www.jmylbn.com_新闻资讯_第4张

MRA

重要影像结论:左侧基底节区、放射冠区新发脑梗死;多发脑血管狭窄



入院检查





专科查体:
言语不利,行动不利,肌力(右上肢1级,右下肢3-级),瞳孔正常,对光反射灵敏。
神经系统评分:NIHSS(9分),mRS(4分)。


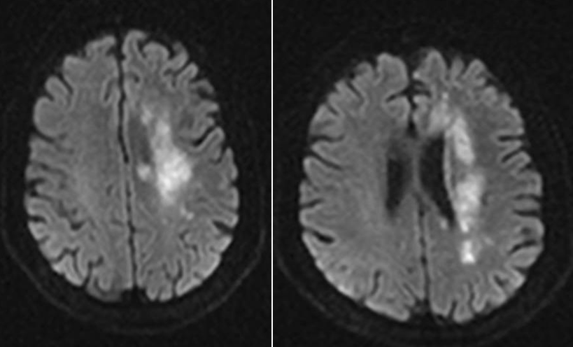
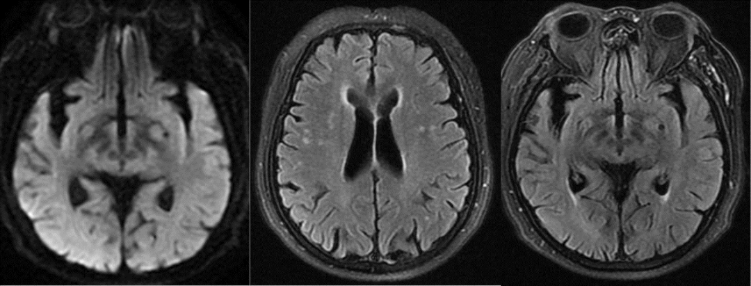
入院影像检查





导丝怎么扩【载药时代 球扩天下】NOVA DES®颅内药物洗脱支架在颈内动脉颅内段重度狭窄中的应用体会二例!_https://www.jmylbn.com_新闻资讯_第5张DWI


导丝怎么扩【载药时代 球扩天下】NOVA DES®颅内药物洗脱支架在颈内动脉颅内段重度狭窄中的应用体会二例!_https://www.jmylbn.com_新闻资讯_第6张CTA

重要影像结论:颅脑DWI未见明显新发梗死,CTA提示左侧颈内动脉眼动脉段重度狭窄。



诊断





病变部位:左侧颈内动脉眼动脉段

远端正常血管直径(mm):3.4

狭窄处最小直径(mm):0.6

病变长度(mm):8

狭窄度(%):82%


术前讨论





拟行手术方案:全麻下左侧颈内动脉眼动脉段球囊扩张备支架植入术

手术指征(血管内介入治疗的指征):

患者多次脑梗死,且均为同一侧大脑半球,左侧颈内动脉眼动脉段存在大于70%的狭窄,且为责任血管,药物治疗效果不佳。

治疗策略:

1、血管较平滑,普通6F指引导管铺路;

2、3.0mm赛诺神畅低压 Neuro LPS™预扩张,感受狭窄斑块软硬度,狭窄长度;

3、3.25mm赛诺神畅 NOVA DES®内药物洗脱支架植入。

预估可能性的手术并发症:出血、夹层、其他。



术中器械





◆ 操作入路

股动脉穿刺

◆ 造影

造影导丝:200cm 泥鳅导丝

导引导管:6F 指引导管

◆ 通过病变

微导丝:Synchro2

◆ 扩张及植入

球囊:赛诺神畅 Neuro LPS™3.0*10mm

支架:赛诺神畅 NOVA DES®内药物洗脱支架3.25*10mm



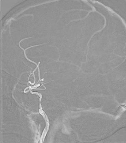
治疗过程





导引导管到位,导丝通过病变。

导丝怎么扩【载药时代 球扩天下】NOVA DES®颅内药物洗脱支架在颈内动脉颅内段重度狭窄中的应用体会二例!_https://www.jmylbn.com_新闻资讯_第7张


球囊通过病变。

导丝怎么扩【载药时代 球扩天下】NOVA DES®颅内药物洗脱支架在颈内动脉颅内段重度狭窄中的应用体会二例!_https://www.jmylbn.com_新闻资讯_第8张


球囊扩张过程。

导丝怎么扩【载药时代 球扩天下】NOVA DES®颅内药物洗脱支架在颈内动脉颅内段重度狭窄中的应用体会二例!_https://www.jmylbn.com_新闻资讯_第9张


扩张后造影。

导丝怎么扩【载药时代 球扩天下】NOVA DES®颅内药物洗脱支架在颈内动脉颅内段重度狭窄中的应用体会二例!_https://www.jmylbn.com_新闻资讯_第10张


支架通过病变。

导丝怎么扩【载药时代 球扩天下】NOVA DES®颅内药物洗脱支架在颈内动脉颅内段重度狭窄中的应用体会二例!_https://www.jmylbn.com_新闻资讯_第11张


支架释放。
导丝怎么扩【载药时代 球扩天下】NOVA DES®颅内药物洗脱支架在颈内动脉颅内段重度狭窄中的应用体会二例!_https://www.jmylbn.com_新闻资讯_第12张


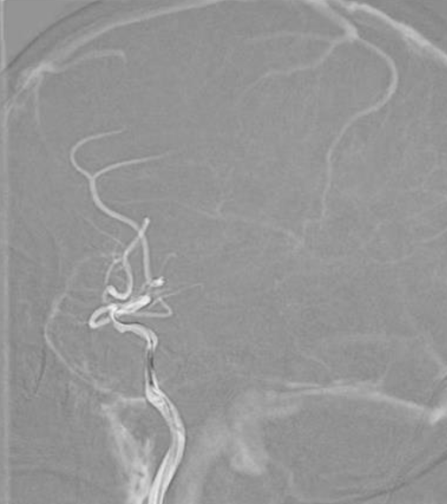
术后影像及检查





全脑及病变处不同体位造影。

导丝怎么扩【载药时代 球扩天下】NOVA DES®颅内药物洗脱支架在颈内动脉颅内段重度狭窄中的应用体会二例!_https://www.jmylbn.com_新闻资讯_第13张

导丝怎么扩【载药时代 球扩天下】NOVA DES®颅内药物洗脱支架在颈内动脉颅内段重度狭窄中的应用体会二例!_https://www.jmylbn.com_新闻资讯_第14张


手术总结






操作体会

总体讲赛诺神畅低压球囊 Neuro LPS™通过性能强,NOVA DES®颅内药物洗脱支架相对于APOLLO支架较硬,血管弯曲明显的话支架不易通过。

手术技巧

患者整体血管较光滑、平直,利用6F普通指引导管作为支撑导管比较常规,里面没有中间导管,支撑性能差,为了更好地支架通过,微导丝的位置要足够高;对于狭窄较重的病变,一般先给与球囊预扩张,可以感受斑块的软硬度,以及测量下一步需要的支架耗材长度及大小。








病例二




指导术者:秦鼎 北京京煤集团总医院

导丝怎么扩【载药时代 球扩天下】NOVA DES®颅内药物洗脱支架在颈内动脉颅内段重度狭窄中的应用体会二例!_https://www.jmylbn.com_新闻资讯_第15张

秦鼎


神经内科主任医师,北京京煤集团总医院副院长。

北京医学会神经内科学分会委员,北京医学会内科学分会委员,北京医学会介入分会委员,北京神经内科学会常委,北京医师协会神经介入分会理事,北京老年痴呆防治协会理事,北京神经变性病学会额颞叶痴呆及相关疾病专业委员会委员,中华中医药学会委员,北京市脑卒中诊疗质量控制与改进中心专家。

承担首都医学科研发展基金2项,药物临床试验项目5项,在核心期刊发表论文20余篇,参编专著2部。


主要术者:尹贵荣 北京京煤集团总医院

导丝怎么扩【载药时代 球扩天下】NOVA DES®颅内药物洗脱支架在颈内动脉颅内段重度狭窄中的应用体会二例!_https://www.jmylbn.com_新闻资讯_第16张

尹贵荣


主治医师。

北京神经内科学会神经介入分会委员。

从事神经内科工作多年。于2016年在中国人民解放军总医院学习神经介入诊疗1年。至今参与完成脑血管造影、颅内外支架、急性脑梗死急诊取栓介入治疗、动脉瘤栓塞、静脉窦狭窄、颅内外血管闭塞开通、动静脉畸形栓塞手术千余例。对于脑血管病诊治有丰富的临床经验。










































患者基本信息





患者,女,65岁。

主诉:发作性左侧肢体力弱3天

简要病史:

患者3天前出现发作性左侧肢体力弱,每次持续5分钟左右,大约半小时再次出现左侧肢体力弱,性质同前,当时未就诊。昨日患者出现3次上述症状,性质基本同前,每次持续2-10分钟左右缓解。考虑缺血性脑血管病,收入院。

既往史:高血压病史、2型糖尿病病史、冠脉支架病史


既往影像检查





导丝怎么扩【载药时代 球扩天下】NOVA DES®颅内药物洗脱支架在颈内动脉颅内段重度狭窄中的应用体会二例!_https://www.jmylbn.com_新闻资讯_第17张

DWI

导丝怎么扩【载药时代 球扩天下】NOVA DES®颅内药物洗脱支架在颈内动脉颅内段重度狭窄中的应用体会二例!_https://www.jmylbn.com_新闻资讯_第18张

MRA

头颅核磁:颅内多发缺血灶;DWI未见明显高信号;灌注可见右侧半球低灌注


导丝怎么扩【载药时代 球扩天下】NOVA DES®颅内药物洗脱支架在颈内动脉颅内段重度狭窄中的应用体会二例!_https://www.jmylbn.com_新闻资讯_第19张

头颅MRA:右侧椎动脉闭塞可能,双侧颈内动脉末端、左侧椎动脉V4段重度狭窄可能。



入院查体





专科查体:

言语清晰,行动如常,肌力(5级),瞳孔正常,对光反射灵敏。

神经系统评分:NIHSS(0分),mRS(0级)。



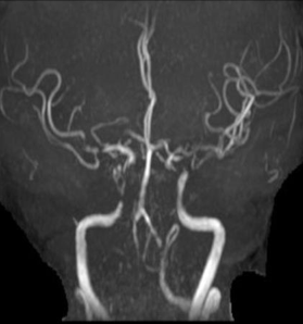
入院影像检查





导丝怎么扩【载药时代 球扩天下】NOVA DES®颅内药物洗脱支架在颈内动脉颅内段重度狭窄中的应用体会二例!_https://www.jmylbn.com_新闻资讯_第20张

导丝怎么扩【载药时代 球扩天下】NOVA DES®颅内药物洗脱支架在颈内动脉颅内段重度狭窄中的应用体会二例!_https://www.jmylbn.com_新闻资讯_第21张

重要影像结论:右侧颈内动脉C4段重度狭窄;右侧颈内动脉C6段中度狭窄;左侧颈内动脉C5段中度狭窄;左侧大脑前动脉A1段重度狭窄。


导丝怎么扩【载药时代 球扩天下】NOVA DES®颅内药物洗脱支架在颈内动脉颅内段重度狭窄中的应用体会二例!_https://www.jmylbn.com_新闻资讯_第22张

导丝怎么扩【载药时代 球扩天下】NOVA DES®颅内药物洗脱支架在颈内动脉颅内段重度狭窄中的应用体会二例!_https://www.jmylbn.com_新闻资讯_第23张

重要影像结论:右侧椎动脉V1段中度狭窄;右侧椎动脉V4段重度狭窄;左侧椎动脉V4段中度狭窄。


诊断





主要诊断:右侧颈内动脉重度狭窄、左侧颈内动脉中度狭窄、右侧椎动脉重度狭窄、左侧椎动脉中度狭窄。

病变部位:右侧颈内动脉

远端正常血管直径(mm):2.3

狭窄处最小直径(mm):0.4

病变长度(mm):5

狭窄度(%):85%


术前讨论





拟行手术方案:右侧颈内动脉 C4段支架置入术

手术指征(血管内介入治疗的指征):

患者发作性左侧肢体力弱,右侧颈内动脉重度狭窄,右侧半球低灌注。

治疗策略:

全身麻醉下行右侧颈内动脉支架置入术。

预估可能性的手术并发症:栓塞、夹层、过度灌注出血。



术中器械





◆ 操作入路

股动脉穿刺

◆ 造影

造影导丝:0.035 泥鳅导丝

造影导管:5F 椎管

中间导管:6F 导引导管

◆ 球囊预扩

微导丝:Synchro 微导丝

微导管:Echelon 微导管

◆ 扩张及植入

球囊导管:2.0*12mm

支架:赛诺神畅 NOVA DES®内药物洗脱支架2.25*12mm



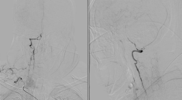
治疗过程





将 6F 导引导管送至 C3 段。

导丝怎么扩【载药时代 球扩天下】NOVA DES®颅内药物洗脱支架在颈内动脉颅内段重度狭窄中的应用体会二例!_https://www.jmylbn.com_新闻资讯_第24张

导引导管到位,导丝通过病变


通过微导丝携带球囊至狭窄段。

导丝怎么扩【载药时代 球扩天下】NOVA DES®颅内药物洗脱支架在颈内动脉颅内段重度狭窄中的应用体会二例!_https://www.jmylbn.com_新闻资讯_第25张

球囊通过病变


球囊到位后准确定位后缓慢扩张球囊。

导丝怎么扩【载药时代 球扩天下】NOVA DES®颅内药物洗脱支架在颈内动脉颅内段重度狭窄中的应用体会二例!_https://www.jmylbn.com_新闻资讯_第26张

球囊扩张过程


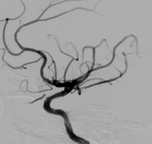
扩张后撤出球囊造影,见狭窄有所改善。

导丝怎么扩【载药时代 球扩天下】NOVA DES®颅内药物洗脱支架在颈内动脉颅内段重度狭窄中的应用体会二例!_https://www.jmylbn.com_新闻资讯_第27张

扩张后造影


通过导丝携带球扩支架到达病变位置。

导丝怎么扩【载药时代 球扩天下】NOVA DES®颅内药物洗脱支架在颈内动脉颅内段重度狭窄中的应用体会二例!_https://www.jmylbn.com_新闻资讯_第28张

支架通过病变


缓慢扩充球囊释放支架。

导丝怎么扩【载药时代 球扩天下】NOVA DES®颅内药物洗脱支架在颈内动脉颅内段重度狭窄中的应用体会二例!_https://www.jmylbn.com_新闻资讯_第29张

支架释放



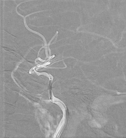
术后影像及检查





影像结论:术后残余狭窄小于 10%。

导丝怎么扩【载药时代 球扩天下】NOVA DES®颅内药物洗脱支架在颈内动脉颅内段重度狭窄中的应用体会二例!_https://www.jmylbn.com_新闻资讯_第30张


手术总结






操作体会

颅内球扩支架是主要适应于血管相对较短、较直的血管,同时无明显穿支动脉;术中微导丝远端放置需格外小心,可以考虑塑回形圈,避免前置或支撑不佳;相对于分支较少的粥样硬化狭窄患者,赛诺神畅 NOVA DES®内药物洗脱支架顺应性及支撑效果均为上佳选择。同时赛诺神畅 NOVA DES®内药物洗脱支架术后解剖影像复位较颅内自膨支架好。术后进行复查随访,与APOLLO支架以及颅内自膨支架再狭窄率进行对比。

手术技巧

1、导引导管位置尽可能接近病变处,能方便支架通过迂曲血管及病变处;

2、可用小球囊先行预扩张,方便支架通过;

3、释放支架时尽可能慢一些,能避免病变处出现夹层或者斑块脱落;

4、选支架大小合适,避免后扩张。















说明:赛诺神畅医疗科技有限公司为赛诺医疗科学技术股份有限公司控股子公司。


导丝怎么扩【载药时代 球扩天下】NOVA DES®颅内药物洗脱支架在颈内动脉颅内段重度狭窄中的应用体会二例!_https://www.jmylbn.com_新闻资讯_第31张

声明:脑医汇旗下神外资讯、神介资讯、脑医咨询所发表内容之知识产权为脑医汇及主办方、原作者等相关权利人所有。未经许可,禁止进行转载、摘编、复制、裁切、录制等。经许可授权使用,亦须注明来源。欢迎转发、分享。

投稿/会议发布,请联系400-888-2526转3。
导丝怎么扩【载药时代 球扩天下】NOVA DES®颅内药物洗脱支架在颈内动脉颅内段重度狭窄中的应用体会二例!_https://www.jmylbn.com_新闻资讯_第32张

脑医汇App(原神介资讯App短视频”功能全新上线,碎片化时间学习内容,长按识别二维码抢先体验!


请点击“阅读原文”进入赛诺神畅品牌专区。

导丝怎么扩【载药时代 球扩天下】NOVA DES®颅内药物洗脱支架在颈内动脉颅内段重度狭窄中的应用体会二例!_https://www.jmylbn.com_新闻资讯_第33张

点分享

导丝怎么扩【载药时代 球扩天下】NOVA DES®颅内药物洗脱支架在颈内动脉颅内段重度狭窄中的应用体会二例!_https://www.jmylbn.com_新闻资讯_第34张

点点赞

导丝怎么扩【载药时代 球扩天下】NOVA DES®颅内药物洗脱支架在颈内动脉颅内段重度狭窄中的应用体会二例!_https://www.jmylbn.com_新闻资讯_第35张

点在看